Telomere Length Variation in Model Bryophytes
Abstract
1. Introduction
2. Results
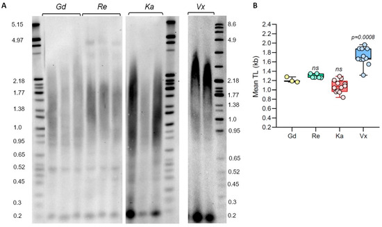
2.1. Telomere Length Varies in Physcomitrium patens Ecotypes
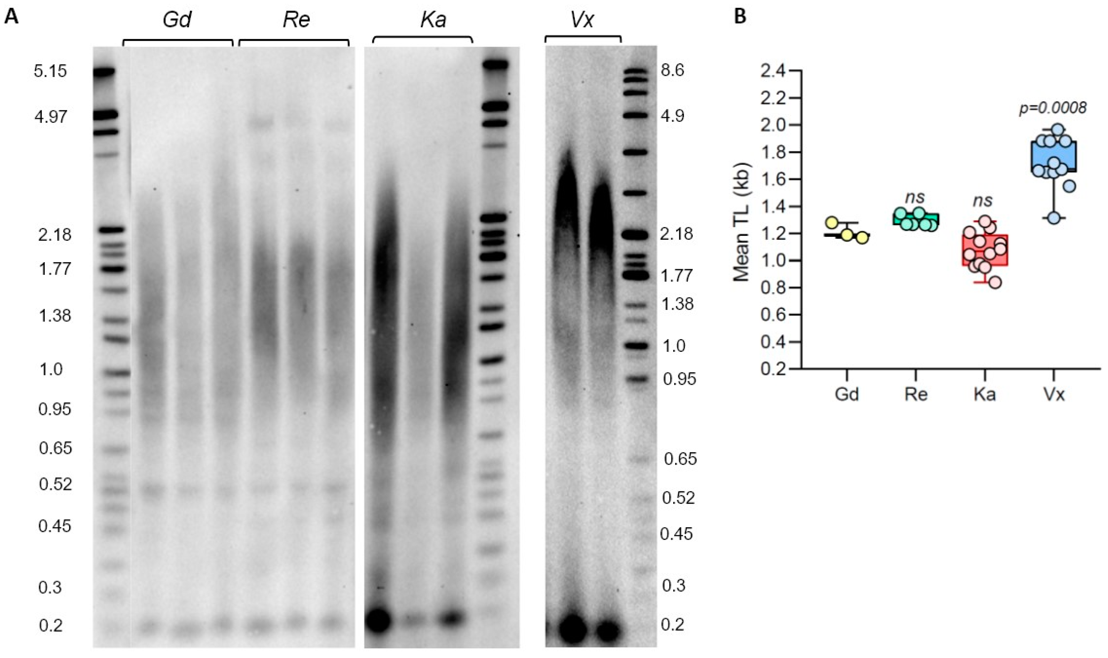
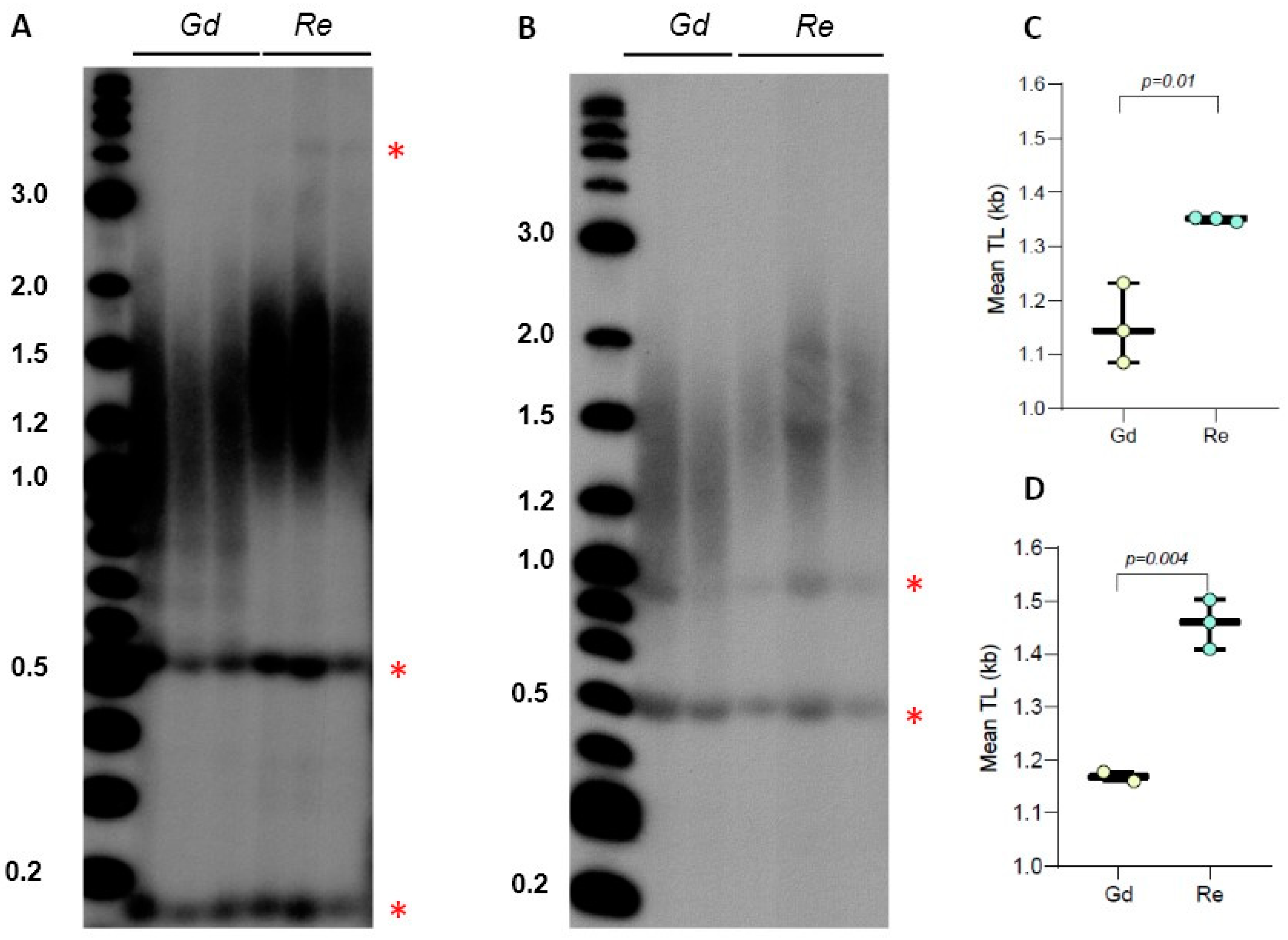
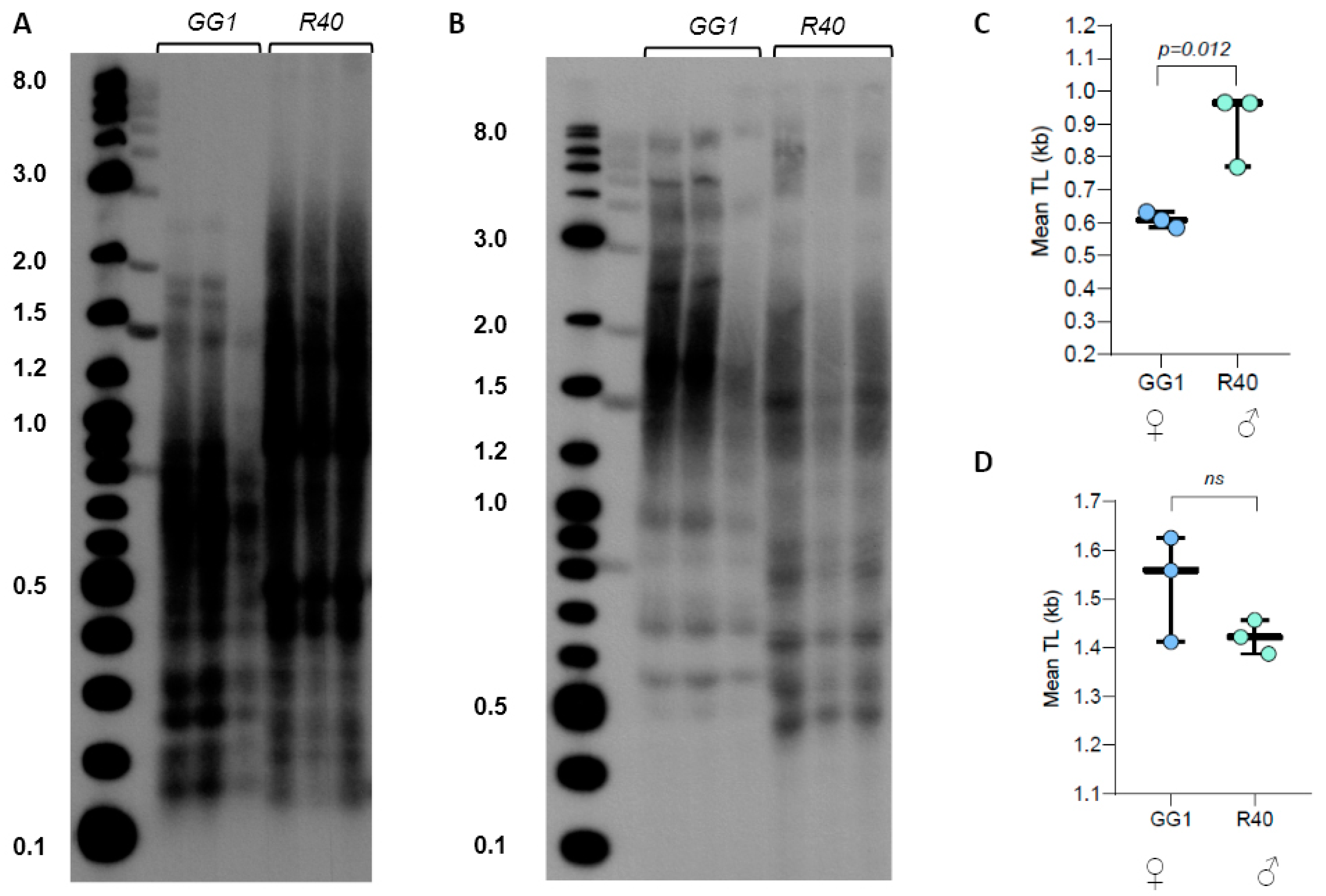
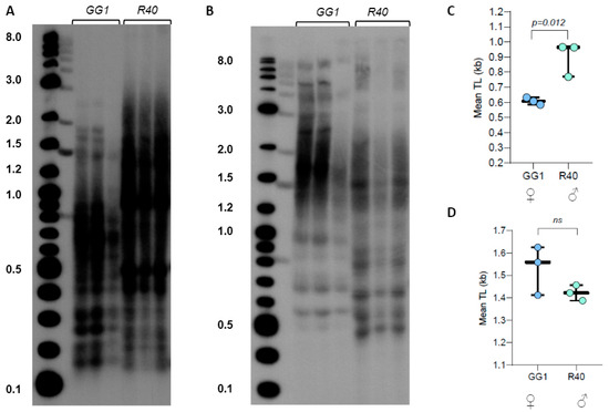
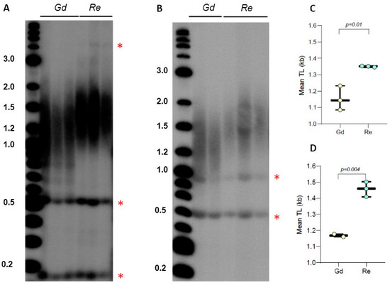
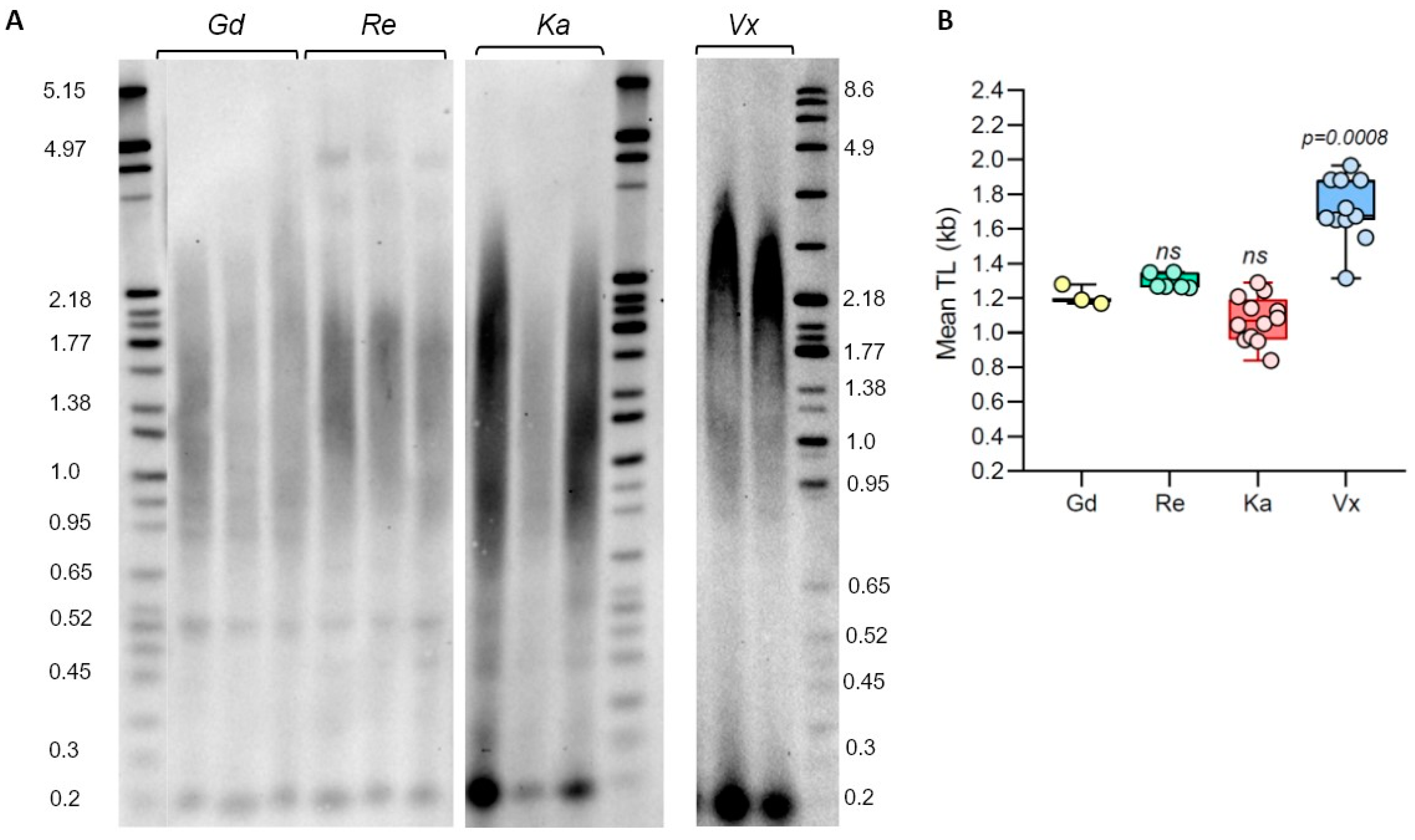
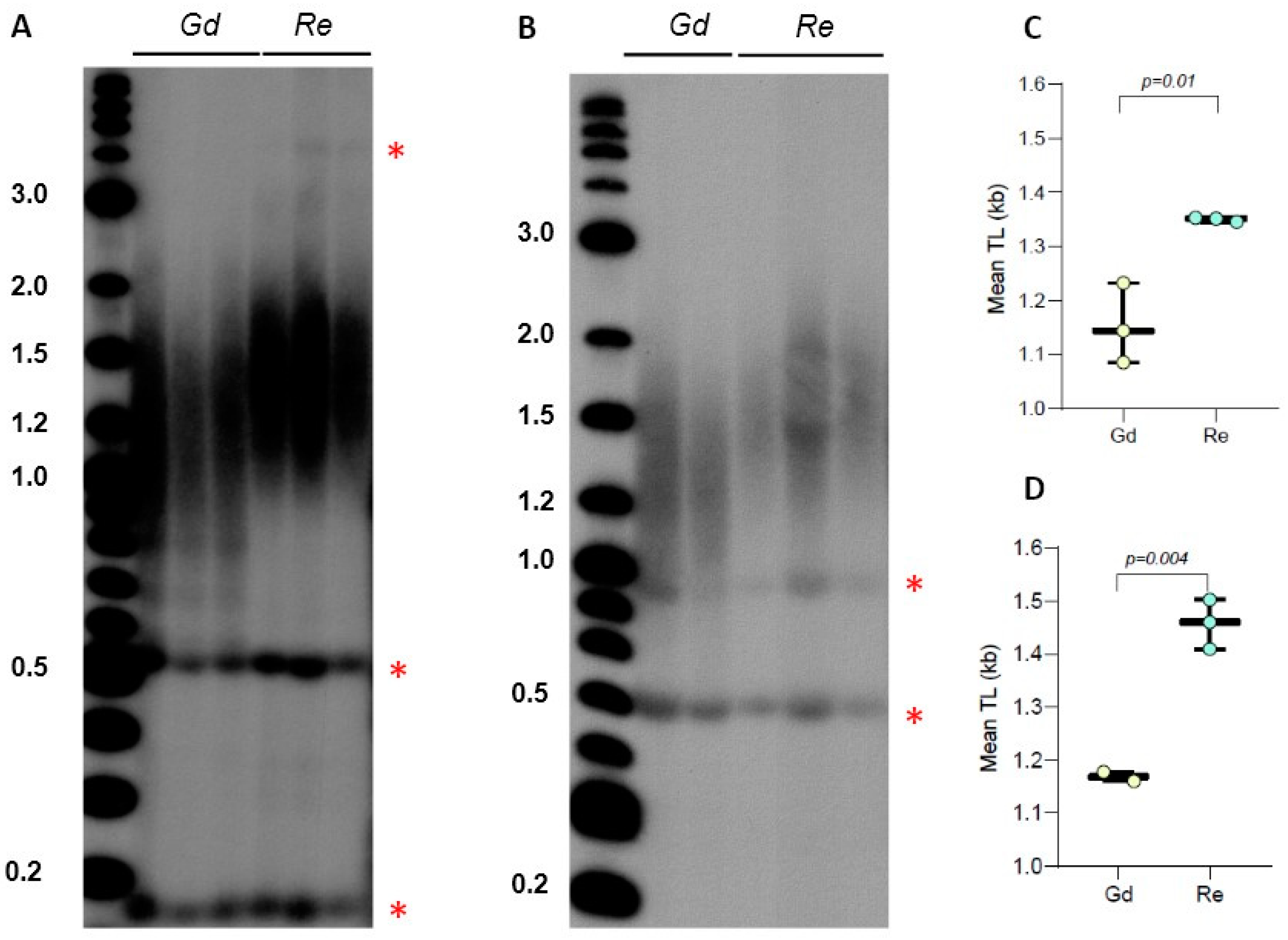
2.2. Telomere Length Analysis in Dioecious Bryophyte Species
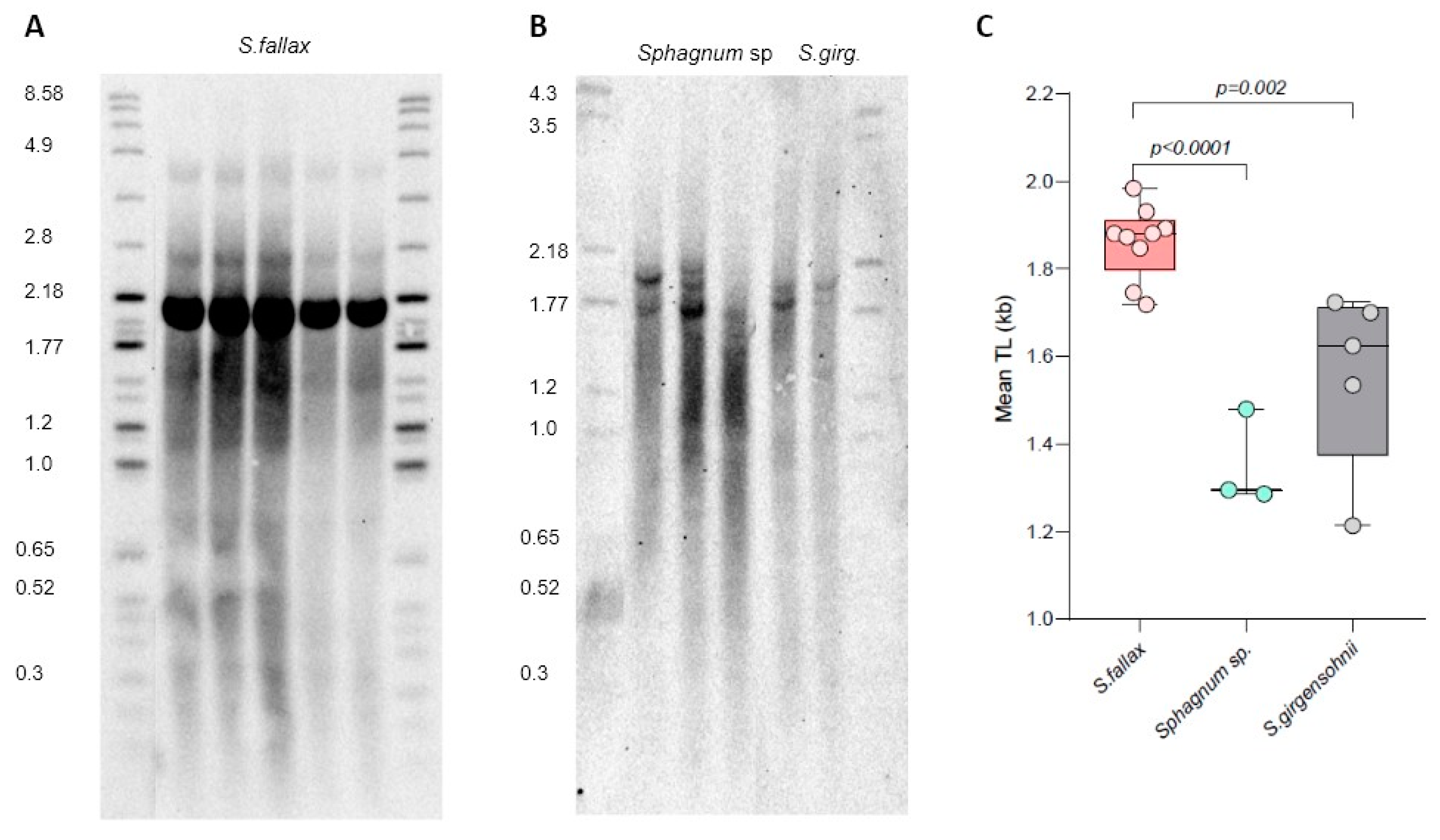
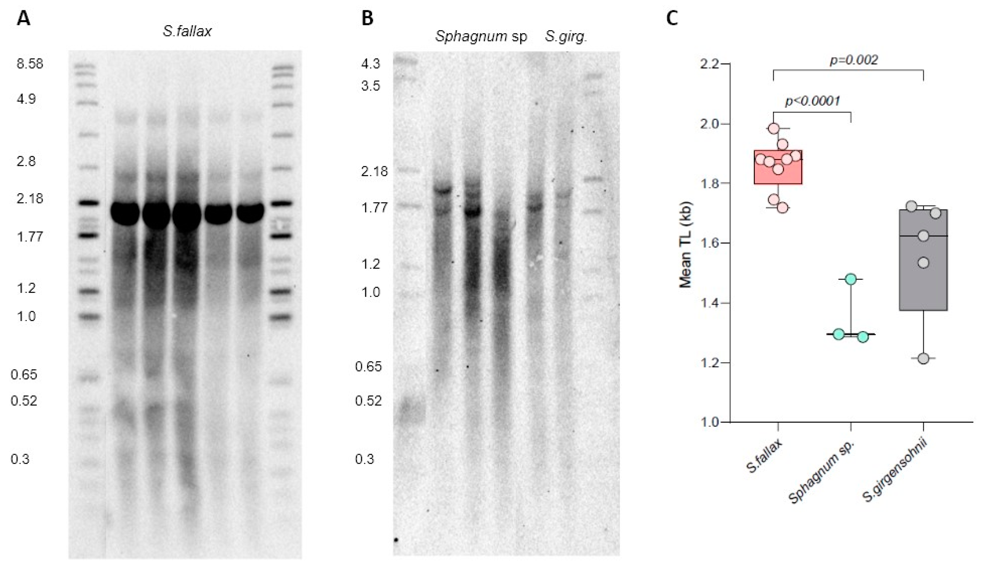
2.3. Sphagnum Telomeres Contain Canonical Plant Telomeric Sequence TTTAGGG
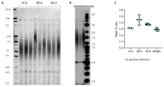
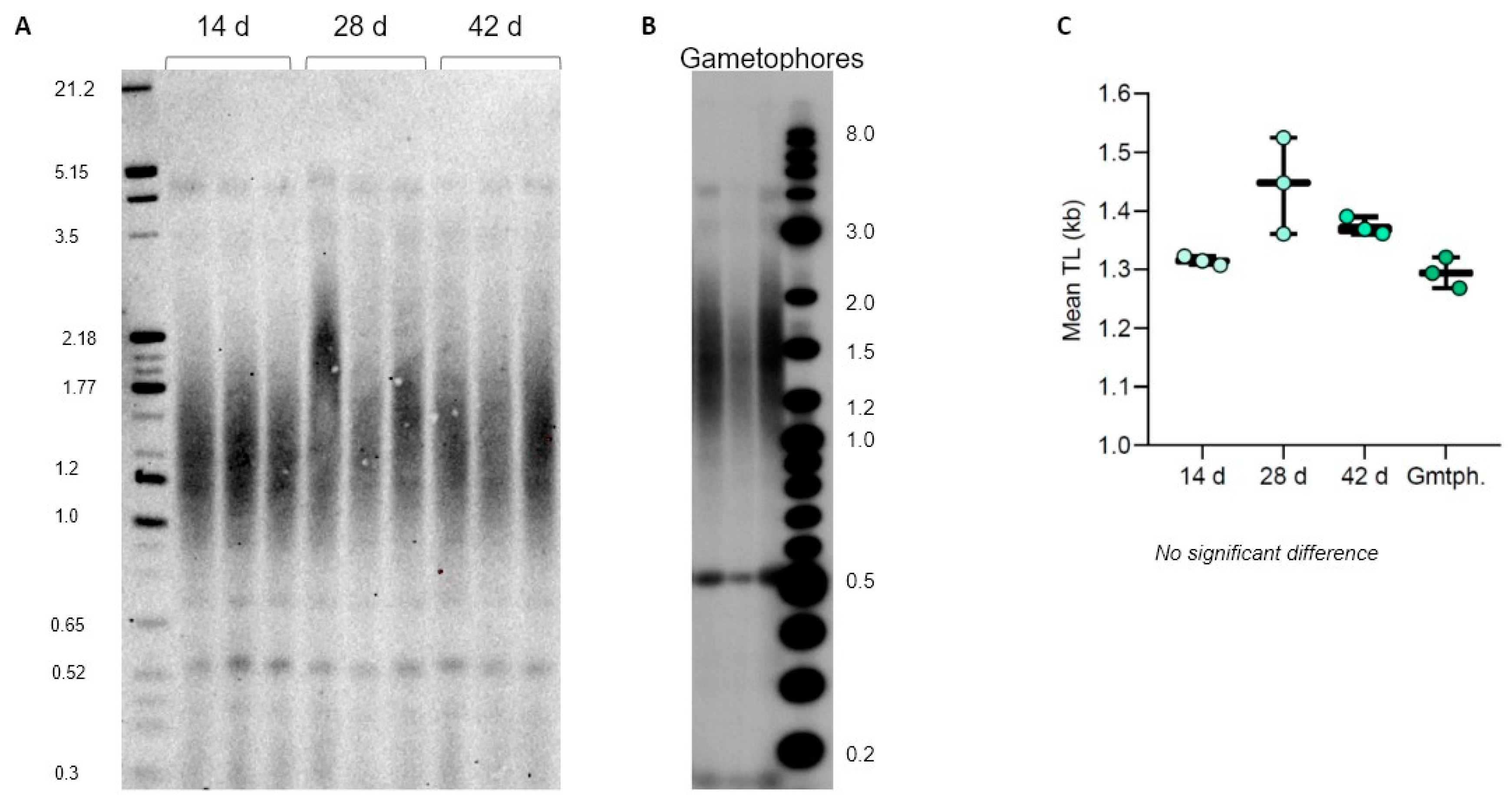
2.4. Telomere Length Stability in Long-Term Moss Cultures
3. Discussion
3.1. Intra-Species Variability in Telomere Length in Model Bryophytes
3.2. Restriction Enzyme Choice and Detection of Interstitial Telomeric Sequences
3.3. Telomere Length Variations in Dioecious Bryophytes
4. Materials and Methods
4.1. Plant Material
4.2. Plant Cultivation
4.3. DNA Extraction
4.4. Telomere Length Analysis
4.5. Statistical Analysis
Supplementary Materials
Author Contributions
Funding
Data Availability Statement
Acknowledgments
Conflicts of Interest
References
- Fulnečková, J.; Ševčíková, T.; Fajkus, J.; Lukešová, A.; Lukeš, M.; Vlček, C.; Lang, B.F.; Kim, E.; Eliáš, M.; Sýkorová, E. A broad phylogenetic survey unveils the diversity and evolution of telomeres in eukaryotes. Genome Biol. Evol. 2013, 5, 468–483. [Google Scholar] [CrossRef]
- McClintock, B. The stability of broken ends of chromosomes in Zea mays. Genetics 1941, 26, 234–282. [Google Scholar] [CrossRef]
- Fitzgerald, M.S.; McKnight, T.D.; Shippen, D.E. Characterization and developmental patterns of telomerase expression in plants. Proc. Natl. Acad. Sci. USA 1996, 93, 14422–14427. [Google Scholar] [CrossRef]
- Riha, K.; Fajkus, J.; Siroky, J.; Vyskot, B. Developmental control of telomere lengths and telomerase activity in plants. Plant Cell 1998, 10, 1691–1698. [Google Scholar] [CrossRef]
- Richards, E.J.; Ausubel, F.M. Isolation of a higher eukaryotic telomere from Arabidopsis thaliana. Cell 1988, 53, 127–136. [Google Scholar] [CrossRef]
- Shakirov, E.V.; Chen, J.J.-L.; E Shippen, D. Plant telomere biology: The green solution to the end-replication problem. Plant Cell 2022, 34, 2492–2504. [Google Scholar] [CrossRef]
- Gao, L.; Xu, W.; Xin, T.; Song, J. Application of third-generation sequencing to herbal genomics. Front. Plant Sci. 2023, 14, 1124536. [Google Scholar] [CrossRef] [PubMed]
