Analysis of Chromosome Associations during Early Meiosis in Wheat Lines Carrying Chromosome Introgressions from Agropyron cristatum
Abstract
1. Introduction
2. Results
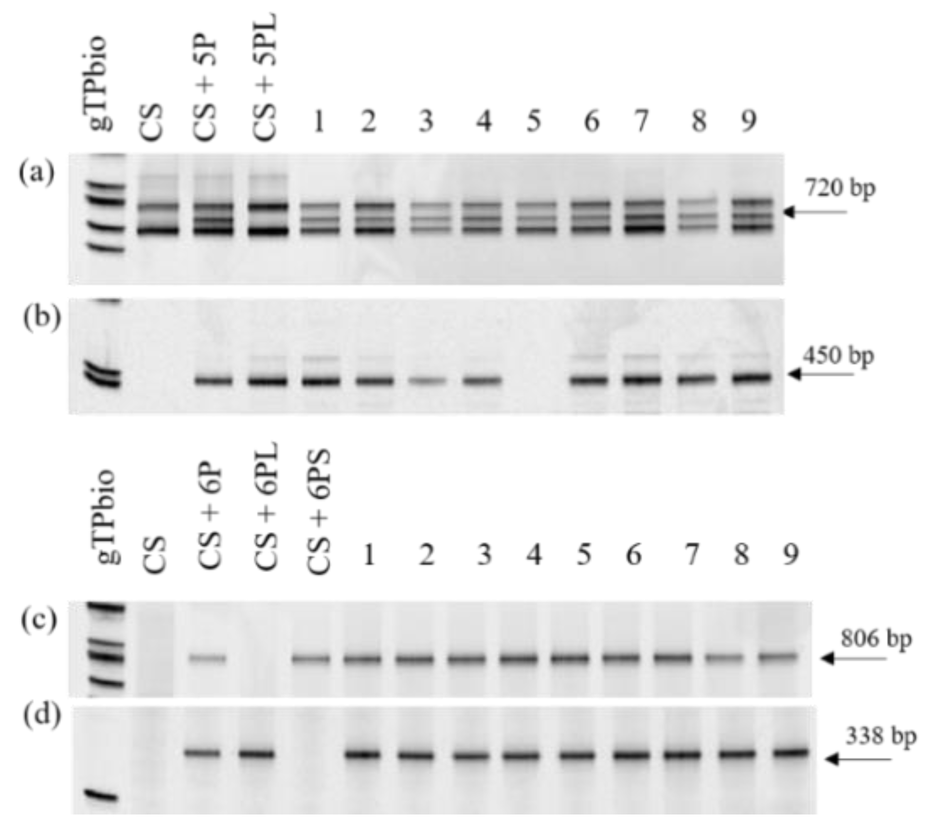
2.1. Characterization of 5P and 6P A. cristatum Introgression Lines in Wheat in the Presence and in the Absence of the Ph1 Locus
2.2. Early Meiosis Analysis of 5P and 6P A. cristatum Introgression Lines in Wheat in the Presence and in the Absence of the Ph1 Locus
2.3. Recombination between A. cristatum and Wheat Chromomomes Does Not Occur Either in the Presence or in the Absence of the Ph1 Locus
2.4. The Presence of Both 5P and 6P A. cristatum Chromosomes Affects Chromosome Associations and Recombination between Homologous Wheat Chromosomes
3. Discussion
4. Materials and Methods
4.1. Plant Material
4.2. DNA Marker Characterization
4.3. Somatic Cells Analyses
4.4. Meiotic Cells Analyses
5. Conclusions
Author Contributions
Funding
Institutional Review Board Statement
Informed Consent Statement
Acknowledgments
Conflicts of Interest
References
- Dewey, D.R. The genomic system of classification as a guide to intergeneric hybridization with the perennial Triticeae. In Gene Manipulation in Plant Improvement; Gustafson, J.P., Ed.; Springer: Boston, MA, USA, 1984; pp. 209–279. [Google Scholar]
- Asay, K.H. Breeding potentials in perennials Triticeae grasses. Hereditas 1992, 116, 167–173. [Google Scholar] [CrossRef]
- Dewey, D.R. Salt tolerance of twenty-five strains of Agropyron. Crop Sci. 1960, 52, 631–635. [Google Scholar] [CrossRef]
- Dewey, D.R. Breeding crested wheatgrass for salt tolerance. Crop Sci. 1962, 2, 403–407. [Google Scholar] [CrossRef]
- Meng, L.; Guo, Q.; Mao, P.; Tian, X. Accumulation and tolerance characteristics of zinc in Agropyron cristatum plants exposed to zinc-contaminated soil. Bull. Environ. Contam. Toxicol. 2013, 91, 298–3016. [Google Scholar] [CrossRef] [PubMed]
- Guo, Q.; Meng, L.; Mao, P.; Tian, X. An assessment of Agropyron cristatum tolerance to cadmium contaminated soil. Biol. Plant. 2014, 58, 174–178. [Google Scholar] [CrossRef]
- Wang, R.R. Agropyron and Psathyrostachys. In Wild Crop Relatives: Genomic and Breeding Resources, Cereals; Kole, C., Ed.; Springer: Berlin/Heidelberg, Germany, 2011; Chapter 2; pp. 77–108. [Google Scholar]
- Ochoa, V.; Madrid, E.; Said, M.; Rubiales, D.; Cabrera, A. Molecular and cytogenetic characterization of a common wheat-Agropyron cristatum chromosome translocation conferring resistance to leaf rust. Euphytica 2015, 201, 89–95. [Google Scholar] [CrossRef]
- Copete, A.; Cabrera, A. Chromosomal location of genes for resistance to powdery mildew in Agropyron cristatum and mapping of conserved orthologous set molecular markers. Euphytica 2017, 213, 189. [Google Scholar] [CrossRef]
