Quality Control, Anti-Hyperglycemic, and Anti-Inflammatory Assessment of Colvillea racemosa Leaves Using In Vitro, In Vivo Investigations and Its Correlation with the Phytoconstituents Identified via LC-QTOF-MS and MS/MS
Abstract
:1. Introduction
2. Results and Discussion
2.1. Quality Control Parameters for Colvillea racemosa Leaves
2.1.1. Proximate Composition
2.1.2. Minerals
2.2. Biological Assessment of the Anti-Hyperglycemic and Anti-Inflammatory Activity of Colvillea racemosa Leaves
2.2.1. In Vitro Anti-Hyperglycemic Assessment via α-Glucosidase and α-Amylase Inhibition Activity Assays
2.2.2. In Vitro Anti-Inflammatory Activity Evaluation by Membrane Stabilization % Assay
2.2.3. In Vivo Anti-Hyperglycemic, Anti-Inflammatory, and Antioxidant Activity Assessment
In Vivo Pancreatic Activity Evaluation Using Streptozotocin (STZ)-Induced Hyperglycemia in Rats
In Vivo Lipid Profile Assessment Using STZ-Induced Diabetic Rats
In Vivo Liver Function Assessment Using STZ-Induced Diabetic Rats
In Vivo Kidney Function Assessment Using STZ-Induced Diabetic Rats
In Vivo Oxidative Stress Markers Assessment Using STZ-Induced Diabetic Rats
In Vivo Inflammatory Markers Assessment Using (STZ) Induced Diabetic Rats
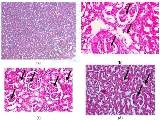
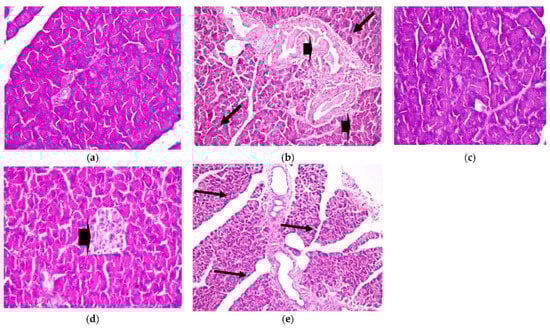
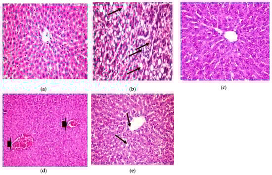
Histopathological Examination
- Liver
- 2.
- Pancreas
- 3.
- Kidney
2.3. Phytoconstituents Investigation Using UPLC-ESI-QTOF-MS of CRB
2.3.1. Phenolic Compounds
2.3.2. Amino Acids
3. Materials and Methods
3.1. Plant Material
3.1.1. Collection of Plant
3.1.2. Preparation of Colvillea racemosa Leaf Extract
3.2. Proximate Composition and Mineral Content
3.3. Kits and Chemicals for Biological Assessment
3.4. Antihyperglycemic and Anti-Inflammatory Activity
3.4.1. In Vitro Anti-Hyperglycemic Assessment via Inhibition of α-Amylase Activity Assay
3.4.2. In Vitro Anti-Hyperglycemic Assessment Using Inhibition of α-Glucosidase Activity Assay
3.4.3. In Vitro Anti-Inflammatory Evaluation Using Membrane Stabilization % Assay
3.4.4. In Vivo Anti-Hyperglycemic Activity Evaluation in Rats
Rats and Rat Treatment
Induction of Hyperglycemia in Rats
Preparation of Sample for Analysis
- -
- Serum
- -
- Tissue
Detection of the Biochemical Parameters
- Assessment of Fasting Blood Glucose (FBG) and α-amylase activity
- 2.
- Assessment of Lipid Profile
- 3.
- Assessment of liver function
- 4.
- Assessment of kidney function
- 5.
- Assessment of antioxidants and oxidative stress biomarkers
- 6.
- Immunosorbent assay
- 7.
