Physicochemical Properties, Antioxidant Activity, and High-Performance Thin-Layer Chromatography Profiling of Propolis Samples from Western Australia
Abstract
1. Introduction
2. Results
2.1. Sensorial Analysis
2.2. pH, Oxidation Index, and Extraction Yields
2.3. Total Phenolic Content (TPC)
2.4. Ferric Reducing Antioxidant Power (FRAP) Assay
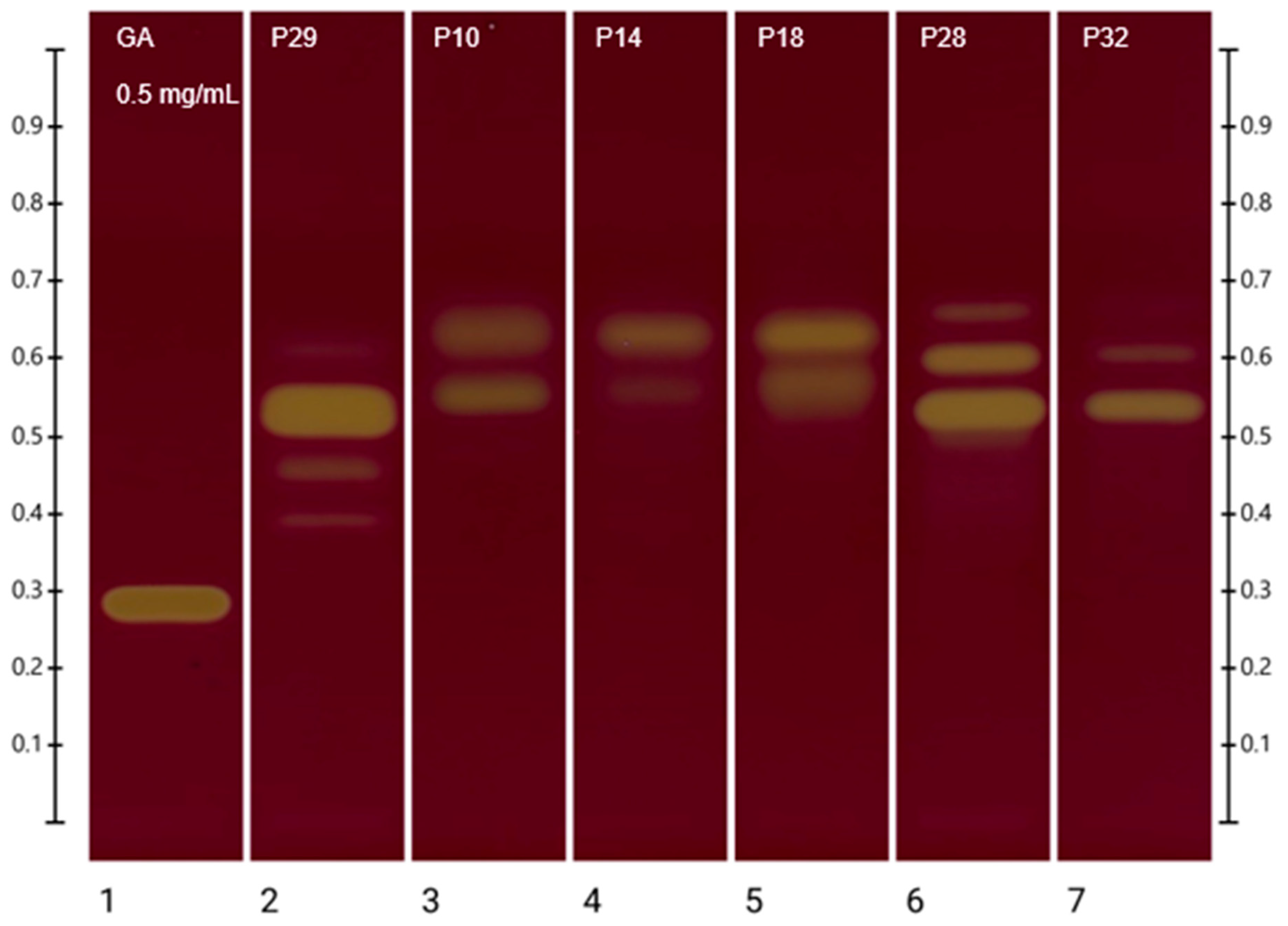
2.5. HPTLC Fingerprinting
2.6. Phenolic Constituent Identification in Propolis
2.7. HPTLC-DPPH
3. Discussion
4. Materials and Methods
4.1. Chemicals, Reagents, and Materials
4.2. Samples
4.3. Sensorial Analysis
4.4. pH
4.5. Oxidation Index
4.6. Propolis Extraction of Samples Selected for In-Depth Analysis
4.7. Determination of Total Phenolic Content (TPC)
4.8. Determination of Antioxidant Activity Using Ferric Reducing Antioxidant Power (FRAP) Assay
4.9. HPTLC Fingerprinting
4.9.1. Standard Solution and Reagent Preparations
4.9.2. Sample Application
4.9.3. Development
4.9.4. Derivatisation
- A 3 mL vanillin sulfuric acid spraying reagent (VSA) using the yellow nozzle on level 3 (TLC Derivatiser, CAMAG, Muttenz, BL, Switzerland) followed by heating on a TLC Plate Heater III (CAMAG) at 115 °C for 5 min;
- A 3 mL natural product derivatisation reagent (NP) using the green nozzle on level 3 (TLC Derivatiser, CAMAG, Muttenz, BL, Switzerland) followed by heating at 40 °C for 5 min, followed with derivatisation with 2 mL of PEG solution using the blue nozzle on level 2 (TLC Derivatiser, CAMAG, Muttenz, BL, Switzerland) and heating at 40 °C for 5 min.
4.10. Phenolic Constituent Identification in Propolis
4.11. HPTLC-DPPH Analysis
4.12. Data Analysis and Statistics
5. Conclusions
Supplementary Materials
Author Contributions
Funding
Data Availability Statement
Acknowledgments
Conflicts of Interest
References
- Tran, T.D.; Ogbourne, S.M.; Brooks, P.R.; Sánchez-Cruz, N.; Medina-Franco, J.L.; Quinn, R.J. Lessons from exploring chemical space and chemical diversity of propolis components. Int. J. Mol. Sci. 2020, 21, 4988. [Google Scholar] [CrossRef] [PubMed]
- Marcucci, M.C. Propolis: Chemical composition, biological properties and therapeutic activity. Apidologie 1995, 26, 83–99. [Google Scholar] [CrossRef]
- Wagh, V.D. Propolis: A wonder bees product and its pharmacological potentials. Adv. Pharmacol. Sci. 2013, 2013, 308249. [Google Scholar] [CrossRef] [PubMed]
- Bhargava, P.; Mahanta, D.; Kaul, A.; Ishida, Y.; Terao, K.; Wadhwa, R.; Kaul, S.C. Experimental evidence for therapeutic potentials of propolis. Nutrients 2021, 13, 2528. [Google Scholar] [CrossRef]
