Sign in to use this feature.

Years

Between: -

Subjects

remove_circle_outline
remove_circle_outline
remove_circle_outline
remove_circle_outline
remove_circle_outline
remove_circle_outline
remove_circle_outline

Journals

Article Types

Countries / Regions

Search Results (19)

Search Parameters:
Keywords = BOPT

Order results
Result details
Results per page
Select all
Export citation of selected articles as:
11 pages, 594 KB  
Review
Influence of Marginal Tooth Preparation Designs on Periodontal Health and Long-Term Stability: A Narrative Review
by Tareq Hajaj, Mihai Rominu, George Dumitru Constantin, Maria Dobos and Ioana Veja
J. Clin. Med. 2025, 14(19), 7038; https://doi.org/10.3390/jcm14197038 - 4 Oct 2025
Abstract
Background: Tooth preparation design strongly influences the long-term success of fixed prosthodontic restorations, affecting periodontal stability and esthetic outcomes. Conventional horizontal designs such as chamfer and shoulder remain widely used but present biological and technical limitations. The Biologically Oriented Preparation Technique (BOPT), [...] Read more.
Background: Tooth preparation design strongly influences the long-term success of fixed prosthodontic restorations, affecting periodontal stability and esthetic outcomes. Conventional horizontal designs such as chamfer and shoulder remain widely used but present biological and technical limitations. The Biologically Oriented Preparation Technique (BOPT), a vertical approach, has been proposed as an alternative. Methods: This narrative review synthesizes evidence from clinical trials, histological investigations, and systematic reviews, comparing horizontal preparations with BOPT with emphasis on periodontal parameters and the role of digital workflows. Results: Horizontal designs provide predictable outcomes but may predispose to inflammation and marginal instability, especially with subgingival margins. BOPT has been associated with greater gingival thickness, stable probing depths, and favorable esthetic results, with prospective studies reporting stability for up to 10 years. Integration with CAD/CAM workflows appears to enhance precision and reproducibility. Conclusions: BOPT shows promising periodontal and esthetic benefits, particularly in thin gingival biotypes and esthetically demanding cases. However, current evidence is limited, and the available studies do not allow firm conclusions about superiority over conventional designs. Further randomized controlled trials with large cohorts and long-term follow-up are required before definitive clinical recommendations can be made. Full article
(This article belongs to the Special Issue Dentistry and Oral Surgery: Current Status and Future Prospects)
13 pages, 5617 KB  
Case Report
Rehabilitation of a Wide Buccal Recession Using a Combination of Adhesive Prosthetic Procedures and Transmucosal Convergent Neck Implant to Replace a Lower Fractured Canine: Case Report with 6 Years Follow-Up
by Carlo Prati, Andrea Spinelli, Maria Giovanna Gandolfi and Fausto Zamparini
Prosthesis 2025, 7(5), 117; https://doi.org/10.3390/prosthesis7050117 - 10 Sep 2025
Viewed by 294
Abstract
Objectives: The presence of gingival buccal recession is a frequent problem especially in the canine area. The cortical buccal bone may be absent in presence of health normal lingual/palatal bone and of other periodontal pockets. The present case report describes a minimally invasive [...] Read more.
Objectives: The presence of gingival buccal recession is a frequent problem especially in the canine area. The cortical buccal bone may be absent in presence of health normal lingual/palatal bone and of other periodontal pockets. The present case report describes a minimally invasive approach in a 76-year-old patient with previously endodontically treated lower canine affected by root fracture and by a serious chronic buccal recession. Methods: The tooth was characterized by a deep vestibular bone defect, lack of buccal bone and acute periapical lesion. After extraction, Maryland bridge was positioned on the edentulous area. A two-piece convergent neck transmucosal implant was inserted with a flapless approach after 6 months. Maryland bridge was left in place for additional 3 months. After this time, digital impressions were taken, and a customized abutment was positioned. A provisional crown was designed according to Biologically Oriented Preparation Technique (BOPT) concept and maintained for 6 months. A zirconia definitive crown was digitally designed and cemented with a polycarboxylate-based cement. The Pink Esthetic Score (PES) was used as an index to assess peri-implant soft tissue stability over time (preoperatively, at 9 months, at 12 months and 72 months). Results: The patient was followed for 6 years under a conventional hygienic recall program. No complications occurred, and the PES improved from 4 preoperatively to 8 at 9 months, 10 at 12 months and 13 at 72 months. Conclusions: The use of Maryland bridge prevented occlusal trauma on healing tissues and appeared to support bone and soft tissue healing for transmucosal implant placement. A stable aesthetic rehabilitation was achieved up to 6 years. Full article
Show Figures

