Late Split-Application with Reduced Nitrogen Fertilizer Increases Yield by Mediating Source–Sink Relations during the Grain Filling Stage in Summer Maize
Abstract
1. Introduction
2. Materials and Methods
2.1. Experimental Site
2.2. Experimental Design
2.3. Sampling and Measurements
2.3.1. Photosynthetic Rate
2.3.2. Chlorophyll Content
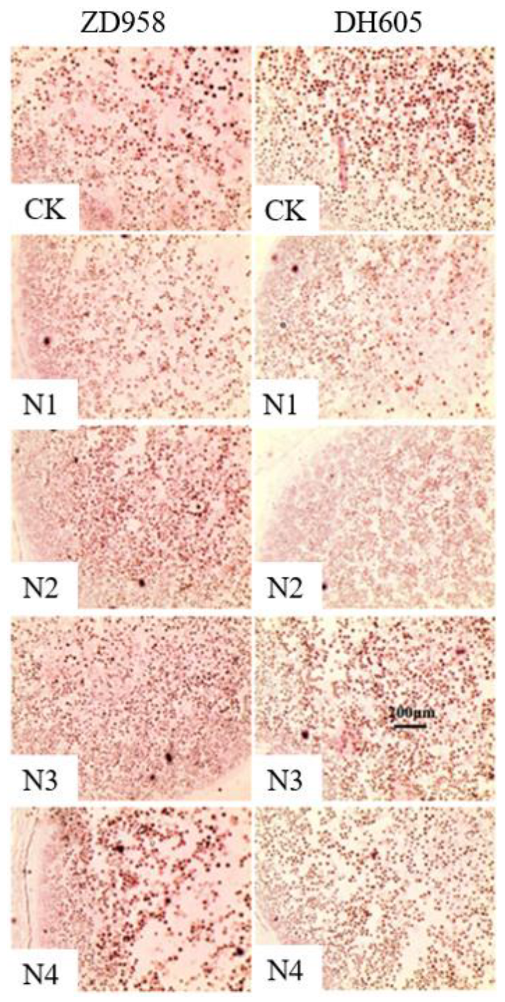
2.3.3. Determination of Endosperm Cells and Starch Granules
2.3.4. Grain-Filling Dynamics
2.3.5. Determination of N Content and N Traits
2.3.6. Grain Yield
2.3.7. Data Analysis
3. Results
3.1. Yield and Yield Components
3.2. Source Performance
3.3. Sink Performance
3.4. N Uptake and Utilization
4. Discussion
4.1. Late Split Application of N Coordinately Improves Yield and N Efficiency in Maize under Limited N Input
4.2. Late Split Application of N with Limited N Input Promotes Sink Development and Mediates Source–Sink Relations in the Later Growth Stages of Maize
4.3. Split N Input at the Silking Stage Meets Maize N Demand of the Late Stage and Increases Economic Benefit under Limited N Input
5. Conclusions
6. Patents
Supplementary Materials
Author Contributions
Funding
Data Availability Statement
Acknowledgments
Conflicts of Interest
References
- Liu, X.; Zhang, Y.; Han, W.; Tang, A.; Shen, J.; Cui, Z.; Vitousek, P.; Erisman, J.W.; Goulding, K.; Christie, P.; et al. Enhanced nitrogen deposition over China. Nature 2013, 494, 459–462. [Google Scholar] [CrossRef] [PubMed]
- Guo, J.H.; Liu, X.J.; Zhang, Y.; Shen, J.L.; Han, W.X.; Zhang, W.F.; Christie, P.; Goulding, K.W.; Vitousek, P.M.; Zhang, F.S. Significant acidification in major Chinese croplands. Science 2010, 327, 1008–1010. [Google Scholar] [CrossRef] [PubMed]
- Ciampitti, I.A.; Vyn, T.J. Understanding global and historical nutrient use efficiencies for closing maize yield gaps. Agron. J. 2014, 106, 2107–2117. [Google Scholar] [CrossRef]
- Ju, X.T.; Xing, G.X.; Chen, X.P.; Zhang, S.L.; Zhang, L.J.; Liu, X.J.; Cui, Z.L.; Yin, B.; Christie, P.; Zhu, Z.L.; et al. Reducing environmental risk by improving N management in intensive Chinese agricultural systems. Proc. Natl. Acad. Sci. USA 2009, 106, 3041–3046. [Google Scholar] [CrossRef]
- Zhu, Z.L.; Chen, D.L. Nitrogen fertilizer use in China—Contributions to food production, impacts on the environment and best management strategies. Nutr. Cycl. Agroecosyst. 2002, 63, 117–127. [Google Scholar] [CrossRef]
- Davidson, E. The contribution of manure and fertilizer nitrogen to atmospheric nitrous oxide since 1860. Nat. Geosci. 2009, 2, 659–662. [Google Scholar] [CrossRef]