- Bhuyan, D.J.; Alsherbiny, M.A.; Low, M.N.; Zhou, X.; Kaur, K.; Li, G.; Li, C.G. Broad-spectrum pharmacological activity of Australian propolis and metabolomic-driven identification of marker metabolites of propolis samples from three continents. Food Funct. 2021, 12, 2498–2519. [Google Scholar] [CrossRef] [PubMed]
- El-Sakhawy, M. Propolis harvesting and extraction. Egypt. J. Chem. 2022, 66, 313–321. [Google Scholar]
- Bankova, V.S.; de Castro, S.L.; Marcucci, M.C. Propolis: Recent advances in chemistry and plant origin. Apidologie 2000, 31, 3–15. [Google Scholar] [CrossRef]
- De Castro, S.L. Propolis: Biological and pharmacological activities. Therapeutic uses of this bee-product. Annu. Rev. Biomed. Sciences. 2001, 3, 49–83. [Google Scholar] [CrossRef]
- Isidorov, V.A.; Bakier, S.; Pirożnikow, E.; Zambrzycka, M.; Swiecicka, I. Selective behaviour of honeybees in acquiring european propolis plant precursors. J. Chem. Ecol. 2016, 42, 475–485. [Google Scholar] [CrossRef]
- Moise, A.R.; Bobiş, O. Baccharis dracunculifolia and Dalbergia ecastophyllum, main plant sources for bioactive properties in green and red brazilian propolis. Plants 2020, 9, 1619. [Google Scholar] [CrossRef]
- Tran, C.T.N.; Brooks, P.R.; Bryen, T.J.; Williams, S.; Berry, J.; Tavian, F.; McKee, B.; Tran, T.D. Quality assessment and chemical diversity of Australian propolis from Apis mellifera bees. Sci. Rep. 2022, 12, 13574. [Google Scholar] [CrossRef] [PubMed]
- King, D.I.; Hamid, K.; Tran, V.H.; Duke, R.K.; Duke, C.C. Kangaroo island propolis types originating from two Lepidosperma species and Dodonaea humilis. Phytochemistry 2021, 188, 112800. [Google Scholar] [CrossRef]
- Massaro, C.F.; Simpson, J.B.; Powell, D.; Brooks, P. Chemical composition and antimicrobial activity of honeybee (Apis mellifera ligustica) propolis from subtropical eastern Australia. Die Naturwiss. 2015, 102, 68. [Google Scholar] [CrossRef] [PubMed]
- Wang, F.; Liu, H.; Li, J.; Zhang, W.; Jiang, B.; Xuan, H. Australian propolis ethanol extract exerts antibacterial activity against methicillin-resistant Staphylococcus aureus by mechanisms of disrupting cell structure, reversing resistance, and resisting biofilm. Braz. J. Microbiol. 2021, 52, 1651–1664. [Google Scholar] [CrossRef]
- Australia’s 15 National Biodiversity Hotspots. Available online: https://www.aph.gov.au/~/media/wopapub/senate/committee/ecita_ctte/completed_inquiries/2004-07/nationalparks/submissions/sub172.ashx (accessed on 25 April 2024).
