Dissecting Cytophagalysin: Structural and Biochemical Studies of a Bacterial Pappalysin-Family Metallopeptidase
Abstract
1. Introduction
2. Materials and Methods
2.1. Biocomputational Studies
2.2. Molecular Cloning of CPL1 Constructs
2.3. Protein Expression and Purification
2.4. Activation of CPL1
2.5. Activity Assessment by Zymography
2.6. Fluorometric Gelatinolytic Activity and Inhibition
2.7. Collagen Degradation Assay
2.8. Protein Crystallization Assays
3. Results and Discussion
3.1. Computational Prediction of the CPL1 Structure
3.2. Comparison with Proulilysin and Promirolysin
3.3. Eight C-Terminal Immunoglobulin-like Domains (D3–D10)
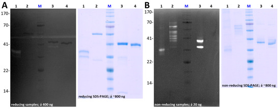
3.4. Recombinant Production of CPL1
3.5. Activation and Proteolytic Activity of CPL1
4. Conclusions
Supplementary Materials
Author Contributions
Funding
Institutional Review Board Statement
Informed Consent Statement
Data Availability Statement
Acknowledgments
Conflicts of Interest
Abbreviations
| ADAMs | adamalysins and a-disintegrin-and-metallopeptidase enzymes |
| AEBSF | 4-(2-aminoethyl)benzenesulfonyl fluoride |
| CD | catalytic domain |
| CPL1 | cythophagalysin from Cytophaga strain L43-1 |
| CSD | C-terminal subdomain |
| EDTA | ethylenediaminetetraacetate |
| FNIII | fibronectin type-III domain |
| Ig | immunoglobulin |
| Ig-like | immunoglobulin-like |
| IPTG | isopropyl-β-D-1-thiogalactopyranoside |
| LNKs | linkers |
| LOPAPs | lower pappalysins |
| MP | metallopeptidase |
| NSD | N-terminal subdomain |
| PDB | Protein Data Bank |
| pLDDT | predicted local-distance difference test |
| PS | prosegment |
| SDS-PAGE | sodium dodecylsulfate polyacrylamide gel electrophoresis |
| SEC | size-exclusion chromatography |
| SP | signal peptide |
| T9SS | type-IX secretion system |
| TEV | tobacco-etch virus peptidase |
| TLCK | N-tosyl-L-lysinyl chloromethyl ketone |
| TPCK | N-tosyl-L-phenylalanyl chloromethyl ketone |
| UP | UniProt database |
References
- Klein, T.; Eckhard, U.; Dufour, A.; Solis, N.; Overall, C.M. Proteolytic Cleavage-Mechanisms, Function, and “Omic” Approaches for a Near-Ubiquitous Posttranslational Modification. Chem. Rev. 2018, 118, 1137–1168. [Google Scholar] [CrossRef]
- Fushimi, N.; Ee, C.E.; Nakajima, T.; Ichishima, E. Aspzincin, a Family of Metalloendopeptidases with a New Zinc-Binding Motif. Identification of New Zinc-Binding Sites (His128, His132, and Asp164) and Three Catalytically Crucial Residues (Glu129, Asp143, and Tyr106) of Deuterolysin from Aspergillus Oryzae by Site-Directed Mutagenesis. J. Biol. Chem. 1999, 274, 24195–24201. [Google Scholar] [CrossRef] [PubMed]
- Hooper, N.M. Families of Zinc Metalloproteases. FEBS Lett. 1994, 354, 1–6. [Google Scholar] [CrossRef]
- Bode, W.; Gomis-Rüth, F.X.; Stöcker, W. Astacins, Serralysins, Snake Venom and Matrix Metalloproteinases Exhibit Identical Zinc-Binding Environments (HEXXHXXGXXH and Met-Turn) and Topologies and Should Be Grouped into a Common Family, the ‘metzincins’. FEBS Lett. 1993, 331, 134–140. [Google Scholar] [CrossRef]