Figure 1

14 pages, 6112 KB  
Article
Polytetrafluoroethylene Isolation of the Periodontal Sulcus for Cementation of Full Veneer Restorations Using a Biologically Oriented Preparation Technique (BOPT): An In Vitro Study
by José Félix Mañes, Federica Tripodi, Jorge Alonso Pérez-Barquero, Blanca Serra-Pastor, Ana Roig-Vanaclocha, Jesús Maneiro-Lojo, Ignazio Loi and Rubén Agustín-Panadero
J. Clin. Med. 2025, 14(15), 5305; https://doi.org/10.3390/jcm14155305 - 27 Jul 2025
Viewed by 591
Abstract
Background: Prosthetic cementation using the biologically oriented preparation technique (BOPT) presents challenges in removing excess cement from the gingival sulcus, due to the absence of a finishing line and the impossibility of using absolute isolation with a rubber dam. This study aimed to [...] Read more.
Background: Prosthetic cementation using the biologically oriented preparation technique (BOPT) presents challenges in removing excess cement from the gingival sulcus, due to the absence of a finishing line and the impossibility of using absolute isolation with a rubber dam. This study aimed to evaluate the effectiveness of relative isolation using polytetrafluoroethylene (PTFE) tape in reducing cement retention during BOPT cementation. Methods: Fifteen 3D-printed resin models were created from an intraoral scan of a patient restored with BOPT in both upper central incisors. Each model included removable gingiva. Splinted polymethylmethacrylate (PMMA) provisional crowns were fabricated and cemented with temporary cement. One central incisor was isolated with PTFE (0.1 mm or 0.2 mm), while the contralateral tooth was left unisolated as a control. After debonding, digital scanning and volumetric analysis using root mean square (RMS) deviation were performed to quantify retained cement. Paired t-tests were applied to compare groups. Results: The mean RMS for the PTFE group was 0.1248 ± 0.0519 mm, compared to 0.1973 ± 0.0361 mm in the non-isolated group (p < 0.001). No significant difference was found between PTFE thicknesses of 0.1 mm and 0.2 mm (p = 0.388). Conclusions: PTFE tape is effective for relative isolation when rubber dam placement is not feasible in BOPT restorations. Further clinical studies are recommended to confirm these findings in vivo. Full article
(This article belongs to the Special Issue Clinical Updates on Prosthodontics)
Show Figures

Figure 1

13 pages, 8971 KB  
Case Report
The Role of Digital Workflow in Creating a New, Esthetic and Functional Smile in a Periodontally Compromised Patient: A Case Report
by Carlotta Cacciò, Marco Tallarico, Aurea Immacolata Lumbau, Francesco Mattia Ceruso and Milena Pisano
Reports 2025, 8(3), 105; https://doi.org/10.3390/reports8030105 - 8 Jul 2025
Viewed by 743
Abstract
Background and Clinical Significance: Prosthetic rehabilitation in the aesthetic zone of periodontally compromised patients presents a complex clinical challenge, requiring a careful coordination of aesthetic, functional, and biological demands. This case highlights the benefits of digital dentistry, interdisciplinary collaboration, and regular maintenance in [...] Read more.
Background and Clinical Significance: Prosthetic rehabilitation in the aesthetic zone of periodontally compromised patients presents a complex clinical challenge, requiring a careful coordination of aesthetic, functional, and biological demands. This case highlights the benefits of digital dentistry, interdisciplinary collaboration, and regular maintenance in achieving long-term success in complex rehabilitations of periodontally compromised patients. Case Presentation: This case report describes the digital minimally invasive rehabilitation of a 39-year-old male patient with Stage III periodontitis, occlusal discrepancies, tooth mobility, and an interincisal diastema. A fully digital workflow—including intraoral scanning, aesthetic previewing, and mandibular motion analysis—was employed to guide diagnosis, treatment planning, and prosthetic execution. Conservative tooth preparations using a biologically oriented approach (BOPT) were combined with customised provisional restorations to support soft tissue conditioning and functional control throughout the provisional phases. Mandibular motion tracking facilitated the design of a personalised anterior guidance to improve occlusion and correct the deep bite. The interincisal diastema was initially maintained then closed during the advanced phase of treatment based on aesthetic simulations and patient preference. One unplanned endodontic treatment was required during the provisional phase, but no other complications occurred. Conclusions: At the four-year follow-up, the patient demonstrated stable periodontal and occlusal conditions, improved clinical indices, and high satisfaction with the aesthetic outcome. Full article
(This article belongs to the Section Dentistry/Oral Medicine)
Show Figures

