Shearlet Transform Applied to a Prostate Cancer Radiomics Analysis on MR Images
Abstract
1. Introduction
2. Materials and Methods
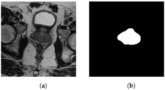
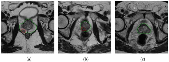
2.1. Medical and Imaging Dataset
2.1.1. Patient Selection
2.1.2. MR Imaging Technique
2.2. Radiomics
2.3. Wavelet Transform
- In the first level decomposition, the image f is decomposed in an image and an image by applying a low-pass filter and a high-pass filter on the first variable, respectively (low-pass refers to low frequencies, while high-pass to high frequencies). Next, is decomposed into an image and a image applying the filters with respect to the second variable, respectively. The same is carried out for and produces and . Finally, starting from , , , , similar decompositions are performed in relation to the third variable and eight images are obtained, , , , , , , and . The first of the eight images is called the approximation coefficients image at the first level, while the other ones are called detail coefficient images at the first level. This decomposition is shown in Figure 3.
- The scheme is iterated ℓ times, where ℓ is the decomposition level desired, in the following way. If , then the level decomposition takes as initial image the approximation of the previous level and applies the decomposition as described above into eight images, which are denoted by , , , , , , and . To conclude, the image is called the approximation coefficients image at the level, while the other ones are called detail coefficients images at the level. Figure 4 shows a representation of the level decomposition with two levels.
2.4. Shearlet Transform
- In the first level decomposition the image f is decomposed into a low-pass image and a high-pass image . Then the image is in turn decomposed applying band-pass filters into a number of images corresponding to the directional subbands.
- In the the second level decomposition one starts with the previous step and decomposes to obtain a low-pass image and a high-pass image . Next, the image is decomposed into a number of images according to the directional subbands.
- The scheme iterates until the level ℓ of decomposition desired is reached. The final results is an approximation coefficient image and for any a set of details coefficient images for different orientations.
2.5. The Proposed Method
- we started to define the model on the first feature and took the AUC value as main performance index (see Section 2.6 for the definition of AUC);
- we moved to set the model on the first two features and calculated the new AUC value;
- if the new AUC was lesser than the previous, then the process stopped and we took only the first feature in consideration and the model of point 1; if instead the new AUC value was greater than the previous one we trained the models on the first three features and calculated the corresponding AUC value;
- the process iterated and stopped at the first M features when the model trained on the first features gave an AUC less than that for the first M features, which constituted precisely the features we selected at the end.
2.6. Performance Metrics
3. Results
4. Discussion
5. Conclusions
Author Contributions
Funding
Data Availability Statement
Conflicts of Interest
Abbreviations
| AUC | Area Under the receiver operating characteristic Curve |
| AST | Absolute Shearlet Transform radiomics method |
| MR | Magnetic Resonance |
| NSST | Non-Subsampled Shearlet Transform |
| SVM | Support Vector Machine |
| SWT | Stationary Wavelet Transform |
| WT | Wavelet Transform radiomics method |
Appendix A
- 1.
- (i.e., t is not a point of an edge) or
- 2.
