Correlation between Androgen Receptor Expression and Immunohistochemistry Type as Prognostic Factors in a Cohort of Breast Cancer Patients: Result from a Single-Center, Cross Sectional Study
Abstract
1. Introduction
1.1. Androgen Receptor
1.2. Immunohistochemistry
2. Materials and Methods
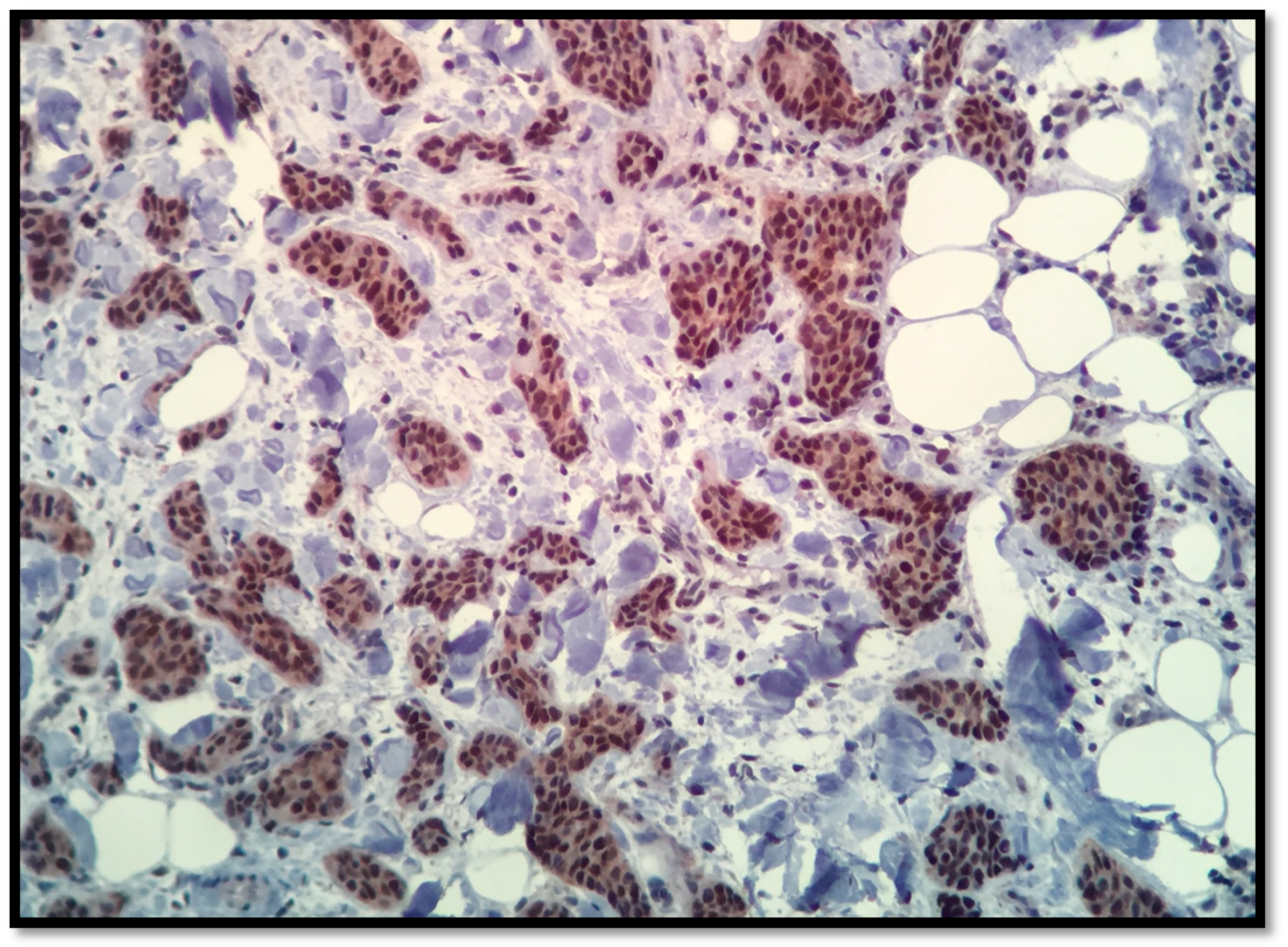
