Occurrence and Distribution of Tomato Brown Rugose Fruit Virus Infecting Tomato Crop in Saudi Arabia
Abstract
1. Introduction
2. Results
2.1. Visual Inspection and Detection of Tomato Viruses Using ELISA
2.2. Mechanical Inoculation and Host Range Determination
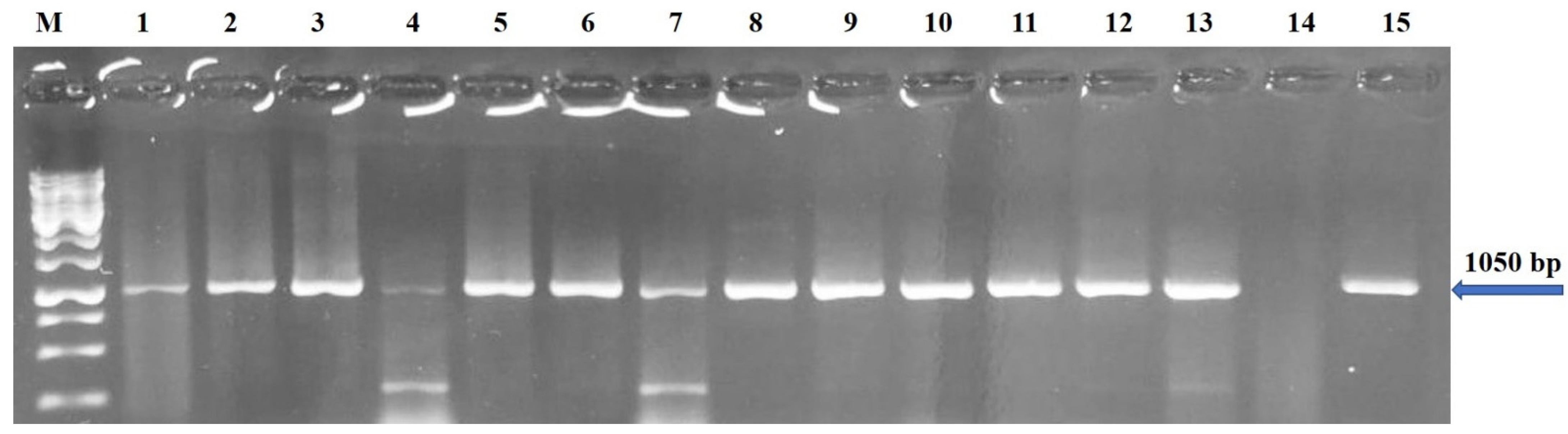
2.3. Detection of ToBRFV by RT-PCR
2.4. Partial Genome Nucleotide Sequencing and Phylogenetic Analysis
2.5. Evaluation of Tomato Cultivars Responses to the Saudi Isolate of ToBRFV
3. Discussion
4. Materials and Methods
4.1. Survey, Sample Collection, and Detection of Tomato Viruses Using ELISA
4.2. Mechanical Inoculation and Host Range Determination
4.3. Total RNA Extraction and RT-PCR
4.4. Partial Genome Nucleotides Sequencing and Phylogenetic Analysis
4.5. Evaluation of Tomato Cultivar Responses to the Saudi Isolate of ToBRFV
5. Conclusions
Author Contributions
Funding
Data Availability Statement
Conflicts of Interest
References
- FAO. World Food and Agriculture–Statistical Yearbook 2020; FAO: Rome, Italy, 2020. [Google Scholar] [CrossRef]
- Statistics, H. General Authority for Statistics: Kingdom of Saudi Arabi. 2020. Available online: https://www.stats.gov.sa/en/1060-0 (accessed on 14 November 2022).
