Extensin-like Protein OsPEX1 Modulates Grain Filling in Rice
Abstract
1. Introduction
2. Results
2.1. The pex1 Mutant Shows Low Rate of Grain Filling
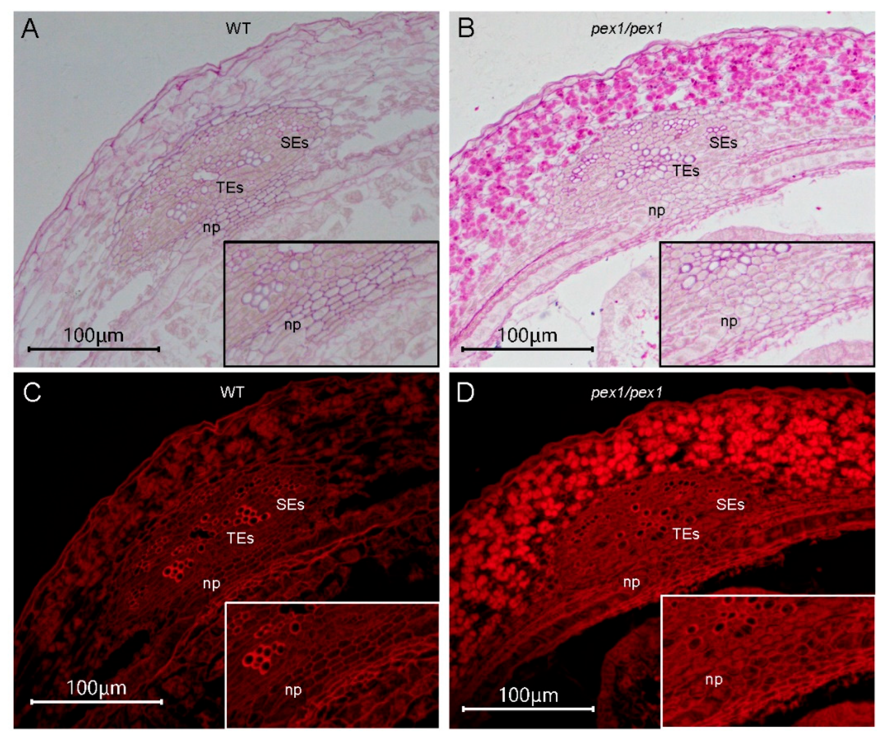
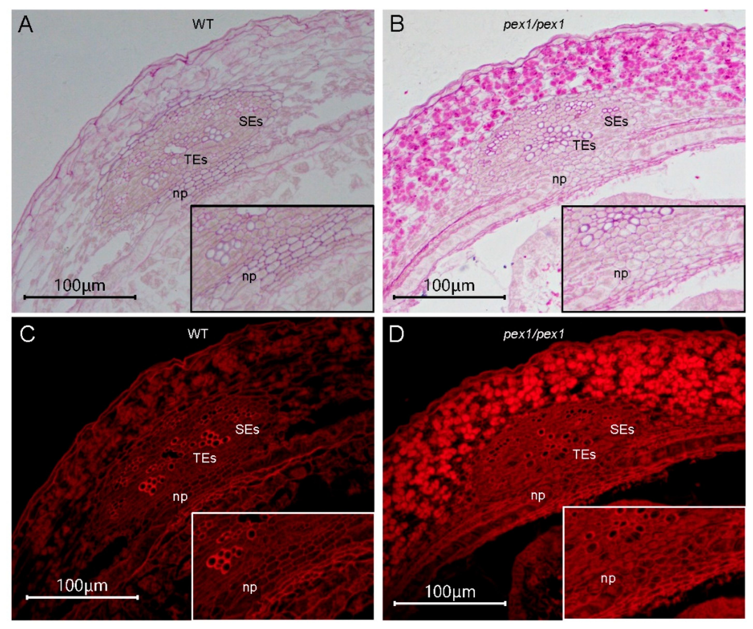
2.2. The pex1 Mutant Displayed Abnormal Starch Accumulation in the Pericarp
2.3. The pex1 Exhibits Thickened Bran at Mature Caryopsis
2.4. OsPEX1 Is Associated with Endoplasmic Reticulum
2.5. Expressions of Key Genes Related to Grain Filling Were Altered in pex1
3. Discussion
3.1. OsPEX1 Contributes to Grain Filling
3.2. Where Is the Subcellular Localization of LRX Proteins
3.3. OsPEX1 Is Involved in Assimilate Transport
4. Material and Methods
4.1. Plant Materials
4.2. Measurement of Grain Traits and Filling Parameters
4.3. Histological Observation for Caryopsis
4.4. Subcellular Localization
4.5. qPCR and RNA-Seq
4.6. Gene Accession Number
5. Conclusions
Supplementary Materials
Author Contributions
Funding
Institutional Review Board Statement
Informed Consent Statement
Data Availability Statement
Conflicts of Interest
References
- Ma, B.; Zhang, L.; He, Z. Understanding the regulation of cereal grain filling: The way forward. J. Integr. Plant Biol. 2023, 65, 526–547. [Google Scholar] [CrossRef] [PubMed]
- Pegler, J.L.; Grof, C.P.; Patrick, J.W. Sugar loading of crop seeds—A partnership of phloem, plasmodesmal and membrane transport. New Phytol. 2023, 239, 1584–1602. [Google Scholar] [CrossRef]
- Li, J.; He, C.; Liu, S.; Guo, Y.; Zhang, Y.; Zhang, L.; Zhou, X.; Xu, D.; Luo, X.; Liu, H.; et al. Research progress and application strategies of sugar transport mechanisms in rice. Front. Plant Sci. 2024, 15, 1454615. [Google Scholar] [CrossRef]
- Wang, E.; Wang, J.; Zhu, X.; Hao, W.; Wang, L.; Li, Q.; Zhang, L.; He, W.; Lu, B.; Lin, H.; et al. Control of rice grain-filling and yield by a gene with a potential signature of domestication. Nat. Genet. 2008, 40, 1370–1374. [Google Scholar] [CrossRef]
- Li, N.; Xu, R.; Li, Y. Molecular Networks of seed size control in plants. Annu. Rev. Plant Biol. 2019, 70, 435–463. [Google Scholar] [CrossRef] [PubMed]
- Wu, X.; Liu, J.; Li, D.; Liu, C. Rice caryopsis development I: Dynamic changes in different cell layers. J. Integr. Plant Biol. 2016, 58, 772–785. [Google Scholar] [CrossRef]
- Oparka, K.J.; Gates, P. Transport of assimilates in the developing caryopsis of rice (Oryza sativa L.): Ultrastructure of the pericarp vascular bundle and its connections with the aleurone layer. Planta 1981, 151, 561–573. [Google Scholar] [CrossRef]
