Periodontal Healing with Fixed Restorations Using the Biologically Oriented Preparation Technique Combined with a Full Digital Workflow: A Clinical Case Report
Abstract
1. Introduction
Description of the BOPT Technique
2. Materials and Methods
Clinical Sequence
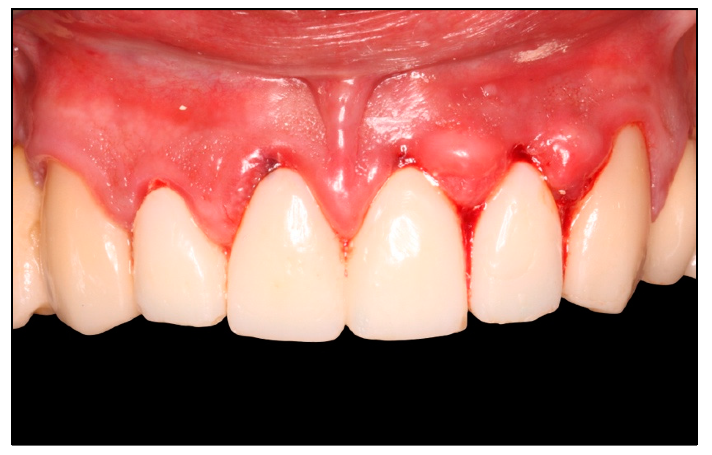
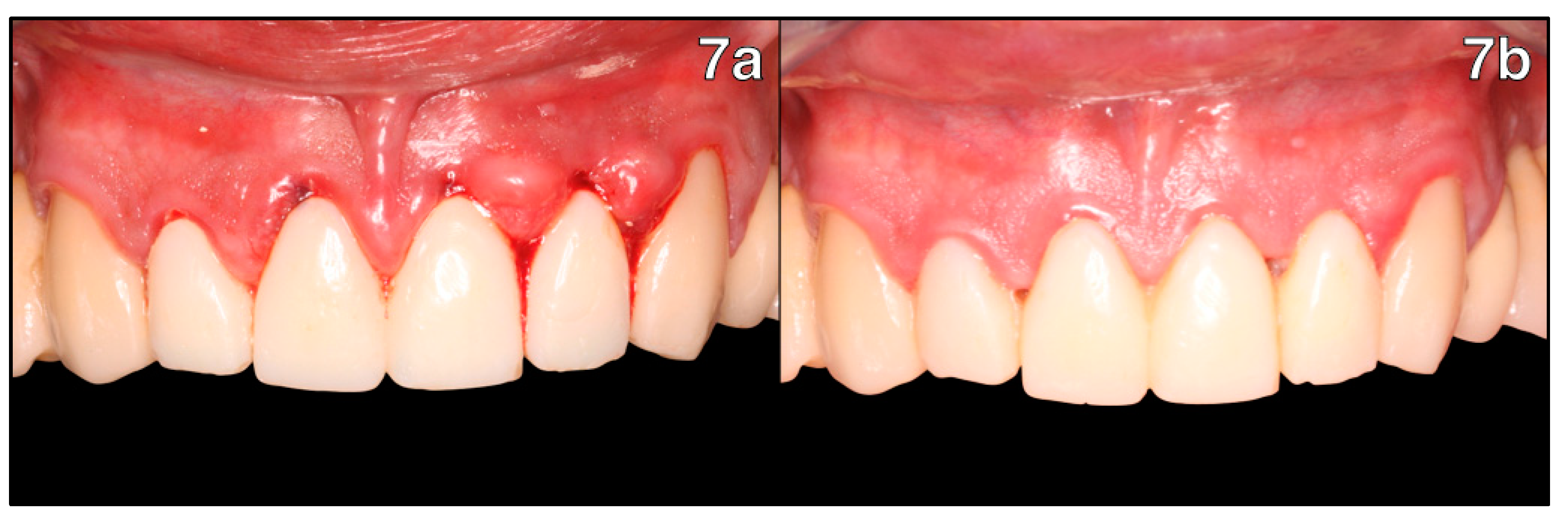
3. Results
4. Discussion
5. Conclusions
Author Contributions
Funding
Institutional Review Board Statement
Informed Consent Statement
Data Availability Statement
Conflicts of Interest
References
- Vaiderhaug, J. Periodontal condition and carious lesion following the insertion of fixed prosthesis: A 10-years follow-up study. Int. Dent. J. 1980, 30, 296–304. [Google Scholar]
- Loi, I.; Di Felice, A. Biologically oriented preparation technique (BOPT): A new approach for prosthetic restoration of periodontically healthy teeth. Eur. J. Esthet. Dent. 2013, 8, 10–23. [Google Scholar] [PubMed]
- Loi, I.; Scutellà, F.; Galli, F. Tecnica di preparazione orientata biologicamente (BOPT). Un nuovo approccio nella preparazione protesica in odontostomatologia. Quintessenza Internazionale 2008, 24, 69–75. [Google Scholar]
- Ahmad, I. Anterior dental aesthetics: Gingival perspective. Br. Dent. J. 2005, 199, 195–202. [Google Scholar] [CrossRef] [PubMed]
- Jepsen, S.; Caton, J.G.; Albandar, J.M.; Bissada, N.F.; Bouchard, P.; Cortellini, P.; Demirel, K.; de Sanctis, M.; Ercoli, C.; Fan, J.; et al. Periodontal manifestations of systemic diseases and developmental and acquired conditions: Consensus report of workgroup 3 of the 2017 World Workshop on the Classification of Periodontal and Peri-Implant Diseases and Conditions. J. Periodontol. 2018, 89, S237–S248. [Google Scholar] [CrossRef] [PubMed]
- Gargiulo, A.W.; Wentz, F.M.; Orban, B. Dimensions and Relations of the Dentogingival Junction in Humans. J. Periodontol. 1961, 32, 261–267. [Google Scholar] [CrossRef]
- Ingber, S.J.; Rose, F.L.; Caslet, G.J. The biological width—A concept in periodontics and restorative dentistry. Alpha Omegan 1977, 70, 62–65. [Google Scholar]
- de Oliveira, D.W.D.; Maravilha, M.N.P.; dos Anjos, T.N.; Gonçalves, P.F.; Flecha, O.D.; Tavano, K. Clinical and Radiographic Evaluation of the Periodontium with Biologic Width Invasion by Overextending Restoration Margins—A Pilot Study. J. Int. Acad. Periodontol. 2015, 17, 116–122. [Google Scholar]