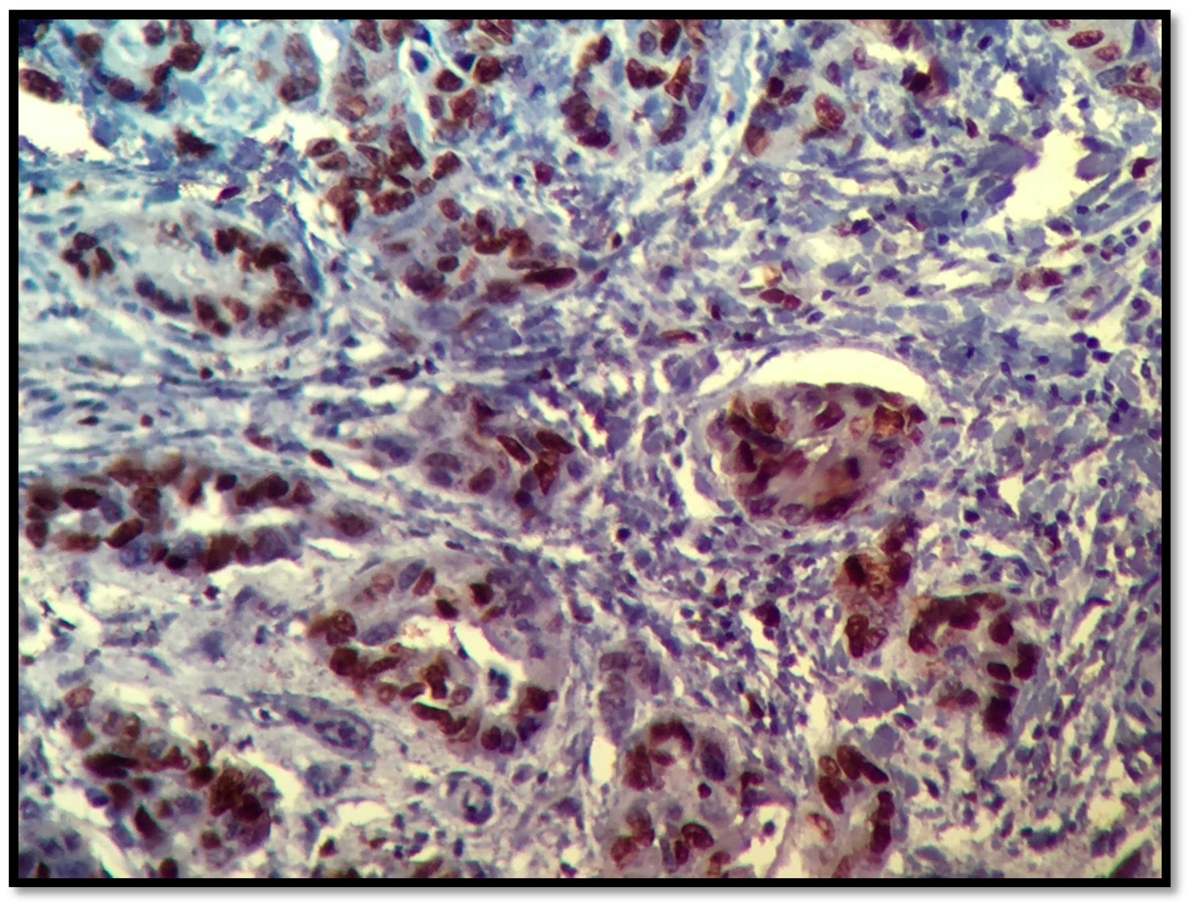
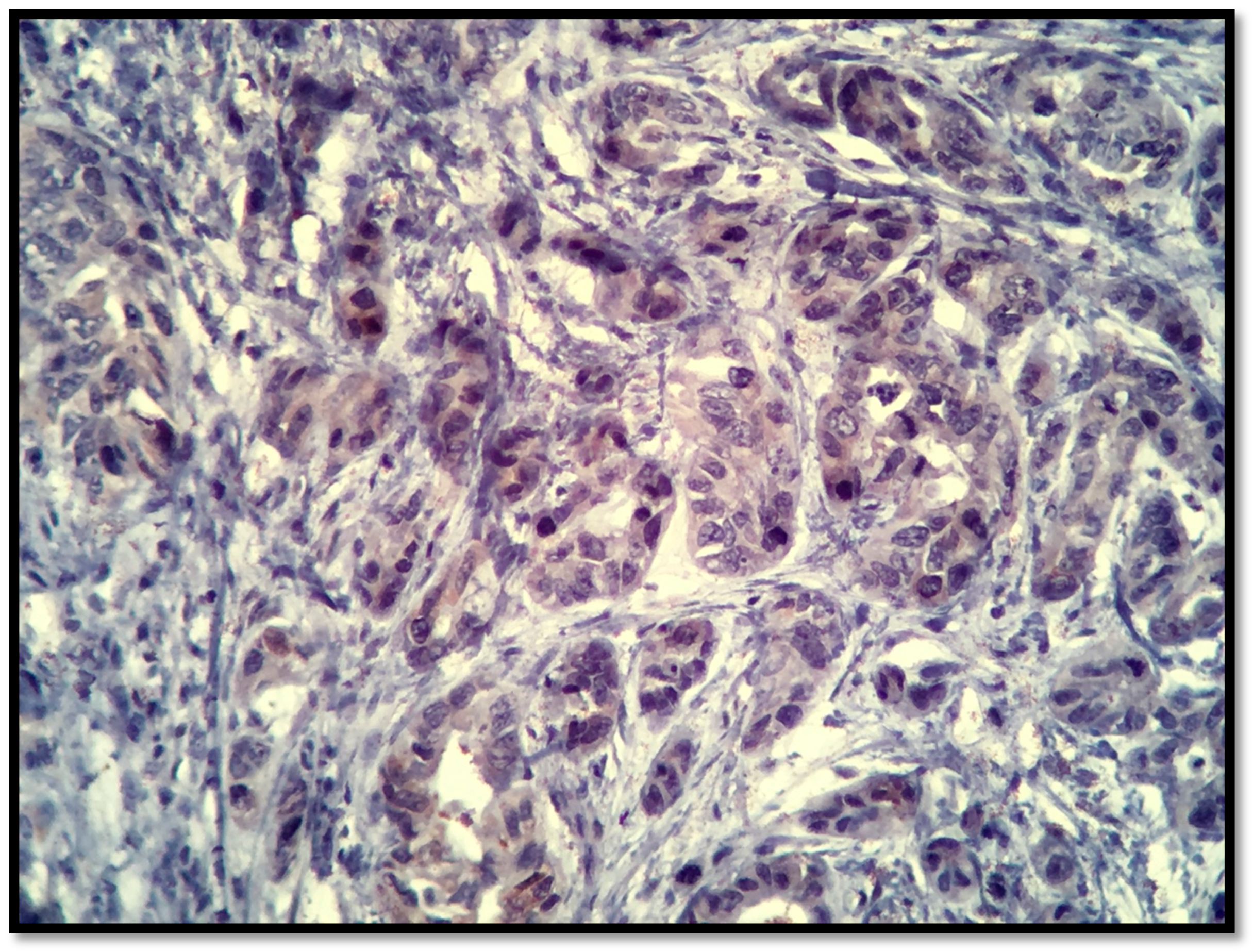
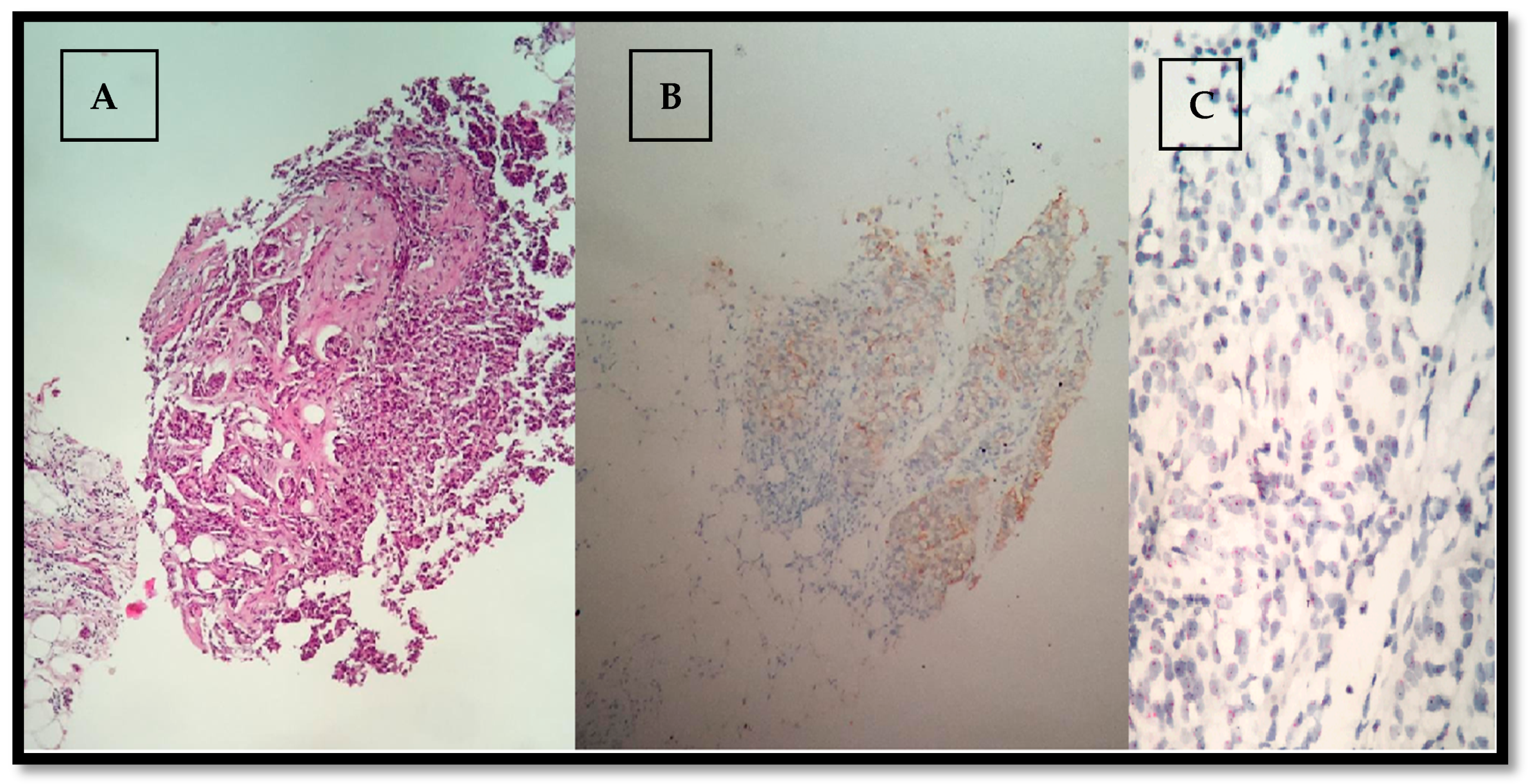
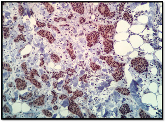
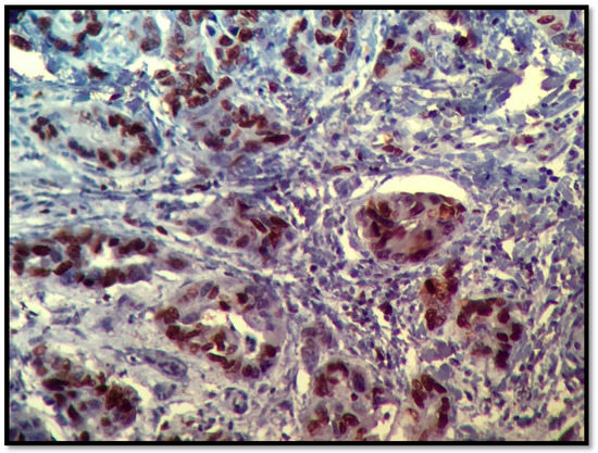
2.1. AR Assessment
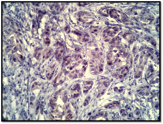
2.2. Her2 Neu, ER and PR Assessment
2.3. Study Methods
2.4. Statistical Analysis and Study End Points
3. Results
- Group I: triple negative breast cancer (TNBC) (n = 39)
- Group II: hormonal receptors negative, Her 2/neu positive (n = 22)
- Group III: hormonal receptors positive, Her 2/neu negative (n = 68)
- Group IV: hormonal receptors positive, Her 2/neu positive (n = 14).