- Jones, J.; Zitter, T.; Momol, T.; Miller, S. Compendium of Tomato Diseases and Pests, 2nd ed.; American Phytopathological Society Press: St. Paul, MN, USA, 2016. [Google Scholar] [CrossRef]
- Agrios, G.N. Chapter Eleven-Plant diseases caused by fungi. Plant Pathol. 2005, 5, 385–614. [Google Scholar] [CrossRef]
- Scholthof, K.B.; Adkins, S.; Czosnek, H.; Palukaitis, P.; Jacquot, E.; Hohn, T.; Hohn, B.; Saunders, K.; Candresse, T.; Ahlquist, P.; et al. Top 10 plant viruses in molecular plant pathology. Mol. Plant. Pathol. 2011, 12, 938–954. [Google Scholar] [CrossRef] [PubMed]
- Oladokun, J.O.; Halabi, M.H.; Barua, P.; Nath, P.D. Tomato brown rugose fruit disease: Current distribution, knowledge, and future prospects. Plant Pathol. 2019, 68, 1579–1586. [Google Scholar] [CrossRef]
- Ong, S.N.; Taheri, S.; Othman, R.Y.; Teo, C.H. Viral disease of tomato crops (Solanum lycopesicum L.): An overview. J. Plant Dis. Prot. 2020, 127, 725–739. [Google Scholar] [CrossRef]
- ICTV. International Committee on Taxonomy of Viruses (ICTV) Data Base Descriptions [WWW Document]. 2019. Available online: http://www.ictvonline.org (accessed on 14 November 2022).
- Broadbent, L. Epidemiology and control of tomato mosaic virus. Annu. Rev. Phytopathol. 1976, 14, 75–96. [Google Scholar] [CrossRef]
- Dombrovsky, A.; Tran-Nguyen, L.T.; Jones, R.A. Cucumber green mottle mosaic virus: Rapidly increasing global distribution, etiology, epidemiology, and management. Annu. Rev. Phytopathol. 2017, 55, 231–256. [Google Scholar] [CrossRef]
- Rybicki, E.P. A Top Ten list for economically important plant viruses. Arch. Virol. 2015, 160, 17–20. [Google Scholar] [CrossRef]
- LL, N.; Mansour, A.; Ciuffo, M.; Falk, B.; Turina, M. A new tobamovirus infecting tomato crops in Jordan. Arch. Virol. 2016, 161, 503–506. [Google Scholar] [CrossRef]
- Bernabé-Orts, J.M.; Torre, C.; Méndez-López, E.; Hernando, Y.; Aranda, M.A. New Resources for the Specific and Sensitive Detection of the Emerging Tomato Brown Rugose Fruit Virus. Viruses 2021, 13, 1680. [Google Scholar] [CrossRef]
- Dombrovsky, A.; Smith, E. Seed Transmission of Tobamoviruses: Aspects of Global Disease Distribution. In Advances in Seed Biology; InTech: Rijeka, Croatia, 2017; pp. 233–260. [Google Scholar] [CrossRef]
- Zhang, S.; Griffiths, J.S.; Marchand, G.; Bernards, M.A.; Wang, A. Tomato brown rugose fruit virus: An emerging and rapidly spreading plant RNA virus that threatens tomato production worldwide. Mol. Plant Pathol. 2022, 23, 1262–1277. [Google Scholar] [CrossRef]
- Luria, N.; Smith, E.; Reingold, V.; Bekelman, I.; Lapidot, M.; Levin, I.; Elad, N.; Tam, Y.; Sela, N.; Abu-Ras, A. A new Israeli Tobamovirus isolate infects tomato plants harboring Tm-22 resistance genes. PLoS ONE 2017, 12, e0170429. [Google Scholar] [CrossRef] [PubMed]
- Camacho-Beltrán, E.; Pérez-Villarreal, A.; Leyva-López, N.; Rodríguez-Negrete, E.; Ceniceros-Ojeda, E.; Méndez-Lozano, J. Occurrence of Tomato brown rugose fruit virus infecting tomato crops in Mexico. Plant Dis. 2019, 103, 1440. [Google Scholar] [CrossRef]
- Ling, K.-S.; Tian, T.; Gurung, S.; Salati, R.; Gilliard, A. First report of Tomato brown rugose fruit virus infecting greenhouse tomato in the United States. Plant Dis. 2019, 103, 1439. [Google Scholar] [CrossRef]