- Chen, X.; Cui, Z.; Fan, M.; Vitousek, P.; Zhao, M.; Ma, W.; Wang, Z.; Zhang, W.; Yan, X.; Yang, J.; et al. Producing more grain with lower environmental costs. Nature 2014, 514, 486–489. [Google Scholar] [CrossRef]
- Chen, G.; Cao, H.; Liang, J.; Ma, W.; Guo, L.; Zhang, S.; Jiang, R.; Zhang, H.; Goulding, K.W.T.; Zhang, F. Factors affecting nitrogen use efficiency and grain yield of summer maize on smallholder farms in the North China Plain. Sustainability 2018, 10, 363. [Google Scholar] [CrossRef]
- Zhang, J.T.; Liu, Y.P.; Li, X.H.; Liang, X.G.; Zhou, L.L.; Zhou, S.L. Dynamic responses of nitrogen accumulation and remobilization in summer maize organs to nitrogen fertilizer. Acta Agron. Sin. 2013, 39, 506–514. [Google Scholar] [CrossRef]
- Zhao, B.; Dong, S.T.; Zhang, J.W.; Liu, P. Effects of controlled-release fertilizer on yield and nitrogen accumulation and distribution in summer maize. Acta Agron. Sin. 2010, 36, 1760–1768. [Google Scholar]
- Cao, P.; Lu, C.; Yu, Z. Historical nitrogen fertilizer use in agricultural ecosystems of the contiguous United States during 1850–2015: Application rate, timing, and fertilizer types. Earth Syst. Sci. Data 2018, 10, 969–984. [Google Scholar] [CrossRef]
- Raun, W.R.; Johnson, G.V. Improving nitrogen use efficiency for cereal production. Agron. J. 1999, 91, 357–363. [Google Scholar] [CrossRef]
- Wang, J.; Gao, Z.; Qu, L.; Lv, X.; Liang, X.; Zhang, L.; Zhou, S. Effects of postponing N-fertilizer application by drip fertigation on the characteristics of source-sink and yield formation in summer maize. J. China Agric. Univ. 2017, 22, 1–8. [Google Scholar]
- Mueller, N.D.; West, P.C.; Gerber, J.S.; MacDonald, G.K.; Polasky, S.; Foley, J.A. A tradeoff frontier for global nitrogen use and cereal production. Environ. Res. Lett. 2014, 9, 054002. [Google Scholar] [CrossRef]
- Ciampitti, I.A.; Vyn, T.J. Physiological perspectives of changes over time in maize yield dependency on nitrogen uptake and associated nitrogen efficiencies: A review. Field Crops Res. 2012, 133, 48–67. [Google Scholar] [CrossRef]
- Scharf, P.C.; Wiebold, W.J.; Lory, J.A. Corn yield response to nitrogen fertilizer timing and deficiency level. Agron. J. 2002, 94, 435–441. [Google Scholar] [CrossRef]
- Mueller, S.M.; Camberato, J.J.; Messina, C.; Shanahan, J.; Zhang, H.; Vyn, T.J. Late-split nitrogen applications increased maize plant nitrogen recovery but not yield under moderate to high nitrogen rates. Agron. J. 2017, 109, 2689–2699. [Google Scholar] [CrossRef]
- Shanahan, J.F.; Kitchen, N.R.; Raun, W.R.; Schepers, J.S. Responsive in-season nitrogen management for cereals. Comput. Electron. Agric. 2008, 61, 51–62. [Google Scholar] [CrossRef]
- Mueller, S.M.; Vyn, T.J. Maize plant resilience to N stress and post-silking N capacity changes over time: A review. Front. Plant Sci. 2016, 7, 53. [Google Scholar] [CrossRef]