Figure 1

24 pages, 34320 KB  
Case Report
A 10-Year Follow-Up of an Approach to Restore a Case of Extreme Erosive Tooth Wear
by Davide Foschi, Andrea Abate, Francesca Vailati, Ignazio Loi, Cinzia Maspero and Valentina Lanteri
Dent. J. 2025, 13(6), 259; https://doi.org/10.3390/dj13060259 - 10 Jun 2025
Viewed by 2031
Abstract
Background: In recent years, thanks to the improvement of adhesive techniques, patients affected by tooth wear, related to erosion and/or parafunctional habits, can undergo restoration by adding only what has been lost of their dentition (additive approach). However, since not all clinicians are [...] Read more.
Background: In recent years, thanks to the improvement of adhesive techniques, patients affected by tooth wear, related to erosion and/or parafunctional habits, can undergo restoration by adding only what has been lost of their dentition (additive approach). However, since not all clinicians are convinced that dental rehabilitation should be proposed in the early stages of exposed dentin, several treatments are often postponed. It is important to emphasize that, in the early stages, the clinical approach should remain conservative, focusing on dietary counseling, the modification of harmful habits, fluoride application, and risk factor management. Only when these preventive and non-invasive strategies prove insufficient, and the condition continues to progress, should invasive restorative treatments be considered. Unfortunately, epidemiological studies are reporting an increase in the number of young patients affected by erosive tooth wear, and not intercepting these cases earlier could lead to a severe degradation of the affected dentition. In addition, parafunctional habits are also becoming more frequent among patients. The combination of erosion and attrition can be very destructive, and may progress rapidly once dentin is exposed and the risk factors remain unaddressed. The aim of this report was to present a conservative full-mouth rehabilitation approach for severe erosive lesions and to provide a 10-year follow-up assessing the biological, functional, and esthetic outcomes. Methods: In this article, the postponed restorative treatment of a patient, suffering from severe tooth wear, is illustrated. The patient had sought dental treatment in the past; however, due to the already very compromised dentition, a conventional but very aggressive treatment was proposed and refused. Four years later, when the patient finally accepted an alternative conservative therapy, the tooth degradation was very severe, especially at the level of the maxillary anterior teeth. The combination of three different approaches, Speed-Up Therapy, BOPT (Biologically-Oriented Preparation Technique), and the 3 Step Technique, however, improved the capacity to successfully complete the difficult therapeutic task. Results: The biological goals (maintenance of the pulp vitality of all of the teeth and the minimal removal of healthy tooth structure) were accomplished, relying only on adhesive techniques. Conclusions: The overall treatment was very comfortable for the patient and less complicated for the clinician. At 10-year follow-up, biological, functional, and esthetic success was still confirmed. Full article
Show Figures

