Difference between Day and Night Temperature (DIF) and Light Intensity Affect Growth and Photosynthetic Characteristics of Panax ginseng Meyer Sprouts
Abstract
1. Introduction
2. Materials and Methods
2.1. Plant Materials and Culture Conditions
2.2. Treatments and Experimental Design
2.3. Measurement of the Growth Parameters
2.4. Calculations of the Relative Root Growth Rate
2.5. Determination of the Photosynthetic Characteristics
2.6. Statistical Analysis and Graphing
3. Results
3.1. Ginseng Growth in Terms of Morphology
3.2. Root Growth Traits
3.3. Shoot Growth Traits
3.4. Leaf Growth Traits
3.5. Leaf Color
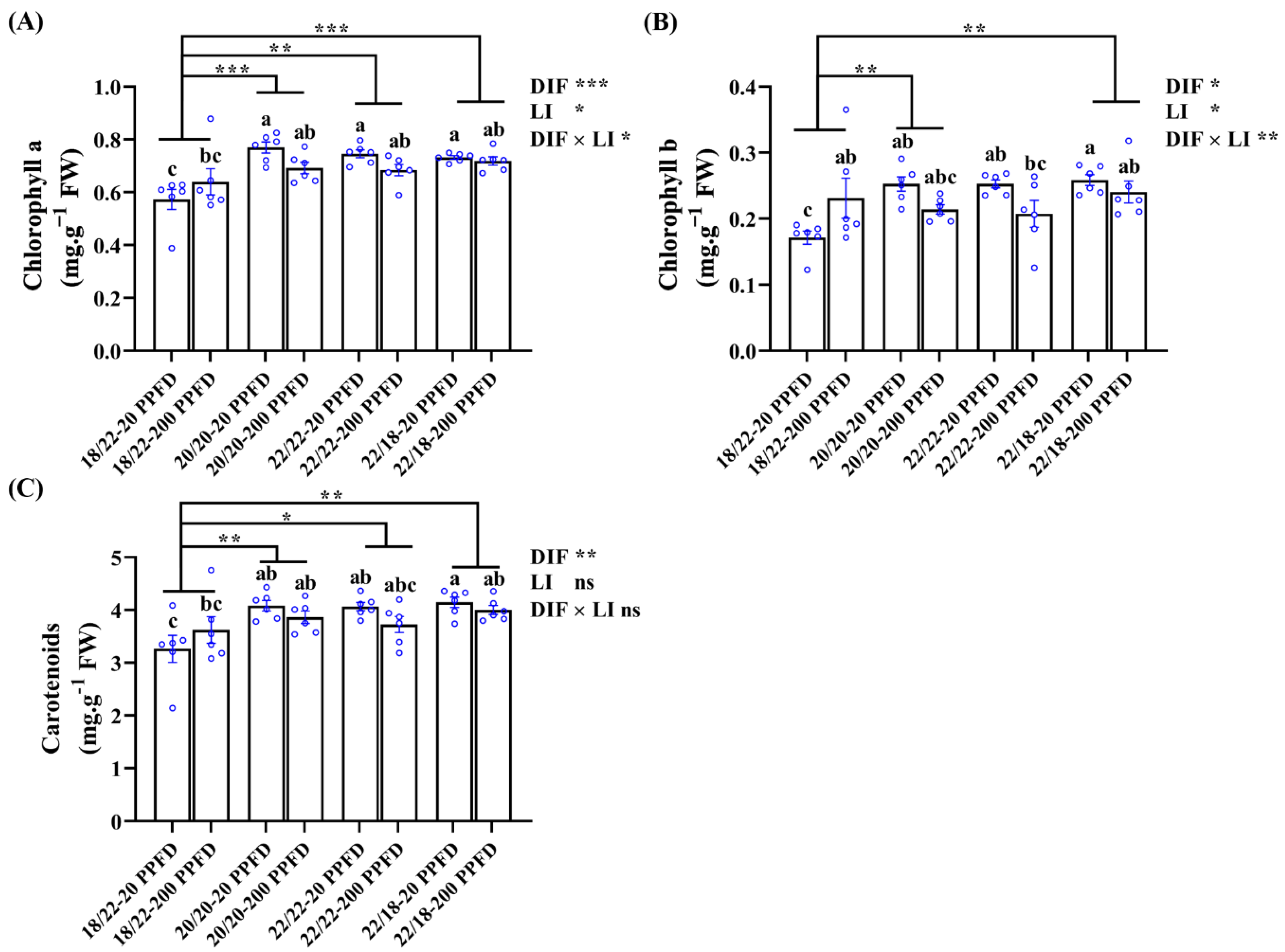
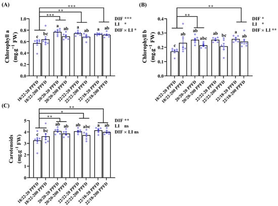
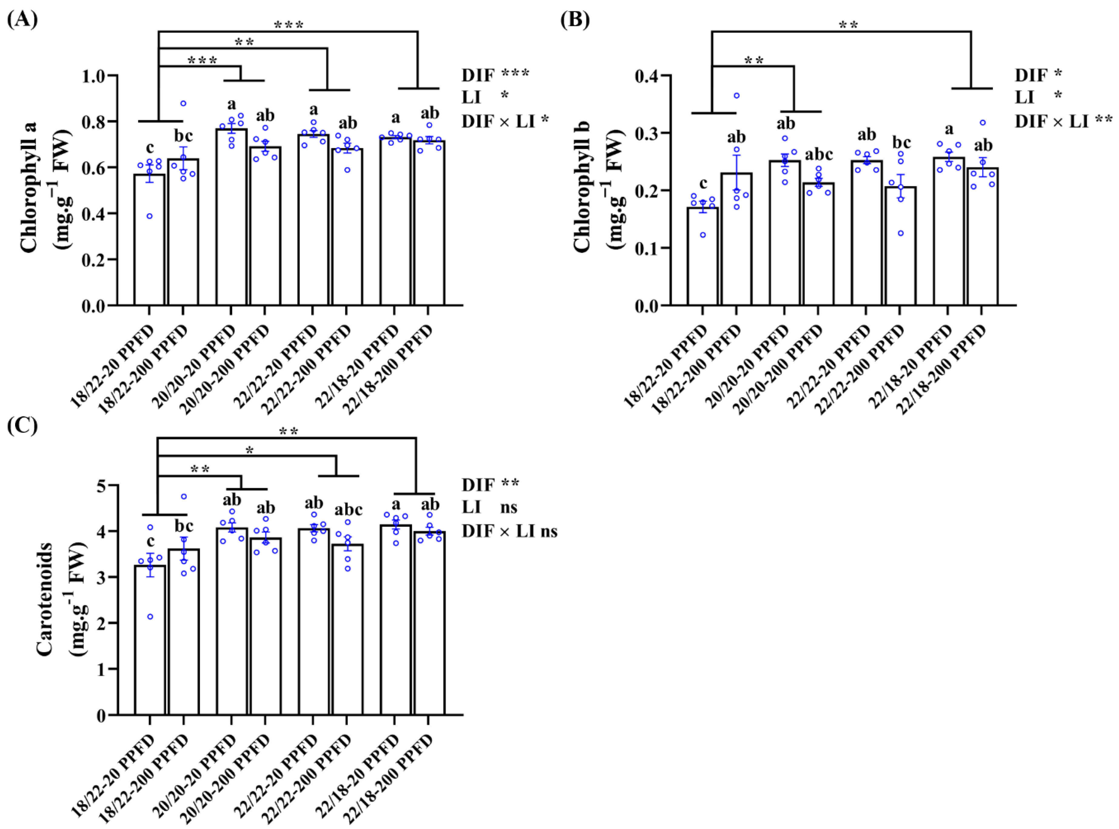
3.6. Chlorophyll Contents
3.7. Multivariate Analysis (Correlation Analysis and PCA)
4. Discussion
4.1. Growth Parameters
4.2. Photosynthesis Characteristics
5. Conclusions
Author Contributions
Funding
Institutional Review Board Statement
Informed Consent Statement
Data Availability Statement
Acknowledgments
Conflicts of Interest
References
- Mahady, G.B.; Gyllenhaal, C.; Fong, H.H.; Farnsworth, N.R. Ginsengs: A review of safety and efficacy. Nutr. Clin. Care 2000, 3, 90–101. [Google Scholar] [CrossRef]
- Seung-Yeol, N. Ginseng ginsenoside pharmacology in the nervous system: Involvement in the regulation of ion channels and receptors. Front. Physiol. 2014, 5, 98. [Google Scholar]
- Riaz, M.; Rahman, N.U.; Zia-Ul-Haq, M.; Jaffar, H.Z.E.; Manea, R. Ginseng: A dietary supplement as immune-modulator in various diseases. Trends Food Sci. Tech. 2018, 83, 12–30. [Google Scholar] [CrossRef]
- Punja, Z.K. American ginseng: Research developments, opportunities, and challenges. J. Ginseng Res. 2011, 35, 368. [Google Scholar] [CrossRef]
- Kuo, Y.H.; Ikegami, F.; Lambein, F. Neuroactive and other free amino acids in seed and young plants of Panax ginseng. Phytochemistry 2003, 62, 1087–1091. [Google Scholar] [CrossRef]
