Antibacterial Ingredients and Modes of the Methanol-Phase Extract from the Fruit of Amomum villosum Lour.
Abstract
1. Introduction
2. Results and Discussion
2.1. Antibacterial Activity of Crude Extracts from the Fruit of A. villosum Lour.
2.2. Purification of the MPE of A. villosum Lour.
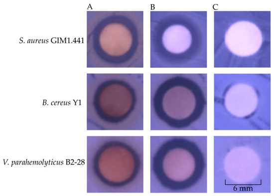
2.3. Inhibited Growth of the Target Strains Treated with Fraction 2 of A. villosum Lour.
2.4. Changed Cell Surface Hydrophobicity (CSH), Cell Membrane Fluidity (CMF), and Cell Membrane Permeability (CMP) of the Target Strains Treated with Fraction 2 of A. villosum Lour.
2.5. Changed Cell Morphological Structure of the Target Strains Treated with Fraction 2 of A. villosum Lour.
2.6. Nucleotide Acid and Protein Exudation of the Target Strains Treated with Fraction 2 of A. villosum Lour.
2.7. The Altered Metabolic Pathways in the Target Strains Treated with Fraction 2 of A. villosum Lour.
2.7.1. The Altered Metabolic Pathways in S. aureus GIM1.441 Treated with Fraction 2 of A. villosum Lour.
2.7.2. The Altered Metabolic Pathways in B. cereus Y1 Treated with Fraction 2 of A. villosum Lour.
2.7.3. The Altered Metabolic Pathways in V. parahemolyticus B2-28 Treated with Fraction 2 of A. villosum Lour.
2.7.4. Antibacterial Modes of Fraction 2 of A. villosum Lour.
2.8. Identification of Potential Antibacterial Compounds in Fraction 2 of A. villosum Lour.
3. Materials and Methods
3.1. Bacterial Strains and Culture Conditions
3.2. Extraction of Bacteriostatic Substances from A. villosum Lour.
3.3. Antibacterial Activity Assay
3.4. Prep-HPLC Analysis
3.5. UHPLC-MS Analysis.
3.6. Growth Curve Assay
3.7. SEM Assay
3.8. The CSH, CMF, and CMP Assays
3.9. Bacterial Nucleotide Acid and Protein Exudation Assays
3.10. Illumina RNA Sequencing
3.11. RT-qPCR Assay
3.12. Data Analysis
4. Conclusions
Supplementary Materials
Author Contributions
Funding
Data Availability Statement
Acknowledgments
Conflicts of Interest
References
- Chow, F.W. Genomics: Infectious disease and host-pathogen interaction. Int. J. Mol. Sci. 2023, 24, 1748. [Google Scholar] [CrossRef] [PubMed]
- Chapman, B.; Gunter, C. Local food systems food safety concerns. Microbiol. Spectr. 2018, 6, 1–9. [Google Scholar] [CrossRef] [PubMed]
- Chang, R.Y.K.; Nang, S.C.; Chan, H.K.; Li, J. Novel antimicrobial agents for combating antibiotic-resistant bacteria. Adv. Drug Deliv. Rev. 2022, 187, 114378. [Google Scholar] [CrossRef] [PubMed]
- Li, C.; Cui, Z.; Deng, S.; Chen, P.; Li, X.; Yang, H. The potential of plant extracts in cell therapy. Stem Cell Res. Ther. 2022, 13, 472. [Google Scholar] [CrossRef] [PubMed]
- Cai, R.; Yue, X.; Wang, Y.; Yang, Y.; Sun, D.; Li, H.; Chen, L. Chemistry and bioactivity of plants from the genus Amomum. J. Ethnopharmacol. 2021, 281, 114563. [Google Scholar] [CrossRef] [PubMed]
- Ma, M.; Lu, B. The complete chloroplast genome sequence of Amomum villosum Lour. Mitochondrial DNA Part B—Resour. 2020, 5, 1042–1043. [Google Scholar] [CrossRef] [PubMed]
- Chen, S.; Chen, J.; Xu, Y.; Wang, X.; Li, J. Elsholtzia: A genus with antibacterial, antiviral, and anti-inflammatory advantages. J. Ethnopharmacol. 2022, 297, 115549. [Google Scholar] [CrossRef]