- Li, H.; Jiang, B.; Wang, J.; Lu, Y.; Zhang, J.; Pan, C.; Yang, X.; Li, X.; Liu, W.; Li, L. Mapping of novel powdery mildew resistance gene(s) from Agropyron cristatum chromosome 2P. Theor. Appl. Genet. 2017, 130, 109–121. [Google Scholar] [CrossRef]
- Zhang, Z.; Song, L.; Han, H.; Zhou, S.; Zhang, J.; Yang, X.; Li, X.; Liu, W.; Li, L. Physical localization of a locus from Agropyron cristatum conferring resistance to stripe rust in common wheat. Int. J. Mol. Sci. 2017, 18, 2403. [Google Scholar] [CrossRef]
- McGuire, P.E.; Dvorák, J. High salt-tolerance potential in wheatgrasses. Crop Sci. 1981, 21, 702–705. [Google Scholar] [CrossRef]
- Bayat, H.; Nemati, H.; Tehranifar, A.; Gazanchian, A. Screening different crested wheatgrass (Agropyron cristatum (L.) Gaertner.) accessions for drought stress tolerance. Arch. Agron. Soil Sci. 2016, 62, 769–780. [Google Scholar] [CrossRef]
- Zhang, J.; Zhang, J.; Liu, W.; Han, H.; Lu, Y.; Yang, X.; Li, X.; Li, L. Introgression of Agropyron cristatum 6P chromosome segment into common wheat for enhanced thousand-grain weight and spike length. Theor. Appl. Genet. 2015, 128, 1827–1837. [Google Scholar] [CrossRef]
- Chen, Q.; Jahier, J.; Cauderon, Y. Production and cytogenetic analysis of BC1, BC2, and BC3 progenies of an intergeneric hybrid between Triticum aestivum (L.) Thell. and tetraploid Agropyron cristatum (L.) Gaertn. Theor. Appl. Genet. 1992, 84, 698–703. [Google Scholar] [CrossRef] [PubMed]
- Martín, A.; Rubiales, D.; Cabrera, A. Meiotic pairing in a trigeneric hybrid Triticum tauschii-Agropyron cristatum-Hordeum chilense. Hereditas 1998, 129, 113–118. [Google Scholar] [CrossRef][Green Version]
- Martín, A.; Cabrera, A.; Esteban, E.; Hernández, P.; Ramírez, M.C.; Rubiales, D. A fertile amphiploid between diploid wheat (Triticum tauschii) and crested wheatgrass (Agropyron cristatum). Genome 1999, 42, 519–524. [Google Scholar] [CrossRef]
- Soliman, M.H.; Rubiales, D.; Cabrera, A. A Fertile Amphiploid between durum wheat (Triticum turgidum) and the Agroticum amphiploid (Agropyron cristatum x T. tauschii). Hereditas 2001, 135, 183–186. [Google Scholar] [CrossRef] [PubMed][Green Version]
- Soliman, M.H.; Cabrera, A.; Sillero, J.C.; Rubiales, D. Genomic constitution and expression of disease resistance in Agropyron cristatum x durum wheat derivatives. Breed. Sci. 2007, 57, 17–21. [Google Scholar] [CrossRef][Green Version]
- Riley, R.; Chapman, V. Genetic control of the cytologically diploid behaviour of hexaploid wheat. Nature 1958, 182, 713–715. [Google Scholar] [CrossRef]
- Sears, E.R. Genetic control of chromosome pairing in wheat. Ann. Rev. Genet. 1976, 10, 31–51. [Google Scholar] [CrossRef]
- Sears, E.R. Transfer of alien genetic material to wheat. In Wheat Science-Today and Tomorrow; Evans, L.T., Peacock, W.J., Eds.; Cambridge University Press: Cambridge, UK, 1981; pp. 75–89. [Google Scholar]