Figure 1

13 pages, 2228 KB  
Opinion
Identifying Key Factors in Papilla Growth Around Implants: Focus on Intraoral Negative Pressure
by Daniele Botticelli, Ivo Agabiti, Rihito Yamada, Nozomi Maniwa, Karol Alí Apaza Alccayhuaman and Yasushi Nakajima
Dent. J. 2025, 13(3), 124; https://doi.org/10.3390/dj13030124 - 13 Mar 2025
Viewed by 2244
Abstract
The absence of interdental papillae in dental prosthetics often leads to unsatisfactory esthetic outcomes, such as black triangles and elongated clinical crowns. While previous research has demonstrated that papillae can regenerate in a coronal direction, the underlying mechanisms remain incompletely understood. Several theories [...] Read more.
The absence of interdental papillae in dental prosthetics often leads to unsatisfactory esthetic outcomes, such as black triangles and elongated clinical crowns. While previous research has demonstrated that papillae can regenerate in a coronal direction, the underlying mechanisms remain incompletely understood. Several theories have been proposed to explain this phenomenon, but no clear cause–effect relationship has been established among the various factors involved in spontaneous papilla growth around implants. This study aims to identify and classify the factors influencing this process. Various potential contributors were analyzed, including adjacent elements, buccal–lingual papilla width, contact point position, convergent neck design, crown overcontour, intraoral negative pressure, and others. To systematically organize these factors, a modified Overton Window and a mind map were employed. The factors were categorized as cause-related, essential, or influencing based on the collective opinion of the research group following a comprehensive review of the relevant literature. In the absence of clear evidence supporting a definitive cause–effect relationship, Occam’s Razor (the principle of parsimony) was applied to identify the most plausible cause-related factors. Full article
(This article belongs to the Special Issue Dentistry in the 21st Century: Challenges and Opportunities)
Show Figures

Figure 1

18 pages, 2711 KB  
Review
10 Years of Convergent Neck Implants: A Systematic Review of Clinical Outcomes, Initial Original Concepts, and Changes in Surgical and Prosthetic Protocols
by Fausto Zamparini, Andrea Spinelli, Maria Giovanna Gandolfi and Carlo Prati
Appl. Sci. 2024, 14(17), 7568; https://doi.org/10.3390/app14177568 - 27 Aug 2024
Cited by 1 | Viewed by 2164
Abstract
The study reviewed the state of the art of the clinical use of a convergent-neck-designed Prama implant. This implant was introduced approximately 10 years ago and was characterized by a specific and unique convergent neck with a microtextured surface (UTM surface) and Zirconium [...] Read more.
The study reviewed the state of the art of the clinical use of a convergent-neck-designed Prama implant. This implant was introduced approximately 10 years ago and was characterized by a specific and unique convergent neck with a microtextured surface (UTM surface) and Zirconium Titanium (ZirTi) implant body surface. The neck design was developed to adopt the biologically oriented preparation technique (BOPT). A critical analysis of the published clinical studies and an evaluation of the adopted clinical protocols were performed. A total of forty-six articles were eligible to be reviewed. Only sixteen clinical studies reported clinical outcomes on Prama implants, and nine of these were selected having the longest follow-up from different research groups. The clinical follow-up/duration of the studies ranged from 12 months to 6 years. The initially proposed protocols explored neck supracrestal–transmucosal placement and gained interest due to its minimally invasive concept and the ability to proceed without a pre-prosthesis second surgery. The following investigations dedicated attention to the subcrestal or equicrestal implant placement with the conventional flap approach. The clinical studies characterized by the transmucosal exposed neck approach reported high survival rates with a stable bone morphology and reduced bone loss during the follow-up. Further recent implementations included the introduction of different convergent neck heights that need to be evaluated. The use of intraoral scanner technologies and digital workflow resulted in a simpler methodology with control of the marginal crown morphology. The studies support the concept that the hard tissue parameters (such as marginal bone level, MBL) and soft tissue parameters (such as pink esthetic score, PES) were stable or improved during the follow-up. Definitive crowns, designed with low invasiveness for soft tissues, were possible thanks to the morphology of the neck. The clinical studies support the use of the Prama implant with the different neck positions, demonstrating hard tissue preservation and optimal esthetic results in the first years following insertion. However, the current body of evidence is not robust enough to draw definitive conclusions, especially in the long term, and further high-quality research (long-term randomized trials) is required to consolidate these early observations. Full article
Show Figures