- Yin, H.; Dan, W.J.; Fan, B.Y.; Guo, C.; Wu, K.; Li, D.; Xian, K.F.; Pescitelli, G.; Gao, J.M. Anti-inflammatory and a-glucosidase inhibitory activities of labdane and norlabdane diterpenoids from the rhizomes of Amomum villosum. J. Nat. Prod. 2019, 82, 2963–2971. [Google Scholar] [CrossRef]
- Luo, D.; Zeng, J.; Guan, J.; Xu, Y.; Jia, R.B.; Chen, J.; Jiang, G.; Zhou, C. Dietary supplement of Amomum villosum Lour. polysaccharide attenuates ulcerative colitis in balb/c mice. Foods 2022, 11, 3737. [Google Scholar] [CrossRef]
- Tang, C.; Chen, J.; Zhang, L.; Zhang, R.; Zhang, S.; Ye, S.; Zhao, Z.; Yang, D. Exploring the antibacterial mechanism of essential oils by membrane permeability, apoptosis and biofilm formation combination with proteomics analysis against methicillin-resistant Staphylococcus aureus. Int. J. Med. Microbiol. 2020, 10, 151435. [Google Scholar] [CrossRef]
- Tang, Y.; Yu, P.; Chen, L. Identification of antibacterial components and modes in the methanol-phase extract from a herbal plant Potentilla kleiniana Wight Et Arn. Foods 2023, 12, 1640. [Google Scholar] [CrossRef] [PubMed]
- Liu, Y.; Tang, Y.; Ren, S.; Chen, L. Antibacterial components and modes of the methanol-phase extract from Commelina communis Linn. Plants 2023, 12, 890. [Google Scholar] [CrossRef] [PubMed]
- Fu, J.; Wang, Y.; Sun, M.; Xu, Y.; Chen, L. Antibacterial activity and components of the methanol-phase extract from rhizomes of pharmacophagous plant Alpinia officinarum hance. Molecules 2022, 27, 4308. [Google Scholar] [CrossRef] [PubMed]
- Liu, Y.; Yang, L.; Liu, P.; Jin, Y.; Qin, S.; Chen, L. Identification of antibacterial components in the methanol-phase extract from edible herbaceous plant Rumex madaio makino and their antibacterial action modes. Molecules 2022, 27, 660. [Google Scholar] [CrossRef] [PubMed]
- Ahmad-Mansour; Loubet, P.; Pouget, C.; Dunyach-Remy, C.; Sotto, A.; Lavigne, J.P.; Molle, V. Staphylococcus aureus toxins: An update on their pathogenic properties and potential preatments. Toxins 2021, 13, 677. [Google Scholar] [CrossRef] [PubMed]
- Prince, C.; Kovac, J. Regulation of enterotoxins associated with Bacillus cereus sensu lato toxicoinfection. Appl. Environ. Microbiol. 2022, 88, e0040522. [Google Scholar] [CrossRef] [PubMed]
- Liu, W.; Ou, P.; Tian, F.; Liao, J.; Ma, Y.; Wang, J.; Jin, X. Anti-Vibrio parahaemolyticus compounds from Streptomyces parvus based on Pan-genome and subtractive proteomics. Front. Microbiol. 2023, 14, 1218176. [Google Scholar] [CrossRef] [PubMed]
- Vij, R.; Danchik, C.; Crawford, C.; Dragotakes, Q.; Casadevall, A. Variation in cell surface hydrophobicity among Cryptococcus neoformans strains influences interactions with amoebas. mSphere 2020, 5, e00310–e00320. [Google Scholar] [CrossRef]
- Scheinpflug, K.; Krylova, O.; Strahl, H. Measurement of cell membrane fluidity by laurdan Gp: Fluorescence spectroscopy and microscopy. Methods Mol. Biol. 2017, 1520, 159–174. [Google Scholar] [CrossRef]
- Vaara, M. Agents that increase the permeability of the outer membrane. Microbiol. Rev. 1992, 56, 395–411. [Google Scholar] [CrossRef]