- Kim, Y.J.; Nguyen, T.K.L.; Oh, M.-M. Growth and ginsenosides content of ginseng sprouts according to LED-based light quality changes. Agronomy 2020, 10, 1979. [Google Scholar] [CrossRef]
- Li, X.; Yan, Y.Z.; Jin, X.; Kim, Y.K.; Uddin, M.R.; Kim, Y.B.; Bae, H.; Kim, Y.C.; Lee, S.W.; Park, S.U. Ginsenoside content in the leaves and roots of Panax ginseng at different ages. Life Sci. J. 2012, 9, 679–683. [Google Scholar]
- Kim, G.; Hyun, D.; Kim, Y.; Lee, S.; Kwon, H.; Cha, S.; Park, C.; Kim, Y. Investigation of ginsenosides in different parts of Panax ginseng cultured by hydroponics. Korean J. Hortic. Sci. 2010, 28, 216–226. [Google Scholar]
- Proctor, J.; Slimmon, T.; Saxena, P. Modulation of root growth and organogenesis in thidiazuron-treated ginseng (Panax quinquefolium L.). Plant Growth Regul. 1996, 20, 201–208. [Google Scholar] [CrossRef]
- Jang, I.B.; Yu, J.; Suh, S.J.; Jang, I.B.; Kwon, K.B. Growth and ginsenoside content in different parts of ginseng sprouts depending on harvest time. Korean J. Med. Crop Sci. 2018, 26, 205–213. [Google Scholar] [CrossRef]
- Inthichack, P.; Nishimura, Y.; Fukumoto, Y. Diurnal temperature alternations on plant growth and mineral absorption in eggplant, sweet pepper, and tomato. Hortic. Environ. Biotechnol. 2013, 54, 37–43. [Google Scholar] [CrossRef]
- Slack, G.; Hand, D. The effect of day and night temperatures on the growth, development and yield of glasshouse cucumbers. J. Hortic. Sci. 1983, 58, 567–573. [Google Scholar] [CrossRef]
- Islam, N.; Torre, S.; Wold, A.; GislerØd, H.R. Effect of temperature DIF and drop on the growth, quality, total phenolic content and antioxidant activity of herbs. J. Multidiscip. Eng. Sci. Stud. 2016, 2, 266–271. [Google Scholar]