- (i.e., t is a point of an edge), the edge can be parametrized in a neighborhood of as a regular curve and (i.e., s does not correspond to the normal to the edge in the point t),
References
- Mallat, S. A theory for multiresolution signal decomposition: The wavelet representation. IEEE Trans. Pattern Anal. Mach. Intell. 1989, 11, 674–693. [Google Scholar] [CrossRef]
- Mallat, S.; Hwang, W. Singularity detection and processing with wavelets. IEEE Trans. Inf. Theory 1992, 38, 617–643. [Google Scholar] [CrossRef]
- Antonini, M.; Barlaud, M.; Mathieu, P.; Daubechies, I. Image coding using wavelet transform. IEEE Trans. Image Process. 1992, 1, 205–220. [Google Scholar] [CrossRef]
- Chang, S.; Yu, B.; Vetterli, M. Adaptive wavelet thresholding for image denoising and compression. IEEE Trans. Image Process. 2000, 9, 1532–1546. [Google Scholar] [CrossRef] [PubMed]
- Grinsted, A.; Moore, J.C.; Jevrejeva, S. Application of the cross wavelet transform and wavelet coherence to geophysical time series. Nonlinear Process. Geophys. 2004, 11, 561–566. [Google Scholar] [CrossRef]
- Lee, T.S. Image representation using 2D Gabor wavelets. IEEE Trans. Pattern Anal. Mach. Intell. 1996, 18, 959–971. [Google Scholar] [CrossRef]
- Daubechies, I.; Lu, J.; Wu, H.T. Synchrosqueezed wavelet transforms: An empirical mode decomposition-like tool. Appl. Comput. Harmon. Anal. 2011, 30, 243–261. [Google Scholar] [CrossRef]
- Daubechies, I. Ten Lectures on Wavelets; Society for Industrial and Applied Mathematics: Philadelphia, PA, USA, 1992. [Google Scholar] [CrossRef]
- Mallat, S. A Wavelet Tour of Signal Processing; Elsevier: Amsterdam, The Netherlands, 2009. [Google Scholar] [CrossRef]
- Nason, G.P.; Silverman, B.W. The Stationary Wavelet Transform and Some Statistical Applications; Springer: Berlin/Heidelberg, Germany, 1995. [Google Scholar] [CrossRef]
- Christensen, O. An Introduction to Frames and Riesz Bases. Springer International Publishing: Cham, Switzerland, 2016. [Google Scholar] [CrossRef]
- Corso, R. Generalized frame operator, lower semiframes, and sequences of translates. Math. Nachrichten 2023, 296, 2715–2733. [Google Scholar] [CrossRef]
- Do, M.N.; Vetterli, M. The contourlet transform: An efficient directional multiresolution image representation. IEEE Trans. Image Process. 2005, 14, 2091–2106. [Google Scholar] [CrossRef]
- Candès, E.J.; Donoho, D.L. Ridgelets: A key to higher-dimensional intermittency? Philos. Trans. R. Soc. A Math. Phys. Eng. Sci. 1999, 357, 2495–2509. [Google Scholar] [CrossRef]
- Candès, E.J.; Donoho, D.L. New tight frames of curvelets and optimal representations of objects with piecewise C2 singularities. Commun. Pure Appl. Math. 2004, 57, 219–266. [Google Scholar] [CrossRef]
- Kingsbury, N. Complex Wavelets for Shift Invariant Analysis and Filtering of Signals. Appl. Comput. Harmon. Anal. 2001, 10, 234–253. [Google Scholar] [CrossRef]