- Histopathological examination
3.5. UPLC-ESI-QTOF-MS Analysis
- -
- Statistical analysis
4. Conclusions
Supplementary Materials
Author Contributions
Funding
Institutional Review Board Statement
Informed Consent Statement
Data Availability Statement
Conflicts of Interest
Abbreviations
| CRE | Colvillea racemosa ethanol extract |
| CRP | petroleum ether fraction of Colvillea racemosa ethanol extract |
| CRMC | methylene chloride fraction of Colvillea racemosa ethanol extract |
| CREA | ethyl acetate fraction of Colvillea racemosa ethanol extract |
| CRB | n-butanol fraction of Colvillea racemosa ethanol extract |
| CRME | methanol fraction of Colvillea racemosa ethanol extract |
| STZ | streptozotocin |
| GSH | glutathione |
| UPLC-ESI-QTOF-MS | ultra-performance liquid chromatography–electrospray ionization quadrupole time-of-flight mass spectrometry |
| Kcal | kilocalories |
| Ros | reactive oxygen species |
| GLB | glibenclamide |
| A.O.A.C | Association of Analytical Chemists |
References
- Babineau, M.; Bruneau, A. Phylogenetic and biogeographical history of the Afro-Madagascan genera Delonix, Colvillea and Lemuropisum (Fabaceae: Caesalpinioideae). Bot. J. Linn. Soc. 2017, 184, 59–78. [Google Scholar] [CrossRef]
- Gepts, P.; Beavis, W.D.; Brummer, E.C.; Shoemaker, R.C.; Stalker, H.T.; Weeden, N.F.; Young, N.D. Legumes as a model plant family. Genomics for food and feed report of the cross-legume advances through genomics conference. Plant Physiol. 2005, 137, 1228–1235. [Google Scholar] [CrossRef] [Green Version]
- Azani, N.; Babineau, M.; Bailey, C.D.; Banks, H.; Barbosa, A.R.; Pinto, R.B.; Boatwright, J.S.; Borges, L.M.; Brown, G.K.; Bruneau, A. A new subfamily classification of the Leguminosae based on a taxonomically comprehensive phylogeny: The Legume Phylogeny Working Group (LPWG). Taxon 2017, 66, 44–77. [Google Scholar] [CrossRef] [Green Version]
- Du Puy, D.J.; Labat, J.; Rabevohitra, R.; Villiers, J.; Bosser, J.; Moat, J. The leguminosae of Madagascar. Legum. Madagascar. 2002, 14, 231–240. [Google Scholar] [CrossRef]
- Shafei, A.A. Qualitative and quantitative estimation of flavonoids and phenolic compounds and the biological activities of Colvillea racemosa cultivated in Egypt. Int. J. Pharm. Phytochem. Res. 2016, 8, 836–840. [Google Scholar]
- Mohamed, E.I.; Zaki, M.A.; Chaurasiya, N.D.; Owis, A.I.; AbouZid, S.; Wang, Y.-H.; Avula, B.; Seida, A.A.; Tekwani, B.L.; Ross, S.A. Monoamine oxidases inhibitors from Colvillea racemosa: Isolation, biological evaluation, and computational study. Fitoterapia 2018, 124, 217–223. [Google Scholar] [CrossRef]
- Sreenath, D.; Rao, J. A new bis-coumarin from the seeds of Colvillea racemosa. Asian J. Chem. 2000, 12, 917. [Google Scholar]
- Salib, J.Y.; Michael, H.N.; Eskande, E.F. Anti-diabetic properties of flavonoid compounds isolated from Hyphaene thebaica epicarp on alloxan induced diabetic rats. Pharmacogn. Res. 2013, 5, 22. [Google Scholar] [CrossRef] [Green Version]
- Ndisang, J.F.; Vannacci, A.; Rastogi, S. Oxidative stress and inflammation in obesity, diabetes, hypertension, and related cardiometabolic complications. Oxidative Med. Cell. Longev. 2014, 2014, 506948. [Google Scholar] [CrossRef]
- Duarte, D.A.; Silva, K.C.; Rosales, M.A.B.; de Faria, J.B.L.; de Faria, J.M.L. The concomitance of hypertension and diabetes exacerbating retinopathy: The role of inflammation and oxidative stress. Curr. Clin. Pharmacol. 2013, 8, 266–277. [Google Scholar] [CrossRef]
- Abouzed, T.K.; Contreras, M.d.M.; Sadek, K.M.; Shukry, M.; Abdelhady, D.H.; Gouda, W.M.; Abdo, W.; Nasr, N.E.; Mekky, R.H.; Segura-Carretero, A.; et al. Red onion scales ameliorated streptozotocin-induced diabetes and diabetic nephropathy in Wistar rats in relation to their metabolite fingerprint. Diabetes Res. Clin. Pract. 2018, 140, 253–264. [Google Scholar] [CrossRef]
- Sharifi-Rad, M.; Anil Kumar, N.V.; Zucca, P.; Varoni, E.M.; Dini, L.; Panzarini, E.; Rajkovic, J.; Tsouh Fokou, P.V.; Azzini, E.; Peluso, I. Lifestyle, oxidative stress, and antioxidants: Back and forth in the pathophysiology of chronic diseases. Front. Physiol. 2020, 11, 694. [Google Scholar] [CrossRef]