- Oparka, K.J.; Gates, P. Transport of assimilates in the developing caryopsis of rice (Oryza sativa L.): The pathways of water and assimilated carbon. Planta 1981, 152, 388–396. [Google Scholar] [CrossRef] [PubMed]
- Krishnan, S.; Dayanandan, P. Structural and histochemical studies on grain-filling in the caryopsis of rice (Oryza sativa L.). J. Biosci. 2003, 28, 455–469. [Google Scholar] [CrossRef] [PubMed]
- Luan, X.; Ke, S.; Liu, S.; Tang, G.; Huang, D.; Wei, M.; Zhang, Y.; Qin, G.; Zhang, X. OsPEX1, a leucine-rich repeat extensin protein, functions in the regulation of caryopsis development and quality in rice. Crop J. 2022, 10, 704–715. [Google Scholar] [CrossRef]
- Ke, S.; Luan, X.; Liang, J.; Hung, Y.; Hsieh, T.; Zhang, X. Rice OsPEX1, an extensin-like protein, affects lignin biosynthesis and plant growth. Plant Mol. Biol. 2019, 100, 151–161. [Google Scholar] [CrossRef]
- Herger, A.; Dünser, K.; Kleine-Vehn, J.; Ringli, C. Leucine-rich repeat extensin proteins and their role in cell wall sensing. Curr. Biol. 2019, 29, R851–R858. [Google Scholar] [CrossRef] [PubMed]
- Fabrice, T.N.; Vogler, H.; Draeger, C.; Munglani, G.; Gupta, S.; Herger, A.G.; Knox, P.; Grossniklaus, U.; Ringli, C. LRX proteins play a crucial role in pollen grain and pollen tube cell wall development. Plant Physiol. 2018, 176, 1981–1992. [Google Scholar] [CrossRef] [PubMed]
- Huang, L.; Tan, H.; Zhang, C.; Li, Q.; Liu, Q. Starch biosynthesis in cereal endosperms: An updated review over the last decade. Plant Commun. 2021, 2, 100237. [Google Scholar] [CrossRef] [PubMed]
- Zhang, Y.; Verhoeff, N.I.; Chen, Z.; Chen, S.; Wang, M.; Zhu, Z.; Ouwerkerk, P.B.F. Functions of OsDof25 in regulation of OsC4PPDK. Plant Mol. Biol. 2015, 89, 229–242. [Google Scholar] [CrossRef]
- Chen, C.; He, B.; Liu, X.; Ma, X.; Liu, Y.; Yao, H.Y.; Zhang, P.; Yin, J.; Wei, X.; Koh, H.J.; et al. Pyrophosphate-fructose 6-phosphate 1-phosphotransferase (PFP1) regulates starch biosynthesis and seed development via heterotetramer formation in rice (Oryza sativa L.). Plant Biotechnol. J. 2020, 18, 83–95. [Google Scholar] [CrossRef]
- Chen, X.; Ji, Y.; Zhao, W.; Niu, H.; Yang, X.; Jiang, X.; Zhang, Y.; Lei, J.; Yang, H.; Chen, R.; et al. Fructose-6-phosphate-2-kinase/fructose-2,6-bisphosphatase regulates energy metabolism and synthesis of storage products in developing rice endosperm. Plant Sci. 2023, 326, 111503. [Google Scholar] [CrossRef]