Figure 1

11 pages, 59241 KB  
Hypothesis
An Enigmatic Soft-Tissue Creeping Phenomenon: The Spontaneous Peri-Implant Mucosa Margin and Papilla Growth, Part Two—A Scientifically Supported Hypothesis Article
by Ivo Agabiti, Karol Alí Apaza Alccayhuaman, Zenzaburo Taniguchi, Kazuhisa Kuwano and Daniele Botticelli
Dent. J. 2024, 12(7), 216; https://doi.org/10.3390/dj12070216 - 12 Jul 2024
Cited by 2 | Viewed by 1958
Abstract
In our previous article, we observed and measured a spontaneous growth in the coronal direction of the keratinized tissues present around implants. This growth involved both free margins and interdental papillae, and we indicated our hypothesis on the probable cause of this still-unexplained [...] Read more.
In our previous article, we observed and measured a spontaneous growth in the coronal direction of the keratinized tissues present around implants. This growth involved both free margins and interdental papillae, and we indicated our hypothesis on the probable cause of this still-unexplained phenomenon. The growth of oral soft tissues involves several other structures, such as the linea alba and tongue indentation. Our idea holds that growth of these tissues is generated by the negative intraoral pressure created in the oral phase of swallowing and the subsequent resting position, which through the resulting suction causes a shift of these soft structures in the gaps around the dental crowns. Other hypotheses have been suggested in the past to understand this phenomenon of soft tissue growth, which still lacks data supporting etiological evidence. The purpose of this article is to thoroughly analyze and verify our model by comparing the clinical observations with citations and examples from the literature, combined with notions of physiology, biology, and physics that help in clarifying these events. To better explain the mechanisms of oral soft tissue growth, photographs of clinical cases paradigmatic of the phenomenon are shown. Full article
(This article belongs to the Special Issue Advances in Periodontal and Peri-Implant Tissues Health Management)
Show Figures

Figure 1

10 pages, 3207 KB  
Case Report
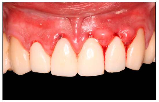
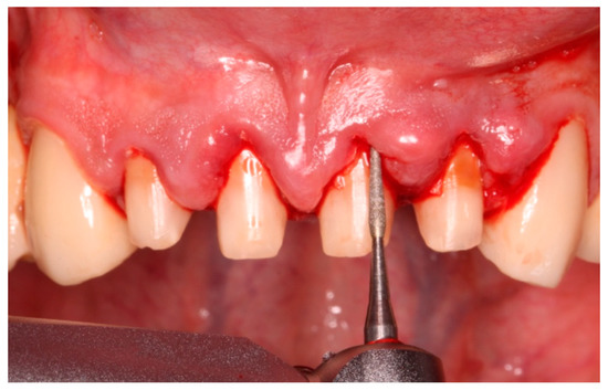
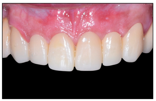
Periodontal Healing with Fixed Restorations Using the Biologically Oriented Preparation Technique Combined with a Full Digital Workflow: A Clinical Case Report
by Tommaso Rinaldi, Andrea Santamaría-Laorden, Jaime Orejas Pérez, Laura Godoy Ruíz, Carlos Serrano Granger and Pablo Gómez Cogolludo
Healthcare 2023, 11(8), 1144; https://doi.org/10.3390/healthcare11081144 - 16 Apr 2023
Cited by 6 | Viewed by 3937
Abstract
(1) Gingival inflammation is an ongoing challenge in tooth-supported fixed restorations, especially when the prosthetic margin does not consider the supracrestal tissues of patients. This case report aimed to present the case of a patient who was periodontally compromised due to a previous [...] Read more.
(1) Gingival inflammation is an ongoing challenge in tooth-supported fixed restorations, especially when the prosthetic margin does not consider the supracrestal tissues of patients. This case report aimed to present the case of a patient who was periodontally compromised due to a previous invasion of the supracrestal tissue attachment with fixed restorations and evaluate the healing response of periodontal tissues to a vertical edgeless preparation technique: bleeding upon probing (BOP), periodontal probing depth (PPD) and clinical attachment level (CAL). (2) After tooth preparation, the new restorations were adapted, this time without invading the supracrestal space of the patient, and CAD/CAM monolithic zirconia crowns were fabricated. (3) Optimal maturation of the soft tissue was observed, achieving correction of the marginal contour of periodontal tissues and improvement of periodontal indexes. (4) It can be concluded that the BOPT technique combined with a full digital workflow is a valid option for the correction and remodeling of gingival architecture. Full article
Show Figures