- Schneider, J.S.; Glickman, M.S. Function of Site-2 Proteases in Bacteria and Bacterial Pathogens. Biochim. Biophys. Acta 2013, 1828, 2808–2814. [Google Scholar] [CrossRef]
- Cerdà-Costa, N.; Gomis-Rüth, F.X. Architecture and Function of Metallopeptidase Catalytic Domains. Protein Sci. Publ. Protein Soc. 2014, 23, 123–144. [Google Scholar] [CrossRef]
- Langklotz, S.; Baumann, U.; Narberhaus, F. Structure and Function of the Bacterial AAA Protease FtsH. Biochim. Biophys. Acta 2012, 1823, 40–48. [Google Scholar] [CrossRef] [PubMed]
- Becker, A.; Schlichting, I.; Kabsch, W.; Groche, D.; Schultz, S.; Wagner, A.F. Iron Center, Substrate Recognition and Mechanism of Peptide Deformylase. Nat. Struct. Biol. 1998, 5, 1053–1058. [Google Scholar] [CrossRef] [PubMed]
- Arolas, J.L.; Goulas, T.; Cuppari, A.; Gomis-Rüth, F.X. Multiple Architectures and Mechanisms of Latency in Metallopeptidase Zymogens. Chem. Rev. 2018, 118, 5581–5597. [Google Scholar] [CrossRef]
- Yiallouros, I.; Grosse Berkhoff, E.; Stöcker, W. The Roles of Glu93 and Tyr149 in Astacin-like Zinc Peptidases. FEBS Lett. 2000, 484, 224–228. [Google Scholar] [CrossRef]
- Auld, D.S. Chapter 78—Catalytic Mechanisms for Metallopeptidases. In Handbook of Proteolytic Enzymes; Rawlings, N.D., Salvesen, G.S., Eds.; Academic Press: Oxford, UK, 2013; Volume 1, pp. 370–396. [Google Scholar]
- Kobberø, S.D.; Gajhede, M.; Mirza, O.A.; Kløverpris, S.; Kjær, T.R.; Mikkelsen, J.H.; Boesen, T.; Oxvig, C. Structure of the Proteolytic Enzyme PAPP-A with the Endogenous Inhibitor Stanniocalcin-2 Reveals Its Inhibitory Mechanism. Nat. Commun. 2022, 13, 6084. [Google Scholar] [CrossRef] [PubMed]
- Gomis-Rüth, F.X. Structural Aspects of the Metzincin Clan of Metalloendopeptidases. Mol. Biotechnol. 2003, 24, 157–202. [Google Scholar] [CrossRef]
- Gomis-Rüth, F.X. Catalytic Domain Architecture of Metzincin Metalloproteases. J. Biol. Chem. 2009, 284, 15353–15357. [Google Scholar] [CrossRef] [PubMed]
- Gomis-Rüth, F.X.; Botelho, T.O.; Bode, W. A Standard Orientation for Metallopeptidases. Biochim. Biophys. Acta 2012, 1824, 157–163. [Google Scholar] [CrossRef] [PubMed]
- Boldt, H.B.; Overgaard, M.T.; Laursen, L.S.; Weyer, K.; Sottrup-Jensen, L.; Oxvig, C. Mutational Analysis of the Proteolytic Domain of Pregnancy-Associated Plasma Protein-A (PAPP-A): Classification as a Metzincin. Biochem. J. 2001, 358, 359–367. [Google Scholar] [CrossRef]
- Lawrence, J.B.; Oxvig, C.; Overgaard, M.T.; Sottrup-Jensen, L.; Gleich, G.J.; Hays, L.G.; Yates, J.R., 3rd; Conover, C.A. The Insulin-like Growth Factor (IGF)-Dependent IGF Binding Protein-4 Protease Secreted by Human Fibroblasts Is Pregnancy-Associated Plasma Protein-A. Proc. Natl. Acad. Sci. USA 1999, 96, 3149–3153. [Google Scholar] [CrossRef] [PubMed]
- Oxvig, C. The Role of PAPP-A in the IGF System: Location, Location, Location. J. Cell Commun. Signal. 2015, 9, 177–187. [Google Scholar] [CrossRef] [PubMed]