- Bouyahya, A.; Abrini, J.; Dakka, N.; Bakri, Y. Essential oils of Origanum compactum increase membrane permeability, disturb cell membrane integrity, and suppress quorum-sensing phenotype in bacteria. J. Pharm. Anal. 2019, 9, 301–311. [Google Scholar] [CrossRef] [PubMed]
- Singh, N.; Chauhan, A.; Kumar, R.; Singh, S.K. Biochemical and functional characterization of Mycobacterium tuberculosis ketol-acid reductoisomerase. Microbiology 2021, 167, 001087. [Google Scholar] [CrossRef] [PubMed]
- Yoshida, A.; Yoshida, M.; Kuzuyama, T.; Nishiyama, M.; Kosono, S. Protein acetylation on 2-isopropylmalate synthase from Thermus thermophilus Hb27. Extremophiles 2019, 23, 377–388. [Google Scholar] [CrossRef] [PubMed]
- Hashiguchi, K.; Kojima, H.; Sato, K.; Sano, K. Effects of an escherichia coli Ilva mutant gene encoding feedback-resistant threonine deaminase on L-isoleucine production by Brevibacterium flavum. Biosci. Biotechnol. Biochem. 1997, 61, 105–108. [Google Scholar] [CrossRef] [PubMed]
- Nango, E.; Yamamoto, T.; Kumasaka, T.; Eguchi, T. Crystal structure of 3-isopropylmalate dehydrogenase in complex with NAD+ and a designed inhibitor. Bioorg. Med. Chem. 2009, 17, 7789–7794. [Google Scholar] [CrossRef] [PubMed]
- Lipps, G.; Krauss, G. Adenylosuccinate synthase from Saccharomyces cerevisiae: Homologous overexpression, purification and characterization of the recombinant protein. Biochem. J. 1999, 341, 537–543. [Google Scholar] [CrossRef] [PubMed][Green Version]
- Li, Z.; Xu, M.; Wei, H.; Wang, L.; Deng, M. RNA-seq analyses of antibiotic resistance mechanisms in Serratia marcescens. Mol. Med. Rep. 2019, 20, 745–754. [Google Scholar] [CrossRef]
- Pelletier, J.; Thomas, G.; Volarević, S. Ribosome biogenesis in cancer: New players and therapeutic avenues. Nat. Rev. Cancer 2018, 18, 51–63. [Google Scholar] [CrossRef]
- Wilson, D.N. Ribosome-targeting antibiotics and mechanisms of bacterial resistance. Nat. Rev. Microbiol. 2014, 12, 35–48. [Google Scholar] [CrossRef]
- Salah Ud-Din, A.I.M.; Roujeinikova, A. Methyl-accepting chemotaxis proteins: A core sensing element in prokaryotes and archaea. Cell. Mol. Life Sci. 2017, 74, 3293–3303. [Google Scholar] [CrossRef]
- Cooper, K.G.; Chong, A.; Kari, L.; Jeffrey, B.; Starr, T.; Martens, C.; McClurg, M. Regulatory protein HilD stimulates Salmonella Typhimurium invasiveness by promoting smooth swimming via the methyl-accepting chemotaxis protein McpC. Nat. Commun. 2021, 12, 348. [Google Scholar] [CrossRef] [PubMed]
- Bi, F.; Ma, R.; Ma, S. Discovery and optimization of NAD+-dependent DNA ligase inhibitors as novel antibacterial compounds. Curr. Pharm. Design 2017, 23, 2117–2130. [Google Scholar] [CrossRef] [PubMed]
- Furman, C.M.; Elbashir, R.; Alani, E. Expanded roles for the Mutl family of DNA mismatch repair proteins. Yeast 2021, 38, 39–53. [Google Scholar] [CrossRef] [PubMed]
- Yu, L.; Lu, W.; Ye, C.; Wang, Z.; Zhong, M.; Chai, Q.; Sheetz, M.; Wei, Y. Role of a conserved residue R780 in Escherichia coli multidrug transporter acrb. Biochemistry 2013, 52, 6790. [Google Scholar] [CrossRef] [PubMed]
- Alfonso-Prieto, M.; Biarnés, X.; Vidossich, P.; Rovira, C. The molecular mechanism of the catalase reaction. J. Am. Chem. Soc. 2009, 131, 11751–117661. [Google Scholar] [CrossRef] [PubMed]