3.1. Androgen Receptors
3.1.1. Overall Survival (OS)
3.1.2. Progression Free Survival (PFS)
3.2. IHC Analysis
3.2.1. Overall Survival (OS)
- Group I: triple negative breast cancer (TNBC) (n = 39)
- Group II: hormonal receptors negative, Her 2/neu positive (n = 22)
- Group III: hormonal receptors positive, Her 2/neu negative (n = 68)
- Group IV: hormonal receptors positive, Her 2/neu positive (n = 14).
3.2.2. Progression Free Survival
4. Discussion
5. Conclusions
Author Contributions
Funding
Institutional Review Board Statement
Informed Consent Statement
Data Availability Statement
Acknowledgments
Conflicts of Interest
References
- Forouzanfar, M.H.; Foreman, K.J.; Delossantos, A.M.; Lozano, R.; Lopez, A.D.; Murray, C.J.L.; Naghavi, M. Breast and cervical cancer in 187 countries between 1980 and 2010: A systematic analysis. Lancet 2011, 378, 1461–1484. [Google Scholar] [CrossRef]
- Peto, R.; Davies, C.; Godwin, J.; Gray, R.; Pan, H.C.; Clarke, M.; Cutter, D.; Darby, S.; McGale, P.; Taylor, C.; et al. Comparisons between different polychemotherapy regimens for early breast cancer: Meta-analyses of long-term outcome among 100,000 women in 123 randomised trials. Lancet (London, England) 2012, 379, 432–444. [Google Scholar]
- Kohler, B.A.; Sherman, R.L.; Howlader, N.; Jemal, A.; Ryerson, A.B.; Henry, K.A.; Boscoe, F.P.; Cronin, K.A.; Lake, A.; Noone, A.-M.; et al. Annual Report to the Nation on the Status of Cancer, 1975–2011, Featuring Incidence of Breast Cancer Subtypes by Race/Ethnicity, Poverty, and State. J. Natl. Cancer Inst. 2015, 107. [Google Scholar] [CrossRef]
- Gasparini, G.; Pozza, F.; Harris, A.L. Evaluating the potential usefulness of new prognostic and predictive indicators in node-negative breast cancer patients. J. Natl. Cancer Inst. 1993, 85, 1206–1219. [Google Scholar] [CrossRef] [PubMed]
- Hayes, D.F.; Trock, B.; Harris, A.L. Assessing the clinical impact of prognostic factors: when is “statistically significant” clinically useful? Breast Cancer Res. Treat. 1998, 52, 305–319. [Google Scholar] [CrossRef]
- Niță, I.; Nițipir, C.; Toma Ș, A.; Limbău, A.M.; Pîrvu, E.; Bădărău, I.A.; Suciu, I.; Suciu, G.; Manolescu, L.S.C. Histological Aspects and Quantitative Assessment of Ki67 as Prognostic Factors in Breast Cancer Patients: Result from a Single-Center, Cross Sectional Study. Medicina (Kaunas) 2020, 56, 600. [Google Scholar] [CrossRef] [PubMed]
- Cardoso, F.; Senkus, E.; Costa, A.; Papadopoulos, E.; Aapro, M.; André, F.; Harbeck, N.; Lopez, B.A.; Barrios, C.; Bergh, J.; et al. 4th ESO–ESMO International Consensus Guidelines for Advanced Breast Cancer (ABC 4). Ann. Oncol. 2018, 29, 1634–1657. [Google Scholar] [CrossRef]
- Brodie, A.M.; Santen, R.J. Aromatase in breast cancer and the role of aminoglutethimide and other aromatase inhibitors. Crit. Rev. Oncol. 1986, 5, 361–396. [Google Scholar] [CrossRef]
- Collins, L.C.; Cole, K.S.; Marotti, J.D.; Hu, R.; Schnitt, S.J.; Tamimi, R.M. Androgen receptor expression in breast cancer in relation to molecular phenotype: Results from the Nurses’ Health Study. Mod. Pathol. 2011, 24, 924–931. [Google Scholar] [CrossRef]
- Salvi, S.; Bonafè, M.; Bravaccini, S. Androgen receptor in breast cancer: A wolf in sheep’s clothing? A lesson from prostate cancer. Semin. Cancer Biol. 2020, 60, 132–137. [Google Scholar] [CrossRef]
- Notas, G.; Pelekanou, V.; Castanas, E.; Kampa, M. Conjugated and non-conjugated androgens differentially modulate specific early gene transcription in breast cancer in a cell-specific manner. Steroids 2010, 75, 611–618. [Google Scholar] [CrossRef] [PubMed]
