Abstract
Vitamin D signaling via the Vitamin D Receptor (VDR) has been shown to protect against intestinal inflammation. Previous studies have also reported the mutual interactions of intestinal VDR and the microbiome, indicating a potential role of probiotics in modulating VDR expression. In preterm infants, although probiotics have been shown to reduce the incidence of necrotizing enterocolitis (NEC), they are not currently recommended by the FDA due to potential risks in this population. No previous studies have delved into the effect of maternally administered probiotics on intestinal VDR expression in early life. Using an infancy mouse model, we found that young mice exposed to maternally administered probiotics (SPF/LB) maintained higher colonic VDR expression than our unexposed mice (SPF) in the face of a systemic inflammatory stimulus. These findings indicate a potential role for microbiome-modulating therapies in preventing diseases such as NEC through the enhancement of VDR signaling.
1. Introduction
Vitamin D deficiency has relevance beyond bone health and is associated with multiple prematurity complications such as bronchopulmonary dysplasia, necrotizing enterocolitis, and neonatal sepsis [1,2,3,4,5]. Vitamin D signaling involves the binding of Calcitriol (1,25(OH)2D) to the Vitamin D Receptor (VDR) in target tissues. VDR is a member of the nuclear receptor superfamily and is highly expressed in the intestines, functioning as a transcription factor. More than 50 target genes of VDR have been identified that have an important role in the innate immune system and the intestinal microbiome [6]. VDR has been found to be intestinally protective and anti-inflammatory in numerous studies [7,8,9,10,11,12,13,14,15,16], and cells lacking VDR are more likely to be in a proinflammatory state with the activation of NF-κB [17].
Interestingly, probiotics have been shown to increase the expression of intestinal VDR at the transcription level in times of infection and inflammation [8,18]. Furthermore, probiotics decrease the incidence of necrotizing enterocolitis (NEC) [19,20,21,22], which is an inflammatory bowel necrosis that primarily afflicts preterm infants after the onset of enteral feeding. Specifically, the probiotic c strains Lactobacillus acidophilus and Bifidobacterium infantis (LB) are well documented in the prevention of NEC [23]. However, the effects of probiotics on Vitamin D/VDR signaling in the immature intestine have not been previously explored. Furthermore, concerns regarding the safety of probiotics in the immunocompromised premature neonate have limited routine clinical use in preterm infants [24].
We hypothesized that the probiotic compound LB given to pregnant mothers from late pregnancy through lactation may be a means of optimizing the infant gut microbiome to influence Vitamin D status as well as the expression of colonic VDR and NF-κB at baseline, and in the setting of a systemic inflammatory stimulus via administration of intraperitoneal (i.p.) IL-1β, a proinflammatory cytokine that has been shown to increase intestinal permeability [25]. Pre-weaned (2-weeks-old) and post-weaned (4-weeks-old) pups were used for this study to model preterm and term neonates, respectively, as pre-weaned mouse intestinal epithelium (P14) is developmentally comparable to preterm infant intestine [26].
2. Materials and Methods
2.1. Animals
This study was carried out in strict accordance with the recommendations in the Guidelines for the Care and Use of Laboratory Animals from the National Institutes of Health. All animal work was conducted under animal protocol No. 71703 and was approved by the University of Chicago Institutional Animal Care and Use Committee (IACUC). Time-dated pregnant C57/BL6J specific pathogen-free (SPF) mice were obtained from Jackson Laboratory (Bar Harbor, ME) and were kept on a 12 h light/dark cycle with access to food and water ad libitum. On embryonic day 15 (ED15), SPF dams were fed a 109 colony forming unit (cfu) dosage each of Lactobacillus acidophilus and Bifidobacterium infantis (LB) daily until pup sacrifice, and the offspring are denoted throughout the results as SPF/LB. Control SPF-pregnant dams were fed PBS and the offspring are denoted throughout the results as SPF. No side effects such as diarrhea were observed in the dams who received LB supplementation. The dams used in this study were about 3 months old and the average dam weight was about 35 g. There were approximately 6–8 pups per litter. Pups were delivered naturally and remained with their mothers until sacrifice. Pre-weaned (2-weeks-old) and post-weaned (4-weeks-old) pups were used for this study, as pre-weaned mouse intestinal epithelium (P14) is developmentally comparable to the preterm infant intestine [26]. Besides routine monitoring of animal well-being at the facility, during the experimental periods, the dams were checked and weighed daily by a trained technician. If distress signs such as hunched back, weight loss, dystocia or lethargy appeared, the animals would be euthanized per institutional guidelines using CO2 followed by cervical dislocation.