- Mizrachi Nebenzahl, Y.; Blau, K.; Kushnir, T.; Shagan, M.; Portnoi, M.; Cohen, A.; Azriel, S. Streptococcus pneumoniae cell-wall-localized phosphoenolpyruvate protein phosphotransferase can function as an adhesin: Identification of its host target molecules and evaluation of its potential as a vaccine. PLoS ONE 2016, 11, e0150320. [Google Scholar] [CrossRef] [PubMed]
- Ito, S.; Koyama, N.; Osanai, T. Citrate synthase from Synechocystis is a distinct class of bacterial citrate synthase. Sci. Rep. 2019, 9, 6038. [Google Scholar] [CrossRef]
- Jung, J.; Lee, S.J. Biochemical and biodiversity insights into heavy metal ion-responsive transcription regulators for synthetic biological heavy metal sensors. J. Microbiol. Biotechnol. 2019, 29, 1522–1542. [Google Scholar] [CrossRef]
- Groshong, A.M.; McLain, M.A.; Radolf, J.D. Host-specific functional compartmentalization within the oligopeptide transporter during the borrelia burgdorferi enzootic cycle. PLoS Pathog. 2021, 17, e1009180. [Google Scholar] [CrossRef]
- Li, S.; Wang, L.; Sun, S.; Wu, Q. Hepsin: A multifunctional transmembrane serine protease in pathobiology. FEBS J. 2021, 288, 5252–5264. [Google Scholar] [CrossRef]
- Tonkin, M.; Khan, S.; Wani, M.Y.; Ahmad, A. QS-a stratagem for conquering multi-drug resistant pathogens. Curr. Pharm. Design 2021, 27, 2835–2847. [Google Scholar] [CrossRef] [PubMed]
- Bayaraa, T.; Kurz, J.L.; Patel, K.M.; Hussein, W.M.; Bilyj, J.K.; West, N.P.; Schenk, G.; McGeary, R.P.; Guddat, L.W. Discovery, synthesis and evaluation of a ketol-acid reductoisomerase inhibitor. Chemistry. 2020, 26, 8958–8968. [Google Scholar] [CrossRef] [PubMed]
- Kim, H.J.; Black, M.; Edwards, R.A.; Peillard-Fiorente, F.; Panigrahi, R.; Klingler, D.; Eidelpes, R. Structural basis for recognition of transcriptional terminator structures by ProQ/FinO domain RNA chaperones. Nat. Commun. 2022, 13, 7076. [Google Scholar] [CrossRef] [PubMed]
- Saoud, J.; Mani, T.; Rohrbach, P.; Faucher, S.P. A tail-specific protease is required for Legionella pneumophila intracellular multiplication. Can. J. Microbiol. 2022, 68, 747–757. [Google Scholar] [CrossRef] [PubMed]
- DeAngelis, C.M.; Nag, D.; Withey, J.H.; Matson, J.S. Characterization of the Vibrio cholerae phage shock protein response. J. Bacteriol. 2019, 201, e0076118. [Google Scholar] [CrossRef] [PubMed]
- Luckose, F.; Pandey, M.C.; Radhakrishna, K. Effects of amino acid derivatives on physical, mental, and physiological activities. Crit. Rev. Food Sci. Nutr. 2015, 13, 1793–1807. [Google Scholar] [CrossRef] [PubMed]
- Li, F.; Fu, T.; Tong, W.D.; Liu, B.H.; Li, C.X.; Gao, Y.; Wu, J.S.; Wang, X.F.; Zhang, A.P. Lubiprostone is effective in the treatment of chronic idiopathic constipation and irritable bowel syndrome: A systematic review and meta-analysis of randomized controlled trials. Mayo Clin. Proc. 2022, 13, 472. [Google Scholar] [CrossRef]
- Sharma, A.; Biharee, A.; Kumar, A.; Jaitak, V. Antimicrobial terpenoids as a potential substitute in overcoming antimicrobial resistance. Curr. Drug Targets 2020, 21, 1476–1494. [Google Scholar] [CrossRef]
- Hang, S.; Wu, W.; Wang, Y.; Sheng, R.; Fang, Y.; Guo, R. Daphnetin, a coumarin in genus Stellera chamaejasme Linn: Chemistry, bioactivity and therapeutic potential. Chem. Biodivers. 2022, 19, e202200261. [Google Scholar] [CrossRef]