- Mo, W.; Shu, Y.; Liu, B.; Long, Y.; Li, T.; Cao, X.; Deng, X.; Zhai, J. Single-molecule targeted accessibility and methylation sequencing of centromeres, telomeres and rDNAs in Arabidopsis. Nat. Plants 2023, 9, 1439–1450. [Google Scholar] [CrossRef] [PubMed]
- Bechteler, J.; Peñaloza-Bojacá, G.; Bell, D.; Burleigh, J.G.; McDaniel, S.F.; Davis, E.C.; Sessa, E.B.; Bippus, A.; Cargill, D.C.; Chantanoarrapint, S.; et al. Comprehensive phylogenomic time tree of bryophytes reveals deep relationships and uncovers gene incongruences in the last 500 million years of diversification. Am. J. Bot. 2023, 110, e16249. [Google Scholar] [CrossRef] [PubMed]
- Harris, B.J.; Clark, J.W.; Schrempf, D.; Szöllősi, G.J.; Donoghue, P.C.J.; Hetherington, A.M.; Williams, T.A. Divergent evolutionary trajectories of bryophytes and tracheophytes from a complex common ancestor of land plants. Nat. Ecol. Evol. 2022, 6, 1634–1643. [Google Scholar] [CrossRef] [PubMed]
- Cox, C.J. Land Plant Molecular Phylogenetics: A Review with Comments on Evaluating Incongruence among Phylogenies. Crit. Rev. Plant Sci. 2018, 37, 113–127. [Google Scholar] [CrossRef]
- Liu, G.-Q.; Lian, L.; Wang, W. The Molecular Phylogeny of Land Plants: Progress and Future Prospects. Diversity 2022, 14, 782. [Google Scholar] [CrossRef]
- Cesarino, I.; Ioio, R.D.; Kirschner, G.K.; Ogden, M.S.; Picard, K.L.; I Rast-Somssich, M.; Somssich, M. Plant science’s next top models. Ann. Bot. 2020, 126, 1–23. [Google Scholar] [CrossRef] [PubMed]
- Rensing, S.A.; Goffinet, B.; Meyberg, R.; Wu, S.-Z.; Bezanilla, M. The Moss Physcomitrium (Physcomitrella) patens: A Model Organism for Non-Seed Plants. Plant Cell 2020, 32, 1361–1376. [Google Scholar] [CrossRef]
- Kohchi, T.; Yamato, K.T.; Ishizaki, K.; Yamaoka, S.; Nishihama, R. Development and Molecular Genetics of Marchantia polymorpha. Annu. Rev. Plant Biol. 2021, 72, 677–702. [Google Scholar] [CrossRef]
- Bowman, J.L.; Kohchi, T.; Yamato, K.T.; Jenkins, J.; Shu, S.; Ishizaki, K.; Yamaoka, S.; Nishihama, R.; Nakamura, Y.; Berger, F.; et al. Insights into Land Plant Evolution Garnered from the Marchantia polymorpha Genome. Cell 2017, 171, 287–304. [Google Scholar] [CrossRef]
- Bowman, J.L.; Arteaga-Vazquez, M.; Berger, F.; Briginshaw, L.N.; Carella, P.; Aguilar-Cruz, A.; Davies, K.M.; Dierschke, T.; Dolan, L.; E Dorantes-Acosta, A.; et al. The renaissance and enlightenment of Marchantia as a model system. Plant Cell 2022, 34, 3512–3542. [Google Scholar] [CrossRef] [PubMed]
- Carey, S.B.; Jenkins, J.; Lovell, J.T.; Maumus, F.; Sreedasyam, A.; Payton, A.C.; Shu, S.; Tiley, G.P.; Fernandez-Pozo, N.; Healey, A.; et al. Gene-rich UV sex chromosomes harbor conserved regulators of sexual development. Sci. Adv. 2021, 7, 12. [Google Scholar] [CrossRef]