The pups were divided in two groups and were either intraperitoneal (i.p.) injected with saline as a control or i.p. injected with IL-1β at 50 ng/g body weight to model the systemic inflammation observed in NEC patients. After four hours of IL-1β (cat# 50813285, Thermo-Fisher, Waltham, MA, USA) treatment, mice were euthanized under isoflurane followed by cardiac puncture for blood collection, and sera were collected and stored at −80 °C for further analysis. Colonic tissue was harvested and snap frozen on a dry ice-ethanol bath for biochemical analysis, and fixed and processed for histological and immunohistochemical analysis.
2.2. Probiotic Bacteria Preparation
Lactobacillus acidophilus, and Bifidobacteria infantis used were from ATCC (No. 53544 and 15697, respectively). Bacteria were first grown and expanded in MRS broth (DeMan Rogosa & Sharpe, Difco, Fisher Scientific, Loughborough, UK) at 37 °C and 5% CO2 under anaerobic and non-agitating conditions, centrifuged (20 min, 4500× g), and resuspended in modified Hank’s balanced saline solution (HBSS) supplemented with 0.04 M MgSO4, 0.03 M MnSO4, 1.15 M K2PO4, 0.36 M sodium acetate, 0.88 M ammonium citrate, 10% polysorbate (growth factor for Lactobacillus sp) and 20% dextrose. Bacteria were then propagated overnight at 37 °C, 5% CO2 under non-agitating conditions to 2 × 109 cfu/mL.
2.3. ELISA
ELISA was performed on mouse sera for 2- and 4-week-old mice using the Mouse Rat 25-OH Vitamin D ELISA kit from Eagle Biosciences (SKU: VID21-K01) as per manufacturer’s instructions.
2.4. Immunohistochemistry
Colonic tissue was obtained from pre-weaned and post-weaned mice and was formalin-fixed, paraffin-embedded. Sections (5 μm) were cut and used for morphology and immunohistology.
For Immunohistochemistry and immunofluorescence studies, colonic sections from SPF and SPF+LB groups were deparaffined, rehydrated, and then incubated with blocking solution (5% goat serum and 2% BSA) in TBST. The tissue sections were incubated with 50 μL of the respective primary antibody (VDR (1:200, Santa Cruz, SC-13133) and phospho-p65 (1:200, Abcam, ab86299)) overnight at 4 °C. After washing with TBST, the sections were incubated with the respective fluorophore-conjugated secondary antibodies and then counterstained with DAPI-antifade mounting medium (P36935, Invitrogen Inc., Carlsbad, CA, USA). Imaging was performed at the University of Chicago Integrated Light Microscopy Facility. Imaging, processing, and analysis were obtained using QuPath software measuring the percentage of DAB-positive cells.
2.5. Statistics
The results from the above data are presented as mean ± SEM. Student’s t test was performed for two group comparisons using GraphPad Prism version 6.00 for Windows (GraphPad Software, La Jolla, CA, USA, www.graphpad.com accessed on 15 January 2021). A p-value of less than 0.05 was considered statistically significant.
3. Results
Since Vitamin D is important in infant health, we first determined the impact of probiotics on serum Vitamin D levels in young mice. At 2 weeks of age, probiotic-exposed mice (SPF/LB) maintained significantly higher serum 25(OH) Vitamin D levels than unexposed SPF mice (110.2 ng/mL in SPF vs. 135.5 ng/mL in SPF+LB, p = 0.04). At 4 weeks of age, when the mice were no longer co-housed with their mothers, there was no significant difference in 25(OH) Vitamin D levels between SPF and SPF/LB mice (73.10 ng/mL in SPF vs. 71.30 ng/mL in SPF+LB, p = 0.60) (Figure 1).
Figure 1.
25(OH) Vitamin D levels in 2-week-old and 4-week-old SPF and SPF/LB mice. * denotes significance with p-value = 0.04; ns = non significance with p-value 0.60; n ≥ 3 for all subgroups.
As Vitamin D signaling is dependent on VDR at the tissue level, we next determined the impact of probiotics on VDR expression in the colon. At 2 weeks of age, the probiotic-exposed subgroup SPF/LB was found to have significantly higher colonic VDR expression at baseline compared to SPF mice (36.96% and 25.11%, respectively; p = 0.01) (Figure 2a). This, however, was not seen at 4 weeks of age, as VDR expression was comparable between the SPF and SPF/LB subgroups (29.15% and 34.62%, respectively; p = 0.09) (Figure 2b).