- Hu, D.G.; Selth, L.A.; Tarulli, G.A.; Meech, R.; Wijayakumara, D.; Chanawong, A.; Russell, R.; Caldas, C.; Robinson, J.L.; Carroll, J.S.; et al. Androgen and Estrogen Receptors in Breast Cancer Coregulate Human UDP-Glucuronosyltransferases 2B15 and 2B17. Cancer Res. 2016, 76, 5881–5893. [Google Scholar] [CrossRef]
- Liu, Y.-N.; Liu, Y.; Lee, H.-J.; Hsu, Y.-H.; Chen, J.-H. Activated Androgen Receptor Downregulates E-Cadherin Gene Expression and Promotes Tumor Metastasis. Mol. Cell. Biol. 2008, 28, 7096–7108. [Google Scholar] [CrossRef]
- Elebro, K.; Bendahl, P.-O.; Jernström, H.; Borgquist, S. Androgen receptor expression and breast cancer mortality in a population-based prospective cohort. Breast Cancer Res. Treat. 2017, 165, 645–657. [Google Scholar] [CrossRef] [PubMed]
- Bronte, G.; Bravaccini, S.; Ravaioli, S.; Puccetti, M.; Scarpi, E.; Andreis, D.; Tumedei, M.M.; Sarti, S.; Cecconetto, L.; Pietri, E.; et al. Androgen Receptor Expression in Breast Cancer: What Differences between Primary Tumor and Metastases? Transl. Oncol. 2018, 11, 950–956. [Google Scholar] [CrossRef]
- Laurent, E.; Begueret, H.; Bonhomme, B.; Veillon, R.; Thumerel, M.; Velasco, V.; Brouste, V.; Hoppe, S.; Fournier, M.; Grellety, T.; et al. SOX10, GATA3, GCDFP15, Androgen Receptor, and Mammaglobin for the Differential Diagnosis Between Triple-negative Breast Cancer and TTF1-negative Lung Adenocarcinoma. Am. J. Surg. Pathol. 2019, 43, 293–302. [Google Scholar] [CrossRef]
- Doane, A.S.; Danso, M.; Lal, P.; Donaton, M.; Zhang, L.; Hudis, C.; Gerald, W.L. An estrogen receptor-negative breast cancer subset characterized by a hormonally regulated transcriptional program and response to androgen. Oncogene 2006, 25, 3994–4008. [Google Scholar] [CrossRef]
- Majumder, A.; Singh, M.; Tyagi, S.C. Post-menopausal breast cancer: From estrogen to androgen receptor. Oncotarget 2017, 8, 102739–102758. [Google Scholar] [CrossRef] [PubMed]
- Cochrane, D.R.; Bernales, S.; Jacobsen, B.M.; Cittelly, D.M.; Howe, E.N.; D’Amato, N.C.; Spoelstra, N.S.; Edgerton, S.M.; Jean, A.; Guerrero, J.; et al. Role of the androgen receptor in breast cancer and preclinical analysis of enzalutamide. Breast Cancer Res. 2014, 16. [Google Scholar] [CrossRef] [PubMed]
- Ricciardelli, C.; Bianco-Miotto, T.; Jindal, S.; Butler, L.M.; Leung, S.; McNeil, C.M.; O’Toole, S.A.; Ebrahimie, E.; Millar, E.K.; Sakko, A.J.; et al. The Magnitude of Androgen Receptor Positivity in Breast Cancer Is Critical for Reliable Prediction of Disease Outcome. Clin. Cancer Res. 2018, 24, 2328–2341. [Google Scholar] [CrossRef] [PubMed]
- Moinfar, F.; Okcu, M.; Tsybrovskyy, O.; Regitnig, P.; Lax, S.F.; Weybora, W.; Ratschek, M.; Tavassoli, F.A.; Denk, H. Androgen receptors frequently are expressed in breast carcinomas: potential relevance to new therapeutic strategies. Cancer 2003, 98, 703–711. [Google Scholar] [CrossRef]
- Hu, R.; Dawood, S.; Holmes, M.D.; Collins, L.C.; Schnitt, S.J.; Cole, K.; Marotti, J.D.; Hankinson, S.E.; Colditz, G.A.; Tamimi, R.M. Androgen Receptor Expression and Breast Cancer Survival in Postmenopausal Women. Clin. Cancer Res. 2011, 17, 1867–1874. [Google Scholar] [CrossRef]
- Vera-Badillo, F.E.; Templeton, A.J.; De Gouveia, P.; Diaz-Padilla, I.; Bedard, P.L.; Al-Mubarak, M.; Seruga, B.; Tannock, I.F.; Ocana, A.; Amir, E. Androgen Receptor Expression and Outcomes in Early Breast Cancer: A Systematic Review and Meta-Analysis. J. Natl. Cancer Inst. 2014, 106, djt319. [Google Scholar] [CrossRef]
- Park, S.; Koo, J.S.; Kim, M.S.; Park, H.S.; Lee, J.S.; Kim, S.I.; Park, B.-W.; Lee, K.S. Androgen receptor expression is significantly associated with better outcomes in estrogen receptor-positive breast cancers. Ann. Oncol. 2011, 22, 1755–1762. [Google Scholar] [CrossRef]