- Adriaanse, F.G.; Human, J.J. Effect of time of application and nitrateammonium ratio on maize grain yield, grain N concentration and soil mineral N concentration in a semiarid region. Field Crops Res. 1993, 34, 57–70. [Google Scholar] [CrossRef]
- Walsh, O.; Raun, W.; Klatt, A.; Solie, J. Effect of delayed nitrogen fertilization on maize (Zea mays L.) grain yields and nitrogen use efficiency. J. Plant Nutr. 2012, 35, 538–555. [Google Scholar] [CrossRef]
- Silva, P.R.F.D.; Strieder, M.L.; Coser, R.P.D.S.; Rambo, L.; Sangoi, L.; Argenta, G.; Forsthofer, E.L.; Silva, A.A.D. Grain yield and kernel crude protein content increases of maize hybrids with late nitrogen side-dressing. Sci. Agric. 2005, 62, 487–492. [Google Scholar] [CrossRef]
- Lv, P.; Zhang, J.W.; Jin, L.B.; Liu, W.; Dong, S.T.; Liu, P. Effects of nitrogen application stage on grain yield and nitrogen use efficiency of high-yield summer maize. Plant Soil Environ. 2012, 58, 211–216. [Google Scholar]
- Fernandez, J.A.; DeBruin, J.; Messina, C.D.; Ciampitti, I.A. Late-season nitrogen fertilization on maize yield: A meta-analysis. Field Crops Res. 2019, 247, 107–586. [Google Scholar] [CrossRef]
- Ning, P.; Fritschi, F.B.; Li, C. Temporal dynamics of post-silking nitrogen fluxes and their effects on grain yield in maize under low to high nitrogen inputs. Field Crops Res. 2017, 204, 249–259. [Google Scholar] [CrossRef]
- Gallais, A.; Coque, M.; Quillere, I.; Prioul, J.L.; Hirel, B. Modelling postsilking nitrogen fluxes in maize (Zea mays) using 15N-labelling field experiments. New Phytol. 2006, 172, 696–707. [Google Scholar] [CrossRef] [PubMed]
- de Oliveira Silva, A.; Camberato, J.J.; Coram, T.; Filley, T.; Vyn, T.J. Applicability of a “multi-stage pulse labeling” 15N approach to phenotype n dynamics in maize plant components during the growing season. Front. Plant Sci. 2017, 8, 1360. [Google Scholar] [CrossRef]
- Subedi, K.D.; Ma, B.L. Effects of N-deficiency and timing of N supply on the recovery and distribution of labeled 15N in contrasting maize hybrids. Plant Soil 2005, 273, 189–202. [Google Scholar] [CrossRef]
- Binder, D.L.; Sander, D.H.; Walters, D.T. Maize response to time of nitrogen application as affected by level of nitrogen deficiency. Agron. J. 2000, 92, 1228–1236. [Google Scholar] [CrossRef]
- Shen, S.; Li, B.B.; Deng, T.; Xiao, Z.D.; Chen, X.M.; Hu, H.; Zhang, B.C.; Wu, G.; Li, F.; Zhao, X.; et al. The equilibrium between sugars and ethylene is involved in shading-and drought-induced kernel abortion in maize. Plant Growth Regul. 2020, 91, 101–111. [Google Scholar] [CrossRef]