Figure 2.
(a) baseline colonic VDR expression and representative immunohistochemistry in: 2-week-old SPF (A) and SPF/LB (B) mice. * denotes significance with p-value = 0.01. There were 5 pups included in SPF and 3 pups included in SPF/LB subgroups. Scale bar = 20 μm; (b) baseline colonic VDR expression and representative immunohistochemistry in 4-week-old SPF (C) and SPF/LB (D) mice. ns = non-significance with p-value 0.19. 3 pups were included in SPF and 4 pups were included in SPF/LB subgroups. Scale bar = 20 μm.
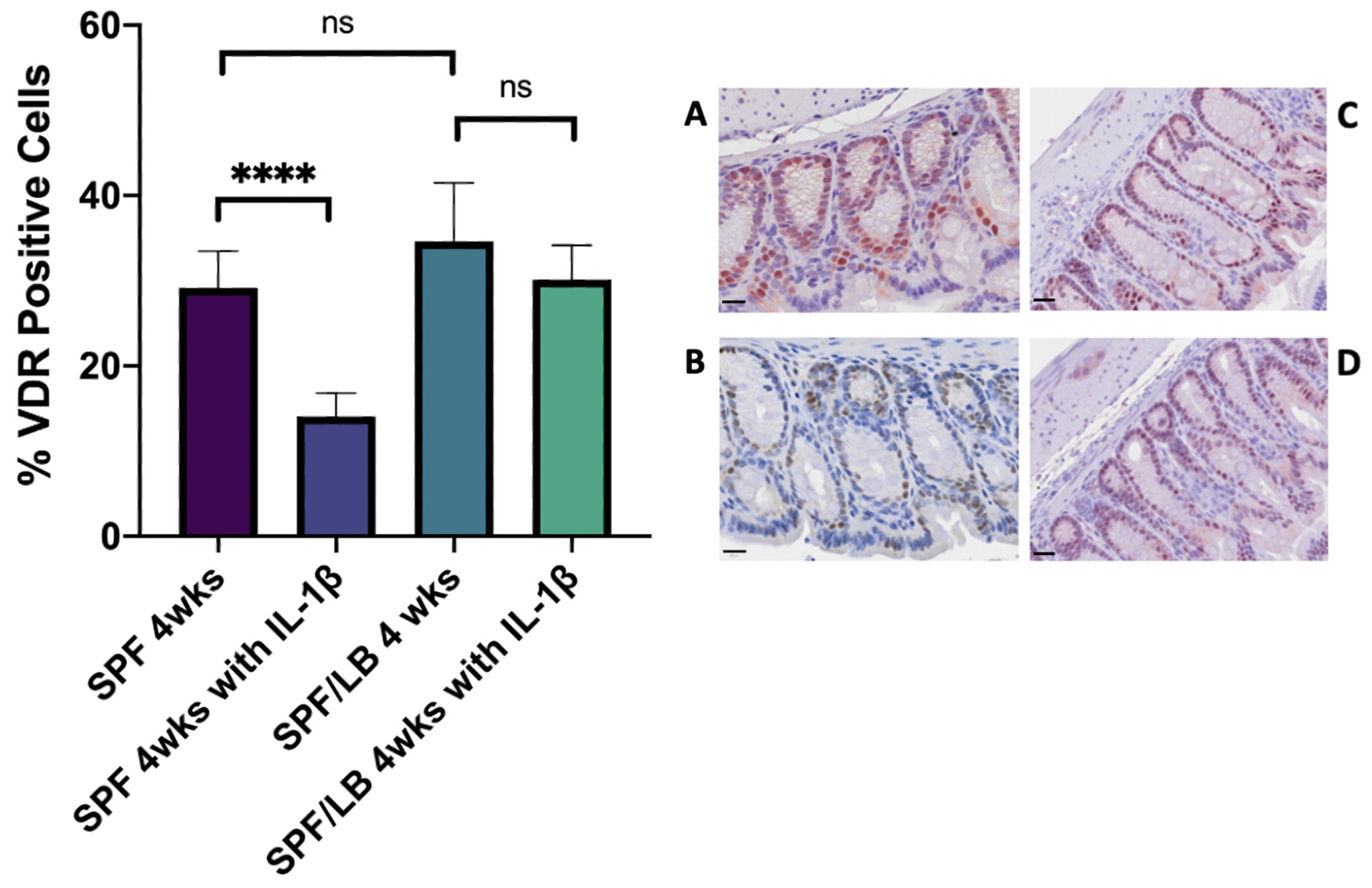
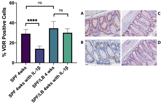
Given that VDR has known cytoprotective/immunomodulatory roles, and that previous studies have shown that VDR expression may be downregulated in inflammatory states [27], we next determined how VDR expression responds to systemic inflammation at both time points. In the pre-weaning period, there was no significant change in VDR expression with exposure to IL-1β in either SPF or SPF/LB mice (Supplemental Figure S1). In post-weaned 4-week-old mice, systemic inflammation downregulated the colonic VDR expression in the SPF subgroup (29.15% in SPF and 14.06% SPF treated with IL-1β, p < 0.0001) but not in the SPF/LB mice, who maintained VDR expression with no significant downregulation upon exposure to IL-1β (34.62% in SPF/LB and 30.13% SPF/LB treated with IL-1β, p = 0.13) (Figure 3).