- Lin Fde, M.; Pincerato, K.M.; Bacchi, C.E.; Baracat, E.C.; Carvalho, F.M. Coordinated expression of oestrogen and androgen receptors in HER2-positive breast carcinomas: Impact on proliferative activity. J. Clin. Pathol. 2012, 65, 64–68. [Google Scholar]
- Gucalp, A.; Tolaney, S.; Isakoff, S.J.; Ingle, J.N.; Liu, M.C.; Carey, L.A.; Blackwell, K.; Rugo, H.; Nabell, L.; Forero, A.; et al. Phase II Trial of Bicalutamide in Patients with Androgen Receptor–Positive, Estrogen Receptor–Negative Metastatic Breast Cancer. Clin. Cancer Res. 2013, 19, 5505–5512. [Google Scholar] [CrossRef]
- Bandini, E.; Fanini, F. MicroRNAs and Androgen Receptor: Emerging Players in Breast Cancer. Front. Genet. 2019, 10. [Google Scholar] [CrossRef]
- Krop, I.; Abramson, V.; Colleoni, M.; Traina, T.; Holmes, F.; Estevez, L.; Hart, L.; Awada, A.; Zamagni, C.; Morris, P.; et al. Abstract GS4-07: Results from a randomized placebo-controlled phase 2 trial evaluating exemestane ± enzalutamide in patients with hormone receptor–positive breast cancer. Cancer Research 2018, 78. [Google Scholar] [CrossRef]
- Bardia, A.; Gucalp, A.; Dacosta, N.; Gabrail, N.; Danso, M.; Ali, H.; Blackwell, K.L.; Carey, L.A.; Eisner, J.R.; Baskin-Bey, E.S.; et al. Phase 1 study of seviteronel, a selective CYP17 lyase and androgen receptor inhibitor, in women with estrogen receptor-positive or triple-negative breast cancer. Breast Cancer Res. Treat. 2018, 171, 111–120. [Google Scholar] [CrossRef] [PubMed]
- Traina, T.A.; Miller, K.; Yardley, D.A.; Eakle, J.; Schwartzberg, L.S.; O’Shaughnessy, J.; Gradishar, W.; Schmid, P.; Winer, E.; Kelly, C.; et al. Enzalutamide for the Treatment of Androgen Receptor–Expressing Triple-Negative Breast Cancer. J. Clin. Oncol. 2018, 36, 884–890. [Google Scholar] [CrossRef] [PubMed]
- Denk, H.; Krepler, R.; Artlieb, U.; Gabbiani, G.; Rungger-Brändle, E.; Leoncini, P.; Franke, W.W. Proteins of intermediate filaments. An immunohistochemical and biochemical approach to the classification of soft tissue tumors. Am. J. Pathol. 1983, 110, 193–208. [Google Scholar] [PubMed]
- Gabbiani, G.; Kapanci, Y.; Barazzone, P.; Franke, W.W. Immunochemical identification of intermediate-sized filaments in human neoplastic cells. A diagnostic aid for the surgical pathologist. Am. J. Pathol. 1981, 104, 206–216. [Google Scholar]
- Wolff, A.C.; Hammond, M.E.H.; Hicks, D.G.; Dowsett, M.; McShane, L.M.; Allison, K.H.; Allred, D.C.; Bartlett, J.M.; Bilous, M.; Fitzgibbons, P.; et al. Recommendations for Human Epidermal Growth Factor Receptor 2 Testing in Breast Cancer: American Society of Clinical Oncology/College of American Pathologists Clinical Practice Guideline Update. J. Clin. Oncol. 2013, 31, 3997–4013. [Google Scholar] [CrossRef]
- Tampa, M.; Mitran, C.I.; Mitran, M.I.; Nicolae, I.; Dumitru, A.; Matei, C.; Manolescu, L.; Popa, G.L.; Caruntu, C.; Georgescu, S.R. The Role of Beta HPV Types and HPV-Associated Inflammatory Processes in Cutaneous Squamous Cell Carcinoma. J. Immunol. Res. 2020, 2020, 1–10. [Google Scholar] [CrossRef]
- Manolescu, L.S.C.; Boeru, C.; Căruntu, C.; Dragomirescu, C.C.; Goldis, M.; Jugulete, G.; Marin, M.; Popa, G.L.; Preda, M.; Radu, M.C.; et al. A Romanian experience of syphilis in pregnancy and childbirth. Midwifery 2019, 78, 58–63. [Google Scholar] [CrossRef] [PubMed]
- Manolescu, L. Association of hepatitis B infection in patients with HIV Encephalopathy. Rom. Biotechnol. Lett. 2012, 17, 7817–7824. [Google Scholar]