- Judge, R.A.; Sridar, J.; Tunyasuvunakool, K.; Jain, R.; Wang, J.C.K.; Ouch, C.; Xu, J.; Mafi, A.; Nile, A.H.; Remarcik, C.; et al. Structure of the PAPP-ABP5 Complex Reveals Mechanism of Substrate Recognition. Nat. Commun. 2022, 13, 5500. [Google Scholar] [CrossRef]
- Rawlings, N.D.; Bateman, A. How to Use the MEROPS Database and Website to Help Understand Peptidase Specificity. Protein Sci. Publ. Protein Soc. 2021, 30, 83–92. [Google Scholar] [CrossRef]
- Rodríguez-Banqueri, A.; Moliner-Culubret, M.; Mendes, S.R.; Guevara, T.; Eckhard, U.; Gomis-Rüth, F.X. Structural Insights into Latency of the Metallopeptidase Ulilysin (lysargiNase) and Its Unexpected Inhibition by a Sulfonyl-Fluoride Inhibitor of Serine Peptidases. Dalton Trans. 2023, 52, 3610–3622. [Google Scholar] [CrossRef]
- Tallant, C.; García-Castellanos, R.; Seco, J.; Baumann, U.; Gomis-Rüth, F.X. Molecular Analysis of Ulilysin, the Structural Prototype of a New Family of Metzincin Metalloproteases. J. Biol. Chem. 2006, 281, 17920–17928. [Google Scholar] [CrossRef]
- Guevara, T.; Rodriguez-Banqueri, A.; Ksiazek, M.; Potempa, J.; Gomis-Rüth, F.X. Structure-Based Mechanism of Cysteine-Switch Latency and of Catalysis by Pappalysin-Family Metallopeptidases. IUCrJ 2020, 7, 18–29. [Google Scholar] [CrossRef]
- Tallant, C.; García-Castellanos, R.; Marrero, A.; Canals, F.; Yang, Y.; Reymond, J.-L.; Solà, M.; Baumann, U.; Gomis-Rüth, F.X. Activity of Ulilysin, an Archaeal PAPP-A-Related Gelatinase and IGFBP Protease. Biol. Chem. 2007, 388, 1243–1253. [Google Scholar] [CrossRef] [PubMed]
- García-Castellanos, R.; Tallant, C.; Marrero, A.; Solà, M.; Baumann, U.; Gomis-Rüth, F.X. Substrate Specificity of a Metalloprotease of the Pappalysin Family Revealed by an Inhibitor and a Product Complex. Arch. Biochem. Biophys. 2007, 457, 57–72. [Google Scholar] [CrossRef] [PubMed]
- Tallant, C.; García-Castellanos, R.; Baumann, U.; Gomis-Rüth, F.X. On the Relevance of the Met-Turn Methionine in Metzincins. J. Biol. Chem. 2010, 285, 13951–13957. [Google Scholar] [CrossRef]
- Zak, K.M.; Bostock, M.J.; Waligorska, I.; Thøgersen, I.B.; Enghild, J.J.; Popowicz, G.M.; Grudnik, P.; Potempa, J.; Ksiazek, M. Latency, Thermal Stability, and Identification of an Inhibitory Compound of Mirolysin, a Secretory Protease of the Human Periodontopathogen Tannerella Forsythia. J. Enzyme Inhib. Med. Chem. 2021, 36, 1267–1281. [Google Scholar] [CrossRef] [PubMed]
- Huesgen, P.F.; Lange, P.F.; Rogers, L.D.; Solis, N.; Eckhard, U.; Kleifeld, O.; Goulas, T.; Gomis-Rüth, F.X.; Overall, C.M. LysargiNase Mirrors Trypsin for Protein C-Terminal and Methylation-Site Identification. Nat. Methods 2015, 12, 55–58. [Google Scholar] [CrossRef] [PubMed]
- Manson, J.M.; Rauch, M.; Gilmore, M.S. The Commensal Microbiology of the Gastrointestinal Tract. Adv. Exp. Med. Biol. 2008, 635, 15–28. [Google Scholar] [CrossRef]