- Vågen, I.M.; Moe, R.; Ronglan, E. Diurnal temperature alternations (DIF/drop) affect chlorophyll content and chlorophyll a/chlorophyll b ratio in Melissa officinalis L. and Ocimum basilicum L., but not in Viola × wittrockiana Gams. Sci. Hortic. 2003, 97, 153–162. [Google Scholar] [CrossRef]
- Jacobsen, L.H.; Amsen, M.G.; Nielsen, O.F. Negative DIF: Mean room temperature control and its effect on short-day plants. Tidsskr. Planteavl 1991, 95, 7447. [Google Scholar]
- Jensen, H.K. Effects of duration and degree of pulse-DIF temperatures on plant height and flowering of Kalanchoë blossfeldiana v. Poelln. Sci. Hortic. 1994, 59, 45–54. [Google Scholar] [CrossRef]
- Lee, J.S.; Lee, K.H.; Lee, S.S.; Kim, E.S.; Ahn, I.O.; In, J.G. Morphological characteristics of ginseng leaves in high-temperature injury resistant and susceptible lines of Panax ginseng Meyer. J. Ginseng Res. 2011, 35, 449. [Google Scholar] [CrossRef]
- Souther, S.; Lechowicz, M.J.; McGraw, J.B. Experimental test for adaptive differentiation of ginseng populations reveals complex response to temperature. Ann. Bot. 2012, 110, 829–837. [Google Scholar] [CrossRef] [PubMed][Green Version]
- Yu, K.W.; Murthy, H.N.; Hahn, E.J.; Paek, K.Y. Ginsenoside production by hairy root cultures of Panax ginseng: Influence of temperature and light quality. Biochem. Eng. J. 2005, 23, 53–56. [Google Scholar] [CrossRef]
- Jochum, G.M.; Mudge, K.W.; Thomas, R.B. Elevated temperatures increase leaf senescence and root secondary metabolite concentrations in the understory herb Panax quinquefolius (Araliaceae). Am. J. Bot. 2007, 94, 819–826. [Google Scholar] [CrossRef]
- Choi, J.; Kim, J.; Yoon, H.I.; Son, J.E. Effect of far-red and UV-B light on the growth and ginsenoside content of ginseng (Panax ginseng CA Meyer) sprouts aeroponically grown in plant factories. Hortic. Environ. Biotechnol. 2022, 63, 77–87. [Google Scholar] [CrossRef]
