Establishment of Dittrichia viscosa L. Hairy Roots and Improvement of Bioactive Compound Production
Abstract
1. Introduction
2. Results
2.1. Induction and In Vitro Culture of Hairy Roots
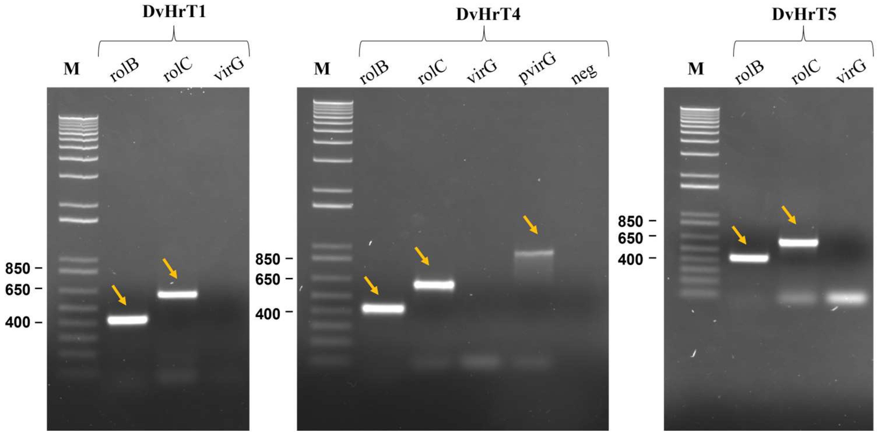
2.2. Confirmation of Integration of the rolB and rolC Genes in the DvHrT Lines
2.3. Total Phenolic and Flavonoid Content in DvHrT Lines
2.4. HPLC Analysis of Phenolic Compounds
2.5. In Vitro Antioxidant Assay
3. Discussion
4. Materials and Methods
4.1. Plant Material and Culture Medium Preparation
4.2. Seed Sterilization and In Vitro Germination
4.3. Preparation of A. rhizogenes Strains
4.4. Induction and Cultivation of Hairy Roots
4.5. DNA Extraction and PCR Analysis of Hairy Roots
4.6. Establishment of the Hairy Roots Culture
4.7. Extraction Method
4.8. Phenolic Compound Analysis
4.9. Flavonoid Analysis
4.10. HPLC Analysis of Soluble Phenols
4.11. Antioxidant Activity
Author Contributions
Funding
Data Availability Statement
Acknowledgments
Conflicts of Interest
References
- Sriti Eljazi, J.; Selmi, S.; Zarroug, Y.; Wesleti, I.; Aouini, B.; Jallouli, S.; Limam, F. Essential oil composition, phenolic compound, and antioxidant potential of Inula viscosa as affected by extraction process. Int. J. Food Prop. 2018, 21, 2309–2319. [Google Scholar] [CrossRef]
- Qneibi, M.; Hanania, M.; Jaradat, N.; Emwas, N.; Radwan, S. Inula viscosa (L.) Greuter, phytochemical composition, antioxidant, total phenolic content, total flavonoids content and neuroprotective effects. Eur. J. Integr. Med. 2021, 42, 101291. [Google Scholar] [CrossRef]
- Kheyar-Kraouche, N.; Boucheffa, S.; Bellik, Y.; Farida, K.; Brahmi-Chendouh, N. Exploring the potential of Inula viscosa extracts for antioxidant, antiproliferative and apoptotic effects on human liver cancer cells and a molecular docking study. BioTechnologia 2023, 104, 183–198. [Google Scholar] [CrossRef]
- Ouari, S.; Benzidane, N. Chemical composition, biological activities, and molecular mechanism of Inula viscosa (L.) bioactive compounds: A review. Naunyn Schmiedebergs Arch. Pharmacol. 2024, 397, 3857–3865. [Google Scholar] [CrossRef]
- Boari, A.; Vurro, M.; Calabrese, G.J.; Mahmoud, M.N.Z.; Cazzato, E.; Fracchiolla, M. Evaluation of Dittrichia viscosa (L.) Greuter Dried Biomass for Weed Management. Plants 2021, 10, 147. [Google Scholar] [CrossRef]
- Moradi, A.; Zarinkamar, F.; Mita, G.; Caretto, S.; De Paolis, A. Enhanced Production of Apocarotenoids by Salicylic Acid Elicitation in Cell Suspension Cultures of Saffron (Crocus sativus L.). Horticulturae 2022, 8, 1176. [Google Scholar] [CrossRef]
- Balestrini, R.; Brunetti, C.; Cammareri, M.; Caretto, S.; Cavallaro, V.; Cominelli, E.; De Palma, M.; Docimo, T.; Giovinazzo, G.; Grandillo, S. Strategies to modulate specialized metabolism in Mediterranean crops: From molecular aspects to field. Int. J. Mol. Sci. 2021, 22, 2887. [Google Scholar] [CrossRef] [PubMed]