Figure 3.
Colonic VDR expression and representative immunohistochemistry in: 4-week-old SPF mice at baseline (A) and following i.p. treatment with IL-1β (B). **** denotes statistical significance with p-value < 0.0001. There were 3 pups included in SPF and 6 pups included in SPF with IL-1β subgroups. Scale bar = 20 μm; 4-week-old SPF/LB mice at baseline (C) and following i.p. treatment with IL-1β (D); ns denotes non-significance with p-value 0.13. There were 4 pups included in SPF/LB and 5 pups included in SPF/LB with IL-1β subgroups. Scale bar = 20 μm.
To further clarify the anti-inflammatory role of VDR, we next explored the relationship between VDR expression and expression of the phosphorylated p65 subunit of NF-κB (phospho-p65). p65 is a protein involved in NF-κB heterodimer formation, nuclear translocation, and activation. NF-κB signaling may be activated upon exposure to a systemic inflammatory stimulus such as IL-1β [28], and we thus hypothesized that phospho-p65 expression would be increased in IL-1β-exposed mice and would be inversely associated with VDR. Notably, at 4 weeks of age, baseline phospho-p65 expression was significantly higher in SPF than in SPF/LB mice (p = 0.01). We found that upon exposure to IL-1β, both the SPF and SPF/LB mice had upregulation of colonic phospho-p65 expression (7.79% in SPF and 33.16% in SPF with IL-1β, p < 0.0001; 2.56% in SPF/LB and 7.92% in SPF/LB with IL-1β, p = 0.0003). However, the increase in p65 with IL-1β treatment was significantly more substantial in our SPF mice compared to our SPF/LB mice (33.16% and 7.92%, respectively; p = 0.0007) (Figure 4).
Figure 4.
Colonic phospho-p65 expression and representative immunohistochemistry in: 4-week-old SPF (A) and SPF with IL-1β (B) mice. ** denotes statistical significance with p-value = 0.003. There were 3 pups included in SPF and 6 pups included in SPF with IL-1β subgroups. Scale bar = 20 μm; 4-week-old SPF/LB (C) and SPF/LB with IL-1β (D) mice. ** denotes statistical significance with p-value = 0.004. There were 4 pups included in SPF/LB and 5 pups included in SPF/LB with IL-1β subgroups. Scale bar = 20 μm; further subgroup analysis compared: 4-week-old SPF and SPF/LB mice; * denotes statistical significance with p-value = 0.01; 4-week-old SPF with IL-1β and SPF/LB with IL-1β mice; *** denotes statistical significance with p-value = 0.0007.
At 2 weeks of age, there was no significant difference in phospho-p65 expression with systemic IL-1β in either SPF or SPF/LB mice, which corresponds to the lack of difference seen in VDR expression following IL-1β treatment (Supplemental Figure S1).
4. Discussion
Our study shows that maternally administered probiotics impact offspring biology and are protective in the vulnerable neonatal period through early maturation and upregulation of colonic VDR, which is associated with decreased inflammation through the NF-κB pathway.