- Menzel, W.; Knierim, D.; Winter, S.; Hamacher, J.; Heupel, M. First report of Tomato brown rugose fruit virus infecting tomato in Germany. New Dis. Rep. 2019, 39, 1. [Google Scholar] [CrossRef]
- Panno, S.; Caruso, A.; Davino, S. First report of Tomato brown rugose fruit virus on tomato crops in Italy. Plant Dis. 2019, 103, 1443. [Google Scholar] [CrossRef]
- Alkowni, R.; Alabdallah, O.; Fadda, Z. Molecular identification of Tomato brown rugose fruit virus in tomato in Palestine. J. Plant Pathol. 2019, 101, 719–723. [Google Scholar] [CrossRef]
- Fidan, H.; Sarikaya, P.; Calis, O. First report of Tomato brown rugose fruit virus on tomato in Turkey. New Dis. Rep. 2019, 39, 18. [Google Scholar] [CrossRef]
- Yan, Z.-Y.; Ma, H.-Y.; Han, S.-L.; Geng, C.; Tian, Y.-P.; Li, X.-D. First report of Tomato brown rugose fruit virus infecting tomato in China. Plant Dis. 2019, 103, 2973. [Google Scholar] [CrossRef]
- Amer, M.; Mahmoud, S. First report of Tomato brown rugose fruit virus on tomato in Egypt. New Dis. Rep. 2020, 41, 24. [Google Scholar] [CrossRef]
- Ghorbani, A.; Rostami, M.; Seif, S.; Izadpanah, K. First report of Tomato brown rugose fruit virus in greenhouse tomato in Iran. New Dis. Rep. 2021, 44, e12040. [Google Scholar] [CrossRef]
- Esmaeilzadeh, F.; Koolivand, D. Occurrence of tomato brown rugose fruit virus in tomato in Iran. J. Plant Pathol. 2022, 104, 457. [Google Scholar] [CrossRef]
- Orfanidou, C.G.; Cara, M.; Merkuri, J.; Papadimitriou, K.; Katis, N.I.; Maliogka, V.I. First report of tomato brown rugose fruit virus in tomato in Albania. J. Plant Pathol. 2022, 104, 855. [Google Scholar] [CrossRef]
- Sabra, A.; Al-Saleh, M.A.; Al-Shahwan, I.M.; Amer, M.A. First report of Tomato brown rugose fruit virus infecting tomato crop in Saudi Arabia. Plant Dis. 2021, 106, 1310. [Google Scholar] [CrossRef] [PubMed]
- Hasan, Z.; Salem, N.; Ismail, I.; Akel, E.; Ahmad, A. First report of Tomato brown rugose fruit virus on greenhouse tomato in Syria. Plant Dis. 2022, 106, 772. [Google Scholar] [CrossRef]
- Skelton, A.; Buxton-Kirk, A.; Ward, R.; Harju, V.; Frew, L.; Fowkes, A.; Long, M.; Negus, A.; Forde, S.; Adams, I. First report of Tomato brown rugose fruit virus in tomato in the United Kingdom. New Dis. Rep. 2019, 40, 12. [Google Scholar] [CrossRef]
- Van de Vossenberg, B.T.; Dawood, T.; Woźny, M.; Botermans, M. First expansion of the public Tomato brown rugose fruit virus (ToBRFV) Nextstrain build; inclusion of new genomic and epidemiological data. PhytoFrontiers™ 2021, 1, 359–363. [Google Scholar] [CrossRef]
- Beris, D.; Malandraki, I.; Kektsidou, O.; Theologidis, I.; Vassilakos, N.; Varveri, C. First report of Tomato brown rugose fruit virus infecting tomato in Greece. Plant Dis. 2020, 104, 2035. [Google Scholar] [CrossRef]
- Alfaro-Fernández, A.; Castillo, P.; Sanahuja, E.; Rodríguez-Salido, M.; Font, M.I. First report of Tomato brown rugose fruit virus in tomato in Spain. Plant Dis. 2021, 105, 515. [Google Scholar] [CrossRef]
- Ministère de L’agriculture et de L’alimentation. Virus ToBRFV: Le Ministère Con_Rme la Contamination de Tomates En Serre Dans le Finistère. 2020. Available online: https://agriculture.gouv.fr/virus-tobrfv-le-ministere-confirme-la-contamination-de-tomates-en-serre-dans-le-finistere (accessed on 4 October 2022).