- Smetanska, I. Production of secondary metabolites using plant cell cultures. Adv. Biochem. Eng. Biotechnol. 2008, 111, 187–228. [Google Scholar]
- Caretto, S.; Nisi, R.; Paradiso, A.; De Gara, L. Tocopherol production in plant cell cultures. Mol. Nutr. Food Res. 2010, 54, 726–730. [Google Scholar] [CrossRef]
- Rizzello, F.; De Paolis, A.; Durante, M.; Blando, F.; Mita, G.; Caretto, S. Enhanced production of bioactive isoprenoid compounds from cell suspension cultures of Artemisia annua L. using β-cyclodextrins. Int. J. Mol. Sci. 2014, 15, 19092–19105. [Google Scholar] [CrossRef]
- Paolis, A.D.; Frugis, G.; Giannino, D.; Iannelli, M.A.; Mele, G.; Rugini, E.; Silvestri, C.; Sparvoli, F.; Testone, G.; Mauro, M.L.; et al. Plant Cellular and Molecular Biotechnology: Following Mariotti’s Steps. Plants 2019, 8, 18. [Google Scholar] [CrossRef] [PubMed]
- Shakeran, Z.; Keyhanfar, M.; Asghari, G. Hairy Roots Formation in Four Solanaceae Species by Different Strains of Agrobacterium rhizogenes. J. Med. Plants By-Prod. 2014, 3, 155–160. [Google Scholar]
- Bertoli, A.; Giovannini, A.; Ruffoni, B.; Guardo, A.D.; Spinelli, G.; Mazzetti, M.; Pistelli, L. Bioactive constituent production in St. John’s Wort in vitro hairy roots. Regenerated plant lines. J. Agric. Food Chem. 2008, 56, 5078–5082. [Google Scholar] [CrossRef]
- Chandra, S.; Chandra, R. Engineering secondary metabolite production in hairy roots. Phytochem. Rev. 2011, 10, 371–395. [Google Scholar] [CrossRef]
- Pistelli, L.; Giovannini, A.; Ruffoni, B.; Bertoli, A.; Pistelli, L. Hairy Root Cultures for Secondary Metabolites Production. In Bio-Farms for Nutraceuticals: Functional Food and Safety Control by Biosensors; Giardi, M.T., Rea, G., Berra, B., Eds.; Springer: Boston, MA, USA, 2010; pp. 167–184. [Google Scholar]
- Bais, H.P.; Walker, T.S.; Schweizer, H.P.; Vivanco, J.M. Root specific elicitation and antimicrobial activity of rosmarinic acid in hairy root cultures of Ocimum basilicum. Plant Physiol. Biochem. 2002, 40, 983–995. [Google Scholar] [CrossRef]
- Choi, M.; Yoon, J.; Yang, S.H.; Kim, J.K.; Park, S.U. Production of Phenolic Compounds and Antioxidant Activity in Hairy Root Cultures of Salvia plebeia. Plants 2023, 12, 3840. [Google Scholar] [CrossRef]
- Mallol, A.; Cusidó, R.M.; Palazón, J.; Bonfill, M.; Morales, C.; Piñol, M.T. Ginsenoside production in different phenotypes of Panax ginseng transformed roots. Phytochemistry 2001, 57, 365–371. [Google Scholar] [CrossRef] [PubMed]
- Vuko, E.; Dunkić, V.; Maravić, A.; Ruščić, M.; Nazlić, M.; Radan, M.; Ljubenkov, I.; Soldo, B.; Fredotović, Ž. Not Only a Weed Plant-Biological Activities of Essential Oil and Hydrosol of Dittrichia viscosa (L.) Greuter. Plants 2021, 10, 1837. [Google Scholar] [CrossRef] [PubMed]
