Case Report and Literature Review of Parvimonas micra: Difficult-to-Treat Arthritis in Hiding
Abstract
:1. Introduction
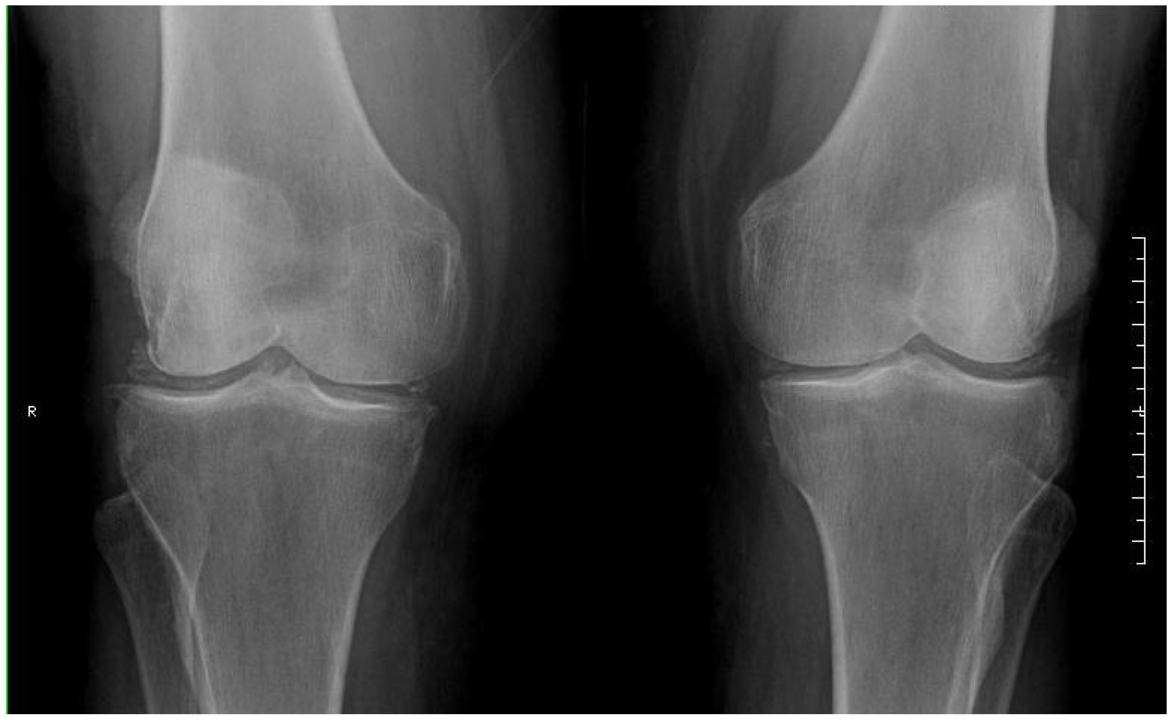
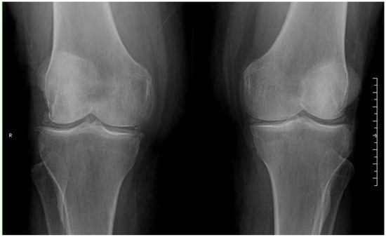
2. Detailed Case Description
3. Discussion
4. Conclusions
Author Contributions
Funding
Institutional Review Board Statement
Informed Consent Statement
Data Availability Statement
Conflicts of Interest
References
- He, M.; Arthur Vithran, D.T.; Pan, L.; Zeng, H.; Yang, G.; Lu, B.; Zhang, F. An update on recent progress of the epidemiology, etiology, diagnosis, and treatment of acute septic arthritis: A review. Front. Cell. Infect. Microbiol. 2023, 13, 1193645. [Google Scholar] [CrossRef] [PubMed]
- Sultan, A.A.; Cantrell, W.A.; Khlopas, A.; Cole, C.; Piuzzi, N.S.; Sodhi, N.; Brooks, P.; Mont, M.A. Acute septic arthritis of the knee: A rare case report of infection with Parvimonas micra after an intra-articular corticosteroid injection for osteoarthritis. Anaerobe 2018, 51, 17–20. [Google Scholar] [CrossRef] [PubMed]
- Mathews, C.J.; Weston, V.C.; Jones, A.; Field, M.; Coakley, G. Bacterial septic arthritis in adults. Lancet 2010, 375, 846–855. [Google Scholar] [CrossRef] [PubMed]
- Piccinini, D.; Bernasconi, E.; Carelli, M.; Luvini, G.; Di Benedetto, C.; Lucchini, G.M.; Barda, B.; Bongiovanni, M. Parvimonas micra a new potential pathogen in hospitalized patients: A case series from 2015–2022. Eur. J. Clin. Microbiol. Infect. Dis. 2023, 42, 903–906. [Google Scholar] [CrossRef] [PubMed]
- Uemura, H.; Hayakawa, K.; Shimada, K.; Tojo, M.; Nagamatsu, M.; Miyoshi-Akiyama, T.; Tamura, S.; Mesaki, K.; Yamamoto, K.; Yanagawa, Y.; et al. Parvimonas micra as a causative organism of spondylodiscitis: A report of two cases and a literature review. Int. J. Infect. Dis. 2014, 23, 53–55. [Google Scholar] [CrossRef] [PubMed]
- Watanabe, T.; Hara, Y.; Yoshimi, Y.; Fujita, Y.; Yokoe, M.; Noguchi, Y. Clinical characteristics of bloodstream infection by Parvimonas micra: Retrospective case series and literature review. BMC Infect. Dis. 2020, 20, 578. [Google Scholar] [CrossRef] [PubMed]
- Cesta, N.; Foroghi Biland, L.; Neri, B.; Mossa, M.; Campogiani, L.; Caldara, F.; Zordan, M.; Petruzziello, C.; Monteleone, G.; Fontana, C.; et al. Multiple hepatic and brain abscesses caused by Parvimonas micra: A case report and literature review. Anaerobe 2021, 69, 102366. [Google Scholar] [CrossRef] [PubMed]
- Cobo, F.; Rodríguez-Granger, J.; Sampedro, A.; Aliaga-Martínez, L.; Navarro-Marí, J.M. Pleural effusion due to Parvimonas micra. A case report and a literature review of 30 cases. Rev. Esp. Quimioter. 2017, 30, 285–292. [Google Scholar] [PubMed]
- Riesbeck, K.; Sanzén, L. Destructive Knee Joint Infection Caused by Peptostreptococcus micros: Importance of Early Microbiological Diagnosis. J. Clin. Microbiol. 1999, 37, 2737–2739. [Google Scholar] [CrossRef] [PubMed]
