Gasdermin D Inhibitor Necrosulfonamide Alleviates Angiotensin II-Induced Abdominal Aortic Aneurysms in Apolipoprotein E-Deficient Mice
Abstract
1. Introduction
2. Materials and Methods
2.1. AAA Induction and Intervention
2.2. Morphological Assessments and Definition of Experimental AAAs
2.3. Measurements of Systolic and Diastolic Blood Pressure
2.4. AAA Severity Grading
2.5. Aortic Histological Analyses
2.6. Staining and Quantification of Aortic Atherosclerotic Lesion
2.7. Measurements of Serum Cytokines and Lipids
2.8. Statistical Analyses
3. Results
3.1. NSA Treatment Alleviates Experimental AAA Enlargement
3.2. NSA Treatment Reduces the Incidence and Lowers the Severity of Experimental AAAs
3.3. NSA Treatment Reduces Medial Elastin Breaks, SMC Depletion, and Collagen Deposition in Experimental AAAs
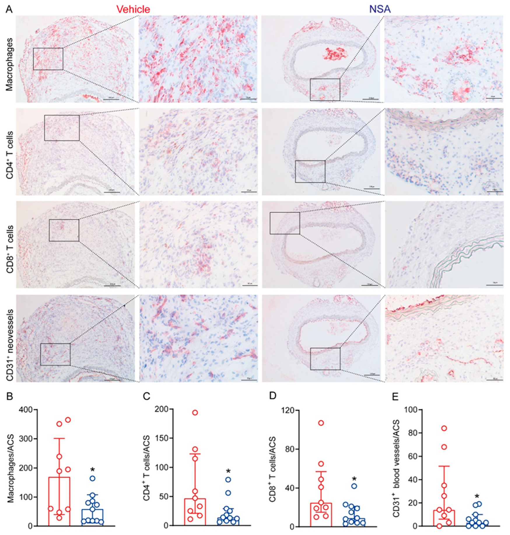
3.4. NSA Treatment Attenuates Leukocyte Accumulation and Angiogenesis in Aneurysmal Aorta
3.5. NSA Treatment Reduces Atherosclerosis in Suprarenal Aorta in ApoE−/− Mice following Ang II Infusion
3.6. NSA Treatment Reduces the Systemic Levels of IL-1β and IL-18 in Experimental AAAs
3.7. NSA Treatment has no Impact on Body Weight Gain, Lipid Levels, and Blood Pressure in ApoE−/− Mice following Ang II Infusion
4. Discussion
Author Contributions
Funding
Institutional Review Board Statement
Informed Consent Statement
Data Availability Statement
Conflicts of Interest
Abbreviations
References
- Song, P.; He, Y.; Adeloye, D.; Zhu, Y.; Ye, X.; Yi, Q.; Rahimi, K.; Rudan, I. The global and regional prevalence of abdominal aortic aneurysms: A systematic review and modeling analysis. Ann. Surg. 2023, 277, 912–919. [Google Scholar] [CrossRef]
- Quaye, K.B.; Pack, N.; Wilson-Byrne, T.; Long, C.A. Contemporary management of abdominal aortic aneurysms. Curr. Cardiol. Rep. 2022, 24, 431–438. [Google Scholar] [CrossRef]
- Bakewell, R.; Krokidis, M.; Winterbottom, A. Endovascular abdominal aortic aneurysm repair: Overview of current guidance, strategies, and new technologies, perspectives from the united kingdom. J. Clin. Med. 2022, 11, 5415. [Google Scholar] [CrossRef]
- Golledge, J. Abdominal aortic aneurysm: Update on pathogenesis and medical treatments. Nat. Rev. Cardiol. 2019, 16, 225–242. [Google Scholar] [CrossRef]
- Golledge, J.; Thanigaimani, S.; Powell, J.T.; Tsao, P.S. Pathogenesis and management of abdominal aortic aneurysm. Eur. Heart J. 2023, 44, 2682–2697. [Google Scholar] [CrossRef]
- Quintana, R.A.; Taylor, W.R. Cellular mechanisms of aortic aneurysm formation. Circ. Res. 2019, 124, 607–618. [Google Scholar] [CrossRef]
- Márquez-Sánchez, A.C.; Koltsova, E.K. Immune and inflammatory mechanisms of abdominal aortic aneurysm. Front. Immunol. 2022, 13, 989933. [Google Scholar] [CrossRef]