- Easley, G.; Labate, D.; Lim, W.Q. Sparse directional image representations using the discrete shearlet transform. Appl. Comput. Harmon. Anal. 2008, 25, 25–46. [Google Scholar] [CrossRef]
- Kutyniok, G.; Labate, D. Introduction to Shearlets; Springer: Boston, MA, USA, 2012. [Google Scholar] [CrossRef]
- Mallat, S. Geometrical grouplets. Appl. Comput. Harmon. Anal. 2009, 26, 161–180. [Google Scholar] [CrossRef]
- Guo, K.; Labate, D.; Lim, W.Q. Edge analysis and identification using the continuous shearlet transform. Appl. Comput. Harmon. Anal. 2009, 27, 24–46. [Google Scholar] [CrossRef]
- Yi, S.; Labate, D.; Easley, G.R.; Krim, H. A shearlet approach to edge analysis and detection. IEEE Trans. Image Process. 2009, 18, 929–941. [Google Scholar] [CrossRef] [PubMed]
- Easley, G.R.; Labate, D.; Colonna, F. Shearlet-based total variation diffusion for denoising. IEEE Trans. Image Process. 2009, 18, 260–268. [Google Scholar] [CrossRef] [PubMed]
- Hou, B.; Zhang, X.; Bu, X.; Feng, H. SAR image despeckling based on nonsubsampled shearlet transform. IEEE J. Sel. Top. Appl. Earth Obs. Remote. Sens. 2012, 5, 809–823. [Google Scholar] [CrossRef]
- Yang, H.Y.; Wang, X.Y.; Niu, P.P.; Liu, Y.C. Image denoising using nonsubsampled shearlet transform and twin support vector machines. Neural Netw. 2014, 57, 152–165. [Google Scholar] [CrossRef]
- Miao, Q.G.; Shi, C.; Xu, P.F.; Yang, M.; Shi, Y.B. A novel algorithm of image fusion using shearlets. Opt. Commun. 2011, 284, 1540–1547. [Google Scholar] [CrossRef]
- Yin, M.; Liu, X.; Liu, Y.; Chen, X. Medical Image Fusion with Parameter-Adaptive Pulse Coupled Neural Network in Nonsubsampled Shearlet Transform Domain. IEEE Trans. Instrum. Meas. 2019, 68, 49–64. [Google Scholar] [CrossRef]
- Helmy, A.K.; El-Taweel, G.S. Image segmentation scheme based on SOM-PCNN in frequency domain. Appl. Soft Comput. J. 2016, 40, 405–415. [Google Scholar] [CrossRef]
- Wang, X.; Zhao, X.; Zhu, Y.; Su, X. NSST and vector-valued C-V model based image segmentation algorithm. IET Image Process. 2020, 14, 1614–1620. [Google Scholar] [CrossRef]
- Laudicella, R.; Comelli, A.; Liberini, V.; Vento, A.; Stefano, A.; Spataro, A.; Crocè, L.; Baldari, S.; Bambaci, M.; Deandreis, D.; et al. [68Ga]DOTATOC PET/CT Radiomics to Predict the Response in GEP-NETs Undergoing [177Lu]DOTATOC PRRT: The “Theragnomics” Concept. Cancers 2022, 14, 984. [Google Scholar] [CrossRef] [PubMed]
- Pasini, G.; Stefano, A.; Russo, G.; Comelli, A.; Marinozzi, F.; Bini, F. Phenotyping the Histopathological Subtypes of Non-Small-Cell Lung Carcinoma: How Beneficial Is Radiomics? Diagnostics 2023, 13, 1167. [Google Scholar] [CrossRef] [PubMed]
- Vernuccio, F.; Arnone, F.; Cannella, R.; Verro, B.; Comelli, A.; Agnello, F.; Stefano, A.; Gargano, R.; Rodolico, V.; Salvaggio, G.; et al. Diagnostic performance of qualitative and radiomics approach to parotid gland tumors: Which is the added benefit of texture analysis? Br. J. Radiol. 2021, 94, 20210340. [Google Scholar] [CrossRef] [PubMed]