Figure 1

10 pages, 1031 KB  
Article
The Influence of the Thickness of the Materials for the Provisionalization in Minimally Invasive Restorations
by Ildefonso Serrano-Belmonte, Nerea Roca-Cánovas, Eva K. Linares-Tovar, Ascensión Martínez-Cánovas and Virginia Pérez-Fernández
Materials 2022, 15(20), 7238; https://doi.org/10.3390/ma15207238 - 17 Oct 2022
Cited by 2 | Viewed by 1725
Abstract
This in vitro study aimed to determine the flexural strength and modulus of elasticity of two bisacrylic resins for temporary crowns at different thicknesses, i.e., Structur 3 and Structur Premium, and to compare them with each other. Sixty samples were prepared, thirty of [...] Read more.
This in vitro study aimed to determine the flexural strength and modulus of elasticity of two bisacrylic resins for temporary crowns at different thicknesses, i.e., Structur 3 and Structur Premium, and to compare them with each other. Sixty samples were prepared, thirty of each material, which were made at different thicknesses (1 mm, 1.5 mm, and 2 mm). The dimensions followed the UNE-EN ISO 178:2019 standard, with a length of 24 mm, a width of 10 mm, and the thicknesses described. Materials were subjected to a three-point bending test. For the modulus of elasticity, statistically significant differences were observed between the 1.5 mm and 2 mm thicknesses of Structur 3 material. For Structur Premium, statistically significant differences were observed between the thicknesses 1 mm and 1.5 mm as well as between 1 mm and 2 mm thickness. With respect to flexural strength, no statistically significant differences were observed for either material at the different thicknesses. Significant differences were observed between the materials for both flexural strength and modulus of elasticity, being higher for Structur Premium: Structur Premium has a higher flexural strength and modulus of elasticity than Structur 3. There are significant differences for the modulus of elasticity but not for the flexural strength between thicknesses. Full article
(This article belongs to the Section Biomaterials)
Show Figures

Figure 1

13 pages, 7745 KB  
Article
Clinical Behavior of the Gingival Margin following Conservative “Coronally Dynamic” Restorations in the Presence of Non-Carious Cervical Lesions Associated with Gingival Recession: A Pilot Study
by Felice Femiano, Rossella Sorice, Rossella Femiano, Luigi Femiano, Ludovica Nucci, Vincenzo Grassia, Marco Annunziata, Andrea Baldi, Nicola Scotti and Livia Nastri
Dent. J. 2022, 10(7), 132; https://doi.org/10.3390/dj10070132 - 13 Jul 2022
Cited by 6 | Viewed by 5465
Abstract
Gingival recessions (GR) are often associated with the presence of non-carious cervical lesions (NCCL). The latter result in the disappearance of the cement–enamel junction (CEJ), with consequent difficulties both in measuring the recession itself and in performing root coverage techniques. The restoration of [...] Read more.
Gingival recessions (GR) are often associated with the presence of non-carious cervical lesions (NCCL). The latter result in the disappearance of the cement–enamel junction (CEJ), with consequent difficulties both in measuring the recession itself and in performing root coverage techniques. The restoration of cervical lesions is consequently an important aspect in the treatment of GR, with the re-establishment of a “new” CEJ. This pilot study aimed to verify whether restorative therapy alone, with the execution of a restoration that mimics the convexity of the natural CEJ and thanks to a slight horizontal over-contour, can stabilize a clot in the intrasulcular site and consequently is able to change the position of the gingival margin in a coronal direction. In periodontally healthy patients, with a non-thin gingival phenotype, 10 GR-associated NCCL restorations were performed using a protocol inspired by concepts of prosthetic conditioning, with a progressively reduced convexity (“coronally dynamic restoration”) and de-epithelialization of the gingival sulcus. We observed that 70% of the treated teeth showed a reduction in crown length after 15 days (−0.267 mm), without an increase in probing depth. While considering the limitations of the sample and the need to evaluate the different parameters that can affect the result, the coronally dynamic restoration of NCCL with GR was able to influence the position of the gingival margin in a coronal direction. Full article
(This article belongs to the Special Issue Dentinal Hypersensitivity)
Show Figures