- Borras, L.; Westgate, M.E.; Otegui, M.E. Control of kernel weight and kernel water relations by post-flowering source-sink ratio in maize. Ann. Bot. 2003, 91, 857–867. [Google Scholar] [CrossRef] [PubMed]
- Shen, S.; Zhang, L.; Liang, X.G.; Zhao, X.; Lin, S.; Qu, L.H.; Liu, Y.P.; Gao, Z.; Ruan, Y.L.; Zhou, S.L. Delayed pollination and low availability of assimilates are major factors causing maize kernel abortion. J. Exp. Bot. 2018, 69, 1599–1613. [Google Scholar] [CrossRef] [PubMed]
- Wang, Y.; Tao, H.; Tian, B.; Sheng, D.; Xu, C.; Zhou, H.; Huang, S.; Wang, P. Flowering dynamics, pollen, and pistil contribution to grain yield in response to high temperature during maize flowering. Envrion. Exp. Bot. 2019, 158, 80–88. [Google Scholar] [CrossRef]
- Shen, S.; Liang, X.G.; Zhang, L.; Zhao, X.; Liu, Y.P.; Lin, S.; Gao, Z.; Wang, P.; Wang, Z.M.; Zhou, S.L. Intervening in sibling competition for assimilates by controlled pollination prevents seed abortion under postpollination drought in maize. Plant Cell Envrion. 2020, 43, 903–919. [Google Scholar] [CrossRef] [PubMed]
- Zhang, L.; Liang, X.G.; Shen, S.; Yin, H.; Zhou, L.L.; Gao, Z.; Lv, X.Y.; Zhou, S.L. Increasing the abscisic acid level in maize grains induces precocious maturation by accelerating grain filling and dehydration. Plant Growth Regul. 2018, 86, 65–79. [Google Scholar] [CrossRef]
- Rajcan, I.; Tollenaar, M. Source: Sink ratio and leaf senescence in maize II. Nitrogen metabolism during grain filling. Field Crops Res. 1999, 60, 255–265. [Google Scholar] [CrossRef]
- Ciampitti, I.A.; Vyn, T.J. A comprehensive study of plant density consequences on nitrogen uptake dynamics of maize plants from vegetative to reproductive stages. Field Crops Res. 2011, 121, 2–18. [Google Scholar] [CrossRef]
- Mueller, S.M.; Vyn, T.J. Physiological constraints to realizing maize grain yield recovery with silking-stage nitrogen fertilizer applications. Field Crops Res. 2018, 228, 102–109. [Google Scholar] [CrossRef]
- Li, H.S. Principles and Techniques of Plant Physiological Experiment; Higher Education Press: Beijing, China, 2000. [Google Scholar]
- He, Q.; Dong, S.; Gao, R. Comparison of ear vascular bundles in different maize cultivars. Acta Agron. Sin. 2007, 33, 1187–1196. [Google Scholar]
- Wang, Q.; Liu, X.; Li, Z.; Liu, K. Effect of planting densities on morphogenesis of seed capsule and development of starch granule in maize endosperm. Sci. Agric. Sin. 2008, 41, 2506–2512. [Google Scholar]
- Wang, X.; Zhang, L.; Liu, S.; Cao, Y.; Wei, W.; Liu, C.; Wang, Y.; Bian, S.; Wang, L. Grain filling characteristics of maize hybrids differing in maturities. Sci. Agric. Sin. 2014, 47, 3557–3565. [Google Scholar]