- Logotheti, S.; Georgakilas, A.G. More than Meets the Eye: Integration of Radiomics with Transcriptomics for Reconstructing the Tumor Microenvironment and Predicting Response to Therapy. Cancers 2023, 15, 1634. [Google Scholar] [CrossRef] [PubMed]
- Kumar, R.; Gupta, A.; Arora, H.S.; Pandian, G.N.; Raman, B. CGHF: A Computational Decision Support System for Glioma Classification Using Hybrid Radiomics- and Stationary Wavelet-Based Features. IEEE Access 2020, 8, 79440–79458. [Google Scholar] [CrossRef]
- Jing, R.; Wang, J.; Li, J.; Wang, X.; Li, B.; Xue, F.; Shao, G.; Xue, H. A wavelet features derived radiomics nomogram for prediction of malignant and benign early-stage lung nodules. Sci. Rep. 2021, 11, 22330. [Google Scholar] [CrossRef]
- Zhou, J.; Lu, J.; Gao, C.; Zeng, J.; Zhou, C.; Lai, X.; Cai, W.; Xu, M. Predicting the response to neoadjuvant chemotherapy for breast cancer: Wavelet transforming radiomics in MRI. BMC Cancer 2020, 20, 100. [Google Scholar] [CrossRef]
- Choe, J.; Lee, S.M.; Do, K.H.; Lee, G.; Lee, J.G.; Lee, S.M.; Seo, J.B. Deep Learning–based Image Conversion of CT Reconstruction Kernels Improves Radiomics Reproducibility for Pulmonary Nodules or Masses. Radiology 2019, 292. [Google Scholar] [CrossRef]
- Ansari, G.; Mirza-Aghazadeh-Attari, M.; Afyouni, S.; Mohseni, A.; Shahbazian, H.; Kamel, I.R. Utilization of texture features of volumetric ADC maps in differentiating between serous cystadenoma and intraductal papillary neoplasms. Abdom. Radiol. 2024, 49, 1175–1184. [Google Scholar] [CrossRef] [PubMed]
- Qian, W.L.; Chen, Q.; Zhang, J.B.; Xu, J.M.; Hu, C.H. RESOLVE-based radiomics in cervical cancer: Improved image quality means better feature reproducibility? Clin. Radiol. 2023, 78, E469–E476. [Google Scholar] [CrossRef] [PubMed]
- Brown, K.H.; Ghita-Pettigrew, M.; Kerr, B.N.; Mohamed-Smith, L.; Walls, G.M.; McGarry, C.K.; Butterworth, K.T. Characterisation of quantitative imaging biomarkers for inflammatory and fibrotic radiation-induced lung injuries using preclinical radiomics. Radiother. Oncol. 2024, 192, 110106. [Google Scholar] [CrossRef] [PubMed]
- Tang, V.H.; Duong, S.T.M.; Nguyen, C.D.T.; Huynh, T.M.; Duc, V.T.; Phan, C.; Le, H.; Bui, T.; Truong, S.Q.H. Wavelet radiomics features from multiphase CT images for screening hepatocellular carcinoma: Analysis and comparison. Sci. Rep. 2023, 13, 19559. [Google Scholar] [CrossRef] [PubMed]
- Ferro, M.; de Cobelli, O.; Musi, G.; del Giudice, F.; Carrieri, G.; Busetto, G.M.; Falagario, U.G.; Sciarra, A.; Maggi, M.; Crocetto, F.; et al. Radiomics in prostate cancer: An up-to-date review. Ther. Adv. Urol. 2022, 14, 175628722211090. [Google Scholar] [CrossRef]
- Cutaia, G.; la Tona, G.; Comelli, A.; Vernuccio, F.; Agnello, F.; Gagliardo, C.; Salvaggio, L.; Quartuccio, N.; Sturiale, L.; Stefano, A.; et al. Radiomics and prostate MRI: Current role and future applications. J. Imaging 2021, 7, 34. [Google Scholar] [CrossRef] [PubMed]