- Flint, H.J.; Duncan, S.H. Bacteroides and Prevotella. In Encyclopedia of Food Microbiology; Batt, C.A., Tortorello, M.L., Eds.; Academic Press: New York, NY, USA; Elsevier Ltd.: Amsterdam, The Netherlands, 2014; Volume 1, pp. 203–208. ISBN 978-0-12-384733-1. [Google Scholar]
- Nakayama, H.; Tanaka, K.; Teramura, N.; Hattori, S. Expression of Collagenase in Flavobacterium psychrophilum Isolated from Cold-Water Disease-Affected Ayu (Plecoglossus altivelis). Biosci. Biotechnol. Biochem. 2016, 80, 135–144. [Google Scholar] [CrossRef] [PubMed]
- Sasagawa, Y.; Kamio, Y.; Matsubara, Y.; Matsubara, Y.; Suzuki, K.; Kojima, H.; Izaki, K. Purification and Properties of Collagenase from Cytophaga sp. L43-1 Strain. Biosci. Biotechnol. Biochem. 1993, 57, 1894–1898. [Google Scholar] [CrossRef]
- Sasagawa, Y.; Izaki, K.; Matsubara, Y.; Suzuki, K.; Kojima, H.; Kamio, Y. Molecular Cloning and Sequence Analysis of the Gene Encoding the Collagenase from Cytophaga Sp. L43-1 Strain. Biosci. Biotechnol. Biochem. 1995, 59, 2068–2073. [Google Scholar] [CrossRef]
- Kamio, Y.; Sasagawa, Y. Chapter 269—Cytophagalysin. In Handbook of Proteolytic Enzymes, 3rd ed.; Rawlings, N.D., Salvesen, G., Eds.; Academic Press: New York, NY, USA, 2013; pp. 1207–1208. ISBN 978-0-12-382219-2. [Google Scholar]
- UniProt Consortium UniProt: The Universal Protein Knowledgebase in 2021. Nucleic Acids Res. 2021, 49, D480–D489. [CrossRef] [PubMed]
- Pérez-Pascual, D.; Lunazzi, A.; Magdelenat, G.; Rouy, Z.; Roulet, A.; Lopez-Roques, C.; Larocque, R.; Barbeyron, T.; Gobet, A.; Michel, G.; et al. The Complete Genome Sequence of the Fish Pathogen Tenacibaculum Maritimum Provides Insights into Virulence Mechanisms. Front. Microbiol. 2017, 8, 1542. [Google Scholar] [CrossRef] [PubMed]
- Altschul, S.F.; Gish, W.; Miller, W.; Myers, E.W.; Lipman, D.J. Basic Local Alignment Search Tool. J. Mol. Biol. 1990, 215, 403–410. [Google Scholar] [CrossRef]
- Corpet, F. Multiple Sequence Alignment with Hierarchical Clustering. Nucleic Acids Res. 1988, 16, 10881–10890. [Google Scholar] [CrossRef]
- Jumper, J.; Evans, R.; Pritzel, A.; Green, T.; Figurnov, M.; Ronneberger, O.; Tunyasuvunakool, K.; Bates, R.; Žídek, A.; Potapenko, A.; et al. Highly Accurate Protein Structure Prediction with AlphaFold. Nature 2021, 596, 583–589. [Google Scholar] [CrossRef]
- Bryant, P.; Pozzati, G.; Elofsson, A. Improved Prediction of Protein-Protein Interactions Using AlphaFold2. Nat. Commun. 2022, 13, 1265. [Google Scholar] [CrossRef]
- Mariani, V.; Biasini, M.; Barbato, A.; Schwede, T. lDDT: A Local Superposition-Free Score for Comparing Protein Structures and Models Using Distance Difference Tests. Bioinforma. Oxf. Engl. 2013, 29, 2722–2728. [Google Scholar] [CrossRef]
- Tunyasuvunakool, K.; Adler, J.; Wu, Z.; Green, T.; Zielinski, M.; Žídek, A.; Bridgland, A.; Cowie, A.; Meyer, C.; Laydon, A.; et al. Highly Accurate Protein Structure Prediction for the Human Proteome. Nature 2021, 596, 590–596. [Google Scholar] [CrossRef]