- Lee, B.; Pham, M.D.; Cui, M.; Lee, H.; Hwang, H.; Jang, I.; Chun, C. Growth and physiological responses of Panax ginseng seedlings as affected by light intensity and photoperiod. Hortic. Environ. Biotechnol. 2022, 63, 835–846. [Google Scholar] [CrossRef]
- Miskell, J.A.; Parmenter, G.; Eaton-Rye, J.J. Decreased Hill reaction rates and slow turnover of transitory starch in the obligate shade plant Panax quinquefolius L. (American ginseng). Planta 2002, 215, 969–979. [Google Scholar] [CrossRef] [PubMed]
- Jang, I.; Do, G.; Hwang, H.; Suh, S.; Yu, J.; Jang, I.; Moon, J.; Chun, C. Morphological development and photosynthetic acclimation of Panax ginseng seedlings to irradiation by light-emitting diodes (LEDs). Hortic. Environ. Biotechnol. 2021, 62, 571–579. [Google Scholar] [CrossRef]
- Nadeau, I.; Olivier, A. The biology and forest cultivation of American ginseng (Panax quinquefolius L.) in Canada. Can. J. Plant Sci. 2003, 83, 877–891. [Google Scholar]
- Jung, J.H.; Kim, H.Y.; Kim, H.S.; Jung, S.H. Transcriptome analysis of Panax ginseng response to high light stress. J. Ginseng Res. 2020, 44, 312–320. [Google Scholar] [CrossRef] [PubMed]
- Rural Development Administration (RDA). Good Agricultural Practice of Ginseng, revised ed.; Rural Development Administration: Suwon, Republic of Korea, 2012; pp. 77–79. [Google Scholar]
- Cho, K.M.; Lee, H.Y.; Cho, D.Y.; Jung, J.G.; Kim, M.J.; Jeong, J.B.; Jang, S.N.; Lee, G.O.; Sim, H.S.; Kang, M.J. Comprehensive Comparison of Chemical Composition and Antioxidant Activity of Panax ginseng Sprouts by Different Cultivation Systems in a Plant Factory. Plants 2022, 11, 1818. [Google Scholar] [CrossRef]
- Song, J.; Yang, J.; Jeong, B.R. Silicon mitigates ammonium toxicity in cabbage (Brassica campestris L. ssp. pekinensis) ‘Ssamchu’. Front. Sustain. Food Syst. 2022, 6, 922666. [Google Scholar] [CrossRef]
- Munsell Color Palette System. Available online: https://pteromys.melonisland.net/munsell/ (accessed on 12 October 2022).