- Yuan, Z.; Lu, Y.; Wei, J.; Wu, J.; Yang, J.; Cai, Z. Abdominal aortic aneurysm: Roles of inflammatory cells. Front. Immunol. 2020, 11, 609161. [Google Scholar] [CrossRef]
- Shi, J.; Guo, J.; Li, Z.; Xu, B.; Miyata, M. Importance of nlrp3 inflammasome in abdominal aortic aneurysms. J. Atheroscler. Thromb. 2021, 28, 454–466. [Google Scholar] [CrossRef]
- Liu, Z.; Fitzgerald, M.; Meisinger, T.; Batra, R.; Suh, M.; Greene, H.; Penrice, A.J.; Sun, L.; Baxter, B.T.; Xiong, W. CD95-ligand contributes to abdominal aortic aneurysm progression by modulating inflammation. Cardiovasc. Res. 2019, 115, 807–818. [Google Scholar] [CrossRef]
- Lu, Y.; Sun, Y.; Saaoud, F.; Shao, Y.; Xu, K.; Jiang, X.; Wu, S.; Yu, J.; Snyder, N.W.; Yang, L.; et al. Er stress mediates angiotensin ii-augmented innate immunity memory and facilitates distinct susceptibilities of thoracic from abdominal aorta to aneurysm development. Front. Immunol. 2023, 14, 1268916. [Google Scholar] [CrossRef]
- Xiong, W.; Knispel, R.; MacTaggart, J.; Greiner, T.C.; Weiss, S.J.; Baxter, B.T. Membrane-type 1 matrix metalloproteinase regulates macrophage-dependent elastolytic activity and aneurysm formation in vivo. J. Biol. Chem. 2009, 284, 1765–1771. [Google Scholar] [CrossRef]
- Xiong, W.; MacTaggart, J.; Knispel, R.; Worth, J.; Persidsky, Y.; Baxter, B.T. Blocking tnf-alpha attenuates aneurysm formation in a murine model. J. Immunol. 2009, 183, 2741–2746. [Google Scholar] [CrossRef]
- Xiong, W.; Mactaggart, J.; Knispel, R.; Worth, J.; Zhu, Z.; Li, Y.; Sun, Y.; Baxter, B.T.; Johanning, J. Inhibition of reactive oxygen species attenuates aneurysm formation in a murine model. Atherosclerosis 2009, 202, 128–134. [Google Scholar] [CrossRef]
- Yang, Q.; Saaoud, F.; Lu, Y.; Pu, Y.; Xu, K.; Shao, Y.; Jiang, X.; Wu, S.; Yang, L.; Tian, Y.; et al. Innate immunity of vascular smooth muscle cells contributes to two-wave inflammation in atherosclerosis, twin-peak inflammation in aortic aneurysms and trans-differentiation potential into 25 cell types. Front. Immunol. 2023, 14, 1348238. [Google Scholar] [CrossRef]
- Xu, B.; Xuan, H.; Iida, Y.; Miyata, M.; Dalman, R.L. Pathogenic and therapeutic significance of angiotensin ii type i receptor in abdominal aortic aneurysms. Curr. Drug Targets 2018, 19, 1318–1326. [Google Scholar] [CrossRef]
- Wang, C.; Yang, T.; Xiao, J.; Xu, C.; Alippe, Y.; Sun, K.; Kanneganti, T.D.; Monahan, J.B.; Abu-Amer, Y.; Lieberman, J.; et al. Nlrp3 inflammasome activation triggers gasdermin d-independent inflammation. Sci. Immunol. 2021, 6, eabj3859. [Google Scholar] [CrossRef]
- Huang, Y.; Xu, W.; Zhou, R. NLRP3 inflammasome activation and cell death. Cell. Mol. Immunol. 2021, 18, 2114–2127. [Google Scholar] [CrossRef]
- Fu, J.; Wu, H. Structural mechanisms of nlrp3 inflammasome assembly and activation. Annu. Rev. Immunol. 2023, 41, 301–316. [Google Scholar] [CrossRef]