- Casañal, A.; Lohkamp, B.; Emsley, P. Current Developments in Coot for Macromolecular Model Building of Electron Cryo-Microscopy and Crystallographic Data. Protein Sci. 2020, 29, 1069–1078. [Google Scholar] [CrossRef] [PubMed]
- Liebschner, D.; Afonine, P.V.; Baker, M.L.; Bunkóczi, G.; Chen, V.B.; Croll, T.I.; Hintze, B.; Hung, L.W.; Jain, S.; McCoy, A.J.; et al. Macromolecular Structure Determination Using X-Rays, Neutrons and Electrons: Recent Developments in Phenix. Acta Crystallogr. Sect. Struct. Biol. 2019, 75, 861–877. [Google Scholar] [CrossRef]
- Prisant, M.G.; Williams, C.J.; Chen, V.B.; Richardson, J.S.; Richardson, D.C. New Tools in MolProbity Validation: CaBLAM for CryoEM Backbone, UnDowser to Rethink “Waters,” and NGL Viewer to Recapture Online 3D Graphics. Protein Sci. Publ. Protein Soc. 2020, 29, 315–329. [Google Scholar] [CrossRef] [PubMed]
- Krissinel, E.; Henrick, K. Inference of Macromolecular Assemblies from Crystalline State. J. Mol. Biol. 2007, 372, 774–797. [Google Scholar] [CrossRef]
- Krissinel, E.; Henrick, K. Secondary-Structure Matching (SSM), a New Tool for Fast Protein Structure Alignment in Three Dimensions. Acta Crystallogr. D Biol. Crystallogr. 2004, 60, 2256–2268. [Google Scholar] [CrossRef] [PubMed]
- Holm, L.; Laiho, A.; Törönen, P.; Salgado, M. DALI Shines a Light on Remote Homologs: One Hundred Discoveries. Protein Sci. Publ. Protein Soc. 2023, 32, e4519. [Google Scholar] [CrossRef]
- Huang, C.C.; Meng, E.C.; Morris, J.H.; Pettersen, E.F.; Ferrin, T.E. Enhancing UCSF Chimera through Web Services. Nucleic Acids Res. 2014, 42, W478–W484. [Google Scholar] [CrossRef]
- DeLano, W.L. The Case for Open-Source Software in Drug Discovery. Drug Discov. Today 2005, 10, 213–217. [Google Scholar] [CrossRef] [PubMed]
- Silva, D.; Santos, G.; Barroca, M.; Collins, T. Inverse PCR for Point Mutation Introduction. Methods Mol. Biol. 2017, 1620, 87–100. [Google Scholar] [CrossRef]
- Goulas, T.; Cuppari, A.; Garcia-Castellanos, R.; Snipas, S.; Glockshuber, R.; Arolas, J.L.; Gomis-Rüth, F.X. The pCri System: A Vector Collection for Recombinant Protein Expression and Purification. PLoS ONE 2014, 9, e112643. [Google Scholar] [CrossRef]
- Inoue, H.; Nojima, H.; Okayama, H. High Efficiency Transformation of Escherichia Coli with Plasmids. Gene 1990, 96, 23–28. [Google Scholar] [CrossRef] [PubMed]
- Bertani, G. Studies on Lysogenesis. I. The Mode of Phage Liberation by Lysogenic Escherichia Coli. J. Bacteriol. 1951, 62, 293–300. [Google Scholar] [CrossRef] [PubMed]
- Artimo, P.; Jonnalagedda, M.; Arnold, K.; Baratin, D.; Csardi, G.; de Castro, E.; Duvaud, S.; Flegel, V.; Fortier, A.; Gasteiger, E.; et al. ExPASy: SIB Bioinformatics Resource Portal. Nucleic Acids Res. 2012, 40, W597–W603. [Google Scholar] [CrossRef]
- Wilkins, M.R.; Gasteiger, E.; Bairoch, A.; Sanchez, J.C.; Williams, K.L.; Appel, R.D.; Hochstrasser, D.F. Protein Identification and Analysis Tools in the ExPASy Server. Methods Mol. Biol. 1999, 112, 531–552. [Google Scholar] [CrossRef] [PubMed]