- Lawag, I.L.; Islam, M.K.; Sostaric, T.; Lim, L.Y.; Hammer, K.; Locher, C. Antioxidant activity and phenolic compound identification and quantification in Western Australian honeys. Antioxidant 2023, 12, 189. [Google Scholar] [CrossRef] [PubMed]
- Locher, C.; Tang, E.; Neumann, J.; Sostaric, T. High-performance thin-Layer chromatography profiling of Jarrah and Manuka honeys. J. Planar Chromatogr.—Mod. TLC 2018, 31, 181–189. [Google Scholar] [CrossRef]
- Locher, C.; Neumann, J.; Sostaric, T. Authentication of honeys of different floral origins via HPTLC fingerprining. J. Planar Chromatogr.—Mod. TLC 2017, 30, 57–62. [Google Scholar] [CrossRef]
- Islam, M.K.; Sostaric, T.; Lim, L.Y.; Hammer, K.; Locher, C. Development and validation of an HPTLC-DPPH assay and its application to the analysis of honey. J. Planar Chromatogr. 2020, 33, 301–311. [Google Scholar] [CrossRef]
- Mello dos Santos, M.; Jacobs, C.; Islam, M.K.; Lim, L.Y.; Locher, C. Validation of a high-performance thin-layer chromatography method for the quantitative determination of trehalulose. J. Planar Chromatogr.—Mod. TLC 2023, 36, 201–210. [Google Scholar] [CrossRef]
- Morlock, G.E.; Ristivojevic, P.; Chernetsova, E.S. Combined multivariate data analysis of high-performance thin-layer chromatography fingerprints and direct analysis in real time mass spectra for profiling of natural products like propolis. J. Chromatogr. A 2014, 1328, 104–112. [Google Scholar] [CrossRef]
- Lawag, I.L.; Sostaric, T.; Lim, L.Y.; Hammer, K.; Locher, C. The development and application of a HPTLC-derived database for the identification of phenolics in honey. Molecules 2022, 27, 6651. [Google Scholar] [CrossRef] [PubMed]
- Daraghmeh, J.; Imtara, H. In vitro evaluation of Palestinian propolis as a natural product with antioxidant properties and antimicrobial activity against multidrug-resistant clinical isolates. J. Food Qual. 2020, 2020, 8861395. [Google Scholar] [CrossRef]
- Touzani, S.; Imtara, H.; Katekhaye, S.; Mechchate, H.; Ouassou, H.; Alqahtani, A.S.; Noman, O.M.; Nasr, F.A.; Fearnley, H.; Fearnley, J.; et al. Determination of phenolic compounds in various propolis samples collected from an African and an Asian region and their impact on antioxidant and antibacterial activities. Molecules 2021, 26, 4589. [Google Scholar] [CrossRef] [PubMed]
- Ministério da Agricultura e do Abastecimento, Secretaria de Defesa Agropecuária, Regulaniento Técnico Para Fixação de Sentidade e Qualidade de Própolis, Instrução Normativa Nº 3, de 19 de Janeiro de 2001. Available online: https://www.iberpharm.com.br/www/arquivos/IN03-19-01-2001.pdf (accessed on 30 April 2024).