- He, J.-H.; Chen, L.-X.; Li, H. Progress in the discovery of naturally occurring anti-diabetic drugs and in the identification of their molecular targets. Fitoterapia 2019, 134, 270–289. [Google Scholar] [CrossRef]
- Ramdath, D.D.; Lu, Z.-H.; Maharaj, P.L.; Winberg, J.; Brummer, Y.; Hawke, A. Proximate analysis and nutritional evaluation of twenty Canadian lentils by principal component and cluster analyses. Foods 2020, 9, 175. [Google Scholar] [CrossRef]
- Bakari, S.; Daoud, A.; Felhi, S.; Smaoui, S.; Gharsallah, N.; Kadri, A. Proximate analysis, mineral composition, phytochemical contents, antioxidant and antimicrobial activities and GC-MS investigation of various solvent extracts of cactus cladode. Food Sci. Technol. 2017, 37, 286–293. [Google Scholar] [CrossRef] [Green Version]
- Kumar, M.; Puri, S.; Pundir, A.; Bangar, S.P.; Changan, S.; Choudhary, P.; Parameswari, E.; Alhariri, A.; Samota, M.K.; Damale, R.D. Evaluation of nutritional, phytochemical, and mineral composition of selected medicinal plants for therapeutic uses from cold desert of Western Himalaya. Plants 2021, 10, 1429. [Google Scholar]
- Farag, M.A.; Hamouda, S.; Gomaa, S.; Agboluaje, A.A.; Hariri, M.L.M.; Yousof, S.M. Dietary Micronutrients from Zygote to Senility: Updated Review of Minerals’ Role and Orchestration in Human Nutrition throughout Life Cycle with Sex Differences. Nutrients 2021, 13, 3740. [Google Scholar] [CrossRef]
- Dolan, L.C.; Flannery, B.M.; Hoffman-Pennesi, D.; Gavelek, A.; Jones, O.E.; Kanwal, R.; Wolpert, B.; Gensheimer, K.; Dennis, S.; Fitzpatrick, S. A review of the evidence to support interim reference level for dietary lead exposure in adults. Regul. Toxicol. Pharmacol. 2020, 111, 104579. [Google Scholar] [CrossRef]
- Piuri, G.; Zocchi, M.; Della Porta, M.; Ficara, V.; Manoni, M.; Zuccotti, G.V.; Pinotti, L.; Maier, J.A.; Cazzola, R. Magnesium in obesity, metabolic syndrome, and Type 2 diabetes. Nutrients 2021, 13, 320. [Google Scholar] [CrossRef]
- Barbagallo, M.; Dominguez, L.J.; Galioto, A.; Ferlisi, A.; Cani, C.; Malfa, L.; Pineo, A.; Paolisso, G. Role of magnesium in insulin action, diabetes and cardio-metabolic syndrome X. Mol. Asp. Med. 2003, 24, 39–52. [Google Scholar] [CrossRef]
- Yokota, K.; Kato, M.; Lister, F.; Ii, H.; Hayakawa, T.; Kikuta, T.; Kageyama, S.; Tajima, N. Clinical efficacy of magnesium supplementation in patients with type 2 diabetes. J. Am. Coll. Nutr. 2004, 23, 506S–509S. [Google Scholar] [CrossRef]
- Nwakulite, A.; Obeagu, E.I.; Eze, R.; Vincent, C.; Chukwurah, E.F.; Okafor, C.J.; Ibekwe, A.M.; Adike, C.N.; Chukwuani, U.; Ifionu, B.I. Evaluation of Catalase and Manganese in Type 2 Diabetic Patients in University of Port Harcourt Teaching Hospital. J. Pharm. Res. Int. 2021, 33, 40–45. [Google Scholar] [CrossRef]
- Li, L.; Yang, X. The essential element manganese, oxidative stress, and metabolic diseases: Links and interactions. Oxidative Med. Cell. Longev. 2018, 2018, 7580707. [Google Scholar] [CrossRef] [Green Version]
- Jamilian, M.; Mirhosseini, N.; Eslahi, M.; Bahmani, F.; Shokrpour, M.; Chamani, M.; Asemi, Z. The effects of magnesium-zinc-calcium-vitamin D co-supplementation on biomarkers of inflammation, oxidative stress and pregnancy outcomes in gestational diabetes. BMC Pregnancy Childbirth 2019, 19, 107. [Google Scholar] [CrossRef]
- Lee, H.; Lee, J.; Hwang, S.-s.; Kim, S.; Chin, H.J.; Han, J.S.; Heo, N.J. Potassium intake and the prevalence of metabolic syndrome: The Korean National Health and Nutrition Examination Survey 2008–2010. PLoS ONE 2013, 8, e55106. [Google Scholar] [CrossRef]
- Gong, L.; Feng, D.; Wang, T.; Ren, Y.; Liu, Y.; Wang, J. Inhibitors of α-amylase and α-glucosidase: Potential linkage for whole cereal foods on prevention of hyperglycemia. Food Sci. Nutr. 2020, 8, 6320–6337. [Google Scholar] [CrossRef]
- Wu, D.; Hu, N.; Liu, J.; Fan, G.; Li, X.; Sun, J.; Dai, C.; Suo, Y.; Li, G.; Wu, Y. Ultrasensitive colorimetric sensing strategy based on ascorbic acid triggered remarkable photoactive-nanoperoxidase for signal amplification and its application to α-glucosidase activity detection. Talanta 2018, 190, 103–109. [Google Scholar] [CrossRef]