Vitamin D status denoted by serum 25(OH) Vitamin D levels is considered to be a marker for optimal Vitamin D signaling [29]. At 2 weeks of age, which is the time of relevance for preterm infants, SPF+LB mice had significantly higher 25(OH) Vitamin D levels than SPF mice, and this correlated with their colonic VDR expression. At 4 weeks of age, SPF and SPF+LB mice had no significant difference in their serum 25(OH) Vitamin D levels, which also reflected the pattern seen in their colonic VDR expression. However, probiotics conferred increased intestinal protection via upregulation of colonic VDR in response to inflammation. Therefore, probiotics may play a more direct role at the tissue-level in optimizing Vitamin D signaling through its receptor VDR, and this may not always be captured by studying serum 25(OH) vitamin D levels alone.
Interestingly, we found that pre-weaned SPF mice maintained colonic VDR and had no significant upregulation of phospho-p65 expression with a systemic inflammatory stimulus, which was a pattern not seen in the post-weaned SPF mice. We surmise this may be due to added protection from their mothers during the preweaning/cohousing period.
Pre-weaned mouse pups also maintained higher serum 25(OH) Vitamin D levels overall compared to their post-weaned counterparts; we can only hypothesize that this may be due to the effects of mother’s milk and cohousing.
There are some study limitations that must be considered. For one, we do not have data on serum Vitamin D levels or the gut VDR expression of the dams involved. The study sample sizes were also small. Additionally, this study focuses on qualitative VDR protein expression differences, and we do not have comparable quantitative data (such as through PCR), given the limitations of PCR measurements of intestinal VDR.
This is the first study to demonstrate that probiotics given to mothers during the prenatal period may effectively influence infant Vitamin D status and decrease inflammation by upregulating colonic VDR. This is of high significance because of the importance of vitamin D to health outcomes and the safety concerns regarding administering probiotics directly to infants. Our previous studies in adult models have demonstrated that VDR negatively regulates the activity of the NF-κB pathway by physically binding with NF-κB p65 and transcriptionally modulating IκBα [17,30]. In the current study, we observed the reduction of VDR after IL-1β treatment. Furthermore, 1,25D3 is known to boosts infection-stimulated cytokine/chemokines, a critical component of the macrophage response to Mycobacteria marinum infection [31], and 1,25D directly upregulates IL-1β gene transcription in macrophages. Although the mutual interactions between intestinal vitamin D/VDR and IL-1β are not well established, Vitamin D/VDR can modulate the innate and adaptive immune responses [32]. Thus, future studies are needed to further delineate VDR signaling in the colon and offer mechanistic insights into the relationship between VDR and NF-κB at the tissue level. Our study of Vitamin D and VDR in preterm infants with a focus on intestinal biology and inflammatory signaling may be critical for mitigating morbidities and improving preterm infant outcomes.
Supplementary Materials
The following supporting information can be downloaded at: https://www.mdpi.com/article/10.3390/biom13050847/s1, Figure S1: (a) colonic VDR expression in: 2-week-old SPF and SPF with IL-1β mice, where ns denotes non-significance with p-value = 0.59; 2-week-old SPF/LB and SPF/LB with IL-1β mice, where ns denotes non-significance with p-value = 0.83; 2-week-old SPF and SPF/LB mice, where * denotes statistical significance with p-value = 0.01; (b) colonic phospho-p65 expression in: 2-week-old SPF and SPF with IL-1β mice, where ns denotes non-significance with p-value 0.24; 2-week-old SPF/LB and SPF/LB with IL-1β mice, where ns denotes non-significance with p-value 0.87; 2-week-old SPF and SPF/LB mice, where ns denotes non-significance with p-value = 0.40. For all subgroups, n > 3.
Author Contributions
Conceptualization, A.S., Y.Y., J.L., L.L., Y.-G.Z., J.S. and E.C.C.; methodology, A.S., Y.Y., J.L., L.L., Y.-G.Z., J.S. and E.C.C.; software, A.S., Y.Y., Y.-G.Z., J.S. and E.C.C.; validation, A.S., Y.Y., Y.-G.Z., J.S. and E.C.C.; formal analysis, A.S., Y.Y., Y.-G.Z., J.S. and E.C.C.; investigation, A.S., Y.Y., Y.-G.Z., J.S. and E.C.C.; resources, Y.X.; data curation, A.S., Y.Y., J.L., L.L. and Y.-G.Z.; writing—original draft preparation, A.S. and E.C.C.; writing—review and editing, A.S., Y.-G.Z., J.S. and E.C.C.; visualization, A.S., Y.-G.Z., J.S. and E.C.C.; Y.X., statistical analysis; supervision, Y.Y., Y.-G.Z., J.S. and E.C.C.; project administration, J.S. and E.C.C.; funding acquisition, J.S. and E.C.C. All authors have read and agreed to the published version of the manuscript.