- Jerada, R.; Er-Rakibi, A.; Cherkani Hassani, A.; Benzeid, H.; El Ouardi, A.; Harhar, H.; Goh, B.H.; Yow, Y.-Y.; Ser, H.-L.; Bouyahya, A.; et al. A comprehensive review on ethnomedicinal uses, phytochemistry, toxicology, and pharmacological activities of Dittrichia viscosa (L.) Greuter. J. Tradit. Complement. Med. 2024, 14, 355–380. [Google Scholar] [CrossRef]
- Murashige, T.; Skoog, F. A Revised Medium for Rapid Growth and Bio Assays with Tobacco Tissue Cultures. Physiol. Plant. 1962, 15, 473–497. [Google Scholar] [CrossRef]
- Mauro, M.L.; Bettini, P.P. Agrobacterium rhizogenes rolB oncogene: An intriguing player for many roles. Plant Physiol. Biochem. 2021, 165, 10–18. [Google Scholar] [CrossRef] [PubMed]
- Mitić, N.; Dmitrović, S.; Djordjević, M.; Zdravković-Korać, S.; Nikolić, R.; Raspor, M.; Djordjević, T.; Maksimović, V.; Živković, S.; Krstić-Milošević, D.; et al. Use of Chenopodium murale L. transgenic hairy root in vitro culture system as a new tool for allelopathic assays. J. Plant Physiol. 2012, 169, 1203–1211. [Google Scholar] [CrossRef]
- Asraoui, F.; Kounnoun, A.; Cacciola, F.; El Mansouri, F.; Kabach, I.; Oulad El Majdoub, Y.; Alibrando, F.; Arena, K.; Trovato, E.; Mondello, L.; et al. Phytochemical Profile, Antioxidant Capacity, α-Amylase and α-Glucosidase Inhibitory Potential of Wild Moroccan Inula viscosa (L.) Aiton Leaves. Molecules 2021, 26, 3134. [Google Scholar] [CrossRef] [PubMed]
- Anglana, C.; Rojas, M.; Girelli, C.R.; Barozzi, F.; Quiroz-Troncoso, J.; Alegría-Aravena, N.; Montefusco, A.; Durante, M.; Fanizzi, F.P.; Ramírez-Castillejo, C.; et al. Methanolic Extracts of D. viscosa Specifically Affect the Cytoskeleton and Exert an Antiproliferative Effect on Human Colorectal Cancer Cell Lines, According to Their Proliferation Rate. Int. J. Mol. Sci. 2023, 24, 14920. [Google Scholar] [CrossRef] [PubMed]
- Uozumi, N. Large-scale production of hairy root. Adv. Biochem. Eng. Biotechnol. 2004, 91, 75–103. [Google Scholar] [PubMed]
- Guillon, S.; Trémouillaux-Guiller, J.; Pati, P.K.; Rideau, M.; Gantet, P. Harnessing the potential of hairy roots: Dawn of a new era. Trends Biotechnol. 2006, 24, 403–409. [Google Scholar] [CrossRef]
- Bahramnejad, B.; Naji, M.; Bose, R.; Jha, S. A critical review on use of Agrobacterium rhizogenes and their associated binary vectors for plant transformation. Biotechnol. Adv. 2019, 37, 107405. [Google Scholar] [CrossRef]
- Saravanakumar, A.; Aslam, A.; Shajahan, A. Development and optimization of hairy root culture systems in Withania somnifera (L.) Dunal for withaferin-A production. Afr. J. Biotechnol. 2012, 11, 16412–16420. [Google Scholar]