- Bremner, J.M. Determination of nitrogen in soil by the Kjeldahl method. J. Agric. Sci. 1960, 55, 11–33. [Google Scholar] [CrossRef]
- Shen, S.; Ma, S.; Chen, X.M.; Yi, F.; Li, B.B.; Liang, X.G.; Liao, S.J.; Gao, L.H.; Zhou, S.L.; Ruan, Y.R. A transcriptional landscape underlying sugar import for grain set in maize. Plant J. 2022, 11, 228–242. [Google Scholar] [CrossRef] [PubMed]
- Burnett, A.C.; Rogers, A.; Rees, M.; Osborne, C.P. Carbon source-sink limitations differ between two species with contrasting growth strategies. Plant Cell Environ. 2016, 39, 2460–2472. [Google Scholar] [CrossRef]
- Rossi, M.; Bermudez, L.; Carrari, F. Crop yield: Challenges from a metabolic perspective. Curr. Opin. Plant Biol. 2015, 25, 79–89. [Google Scholar] [CrossRef] [PubMed]
- Wang, F.; Cheng, F.; Zhang, G. The relationship between grain filling and hormone content as affected by genotype and source-sink relation. Plant Growth Regul. 2006, 49, 1–8. [Google Scholar]
- Gao, Z.; Liang, X.G.; Lin, S.; Zhao, X.; Zhang, L.; Zhou, L.L.; Shen, S.; Zhou, S.L. Supplemental irrigation at tasseling optimizes water and nitrogen distribution for high-yield production in spring maize. Field Crops Res. 2017, 209, 120–128. [Google Scholar] [CrossRef]
- Hirose, N.; Takei, K.; Kuroha, T.; Kamada-Nobusada, T.; Hayashi, H.; Sakakibara, H. Regulation of cytokinin biosynthesis, compartmentalization and translocation. J. Exp. Bot. 2008, 59, 75–83. [Google Scholar] [CrossRef]
- Woli, K.P.; Sawyer, J.E.; Boyer, M.J.; Abendroth, L.J.; Elmore, R.W. Corn era hybrid macronutrient and dry matter accumulation in plant components. Agron. J. 2018, 110, 1648–1658. [Google Scholar] [CrossRef]
- Bender, R.R.; Haegele, J.W.; Ruffo, M.L.; Below, F.E. Nutrient uptake, partitioning, and remobilization in modern, transgenic insect-protected maize hybrids. Agron. J. 2013, 105, 161–170. [Google Scholar] [CrossRef]
- Borras, L.; Gambin, B.L. Trait dissection of maize kernel weight: Towards integrating hierarchical scales using a plant growth approach. Field Crops Res. 2010, 118, 1–12. [Google Scholar] [CrossRef]
- Rutan, J.; Steinke, K. Pre-plant and in-season nitrogen combinations for the northern corn belt. Agron. J. 2018, 110, 2059–2069. [Google Scholar] [CrossRef]
- Li, X.L.; Guo, L.G.; Zhou, B.Y.; Tang, X.M.; Chen, C.C.; Zhang, L.; Zhang, S.Y.; Li, C.F.; Xiao, K.; Dong, W.X.; et al. Characterization of low-N responses in maize (Zea mays L.) cultivars with contrasting nitrogen use efficiency in the North China Plain. J. Integr. Agr. 2019, 18, 2141–2152. [Google Scholar] [CrossRef]