- Lichtenthaler, H.K.; Buschmann, C. Chlorophylls and carotenoids: Measurement and characterization by UV-VIS spectroscopy. Curr. Protoc. Food Anal. Chem. 2001, 1, F4-3. [Google Scholar] [CrossRef]
- Song, J.S.; Jung, S.; Jee, S.; Yoon, J.W.; Byeon, Y.S.; Park, S.; Kim, S.B. Growth and bioactive phytochemicals of Panax ginseng sprouts grown in an aeroponic system using plasma-treated water as the nitrogen source. Sci. Rep. 2021, 11, 2924. [Google Scholar] [CrossRef]
- Park, H.B.; Park, S.Y.; Park, I.S.; Jang, I.B.; Hyun, D.Y.; Lee, C.W.; Choi, J.M. Influence of nutrient solution concentration on growth and tissue mineral content of Panax ginseng seedlings cultured in a root medium containing peat and perlite. Hortic. Environ. Biotechnol. 2020, 61, 715–724. [Google Scholar] [CrossRef]
- Yang, Z.; Li, Y.; Li, P.; Zhang, F.; Thomas, B.W. Effect of difference between day and night temperature on tomato (Lycopersicon esculentum Mill.) root activity and low molecular weight organic acid secretion. Soil Sci. Plant Nutr. 2016, 62, 423–431. [Google Scholar] [CrossRef]
- Shimizu, H.; Hisamatsu, T. Day temperature strongly influences stem elongation rate during subsequent nights in Chrysanthemum morifolium Ramat. Eng. Agric. Environ. Food 2009, 2, 49–53. [Google Scholar] [CrossRef]
- Shimizu, H.; Tsushima, Y.; Komatsu, K.; Shiigi, T.; Nishizu, T.; Kiong, C.; Kondo, N. Effect of day/night temperature on hypocotyl elongation of Zinnia elegance L. J. Sci. High Technol. Agric. 2008, 20, 253–256. [Google Scholar] [CrossRef][Green Version]
- Feng, L.; Raza, M.A.; Li, Z.; Chen, Y.; Khalid, M.H.B.; Du, J.; Liu, W.; Wu, X.; Song, C.; Yu, L. The influence of light intensity and leaf movement on photosynthesis characteristics and carbon balance of soybean. Front. Plant Sci. 2019, 9, 1952. [Google Scholar] [CrossRef] [PubMed]
- Shafiq, I.; Hussain, S.; Raza, M.A.; Iqbal, N.; Asghar, M.A.; Ali, R.; Fan, Y.F.; Mumtaz, M.; Shoaib, M.; Ansar, M. Crop photosynthetic response to light quality and light intensity. J. Integr. Agric. 2021, 20, 4–23. [Google Scholar] [CrossRef]
- Parvin, S.; Lee, O.R.; Sathiyaraj, G.; Khorolragchaa, A.; Kim, Y.J.; Yang, D.C. Spermidine alleviates the growth of saline-stressed ginseng seedlings through antioxidative defense system. Gene 2014, 537, 70–78. [Google Scholar] [CrossRef] [PubMed]
- Kim, S.T.; Bae, D.W.; Lee, K.H.; Hwang, J.E.; Bang, K.H.; Kim, Y.C.; Kim, O.T.; Yoo, N.H.; Kang, K.Y.; Hyun, D.Y. Proteomic analysis of Korean ginseng (Panax ginseng CA Meyer) following exposure to salt stress. J. Plant Biothnol. 2008, 35, 185. [Google Scholar] [CrossRef][Green Version]