- Can, Z.; Yildiz, O.; Sahin, H.; Asadov, E. Phenolic profile and antioxidant potential of propolis from Azerbaijan. Mellifera 2015, 15, 16–28. [Google Scholar]
- Vieira de Morais, D.; Rosalen, P.L.; Ikegaki, M.; de Souza Silva, A.P.; Massarioli, A.P.; de Alencar, S.M. Active antioxidant phenolics from Brazilian red propolis: An optimization study for their recovery and identification by LC-ESI-QTOF-MS/MS. Antioxidants 2021, 10, 297. [Google Scholar] [CrossRef]
- Anjum, S.I.; Ullah, A.; Khan, K.A.; Attaullah, M.; Khan, H.; Ali, H.; Bashir, M.A.; Tahir, M.; Ansari, M.J.; Ghramh, H.A.; et al. Composition and functional properties of propolis (bee glue): A review. Saudi J. Biol. Sci. 2019, 26, 1695–1703. [Google Scholar] [CrossRef] [PubMed]
- Woźniak, M.; Sip, A.; Mrówczyńska, L.; Broniarczyk, J.; Waśkiewicz, A.; Ratajczak, I. Biological activity and chemical composition of propolis from various regions of Poland. Molecules 2022, 28, 141. [Google Scholar] [CrossRef] [PubMed]
- Huang, S.; Zhang, C.-P.; Wang, K.; Li, G.Q.; Hu, F.-L. Recent advances in the chemical composition of propolis. Molecules 2014, 19, 19610–19632. [Google Scholar] [CrossRef]
- Siheri, W.; Ebiloma, G.U.; Igoli, J.O.; Gray, A.I.; Biddau, M.; Akrachalanont, P.; Alenezi, S.; Alwashih, M.A.; Edrada-Ebel, R.; Muller, S.; et al. Isolation of a novel flavanonol and an alkylresorcinol with highly potent anti-trypanosomal activity from Libyan propolis. Molecules 2019, 24, 1041. [Google Scholar] [CrossRef]
- Falcão, S.I.; Calhelha, R.C.; Touzani, S.; Lyoussi, B.; Ferreira, I.C.F.R.; Vilas-Boas, M. In vitro interactions of Moroccan propolis phytochemical’s on human tumor cell lines and anti-inflammatory properties. Biomolecules 2019, 9, 315. [Google Scholar] [CrossRef]
- Pobiega, K.; Kraśniewska, K.; Derewiaka, D.; Gniewosz, M. Comparison of the antimicrobial activity of propolis extracts obtained by means of various extraction methods. J. Food Sci. Technol. 2019, 56, 5386–5395. [Google Scholar] [CrossRef] [PubMed]
- Galeotti, F.; Maccari, F.; Fachini, A.; Volpi, N. Chemical composition and antioxidant activity of propolis prepared in different forms and in different solvents useful for finished products. Foods 2018, 7, 41. [Google Scholar] [CrossRef] [PubMed]
- Bankova, V.; Trusheva, B.; Popova, M. Propolis extraction methods: A review. J. Apic. Res. 2021, 60, 734–743. [Google Scholar] [CrossRef]
- Mokhtar, S.U. Comparison of total phenolic and flavonoids contents in Malaysian propolis extract with two different extraction solvents. Int. J. Eng. Technol. Nat. Sci. 2019, 6, 1–11. [Google Scholar] [CrossRef]