- Stoll, T.; Stucki, G.; Brühlmann, P.; Vogt, M.; Gschwend, N.; Michel, B.A. Infection of a total knee joint prosthesis by peptostreptococcus micros and propionibacterium acnes in an elderly RA patient: Implant salvage with longterm antibiotics and needle aspiration/irrigation. Clin. Rheumatol. 1996, 15, 399–402. [Google Scholar] [CrossRef] [PubMed]
- Baghban, A.; Gupta, S. Parvimonas micra: A rare cause of native joint septic arthritis. Anaerobe 2016, 39, 26–27. [Google Scholar] [CrossRef] [PubMed]
- Dietvorst, M.; Roerdink, R.; Leenders, A.C.A.P.; Kiel, M.A.; Bom, L.P.A. Acute Mono-Arthritis of the Knee: A Case Report of Infection with Parvimonas micra and Concomitant Pseudogout. J. Bone Jt. Infect. 2016, 1, 65–67. [Google Scholar] [CrossRef] [PubMed]
- Roy, M.; Roy, A.K.; Ahmad, S. Septic arthritis of knee joint due to Parvimonas micra. BMJ Case Rep. 2017, 2017, 1–3. [Google Scholar] [CrossRef]
- Ali, H.; Amir, W.; Bolick, N.L. An uncommon case of native joint septic arthritis by Parvimonas micra. Anaerobe 2021, 67, 102315. [Google Scholar] [CrossRef] [PubMed]
- Ryan, P.M.; Morrey, B.F. Parvimonas micra causing native hip joint septic arthritis. Bayl. Univ. Med. Cent. Proc. 2021, 34, 486–488. [Google Scholar] [CrossRef] [PubMed]
- Saishoji, Y.; Mori, K.; Izumi, Y. Sternoclavicular Septic Arthritis Caused by Parvimonas micra and Fusobacterium nucleatum Infection with Intra-articular Corticosteroid Administration. Intern. Med. 2023. ahead of print. [Google Scholar] [CrossRef] [PubMed]
- Schlee, S.; Bollheimer, L.C.; Bertsch, T.; Sieber, C.C.; Härle, P. Crystal arthritides—Gout and calcium pyrophosphate arthritis: Part 2: Clinical features, diagnosis and differential diagnostics. Z. Gerontol. Geriatr. 2018, 51, 579–584. [Google Scholar] [CrossRef] [PubMed]
- Sárvári, K.P.; Rácz, N.B.; Burián, K. Epidemiology and antibiotic susceptibility in anaerobic bacteraemia: A 15-year retrospective study in South-Eastern Hungary. Infect. Dis. 2022, 54, 16–25. [Google Scholar] [CrossRef] [PubMed]
- Guérin, F.; Dejoies, L.; Degand, N.; Guet-Revillet, H.; Janvier, F.; Corvec, S.; Barraud, O.; Guillard, T.; Walewski, V.; Gallois, E.; et al. In Vitro Antimicrobial Susceptibility Profiles of Gram-Positive Anaerobic Cocci Responsible for Human Invasive Infections. Microorganisms 2021, 9, 1665. [Google Scholar] [CrossRef] [PubMed]


| Author | Sex/Age | Oncological/ Immunosuppression History | Previous Dental Procedure or Disease | Affected Joint | Clinical Presentation | Synovial Fluid Characteristics | Associated CPPD | Blood Laboratory Findings | Treatment |
|---|---|---|---|---|---|---|---|---|---|
| Risbeck [9] | M/86 | Multiple myeloma | N | Knee | NR | NR | Yes | NR | - Cloxacillin |
| Baghban [11] | M/65 | N | Dental intervention two months before | Knee | NR | Inflammatory | Yes | - CRP 295 mg/dL | - Clindamycin - Arthrotomy + joint lavage |