- Healey, A.L.; Piatkowski, B.; Lovell, J.T.; Sreedasyam, A.; Carey, S.B.; Mamidi, S.; Shu, S.; Plott, C.; Jenkins, J.; Lawrence, T.; et al. Newly identified sex chromosomes in the Sphagnum (peat moss) genome alter carbon sequestration and ecosystem dynamics. Nat. Plants 2023, 9, 238–254. [Google Scholar] [CrossRef]
- Li, F.-W.; Nishiyama, T.; Waller, M.; Frangedakis, E.; Keller, J.; Li, Z.; Fernandez-Pozo, N.; Barker, M.S.; Bennett, T.; Blázquez, M.A.; et al. Anthoceros genomes illuminate the origin of land plants and the unique biology of hornworts. Nat. Plants 2020, 6, 259–272. [Google Scholar] [CrossRef]
- Naramoto, S.; Hata, Y.; Fujita, T.; Kyozuka, J. The bryophytes Physcomitrium patens and Marchantia polymorpha as model systems for studying evolutionary cell and developmental biology in plants. Plant Cell 2021, 34, 228–246. [Google Scholar] [CrossRef]
- Hohe, A.; Egener, T.; Lucht, J.M.; Holtorf, H.; Reinhard, C.; Schween, G.; Reski, R. An improved and highly standardised transformation procedure allows efficient production of single and multiple targeted gene-knockouts in a moss, Physcomitrella patens. Curr. Genet. 2004, 44, 339–347. [Google Scholar] [CrossRef]
- Kamisugi, Y.; Schlink, K.; Rensing, S.A.; Schween, G.; von Stackelberg, M.; Cuming, A.C.; Reski, R.; Cove, D.J. The mechanism of gene targeting in Physcomitrella patens: Homologous recombination, concatenation and multiple integration. Nucleic Acids Res. 2006, 34, 6205–6214. [Google Scholar] [CrossRef]
- Slate, M.L.; Rosenstiel, T.N.; Eppley, S.M. Sex-specific morphological and physiological differences in the moss Ceratodon purpureus (Dicranales). Ann. Bot. 2017, 120, 845–854. [Google Scholar] [CrossRef] [PubMed]
- Wang, Q.-H.; Zhang, J.; Liu, Y.; Jia, Y.; Jiao, Y.-N.; Xu, B.; Chen, Z.-D. Diversity, phylogeny, and adaptation of bryophytes: Insights from genomic and transcriptomic data. J. Exp. Bot. 2022, 73, 4306–4322. [Google Scholar] [CrossRef] [PubMed]
- Rensing, S.A.; Lang, D.; Zimmer, A.D.; Terry, A.; Salamov, A.; Shapiro, H.; Nishiyama, T.; Perroud, P.-F.; Lindquist, E.A.; Kamisugi, Y.; et al. The Physcomitrella genome reveals evolutionary insights into the conquest of land by plants. Science 2008, 319, 64–69. [Google Scholar] [CrossRef] [PubMed]
- Lyčka, M.; Bubeník, M.; Závodník, M.; Peska, V.; Fajkus, P.; Demko, M.; Fajkus, J.; Fojtová, M. TeloBase: A community-curated database of telomere sequences across the tree of life. Nucleic Acids Res. 2023, 52, D311–D321. [Google Scholar] [CrossRef] [PubMed]