- Chowdhury, A.; Azam, S.; Jainul, M.A.; Faruq, K.O.; Islam, A. Antibacterial activities and in vitro anti-inflammatory (membrane stability) properties of methanolic extracts of Gardenia coronaria leaves. Int. J. Microbiol. 2014, 2014, 410935. [Google Scholar] [CrossRef] [Green Version]
- Basli, A.; Sonia, T.; Nawel, I.; Bachra, K.; Khodir, M. In-vitro Antioxidant and Anti-Inflammatory Activities of Peel and Peeled Fruits Citrus limon. Curr. Nutr. Food Sci. 2016, 12, 279–287. [Google Scholar] [CrossRef]
- Alema, N.M.; Periasamy, G.; Sibhat, G.G.; Tekulu, G.H.; Hiben, M.G. Antidiabetic activity of extracts of Terminalia brownii Fresen. Stem bark in mice. J. Exp. Pharmacol. 2020, 12, 61. [Google Scholar] [CrossRef] [Green Version]
- Jan, S.; Khan, M.R.; Rashid, U.; Bokhari, J. Assessment of antioxidant potential, total phenolics and flavonoids of different solvent fractions of Monotheca buxifolia fruit. Osong Public Health Res. Perspect. 2013, 4, 246–254. [Google Scholar] [CrossRef] [Green Version]
- Szkudelski, T. The mechanism of alloxan and streptozotocin action in B cells of the rat pancreas. Physiol. Res. 2001, 50, 537–546. [Google Scholar]
- Kaur, N.; Kumar, V.; Nayak, S.K.; Wadhwa, P.; Kaur, P.; Sahu, S.K. Alpha-amylase as molecular target for treatment of diabetes mellitus: A comprehensive review. Chem. Biol. Drug Des. 2021, 98, 539–560. [Google Scholar] [CrossRef]
- Ahmadieh, H.; Azar, S.T. Liver disease and diabetes: Association, pathophysiology, and management. Diabetes Res. Clin. Pract. 2014, 104, 53–62. [Google Scholar] [CrossRef]
- Mohamed, J.; Nafizah, A.N.; Zariyantey, A.; Budin, S. Mechanisms of diabetes-induced liver damage: The role of oxidative stress and inflammation. Sultan Qaboos Univ. Med. J. 2016, 16, e132. [Google Scholar] [CrossRef]
- Giugliano, D.; Ceriello, A.; Paolisso, G. Oxidative stress and diabetic vascular complications. Diabetes Care 1996, 19, 257–267. [Google Scholar] [CrossRef]
- Wellen, K.E.; Hotamisligil, G.S. Inflammation, stress, and diabetes. J. Clin. Investig. 2005, 115, 1111–1119. [Google Scholar] [CrossRef] [Green Version]
- Sroor, F.M.; Abbas, S.Y.; Basyouni, W.M.; El-Bayouki, K.A.; El-Mansy, M.F.; Aly, H.F.; Ali, S.A.; Arafa, A.F.; Haroun, A.A. Synthesis, structural characterization and in vivo anti-diabetic evaluation of some new sulfonylurea derivatives in normal and silicate coated nanoparticle forms as anti-hyperglycemic agents. Bioorganic Chem. 2019, 92, 103290. [Google Scholar] [CrossRef]
- Basyouni, W.M.; Abbas, S.Y.; El-Bayouki, K.A.; Younis, E.A.; Ali, S.A.; Aly, H.F. Synthesis and hyperglycemic, biochemical and histopathological evaluation of novel sulfonylbiguanide and sulfonylurea derivatives as potent anti-diabetic agents. Bioorganic Chem. 2021, 117, 105418. [Google Scholar] [CrossRef]
- Sok Yen, F.; Shu Qin, C.; Tan Shi Xuan, S.; Jia Ying, P.; Yi Le, H.; Darmarajan, T.; Gunasekaran, B.; Salvamani, S. Hypoglycemic Effects of Plant Flavonoids: A Review. Evid. Based Complement. Altern. Med. 2021, 2021, 2057333. [Google Scholar] [CrossRef]
- Nwawuba, S.; Monago, C.; Mejulu, K. Ameliorative effect of aqueous seed extract of delonix regia on hyperglycemia, liver function and lipid profile levels in Streptozotocin induced Diabetic Male wistar rats. Pharm. Pharm. Int. J. 2019, 7, 126–131. [Google Scholar]
- Singh, S.; Kumar, S.N. A review: Introduction to genus Delonix. World J. Pharm. Pharm. Sci. 2014, 3, 2042–2055. [Google Scholar]
- KNApSAcK-Core-System. Available online: http://www.knapsackfamily.com/knapsack_jsp/top.html (accessed on 25 April 2021).
- Reaxys. Available online: http://www.reaxys.com (accessed on 25 April 2021).
- Egyptian-Knowledge-Bank. Available online: https://www.ekb.eg/ (accessed on 25 April 2021).
- Yao, C.-L.; Qian, Z.-M.; Tian, W.-S.; Xu, X.-Q.; Yan, Y.; Shen, Y.; Lu, S.-M.; Li, W.-J.; Guo, D.-A. Profiling and identification of aqueous extract of Cordyceps sinensis by ultra-high performance liquid chromatography tandem quadrupole-orbitrap mass spectrometry. Chin. J. Nat. Med. 2019, 17, 631–640. [Google Scholar] [CrossRef]