| Dietvorst [12] | F/68 | N | N | Knee | Acute | Bloody–inflammatory | Yes | - CRP 160 mg/dL - No leucocytosis | - Clindamycin |
| Roy [13] | M/61 | Kidney and pancreatic transplant | Dental cleaning six months before | Knee | Chronic | Bloody–mechanical | No | - CRP 10 mg/dL | - Vancomycin + cefepime - Ceftriaxone + metronidazole - Arthrotomy + joint lavage |
| Sultan [2] | M/73 | N | N | Knee | Acute | Inflammatory | Yes | - CRP 22 mg/dL - ESR 57 mm/h | - Vancomycin + penicillin - Arthrotomy + joint lavage + debridement |
| Ali [14] | M/77 | N | Molar crown placement two days before | Knee | Subacute | Inflammatory | No | - CRP 119.4 mg/dL - ESR 48 mm/h - No leucocytosis | - Metronidazole - Debridement |
| Ryan [15] | M/65 | Non-Hodgkin lymphoma | N | Hip | Subacute | Inflammatory | No | - CRP 29 mg/dL - ESR 89 mm/h | - Ampicillin sulbactam + doxycycline - Arthrotomy |
| Saishoji [16] | M/40 | N | Severe periodontal disease | Sterno clavicular | Subacute | Abscess (purulent) | No | - CRP 1.9 mg/dL - ESR 38 mm/h | - Ampicillin sulbactam - Amoxicillin+ clavulanate |
Disclaimer/Publisher’s Note: The statements, opinions and data contained in all publications are solely those of the individual author(s) and contributor(s) and not of MDPI and/or the editor(s). MDPI and/or the editor(s) disclaim responsibility for any injury to people or property resulting from any ideas, methods, instructions or products referred to in the content. |
© 2023 by the authors. Licensee MDPI, Basel, Switzerland. This article is an open access article distributed under the terms and conditions of the Creative Commons Attribution (CC BY) license (https://creativecommons.org/licenses/by/4.0/).
Share and Cite
Cenicacelaya Olabarrieta, X.; Cabello Vallejo, M.; Morell-Hita, J.L.; Macía-Villa, C. Case Report and Literature Review of Parvimonas micra: Difficult-to-Treat Arthritis in Hiding. Healthcare 2023, 11, 2879. https://doi.org/10.3390/healthcare11212879
Cenicacelaya Olabarrieta X, Cabello Vallejo M, Morell-Hita JL, Macía-Villa C. Case Report and Literature Review of Parvimonas micra: Difficult-to-Treat Arthritis in Hiding. Healthcare. 2023; 11(21):2879. https://doi.org/10.3390/healthcare11212879
Chicago/Turabian StyleCenicacelaya Olabarrieta, Xabier, Margarita Cabello Vallejo, José Luis Morell-Hita, and Cristina Macía-Villa. 2023. "Case Report and Literature Review of Parvimonas micra: Difficult-to-Treat Arthritis in Hiding" Healthcare 11, no. 21: 2879. https://doi.org/10.3390/healthcare11212879
APA StyleCenicacelaya Olabarrieta, X., Cabello Vallejo, M., Morell-Hita, J. L., & Macía-Villa, C. (2023). Case Report and Literature Review of Parvimonas micra: Difficult-to-Treat Arthritis in Hiding. Healthcare, 11(21), 2879. https://doi.org/10.3390/healthcare11212879