- Lee, H.; Hwang, S.I.; Lee, H.J.; Byun, S.S.; Lee, S.E.; Hong, S.K. Diagnostic performance of diffusion-weighted imaging for prostate cancer: Peripheral zone versus transition zone. PLoS ONE 2018, 13, e0199636. [Google Scholar] [CrossRef] [PubMed]
- Hambrock, T.; Vos, P.C.; de Kaa, C.A.H.; Barentsz, J.O.; Huisman, H.J. Prostate Cancer: Computer-aided Diagnosis with Multiparametric 3-T MR Imaging—Effect on Observer Performance. Radiology 2013, 266, 521–530. [Google Scholar] [CrossRef]
- Sidhu, H.S.; Benigno, S.; Ganeshan, B.; Dikaios, N.; Johnston, E.W.; Allen, C.; Kirkham, A.; Groves, A.M.; Ahmed, H.U.; Emberton, M.; et al. Textural analysis of multiparametric MRI detects transition zone prostate cancer. Eur. Radiol. 2017, 27, 2348–2358. [Google Scholar] [CrossRef]
- Griethuysen, J.J.V.; Fedorov, A.; Parmar, C.; Hosny, A.; Aucoin, N.; Narayan, V.; Beets-Tan, R.G.; Fillion-Robin, J.C.; Pieper, S.; Aerts, H.J. Computational radiomics system to decode the radiographic phenotype. Cancer Res. 2017, 77, e104–e107. [Google Scholar] [CrossRef]
- Hermessi, H.; Mourali, O.; Zagrouba, E. Deep feature learning for soft tissue sarcoma classification in MR images via transfer learning. Expert Syst. Appl. 2019, 120, 116–127. [Google Scholar] [CrossRef]
- Ouerghi, H.; Mourali, O.; Zagrouba, E. Glioma classification via MR images radiomics analysis. Vis. Comput. 2022, 38, 1427–1441. [Google Scholar] [CrossRef]
- Li, M.D.; Cheng, M.Q.; Chen, L.D.; Hu, H.T.; Zhang, J.C.; Ruan, S.M.; Huang, H.; Kuang, M.; Lu, M.D.; Li, W.; et al. Reproducibility of radiomics features from ultrasound images: Influence of image acquisition and processing. Eur. Radiol. 2022, 32, 5843–5851. [Google Scholar] [CrossRef]
- Acharya, U.R.; Fernandes, S.L.; WeiKoh, J.E.; Ciaccio, E.J.; Fabell, M.K.M.; Tanik, U.J.; Rajinikanth, V.; Yeong, C.H. Automated Detection of Alzheimer’s Disease Using Brain MRI Images—A Study with Various Feature Extraction Techniques. J. Med. Syst. 2019, 43, 302. [Google Scholar] [CrossRef] [PubMed]
- Zhou, S.; Shi, J.; Zhu, J.; Cai, Y.; Wang, R. Shearlet-based texture feature extraction for classification of breast tumor in ultrasound image. Biomed. Signal Process. Control. 2013, 8, 688–696. [Google Scholar] [CrossRef]
- Muthaiyan, R.; Malleswaran, M. An automated brain image analysis system for brain cancer using shearlets. Comput. Syst. Sci. Eng. 2022, 40, 299–312. [Google Scholar] [CrossRef]
- Liang, M.; Ren, Z.; Yang, J.; Feng, W.; Li, B. Identification of Colon Cancer Using Multi-Scale Feature Fusion Convolutional Neural Network Based on Shearlet Transform. IEEE Access 2020, 8, 208969–208977. [Google Scholar] [CrossRef]
- Rezaeilouyeh, H.; Mollahosseini, A.; Mahoor, M.H. Microscopic medical image classification framework via deep learning and shearlet transform. J. Med. Imaging 2016, 3, 044501. [Google Scholar] [CrossRef]
- Rezaeilouyeh, H.; Mahoor, M.H. Automatic gleason grading of prostate cancer using shearlet transform and multiple kernel learning. J. Imaging 2016, 2, 25. [Google Scholar] [CrossRef]