Funding
This research was funded by the NIDDK/National Institutes of Health grant R01 DK105118 and R01 DK114126, and DOD CDMRP BC191198 to Jun Sun.
Institutional Review Board Statement
The animal study protocol was approved by the Institutional Review Board, under animal protocol No. 71703 and was approved by the University of Chicago Institutional Animal Care and Use Committee (IACUC). Current studies did not involve humans.
Informed Consent Statement
Not applicable.
Data Availability Statement
Data are contained within the article or Supplementary Material.
Acknowledgments
We acknowledge support from the UChicago DDRCC, Center for Interdisciplinary Study of Inflammatory Intestinal Disorders (C-IID) (NIDDK P30 DK042086).
Conflicts of Interest
The authors declare no conflict of interest. The funders had no role in the design of the study; in the collection, analyses, or interpretation of data; in the writing of the manuscript; or in the decision to publish the results.
References
- Agarwal, S.; Kovilam, O.; Agrawal, D.K. Vitamin D and its impact on maternal-fetal outcomes in pregnancy: A critical review. Crit. Rev. Food Sci. Nutr. 2018, 58, 755–769. [Google Scholar] [CrossRef] [PubMed]
- Kosik, K.; Szpecht, D.; Al-Saad, S.R.; Karbowski, L.M.; Kurzawińska, G.; Szymankiewicz, M.; Drews, K.; Wolski, H.; Seremak-Mrozikiewicz, A. Single nucleotide vitamin D receptor polymorphisms (FokI, BsmI, ApaI, and TaqI) in the pathogenesis of prematurity complications. Sci. Rep. 2020, 10, 21098. [Google Scholar] [CrossRef] [PubMed]
- Bi, W.G.; Nuyt, A.M.; Weiler, H.; Leduc, L.; Santamaria, C.; Wei, S.Q. Association Between Vitamin D Supplementation During Pregnancy and Offspring Growth, Morbidity, and Mortality: A Systematic Review and Meta-analysis. JAMA Pediatr. 2018, 172, 635–645. [Google Scholar] [CrossRef] [PubMed]
- von Websky, K.; Hasan, A.A.; Reichetzeder, C.; Tsuprykov, O.; Hocher, B. Impact of vitamin D on pregnancy-related disorders and on offspring outcome. J. Steroid Biochem. Mol. Biol. 2018, 180, 51–64. [Google Scholar] [CrossRef]
- Al-Beltagi, M.; Rowiesha, M.; Elmashad, A.; Elrifaey, S.M.; Elhorany, H.; Msc, H.G.K. Vitamin D status in preterm neonates and the effects of its supplementation on respiratory distress syndrome. Pediatr. Pulmonol. 2020, 55, 108–115. [Google Scholar] [CrossRef]
- Usategui-Martin, R.; De Luis-Roman, D.A.; Fernandez-Gomez, J.M.; Ruiz-Mambrilla, M.; Perez-Castrillon, J.L. Vitamin D Receptor (VDR) Gene Polymorphisms Modify the Response to Vitamin D Supplementation: A Systematic Review and Meta-Analysis. Nutrients 2022, 14, 360. [Google Scholar] [CrossRef]
- Liu, W.; Chen, Y.; Golan, M.A.; Annunziata, M.L.; Du, J.; Dougherty, U.; Kong, J.; Musch, M.; Huang, Y.; Pekow, J.; et al. Intestinal epithelial vitamin D receptor signaling inhibits experimental colitis. J. Clin. Investig. 2013, 123, 3983–3996. [Google Scholar] [CrossRef]
- Wu, S.; Yoon, S.; Zhang, Y.G.; Lu, R.; Xia, Y.; Wan, J.; Petrof, E.O.; Claud, E.C.; Chen, D.; Sun, J. Vitamin D receptor pathway is required for probiotic protection in colitis. Am. J. Physiol. Gastrointest. Liver Physiol. 2015, 309, G341–G349. [Google Scholar] [CrossRef]
- Lu, R.; Zhang, Y.G.; Xia, Y.; Sun, J. Imbalance of autophagy and apoptosis in intestinal epithelium lacking the vitamin D receptor. FASEB J. 2019, 33, 11845–11856. [Google Scholar] [CrossRef]