- Závodník, M.; Fajkus, P.; Franek, M.; Kopecký, D.; Garcia, S.; Dodsworth, S.; Orejuela, A.; Kilar, A.; Ptáček, J.; Mátl, M.; et al. Telomerase RNA gene paralogs in plants—The usual pathway to unusual telomeres. New Phytol. 2023, 239, 2353–2366. [Google Scholar] [CrossRef] [PubMed]
- Suzuki, K. Characterization of telomere DNA among five species of pteridophytes and bryophytes. J. Bryol. 2004, 26, 175–180. [Google Scholar] [CrossRef]
- Shakirov, E.V.; Perroud, P.-F.; Nelson, A.D.; Cannell, M.E.; Quatrano, R.S.; Shippen, D.E. Protection of Telomeres 1 is required for telomere integrity in the moss Physcomitrella patens. Plant Cell 2010, 22, 1838–1848. [Google Scholar] [CrossRef]
- Fojtová, M.; Sýkorová, E.; Najdekrová, L.; Polanská, P.; Zachová, D.; Vagnerová, R.; Angelis, K.J.; Fajkus, J. Telomere dynamics in the lower plant Physcomitrella patens. Plant Mol Biol. 2015, 87, 591–601. [Google Scholar] [CrossRef]
- Montgomery, S.A.; Tanizawa, Y.; Galik, B.; Wang, N.; Ito, T.; Mochizuki, T.; Akimcheva, S.; Bowman, J.L.; Cognat, V.; Maréchal-Drouard, L.; et al. Chromatin Organization in Early Land Plants Reveals an Ancestral Association between H3K27me3, Transposons, and Constitutive Heterochromatin. Curr. Biol. 2020, 30, 573–588.e7. [Google Scholar] [CrossRef]
- Lang, D.; Ullrich, K.K.; Murat, F.; Fuchs, J.; Jenkins, J.; Haas, F.B.; Piednoel, M.; Gundlach, H.; Van Bel, M.; Meyberg, R.; et al. The Physcomitrella patens chromosome-scale assembly reveals moss genome structure and evolution. Plant J. 2018, 93, 515–533. [Google Scholar] [CrossRef] [PubMed]
- Diop, S.I.; Subotic, O.; Giraldo-Fonseca, A.; Waller, M.; Kirbis, A.; Neubauer, A.; Potente, G.; Murray-Watson, R.; Boskovic, F.; Bont, Z.; et al. A pseudomolecule-scale genome assembly of the liverwort Marchantia polymorpha. Plant J. 2020, 101, 1378–1396. [Google Scholar] [CrossRef] [PubMed]
- Goffová, I.; Vágnerová, R.; Peška, V.; Franek, M.; Havlová, K.; Holá, M.; Zachová, D.; Fojtová, M.; Cuming, A.; Kamisugi, Y.; et al. Roles of RAD51 and RTEL1 in telomere and rDNA stability in Physcomitrella patens. Plant J. 2019, 98, 1090–1105. [Google Scholar] [CrossRef]
- Fajkus, P.; Peska, V.; Zavodnik, M.; Fojtova, M.; Fulneckova, J.; Dobias, S.; Kilar, A.; Dvorackova, M.; Zachova, D.; Necasova, I.; et al. Telomerase RNAs in land plants. Nucleic Acids Res. 2019, 47, 9842–9856. [Google Scholar] [CrossRef]
- Song, J.; Logeswaran, D.; Castillo-González, C.; Li, Y.; Bose, S.; Aklilu, B.B.; Ma, Z.; Polkhovskiy, A.; Chen, J.J.L.; Shippen, D.E. The conserved structure of plant telomerase RNA provides the missing link for an evolutionary pathway from ciliates to humans. Proc. Natl. Acad. Sci. USA 2019, 116, 24542–24550. [Google Scholar] [CrossRef]