- Yan, Z.Y.; Zhao, M.S.; Liu, L.Z.; Yang, G.L.; Chao, G.E.N.G.; Yanping, T.I.A.N.; LI, X.D. Biological and molecular characterization of tomato brown rugose fruit virus and development of quadruplex RT-PCR detection. J. Integr. Agric. 2021, 20, 1871–1879. [Google Scholar] [CrossRef]
- Ling, K.S.; Zhu, H.Y.; Jiang, Z.Y.; Gonsalves, D. Effective application of DAS-ELISA for detection of grapevine leafroll associated closterovirus-3 using a polyclonal antiserum developed from recombinant coat protein. Eur. J. Plant Pathol. 2000, 106, 301–309. [Google Scholar] [CrossRef]
- Lommel, S.A.; McCain, A.H.; Morris, T.J. Evaluation of indirect enzyme-linked immunosorbent assay for the detection of plant viruses. Phytopathology 1982, 72, 1018–1022. [Google Scholar] [CrossRef]
- Chanda, B.; Gilliard, A.; Jaiswal, N.; Ling, K.-S. Comparative analysis of host range, ability to infect tomato cultivars with Tm-22 gene, and real-time reverse transcription PCR detection of tomato brown rugose fruit virus. Plant Dis. 2021, 105, 3643–3652. [Google Scholar] [CrossRef] [PubMed]
- Ichiki, T.U.; Shiba, T.; Matsukura, K.; Ueno, T.; Hirae, M.; Sasaya, T. Detection and diagnosis of rice-infecting viruses. Front. Microbiol. 2013, 4, 289. [Google Scholar] [CrossRef]
- Jewehan, A.; Salem, N.; Tóth, Z.; Salamon, P.; Szabó, Z. Screening of Solanum (sections Lycopersicon and Juglandifolia) germplasm for reactions to the tomato brown rugose fruit virus (ToBRFV). J. Plant Dis. Prot. 2021, 129, 117–123. [Google Scholar] [CrossRef]
- Kahn, R.P.; Monroe, R.L. Detection of tobacco veinal necrosis strain of potato virus Y in Solanum cardenasii and S. andigenum introduced into United States. Phytopathology 1963, 53, 1356–1359. [Google Scholar]
- Hill, S.A. Methods in Plant Virology. In Methods in Plant Pathology; Hill, S.A., Ed.; Blackwell Scientific Publications: Oxford, UK; Boston, MA, USA, 1984; Volume 1, p. 86. [Google Scholar]
- Kumar, S.; Stecher, G.; Li, M.; Knyaz, C.; Tamura, K. MEGA X: Molecular evolutionary genetics analysis across computing platforms. Mol. Biol. Evol. 2018, 35, 1547–1549. [Google Scholar] [CrossRef] [PubMed]
- Al-Shahwan, I.M.; Abdalla, O.A.; Al-Saleh, M.A. Response of greenhouse-grown cucumber cultivars to an isolate of zucchini yellow mosaic virus (ZYMV). Plant Dis. 1995, 79, 898–901. [Google Scholar] [CrossRef]






| Locations | GPS Coordinates | Altitude MSL (M) | ELISA Results for Important Tomato Viruses | |||||||||||||
|---|---|---|---|---|---|---|---|---|---|---|---|---|---|---|---|---|
| Total Samples | ToBRFV | PepMV | TBRV | ToMV | ToCV | TBSV | TRSV | TAV | TSWV | TCSV | TYLCV | Mixed Infection | ToBRFV Single Infection | |||