- Rodríguez, X.; Vela, X.; Segalà, M.; Pérez, J.; Pons, L.; Loi, I. Examen histológico humano de la respuesta de los tejidos al tallado vertical y provisionalización inmediata (BOPT). Fundam. Biológico. Periodoncia Clínica 2019, 12, 46–58. [Google Scholar]
- Orejas-Perez, J.; Gimenez-Gonzalez, B.; Ortiz-Collado, I.; Thuissard, I.J.; Santamaria-Laorden, A. In Vivo Complete-Arch Implant Digital Impressions: Comparison of the Precision of Three Optical Impression Systems. Int. J. Environ. Res. Public Health 2022, 19, 4300. [Google Scholar] [CrossRef] [PubMed]
- Kim, R.J.Y.; Park, J.M.; Shim, J.S. Accuracy of 9 intraoral scanners for complete-arch image acquisition: A qualitative and quantitative evaluation. J. Prosthet. Dent. 2018, 120, 895–903.e1. [Google Scholar] [CrossRef] [PubMed]
- Aimetti, M.; Romano, F.; Peccolo, D.C.; Debernardi, C. Non-Surgical Periodontal Therapy of Shallow Gingival Recession Defects: Evaluation of the Restorative Capacity of Marginal Gingiva after 12 Months. J. Periodontol. 2005, 76, 256–261. [Google Scholar] [CrossRef] [PubMed]
- Peris, H.; Godoy, L.; Cogolludo, P.G.; Ferreiroa, A. Ceramic veneers on central incisors without finish line using bopt in a case with gingival asymmetry. J. Clin. Exp. Dent. 2019, 11, 577–581. [Google Scholar] [CrossRef] [PubMed]
- Vehkalahti, M. Occurrence of gingival recession in adults. J. Periodontol. 1989, 60, 599–603. [Google Scholar] [CrossRef] [PubMed]
- Wikesjo, U.M.E.; Selvig, K. Periodontal wound healing and regeneration. Periodontol. 2000 1999, 19, 21–39. [Google Scholar] [CrossRef] [PubMed]
- Stern, I.B. Current Concepts of the Dentogingival Junction: The Epithelial and Connective Tissue Attachments to the Tooth. J. Periodontol. 1981, 52, 465–476. [Google Scholar] [CrossRef] [PubMed]
- Agustín-Panadero, R.; Solá-Ruíz, M.F.; Chust, C.; Ferreiroa, A. Fixed dental prostheses with vertical tooth preparations without finish lines: A report of two patients. J. Prosthet. Dent. 2016, 115, 520–526. [Google Scholar] [CrossRef] [PubMed]
- Paniz, G.; Nart, J.; Gobbato, L.; Mazzocco, F.; Stellini, E.; De Simone, G.; Bressan, E. Clinical Periodontal Response to Anterior All-Ceramic Crowns with Either Chamfer or Feather-edge Subgingival Tooth Preparations: Six-Month Results and Patient Perception. Int. J. Periodontics Restor. Dent. 2017, 37, 61–68. [Google Scholar] [CrossRef] [PubMed]
- Peláez, J.; Cogolludo, P.G.; Serrano, B.; Lozano, J.F.L.; Suárez, M.J. A prospective evaluation of zirconia posterior fixed dental prostheses: Three-year clinical results. J. Prosthet. Dent. 2012, 107, 373–379. [Google Scholar] [CrossRef] [PubMed]