- Fajkus, P.; Kilar, A.; Nelson, A.D.L.; Holá, M.; Peška, V.; Goffová, I.; Fojtová, M.; Zachová, D.; Fulnečková, J.; Fajkus, J. Evolution of plant telomerase RNAs: Farther to the past, deeper to the roots. Nucleic Acids Res. 2021, 49, 7680–7694. [Google Scholar] [CrossRef]
- Hiss, M.; Meyberg, R.; Westermann, J.; Haas, F.B.; Schneider, L.; Schallenberg-Rüdinger, M.; Ullrich, K.K.; Rensing, S.A. Sexual reproduction, sporophyte development and molecular variation in the model moss Physcomitrella patens: Introducing the ecotype Reute. Plant J. 2017, 90, 606–620. [Google Scholar] [CrossRef] [PubMed]
- Haas, F.B.; Fernandez-Pozo, N.; Meyberg, R.; Perroud, P.-F.; Göttig, M.; Stingl, N.; Saint-Marcoux, D.; Langdale, J.A.; Rensing, S.A. Single Nucleotide Polymorphism Charting of P. patens Reveals Accumulation of Somatic Mutations During in vitro Culture on the Scale of Natural Variation by Selfing. Front. Plant Sci. 2020, 11, 813. [Google Scholar] [CrossRef]
- Choi, J.Y.; Abdulkina, L.R.; Yin, J.; Chastukhina, I.B.; Lovell, J.T.; A Agabekian, I.; Young, P.G.; Razzaque, S.; E Shippen, D.; E Juenger, T.; et al. Natural variation in plant telomere length is associated with flowering time. Plant Cell 2021, 33, 1118–1134. [Google Scholar] [CrossRef] [PubMed]
- Szövényi, P.; Perroud, P.; Symeonidi, A.; Stevenson, S.; Quatrano, R.S.; Rensing, S.A.; Cuming, A.C.; McDaniel, S.F. De novo assembly and comparative analysis of the Ceratodon purpureus transcriptome. Mol. Ecol. Resour. 2015, 15, 203–215. [Google Scholar] [CrossRef] [PubMed]
- Abdulkina, L.R.; Agabekian, I.A.; Valeeva, L.R.; Kozlova, O.S.; Sharipova, M.R.; Shakirov, E.V. Comparative Application of Terminal Restriction Fragment Analysis Tools to Large-Scale Genomic Assays. Int. J. Mol. Sci. 2023, 24, 17194. [Google Scholar] [CrossRef] [PubMed]
- Linde, A.-M.; Singh, S.; Bowman, J.L.; Eklund, M.; Cronberg, N.; Lagercrantz, U. Genome Evolution in Plants: Complex Thalloid Liverworts (Marchantiopsida). Genome Biol. Evol. 2023, 15, evad014. [Google Scholar] [CrossRef] [PubMed]
- Shaw, A.J.; Devos, N.; Cox, C.J.; Boles, S.B.; Shaw, B.; Buchanan, A.M.; Cave, L.; Seppelt, R. Peatmoss (Sphagnum) diversification associated with Miocene Northern Hemisphere climatic cooling? Mol. Phylogenet. Evol. 2010, 55, 1139–1145. [Google Scholar] [CrossRef] [PubMed]
- Weston, D.J.; Turetsky, M.R.; Johnson, M.G.; Granath, G.; Lindo, Z.; Belyea, L.R.; Rice, S.K.; Hanson, D.T.; Engelhardt, K.A.M.; Schmutz, J.; et al. The Sphagnome Project: Enabling ecological and evolutionary insights through a genus-level sequencing project. New Phytol. 2018, 217, 16–25. [Google Scholar] [CrossRef] [PubMed]