- Mekky, R.H.; Abdel-Sattar, E.; Segura-Carretero, A.; Contreras, M.d.M. Phenolic Compounds from Sesame Cake and Antioxidant Activity: A New Insight for Agri-Food Residues’ Significance for Sustainable Development. Foods 2019, 8, 432. [Google Scholar] [CrossRef] [Green Version]
- Cuyckens, F.; Claeys, M. Mass spectrometry in the structural analysis of flavonoids. J. Mass Spectrom. 2004, 39, 1–15. [Google Scholar] [CrossRef]
- Fayek, N.M.; Mekky, R.H.; Dias, C.N.; Kropf, M.; Heiss, A.G.; Wessjohann, L.A.; Farag, M.A. UPLC-MS Metabolome-Based Seed Classification of 16 Vicia Species: A Prospect for Phyto-Equivalency and Chemotaxonomy of Different Accessions. J. Agric. Food Chem. 2021, 69, 5252–5266. [Google Scholar] [CrossRef]
- Chen, Y.-H.; Chang, F.-R.; Lu, M.-C.; Hsieh, P.-W.; Wu, M.-J.; Du, Y.-C.; Wu, Y.-C. New Benzoyl Glucosides and Cytotoxic Pterosin Sesquiterpenes from Pteris ensiformis Burm. Molecules 2008, 13, 255–266. [Google Scholar] [CrossRef] [Green Version]
- Caro-Ordieres, T.; Marín-Royo, G.; Opazo-Ríos, L.; Jiménez-Castilla, L.; Moreno, J.A.; Gómez-Guerrero, C.; Egido, J. The coming age of flavonoids in the treatment of diabetic complications. J. Clin. Med. 2020, 9, 346. [Google Scholar] [CrossRef] [Green Version]
- Bumke-Vogt, C.; Osterhoff, M.A.; Borchert, A.; Guzman-Perez, V.; Sarem, Z.; Birkenfeld, A.L.; Bähr, V.; Pfeiffer, A.F. The flavones apigenin and luteolin induce FOXO1 translocation but inhibit gluconeogenic and lipogenic gene expression in human cells. PLoS ONE 2014, 9, e104321. [Google Scholar] [CrossRef]
- Al-Ishaq, R.K.; Abotaleb, M.; Kubatka, P.; Kajo, K.; Büsselberg, D. Flavonoids and their anti-diabetic effects: Cellular mechanisms and effects to improve blood sugar levels. Biomolecules 2019, 9, 430. [Google Scholar] [CrossRef] [Green Version]
- Srinivasan, V.; Radhakrishnan, S.; Angayarkanni, N.; Sulochana, K. Antidiabetic effect of free amino acids supplementation in human visceral adipocytes through adiponectin-dependent mechanism. Indian J. Med. Res. 2019, 149, 41. [Google Scholar]
- Horwitz, W. Official Methods of Analysis of AOAC International. Volume I, Agricultural Chemicals, Contaminants, Drugs; Horwitz, W., Ed.; AOAC International 1997: Gaithersburg, MD, USA, 2010. [Google Scholar]
- Lee, M. Official Methods of Analysis of AOAC International, 16th ed.; Cunniff, P.A., Ed.; AOAC International: Gaithersburg, MD, USA, 1995; 1899p, ISBN 0-935-584-54-4. [Google Scholar]
- Kostas, E.; Stuart, W.; Daniel, W.; David, C. Optimization of a total acid hydrolysis based protocol for the quantification of carbohydrate in macroalgae. J. Algal Biomass Util. 2016, 7, 21–36. [Google Scholar]
- Shukla, R.K.; Painuly, D.; Porval, A.; Shukla, A. Proximate analysis, nutritive value, total phenolic content and antioxidant activity of Litchi chinensis Sonn. Nat. Prod. Indian J. 2012, 8, 361–369. [Google Scholar]
- Cotennie, A. Soil and Plant Testing as a Basis of Fertilizer Recommendation; FAO Soil Bulletin; CABI: Wallingford, UK, 1980; No. 38. [Google Scholar]
- Hanlon, E.A. Atomlc absorptlon spectrophotometry. In Handbook of Reference Methods for Plant Analysis; CRC Press: Boca Raton, FL, USA, 1997; p. 157. [Google Scholar]
- Narkhede, M.; Ajimire, P.; Wagh, A.; Mohan, M.; Shivashanmugam, A. In vitro antidiabetic activity of Caesalpina digyna (R.) methanol root extract. Asian J. Plant Sci. Res. 2011, 1, 101–106. [Google Scholar]
- Shai, L.; Magano, S.; Lebelo, S.; Mogale, A. Inhibitory effects of five medicinal plants on rat alpha-glucosidase: Comparison with their effects on yeast alpha-glucosidase. J. Med. Plants Res. 2011, 5, 2863–2867. [Google Scholar]
- Shinde, U.; Phadke, A.; Nair, A.; Mungantiwar, A.; Dikshit, V.; Saraf, M. Membrane stabilizing activity—a possible mechanism of action for the anti-inflammatory activity of Cedrus deodara wood oil. Fitoterapia 1999, 70, 251–257. [Google Scholar] [CrossRef]
- Kumar, V.; Rathore, K.; Jain, P.; Ahmed, Z. Biological activity of Bauhinia racemosa against Diabetes and Interlinked Disorders like Obesity and Hyperlipidemia. Clin. Phytosci. 2017, 3, 7. [Google Scholar] [CrossRef] [Green Version]
- Emerick, A.J.; Richards, M.P.; Kartje, G.L.; Neafsey, E.J.; Stubbs, E.B. experimental diabetes attenuates cerebral cortical− evoked forelimb motor responses. Diabetes 2005, 54, 2764–2771. [Google Scholar] [CrossRef]