- Agustín-Panadero, R.; Serra-Pastor, B.; Fons-Font, A.; Solá-Ruíz, M.F. Prospective clinical study of zirconia full-coverage restorations on teeth prepared with biologically oriented preparation technique on gingival health: Results after two-year follow-up. Oper. Dent. 2018, 43, 482–487. [Google Scholar] [CrossRef] [PubMed]










Disclaimer/Publisher’s Note: The statements, opinions and data contained in all publications are solely those of the individual author(s) and contributor(s) and not of MDPI and/or the editor(s). MDPI and/or the editor(s) disclaim responsibility for any injury to people or property resulting from any ideas, methods, instructions or products referred to in the content. |
© 2023 by the authors. Licensee MDPI, Basel, Switzerland. This article is an open access article distributed under the terms and conditions of the Creative Commons Attribution (CC BY) license (https://creativecommons.org/licenses/by/4.0/).
Share and Cite
Rinaldi, T.; Santamaría-Laorden, A.; Orejas Pérez, J.; Godoy Ruíz, L.; Serrano Granger, C.; Gómez Cogolludo, P. Periodontal Healing with Fixed Restorations Using the Biologically Oriented Preparation Technique Combined with a Full Digital Workflow: A Clinical Case Report. Healthcare 2023, 11, 1144. https://doi.org/10.3390/healthcare11081144
Rinaldi T, Santamaría-Laorden A, Orejas Pérez J, Godoy Ruíz L, Serrano Granger C, Gómez Cogolludo P. Periodontal Healing with Fixed Restorations Using the Biologically Oriented Preparation Technique Combined with a Full Digital Workflow: A Clinical Case Report. Healthcare. 2023; 11(8):1144. https://doi.org/10.3390/healthcare11081144
Chicago/Turabian StyleRinaldi, Tommaso, Andrea Santamaría-Laorden, Jaime Orejas Pérez, Laura Godoy Ruíz, Carlos Serrano Granger, and Pablo Gómez Cogolludo. 2023. "Periodontal Healing with Fixed Restorations Using the Biologically Oriented Preparation Technique Combined with a Full Digital Workflow: A Clinical Case Report" Healthcare 11, no. 8: 1144. https://doi.org/10.3390/healthcare11081144
APA StyleRinaldi, T., Santamaría-Laorden, A., Orejas Pérez, J., Godoy Ruíz, L., Serrano Granger, C., & Gómez Cogolludo, P. (2023). Periodontal Healing with Fixed Restorations Using the Biologically Oriented Preparation Technique Combined with a Full Digital Workflow: A Clinical Case Report. Healthcare, 11(8), 1144. https://doi.org/10.3390/healthcare11081144