- Zhong, M.; Liu, X.; Liu, F.; Ren, Y.; Wang, Y.; Zhu, J.; Teng, X.; Duan, E.; Wang, F.; Zhang, H.; et al. FLOURY ENDOSPERM12 encoding alanine aminotransferase 1 regulates carbon and nitrogen metabolism in rice. J. Plant Biol. 2019, 62, 61–73. [Google Scholar] [CrossRef]
- Tabassum, R.; Dosaka, T.; Ichida, H.; Morita, R.; Ding, Y.; Abe, T.; Katsube-Tanaka, T. FLOURY ENDOSPERM11-2 encodes plastid HSP70-2 involved with the temperature-dependent chalkiness of rice (Oryza sativa L.) grains. Plant J. 2020, 103, 604–616. [Google Scholar] [CrossRef]
- Hu, T.; Tian, Y.; Zhu, J.; Wang, Y.; Jing, R.; Lei, J.; Sun, Y.; Yu, Y.; Li, J.; Chen, X.; et al. OsNDUFA9 encoding a mitochondrial complex I subunit is essential for embryo development and starch synthesis in rice. Plant Cell Rep. 2018, 37, 1667–1679. [Google Scholar] [CrossRef]
- Teng, X.; Zhong, M.; Zhu, X.; Wang, C.; Ren, Y.; Wang, Y.; Zhang, H.; Jiang, L.; Wang, D.; Hao, Y.; et al. FLOURY ENDOSPERM16 encoding a NAD-dependent cytosolic malate dehydrogenase plays an important role in starch synthesis and seed development in rice. Plant Biotechnol. J. 2019, 17, 1914–1927. [Google Scholar] [CrossRef]
- Ross, J.J.; McAdam, E.L. New links between auxin and starch. Nat. Commun. 2025, 16, 491. [Google Scholar] [CrossRef]
- Li, J.; Zhang, Y.; Li, Z.; Dai, H.; Luan, X.; Zhong, T.; Chen, S.; Xie, X.; Qin, G.; Zhang, X.; et al. OsPEX1, an extensin-like protein, negatively regulates root growth in a gibberellin-mediated manner in rice. Plant Mol. Biol. 2023, 112, 47–59. [Google Scholar] [CrossRef]
- Baumberger, N.; Doesseger, B.; Guyot, R.; Diet, A.; Parsons, R.L.; Clark, M.A.; Simmons, M.P.; Bedinger, P.; Goff, S.A.; Ringli, C.; et al. Whole-genome comparison of leucine-rich repeat extensins in Arabidopsis and rice. A conserved family of cell wall proteins form a vegetative and a reproductive clade. Plant Physiol. 2003, 131, 1313–1326. [Google Scholar] [CrossRef] [PubMed]
- Wang, J.; Wang, Y.; Chen, Y.; Chen, H.; Xiang, J.; Zhang, Y.; Wang, Z.; Zhang, Y. Progress on physiological mechanisms of rice spikelet degeneration at different panicle positions caused by abiotic stress. Rice Sci. 2025, 32, 193–202. [Google Scholar]
- You, C.; Zhu, H.; Xu, B.; Huang, W.; Wang, S.; Ding, Y.; Liu, Z.; Li, G.; Chen, L.; Ding, C.; et al. Effect of removing superior spikelets on grain filling of inferior spikelets in rice. Front. Plant Sci. 2016, 7, 1161. [Google Scholar] [CrossRef] [PubMed]
- Takeda, T.; Toyofuku, K.; Matsukura, C.; Yamaguchi, J. Sugar transporters involved in flowering and grain development of rice. J. Plant Physiol. 2001, 158, 465–470. [Google Scholar] [CrossRef]