- Mello-Sampayo, T. Genetic regulation of meitic chromosome pairing by chromosome 3D of Triticum aestivum. Nat. New Biol. 1971, 230, 22–23. [Google Scholar] [CrossRef]
- Qui, L.; Friebe, B.; Zhang, P.; Gill, B.S. Homoeologous recombination, chromosome engineering and crop improvement. Chromosome Res. 2007, 15, 3–19. [Google Scholar] [CrossRef]
- Dvorak, J.; Deal, K.R.; Luo, M.C. Discovery and mapping of wheat Ph1 suppressors. Genetics 2006, 174, 17–27. [Google Scholar] [CrossRef]
- Dover, G.A.; Riley, R. Variation at two loci affecting homoeologous meiotic pairing in Triticum aestivum × Aegilops mutica hybrids. Nat. New Biol. 1972, 235, 61–62. [Google Scholar] [CrossRef]
- Riley, R.; Chapman, V.; Miller, T. The determination of meiotic chromosome pairing. In Proceedings of the 4th International Wheat Genetics Symposium, University of Missouri, Colombia, MO, USA, 6–11 August 1973; Sears, E.R., Sears, L.M.S., Eds.; pp. 731–738. [Google Scholar]
- Dvorak, J. Chromosomal distribution of genes in diploid Elytrigia elongata that promote or suppress pairing of wheat homoeologous chromosomes. Genome 1987, 29, 34–40. [Google Scholar] [CrossRef]
- Liu, W.; Rouse, M.; Friebe, B.; Jin, Y.; Gill, B.S.; Pumphrey, M.O. Discovery and molecular mapping of a new gene conferring resistance to stem rust, Sr53, derived from Aegilops geniculata and characterization of spontaneous translocation stocks with reduced alien chromatin. Chromosom. Res. 2011, 19, 669–682. [Google Scholar] [CrossRef]
- Jahuar, P.P. Chromosome pairing in hybrids between hexaploid bread wheat and tetraploid crested wheatgrass (Agropyron cristatum). Hereditas 1992, 116, 107–109. [Google Scholar] [CrossRef]
- Ahmad, F.; Comeau, A. A new intergeneric hybrid between Triticum aestivum L., and Agropyron fragile (Roth) Candary: Variation in A.fragile for suppression of the wheat Ph-locus activity. Plant Breed. 1991, 106, 275–283. [Google Scholar] [CrossRef]
- Copete-Parada, A.; Palomino, C.; Cabrera, A. Development and characterization of wheat-Agropyron cristatum introgression lines induced by gametocidal genes and Ph1 mutant. Agronomy 2021, 11, 277. [Google Scholar] [CrossRef]
- Che, Y.H.; Li, H.J.; Yang, Y.P.; Yang, X.M.; Li, X.Q.; Li, L.H. On the use of SSR markers for the genetic characterization of the Agropyron cristatum (L.) Gaertn. in northern China. Genet. Resour. Crop Evol. 2008, 55, 389–396. [Google Scholar] [CrossRef]
- Copete, A.; Moreno, R.; Cabrera, A. Characterization of a world collection of Agropyron cristatum accessions. Genet. Resour. Crop Evol. 2018, 65, 1455–1469. [Google Scholar] [CrossRef]