- Takahashi, M. Nlrp3 inflammasome as a common denominator of atherosclerosis and abdominal aortic aneurysm. Circ. J. Off. J. Jpn. Circ. Soc. 2021, 85, 2129–2136. [Google Scholar] [CrossRef]
- He, W.T.; Wan, H.; Hu, L.; Chen, P.; Wang, X.; Huang, Z.; Yang, Z.H.; Zhong, C.Q.; Han, J. Gasdermin d is an executor of pyroptosis and required for interleukin-1β secretion. Cell Res. 2015, 25, 1285–1298. [Google Scholar] [CrossRef]
- Shi, J.; Zhao, Y.; Wang, K.; Shi, X.; Wang, Y.; Huang, H.; Zhuang, Y.; Cai, T.; Wang, F.; Shao, F. Cleavage of gsdmd by inflammatory caspases determines pyroptotic cell death. Nature 2015, 526, 660–665. [Google Scholar] [CrossRef]
- Pruenster, M.; Immler, R.; Roth, J.; Kuchler, T.; Bromberger, T.; Napoli, M.; Nussbaumer, K.; Rohwedder, I.; Wackerbarth, L.M.; Piantoni, C.; et al. E-selectin-mediated rapid nlrp3 inflammasome activation regulates s100a8/s100a9 release from neutrophils via transient gasdermin d pore formation. Nat. Immunol. 2023, 24, 2021–2031. [Google Scholar] [CrossRef]
- Fu, H.; Shen, Q.R.; Zhao, Y.; Ni, M.; Zhou, C.C.; Chen, J.K.; Chi, C.; Li, D.J.; Liang, G.; Shen, F.M. Activating α7nachr ameliorates abdominal aortic aneurysm through inhibiting pyroptosis mediated by nlrp3 inflammasome. Acta Pharmacol. Sin. 2022, 43, 2585–2595. [Google Scholar] [CrossRef]
- Sun, L.; Li, X.; Luo, Z.; Li, M.; Liu, H.; Zhu, Z.; Wang, J.; Lu, P.; Wang, L.; Yang, C.; et al. Purinergic receptor p2x7 contributes to abdominal aortic aneurysm development via modulating macrophage pyroptosis and inflammation. Transl. Res. J. Lab. Clin. Med. 2023, 258, 72–85. [Google Scholar] [CrossRef]
- Gao, J.; Chen, Y.; Wang, H.; Li, X.; Li, K.; Xu, Y.; Xie, X.; Guo, Y.; Yang, N.; Zhang, X.; et al. Gasdermin d deficiency in vascular smooth muscle cells ameliorates abdominal aortic aneurysm through reducing putrescine synthesis. Adv. Sci. 2023, 10, e2204038. [Google Scholar] [CrossRef]
- Rathkey, J.K.; Zhao, J.; Liu, Z.; Chen, Y.; Yang, J.; Kondolf, H.C.; Benson, B.L.; Chirieleison, S.M.; Huang, A.Y.; Dubyak, G.R.; et al. Chemical disruption of the pyroptotic pore-forming protein gasdermin d inhibits inflammatory cell death and sepsis. Sci. Immunol. 2018, 3, eaat2738. [Google Scholar] [CrossRef]
- Zhou, B.; Abbott, D.W. Chemical modulation of gasdermin d activity: Therapeutic implications and consequences. Semin. Immunol. 2023, 70, 101845. [Google Scholar] [CrossRef]
- Wu, Y.L.; Ou, W.J.; Zhong, M.; Lin, S.; Zhu, Y.Y. Gasdermin d inhibitor necrosulfonamide alleviates lipopolysaccharide/d-galactosamine-induced acute liver failure in mice. J. Clin. Transl. Hepatol. 2022, 10, 1148–1154. [Google Scholar] [CrossRef]
- Barisione, C.; Charnigo, R.; Howatt, D.A.; Moorleghen, J.J.; Rateri, D.L.; Daugherty, A. Rapid dilation of the abdominal aorta during infusion of angiotensin ii detected by noninvasive high-frequency ultrasonography. J. Vasc. Surg. 2006, 44, 372–376. [Google Scholar] [CrossRef]