- Yao, B.; He, J.; Yin, X.; Shi, Y.; Wan, J.; Tian, Z. The protective effect of lithocholic acid on the intestinal epithelial barrier is mediated by the vitamin D receptor via a SIRT1/Nrf2 and NF-κB dependent mechanism in Caco-2 cells. Toxicol. Lett. 2019, 316, 109–118. [Google Scholar] [CrossRef]
- Chatterjee, I.; Zhang, Y.; Zhang, J.; Lu, R.; Xia, Y.; Sun, J. Overexpression of Vitamin D Receptor in Intestinal Epithelia Protects Against Colitis via Upregulating Tight Junction Protein Claudin 15. J. Crohns Colitis. 2021, 15, 1720–1736. [Google Scholar] [CrossRef] [PubMed]
- Guo, Y.; Li, X.; Geng, C.; Song, S.; Xie, X.; Wang, C. Vitamin D receptor involves in the protection of intestinal epithelial barrier function via up-regulating SLC26A3. J. Steroid Biochem. Mol. Biol. 2022, 227, 106231. [Google Scholar] [CrossRef] [PubMed]
- Zhang, Y.; Garrett, S.; Carroll, R.E.; Xia, Y.; Sun, J. Vitamin D receptor upregulates tight junction protein claudin-5 against colitis-associated tumorigenesis. Mucosal. Immunol. 2022, 15, 683–697. [Google Scholar] [CrossRef] [PubMed]
- Wang, F.; Johnson, R.L.; DeSmet, M.L.; Snyder, P.W.; Fairfax, K.C.; Fleet, J.C. Vitamin D Receptor-Dependent Signaling Protects Mice From Dextran Sulfate Sodium-Induced Colitis. Endocrinology 2017, 158, 1951–1963. [Google Scholar] [CrossRef] [PubMed]
- Lu, R.; Zhang, Y.G.; Xia, Y.; Zhang, J.; Kaser, A.; Blumberg, R.; Sun, J. Paneth Cell Alertness to Pathogens Maintained by Vitamin D Receptors. Gastroenterology 2021, 160, 1269–1283. [Google Scholar] [CrossRef]
- Wu, S.; Zhang, Y.G.; Lu, R.; Xia, Y.; Zhou, D.; Petrof, E.O.; Claud, E.C.; Chen, D.; Chang, E.B.; Carmeliet, G.; et al. Intestinal epithelial vitamin D receptor deletion leads to defective autophagy in colitis. Gut 2015, 64, 1082–1094. [Google Scholar] [CrossRef]
- Wu, S.; Liao, A.P.; Xia, Y.; Li, Y.C.; Li, J.D.; Sartor, R.B.; Sun, J. Vitamin D receptor negatively regulates bacterial-stimulated NF-kappaB activity in intestine. Am. J. Pathol. 2010, 177, 686–697. [Google Scholar] [CrossRef]
- Lu, R.; Shang, M.; Zhang, Y.G.; Jiao, Y.; Xia, Y.; Garrett, S.; Bakke, D.; Bäuerl, C.; Martinez, G.P.; Kim, C.H.; et al. Lactic Acid Bacteria Isolated From Korean Kimchi Activate the Vitamin D Receptor-autophagy Signaling Pathways. Inflamm. Bowel. Dis. 2020, 26, 1199–1211. [Google Scholar] [CrossRef] [PubMed]
- Lin, H.C.; Su, B.H.; Chen, A.C.; Lin, T.-W.; Tsai, C.-H.; Yeh, T.-F.; Oh, W. Oral probiotics reduce the incidence and severity of necrotizing enterocolitis in very low birth weight infants. Pediatrics 2005, 115, 1–4. [Google Scholar] [CrossRef] [PubMed]
- Sari, F.N.; Dizdar, E.A.; Oguz, S.; Erdeve, O.; Uras, N.; Dilmen, U. Oral probiotics: Lactobacillus sporogenes for prevention of necrotizing enterocolitis in very low-birth weight infants: A randomized, controlled trial. Eur. J. Clin. Nutr. 2011, 65, 434–439. [Google Scholar] [CrossRef] [PubMed]
- Al-Hadidi, A.; Navarro, J.; Goodman, S.D.; Bailey, M.T.; Besner, G.E. Lactobacillus reuteri in Its Biofilm State Improves Protection from Experimental Necrotizing Enterocolitis. Nutrients 2021, 13, 918. [Google Scholar] [CrossRef] [PubMed]
- Beghetti, I.; Panizza, D.; Lenzi, J.; Gori, D.; Martini, S.; Corvaglia, L.; Aceti, A. Probiotics for Preventing Necrotizing Enterocolitis in Preterm Infants: A Network Meta-Analysis. Nutrients 2021, 13, 192. [Google Scholar] [CrossRef] [PubMed]