Figure 1

11 pages, 3407 KB  
Communication
Effect of Biologically Oriented Preparation Technique on the Stress Concentration of Endodontically Treated Upper Central Incisor Restored with Zirconia Crown: 3D-FEA
by Luigi Giovanni Bernardo Sichi, Fernanda Zapater Pierre, Laura Viviana Calvache Arcila, Guilherme Schmitt de Andrade, João Paulo Mendes Tribst, Pietro Ausiello, Alessandro Espedito di Lauro and Alexandre Luiz Souto Borges
Molecules 2021, 26(20), 6113; https://doi.org/10.3390/molecules26206113 - 10 Oct 2021
Cited by 18 | Viewed by 4689
Abstract
The aim of this study was to evaluate the effect of biologically oriented preparation technique on the stress concentration of endodontically treated upper central incisors restored with zirconia crown (yttria-stabilized zirconia polycrystalline ceramic) through finite element analysis (FEA). Four models of maxillary central [...] Read more.
The aim of this study was to evaluate the effect of biologically oriented preparation technique on the stress concentration of endodontically treated upper central incisors restored with zirconia crown (yttria-stabilized zirconia polycrystalline ceramic) through finite element analysis (FEA). Four models of maxillary central incisors containing enamel, dentin, periodontal ligament, cortical and medullary bone were created in CAD. Each model received a polymeric core-build up with nanofilled dental resin composite. The evaluated models were SM—preparation in shoulder 90°; CM—chamfer preparation; BOPT—biologically oriented preparation technique and BOPTB—BOPT preparation 1 mm below the cement-enamel junction. All models received zirconia crowns (5Y-TZP), fiberglass post and 1 mm ferrule. The models were imported into the analysis software with parameters for mechanical structural testing using the maximum principal stress and the tensile strength as the analysis criteria. Then, load of 150 N was applied at the cingulum with 45° slope to the long axis of the tooth, with the fixed base for each model. The type of marginal preparation affected the stresses concentration in endodontically treated teeth and in the zirconia crown margin. Considering the stress magnitude only, BOPT is a viable option for anterior monolithic zirconia crowns; however, with the highest stress magnitude at the restoration margin. Full article
Show Figures

Figure 1

15 pages, 2693 KB  
Article
Periodontal Behavior and Patient Satisfaction of Anterior Teeth Restored with Single Zirconia Crowns Using a Biologically Oriented Preparation Technique: A 6-Year Prospective Clinical Study
by Blanca Serra-Pastor, Naia Bustamante-Hernández, Antonio Fons-Font, María Fernanda Solá-Ruíz, Marta Revilla-León and Rubén Agustín-Panadero
J. Clin. Med. 2021, 10(16), 3482; https://doi.org/10.3390/jcm10163482 - 6 Aug 2021
Cited by 17 | Viewed by 7469
Abstract
Objectives. The aim of this study was to analyze the behavior of the periodontal tissues around teeth in the anterior region when restored with zirconia single crowns, using a biologically oriented preparation technique (BOPT), over a 6-year follow-up. Methods. The study investigated tooth-supported [...] Read more.
Objectives. The aim of this study was to analyze the behavior of the periodontal tissues around teeth in the anterior region when restored with zirconia single crowns, using a biologically oriented preparation technique (BOPT), over a 6-year follow-up. Methods. The study investigated tooth-supported single crowns in the anterior region that were fabricated with a zirconia core and feldspathic ceramic covering, in 34 patients. Follow-up analysis took place annually for 6 years, assessing periodontal responses by evaluating the following variables: plaque index (PI); probing depth (PD); gingival index (GI); gingival thickness adjacent to the restoration; and stability of the gingival margin (MS). Any (biological and mechanical) complications were also recorded, as well as the patients’ satisfaction with the treatment. Results. After 6 years’ follow-up, a low mean plaque index was obtained, probing depth was stable, and gingival thickness and margin stability had increased. Complications (biological and mechanical) did not present a statistically significant incidence and a crown survival rate of 97.2% was achieved. Patients’ satisfaction obtained a mean VAS score of 9.04 under 10. Conclusion. Teeth that are prepared with BOPT in the anterior region present good periodontal behavior around the restored teeth, particularly in terms of the stability of the gingival margin and increased gingival thickness. Single crowns prepared with BOPT obtain an excellent clinical survival rate, as well as a high score in patients’ satisfaction after 6 years. Full article
Show Figures