- Yang, T.; Sun, S.; Wang, T.; Tong, X.; Bi, J.; Wang, Y.; Sun, Z. Piperlonguminine is neuroprotective in experimental rat stroke. Int. Immunopharmacol. 2014, 23, 447–451. [Google Scholar] [CrossRef]
- Valentová, K.; Vrba, J.; Bancířová, M.; Ulrichová, J.; Křen, V. Isoquercitrin: Pharmacology, toxicology, and metabolism. Food Chem. Toxicol. 2014, 68, 267–282. [Google Scholar] [CrossRef]
- Cui, J.; Hölzl, G.; Karmainski, T.; Tiso, T.; Kubick, S.I.; Thies, S.; Blank, L.M.; Jaeger, K.E.; Dörmann, P. The glycine-glucolipid of alcanivorax borkumensis is resident to the bacterial cell wall. Appl. Environ. Microbiol. 2022, 88, e0112622. [Google Scholar] [CrossRef]
- Lin, Z.; Lin, Y.; Zhang, Z.; Shen, J.; Yang, C.; Jiang, M.; Hou, Y. Systematic analysis of bacteriostatic mechanism of flavonoids using transcriptome and its therapeutic effect on vaginitis. Aging 2020, 12, 6292–6305. [Google Scholar] [CrossRef]
- Atta, S.; Waseem, D.; Fatima, H.; Naz, I.; Rasheed, F.; Kanwal, N. Antibacterial potential and synergistic interaction between natural polyphenolic extracts and synthetic antibiotic on clinical isolates. Saudi J. Biol. Sci. 2023, 30, 103576. [Google Scholar] [CrossRef]
- Yang, L.; Wang, Y.; Yu, P.; Ren, S.; Zhu, Z.; Jin, Y.; Yan, J.; Peng, X.; Chen, L. Prophage-related gene Vpachn25_0724 contributes to cell membrane integrity and growth of Vibrio parahaemolyticus Chn25. Front. Cell. Infect. Microbiol. 2020, 10, 595709. [Google Scholar] [CrossRef] [PubMed]









| Bacterial Strain | DIZ (Diameter, mm) | MIC (μg/mL) | |
|---|---|---|---|
| MPE | CPE | MPE | |
| Aeromonas hydrophila ATCC35654 | 8.00 ± 0.26 | 10.00 ± 0.53 | 1024 |
| Bacillus cereus Y1 | 9.50 ± 0.26 | 8.00 ± 0.56 | 512 |
| Enterobacter cloacae ATCC13047 | — | 8.00 ± 0.26 | — |
| Enterobacter cloacae D1 | — | — | — |
| Escherichia coli ATCC8739 | — | 8.00 ± 0.10 | — |
| Escherichia coli K12 | — | — | — |
| Escherichia coli ATCC25922 | — | 9.00 ± 0.36 | — |
| Enterobacter sakazakii CMCC45401 | — | — | — |
| Klebsiella pneumoniae 7-17-16 | — | 9.00 ± 0.44 | — |
| Pseudomonas aeruginosa ATCC9027 | — | 8.00 ± 0.17 | — |
| Pseudomonas aeruginosa ATCC27853 | 8.00 ± 0.36 | 9.00 ± 0.17 | 1024 |
| Staphylococcus aureus GIM1.481 | 9.50 ± 0.20 | — | 512 |
| Staphylococcus aureus GIM1.441 | 11.00 ± 0.53 | — | 128 |
| Staphylococcus aureus GIM1.160 | — | — | — |
| Shigella dysenteriae CMCC51252 | 9.00 ± 0.56 | — | 512 |
| Salmonella choleraesuis ATCC13312 | — | — | — |
| Shigella flexneri GIM1.238 | 8.50 ± 0.26 | 9.00 ± 0.44 | 1024 |
| Shigella flexneri GIM1.539 | — | — | — |
| Shigella flexneri GIM1.231 | — | — | — |
| Salmonella paratyphi GIM1.235 | — | — | — |
| Shigella sonnei GIM1.424 | 9.00 ± 0.17 | — | 512 |
| Shigella sonnei GIM1.239 | — | 9.00 ± 0.35 | — |
| Salmonella enterica subsp. enterica (ex Kauffmann and Edwards) Le Minor and Popoff serovar Vellore ATCC15611 | 9.00 ± 0.17 | — | 512 |
| Vibrio cholerae GIM1.449 | 8.50 ± 0.26 | 9.00 ± 0.52 | 1024 |
| Vibrio cholerae B1 | — | 8.00 ± 0.61 | — |
| Vibrio parahaemolyticus B2-28 | 9.50 ± 0.26 | — | 256 |
| Vibrio parahaemolyticus N2-5 | 9.00 ± 0.40 | — | 1024 |