- Daugherty, A.; Manning, M.W.; Cassis, L.A. Angiotensin ii promotes atherosclerotic lesions and aneurysms in apolipoprotein e-deficient mice. J. Clin. Investig. 2000, 105, 1605–1612. [Google Scholar] [CrossRef]
- Sénémaud, J.; Caligiuri, G.; Etienne, H.; Delbosc, S.; Michel, J.-B.; Coscas, R. Translational relevance and recent advances of animal models of abdominal aortic aneurysm. Arterioscler. Thromb. Vasc. Biol. 2017, 37, 401–410. [Google Scholar] [CrossRef]
- MacArthur Clark, J.A.; Sun, D. Guidelines for the ethical review of laboratory animal welfare people’s republic of china national standard gb/t 35892-2018 [issued 6 february 2018 effective from 1 september 2018]. Anim. Models Exp. Med. 2020, 3, 103–113. [Google Scholar] [CrossRef]
- Tanaka, H.; Xu, B.; Xuan, H.; Ge, Y.; Wang, Y.; Li, Y.; Wang, W.; Guo, J.; Zhao, S.; Glover, K.J.; et al. Recombinant interleukin-19 suppresses the formation and progression of experimental abdominal aortic aneurysms. J. Am. Heart Assoc. 2021, 10, e022207. [Google Scholar] [CrossRef]
- Iida, Y.; Xu, B.; Schultz, G.M.; Chow, V.; White, J.J.; Sulaimon, S.; Hezi-Yamit, A.; Peterson, S.R.; Dalman, R.L. Efficacy and mechanism of angiotensin ii receptor blocker treatment in experimental abdominal aortic aneurysms. PLoS ONE 2012, 7, e49642. [Google Scholar] [CrossRef]
- Iida, Y.; Xu, B.; Xuan, H.; Glover, K.J.; Tanaka, H.; Hu, X.; Fujimura, N.; Wang, W.; Schultz, J.R.; Turner, C.R.; et al. Peptide inhibitor of cxcl4-ccl5 heterodimer formation, mkey, inhibits experimental aortic aneurysm initiation and progression. Arterioscler. Thromb. Vasc. Biol. 2013, 33, 718–726. [Google Scholar] [CrossRef]
- Guo, J.; Shi, J.; Qin, M.; Wang, Y.; Li, Z.; Shoji, T.; Ikezoe, T.; Ge, Y.; Xu, B. Pharmacological inhibition of gasdermin d suppresses angiotensin ii-induced experimental abdominal aortic aneurysms. Biomolecules 2023, 13, 899. [Google Scholar] [CrossRef]
- Daugherty, A.; Manning, M.W.; Cassis, L.A. Antagonism of at2 receptors augments angiotensin ii-induced abdominal aortic aneurysms and atherosclerosis. Br. J. Pharmacol. 2001, 134, 865–870. [Google Scholar] [CrossRef]
- Ikezoe, T.; Shoji, T.; Guo, J.; Shen, F.; Lu, H.S.; Daugherty, A.; Nunokawa, M.; Kubota, H.; Miyata, M.; Xu, B.; et al. No effect of hypercholesterolemia on elastase-induced experimental abdominal aortic aneurysm progression. Biomolecules 2021, 11, 1434. [Google Scholar] [CrossRef]
- Shoji, T.; Guo, J.; Ge, Y.; Li, Y.; Li, G.; Ikezoe, T.; Wang, W.; Zheng, X.; Zhao, S.; Fujimura, N.; et al. Type i interferon receptor subunit 1 deletion attenuates experimental abdominal aortic aneurysm formation. Biomolecules 2022, 12, 1541. [Google Scholar] [CrossRef]
