Evidence That 2n Eggs Explain Partial Hybrids between Medicago sativa and Medicago arborea
Abstract
:1. Introduction
2. Results
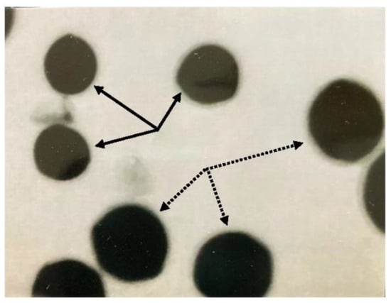
2.1. Pollen Size in the 2n Egg Test
2.2. Identification of Plants That Produce 2n Eggs
3. Discussion
4. Materials and Methods
4.1. Plant Materials
4.2. The 2n Egg Test
5. Conclusions
Author Contributions
Funding
Conflicts of Interest
References
- Bingham, E.; Armour, D.; Irwin, J. The hybridization barrier between herbaceous Medicago sativa and woody M. arborea is weakened by selection of seed parents. Plants 2013, 2, 343–353. [Google Scholar] [CrossRef] [PubMed] [Green Version]
- Armour, D.J.; Mackie, J.M.; Musial, J.M.; Irwin, J.A.G. Transfer of anthracnose resistance and pod coiling traits from Medicago arborea to M. sativa by sexual reproduction. Theor. Appl. Genet. 2008, 117, 149–156. [Google Scholar] [CrossRef] [PubMed]
- Irwin, J.A.G.; Sewell, J.C.; Woodfield, D.R.; Bingham, E.T. Restructuring lucerne (Medicago sativa) through introgression of the Medicago arborea genome. Agric. Sci. 2016, 28, 40–47. [Google Scholar]
- Bingham, E.T.; Saunders, J.W. Chromosome manipulations in alfalfa: Scaling cultivated alfalfa to seven ploidy levels. Crop Sci. 1974, 14, 474–477. [Google Scholar] [CrossRef]
- Pfeiffer, T.W.; Bingham, E.T. Abnormal meiosis in alfalfa, Medicago sativa: Cytology of 2N egg and 4N pollen formation. Can. J. Genet. Cytol. 1983, 25, 107–112. [Google Scholar] [CrossRef]
- De Storme, N.; Zamariola, L.; Mau, M.; Sharbel, T.F.; Geelen, D. Volume-based pollen size analysis: An advanced method to assess somatic and gametophytic ploidy in flowering plants. Plant Reprod. 2013, 26, 65–81. [Google Scholar] [CrossRef] [PubMed]
- Bingham, E.T.; Binek, A. Hexaploid alfalfa (Medicago sativa L.): Origin, fertility and cytology. Can. J. Genet. 1969, 11, 359–366. [Google Scholar] [CrossRef]
- Vorsa, N.; Bingham, E.T. Cytology of 2n pollen formation in diploid alfalfa, Medicago sativa. Can. J. Genet. Cytol. 1979, 21, 525–530. [Google Scholar] [CrossRef]
- Tondini, F.; Tavoletti, S.; Mariani, A.; Veronesi, F. A statistical approach to estimate the frequency of n, 2n and 4n pollen grains in diploid alfalfa. Euphytica 1993, 69, 109–114. [Google Scholar] [CrossRef]
- Brink, R.A.; Cooper, D.C. The endosperm in seed development. Bot. Rev. 1947, 13, 423–477. [Google Scholar] [CrossRef]
- Dilkova, M.; Bingham, E.T. Microsporogenesis of alfalfa cultivars and selected genotypes. Med. Genet. Rep. 2017, 17, 1–16. [Google Scholar]
- Bingham, E. Wide crosses in plants where results are similar to Medicago sativa X M. arborea crosses. Med. Genet. Rep. 2009, 9, 28–29. [Google Scholar]
- Pratap, A.; Kumar, J. Alien Gene Transfer in Crop Plants: An Introduction. In Alien Gene Transfer in Crop Plants; Springer: New York, NY, USA, 2013; Volume 1, pp. 1–23. [Google Scholar] [CrossRef]

| Plants | Description and Pedigree | Seed */Florets Pollinated | Progeny | |
|---|---|---|---|---|
| 8x/Near 8x | 4x | |||
| 6-4ms | Male sterile plant discovered in cv. Saranac. | 0/100 | - | - |
| SX-1ms | Male sterile plant from a breeding population. | 0/50 | - | - |
| 2K-1ms-1 | Ibidem | 6/100 | 2 | 3 |
| 2K-1ms-2 | Ibidem | 0/50 | - | - |
| 2K-1ms-3 | Ibidem | 3/50 | 2 | - |
| Pegasis | Self-sterile plant found in Australian cultivar. | 2/50 | - | - |
| MBms | Male sterile from Magnum X Blaser XL cross [1]. | 7/100 | 5 | 2 |
| M8 | Self-sterile from cross of Medicago subspecies [1]. | 12/100 | 9 | 2 |
Publisher’s Note: MDPI stays neutral with regard to jurisdictional claims in published maps and institutional affiliations. |
© 2022 by the authors. Licensee MDPI, Basel, Switzerland. This article is an open access article distributed under the terms and conditions of the Creative Commons Attribution (CC BY) license (https://creativecommons.org/licenses/by/4.0/).
Share and Cite
Bingham, E.; Irwin, J. Evidence That 2n Eggs Explain Partial Hybrids between Medicago sativa and Medicago arborea. Plants 2022, 11, 1380. https://doi.org/10.3390/plants11101380
Bingham E, Irwin J. Evidence That 2n Eggs Explain Partial Hybrids between Medicago sativa and Medicago arborea. Plants. 2022; 11(10):1380. https://doi.org/10.3390/plants11101380
Chicago/Turabian StyleBingham, Edwin, and John Irwin. 2022. "Evidence That 2n Eggs Explain Partial Hybrids between Medicago sativa and Medicago arborea" Plants 11, no. 10: 1380. https://doi.org/10.3390/plants11101380
APA StyleBingham, E., & Irwin, J. (2022). Evidence That 2n Eggs Explain Partial Hybrids between Medicago sativa and Medicago arborea. Plants, 11(10), 1380. https://doi.org/10.3390/plants11101380