- Bratsun, D.; Krasnyakov, I. Study of architectural forms of invasive carcinoma based on the measurement of pattern complexity. Math. Model. Nat. Phenom. 2022, 17, 15. [Google Scholar] [CrossRef]
- Ali, M.; Benfante, V.; Cutaia, G.; Salvaggio, L.; Rubino, S.; Portoghese, M.; Ferraro, M.; Corso, R.; Piraino, G.; Ingrassia, T.; et al. Prostate Cancer Detection: Performance of Radiomics Analysis in Multiparametric MRI. In Proceedings of the Image Analysis and Processing—ICIAP 2023 Workshops, ICIAP 2023; Lecture Notes in Computer Science; Frontoni, P.L.M., Fusiello, A., Hancock, E., Eds.; Springer: Berlin/Heidelberg, Germany, 2024; Volume 14366, pp. 83–92. [Google Scholar] [CrossRef]
- Cairone, L.; Benfante, V.; Bignardi, S.; Marinozzi, F.; Yezzi, A.; Tuttolomondo, A.; Salvaggio, G.; Bini, F.; Comelli, A. Robustness of Radiomics Features to Varying Segmentation Algorithms in Magnetic Resonance Images. In Proceedings of the Image Analysis and Processing, ICIAP 2022 Workshops, ICIAP 2022; Lecture Notes in Computer Science; Frontoni, P.L.M., Sclaroff, S., Distante, C., Eds.; Springer: Berlin/Heidelberg, Germany, 2022; Volume 13373, pp. 462–472. [Google Scholar] [CrossRef]
- Fornacon-Wood, I.; Mistry, H.; Ackermann, C.J.; Blackhall, F.; McPartlin, A.; Faivre-Finn, C.; Price, G.J.; O’Connor, J.P. Reliability and prognostic value of radiomic features are highly dependent on choice of feature extraction platform. Eur. Radiol. 2020, 30, 6241–6250. [Google Scholar] [CrossRef] [PubMed]
- Corder, G.W.; Foreman, D.I. Nonparametric Statistics for Non-Statisticians; Wiley: Hoboken, NJ, USA, 2009. [Google Scholar] [CrossRef]
- James, G.; Witten, D.; Hastie, T. Introduction to Statistical Learning with Applications in R; Springer: New York, NY, USA, 2021. [Google Scholar] [CrossRef]
- Fawcett, T. An introduction to ROC analysis. Pattern Recognit. Lett. 2006, 27, 861–874. [Google Scholar] [CrossRef]
- Pasini, G.; Bini, F.; Russo, G.; Comelli, A.; Marinozzi, F.; Stefano, A. matRadiomics: A Novel and Complete Radiomics Framework, from Image Visualization to Predictive Model. J. Imaging 2022, 8, 221. [Google Scholar] [CrossRef] [PubMed]













| Parameter | T2w TSE |
|---|---|
| Repetition time (ms) | 3091 |
| Echo time (ms) | 100 |
| Flip angle (degrees) | 90 |
| Slice thickness (mm) | 3.3 |
| Reconstruction interval (mm) | 0.3 |
| Acquisition matrix | 320 × 320 |
| Signal averages | 3 |
| Signal-to-noise ratio | 1 |
| Voxel size (mm) | 0.5625 × 0.5625 × 3.3 |
| Total Decomposition Levels | Number of Features Extracted (AST Method) | Number of Features Extracted (WT Method) |
|---|---|---|
| 1 | 792 | 704 |
| 2 | 1496 | 1320 |
| 3 | 2200 | 1932 |
| 4 | 2904 | 2552 |
| 5 | 3608 | 3168 |
| 6 | 4312 | 3784 |
| Classifier | Method | AUC | Sensitivity | Specificity | Accuracy | N. Features |
|---|---|---|---|---|---|---|
| Linear Discr. Analysis | AST | 81.5 ± 11.6 | 91.6 ± 8.3 | 64.0 ± 16.4 | 80.9 ± 8.7 | 1 |