- Dong, Y.S.; Zhou, R.H.; Xu, S.J.; Li, L.H.; Cauderon, Y.; Wang, R.R.-C. Desirable characteristics in perennial Triticeae collected in China for wheat improvement. Hereditas 1992, 116, 175–178. [Google Scholar] [CrossRef]
- Cabrera, A.; Castellano, L.; Recio, R.; Alvarez, J.B. Chromosomal location and molecular characterization of three grain hardness genes in Agropyron cristatum. Euphytica 2019, 215, 165. [Google Scholar] [CrossRef]
- Said, M.; Copete, A.; Gaál, E.; Molnár, I.; Cabrera, A.; Doležel, J.; Vrána, J. Uncovering macrosyntenic relationships between tetraploid Agropyron cristatum and bread wheat genomes using COS markers. Theor. Appl. Genet. 2019, 132, 2881–2898. [Google Scholar] [CrossRef] [PubMed]
- Linc, G.; Gaál, E.; Molnár, I.; Icsó, D.; Badaeva, E.; Molnár-Láng, M. Molecular cytogenetic (FISH) and genome analysis of diploid wheatgrasses and their phylogenetic relationship. PLoS ONE 2017, 12, e0173623. [Google Scholar] [CrossRef]
- Said, M.; Hřibová, E.; Danilova, T.V.; Karafiátová, M.; Čížková, J.; Friebe, B.; Doležel, J.; Gill, B.S.; Vrána, J. The Agropyron cristatum karyotype, chromosome structure and cross-genome homeology as revealed by fluorescence in situ hybridization with tandem repeats and wheat single-gene probes. Theor. Appl. Genet. 2018, 131, 2213–2227. [Google Scholar] [CrossRef] [PubMed]
- Zhou, S.; Yan, B.; Li, F.; Zhang, J.; Zhang, J.; Ma, H.; Liu, W.; Lu, Y.; Yang, X.; Liu, X.; et al. RNA-Seq analysis provides first insights into the phylogenetic relationships and interespecific variation between Agropyron cristatum and wheat. Front. Plant Sci. 2017, 8, 1644. [Google Scholar] [CrossRef]
- Zhou, S.; Zhang, J.; Che, Y.; Liu, W.; Lu, Y.; Yang, X.; Li, X.; Jia, J.; Liu, X.; Li, L. Construction of Agropyron Gaertn. Genetic linkage maps using a wheat 660 K SNP array reveals a homoeologous relationship with the wheat genome. Plant Biotechnol. J. 2018, 16, 818–827. [Google Scholar] [CrossRef]
- Cabrera, A.; Copete-Parada, A.; Madrid, E. Cloning and characterization of a putative orthologue of the wheat vernalization (VRN1) gene in perennial wheatgrass (Agropyron cristatum). Plant Breed. 2020, 139, 1290–1298. [Google Scholar] [CrossRef]
- Calderón, M.D.C.; Rey, M.D.; Cabrera, A.; Prieto, P. The subtelomeric region is important for chromosome recognition and pairing during meiosis. Sci. Rep. 2014, 4, 6488. [Google Scholar] [CrossRef]
- Aguilar, M.; Prieto, P. Sequence analysis of wheat subtelomeres reveals a high polymorphism among homoeologous chromosomes. Plant Genome 2020, 13, e20065. [Google Scholar] [CrossRef]
- Sears, E.R. Agropyron-wheat transfers induced by homoeologous pairing. In Proceedings of the 4th International Wheat Genetic Symposium, Columbia, MO, USA, 6–11 August 1973; Sears, E.R., Sears, L.M.S., Eds.; pp. 191–199. [Google Scholar]