- Okińczyc, P.; Widelski, J.; Szperlik, J.; Żuk, M.; Mroczek, T.; Skalicka-Woźniak, K.; Sakipova, Z.; Widelska, G.; Kuś, P.M. Impact of plant origin on eurasian propolis on phenolic profile and classical antioxidant activity. Biomolecules 2021, 11, 68. [Google Scholar] [CrossRef] [PubMed]
- Svečnjak, L.; Marijanović, Z.; Okińczyc, P.; Marek Kuś, P.; Jerković, I. Mediterranean propolis from the Adriatic sea Islands as a source of natural antioxidants: Comprehensive chemical biodiversity determined by GC-MS, FTIR-ATR, UHPLC-DAD-QqTOF-MS, DPPH and FRAP Assay. Antioxidants 2020, 9, 337. [Google Scholar] [CrossRef] [PubMed]
- Guzelmeric, E.; Özdemir, D.; Sen, N.B.; Celik, C.; Yesilada, E. Quantitative determination of phenolic compounds in propolis samples from the Black Sea region (Türkiye) based on HPTLC images using partial least squares and genetic inverse least squares methods. J. Pharm. Biomed. Anal. 2023, 229, 115338. [Google Scholar] [CrossRef]
- Shukla, R.; Pandey, V.; Vadnere, G.P.; Lodhi, S. Role of flavonoids in management of inflammatory disorders. In Bioactive Food as Dietary Interventions for Arthritis and Related Inflammatory Diseases, 2nd ed.; Watson, R., Preedy, V., Eds.; Academic Press: Cambridge, MA, USA, 2019; pp. 293–322. [Google Scholar]
- Ntalouka, F.; Tsirivakou, A. Luteolin: A promising natural agent in management of pain in chronic conditions. Front. Pain Res. 2023, 4, 1114428. [Google Scholar]
- Liu, Y.; Shi, X.; Tian, Y.; Zhai, S.; Liu, Y.; Xiong, Z.; Chu, S. An insight into novel therapeutic potentials of taxifolin. Front. Pharmacol. 2023, 14, 1173855. [Google Scholar] [CrossRef]
- Zhao, M.; Tao, Y.; Wu, X.; Xiao, Y. One-Pot Efficient biosynthesis of 4-hydroxyphenylacetic acid and its analogues from lignin-related p -coumaric and ferulic acids. ACS Sustain. Chem. Eng. 2021, 9, 6400–6409. [Google Scholar] [CrossRef]
- Rivera-Yañez, N.; Rodriguez-Canales, M.; Nieto-Yañez, O.; Jimenez-Estrada, M.; Ibarra-Barajas, M.; Canales-Martinez, M.M.; Rodriguez-Monroy, M.A. Hypoglycaemic and antioxidant effects of propolis of chihuahua in a model of experimental diabetes. Evid.-Based Complement. Altern. Med. 2018, 2018, 4360356. [Google Scholar] [CrossRef] [PubMed]
- Australian Government Department of Agriculture, Water and the Environment. Available online: https://www.dcceew.gov.au/sites/default/files/env/pages/5b3d2d31-2355-4b60-820c-e370572b2520/files/ibra-regions.pdf (accessed on 30 April 2024).
- Department of Biodiversity, Conservation and Attractions Biodiversity Information Office. Available online: https://dandjoo.bio.wa.gov.au/ (accessed on 30 April 2024).