| Vibrio parahaemolyticus N9-20 | 9.00 ± 0.35 | — | 512 |
| Vibrio alginolyticus ATCC33787 | 8.00 ± 0.50 | — | 1024 |
| Vibrio fluvialis ATCC33809 | — | 10.00 ± 0.10 | — |
| Vibrio harveyi ATCC BAA-1117 | 8.00 ± 0.53 | — | 1024 |
| Vibrio harveyi ATCC33842 | — | 10.00 ± 0.26 | — |
| Vibrio metschnikovi ATCC700040 | 9.00 ± 0.30 | — | 512 |
| Vibrio mimicus bio-56759 | 9.00 ± 0.44 | — | 512 |
| Vibrio parahaemolyticus ATCC17802 | 9.00 ± 0.50 | 8.00 ± 0.53 | 512 |
| Vibrio parahaemolyticus ATCC33847 | 9.00 ± 0.26 | 10.00 ± 0.44 | 512 |
| Vibrio vulnificus ATCC27562 | — | — | — |
| Bacterial Strain | DIZ (Diameter, mm) | MIC (μg/mL) |
|---|---|---|
| A. hydrophila ATCC35654 | 8.00 ± 0.44 | 2048 |
| B. cereus Y1 | 11.00 ± 0.00 | 512 |
| S. aureus GIM1.481 | 9.50 ± 0.15 | 1024 |
| S. aureus GIM1.441 | 11.50 ± 0.26 | 256 |
| S. dysenteriae CMCC51252 | 8.00 ± 0.78 | 2048 |
| S. flexneri GIM1.238 | 8.00 ± 0.61 | 2048 |
| S. sonnei GIM1.424 | 8.50 ± 0.1 | 1024 |
| Salmonella enterica subsp. enterica (ex Kauffmann and Edwards) Le Minor and Popoff serovar Vellore ATCC15611 | 8.00 ± 0.35 | 2048 |
| V. parahemolyticus B2-28 | 11.00 ± 0.26 | 512 |
| V. parahemolyticus N2-5 | 8.00 ± 0.61 | 2048 |
| V. parahemolyticus N9-20 | 7.00 ± 0.10 | 4096 |
| V. alginolyticus ATCC33787 | 8.00 ± 0.36 | 2048 |
| V. mimicus bio-56759 | 9.00 ± 0.56 | 1024 |
| V. parahemolyticus ATCC17802 | 10.00 ± 0.26 | 1024 |
| V. parahemolyticus ATCC33847 | 8.00 ± 0.46 | 2048 |
| Identified Compound | Rt (min) | Compound Nature | Formula | Exact Mass | Fraction Area (%) |
|---|---|---|---|---|---|
| 4-Hydroxyphenylacetylglutamic acid | 12.99 | Glutamate and derivatives | C13H15NO6 | 281.09 | 30.89% |
| Lubiprostone | 12.75 | Fatty acyls | C20H32F2O5 | 390.22 | 11.86% |
| Miltirone | 12.98 | Diterpenoids | C19H22O2 | 282.16 | 10.68% |
| Oleic acid | 13.03 | Fatty acyls | C18H34O2 | 282.26 | 10.58% |
| Oxymorphone | 11.18 | Morphinane and derivatives | C17H19NO4 | 301.13 | 5.69% |
| Piperlonguminine | 10.57 | Alkaloids | C16H19NO3 | 273.14 | 4.81% |
| Adenosine | 2.58 | Amino acid and derivatives | C10H13N5O4 | 267.1 | 3.74% |
| Nandrolone | 10.58 | Steroids and steroid derivatives | C18H26O2 | 274.19 | 2.89% |
| Palmitic acid | 12.92 | Lipids | C16H32O2 | 256.24 | 2.64% |
| Sarracine | 13.14 | Alkaloids | C18H27NO5 | 337.19 | 2.27% |
| Glucose 1-phosphate | 13.00 | Organo-oxygen compounds | C6H13O9P | 260.03 | 2.23% |
| Artemisinin | 13.02 | Sesquiterpenoids | C15H22O5 | 282.15 | 1.83% |
| Erucic acid | 13.28 | Fatty acyls | C22H42O2 | 338.32 | 0.93% |
| 2-Phenylacetamide | 2.52 | Benzene and substituted derivatives | C8H9NO | 135.07 | 0.92% |
| Crotonoside | 2.40 | Alkaloids | C10H13N5O5 | 283.09 | 0.76% |
| 22-Dehydroclerosterol | 12.59 | Steroids | C29H46O | 410.35 | 0.72% |
| Guanine | 2.63 | Nucleotide and derivates | C5H5N5O | 151.05 | 0.64% |
| Wighteone | 13.01 | Flavonoids | C20H18O5 | 338.12 | 0.52% |
| 4-Hydroxybenzaldehyde | 1.91 | Phenols | C7H6O2 | 122.04 | 0.47% |
| Octadecanamide | 13.02 | Fatty acyls | C18H37NO | 283.29 | 0.47% |
| 8-Geranyloxypsoralen | 13.29 | Coumarins | C21H22O4 | 338.15 | 0.45% |
| Kirenol | 13.03 | Diterpenoids | C20H34O4 | 338.25 | 0.34% |
| 7-(4-Hydroxyphenyl)-1-phenyl-4-hepten-3-one | 12.53 | Phenols | C19H20O2 | 280.15 | 0.32% |