- Zhai, L.C.; Xu, P.; Zhang, Z.B.; Wei, B.H.; Jia, X.L.; Zhang, L.H. Improvements in grain yield and nitrogen use efficiency of summer maize by optimizing tillage practice and nitrogen application rate. Agron. J. 2019, 111, 666–676. [Google Scholar] [CrossRef]
- Liu, M.; Liang, Q.; Ge, J.Z.; Zheng, Z.G.; Zhang, Y.; Ma, Z.Q.; Wu, X.D.; Yang, Y.A.; Hou, H.P. Effects of nitrogen and density on summer maize yield and nitrogen use efficiency. Acta Agric. Boreali-Sin. 2019, 34, 153–159. [Google Scholar]
- Zhang, P.P.; Zhu, Y.P.; Huang, L.; Yu, T.; Qiao, J.F.; Li, C.; Zhang, M.W.; Liu, J.B. Effects of reducing nitrogen applications on the physiological characteristics after anthesis of summer maize. J. Maize Sci. 2020, 28, 137–145. [Google Scholar]
- Yang, F.; Yan, Q.Y.; Lu, J.X.; Li, F.; Wang, M.; Dong, F. Effects of nitrogen application on summer maize yield, nutrient utilization efficiency and soil available nutrient residues. Acta Agric. Boreali-Sin. 2017, 32, 171–178. [Google Scholar]
- Zhang, L.; Wu, W.M.; Chen, H.; Chen, H.J.; Peng, C.; Wang, S.J.; Cao, C.F. Effect of nitrogen management on dynamic changes of soil inorganic nitrogen, yield, nitrogen uptake and utilization of maize. Soil Fertil. Sci. China 2021, 4, 126–134. [Google Scholar]
- Li, G.; Bai, Y.L.; Yang, L.P.; Lu, Y.L.; Wang, L.; Zhang, J.J.; Zhang, Y.J. Effect of drip fertigation on summer maize in north china. Sci. Agric. Sin. 2019, 52, 1930–1941. [Google Scholar]
- Li, G.H.; Liu, J.; Dong, S.T.; Liu, P.; Zhang, J.W.; Zhao, B.; Shi, D.Y. Effects of close planting and nitrogen application rates on grain yield and nitrogen utilization efficiency of different density-tolerance maize hybrids. Sci. Agric. Sin. 2017, 50, 2247–2258. [Google Scholar]
- Li, S.D.; Feng, B.; Han, W.; Li, W.J.; Li, Z.X.; Wang, Z.S.; Li, H.W.; Bi, X.J.; Si, J.S.; Zhang, B. Effect of optimized nitrogen application on summer maize yield and water- nitrogen utilization. Shandong Agric. Sci. 2020, 52, 57–63. [Google Scholar]
- Ren, H.; Han, K.; Liu, Y.E.; Zhao, Y.L.; Zhang, L.H.; He, Q.J.; Li, Z.H.; Zhang, J.B.; Liu, P.; Wang, H.Z.; et al. Improving smallholder farmers’ maize yields and economic benefits under sustainable crop intensification in the North China Plain. Sci. Total Environ. 2021, 763, 143035. [Google Scholar] [CrossRef] [PubMed]







| Treatment | Total N Fertilizer Amount (kg ha−1) | Application Time and Percentage | |||
|---|---|---|---|---|---|
| Sowing | V12 | R1 | R2 | ||
| CK | 180 | 100% | 0 | 0 | 0 |
| N1 | 180 | 40% | 60% | 0 | 0 |
| N2 | 180 | 40% | 0 | 60% | 0 |
| N3 | 180 | 40% | 20% | 40% | 0 |
| N4 | 180 | 40% | 20% | 20% | 20% |
| Hybrid | Treatment | 2016 | 2019 | ||||||
|---|---|---|---|---|---|---|---|---|---|