- Dias, L.G.; Pereira, A.P.; Estevinho, L.M. Comparative study of different Portuguese samples of propolis: Pollinic, sensorial, physicochemical, microbiological characterization and antibacterial activity. Food Chem. Toxicol. 2012, 50, 4246–4253. [Google Scholar] [CrossRef] [PubMed]
- De Figueiredo, S.M.; Binda, N.S.; AugustoVieira-Filho, S.; de Moura Almeida, B.; Abreu, S.R.L.; Paulino, N.; Pastore, G.M.; Sato, H.; Theodoropoulos, V.C.T.; Tapia, E.V.; et al. Physicochemical characteristics of Brazilian green propolis evaluated during a six-year period. Curr. Drug Discov. Technol. 2016, 14, 127–134. [Google Scholar] [CrossRef] [PubMed]
- Singleton, V.L.; Orthofer, R.; Lamuela-Raventós, R.M. [14] Analysis of total phenols and other oxidation substrates and antioxidants by means of folin-ciocalteu reagent. In Methods in Enzymology; Academic Press: Cambridge, MA, USA, 1999; Volume 299, pp. 152–178. [Google Scholar]
- Benzie, I.F.F.; Strain, J.J. [2] Ferric reducing/antioxidant power assay: Direct measure of total antioxidant activity of biological fluids and modified version for simultaneous measurement of total antioxidant power and ascorbic acid concentration. In Methods in Enzymology; Academic Press: Cambridge, MA, USA, 1999; Volume 299, pp. 15–27. [Google Scholar]
- Almeida, A.M.M.d.; Oliveira, M.B.S.; Costa, J.G.; Valentim, I.B.; Goulart, M.O.F. Antioxidant capacity, physicochemical and floral characterization of honeys from the northeast of Brazil. Rev. Virtual Quím. 2016, 8, 57–77. [Google Scholar] [CrossRef]
- Islam, M.K.; Sostaric, T.; Lim, L.Y.; Hammer, K.; Locher, C. Antioxidant HPTLC-DPPH fingerprinting of honeys and tracking of antioxidant constituents upon thermal exposure. Foods 2021, 10, 357. [Google Scholar] [CrossRef]
- Molyneux, P. The use of the stable free radical diphenylpicrylhydrazyl (DPPH) for estimating antioxidant activity. Songklanakarin J. Sci. Technol. 2004, 26, 211–219. [Google Scholar]



| Sample Name | Sample Picture | Colour | Aroma | Consistency |
|---|---|---|---|---|
| P29 | ![]() | Brown | Resinous | Malleable |
| P10 | ![]() | Brown, White | Resinous | Malleable |
| P14 | ![]() | Brown | Resinous | Malleable |
| P18 | ![]() | Brown | Resinous | Malleable |
| P28 | ![]() | Red | Resinous | Malleable |
| P32 | ![]() | Red, Brown | Resinous | Malleable |
| Propolis Sample | P29 | P10 | P14 | P18 | P32 | P28 |
|---|---|---|---|---|---|---|
| Average pH | 4.60 ± 0.26 a,b | 4.40 ± 0.17 a | 4.20 ± 0.06 a | 4.10 ± 0.06 a | 4.90 ± 0.00 b | 4.40 ± 0.15 a |
| Oxidation Index [s] | 4.20 ± 0.72 a | 5.00 ± 1.00 a | 10.4 ± 0.51 b | 11.8 ± 1.08 b | 30.9 ± 2.17 c | 21.9 ± 2.05 d |
| Extraction Yield | 41.0% | 21.5% | 22.8% | 32.1% | 0.10% | 24.4% |
| Propolis Samples | P29 | P10 | P14 | P18 | P32 | P28 |
|---|---|---|---|---|---|---|
| TPC (mg GAE/g raw propolis) | 59.3 ± 0.93 a | 27.3 ± 0.2 b | 31.0 ± 0.55 c | 50.1 ± 1.76 d | 9.26 ± 0.20 e | 39.3 ± 0.46 f |