- Fajkus, J.; Fulneckova, J.; Hulanova, M.; Berkova, K.; Riha, K.; Matyasek, R. Plant cells express telomerase activity upon transfer to callus culture, without extensively changing telomere lengths. Mol. Gen. Genet. 1998, 260, 470–474. [Google Scholar] [CrossRef]
- Petracek, M.E.; Lefebvre, P.A.; Silflow, C.D.; Berman, J. Chlamydomonas telomere sequences are A+T-rich but contain three consecutive G-C base pairs. Proc. Natl. Acad. Sci. USA 1990, 87, 8222–8226. [Google Scholar] [CrossRef]
- Fajkus, J.; Kovařík, A.; Mkrálovics, R.; Bezděk, M. Organization of telomeric and subtelomeric chromatin in the higher plant Nicotiana tabacum. Mol. Genet. Genom. 1995, 247, 633–638. [Google Scholar] [CrossRef]
- Kilian, A.; Stiff, C.; Kleinhofs, A. Barley telomeres shorten during differentiation but grow in callus culture. Proc. Natl. Acad. Sci. USA 1995, 92, 9555–9559. [Google Scholar] [CrossRef]
- Ferrer, A.; Stephens, Z.D.; Kocher, J.-P.A. Experimental and Computational Approaches to Measure Telomere Length: Recent Advances and Future Directions. Curr. Hematol. Malign- Rep. 2023, 18, 284–291. [Google Scholar] [CrossRef]
- Shakirov, E.V.; Shippen, D.E. Selaginella moellendorffii telomeres: Conserved and unique features in an ancient land plant lineage. Front. Plant Sci. 2012, 3, 161. [Google Scholar] [CrossRef]
- Shakirov, E.V.; Shippen, D.E. Length regulation and dynamics of individual telomere Tracts in wild-type Arabidopsis. Plant Cell 2004, 16, 1959–1967. [Google Scholar] [CrossRef] [PubMed]
- Maillet, G.; White, C.I.; Gallego, M.E. Telomere-length regulation in inter-ecotype crosses of Arabidopsis. Plant Mol. Biol. 2006, 62, 859–866. [Google Scholar] [CrossRef] [PubMed]
- Gatbonton, T.; Imbesi, M.; Nelson, M.; Akey, J.M.; Ruderfer, D.M.; Kruglyak, L.; Simon, J.A.; Bedalov, A. Telomere length as a quantitative trait: Genome-wide survey and genetic mapping of telomere length-control genes in yeast. PLoS Genet. 2006, 2, e35. [Google Scholar]
- Hemann, M.T.; Greider, C.W. Wild-derived inbred mouse strains have short telomeres. Nucleic Acids Res. 2000, 28, 4474–4478. [Google Scholar] [CrossRef]
- Reski, R.; Faust, M.; Wang, X.-H.; Wehe, M.; Abel, W.O. Genome analysis of the moss Physcomitrella patens (Hedw.) B.S.G. Mol. Genet. Genom. 1994, 244, 352–359. [Google Scholar] [CrossRef] [PubMed]
- Reski, R. Molecular genetics of Physcomitrella. Planta 1999, 208, 301–309. [Google Scholar] [CrossRef]
- Srikulnath, K.; Azad, B.; Singchat, W.; Ezaz, T. Distribution and amplification of interstitial telomeric sequences (ITSs) in Australian dragon lizards support frequent chromosome fusions in Iguania. PLoS ONE 2019, 14, e0212683. [Google Scholar] [CrossRef]