- Read, R.J.; Baker, E.N.; Bond, C.S.; Garman, E.F.; van Raaij, M.J. AlphaFold and the Future of Structural Biology. IUCrJ 2023, 10, 377–379. [Google Scholar] [CrossRef] [PubMed]
- Varadi, M.; Anyango, S.; Deshpande, M.; Nair, S.; Natassia, C.; Yordanova, G.; Yuan, D.; Stroe, O.; Wood, G.; Laydon, A.; et al. AlphaFold Protein Structure Database: Massively Expanding the Structural Coverage of Protein-Sequence Space with High-Accuracy Models. Nucleic Acids Res. 2022, 50, D439–D444. [Google Scholar] [CrossRef] [PubMed]
- Janin, J.; Bahadur, R.P.; Chakrabarti, P. Protein-Protein Interaction and Quaternary Structure. Q. Rev. Biophys. 2008, 41, 133–180. [Google Scholar] [CrossRef] [PubMed]
- Springman, E.B.; Angleton, E.L.; Birkedal-Hansen, H.; Van Wart, H.E. Multiple Modes of Activation of Latent Human Fibroblast Collagenase: Evidence for the Role of a Cys73 Active-Site Zinc Complex in Latency and a “Cysteine Switch” Mechanism for Activation. Proc. Natl. Acad. Sci. USA 1990, 87, 364–368. [Google Scholar] [CrossRef]
- Milla, M.E.; Gonzales, P.E.; Leonard, J.D. The TACE Zymogen: Re-Examining the Role of the Cysteine Switch. Cell Biochem. Biophys. 2006, 44, 342–348. [Google Scholar] [CrossRef]
- Gomis-Rüth, F.X.; Stöcker, W. Structural and Evolutionary Insights into Astacin Metallopeptidases. Front. Mol. Biosci. 2022, 9, 1080836. [Google Scholar] [CrossRef]
- Eckhard, U.; Huesgen, P.F.; Schilling, O.; Bellac, C.L.; Butler, G.S.; Cox, J.H.; Dufour, A.; Goebeler, V.; Kappelhoff, R.; Keller, U.a.d.; et al. Active Site Specificity Profiling of the Matrix Metalloproteinase Family: Proteomic Identification of 4300 Cleavage Sites by Nine MMPs Explored with Structural and Synthetic Peptide Cleavage Analyses. Matrix Biol. J. Int. Soc. Matrix Biol. 2016, 49, 37–60. [Google Scholar] [CrossRef]
- Gomis-Rüth, F.X.; Kress, L.F.; Bode, W. First Structure of a Snake Venom Metalloproteinase: A Prototype for Matrix Metalloproteinases/Collagenases. EMBO J. 1993, 12, 4151–4157. [Google Scholar] [CrossRef] [PubMed]
- Goulas, T.; Arolas, J.L.; Gomis-Rüth, F.X. Structure, Function and Latency Regulation of a Bacterial Enterotoxin Potentially Derived from a Mammalian Adamalysin/ADAM Xenolog. Proc. Natl. Acad. Sci. USA 2011, 108, 1856–1861. [Google Scholar] [CrossRef] [PubMed]
- Jimenez-Alesanco, A.; Eckhard, U.; Asencio Del Rio, M.; Vega, S.; Guevara, T.; Velazquez-Campoy, A.; Gomis-Rüth, F.X.; Abian, O. Repositioning Small Molecule Drugs as Allosteric Inhibitors of the BFT-3 Toxin from Enterotoxigenic Bacteroides Fragilis. Protein Sci. Publ. Protein Soc. 2022, 31, e4427. [Google Scholar] [CrossRef]
- Bork, P.; Holm, L.; Sander, C. The Immunoglobulin Fold. Structural Classification, Sequence Patterns and Common Core. J. Mol. Biol. 1994, 242, 309–320. [Google Scholar] [CrossRef]
- Halaby, D.M.; Poupon, A.; Mornon, J. The Immunoglobulin Fold Family: Sequence Analysis and 3D Structure Comparisons. Protein Eng. 1999, 12, 563–571. [Google Scholar] [CrossRef]