| Al-Kharj | 24°13′58″ N | 430 | 61 | 21 | 9 | 16 | 1 | 19 | 4 | 0 | 18 | 0 | 3 | 6 | 17 | 4 |
| 47°18′0″ E | ||||||||||||||||
| Az-Zulfi | 26°14′10″ N | 660 | 29 | 13 | 6 | 4 | 6 | 2 | 2 | 1 | 1 | 5 | 1 | 1 | 12 | 1 |
| 44°40′19″ E | ||||||||||||||||
| AL-Ghat | 26°07′21″ N | 630 | 14 | 14 | 6 | 6 | 7 | 3 | 0 | 1 | 1 | 0 | 0 | 0 | 9 | 5 |
| 44°51′54″ E | ||||||||||||||||
| Al-Quway’iyah | 24°05′13″ N | 710 | 29 | 17 | 1 | 3 | 9 | 9 | 3 | 0 | 4 | 2 | 0 | 0 | 17 | 0 |
| 45°29′23″ E | ||||||||||||||||
| Howtat Bani Tamim | 23°17′0″ N | 600 | 19 | 0 | 1 | 0 | 0 | 1 | 0 | 0 | 0 | 0 | 0 | 0 | 0 | 0 |
| 46°47′55″ E | ||||||||||||||||
| Al-Aflaj | 22°35′07″ N | 560 | 1 | 2 | 2 | 0 | 0 | 0 | 0 | 0 | 0 | 0 | 0 | 0 | 2 | 0 |
| 46°29′34″ E | ||||||||||||||||
| Al-Majmaah | 25°47′29″ N | 660 | 4 | 2 | 0 | 0 | 0 | 0 | 0 | 3 | 0 | 1 | 1 | 0 | 2 | 0 |
| 44°57′56″ E | ||||||||||||||||
| Ad-Dilam | 24°03′01″ N | 460 | 3 | 4 | 0 | 2 | 0 | 1 | 0 | 0 | 0 | 1 | 0 | 0 | 2 | 2 |
| 47°05′09″ E | ||||||||||||||||
| Huraymilla | 25°03′34″ N | 790 | 4 | 0 | 1 | 0 | 0 | 0 | 0 | 0 | 0 | 0 | 0 | 1 | 0 | 0 |
| 46°06′52″ E | ||||||||||||||||
| Al-Hareeq | 23°36′58″ N | 680 | 1 | 1 | 0 | 1 | 0 | 1 | 0 | 0 | 0 | 1 | 0 | 0 | 1 | 0 |
| 46°30′01″ E | ||||||||||||||||
| Al-Bark | 23°17′29″ N | 600 | 3 | 1 | 0 | 1 | 0 | 0 | 0 | 0 | 0 | 1 | 0 | 0 | 1 | 0 |
| 46°49′55″ E | ||||||||||||||||
| Ad-Dawadmi | 24°50′44″ N | 860 | 1 | 1 | 0 | 1 | 0 | 0 | 0 | 0 | 0 | 0 | 1 | 0 | 1 | 0 |
| 44°30′38″ E | ||||||||||||||||
| Thadiq | 25°18′12″ N | 710 | 2 | 0 | 0 | 0 | 0 | 0 | 0 | 0 | 0 | 0 | 0 | 0 | 0 | 0 |
| 45°59′27″ E | ||||||||||||||||
| Al-Uyayna | 24°54′5″ N | 740 | 1 | 0 | 0 | 0 | 0 | 1 | 0 | 0 | 0 | 0 | 0 | 0 | 0 | 0 |
| 46°21′11″ E | ||||||||||||||||
| Total | 145 | 76 | 26 | 34 | 23 | 37 | 9 | 5 | 24 | 11 | 6 | 8 | 64 | 12 | ||
| Percentage % | - | 52.40% | 17.90% | 23.40% | 15.90% | 25.50% | 6% | 3.40% | 17% | 7.60% | 4% | 5.50% | 44% | 6.90% | ||
| Plant Species and Common Name | Local Symptoms a | Systemic Symptoms a | ELISA b | RT-PCR b |
|---|---|---|---|---|
| Chenopodium amaranticolor (lamb’s quarters) | CLL | NS | + | + |
| Chenopodium glaucum (oak-leaved goosefoot) | CLL | NS | + | + |
| Chenopodium album (fat hen) | CLL | C, LD | + | + |
| Chenopodium quinoa (quinoa) | CLL | C, LD | + | + |
| Nicotiana tabacum (native tobacco) | NLL | SM | + | + |
| Nicotiana glutinosa (native tobacco) | N, NLL | PC | + | + |
| Nicotiana benthamiana (native tobacco) | N | Y, PC | + | + |
| Nicotiana occidentalis (native tobacco) | N | Y, N, PC | + | + |
| Gomphrina globosa (globe amaranth) | NRS | M | + | + |
| Solanum nigrum (black nightshade) | NRS | M | + | + |