- Kohorn, B.D.; Kohorn, S.L. The cell wall-associated kinases, WAKs, as pectin receptors. Front. Plant Sci. 2012, 3, 88. [Google Scholar] [CrossRef]
- Borassi, C.; Sede, A.R.; Mecchia, M.A.; Salgado Salter, J.D.; Marzol, E.; Muschietti, J.P.; Estevez, J.M. An update on cell surface proteins containing extensin-motifs. J. Exp. Bot. 2016, 67, 477–487. [Google Scholar] [CrossRef]
- Bedinger, P. Coordinating cell walls and cell growth: A role for LRX extensin chimeras. Plant Physiol. 2018, 176, 1890. [Google Scholar] [CrossRef]
- Nissen, K.S.; Willats, W.G.T.; Malinovsky, F.G. Understanding CrRLK1L function: Cell walls and growth control. Trends Plant Sci. 2016, 21, 516–527. [Google Scholar] [CrossRef] [PubMed]
- Marzol, E.; Borassi, C.; Bringas, M.; Sede, A.; Rodríguez Garcia, D.R.; Capece, L.; Estevez, J.M. Filling the gaps to solve the extensin puzzle. Mol. Plant 2018, 11, 645–658. [Google Scholar] [CrossRef] [PubMed]
- Feng, Z.; Xue, F.; Xu, M.; Chen, X.; Zhao, W.; Garcia-Murria, M.J.; Mingarro, I.; Liu, Y.; Huang, Y.; Jiang, L.; et al. The ER-membrane transport system is critical for intercellular trafficking of the NSm movement protein and tomato spotted wilt Tospovirus. PloS Pathog. 2016, 12, e1005443. [Google Scholar] [CrossRef] [PubMed]
- Dorokhov, L.Y.; Ershova, M.N.; Sheshukova, V.E.; Komarova, V.T. Plasmodesmata conductivity regulation: A mechanistic model. Plants 2019, 8, 595. [Google Scholar] [CrossRef]
- Wang, P.; Duckney, P.; Gao, E.; Hussey, P.J.; Kriechbaumer, V.; Li, C.; Zang, J.; Zhang, T. Keep in contact: Multiple roles of endoplasmic reticulum–membrane contact sites and the organelle interaction network in plants. New Phytol. 2023, 238, 482–499. [Google Scholar] [CrossRef]
- Pérez-Sancho, J.; Smokvarska, M.; Dubois, G.; Helariutta, Y.; Russinova, E.; Taly, A.; Jaillais, Y.; Bayer, E.M. Plasmodesmata act as unconventional membrane contact sites regulating intercellular molecular exchange in plants. Cell 2025, 188, 958–977. [Google Scholar] [CrossRef]
- Song, L.; Wang, R.; Zhang, L.; Wang, Y.; Yao, S. CRR1 encoding callose synthase functions in ovary expansion by affecting vascular cell patterning in rice. Plant J. 2016, 88, 620–632. [Google Scholar] [CrossRef]
- Radchuk, V.V.; Borisjuk, L.; Sreenivasulu, N.; Merx, K.; Mock, H.; Rolletschek, H.; Wobus, U.; Weschke, W. Spatiotemporal profiling of starch biosynthesis and degradation in the developing barley grain. Plant Physiol. 2009, 150, 190–204. [Google Scholar] [CrossRef]