- Li, L.; Lv, B.; Zang, K.; Jiang, Y.; Wang, C.; Wang, Y.; Wang, K.; Zhao, M.; Chen, P.; Lei, J. Genome-wide identification and systematic analysis of the HD-Zip gene family and its roles in response to pH in Panax ginseng Meyer. BMC Plant Biol. 2023, 23, 30. [Google Scholar] [CrossRef]
- Ito, T.; Maruo, T.; Ishii, M.; Suzuki, K.; Matsuo, K.; Kondo, K. Effect of negative DIF on the growth and performance of grafted tomato seedlings. Hydroponics Transpl. Prod. 1994, 396, 329–336. [Google Scholar] [CrossRef]
- Kwon, S.J.; Kim, H.R.; Roy, S.K.; Kim, H.J.; Boo, H.O.; Woo, S.H.; Kim, H.H. Effects of temperature, light intensity and DIF on growth characteristics in Platycodon grandiflorum. J. Crop Sci. Biotechnol. 2019, 22, 379–386. [Google Scholar] [CrossRef]
- Hong, J.; Geem, K.R.; Kim, J.; Jo, I.H.; Yang, T.J.; Shim, D.; Ryu, H. Prolonged Exposure to High Temperature Inhibits Shoot Primary and Root Secondary Growth in Panax ginseng. Int. J. Mol. Sci. 2022, 23, 11647. [Google Scholar] [CrossRef]
- Hwang, I.G.; Kim, H.Y.; Joung, E.M.; Woo, K.S.; Jeong, J.H.; Yu, K.W.; Lee, J.; Jeong, H.S. Changes in ginsenosides and antioxidant activity of Korean ginseng (Panax ginseng CA Meyer) with heating temperature and pressure. Food Sci. Biotechnol. 2010, 19, 941–949. [Google Scholar] [CrossRef]
- Lee, S.S. Characteristics of photosynthesis among new cultivars of ginseng (Panax ginseng CA Meyer). J. Ginseng Res. 2002, 26, 85–88. [Google Scholar]
- Hyun, D.; Hwang, J.; Choi, S.; Jo, J. Photosynthetic characteristics of Panax ginseng CA Meyer: I. Photosynthetic response to changes of light intensity and leaf temperature. Korean J. Ginseng Sci. 1993, 17, 240–245. [Google Scholar]
- Proctor, J.T.; Palmer, J.W. Optimal light for greenhouse culture of American ginseng seedlings. J. Ginseng Res. 2017, 41, 370–372. [Google Scholar] [CrossRef] [PubMed]
- Cho, J.; Park, H.; Kim, M.; Kim, H.; Choi, J. Photosynthetic, morphological and growing characteristics by shading materials in Panax ginseng CA Meyer. Korean J. Crop Sci. 2008, 53, 256–260. [Google Scholar]
- Jang, I.B.; Lee, D.Y.; Yu, J.; Park, H.W.; Mo, H.S.; Park, K.C.; Hyun, D.Y.; Lee, E.H.; Kim, K.H.; Oh, C.S. Photosynthesis rates, growth, and ginsenoside contents of 2-yr-old Panax ginseng grown at different light transmission rates in a greenhouse. J. Ginseng Res. 2015, 39, 345–353. [Google Scholar] [CrossRef]
- Shibayama, M.; Sakamoto, T.; Takada, E.; Inoue, A.; Morita, K.; Yamaguchi, T.; Takahashi, W.; Kimura, A. Estimating rice leaf greenness (SPAD) using fixed-point continuous observations of visible red and near infrared narrow-band digital images. Plant Prod. Sci. 2012, 15, 293–309. [Google Scholar] [CrossRef]







| DIF (A) | Light Intensity (B) | Shoot Fresh Weight (g) | Shoot Dry Weight (g) | Shoot Diameter (mm) | Leaf Length (cm) | Leaf Width (cm) | Root Dry Weight (g) |