| Glycerophosphocholine | 12.87 | Cholines | C8H20NO6P | 257.22 | 0.30% |
| Supinine | 12.99 | Alkaloids | C15H25NO4 | 283.18 | 0.27% |
| Octyl gallate | 12.97 | Phenols | C15H22O5 | 282.15 | 0.22% |
| Inosine | 2.60 | Nucleotide and derivates | C10H12N4O5 | 268.08 | 0.21% |
| Moracin C | 13.99 | Phenols | C19H18O4 | 310.12 | 0.20% |
| AICA-riboside | 13.28 | Imidazole ribonucleosides and ribonucleotides | C9H15N4O8P | 338.06 | 0.19% |
| Glucose 1-phosphate | 13.03 | Organo-oxygen compounds | C6H13O9P | 260.03 | 0.14% |
| Kirenol | 13.16 | Diterpenoids | C20H34O4 | 338.25 | 0.12% |
| Isoquercitrin | 6.06 | Flavonoids | C21H20O12 | 464.1 | 0.10% |
| Oleamide | 12.54 | Fatty acyls | C18H35NO | 281.27 | 0.10% |
| DL-Tyrosine | 1.90 | Monophenols amino acids | C9H11NO3 | 181.07 | 0.08% |
| L-Pipecolic acid | 0.69 | Amino acid and derivatives | C6H11NO2 | 129.08 | 0.08% |
| Stearic acid | 13.02 | Fatty acyls | C18H36O2 | 284.27 | 0.07% |
| Panaxynol | 12.57 | Miscellaneous | C17H24O | 244.18 | 0.06% |
| Xanthosine | 2.61 | Nucleotide and derivates | C10H12N4O6 | 284.08 | 0.05% |
| N1-Methyl-4-pyridone-3-carboxamide | 2.66 | Pyridines and derivatives | C7H8N2O2 | 152.06 | 0.05% |
| 2-(2-Hydroxy-2-propyl)-5-methyl-5-vinyltetrahydrofuran | 5.47 | Monoterpenoids | C10H18O2 | 170.13 | 0.05% |
| α-Isopropylmalate | 10.79 | Nucleotide and derivates | C7H12O5 | 176.07 | 0.04% |
| Isoquercitrin | 6.22 | Flavonoids | C21H20O12 | 464.1 | 0.04% |
| Bergamotine | 13.03 | Coumarins | C21H22O4 | 338.15 | 0.04% |
| Seneciphylline | 9.06 | Alkaloids | C18H23NO5 | 333.16 | 0.03% |
| Cianidanol | 4.50 | Flavonoids | C15H14O6 | 290.08 | 0.03% |
| 3,4,5-Trimethoxycinnamyl alcohol | 10.40 | Phenylpropanoids | C12H16O4 | 224.1 | 0.03% |
| Procyanidin B2 | 4.78 | Flavonoids | C30H26O12 | 578.14 | 0.03% |
| (Z)-Aconitic acid | 1.46 | Organic acids and derivatives | C6H6O6 | 174.02 | 0.03% |
| Astragalin | 6.52 | Flavonoids | C21H20O11 | 448.1 | 0.03% |
| Kazinol A | 13.26 | Phenols | C25H30O4 | 394.21 | 0.02% |
| Epifriedelanol | 12.29 | Terpenoids | C30H52O | 428.4 | 0.02% |
| Stigmasterol | 13.12 | Steroids | C29H48O | 412.37 | 0.02% |
| 4-Propylphenol | 10.56 | Benzene and substituted derivatives | C9H12O | 136.09 | 0.02% |
| Kaempferol-3-O-glucorhamnoside | 6.29 | Flavonoids | C27H30O15 | 594.16 | 0.02% |
| Geranyl acetate | 9.58 | Monoterpenoids | C12 H20O2 | 196.15 | 0.01% |
| Tiliroside | 7.92 | Flavonoids | C30H26O13 | 594.14 | 0.01% |
| 3,4-Dihydrocoumarin | 6.68 | Coumarins | C9H8O2 | 148.05 | 0.01% |
| 20-HETE | 13.28 | Fatty acyls | C20H32O3 | 320.24 | 0.01% |
| Herniarin | 7.69 | Coumarins | C10H8O3 | 176.05 | 0.01% |
| Fingolimod hydrochloride | 13.11 | Sphingosine analogues | C19H34C1NO2 | 343.93 | 0.01% |
| 4-Hydroxybenzoic acid | 1.08 | Phenols | C7H6O3 | 138.03 | 0.01% |
| D-Glucuronic acid lactone | 4.22 | Ketones | C6H8O6 | 176.03 | 0.01% |
| Tricetin | 8.05 | Flavonoids | C15H10O7 | 302.04 | 0.01% |
| Benzocaine | 3.05 | Benzene and substituted derivatives | C9H11NO2 | 165.08 | 0.01% |
| Taxiphyllin | 13.33 | Phenols | C14H17NO7 | 311.1 | 0.01% |
| Thymol | 10.86 | Phenols | C10H14O | 150.1 | 0.01% |