- Bhandari, U.; Pillai, K. Effect of ethanolic extract of Zingiber officinale on dyslipidaemia in diabetic rats. J. Ethnopharmacol. 2005, 97, 227–230. [Google Scholar] [CrossRef]
- Kergoat, M.; Portha, B. Glucagon-like peptide-1(7-36)-amide confers glucose sensitivity to previously glucose-incompetent beta-cells in diabetic rats: In vivo and in vitro studies. J. Endocrinol. 1997, 155, 369–376. [Google Scholar]
- Zammit, V.A.; Beis, A.; Newsholme, E.A. The role of 3-oxo acid-CoA transferase in the regulation of ketogenesis in the liver. FEBS Lett. 1979, 103, 212–215. [Google Scholar] [CrossRef] [Green Version]
- Trinder, P. Determination of glucose in blood using glucose oxidase with an alternative oxygen acceptor. Ann. Clin. Biochem. 1969, 6, 24–27. [Google Scholar] [CrossRef]
- Caraway, W.T. A stable starch substrate for the determination of amylase in serum and other body fluids. Am. J. Clin. Pathol. 1959, 32, 97–99. [Google Scholar] [CrossRef]
- Zöllner, N.; Kirsch, K. Über die quantitative Bestimmung von Lipoiden (Mikromethode) mittels der vielen natürlichen Lipoiden (allen bekannten Plasmalipoiden) gemeinsamen Sulfophosphovanillin-Reaktion. Z. Gesamte Exp. Med. 1962, 135, 545–561. [Google Scholar] [CrossRef]
- Fossati, P.; Prencipe, L. Serum triglycerides determined colorimetrically with an enzyme that produces hydrogen peroxide. Clin. Chem. 1982, 28, 2077–2080. [Google Scholar] [CrossRef]
- Allain, C.C.; Poon, L.S.; Chan, C.S.; Richmond, W.; Fu, P.C. Enzymatic determination of total serum cholesterol. Clin. Chem. 1974, 20, 470–475. [Google Scholar] [CrossRef]
- Burstein, M.; Scholnick, H.; Morfin, R. Rapid method for the isolation of lipoproteins from human serum by precipitation with polyanions. J. Lipid Res. 1970, 11, 583–595. [Google Scholar] [CrossRef]
- Reitman, S.; Frankel, S. A colorimetric method for the determination of serum glutamic oxalacetic and glutamic pyruvic transaminases. Am. J. Clin. Pathol. 1957, 28, 56–63. [Google Scholar] [CrossRef]
- Belfield, A.; Goldberg, D. Revised assay for serum phenyl phosphatase activity using 4-amino-antipyrine. Enzyme 1971, 12, 561–573. [Google Scholar] [CrossRef]
- Walter, M.; Gerarde, H. Ultramicromethod for the determination of conjugated and total bilirubin in serum or plasma. Microchem. J. 1970, 15, 231–243. [Google Scholar] [CrossRef]
- Gornall, A.G.; Bardawill, C.J.; David, M.M. Determination of serum proteins by means of the biuret reaction. J. Biol. Chem. 1949, 177, 751–766. [Google Scholar] [CrossRef]
- Patton, C.J.; Crouch, S. Spectrophotometric and kinetics investigation of the Berthelot reaction for the determination of ammonia. Anal. Chem. 1977, 49, 464–469. [Google Scholar] [CrossRef]
- Bartels, H.; Bohmer, M. Kinetic determination of creatinine concentration. Clin. Chem. Acta 1972, 37, 193–197. [Google Scholar] [CrossRef]
- Beutler, E. Improved method for the determination of blood glutathione. J. Lab. Clin. Med. 1963, 61, 882–888. [Google Scholar]
- Montogomery, H.; Dymock, J. The determination of nitrite in water: Colorimetric method of nitric oxide assay. Analyst 1961, 86, 414. [Google Scholar]
- Paglia, D.E.; Valentine, W.N. Studies on the quantitative and qualitative characterization of erythrocyte glutathione peroxidase. J. Lab. Clin. Med. 1967, 70, 158–169. [Google Scholar]
- Habig, W.H.; Pabst, M.J.; Jakoby, W.B. Glutathione S-transferases: The first enzymatic step in mercapturic acid formation. J. Biol. Chem. 1974, 249, 7130–7139. [Google Scholar] [CrossRef]
- Fossati, P.; Prencipe, L.; Berti, G. Use of 3, 5-dichloro-2-hydroxybenzenesulfonic acid/4-aminophenazone chromogenic system in direct enzymic assay of uric acid in serum and urine. Clin. Chem. 1980, 26, 227–231. [Google Scholar] [CrossRef]
- Kei, S. Serum lipid peroxide in cerebrovascular disorders determined by a new colorimetric method. Clin. Chim. Acta 1978, 90, 37–43. [Google Scholar] [CrossRef]
- Uotila, M.; Ruoslahti, E.; Engvall, E. Two-site sandwich enzyme immunoassay with monoclonal antibodies to human alpha-fetoprotein. J. Immunol. Methods 1981, 42, 11–15. [Google Scholar] [CrossRef]