| Ears per m2 | Kernels per Ear | 100-Kernels Weight (g) | Grain Yield (t ha−1) | Ears per m2 | Kernels per Ear | 100-Kernels Weight (g) | Grain Yield (t ha−1) | ||
| ZD958 | CK | 7.5 a | 444 b | 27.9 a | 10.4 b | 7.5 a | 499 a | 26.7 b | 10.7 bc |
| N1 | 7.5 a | 476 a | 28.1 a | 10.6 ab | 7.8 a | 520 a | 26.2 b | 11.5 ab | |
| N2 | 7.6 a | 490 a | 28.3 a | 11.2 ab | 7.8 a | 492 a | 26.4 b | 10.4 c | |
| N3 | 7.6 a | 493 a | 28.6 a | 11.9 a | 7.6 a | 534 a | 27.4 a | 12.2 a | |
| N4 | 7.3 a | 487 a | 28.5 a | 10.8 ab | 7.5 a | 532 a | 26.4 b | 11.4 ab | |
| DH605 | CK | 7.5 a | 435 c | 31.2 b | 10.4 b | 7.3 a | 478 b | 26.1 b | 10.0 b |
| N1 | 7.6 a | 466 ab | 31.8 ab | 11.3 ab | 7.5 a | 501 ab | 27.1 a | 11.3 a | |
| N2 | 7.5 a | 483 a | 32.0 ab | 12.4 a | 7.7 a | 479 b | 26.7 ab | 10.2 b | |
| N3 | 7.5 a | 478 a | 32.2 a | 11.8 a | 7.7 a | 499 ab | 26.3 ab | 10.3 b | |
| N4 | 7.6 a | 450 bc | 31.9 ab | 11.0 ab | 7.4 a | 544 a | 26.4 ab | 11.6 a | |
| ANOVA | Year | NS | *** | *** | NS | ||||
| Hybrid | NS | ** | * | NS | |||||
| Treatment | ** | *** | NS | *** | |||||
| Y × H | NS | NS | ** | ** | |||||
| Y × T | NS | ** | * | *** | |||||
| H × T | NS | NS | NS | * | |||||
| Y × H × T | NS | NS | NS | NS | |||||
| Year | Hybrid | Treatment | T1 | T2 | T3 | V1 | V2 | V3 |
|---|---|---|---|---|---|---|---|---|
| (Days) | (mg kernel−1 d−1) | |||||||
| 2016 | ZD958 | CK | 18.3 b | 15.7 b | 19.5 b | 2.9 b | 9.1 c | 2.6 c |
| N1 | 18.2 b | 16.4 ab | 20.5 ab | 3.3 ab | 9.9 a | 2.8 a | ||
| N2 | 18.4 b | 17.4 ab | 21.7 ab | 3.2 ab | 9.4 bc | 2.6 bc | ||
| N3 | 20.2 a | 18.8 a | 23.4 a | 3.4 ab | 9.9 a | 2.8 a | ||
| N4 | 18.2 b | 17.3 ab | 21.6 ab | 3.4 a | 9.8 ab | 2.7 ab | ||
| DH605 | CK | 20.8 ab | 19.0 ab | 23.6 ab | 3.0 b | 8.9 b | 2.5 b | |
| N1 | 22.1 a | 20.5 a | 25.5 a | 3.3 a | 9.8 a | 2.8 a | ||
| N2 | 21.2 ab | 20.0 ab | 24.9 ab | 3.4 a | 9.8 ab | 2.7 ab | ||
| N3 | 20.6 ab | 18.1 b | 22.5 b | 3.2 a | 9.9 a | 2.8 a | ||
| N4 | 20.2 b | 18.8 ab | 23.4 ab | 3.3 a | 9.7 ab | 2.7 ab | ||
| 2019 | ZD958 | CK | 21.4 a | 13.3 b | 17.8 a | 2.3 a | 9.0 b | 2.5 b |
| N1 | 22.5 a | 13.8 a | 17.7 a | 2.2 a | 9.1 b | 2.5 b | ||
| N2 | 22.1 a | 13.5 ab | 16.8 a | 2.3 a | 10.2 a | 2.9 a | ||
| N3 | 21.4 a | 13.1 b | 16.3 a | 2.6 a | 10.9 a | 3.1 a | ||
| N4 | 22.1 a | 13.6 ab | 17.3 a | 2.3 a | 10.1 ab | 2.8 ab | ||
| DH605 | CK | 23.4 a | 17.2 a | 21.4 a | 2.1 a | 7.9 b | 2.3 a | |
| N1 | 24.0 a | 18.5 a | 23.1 a | 2.3 a | 8.2 ab | 2.3 a | ||
| N2 | 24.3 a | 17.4 a | 21.6 a | 2.2 a | 8.3 ab | 2.3 a | ||
| N3 | 22.6 a | 15.6 a | 19.5 a | 2.4 a | 9.3 a | 2.6 a | ||
| N4 | 23.8 a | 17.2 a | 21.4 a | 2.3 a | 8.7 ab | 2.4 a | ||
| Hybrid | Treatment | 2016 | 2019 | ||||
|---|---|---|---|---|---|---|---|