| FRAP (mmol Fe2+/kg raw propolis) | 53.8 ± 4.43 a | 9.72 ± 0.59 b | 24.8 ± 3.84 c | 33.7 ± 4.96 c | 8.68 ± 0.11 d | 10.3 ± 0.99 b |
| Sample | Rf Value Sample | Hue Value [°] Sample Der254 | Colour Band Der254 | Hue Value [°] Sample Der366 | Colour Band Der366 | Match | Rf Value Match | Hue Value [°] Match Der254 | Colour Band Der254 | Hue Value [°] Match Der366 | Colour Band Der366 |
|---|---|---|---|---|---|---|---|---|---|---|---|
| P10 | 0.565 | 139 | 138 | Naringenin | 0.584 | 138 | 166 | ||||
| P14 | 0.577 | 138 | 182 | Naringenin | 0.584 | 138 | 166 | ||||
| P18 | 0.561 | 140 | 152 | Naringenin | 0.584 | 138 | 166 | ||||
| P28 | 0.475 | 138 | 217 | 4-HPAA | 0.454 | 139 | 196 | ||||
| P29 | 0.355 | 138 | 187 | Taxifolin | 0.373 | 119 | 49.6 | ||||
| P29 | 0.415 | 138 | 183 | Luteolin | 0.411 | 130 | 183 | ||||
| P29 | 0.470 | 135 | 180 | Luteolin | 0.489 | 138 | 200 |
| Sample | Rf | Hue Value [°] | Colour Band | %RSA | Category | Matches of Section 2.6 |
|---|---|---|---|---|---|---|
| Baseline | NA | 340 | 0.00 | 0 | NA | |
| Gallic acid | 0.285 | 37.9 | 96.5 | +++ | NA | |
| P10 | 0.479 | 343 | 5.00 | + | NA | |
| 0.554 | 31.8 | 86.3 | +++ | Naringenin | ||
| 0.630 | 22.4 | 70.7 | +++ | NA | ||
| P14 | 0.552 | 2.70 | 37.8 | ++ | Naringenin | |
| 0.638 | 24.4 | 74.0 | +++ | NA | ||
| P18 | 0.565 | 27.2 | 78.7 | +++ | Naringenin | |
| 0.633 | 36.9 | 94.8 | +++ | NA | ||
| P28 | 0.454 | 352 | 20.0 | + | 4-HPAA | |
| 0.537 | 39.5 | 99.2 | +++ | NA | ||
| 0.605 | 35.9 | 93.2 | +++ | NA | ||
| 0.663 | 10.4 | 50.7 | ++ | NA | ||
| P29 | 0.370 | 345 | 8.33 | + | Taxifolin | |
| 0.400 | 2.40 | 37.3 | ++ | Luteolin | ||
| 0.454 | 13.0 | 55.0 | ++ | Luteolin | ||
| 0.532 | 39.8 | 99.7 | +++ | NA | ||
| 0.615 | 357 | 28.3 | + | NA | ||
| P32 | 0.542 | 35.9 | 93.2 | +++ | NA | |
| 0.610 | 8.40 | 47.3 | ++ | NA | ||
| 0.673 | 346 | 10.0 | + | NA |
| Propolis Sample | Location | Biogeographical Region * (Figure 3) | Flora | In-Depth Analysis (Marked with X) |
|---|---|---|---|---|
| P01 | Bullsbrook | SWA | Native bushland | |
| P02 | Gidgegannup | JAF | Capeweed (Arctotheca calendula) | |
| P03 | Fremantle | SWA | Bushland | |
| P04 | Kalamunda | SWA | Mixed bushland | |
| P05 | Viveash | SWA | Golden Wattle (Acacia pycnantha), Marri (Corymbia calophylla), River Red Gum (Eucalyptus camaldulensis), various other Eucalypts | |
| P06 | Viveash | SWA | Golden Wattle (Acacia pycnantha), Marri (Corymbia calophylla), River Red Gum (Eucalyptus camaldulensis) | |
| P07 | Viveash | SWA | Urban flora | |
| P08 | Viveash | SWA | Urban flora, River Red Gum (Eucalyptus camaldulensis) | |
| P09 | Viveash | SWA | Urban flora, Golden Wattle (Acacia pycnantha), various Eucalypts | |
| P10 | Wellstead | ESP | Native bush, Canola (Brassica nabus) | X |
| P11 | Wellstead | ESP | Native bush, Canola (Brassica nabus) | |
| P12 | Albany + Muchae | JAF | Wildflowers | |
| P13 | Swan View | SWA | Mixed urban flora | |