- Jiao, X.; Fu, M.D.; Wang, Y.Y.; Xue, J.; Zhang, Y. Bifidobacterium and Lactobacillus for preventing necrotizing enterocolitis in very-low-birth-weight preterm infants: A systematic review and meta-analysis. World J. Pediatr. 2020, 16, 135–142. [Google Scholar] [CrossRef] [PubMed]
- Barbian, M.E.; Buckle, R.; Denning, P.W.; Patel, R.M. To start or not: Factors to consider when implementing routine probiotic use in the NICU. Early Hum. Dev. 2019, 135, 66–71. [Google Scholar] [CrossRef] [PubMed]
- Al-Sadi, R.; Ye, D.; Dokladny, K.; Ma, T.Y. Mechanism of IL-1beta-induced increase in intestinal epithelial tight junction permeability. J. Immunol. 2008, 180, 5653–5661. [Google Scholar] [CrossRef] [PubMed]
- Stanford, A.H.; Gong, H.; Noonan, M.; Lewis, A.N.; Gong, Q.; Lanik, W.E.; Hsieh, J.J.; Lueschow, S.R.; Frey, M.R.; Good, M.; et al. A direct comparison of mouse and human intestinal development using epithelial gene expression patterns. Pediatr. Res. 2020, 88, 66–76. [Google Scholar] [CrossRef]
- Zhang, Y.G.; Lu, R.; Xia, Y.; Zhou, D.; Petrof, E.; Claud, E.C.; Sun, J. Lack of Vitamin D Receptor Leads to Hyperfunction of Claudin-2 in Intestinal Inflammatory Responses. Inflamm. Bowel. Dis. 2019, 25, 97–110. [Google Scholar] [CrossRef]
- Rex, J.; Lutz, A.; Faletti, L.E.; Albrecht, U.; Thomas, M.; Bode, J.G.; Borner, C.; Sawodny, O.; Merfort, I. IL-1beta and TNFalpha Differentially Influence NF-kappaB Activity and FasL-Induced Apoptosis in Primary Murine Hepatocytes During LPS-Induced Inflammation. Front. Physiol. 2019, 10, 117. [Google Scholar] [CrossRef]
- Cashman, K.D.; van den Heuvel, E.G.; Schoemaker, R.J.; Preveraud, D.P.; Macdonald, H.M.; Arcot, J. 25-Hydroxyvitamin D as a Biomarker of Vitamin D Status and Its Modeling to Inform Strategies for Prevention of Vitamin D Deficiency within the Population. Adv. Nutr. 2017, 8, 947–957. [Google Scholar] [CrossRef]
- Wu, S.; Xia, Y.; Liu, X.; Sun, J. Vitamin D receptor deletion leads to reduced level of IkappaBalpha protein through protein translation, protein-protein interaction, and post-translational modification. Int. J. Biochem. Cell Biol. 2010, 42, 329–336. [Google Scholar] [CrossRef]
- Verway, M.; Bouttier, M.; Wang, T.T.; Carrier, M.; Calderon, M.; An, B.S.; Devemy, E.; McIntosh, F.; Divangahi, M.; Behr, M.A.; et al. Vitamin D induces interleukin-1β expression: Paracrine macrophage epithelial signaling controls M. tuberculosis infection. PLoS Pathog. 2013, 9, e1003407. [Google Scholar] [CrossRef] [PubMed]
- Chen, D.; Tang, H.; Li, Y.; Yang, H.; Wang, H.; Tan, B.; Qian, J. Vitamin D3 and Lactobacillus rhamnosus GG/p40 Synergize to Protect Mice From Colitis by Promoting Vitamin D Receptor Expression and Epithelial Proliferation. Inflamm. Bowel. Dis. 2023, 29, 620–632. [Google Scholar] [CrossRef] [PubMed]
Disclaimer/Publisher’s Note: The statements, opinions and data contained in all publications are solely those of the individual author(s) and contributor(s) and not of MDPI and/or the editor(s). MDPI and/or the editor(s) disclaim responsibility for any injury to people or property resulting from any ideas, methods, instructions or products referred to in the content. |
© 2023 by the authors. Licensee MDPI, Basel, Switzerland. This article is an open access article distributed under the terms and conditions of the Creative Commons Attribution (CC BY) license (https://creativecommons.org/licenses/by/4.0/).