| WT | 77.8 ± 13.4 | 91.1 ± 9.8 | 56.5 ± 20.3 | 77.9 ± 10.0 | 2 | |
| Original | 71.8 ± 12.7 | 94.2 ± 8.5 | 45.7 ± 20.1 | 75.6 ± 8.6 | 1 | |
| Linear SVM | AST | 81.2 ± 11.5 | 90.7 ± 9.4 | 64.0 ± 16.4 | 80.4 ± 9.9 | 1 |
| WT | 77.2 ± 13.4 | 91.8 ± 8.9 | 53.7 ± 23.1 | 77.2 ± 10.2 | 2 | |
| Original | 71.3 ± 12.9 | 96.0 ± 6.3 | 32.8 ± 19.1 | 71.9 ± 8.5 | 1 | |
| Decision Tree | AST | 73.9 ± 12.3 | 76.4 ± 11.6 | 68.7 ± 18.4 | 73.5 ± 9.8 | 1 |
| WT | 77.0 ± 11.8 | 80.9 ± 13.1 | 60.2 ± 22.5 | 73.0 ± 10.7 | 3 | |
| Original | 61.9 ± 15.5 | 74.7 ± 15.6 | 51.2 ± 23.2 | 65.8 ± 10.3 | 2 |
| Classifier | Method | TP | TN | FP | FN |
|---|---|---|---|---|---|
| Linear Discr. Analysis | AST | 8.24 ± 0.74 | 3.56 ± 0.88 | 2.04 ± 0.99 | 0.76 ± 0.74 |
| WT | 8.20 ± 0.88 | 3.16 ± 1.15 | 2.44 ± 1.15 | 0.80 ± 0.88 | |
| Original | 8.48 ± 0.76 | 2.56 ± 1.11 | 3.04 ± 1.12 | 0.52 ± 0.76 | |
| Linear SVM | AST | 8.16 ± 0.84 | 3.56 ± 0.88 | 2.04 ± 0.99 | 0.84 ± 0.84 |
| WT | 8.26 ± 0.80 | 3.00 ± 1.29 | 2.60 ± 1.32 | 0.74 ± 0.80 | |
| Original | 8.64 ± 0.56 | 1.84 ± 1.09 | 3.76 ± 1.12 | 0.36 ± 0.56 | |
| Decision Tree | AST | 6.88 ± 1.04 | 3.84 ± 1.09 | 1.76 ± 1.08 | 2.12 ± 1.04 |
| WT | 7.28 ± 1.18 | 3.38 ± 1.29 | 2.22 ± 1.23 | 1.72 ± 1.18 | |
| Original | 6.72 ± 1.40 | 2.90 ± 1.39 | 2.70 ± 1.25 | 2.28 ± 1.04 |
| Method | Features Selected |
|---|---|
| AST | shearlet5orientation7_glcm_Idn |
| WT | wavelet1LHH_glcm_ClusterShade wavelet1HHL_glszm_ZoneVariance |
| Original | original_shape_MinorAxisLength |
Disclaimer/Publisher’s Note: The statements, opinions and data contained in all publications are solely those of the individual author(s) and contributor(s) and not of MDPI and/or the editor(s). MDPI and/or the editor(s) disclaim responsibility for any injury to people or property resulting from any ideas, methods, instructions or products referred to in the content. |
© 2024 by the authors. Licensee MDPI, Basel, Switzerland. This article is an open access article distributed under the terms and conditions of the Creative Commons Attribution (CC BY) license (https://creativecommons.org/licenses/by/4.0/).
Share and Cite
Corso, R.; Stefano, A.; Salvaggio, G.; Comelli, A. Shearlet Transform Applied to a Prostate Cancer Radiomics Analysis on MR Images. Mathematics 2024, 12, 1296. https://doi.org/10.3390/math12091296
Corso R, Stefano A, Salvaggio G, Comelli A. Shearlet Transform Applied to a Prostate Cancer Radiomics Analysis on MR Images. Mathematics. 2024; 12(9):1296. https://doi.org/10.3390/math12091296
Chicago/Turabian StyleCorso, Rosario, Alessandro Stefano, Giuseppe Salvaggio, and Albert Comelli. 2024. "Shearlet Transform Applied to a Prostate Cancer Radiomics Analysis on MR Images" Mathematics 12, no. 9: 1296. https://doi.org/10.3390/math12091296
APA StyleCorso, R., Stefano, A., Salvaggio, G., & Comelli, A. (2024). Shearlet Transform Applied to a Prostate Cancer Radiomics Analysis on MR Images. Mathematics, 12(9), 1296. https://doi.org/10.3390/math12091296