- Berisio, R.; Ciccarelli, L.; Squeglia, F.; de Simone, A.; Vitagliano, L. Structural and Dynamic Properties of Incomplete Immunoglobulin-like Fold Domains. Protein Pept. Lett. 2012, 19, 1045–1053. [Google Scholar] [CrossRef] [PubMed]
- Chidyausiku, T.M.; Mendes, S.R.; Klima, J.C.; Nadal, M.; Eckhard, U.; Roel-Touris, J.; Houliston, S.; Guevara, T.; Haddox, H.K.; Moyer, A.; et al. De Novo Design of Immunoglobulin-like Domains. Nat. Commun. 2022, 13, 5661. [Google Scholar] [CrossRef] [PubMed]
- Roel-Touris, J.; Nadal, M.; Marcos, E. Single-Chain Dimers from de Novo Immunoglobulins as Robust Scaffolds for Multiple Binding Loops. Nat. Commun. 2023, 14, 5939. [Google Scholar] [CrossRef] [PubMed]
- Itoh, T.; Hibi, T.; Suzuki, F.; Sugimoto, I.; Fujiwara, A.; Inaka, K.; Tanaka, H.; Ohta, K.; Fujii, Y.; Taketo, A.; et al. Crystal Structure of Chitinase ChiW from Paenibacillus Sp. Str. FPU-7 Reveals a Novel Type of Bacterial Cell-Surface-Expressed Multi-Modular Enzyme Machinery. PLoS ONE 2016, 11, e0167310. [Google Scholar] [CrossRef]
- Bielecki, M.; Antonyuk, S.; Strange, R.W.; Smalley, J.W.; Mackiewicz, P.; Smiga, M.; Stepien, P.; Olczak, M.; Olczak, T. Tannerella Forsythia Tfo Belongs to Porphyromonas Gingivalis HmuY-like Family of Proteins but Differs in Heme-Binding Properties. Biosci. Rep. 2018, 38, BSR20181325. [Google Scholar] [CrossRef]
- Elsliger, M.-A.; Deacon, A.M.; Godzik, A.; Lesley, S.A.; Wooley, J.; Wüthrich, K.; Wilson, I.A. The JCSG High-Throughput Structural Biology Pipeline. Acta Crystallograph. Sect. F Struct. Biol. Cryst. Commun. 2010, 66, 1137–1142. [Google Scholar] [CrossRef]
- Boucher, L.; Somani, S.; Negron, C.; Ma, W.; Jacobs, S.; Chan, W.; Malia, T.; Obmolova, G.; Teplyakov, A.; Gilliland, G.L.; et al. Surface Salt Bridges Contribute to the Extreme Thermal Stability of an FN3-like Domain from a Thermophilic Bacterium. Proteins 2022, 90, 270–281. [Google Scholar] [CrossRef]
- Leahy, D.J.; Hendrickson, W.A.; Aukhil, I.; Erickson, H.P. Structure of a Fibronectin Type III Domain from Tenascin Phased by MAD Analysis of the Selenomethionyl Protein. Science 1992, 258, 987–991. [Google Scholar] [CrossRef]
- Steward, A.; Adhya, S.; Clarke, J. Sequence Conservation in Ig-like Domains: The Role of Highly Conserved Proline Residues in the Fibronectin Type III Superfamily. J. Mol. Biol. 2002, 318, 935–940. [Google Scholar] [CrossRef] [PubMed]
- Keep, N.H.; Barnes, M.; Barsukov, I.; Badii, R.; Lian, L.Y.; Segal, A.W.; Moody, P.C.; Roberts, G.C. A Modulator of Rho Family G Proteins, rhoGDI, Binds These G Proteins via an Immunoglobulin-like Domain and a Flexible N-Terminal Arm. Structure 1997, 5, 623–633. [Google Scholar] [CrossRef] [PubMed]
- Hoffman, G.R.; Nassar, N.; Cerione, R.A. Structure of the Rho Family GTP-Binding Protein Cdc42 in Complex with the Multifunctional Regulator RhoGDI. Cell 2000, 100, 345–356. [Google Scholar] [CrossRef]