- Vicari, M.R.; Bruschi, D.P.; Cabral-De-Mello, D.C.; Nogaroto, V. Telomere organization and the interstitial telomeric sites involvement in insects and vertebrates chromosome evolution. Genet. Mol. Biol. 2022, 45 (Suppl. 1), e20220071. [Google Scholar] [CrossRef]
- Chirino, M.G.; Dalíková, M.; Marec, F.R.; Bressa, M.J. Chromosomal distribution of interstitial telomeric sequences as signs of evolution through chromosome fusion in six species of the giant water bugs (Hemiptera, Belostoma). Ecol. Evol. 2017, 7, 5227–5235. [Google Scholar] [CrossRef] [PubMed]
- Warchałowska-Śliwa, E.; Grzywacz, B.; Kociński, M.; Maryańska-Nadachowska, A.; Heller, K.-G.; Hemp, C. Highly divergent karyotypes and barcoding of the East African genus Gonatoxia Karsch (Orthoptera: Phaneropterinae). Sci. Rep. 2021, 11, 22781. [Google Scholar] [CrossRef] [PubMed]
- Aksenova, A.Y.; Mirkin, S.M. At the Beginning of the End and in the Middle of the Beginning: Structure and Maintenance of Telomeric DNA Repeats and Interstitial Telomeric Sequences. Genes 2019, 10, 118. [Google Scholar] [CrossRef]
- Majerovã¡, E.; Mandã¡Kovã¡, T.; Vu, G.T.H.; Fajkus, J.; Lysak, M.A.; Fojtovã¡, M. Chromatin features of plant telomeric sequences at terminal vs. internal positions. Front. Plant Sci. 2014, 5, 593. [Google Scholar] [CrossRef]
- Lansdorp, P.M. Sex differences in telomere length, lifespan, and embryonic dyskerin levels. Aging Cell 2022, 21, e13614. [Google Scholar] [CrossRef] [PubMed]
- Barrett, E.L.B.; Richardson, D.S. Sex differences in telomeres and lifespan. Aging Cell 2011, 10, 913–921. [Google Scholar] [CrossRef]
- Remot, F.; Ronget, V.; Froy, H.; Rey, B.; Gaillard, J.-M.; Nussey, D.H.; Lemaître, J.-F. No sex differences in adult telomere length across vertebrates: A meta-analysis. R. Soc. Open Sci. 2020, 7, 200548. [Google Scholar] [CrossRef] [PubMed]
- Ignatov, M.S.; Ignatova, E.A. Sphagnaceae–Hedwigiaceae. In Moss Flora of the Middle European Russia; KMK Scientific Press: Moscow, Russia, 2003; Volume 1, pp. 1–608. (In Russian) [Google Scholar]
- Ignatov, M.S.; Ignatova, E.A. Fontinalaceae–Amblystegiaceae. In Moss Flora of the Middle European Russia; KMK Scietific Press: Moscow, Russia, 2004; Volume 2, pp. 609–960. (In Russian) [Google Scholar]
- Ashton, N.W.; Cove, D.J. The Isolation and Preliminary Characterisation of Auxotrophic and Analogue Resistant Mutants of the moss, Physcomitrella patens. Mol. Genet. Genom. 1977, 154, 87–95. [Google Scholar] [CrossRef]
- Gamborg, O.L.; Miller, R.A.; Ojima, K. Nutrient requirements of suspension cultures of soybean root cells. Exp. Cell Res. 1968, 50, 151–158. [Google Scholar] [CrossRef]
- Castillo-González, C.; Barcenilla, B.B.; Young, P.G.; Hall, E.; Shippen, D.E. Quantification of 8-oxoG in Plant Telomeres. Int. J. Mol. Sci. 2022, 23, 4990. [Google Scholar] [CrossRef]