- Carleton, H.M.; Drury, R.A.B.; Wallington, E.A. Carleton’s Histological Technique; Oxford University Press: New York, NY, USA, 1980. [Google Scholar]
- Mekky, R.H.; Abdel-Sattar, E.; Segura-Carretero, A.; Contreras, M.d.M. Metabolic Profiling of the Oil of Sesame of the Egyptian Cultivar ‘Giza 32’ Employing LC-MS and Tandem MS-Based Untargeted Method. Foods 2021, 10, 298. [Google Scholar] [CrossRef]
- E Silva, F.d.A.S.; de Azevedo, C.A.V. A new version of the assistant-statistical assistance software. In Proceedings of the Computers in Agriculture and Natural Resources, Orlando, FL, USA, 23–25 July 2006; p. 393. [Google Scholar]










| Proximate Composition | (g/100 g) | Proximate Composition | (g/100 g) |
|---|---|---|---|
| Moisture % | 8.2 ± 0.4 | Total carbohydrate % | 49.03 ± 2.1 |
| Ash % | 13 ± 1.3 | Total lipid % | 11.74 ± 0.32 |
| Fiber % | 14.44 ± 0.83 | Total protein % | 26.23 ± 0.55 |
| Energy value (Kcal/100 g) | 394.4425 (Kcal/100 g) | ||
| Element | mg/100 g | RDI * (mg) | MDI * (mg) |
|---|---|---|---|
| Na | 186.03 | 1500–2300 | 2300 |
| Mg | 344.01 | 310–420 | 350 |
| K | 2001.90 | 4700–5000 | N.D |
| Ca | 2426.67 | 1000–1300 | 2500 |
| Mn | 8.86 | 1.8–2.3 | 11 |
| Cu | 0.705 | 0.9 | 10 |
| Zn | 2.965 | 8–11 | N.D |
| Se | N.D | 0.055 | 0.4 |
| Cd | N.D | 0.02 | 0.02 |
| Pb | N.D | 0.0125 | 0.0125 |
| Groups | Total Lipid | Triglycerides | Total Cholesterol | HDL-Cholesterol | |
|---|---|---|---|---|---|
| 1 | Normal rats | 574.11 ± 29.35 a | 111.20 ± 2.19 c | 140.90 ± 20.05 a | 50.10 ± 1.28 a |
| 2 | Normal rats treated with CRB | 600.11 ± 20.33 a | 110.22 ± 9.50 bc | 148.20 ± 9.00 a | 51.11 ± 1.08 a |
| 3 | STZ-treated diabetic rats | 910.20 ± 20.00 b | 170.92 ± 6.05 b | 220.40 ± 8.10 b | 30.10 ± 2.00 b |
| 4 | STZ—diabetic rats treated with CRB | 611.11 ± 39.28 a | 135.20 ± 7.13 a | 154.90 ± 10.40 a | 52.00 ± 2.70 a |
| 5 | STZ—diabetic rats treated with GLB | 670.70 ± 29.00 a | 128.00 ± 8.20 ac | 143.00 ± 6.10 a | 53.10 ± 2.30 a |
| Groups | ALT | AST | ALP | Bilirubin | Total Protein | |
|---|---|---|---|---|---|---|
| 1 | Normal rats | 80.71 ± 2.40 a | 144.20 ± 10.55 a | 94.71 ± 1.91 a | 0.60 ± 0.09 a | 5.59 ± 0.21 a |
| 2 | Normal rats treated with CRB | 83.00 ± 2.60 a | 140.50 ± 4.10 a | 97.11 ± 1.68 a | 0.60 ± 0.07 a | 5.24 ± 0.38 a |
| 3 | STZ-treated diabetic rats | 170 ± 11.00 b | 230.54 ± 10.20 b | 163.44 ± 15.44 b | 1.20 ± 0.10 b | 3.67 ± 0.36 b |
| 4 | STZ—diabetic rats treated with CRB | 96.20 ± 8.30 ac | 158.80 ± 5.90 a | 99.48 ± 6.60 a | 0.70 ± 0.02 a | 5.25 ± 0.33 a |
| 5 | STZ—diabetic rats treated with GLB | 89.22 ± 6.70 a | 140.00 ± 8.80 a | 96.03 ± 11.50 a | 0.65 ± 0.02 a | 5.16 ± 0.69 a |
| Groups | Creatinine Level | Urea Activity | |
|---|---|---|---|
| 1 | Normal rats | 0.26 ± 0.02 b | 32.70 ± 2.52 b |
| 2 | Normal rats treated with CRB | 0.25 ± 0.09 b | 30.95 ± 1.70 b |
| 3 | STZ-treated diabetic rats | 0.49 ± 0.07 a | 60.59 ± 2.06 a |
| 4 | STZ—diabetic rats treated with CRB | 0.29 ± 0.05 b | 36.22 ± 3.32 b |
| 5 | STZ—diabetic rats treated with GLB | 0.25 ± 0.06 b | 33.55 ± 2.72 b |
| No. | RT (min) | [M + H]+ | M | Molecular Formula | Score | Error (mDa) | MS/MS | Proposed Compound | Area | Reference |
|---|---|---|---|---|---|---|---|---|---|---|
| 1 | 3.499 | 116.0706 | 115.0633 | C5H9NO2 | 99.21 | −0.01 | 99.0504, 98.0604 | Proline | 2.14 × 106 | [43] |
| 2 | 3.566 | 146.0814 | 145.0741 | C6H11NO3 | 97.69 | −0.22 | 128.0704, 100.0758 | Hydroxypipecolic acid I | 1.52 × 108 | [43] |
| 3 | 3.634 | 118.0865 | 117.0789 | C5H11NO2 | 87.69 | −0.27 | 59.0735 | Hydroxymethyl hydroxypyrrolidine I | 4.71 × 106 | [43] |
| 4 | 3.768 | 118.0864 | 117.0789 | C5H11NO2 | 99.71 | −0.16 | 72.0813, 59.0736 | Hydroxymethyl hydroxypyrrolidine II | 1.08 × 107 | [43] |
| 5 | 4.374 | 118.0862 | 117.0789 | C5H11NO2 | 97.04 | 0.07 | 59.0731 | Hydroxymethyl hydroxypyrrolidine III | 1.81 × 106 | [43] |
| 6 | 4.576 | 146.0816 | 145.0741 | C6H11NO3 | 97.23 | −0.46 | 128.0702, 100.0756 | Hydroxypipecolic acid II | 4.80 × 107 | [43] |
| 7 | 4.644 | 294.155 | 293.1477 | C12H23NO7 | 99.29 | 0.12 | 132.1016, 86.0966 | Leucine/Isoleucine hexoside | 5.13 × 106 | [46] |