|---|---|---|---|---|---|---|---|
| 18/22 °C | 20 | 0.8 ± 0.16 a z | 0.08 ± 0.01 b | 1.7 ± 0.11 a | 4.2 ± 0.26 b | 2.2 ± 0.21 a | 0.19 ± 0.02 a |
| 200 | 0.9 ± 0.21 a | 0.13 ± 0.02 a | 1.8 ± 0.15 a | 4.6 ± 0.28 a | 1.9 ± 0.20 b | 0.12 ± 0.01 b | |
| 20/20 °C | 20 | 1.0 ± 0.13 a | 0.14 ± 0.02 a | 1.9 ± 0.11 a | 4.8 ± 0.16 b | 2.6 ± 0.18 a | 0.23 ± 0.02 a |
| 200 | 0.8 ± 0.20 ab | 0.12 ± 0.01 ab | 1.7 ± 0.13 ab | 5.0 ± 0.17 a | 2.0 ± 0.17 b | 0.18 ± 0.01 b | |
| 22/22 °C | 20 | 0.9 ± 0.11 a | 0.12 ± 0.01 a | 1.8 ± 0.09 a | 4.7 ± 0.21 b | 2.4 ± 0.17 a | 0.20 ± 0.02 a |
| 200 | 0.8 ± 0.13 a | 0.09 ± 0.01 b | 1.6 ± 0.10 ab | 5.0 ± 0.22 a | 2.1 ± 0.17 b | 0.17 ± 0.03 ab | |
| 22/18 °C | 20 | 0.9 ± 0.20 a | 0.10 ± 0.01 a | 1.8 ± 0.14 a | 4.1 ± 0.19 b | 1.9 ± 0.16 b | 0.21 ± 0.01 a |
| 200 | 0.8 ± 0.18 a | 0.08 ± 0.02 b | 1.7 ± 0.14 a | 5.0 ± 0.21 a | 2.3 ± 0.17 a | 0.19 ± 0.01 a | |
| F-test | A | ns y | ** | ns | ns | ns | *** |
| B | ns | * | * | * | * | ns | |
| A × B | ns | ** | ns | * | * | * |
Disclaimer/Publisher’s Note: The statements, opinions and data contained in all publications are solely those of the individual author(s) and contributor(s) and not of MDPI and/or the editor(s). MDPI and/or the editor(s) disclaim responsibility for any injury to people or property resulting from any ideas, methods, instructions or products referred to in the content. |
© 2023 by the authors. Licensee MDPI, Basel, Switzerland. This article is an open access article distributed under the terms and conditions of the Creative Commons Attribution (CC BY) license (https://creativecommons.org/licenses/by/4.0/).
Share and Cite
Song, J.; Yang, J.; Jeong, B.R. Difference between Day and Night Temperature (DIF) and Light Intensity Affect Growth and Photosynthetic Characteristics of Panax ginseng Meyer Sprouts. Plants 2023, 12, 2820. https://doi.org/10.3390/plants12152820
Song J, Yang J, Jeong BR. Difference between Day and Night Temperature (DIF) and Light Intensity Affect Growth and Photosynthetic Characteristics of Panax ginseng Meyer Sprouts. Plants. 2023; 12(15):2820. https://doi.org/10.3390/plants12152820
Chicago/Turabian StyleSong, Jinnan, Jingli Yang, and Byoung Ryong Jeong. 2023. "Difference between Day and Night Temperature (DIF) and Light Intensity Affect Growth and Photosynthetic Characteristics of Panax ginseng Meyer Sprouts" Plants 12, no. 15: 2820. https://doi.org/10.3390/plants12152820
APA StyleSong, J., Yang, J., & Jeong, B. R. (2023). Difference between Day and Night Temperature (DIF) and Light Intensity Affect Growth and Photosynthetic Characteristics of Panax ginseng Meyer Sprouts. Plants, 12(15), 2820. https://doi.org/10.3390/plants12152820