- Sears, E.R. Analysis of wheat-Agropyron recombinant chromosomes. In Proceedings of the 8th Eucarpia Congress, Madrid, Spain, 23–25 May 1977; pp. 63–72. [Google Scholar]
- Wang, R.C.; Liang, G.H.; Heyne, E.G. Effectiveness of ph gene in inducing homoeologous chromosome pairing Agrotricum. Theor. Appl. Genet. 1977, 51, 139–142. [Google Scholar] [CrossRef]
- Friebe, B.; Zeller, F.J.; Mukai, Y.; Forster, B.P.; Bartos, P.; Mclntosh, R.A. Characterization of rest-resistant wheat-Agropyron intermedium derivatives by C-banding, in situ hybridization and isozyme analysis. Theor. Appl. Genet. 1992, 83, 775–782. [Google Scholar] [CrossRef]
- Prieto, P.; Ramírez, C.; Cabrera, A.; Ballesteros, J.; Martín, A. Development and cytogenetic characterisation of a double goat grass-barley chromosome substitution in tritordeum. Euphytica 2006, 147, 337–342. [Google Scholar] [CrossRef]
- Rey, M.D.; Calderón, M.C.; Rodrigo, M.J.; Zacarías, L.; Alós, E.; Prieto, P. Novel bread wheat lines enriched in carotenoids carrying Hordeum chilense chromosome arms in the ph1b background. PLoS ONE 2015, 10, e0134598. [Google Scholar] [CrossRef]
- Rey, M.D.; Calderón, M.C.; Prieto, P. The use of the ph1b mutant to induce recombination between the chromosomes of wheat and barley. Front. Plant Sci. 2015, 6, 160. [Google Scholar] [CrossRef]
- Chen, Q.; Lu, Y.L.; Jahier, J.; Bernard, M. Identification of wheat-Agropyron cristatum monosomic addition lines by RFLP analysis using a set of assigned wheat DNA probes. Theor. Appl. Genet. 1994, 89, 70–75. [Google Scholar] [CrossRef] [PubMed]
- Jubault, M.; Tanguy, A.M.; Abélard, P.; Coriton, O.; Dusautoir, J.C.; Jahier, J. Attempts to induce homoeologous pairing between wheat and Agropyron cristatum genomes. Genome 2006, 49, 190–193. [Google Scholar] [CrossRef]
- Sears, E.R. An induced mutant with homoeologous pairing in common wheat. Can. J. Genet. Cytol. 1977, 19, 585–593. [Google Scholar] [CrossRef]
- Murray, M.G.; Thompson, W.F. Rapid isolation of high molecular weight plant DNA. Nucleic Acids Res. 1980, 8, 4321–4326. [Google Scholar] [CrossRef] [PubMed]
- Quraishi, U.M.; Abrouk, M.; Bolot, S.; Pont, C.; Throude, M.; Guilhot, N.; Confolent, C.; Bortolini, F.; Praud, S.; Murigneux, A.; et al. Genomics in cereals: From genome-wide conserved orthologous set (COS) sequences to candidate genes for trait dissection. Funct. Integr. Genom. 2009, 9, 473–484. [Google Scholar] [CrossRef]
- Wang, X.; Lai, J.; Liu, G.; Chen, F. Development of a Scar marker for the Ph1 locus in common wheat and its application. Crop Sci. 2002, 42, 1365–1368. [Google Scholar] [CrossRef]
- Cabrera, A.; Martín, A.; Barro, F. In-situ comparative mapping (ISCM) of Glu-1 loci in Triticum and Hordeum. Chromosome Res. 2002, 10, 49–54. [Google Scholar] [CrossRef] [PubMed]