- Nigmatullina, L.R.; Sharipova, M.R.; Shakirov, E.V. Non-radioactive TRF assay modifications to improve telomeric DNA detection efficiency in plants. BioNanoScience 2016, 6, 325–328. [Google Scholar] [CrossRef] [PubMed]
- Fitzgerald, M.S.; Riha, K.; Gao, F.; Ren, S.; McKnight, T.D.; Shippen, D.E. Disruption of the telomerase catalytic subunit gene from Arabidopsis inactivates telomerase and leads to a slow loss of telomeric DNA. Proc. Natl. Acad. Sci. USA 1999, 96, 14813–14818. [Google Scholar] [CrossRef] [PubMed]
- Brown, A.N.; Lauter, N.; Vera, D.L.; A McLaughlin-Large, K.; Steele, T.M.; Fredette, N.C.; Bass, H.W. QTL Mapping and Candidate Gene Analysis of Telomere Length Control Factors in Maize (Zea mays L.). G3 Genes Genomes Genet. 2011, 1, 437–450. [Google Scholar] [CrossRef] [PubMed]
- Lyčka, M.; Peska, V.; Demko, M.; Spyroglou, I.; Kilar, A.; Fajkus, J.; Fojtová, M. WALTER: An easy way to online evaluate telomere lengths from terminal restriction fragment analysis. BMC Bioinform. 2021, 22, 145. [Google Scholar] [CrossRef]






Disclaimer/Publisher’s Note: The statements, opinions and data contained in all publications are solely those of the individual author(s) and contributor(s) and not of MDPI and/or the editor(s). MDPI and/or the editor(s) disclaim responsibility for any injury to people or property resulting from any ideas, methods, instructions or products referred to in the content. |
© 2024 by the authors. Licensee MDPI, Basel, Switzerland. This article is an open access article distributed under the terms and conditions of the Creative Commons Attribution (CC BY) license (https://creativecommons.org/licenses/by/4.0/).
Share and Cite
Valeeva, L.R.; Sannikova, A.V.; Shafigullina, N.R.; Abdulkina, L.R.; Sharipova, M.R.; Shakirov, E.V. Telomere Length Variation in Model Bryophytes. Plants 2024, 13, 387. https://doi.org/10.3390/plants13030387
Valeeva LR, Sannikova AV, Shafigullina NR, Abdulkina LR, Sharipova MR, Shakirov EV. Telomere Length Variation in Model Bryophytes. Plants. 2024; 13(3):387. https://doi.org/10.3390/plants13030387
Chicago/Turabian StyleValeeva, Liia R., Anastasia V. Sannikova, Nadiya R. Shafigullina, Liliia R. Abdulkina, Margarita R. Sharipova, and Eugene V. Shakirov. 2024. "Telomere Length Variation in Model Bryophytes" Plants 13, no. 3: 387. https://doi.org/10.3390/plants13030387
APA StyleValeeva, L. R., Sannikova, A. V., Shafigullina, N. R., Abdulkina, L. R., Sharipova, M. R., & Shakirov, E. V. (2024). Telomere Length Variation in Model Bryophytes. Plants, 13(3), 387. https://doi.org/10.3390/plants13030387