| 8 | 4.711 | 132.1019 | 131.0945 | C6H13NO2 | 99.94 | −0.02 | 86.0966 | Leucine/Isoleucine I | 1.34 × 107 | [47] |
| 9 | 4.913 | 132.1021 | 131.0945 | C6H13NO2 | 99.5 | −0.2 | 86.0967 | Leucine/Isoleucine II | 1.03 × 107 | [47] |
| 10 | 6.26 | 166.0867 | 165.0793 | C9H11NO2 | 98.66 | −0.36 | 149.0597, 121.0836, 120.0807, 105.0710 | Phenylalanine | 1.43 × 107 | [43] |
| 11 | 10.905 | 611.1618 | 610.1543 | C27H30O16 | 97.7 | −0.92 | 593.1504, 575.1391, 515.1195, 473.1074, 353.0630 | Luteolin di C-hexoside | 2.19 × 106 | [43,48] |
| 12 | 11.275 | 595.1679 | 594.1585 | C27H30O15 | 93.44 | −1.93 | 577.1558, 559.1454, 475.1237, 457.1130, 335.0805, 307.0607, 137.1056, 135.0897, 133.0836 | Luteolin C-deoxyhexoside C-hexoside | 1.29 × 107 | [48] |
| 13 | 11.951 | 579.1725 | 578.1653 | C27H30O14 | 90.32 | −1.72 | N.D. | Apigenin O-deoxyhexoside hexoside I | 8.18 × 105 | [43] |
| 14 | 12.184 | 595.1682 | 594.1585 | C27H30 O15 | 91.47 | −2.19 | 449.1085, 287.0549, 153.0187, 137.0227 | Luteolin O-deoxyhexoside -hexoside | 9.25 × 106 | [48] |
| 15 | 12.454 | 433.1142 | 432.1062 | C21H20O10 | 96.03 | −1.23 | 415.1026, 397.0927, 367.0809, 337.0705, 119.0506 | Apigenin C-hexoside | 9.40 × 106 | [49] |
| 16 | 12.588 | 449.1087 | 448.1015 | C21H20O11 | 97.24 | −0.98 | 287.054,153.0189,135.0438,121.0623 | Luteolin O-hexoside | 3.31 × 106 | [48] |
| 17 | 12.652 | 579.1725 | 578.1653 | C27H30O10 | 95.91 | −1.38 | 431.1131, 271.0599 153.0174 | Apigenin O-deoxyhexoside hexoside II | 4.90 × 106 | [43] |
| 18 | 13.262 | 433.1142 | 432.1062 | C21H20O10 | 98.94 | −1.25 | 271.0600, 153.0181, 119.0484 | Apigenin O-hexoside | 9.21 × 106 | [48] |
| 19 | 13.463 | 285.0947 | 284.0874 | C13H16O7 | 84.36 | 1.91 | 123.0183, 79.0543 | Benzoyl hexoside | 2.70 × 106 | [50] |
| 20 | 13.935 | 373.1472 | 372.1403 | C17H24O9 | 90.71 | 1.69 | 329.0868, 299.1014, 211.0896 | Syringin | 3.36 × 106 | [43] |
| 21 | 14.339 | 385.1463 | 384.1399 | C18H24O9 | 86.72 | 2.15 | 223.1290, 221.0660, 173.0804 | Ethylferulate hexoside | 3.53 × 106 | [44] |
| 22 | 15.753 | 287.0552 | 286.048 | C15H10O6 | 99.71 | −0.24 | 153.0189, 135.0438, 121.0623 | Luteolin | 5.70 × 106 | [48] |
| 23 | 16.695 | 271.0602 | 270.0528 | C15H10O5 | 99.24 | −0.18 | N.D. | Apigenin | 3.37 × 106 | [48] |
Publisher’s Note: MDPI stays neutral with regard to jurisdictional claims in published maps and institutional affiliations. |
© 2022 by the authors. Licensee MDPI, Basel, Switzerland. This article is an open access article distributed under the terms and conditions of the Creative Commons Attribution (CC BY) license (https://creativecommons.org/licenses/by/4.0/).
Share and Cite
Abd El Hafeez, M.S.; El Gindi, O.; Hetta, M.H.; Aly, H.F.; Ahmed, S.A. Quality Control, Anti-Hyperglycemic, and Anti-Inflammatory Assessment of Colvillea racemosa Leaves Using In Vitro, In Vivo Investigations and Its Correlation with the Phytoconstituents Identified via LC-QTOF-MS and MS/MS. Plants 2022, 11, 830. https://doi.org/10.3390/plants11060830
Abd El Hafeez MS, El Gindi O, Hetta MH, Aly HF, Ahmed SA. Quality Control, Anti-Hyperglycemic, and Anti-Inflammatory Assessment of Colvillea racemosa Leaves Using In Vitro, In Vivo Investigations and Its Correlation with the Phytoconstituents Identified via LC-QTOF-MS and MS/MS. Plants. 2022; 11(6):830. https://doi.org/10.3390/plants11060830
Chicago/Turabian StyleAbd El Hafeez, Mohamed S., Omayma El Gindi, Mona H. Hetta, Hanan F. Aly, and Safwat A. Ahmed. 2022. "Quality Control, Anti-Hyperglycemic, and Anti-Inflammatory Assessment of Colvillea racemosa Leaves Using In Vitro, In Vivo Investigations and Its Correlation with the Phytoconstituents Identified via LC-QTOF-MS and MS/MS" Plants 11, no. 6: 830. https://doi.org/10.3390/plants11060830
APA StyleAbd El Hafeez, M. S., El Gindi, O., Hetta, M. H., Aly, H. F., & Ahmed, S. A. (2022). Quality Control, Anti-Hyperglycemic, and Anti-Inflammatory Assessment of Colvillea racemosa Leaves Using In Vitro, In Vivo Investigations and Its Correlation with the Phytoconstituents Identified via LC-QTOF-MS and MS/MS. Plants, 11(6), 830. https://doi.org/10.3390/plants11060830