- Kensler, K.H.; Beca, F.; Baker, G.M.; Heng, Y.J.; Beck, A.H.; Schnitt, S.J.; Hazra, A.; Rosner, B.A.; Eliassen, A.H.; Hankinson, S.E.; et al. Androgen receptor expression in normal breast tissue and subsequent breast cancer risk. NPJ Breast Cancer 2018, 4, 1–6. [Google Scholar] [CrossRef] [PubMed]
- Giudici, F.; Petracci, E.; Nanni, O.; Bottin, C.; Pinamonti, M.; Zanconati, F.; Scaggiante, B. Elevated levels of eEF1A2 protein expression in triple negative breast cancer relate with poor prognosis. PLoS ONE 2019, 14, e0218030. [Google Scholar]
- Uno, H.; Claggett, B.; Tian, L.; Inoue, E.; Gallo, P.; Miyata, T.; Schrag, D.; Takeuchi, M.; Uyama, Y.; Zhao, L.; et al. Moving Beyond the Hazard Ratio in Quantifying the Between-Group Difference in Survival Analysis. J. Clin. Oncol. 2014, 32, 2380–2385. [Google Scholar] [CrossRef]
- Stroescu, A.E.B.; Tanasescu, M.D.; Diaconescu, A.; Raducu, L.; Constantin, A.M.; Balan, D.G.; Tarmure, V.; Ionescu, D. Cardiovascular Comorbidities, Inflammation and Serum Albumin Levels in a Group of Hemodialysis Patients. Rev. Chim. 2018, 69, 926–929. [Google Scholar] [CrossRef]
- Raducu, L.; Cozma, C.N.; Balcangiu Stroescu, A.E.; Avino, A.; Tanasescu, M.D.; Balan, D.G.; Jecan, C.R. Our experience in chronic wounds care with polyurethane foam. Rev. Chim. 2018, 69, 585–586. [Google Scholar] [CrossRef]
- Stroescu, A.E.B.; Tanasescu, M.D.; Diaconescu, A.; Raducu, L.; Balan, D.G.; Mihai, A.; Tanase, M.; Stanescu, I.I.; Ionescu, D. Diabetic Nephropathy: A Concise Assessment of the Causes, Risk Factors and Implications in Diabetic Patients. Rev. Chim. 2018, 69, 3118–3121. [Google Scholar] [CrossRef]
- Manolescu, L.; Marinescu, P. Sex differences in HIV-1 viral load and absolute CD4 cell count in long term survivors HIV-1 infected patients from Giurgiu, Romania. Rev. Romana Med. Lab. 2013, 21. [Google Scholar] [CrossRef][Green Version]
- Lyman, G.H.; Michels, S.L.; Reynolds, M.W.; Barron, R.; Tomic, K.S.; Yu, J. Risk of mortality in patients with cancer who experience febrile neutropenia. Cancer 2010, 116, 5555–5563. [Google Scholar] [CrossRef] [PubMed]
- Dragomirescu, C.C.; Lixandru, B.E.; Coldea, I.L.; Corneli, O.N.; Pana, M.; Palade, A.M.; Cristea, V.C.; Suciu, I.; Suciu, G.; Manolescu, L.S.C.; et al. Antimicrobial Susceptibility Testing for Corynebacterium Species Isolated from Clinical Samples in Romania. Antibiotics 2020, 9, 31. [Google Scholar] [CrossRef]
- Kim, Y.; Jae, E.; Yoon, M. Influence of Androgen Receptor Expression on the Survival Outcomes in Breast Cancer: A Meta-Analysis. J. Breast Cancer 2015, 18, 134–142. [Google Scholar] [CrossRef]
- Qu, Q.; Mao, Y.; Fei, X.-C.; Shen, K.-W. The Impact of Androgen Receptor Expression on Breast Cancer Survival: A Retrospective Study and Meta-Analysis. PLoS ONE 2013, 8, e82650. [Google Scholar] [CrossRef]
- Safarpour, D.; Pakneshan, S.; Tavassoli, F. Androgen receptor (AR) expression in 400 breast carcinomas: Is routine AR assessment justified? Am. J. Cancer Res. 2014, 4, 353–368. [Google Scholar]
- Venema, C.M.; Mammatas, L.H.; Schröder, C.P.; Van Kruchten, M.; Apollonio, G.; Glaudemans, A.W.; Bongaerts, A.H.; Hoekstra, O.S.; Verheul, H.M.; Boven, E.; et al. Androgen and Estrogen Receptor Imaging in Metastatic Breast Cancer Patients as a Surrogate for Tissue Biopsies. J. Nucl. Med. 2017, 58, 1906–1912. [Google Scholar] [CrossRef]
- Voinea, O.C.; Corobea, A.B.; Ion, D.; Nica, A.; Sajin, M. Bilateral breast carcinoma—A study of patients admitted in a university emergency hospital. Arch. Balk. Med. Union 2018, 53, 336–342. [Google Scholar] [CrossRef][Green Version]