- Zhuo, J.; Wang, K.; Wang, N.; Xing, C.; Peng, D.; Wang, X.; Qu, G.; Kang, C.; Ye, X.; Li, Y.; et al. Pericarp starch metabolism is associated with caryopsis development and endosperm starch accumulation in common wheat. Plant Sci. 2023, 330, 111622. [Google Scholar] [CrossRef]
- Ren, Y.; Huang, Z.; Jiang, H.; Wang, Z.; Wu, F.; Xiong, Y.; Yao, J. A heat stress responsive NAC transcription factor heterodimer plays key roles in rice grain filling. J. Exp. Bot. 2021, 72, 2947–2964. [Google Scholar] [CrossRef]
- Bai, A.N.; Lu, X.D.; Li, D.Q.; Liu, J.X.; Liu, C.M. NF-YB1-regulated expression of sucrose transporters in aleurone facilitates sugar loading to rice endosperm. Cell Res. 2016, 26, 384–388. [Google Scholar] [CrossRef]
- Xu, J.; Zhang, X.; Xue, H. Rice aleurone layer specific OsNF-YB1 regulates grain filling and endosperm development by interacting with an ERF transcription factor. J. Exp. Bot. 2016, 67, 6399–6411. [Google Scholar] [CrossRef]
- Liu, F.; Zhang, X.Q.; Zhang, Z.M.; Chen, Z.G.; Zhu, H.T.; Wang, J.; Zhang, J.L.; Zhang, G.Q. Transpositional behaviour of the Ds element in the Ac/Ds system in rice. Chin. Sci. Bull. 2007, 52, 2789–2796. [Google Scholar] [CrossRef]
- Schmidt, E.C.; Scariot, L.A.; Rover, T.; Bouzon, Z.L. Changes in ultrastructure and histochemistry of two red macroalgae strains of Kappaphycus alvarezii (Rhodophyta, Gigartinales), as a consequence of ultraviolet B radiation exposure. Micron 2009, 40, 860–869. [Google Scholar] [CrossRef]
- Nelson, B.K.; Cai, X.; Nebenfuhr, A. A multicolored set of in vivo organelle markers for co-localization studies in Arabidopsis and other plants. Plant J. 2007, 51, 1126–1136. [Google Scholar] [CrossRef]
- Livak, K.J.; Schmittgen, T.D. Analysis of relative gene expression data using real-time quantitative PCR and the 2−ΔΔCT method. Methods 2001, 25, 402–408. [Google Scholar] [CrossRef]
- Kim, D.; Langmead, B.; Salzberg, S.L. HISAT: A fast spliced aligner with low memory requirements. Nat. Methods 2015, 12, 357–360. [Google Scholar] [CrossRef]
- Kawahara, Y.; de la Bastide, M.; Hamilton, J.P.; Kanamori, H.; McCombie, W.R.; Ouyang, S.; Schwartz, D.C.; Tanaka, T.; Wu, J.; Zhou, S.; et al. Improvement of the Oryza sativa Nipponbare reference genome using next generation sequence and optical map data. Rice 2013, 6, 4. [Google Scholar] [CrossRef]