- Poznyak, A.V.; Bharadwaj, D.; Prasad, G.; Grechko, A.V.; Sazonova, M.A.; Orekhov, A.N. Renin-angiotensin system in pathogenesis of atherosclerosis and treatment of cvd. Int. J. Mol. Sci. 2021, 22, 6702. [Google Scholar] [CrossRef]
- Chan, A.H.; Schroder, K. Inflammasome signaling and regulation of interleukin-1 family cytokines. J. Exp. Med. 2020, 217, e20190314. [Google Scholar] [CrossRef]
- Wright, S.S.; Vasudevan, S.O.; Rathinam, V.A. Mechanisms and consequences of noncanonical inflammasome-mediated pyroptosis. J. Mol. Biol. 2022, 434, 167245. [Google Scholar] [CrossRef]
- Kayagaki, N.; Stowe, I.B.; Lee, B.L.; O’Rourke, K.; Anderson, K.; Warming, S.; Cuellar, T.; Haley, B.; Roose-Girma, M.; Phung, Q.T.; et al. Caspase-11 cleaves gasdermin d for non-canonical inflammasome signalling. Nature 2015, 526, 666–671. [Google Scholar] [CrossRef]
- Kappelhoff, S.; Margheritis, E.G.; Cosentino, K. New insights into gasdermin d pore formation. Biochem. Soc. Trans. 2024, 52, 681–692. [Google Scholar] [CrossRef]
- Martín-Sánchez, F.; Diamond, C.; Zeitler, M.; Gomez, A.I.; Baroja-Mazo, A.; Bagnall, J.; Spiller, D.; White, M.; Daniels, M.J.; Mortellaro, A.; et al. Inflammasome-dependent il-1β release depends upon membrane permeabilisation. Cell Death Differ. 2016, 23, 1219–1231. [Google Scholar] [CrossRef]
- Luan, J.; Chen, W.; Fan, J.; Wang, S.; Zhang, X.; Zai, W.; Jin, X.; Wang, Y.; Feng, Z.; Zhang, J.; et al. Gsdmd membrane pore is critical for il-1β release and antagonizing il-1β by hepatocyte-specific nanobiologics is a promising therapeutics for murine alcoholic steatohepatitis. Biomaterials 2020, 227, 119570. [Google Scholar] [CrossRef]
- Xia, S.; Zhang, Z.; Magupalli, V.G.; Pablo, J.L.; Dong, Y.; Vora, S.M.; Wang, L.; Fu, T.M.; Jacobson, M.P.; Greka, A.; et al. Gasdermin d pore structure reveals preferential release of mature interleukin-1. Nature 2021, 593, 607–611. [Google Scholar] [CrossRef]
- Fang, Z.; Wu, G.; Sheng, J.; Ye, B.; Huang, Z.; Xu, J.; Zhang, J.; Han, J.; Han, B.; Xu, J. Gasdermin d affects aortic vascular smooth muscle cell pyroptosis and ang ii-induced vascular remodeling. Heliyon 2023, 9, e16619. [Google Scholar] [CrossRef]
- Ye, B.; Fan, X.; Fang, Z.; Mao, C.; Lin, L.; Wu, J.; Zheng, W.; Cai, X.; Huang, W.; Lv, Y.; et al. Macrophage-derived gsdmd promotes abdominal aortic aneurysm and aortic smooth muscle cells pyroptosis. Int. Immunopharmacol. 2024, 128, 111554. [Google Scholar] [CrossRef]
- Liao, F.; Wang, L.; Wu, Z.; Luo, G.; Qian, Y.; He, X.; Ding, S.; Pu, J. Disulfiram protects against abdominal aortic aneurysm by ameliorating vascular smooth muscle cells pyroptosis. Cardiovasc. Drugs Ther. 2023, 37, 1–14. [Google Scholar] [CrossRef]
- Sun, L.; Wang, H.; Wang, Z.; He, S.; Chen, S.; Liao, D.; Wang, L.; Yan, J.; Liu, W.; Lei, X.; et al. Mixed lineage kinase domain-like protein mediates necrosis signaling downstream of rip3 kinase. Cell 2012, 148, 213–227. [Google Scholar] [CrossRef]