- Voinea, O.C.; Cîrstoiu, M.M.; Ion, D.; Sajin, M.; Dumitru, A.V.; Patrascu, O.M.; Jinga, D.-C.; Nica, A.E. Histology of Male Breast Lesions. Series of Cases and Literature Review. MAEDICA J. Clin. Med. 2018, 13, 196–201. [Google Scholar]
- Solomon, Z.J.; Mirabal, J.R.; Mazur, D.J.; Kohn, T.P.; Lipshultz, L.I.; Pastuszak, A.W. Selective Androgen Receptor Modulators: Current Knowledge and Clinical Applications. Sex. Med. Rev. 2019, 7, 84–94. [Google Scholar] [CrossRef] [PubMed]
- Anestis, A.; Zoi, I.; Papavassiliou, A.G.; Karamouzis, M.V. Androgen Receptor in Breast Cancer—Clinical and Preclinical Research Insights. Molecules 2020, 25, 358. [Google Scholar] [CrossRef] [PubMed]
- Dimitrakakis, C.; Zhou, J.; Bondy, C. Androgens and mammary growth and neoplasia. Fertil. Steril. 2002, 77, 26–33. [Google Scholar] [CrossRef]









| IHC | AR ≥ 1% | Range |
|---|---|---|
| TNBC (n = 39) | 31 (80%) | 15–90 |
| R (−), Her 2/ neu (+), n = 22 | 14 (63% | 10–100 |
| R (+), Her 2/neu (−), n = 68 | 34 (50%) | 10–30 |
| R (+), Her 2/neu (+), n = 14 | 10 (71%) | 15–90 |
| Predictor | Coefficient | p-Value | HR (CI 95%) |
|---|---|---|---|
| Androgen receptor | −0.002 | 0.7360 | 0.99 (0.98–1.01) |
| Strata | Events (%) | RMST OS | Median Survival OS (CI 95%) |
|---|---|---|---|
| AR+ | 6.09 | 35.50 | N/A |
| AR− | 16.39 | 33.40 | N/A |
| Strata | Events (%) | RMST PFS | Median Survival PFS (CI 95%) |
|---|---|---|---|
| AR+ | 19.51 | 32.60 | N/A |
| AR− | 31.14 | 30.50 | N/A |
| Scheme 95 | Events (%) | RMST OS | Median Survival OS (CI 95%) |
|---|---|---|---|
| TNBC | 20.51 | 32.30 | N/A |
| R (−) & HER 2 (+) | 9.09 | 35.20 | N/A |
| R (+) & HER 2 (−) | 7.35 | 35.40 | N/A |
| R (+) & HER 2 (+) | 0.00 | 36.00 | N/A |
Publisher’s Note: MDPI stays neutral with regard to jurisdictional claims in published maps and institutional affiliations. |
© 2021 by the authors. Licensee MDPI, Basel, Switzerland. This article is an open access article distributed under the terms and conditions of the Creative Commons Attribution (CC BY) license (http://creativecommons.org/licenses/by/4.0/).
Share and Cite
Niță, I.; Nițipir, C.; Toma, Ș.A.; Limbău, A.M.; Pîrvu, E.; Bădărău, I.A.; Suciu, I.; Suciu, G.; Manolescu, L.S.C. Correlation between Androgen Receptor Expression and Immunohistochemistry Type as Prognostic Factors in a Cohort of Breast Cancer Patients: Result from a Single-Center, Cross Sectional Study. Healthcare 2021, 9, 277. https://doi.org/10.3390/healthcare9030277
Niță I, Nițipir C, Toma ȘA, Limbău AM, Pîrvu E, Bădărău IA, Suciu I, Suciu G, Manolescu LSC. Correlation between Androgen Receptor Expression and Immunohistochemistry Type as Prognostic Factors in a Cohort of Breast Cancer Patients: Result from a Single-Center, Cross Sectional Study. Healthcare. 2021; 9(3):277. https://doi.org/10.3390/healthcare9030277
Chicago/Turabian StyleNiță, Irina, Cornelia Nițipir, Ștefania Andreea Toma, Alexandra Maria Limbău, Edvina Pîrvu, Ioana Anca Bădărău, Ioana Suciu, George Suciu, and Loredana Sabina Cornelia Manolescu. 2021. "Correlation between Androgen Receptor Expression and Immunohistochemistry Type as Prognostic Factors in a Cohort of Breast Cancer Patients: Result from a Single-Center, Cross Sectional Study" Healthcare 9, no. 3: 277. https://doi.org/10.3390/healthcare9030277
APA StyleNiță, I., Nițipir, C., Toma, Ș. A., Limbău, A. M., Pîrvu, E., Bădărău, I. A., Suciu, I., Suciu, G., & Manolescu, L. S. C. (2021). Correlation between Androgen Receptor Expression and Immunohistochemistry Type as Prognostic Factors in a Cohort of Breast Cancer Patients: Result from a Single-Center, Cross Sectional Study. Healthcare, 9(3), 277. https://doi.org/10.3390/healthcare9030277