| 5-Aminovaleric acid | 1.11 | Amino acid and derivatives | C5H11NO2 | 117.08 | 0.01% |
| 3,5,7-Trimethoxyflavone | 10.8 | Flavonoids | C18H16O5 | 312.1 | 0.01% |
| N-Methyl-4-pyridone-3-carboxamide | 2.63 | Pyridines and derivatives | C7H8N2O2 | 152.06 | 0.01% |
| 9,10-DiHOME | 13.3 | Linoleic acid diol derivative | C18H34O4 | 314.25 | 0.01% |
| Physalin O | 12.39 | Steroids and steroid derivatives | C28H32O10 | 528.2 | 0.01% |
| Azelaic acid | 6.81 | Organic acids | C9H16O4 | 188.1 | 0.01% |
| 3-Indolebutyric acid | 9.00 | Alkaloids | C12H13NO2 | 203.09 | 0.01% |
| Rutin | 5.85 | Flavonoids | C27H30O16 | 610.15 | 0.01% |
| Niazirin | 12.54 | Saccharides | C14H17NO5 | 279.11 | 0.01% |
| 1-Octacosanol | 13.20 | Fatty alcohol | C28H58O | 410.45 | 0.01% |
| Limonexic acid | 12.55 | Triterpenoids | C26H30O10 | 502.18 | 0.01% |
| Taraxasterone | 13.85 | Triterpenoids | C30H48O | 424.37 | 0.01% |
| Mitraphylline | 13.02 | Alkaloids | C21H24N2O4 | 368.17 | 0.01% |
| DL-α-Tocopherol acetate | 13.37 | Vitamin E derivatives | C31H52O3 | 472.39 | 0.01% |
| Trans-Cinnamaldehyde | 6.34 | Phenylpropanoids | C9H8O | 132.06 | 0.01% |
| Caffeoyl alcohol | 10.09 | Phenols | C9H10O3 | 166.06 | 0.01% |
| Calycosin | 9.10 | Flavonoids | C16H12O5 | 284.07 | 0.01% |
| Biochanin A | 11.38 | Flavonoids | C16H12O5 | 284.07 | 0.01% |
| Nicotiflorin | 12.34 | Flavonoids | C27H30O15 | 594.16 | 0.01% |
| Tiliroside | 8.17 | Flavonoids | C30H26O13 | 594.14 | 0.01% |
| 1-Isomangostin | 13.16 | Xanthones | C24H26O6 | 410.17 | 0.01% |
| Sterebin F | 13.03 | Terpenoids | C20H34O4 | 338.25 | 0.01% |
| 6,8-Diprenylnaringenin | 12.62 | Flavonoids | C25H28O5 | 408.19 | 0.01% |
Disclaimer/Publisher’s Note: The statements, opinions and data contained in all publications are solely those of the individual author(s) and contributor(s) and not of MDPI and/or the editor(s). MDPI and/or the editor(s) disclaim responsibility for any injury to people or property resulting from any ideas, methods, instructions or products referred to in the content. |
© 2024 by the authors. Licensee MDPI, Basel, Switzerland. This article is an open access article distributed under the terms and conditions of the Creative Commons Attribution (CC BY) license (https://creativecommons.org/licenses/by/4.0/).
Share and Cite
Zhang, K.; Cao, F.; Zhao, Y.; Wang, H.; Chen, L. Antibacterial Ingredients and Modes of the Methanol-Phase Extract from the Fruit of Amomum villosum Lour. Plants 2024, 13, 834. https://doi.org/10.3390/plants13060834
Zhang K, Cao F, Zhao Y, Wang H, Chen L. Antibacterial Ingredients and Modes of the Methanol-Phase Extract from the Fruit of Amomum villosum Lour. Plants. 2024; 13(6):834. https://doi.org/10.3390/plants13060834
Chicago/Turabian StyleZhang, Kaiyue, Fengfeng Cao, Yueliang Zhao, Hengbin Wang, and Lanming Chen. 2024. "Antibacterial Ingredients and Modes of the Methanol-Phase Extract from the Fruit of Amomum villosum Lour." Plants 13, no. 6: 834. https://doi.org/10.3390/plants13060834
APA StyleZhang, K., Cao, F., Zhao, Y., Wang, H., & Chen, L. (2024). Antibacterial Ingredients and Modes of the Methanol-Phase Extract from the Fruit of Amomum villosum Lour. Plants, 13(6), 834. https://doi.org/10.3390/plants13060834