- Rayburn, A.L.; Gill, B.S. Isolation of a D-genome specific repeated DNA sequence from Aegilops squarrosa. Plant Mol. Biol. Rep. 1986, 4, 102–109. [Google Scholar] [CrossRef]
- Calderón, M.C.; Rey, M.D.; Martín, A.; Prieto, P. Homoeologous chromosomes from two Hordeum species can recognize and associate during meiosis in wheat in the presence of the Ph1 locus. Front. Plant Sci. 2018, 9, 585. [Google Scholar] [CrossRef] [PubMed]
- Richards, E.J.; Ausubel, F.M. Isolation of a higher eukaryotic telomere from Arabidopsis thaliana. Cell 1988, 53, 127–136. [Google Scholar] [CrossRef]






| Number of Metaphase I Cells Analysed | Number (and Percentage of Cells Carrying One, Two, or Three Wheat Chromosomes as Univalents | Total Number (and Percentage) of Cells Carrying Wheat Univalents | |||
|---|---|---|---|---|---|
| I | II | III | |||
| Chromosome 5P | |||||
| Monosomic CS+5P Ph1Ph1 | 100 | 5 (5.0%) | 11 (11.0%) | 2 (2.0%) | 18 (18.0%) |
| Disomic CS+5P Ph1Ph1 | 132 | 14 (10.6%) | 18 (13.7%) | 3 (2.3%) | 35 (26.5%) |
| Monosomic CS+5P ph1ph1 | 129 | 8 (6.2%) | 28 (21.7%) | 4 (3.1%) | 40 (31.0%) |
| Disomic CS+5P ph1ph1 | 121 | 16 (13.2%) | 21 (17.3%) | 3 (2.5%) | 40 (33.0%) |
| Chromosome 6P | |||||
| Monosomic CS+6P ph1ph1 | 116 | 2 (1.7%) | 15 (13.0%) | 14 (12.1%) | 31 (26.7%) |
| Disomic CS+6P Ph1Ph1 | 117 | 10 (8.6%) | 33 (28.2%) | 3 (2.6%) | 46 (39.3%) |
Publisher’s Note: MDPI stays neutral with regard to jurisdictional claims in published maps and institutional affiliations. |
© 2021 by the authors. Licensee MDPI, Basel, Switzerland. This article is an open access article distributed under the terms and conditions of the Creative Commons Attribution (CC BY) license (https://creativecommons.org/licenses/by/4.0/).
Share and Cite
Prieto, P.; Palomino, C.; Cifuentes, Z.; Cabrera, A. Analysis of Chromosome Associations during Early Meiosis in Wheat Lines Carrying Chromosome Introgressions from Agropyron cristatum. Plants 2021, 10, 2292. https://doi.org/10.3390/plants10112292
Prieto P, Palomino C, Cifuentes Z, Cabrera A. Analysis of Chromosome Associations during Early Meiosis in Wheat Lines Carrying Chromosome Introgressions from Agropyron cristatum. Plants. 2021; 10(11):2292. https://doi.org/10.3390/plants10112292
Chicago/Turabian StylePrieto, Pilar, Carmen Palomino, Zuny Cifuentes, and Adoración Cabrera. 2021. "Analysis of Chromosome Associations during Early Meiosis in Wheat Lines Carrying Chromosome Introgressions from Agropyron cristatum" Plants 10, no. 11: 2292. https://doi.org/10.3390/plants10112292
APA StylePrieto, P., Palomino, C., Cifuentes, Z., & Cabrera, A. (2021). Analysis of Chromosome Associations during Early Meiosis in Wheat Lines Carrying Chromosome Introgressions from Agropyron cristatum. Plants, 10(11), 2292. https://doi.org/10.3390/plants10112292