- He, F.; Zheng, G.; Hu, J.; Ge, W.; Ji, X.; Bradley, J.L.; Peberdy, M.A.; Ornato, J.P.; Tang, W. Necrosulfonamide improves post-resuscitation myocardial dysfunction via inhibiting pyroptosis and necroptosis in a rat model of cardiac arrest. Eur. J. Pharmacol. 2022, 926, 175037. [Google Scholar] [CrossRef]
- Zhang, J.; Wei, K. Necrosulfonamide reverses pyroptosis-induced inhibition of proliferation and differentiation of osteoblasts through the nlrp3/caspase-1/gsdmd pathway. Exp. Cell Res. 2021, 405, 112648. [Google Scholar] [CrossRef]
- Huang, B.; Zou, Z.; Li, Y.; Chen, H.; Lai, K.; Yuan, Y.; Xu, Y. Gasdermin d-mediated pyroptosis promotes the development of atherosclerosis. Lab. Investig. 2024, 104, 100337. [Google Scholar] [CrossRef]
- Puylaert, P.; Van Praet, M.; Vaes, F.; Neutel, C.H.G.; Roth, L.; Guns, P.J.; De Meyer, G.R.Y.; Martinet, W. Gasdermin d deficiency limits the transition of atherosclerotic plaques to an inflammatory phenotype in apoe knock-out mice. Biomedicines 2022, 10, 1171. [Google Scholar] [CrossRef]
- Ueda, S.; Chen-Yoshikawa, T.F.; Tanaka, S.; Yamada, Y.; Nakajima, D.; Ohsumi, A.; Date, H. Protective effect of necrosulfonamide on rat pulmonary ischemia-reperfusion injury via inhibition of necroptosis. J. Thorac. Cardiovasc. Surg. 2022, 163, e113–e122. [Google Scholar] [CrossRef]
- Khoury, M.K.; Zhou, T.; Yang, H.; Prince, S.R.; Gupta, K.; Stranz, A.R.; Wang, Q.; Liu, B. Gsk2593074a blocks progression of existing abdominal aortic dilation. JVS-Vasc. Sci. 2020, 1, 123–135. [Google Scholar] [CrossRef]








| Material/Reagent | Maker | Catalog Number | Clone Number | Working Solution Concentration or Dose |
|---|---|---|---|---|
| Apolipoprotein E-deficient mice | Nanjing Junke Bioengineering Ltd. | N/A | N/A | N/A |
| Human angiotensin II | MedChemExpress | HY-13948 | N/A | 1000 ng/min/kg |
| Alzet mini-osmotic pump | Durect Corportaion | 2004 | N/A | N/A |
| Necrosulfonamide | MedChemExpress | HY-100573 | N/A | 5 mg/kg |
| PEG300 | MedChemExpress | HY-Y0873 | N/A | N/A |
| Hematoxylin staining solution | Biosharp | BL702B | N/A | N/A |
| Eosin staining solution | Solarbio Science and Technology Co. | G1100 | N/A | N/A |
| Elastic Verhöeff Van Gieson stain kit | Leagene Biotechnology Co. | DC0059 | N/A | N/A |
| Masson’s trichrome stain kit | Solarbio Science and Technology Co. | G1340 | N/A | N/A |
| Oil Red O | Solarbio Science and Technology Co. | O8010 | N/A | 5 mg/mL |
| Mayer’s Hematoxylin stain solution | Solarbio Science and Technology Co. | G1080 | N/A | N/A |
| Mouse IL-1β ELISA kit | Solarbio Science and Technology Co. | SEKM-0002 | N/A | N/A |
| Mouse IL-18 ELISA kit | Solarbio Science and Technology Co. | SEKM-0019 | N/A | N/A |