- Kayani, W.K.; Palazòn, J.; Cusidò, R.M.; Mirza, B. Effect of pRi T-DNA genes and elicitation on morphology and phytoecdysteroid biosynthesis in Ajuga bracteosa hairy roots. RSC Adv. 2017, 7, 47945–47953. [Google Scholar] [CrossRef]
- van Wordragen, M.F.; Ouwerkerk, P.B.F.; Dons, H.J.M. Agrobacterium rhizogenes mediated induction of apparently untransformed roots and callus in chrysanthemum. Plant Cell Tissue Organ. Cult. 1992, 30, 149–157. [Google Scholar] [CrossRef]
- de Vries-Uijtewaal, E.; Gilissen, L.J.W.; Flipse, E.; Ramulu, K.S.; De Groot, B. Characterization of root clones obtained after transformation of monohaploid and diploid potato genotypes with hairy root inducing strains of Agrobacterium. Plant Sci. 1988, 58, 193–202. [Google Scholar] [CrossRef]
- Bulgakov, V.P.; Veremeichik, G.N.; Shkryl, Y.N. The rolB gene activates the expression of genes encoding microRNA processing machinery. Biotechnol. Lett. 2015, 37, 921–925. [Google Scholar] [CrossRef] [PubMed]
- Mannan, A.; Shaheen, N.; Arshad, W.; Qureshi, R.A.; Zia, M.; Mirza, B. Hairy roots induction and artemisinin analysis in Artemisia dubia and Artemisia indica. Afr. J. Biotechnol. 2008, 7, 3288–3292. [Google Scholar]
- Danino, O.; Gottlieb, H.E.; Grossman, S.; Bergman, M. Antioxidant activity of 1,3-dicaffeoylquinic acid isolated from Inula viscosa. Food Res. Int. 2009, 42, 1273–1280. [Google Scholar] [CrossRef]
- Weremczuk-Jeżyna, I.; Grzegorczyk-Karolak, I.; Frydrych, B.; Królicka, A.; Wysokińska, H. Hairy roots of Dracocephalum moldavica: Rosmarinic acid content and antioxidant potential. Acta Physiol. Plant. 2013, 35, 2095–2103. [Google Scholar] [CrossRef]
- Shilpha, J.; Satish, L.; Kavikkuil, M.; Joe Virgin Largia, M.; Ramesh, M. Methyl jasmonate elicits the solasodine production and anti-oxidant activity in hairy root cultures of Solanum trilobatum L. Ind. Crops Prod. 2015, 71, 54–64. [Google Scholar] [CrossRef]
- Thiruvengadam, M.; Rekha, K.; Chung, I.-M. Induction of hairy roots by Agrobacterium rhizogenes-mediated transformation of spine gourd (Momordica dioica Roxb. ex. willd) for the assessment of phenolic compounds and biological activities. Sci. Hortic. 2016, 198, 132–141. [Google Scholar] [CrossRef]
- Yoon, J.Y.; Chung, I.M.; Thiruvengadam, M. Evaluation of phenolic compounds, antioxidant and antimicrobial activities from transgenic hairy root cultures of gherkin (Cucumis anguria L.). South. Afr. J. Bot. 2015, 100, 80–86. [Google Scholar] [CrossRef]
- Abdel-Daim, M.M.; Moustafa, Y.M.; Umezawa, M.; Ramana, K.V.; Azzini, E. Applications of Antioxidants in Ameliorating Drugs and Xenobiotics Toxicity: Mechanistic Approach. Oxid. Med. Cell Longev. 2017, 2017, 4565127. [Google Scholar] [CrossRef]