| NHI (%) | R.N (g) | PFPN (kg kg−1) | NHI (%) | R.N (g) | PFPN (kg kg−1) | ||
| ZD958 | CK | 50.5 ab | 2.01 a | 58.0 b | 51.7 a | 1.81 ab | 59.4 bc |
| N1 | 52.4 a | 1.79 a | 59.0 ab | 53.2 a | 1.73 ab | 63.9 ab | |
| N2 | 48.5 abc | 1.92 a | 62.0 ab | 52.0 a | 1.95 a | 57.8 c | |
| N3 | 45.9 c | 1.54 a | 66.0 a | 51.2 a | 1.94 a | 67.8 a | |
| N4 | 47.8 bc | 1.52 a | 60.2 ab | 51.5 a | 1.46 b | 63.3 ab | |
| DH605 | CK | 56.6 a | 2.25 a | 58.1 b | 58.2 a | 2.13 a | 55.6 b |
| N1 | 49.5 b | 2.33 a | 62.5 ab | 54.6 bc | 1.98 b | 62.8 a | |
| N2 | 54.9 a | 2.48 a | 68.9 a | 57.4 ab | 1.98 b | 56.7 b | |
| N3 | 52.9 ab | 2.62 a | 65.6 a | 56.6 ab | 2.11 a | 57.2 b | |
| N4 | 49.0 b | 1.99 a | 61.1 ab | 53.4 c | 1.34 c | 64.4 a | |
Disclaimer/Publisher’s Note: The statements, opinions and data contained in all publications are solely those of the individual author(s) and contributor(s) and not of MDPI and/or the editor(s). MDPI and/or the editor(s) disclaim responsibility for any injury to people or property resulting from any ideas, methods, instructions or products referred to in the content. |
© 2023 by the authors. Licensee MDPI, Basel, Switzerland. This article is an open access article distributed under the terms and conditions of the Creative Commons Attribution (CC BY) license (https://creativecommons.org/licenses/by/4.0/).
Share and Cite
Deng, T.; Wang, J.-H.; Gao, Z.; Shen, S.; Liang, X.-G.; Zhao, X.; Chen, X.-M.; Wu, G.; Wang, X.; Zhou, S.-L. Late Split-Application with Reduced Nitrogen Fertilizer Increases Yield by Mediating Source–Sink Relations during the Grain Filling Stage in Summer Maize. Plants 2023, 12, 625. https://doi.org/10.3390/plants12030625
Deng T, Wang J-H, Gao Z, Shen S, Liang X-G, Zhao X, Chen X-M, Wu G, Wang X, Zhou S-L. Late Split-Application with Reduced Nitrogen Fertilizer Increases Yield by Mediating Source–Sink Relations during the Grain Filling Stage in Summer Maize. Plants. 2023; 12(3):625. https://doi.org/10.3390/plants12030625
Chicago/Turabian StyleDeng, Tao, Jia-Hui Wang, Zhen Gao, Si Shen, Xiao-Gui Liang, Xue Zhao, Xian-Min Chen, Gong Wu, Xin Wang, and Shun-Li Zhou. 2023. "Late Split-Application with Reduced Nitrogen Fertilizer Increases Yield by Mediating Source–Sink Relations during the Grain Filling Stage in Summer Maize" Plants 12, no. 3: 625. https://doi.org/10.3390/plants12030625
APA StyleDeng, T., Wang, J.-H., Gao, Z., Shen, S., Liang, X.-G., Zhao, X., Chen, X.-M., Wu, G., Wang, X., & Zhou, S.-L. (2023). Late Split-Application with Reduced Nitrogen Fertilizer Increases Yield by Mediating Source–Sink Relations during the Grain Filling Stage in Summer Maize. Plants, 12(3), 625. https://doi.org/10.3390/plants12030625