- Sakai, H.; Lee, S.S.; Tanaka, T.; Numa, H.; Kim, J.; Kawahara, Y.; Wakimoto, H.; Yang, C.C.; Iwamoto, M.; Abe, T.; et al. Rice Annotation Project Database (RAP-DB): An integrative and interactive database for rice genomics. Plant Cell Physiol. 2013, 54, e6. [Google Scholar] [CrossRef]
- Love, M.I.; Huber, W.; Anders, S. Moderated estimation of fold change and dispersion for RNA-seq data with DESeq2. Genome Biol. 2014, 15, 550. [Google Scholar] [CrossRef]
- Wu, T.; Hu, E.; Xu, S.; Chen, M.; Guo, P.; Dai, Z.; Feng, T.; Zhou, L.; Tang, W.; Zhan, L.; et al. clusterProfiler 4.0: A universal enrichment tool for interpreting omics data. Innovation 2021, 2, 100141. [Google Scholar] [CrossRef] [PubMed]
- Chen, C.; Wu, Y.; Li, J.; Wang, X.; Zeng, Z.; Xu, J.; Liu, Y.; Feng, J.; Chen, H.; He, Y.; et al. TBtools-II: A “one for all, all for one” bioinformatics platform for biological big-data mining. Mol. Plant 2023, 16, 1733–1742. [Google Scholar] [CrossRef] [PubMed]






Disclaimer/Publisher’s Note: The statements, opinions and data contained in all publications are solely those of the individual author(s) and contributor(s) and not of MDPI and/or the editor(s). MDPI and/or the editor(s) disclaim responsibility for any injury to people or property resulting from any ideas, methods, instructions or products referred to in the content. |
© 2025 by the authors. Licensee MDPI, Basel, Switzerland. This article is an open access article distributed under the terms and conditions of the Creative Commons Attribution (CC BY) license (https://creativecommons.org/licenses/by/4.0/).
Share and Cite
Liu, N.; Li, J.; Wang, C.-C.; Yang, T.; Li, A.; Zeng, P.; Peng, H.; Zhang, Y.; Huang, D.; Zheng, X.; et al. Extensin-like Protein OsPEX1 Modulates Grain Filling in Rice. Plants 2025, 14, 2723. https://doi.org/10.3390/plants14172723
Liu N, Li J, Wang C-C, Yang T, Li A, Zeng P, Peng H, Zhang Y, Huang D, Zheng X, et al. Extensin-like Protein OsPEX1 Modulates Grain Filling in Rice. Plants. 2025; 14(17):2723. https://doi.org/10.3390/plants14172723
Chicago/Turabian StyleLiu, Na, Jieni Li, Cong-Cong Wang, Tingting Yang, Ao Li, Peng Zeng, Haifeng Peng, Yuexiong Zhang, Dahui Huang, Xia Zheng, and et al. 2025. "Extensin-like Protein OsPEX1 Modulates Grain Filling in Rice" Plants 14, no. 17: 2723. https://doi.org/10.3390/plants14172723
APA StyleLiu, N., Li, J., Wang, C.-C., Yang, T., Li, A., Zeng, P., Peng, H., Zhang, Y., Huang, D., Zheng, X., & Zhang, X.-Q. (2025). Extensin-like Protein OsPEX1 Modulates Grain Filling in Rice. Plants, 14(17), 2723. https://doi.org/10.3390/plants14172723