| P14 | Gidgegannup | JAF | Dryandra (Banksia sessilis) | X |
| P15 | Swan View | SWA | N/A | |
| P16 | Brentwood | SWA | Urban flora | |
| P17 | Wooroloo | JAF | N/A | |
| P18 | Two Rocks | SWA | N/A | X |
| P19 | Bullsbrook | SWA | N/A | |
| P20 | Roleystone | JAF | Citrus and other orchard fruit trees | |
| P21 | Medina | SWA | N/A | |
| P22 | Bedfordale | SWA | Marri (Corymbia calophylla), Jarrah (Eucalyptus marginata) | |
| P23 | Baldivis | SWA | Parrot Bush (Banksia sessilis), various Eucalypts | |
| P24 | Armadale | SWA | Various Eucalypts, Capweed (Arctotheca calendula) | |
| P25 | Morangup | JAF | Native bushland, various Eucalypts, pine trees (Pinus spp.) | |
| P26 | Bindoon, Chittering | JAF | Mixed flora | |
| P27 | Bindoon, Chittering | JAF | Mixed flora | |
| P28 | Ninghan station | AVW | N/A | X |
| P29 | Yanchep | SWA | Thick-Leaved Fan-Flower (Scaevola crassifolia) | X |
| P30 | Yanchep | SWA | Thick-Leaved Fan-Flower (Scaevola crassifolia) | |
| P31 | Yanchep | SWA | N/A | |
| P32 | Ninghan station | AVW | N/A | X |
Disclaimer/Publisher’s Note: The statements, opinions and data contained in all publications are solely those of the individual author(s) and contributor(s) and not of MDPI and/or the editor(s). MDPI and/or the editor(s) disclaim responsibility for any injury to people or property resulting from any ideas, methods, instructions or products referred to in the content. |
© 2024 by the authors. Licensee MDPI, Basel, Switzerland. This article is an open access article distributed under the terms and conditions of the Creative Commons Attribution (CC BY) license (https://creativecommons.org/licenses/by/4.0/).
Share and Cite
Achenbach, J.; Deyerling, N.; Mello dos Santos, M.; Sultana, S.; Islam, M.K.; Locher, C. Physicochemical Properties, Antioxidant Activity, and High-Performance Thin-Layer Chromatography Profiling of Propolis Samples from Western Australia. Plants 2024, 13, 1919. https://doi.org/10.3390/plants13141919
Achenbach J, Deyerling N, Mello dos Santos M, Sultana S, Islam MK, Locher C. Physicochemical Properties, Antioxidant Activity, and High-Performance Thin-Layer Chromatography Profiling of Propolis Samples from Western Australia. Plants. 2024; 13(14):1919. https://doi.org/10.3390/plants13141919
Chicago/Turabian StyleAchenbach, Juliane, Nicola Deyerling, Mariana Mello dos Santos, Sharmin Sultana, Md Khairul Islam, and Cornelia Locher. 2024. "Physicochemical Properties, Antioxidant Activity, and High-Performance Thin-Layer Chromatography Profiling of Propolis Samples from Western Australia" Plants 13, no. 14: 1919. https://doi.org/10.3390/plants13141919
APA StyleAchenbach, J., Deyerling, N., Mello dos Santos, M., Sultana, S., Islam, M. K., & Locher, C. (2024). Physicochemical Properties, Antioxidant Activity, and High-Performance Thin-Layer Chromatography Profiling of Propolis Samples from Western Australia. Plants, 13(14), 1919. https://doi.org/10.3390/plants13141919