| Petunia hybrida (petunia) | NS | M | + | + |
| Datura stramonium (jimsonweed) | NRS | NS | + | + |
| Capsicum annum (pepper) | NLL | NLL, M | + | + |
| Solanum lycopersicum (tomato) | NS | M, N, B, D | + | + |
| Solanum tuberosum (potato) | NS | NS | + | + |
| Solanum melongena (brinjal) | NS | NS | + | + |
| Cucumis melo (muskmelon) | NS | NS | − | − |
| Citrullus lanatus (watermelon) | NS | NS | − | − |
| Cucumis sativus (cucumber) | NS | NS | − | − |
| Acc. No | Country | Isolate | Host | Saudi Arabia Isolates | ||
|---|---|---|---|---|---|---|
| MZ130501 | MZ130502 | MZ130503 | ||||
| Sequence Similarity % Age | ||||||
| MN882017 | The Netherlands | 38886230-B | S. lycopersicum | 99.6 | 99.4 | 99.9 |
| MN882018 | The Netherlands | 38886257-A | S. lycopersicum | 99.6 | 99.4 | 99.9 |
| MN549395 | Canada | Ca1B | S. lycopersicum | 99.6 | 99.4 | 99.9 |
| MN882045 | Netherlands | 39563388-B | S. lycopersicum | 99.6 | 99.4 | 99.9 |
| MN182533 | United Kingdom | TBRFV.21930919 | S. lycopersicum | 99.6 | 99.4 | 99.9 |
| KT383474 | Jordan | Tom1-Jo | S. lycopersicum | 99.6 | 99.4 | 99.9 |
| MT107885 | Turkey | TBRFV-Ant-Tom | S. lycopersicum | 99.6 | 99.4 | 99.9 |
| MN882024 | The Netherlands | 39055711-A | S. lycopersicum | 99.6 | 99.4 | 99.9 |
| MK888980 | Turkey | TOM07 | S. lycopersicum | 99.4 | 99.1 | 99.7 |
| MK273190 | Mexico | TAN6 | C. annuum | 99.5 | 99.3 | 99.8 |
| MK273183 | Mexico | TAN1 | S. lycopersicum | 99.6 | 99.4 | 99.9 |
| MN882030 | Egypt | 39070022-A | S. lycopersicum | 99.5 | 99.3 | 99.8 |
| MN882031 | Egypt | 39070022-B | S. lycopersicum | 99.5 | 99.3 | 99.8 |
| MK881101 | Palestine | Tom42-PAL | S. lycopersicum | 99.1 | 98.9 | 99.4 |
| MN013187 | Palestine | F42-PAL | S. lycopersicum | 99.1 | 98.9 | 99.4 |
| MN882023 | The Netherlands | 38890029-B | S. lycopersicum | 99.1 | 98.9 | 99.4 |
| MN065184 | Turkey | ToBRFVPep1 | C. annuum | 99.1 | 98.9 | 99.4 |
| MN882042 | The Netherlands | 39563361-A | S. lycopersicum | 99.1 | 98.9 | 99.4 |
| MH381817 | China | ToMMV- HN | S. lycopersicum | 82.5 | 82.3 | 82.4 |
| KR824950 | China | ToMMV- YYMLJ | C. annuum | 82.5 | 82.3 | 82.4 |
| MN654021 | The Netherlands | ToMMV- 19-02305 | C. annuum | 82.4 | 82.1 | 82.3 |
| KF477193 | Mexico | ToMMV- MX5 | S. lycopersicum | 82.6 | 82.4 | 82.5 |
| KX898034 | USA | ToMMV-CA16-01 | S. lycopersicum | 82.5 | 82.3 | 82.4 |
| KU594507 | Spain | ToMMV-VLC-1 | S. lycopersicum | 82.5 | 82.3 | 82.4 |
| MH128145 | Brazil | ToMMV-CpB1 | S. lycopersicum | 82.8 | 82.5 | 82.7 |
| KR537870 | USA | ToMV-99-1 | S. lycopersicum | 82.4 | 81.9 | 82 |
| DQ873692 | Germany | ToMV1-2 | S. lycopersicum | 82.5 | 82 | 82.1 |