| Total cholesterol assay kit | Nanjing jiancheng Bioengineering Institute | A111-1-1 | N/A | N/A |
| Triglycerides assay kit | Nanjing jiancheng Bioengineering Institute | A110-1-1 | N/A | N/A |
| Rat anti-mouse CD4 mAb | Biolegend Inc. | 100402 | GK 1.5 | 2.5 μg/mL |
| Rat anti-mouse CD8 mAb | Biolegend Inc. | 100702 | 53–6.7 | 2.5 μg/mL |
| Rat anti-mouse CD31 mAb | Biolegend Inc. | 102402 | 390 | 5.0 μg/mL |
| Rat anti-mouse CD68 mAb | Biolegend Inc. | 137002 | FA-11 | 2.5 μg/mL |
| Horseradish peroxidase-conjugated mouse anti-mouse smooth muscle cell α-actin mAb | Santa Cruz Biotechnology Co. | sc-32251 HRP | 1A4 | 4.0 μg/mL |
| Biotinylated rabbit anti-rat IgG antibody | Boster Biological Technology Co. | BA1005 | N/A | 5.0 μg/mL |
| Streptavidin–peroxidase conjugate | Solarbio Science and Technology Co. | SE068 | N/A | 5.0 μg/mL |
| AEC peroxidase substrate Kit | Sigma-Aldrich Crop. | AEC101 | N/A | N/A |
Disclaimer/Publisher’s Note: The statements, opinions and data contained in all publications are solely those of the individual author(s) and contributor(s) and not of MDPI and/or the editor(s). MDPI and/or the editor(s) disclaim responsibility for any injury to people or property resulting from any ideas, methods, instructions or products referred to in the content. |
© 2024 by the authors. Licensee MDPI, Basel, Switzerland. This article is an open access article distributed under the terms and conditions of the Creative Commons Attribution (CC BY) license (https://creativecommons.org/licenses/by/4.0/).
Share and Cite
Guo, J.; Zhang, Q.; Li, Z.; Qin, M.; Shi, J.; Wang, Y.; Ai, W.; Ju, J.; Samura, M.; Tsao, P.S.; et al. Gasdermin D Inhibitor Necrosulfonamide Alleviates Angiotensin II-Induced Abdominal Aortic Aneurysms in Apolipoprotein E-Deficient Mice. Biomolecules 2024, 14, 726. https://doi.org/10.3390/biom14060726
Guo J, Zhang Q, Li Z, Qin M, Shi J, Wang Y, Ai W, Ju J, Samura M, Tsao PS, et al. Gasdermin D Inhibitor Necrosulfonamide Alleviates Angiotensin II-Induced Abdominal Aortic Aneurysms in Apolipoprotein E-Deficient Mice. Biomolecules. 2024; 14(6):726. https://doi.org/10.3390/biom14060726
Chicago/Turabian StyleGuo, Jia, Qing Zhang, Zhidong Li, Min Qin, Jinyun Shi, Yan Wang, Wenjia Ai, Junjie Ju, Makoto Samura, Philip S Tsao, and et al. 2024. "Gasdermin D Inhibitor Necrosulfonamide Alleviates Angiotensin II-Induced Abdominal Aortic Aneurysms in Apolipoprotein E-Deficient Mice" Biomolecules 14, no. 6: 726. https://doi.org/10.3390/biom14060726
APA StyleGuo, J., Zhang, Q., Li, Z., Qin, M., Shi, J., Wang, Y., Ai, W., Ju, J., Samura, M., Tsao, P. S., & Xu, B. (2024). Gasdermin D Inhibitor Necrosulfonamide Alleviates Angiotensin II-Induced Abdominal Aortic Aneurysms in Apolipoprotein E-Deficient Mice. Biomolecules, 14(6), 726. https://doi.org/10.3390/biom14060726