- Mottaki, Z.; Rezayian, M.; Niknam, V.; Ebrahimzadeh, H.; Mirmasoumi, M. Using hairy roots for production of secondary metabolites in Artemisia. Plant Biotechnol. Rep. 2019, 13, 263–271. [Google Scholar] [CrossRef]
- Tonto, T.C.; Cimini, S.; Grasso, S.; Zompanti, A.; Santonico, M.; De Gara, L.; Locato, V. Methodological pipeline for monitoring post-harvest quality of leafy vegetables. Sci. Rep. 2023, 13, 20568. [Google Scholar] [CrossRef] [PubMed]








| Phenolic Compounds | DvHrT1 | DvHrT4 | DvHrT5 | Wt |
|---|---|---|---|---|
| chlorogenic acid | 2.653 ± 0.212 a | 1.156 ± 0.123 b | 0.454 ± 0.047 d | 0.623 ± 0.0747 c |
| di-O-caffeoylquinic acid | 22.449 ± 2.402 a | 8.001 ± 0.960 b | 2.424 ± 0.315 d | 6.541 ± 0.589 c |
| di-O-caffeoylquinic acid isomer | 3.021 ± 0.241 b | 3.111 ± 0.279 b | 1.212 ± 0.157 c | 4.360 ± 0.422 a |
| rosmarinic acid | 12.245 ± 1.567 a | 3.556 ± 0.427 b | 1.818 ± 0.215 d | 2.492 ± 0.263 c |
| Primer | Sequence | Fragment Length |
|---|---|---|
| rolB F | 5′-GCTCTTGCAGTGCTAGATTT-3′ | 423 bp |
| rolB R | 5′-GAAGGTGCAAGCTACCTCTC-3′ | |
| rolC F | 5′-GCTCTTGCAGTGCTAGATTT-3′ | 626 bp |
| rolC R | 5′-GAAGGTGCAAGCTACCTCTC-3′ | |
| virG F | 5′-GCTCTTGCAGTGCTAGATTT-3′ | 965 bp |
| virG R | 5′-GAAGGTGCAAGCTACCTCTC-3′ |
Disclaimer/Publisher’s Note: The statements, opinions and data contained in all publications are solely those of the individual author(s) and contributor(s) and not of MDPI and/or the editor(s). MDPI and/or the editor(s) disclaim responsibility for any injury to people or property resulting from any ideas, methods, instructions or products referred to in the content. |
© 2024 by the authors. Licensee MDPI, Basel, Switzerland. This article is an open access article distributed under the terms and conditions of the Creative Commons Attribution (CC BY) license (https://creativecommons.org/licenses/by/4.0/).
Share and Cite
Paradiso, A.; Durante, M.; Caretto, S.; De Paolis, A. Establishment of Dittrichia viscosa L. Hairy Roots and Improvement of Bioactive Compound Production. Plants 2024, 13, 3236. https://doi.org/10.3390/plants13223236
Paradiso A, Durante M, Caretto S, De Paolis A. Establishment of Dittrichia viscosa L. Hairy Roots and Improvement of Bioactive Compound Production. Plants. 2024; 13(22):3236. https://doi.org/10.3390/plants13223236
Chicago/Turabian StyleParadiso, Annalisa, Miriana Durante, Sofia Caretto, and Angelo De Paolis. 2024. "Establishment of Dittrichia viscosa L. Hairy Roots and Improvement of Bioactive Compound Production" Plants 13, no. 22: 3236. https://doi.org/10.3390/plants13223236
APA StyleParadiso, A., Durante, M., Caretto, S., & De Paolis, A. (2024). Establishment of Dittrichia viscosa L. Hairy Roots and Improvement of Bioactive Compound Production. Plants, 13(22), 3236. https://doi.org/10.3390/plants13223236