Figure 1

8 pages, 939 KB  
Article
New Generation of Fixture–Abutment Connection Combining Soft Tissue Design and Vertical Screw-Retained Restoration: 1-Year Clinical, Aesthetics and Radiographic Preliminary Evaluation
by Francesco Mattia Ceruso, Irene Ieria, Mirko Martelli, Aurea I. Lumbau, Erta Xhanari and Marco Gargari
Dent. J. 2021, 9(4), 35; https://doi.org/10.3390/dj9040035 - 24 Mar 2021
Cited by 9 | Viewed by 3209
Abstract
Implant design factors and the abutment connection are correlated with crestal bone stability. The aim of the present study was to evaluate a new type of screw-retained prostheses delivered on tissue-level implants with conical external vertical seal and internal hexagon connection. Implants 4.25 [...] Read more.
Implant design factors and the abutment connection are correlated with crestal bone stability. The aim of the present study was to evaluate a new type of screw-retained prostheses delivered on tissue-level implants with conical external vertical seal and internal hexagon connection. Implants 4.25 mm in diameter and 10 mm in length (Prama, Sweden and Martina) were placed in partially edentulous patients needing at least one implant in the healed site, having sufficient bone volume. The implant neck was positioned above the bone crest. A healing abutment was placed according to a one-stage approach. Outcome measures were implant and prosthesis survival rate, any complications, marginal bone loss (MBL), periodontal parameters, and pink esthetic score (PES). Overall, 13 patients (4 women and 9 men; mean age 50 ± 22 years) with the same number of implants were treated and followed for one year after loading. At the 12-month follow up, no implant and no prosthesis failed, and no complications were experienced. The mean MBL experienced at the one year follow-up was 0.65 ± 0.48 mm. One year after loading, 2 out of 13 implants present bleeding on probing (15.4%), 4 out of 13 patients presented with plaque at the one year of follow-up (30.8%) and the PES was 10.5 ± 2.3 mm. Within the limitations of the present study, the analyzed implants seem to be a viable treatment option for the rehabilitation of a single tooth gap. Full article
Show Figures

Figure 1

20 pages, 6571 KB  
Article
Influence of Angulation in Cervical Prosthetic Emergences Relative to the Gingival Tissue of Teeth Treated under the Biologically Oriented Preparation Technique (BOPT)
by Amaia Amesti-Garaizabal, Rubén Agustín-Panadero, María Fernanda Solá-Ruíz, Lucía Fernández-Estevan, Xabier Amezua-Lasuen and Jorge Alonso Pérez-Barquero
Appl. Sci. 2020, 10(12), 4108; https://doi.org/10.3390/app10124108 - 15 Jun 2020
Cited by 8 | Viewed by 8390
Abstract
Background: The objective of this study was to digitally evaluate the effect of the cervical emergence of restorations in terms of gingival tissue volume. Materials and methods: In this study, 31 upper front teeth (from canine to canine) were selected and prepared using [...] Read more.
Background: The objective of this study was to digitally evaluate the effect of the cervical emergence of restorations in terms of gingival tissue volume. Materials and methods: In this study, 31 upper front teeth (from canine to canine) were selected and prepared using the biologically oriented preparation technique (BOPT). Each tooth had undergone a change in its provisional process with different emergence profile angles: 30° and 60°. Each sample was digitalised (STL file) using an intraoral scanner. By using various pieces of manipulation software for STL files, a volumetric analysis protocol was carried out. Changes in gingival thickness and position were measured at the buccal and the lingual positions. Results: By increasing the angulation of the emergence profile to 60°, the gingival thickness increased by 0.255 ± 0.381 mm (p = 0.001; t-test) at buccal and by 0.038 ± 0.381 mm at lingual (p = 0.600; t-test). In relation to the gingival height, at buccal, there is an apical displacement of 0.262 ± 0.246 mm (p = 0.001; t-test), and at lingual, there is an apical displacement of 0.390 ± 0.279 mm (p = 0.001; t-test). It was shown that an increase in the provisional emergence profile angle significantly diminishes the gingival height while significantly increasing gingival thickness. The Pearson’s correlation coefficient, r = 0.636, was moderately high and significant (p = 0.001; Pearson). Conclusions: The soft tissue surrounding the BOPT restored tooth evolved according to the prosthetic emergence angle of the provisional restoration, enabling us to plan for an apico-coronal and bucco-lingual displacement of the gingival tissue prior to the definitive restoration. Full article
(This article belongs to the Section Applied Dentistry and Oral Sciences)
Show Figures

Figure 1

Back to TopTop