| MZ130501 | Saudi Arabia | ToBRFV-SA-F8 | S. lycopersicum | 100 | 99 | 99.5 |
| MZ130502 | Saudi Arabia | ToBRFV-SA-L10 | S. lycopersicum | - | 100 | 99.3 |
| MZ130503 | Saudi Arabia | ToBRFV-SA-L24 | S. lycopersicum | - | - | 100 |
| Cultivar Name | Observed Symptoms a | Symptoms Severity Rating b | Disease Severity Index | RT-PCR c |
|---|---|---|---|---|
| Dusmo | M, B, LR, D, S | ++++ | 88% | + |
| Meghina | M, B, D | +++ | 72% | + |
| Newton | M, B, N, LR, D, S | +++ | 80% | + |
| Quaresma | M, B, N, LR, D, S | ++++ | 96% | + |
| Dafnis-F1 | M, B, N, D, S | ++++ | 92% | + |
| JV 15 | M, N, D | +++ | 80% | + |
| Baiknour | M, N, B, LR | +++ | 84% | + |
| Mulla | M, B, D, LR | ++ | 64% | + |
| Tone guitar | M, LR, D | +++ | 80% | + |
| Mawal | Mo, LR | ++ | 72% | + |
| Jamilah | Mo, N, LR, B, D, S | ++++ | 88% | + |
| Seraj | M, B, N, D | ++ | 72% | + |
| Titanic | Mo, N, D | + | 52% | + |
| Classes | Symptoms |
|---|---|
| 0 | No symptoms |
| 1 | Mild mosaic or mottling, followed by recovery |
| 2 | Mild mosaic or mottling with leaf deformation |
| 3 | Moderate mosaic or mottling and leaf deformed followed by leaf rolling |
| 4 | Severe mosaic or mottling, and leaf deformation |
| 5 | Severe mosaic or mottling, leaf deformation, and shoestring |
Publisher’s Note: MDPI stays neutral with regard to jurisdictional claims in published maps and institutional affiliations. |
© 2022 by the authors. Licensee MDPI, Basel, Switzerland. This article is an open access article distributed under the terms and conditions of the Creative Commons Attribution (CC BY) license (https://creativecommons.org/licenses/by/4.0/).
Share and Cite
Sabra, A.; Amer, M.A.; Hussain, K.; Zakri, A.; Al-Shahwan, I.M.; Al-Saleh, M.A. Occurrence and Distribution of Tomato Brown Rugose Fruit Virus Infecting Tomato Crop in Saudi Arabia. Plants 2022, 11, 3157. https://doi.org/10.3390/plants11223157
Sabra A, Amer MA, Hussain K, Zakri A, Al-Shahwan IM, Al-Saleh MA. Occurrence and Distribution of Tomato Brown Rugose Fruit Virus Infecting Tomato Crop in Saudi Arabia. Plants. 2022; 11(22):3157. https://doi.org/10.3390/plants11223157
Chicago/Turabian StyleSabra, Ahmed, Mahmoud Ahmed Amer, Khadim Hussain, Adel Zakri, Ibrahim Mohammed Al-Shahwan, and Mohammed Ali Al-Saleh. 2022. "Occurrence and Distribution of Tomato Brown Rugose Fruit Virus Infecting Tomato Crop in Saudi Arabia" Plants 11, no. 22: 3157. https://doi.org/10.3390/plants11223157
APA StyleSabra, A., Amer, M. A., Hussain, K., Zakri, A., Al-Shahwan, I. M., & Al-Saleh, M. A. (2022). Occurrence and Distribution of Tomato Brown Rugose Fruit Virus Infecting Tomato Crop in Saudi Arabia. Plants, 11(22), 3157. https://doi.org/10.3390/plants11223157