- Jenner, L.; Husted, L.; Thirup, S.; Sottrup-Jensen, L.; Nyborg, J. Crystal Structure of the Receptor-Binding Domain of α2-Macroglobulin. Structure 1998, 6, 595–604. [Google Scholar] [CrossRef]
- Marrero, A.; Duquerroy, S.; Trapani, S.; Goulas, T.; Guevara, T.; Andersen, G.R.; Navaza, J.; Sottrup-Jensen, L.; Gomis-Rüth, F.X. The Crystal Structure of Human A2-Macroglobulin Reveals a Unique Molecular Cage. Angew. Chem. Int. Ed. Engl. 2012, 51, 3340–3344. [Google Scholar] [CrossRef] [PubMed]
- Luque, D.; Goulas, T.; Mata, C.P.; Mendes, S.R.; Gomis-Rüth, F.X.; Castón, J.R. Cryo-EM Structures Show the Mechanistic Basis of Pan-Peptidase Inhibition by Human A2-Macroglobulin. Proc. Natl. Acad. Sci. USA 2022, 119, e2200102119. [Google Scholar] [CrossRef]
- de Diego, I.; Ksiazek, M.; Mizgalska, D.; Koneru, L.; Golik, P.; Szmigielski, B.; Nowak, M.; Nowakowska, Z.; Potempa, B.; Houston, J.A.; et al. The Outer-Membrane Export Signal of Porphyromonas Gingivalis Type IX Secretion System (T9SS) Is a Conserved C-Terminal β-Sandwich Domain. Sci. Rep. 2016, 6, 23123. [Google Scholar] [CrossRef] [PubMed]
- Lasica, A.M.; Ksiazek, M.; Madej, M.; Potempa, J. The Type IX Secretion System (T9SS): Highlights and Recent Insights into Its Structure and Function. Front. Cell. Infect. Microbiol. 2017, 7, 215. [Google Scholar] [CrossRef]
- Mizgalska, D.; Rodríguez-Banqueri, A.; Veillard, F.; Książęk, M.; Goulas, T.; Guevara, T.; Eckhard, U.; Potempa, J.; Gomis-Rüth, F.X. Structural and Functional Insights into the C-Terminal Signal Domain of the Bacteroidetes Type-IX Secretion System. Open Biol. 2024, 14, 230448. [Google Scholar] [CrossRef]
- Mizgalska, D.; Goulas, T.; Rodríguez-Banqueri, A.; Veillard, F.; Madej, M.; Małecka, E.; Szczesniak, K.; Ksiazek, M.; Widziołek, M.; Guevara, T.; et al. Intermolecular Latency Regulates the Essential C-Terminal Signal Peptidase and Sortase of the Porphyromonas Gingivalis Type-IX Secretion System. Proc. Natl. Acad. Sci. USA 2021, 118, e2103573118. [Google Scholar] [CrossRef] [PubMed]
- Gao, L.; Guan, Z.; Gao, P.; Zhang, W.; Qi, Q.; Lu, X. Cytophaga Hutchinsonii gldN, Encoding a Core Component of the Type IX Secretion System, Is Essential for Ion Assimilation, Cellulose Degradation, and Cell Motility. Appl. Environ. Microbiol. 2020, 86, e00242-20. [Google Scholar] [CrossRef] [PubMed]
- Gao, L.; Tan, Y.; Zhang, W.; Qi, Q.; Lu, X. Cytophaga Hutchinsonii SprA and SprT Are Essential Components of the Type IX Secretion System Required for Ca2+ Acquisition, Cellulose Degradation, and Cell Motility. Front. Microbiol. 2021, 12, 628555. [Google Scholar] [CrossRef] [PubMed]
- Zhu, Y.; McBride, M.J. Deletion of the Cytophaga Hutchinsonii Type IX Secretion System Gene sprP Results in Defects in Gliding Motility and Cellulose Utilization. Appl. Microbiol. Biotechnol. 2014, 98, 763–775. [Google Scholar] [CrossRef] [PubMed]
- Gao, L.; Su, Y.; Song, W.; Zhang, W.; Qi, Q.; Lu, X. A Type IX Secretion System Substrate Involved in Crystalline Cellulose Degradation by Affecting Crucial Cellulose Binding Proteins in Cytophaga Hutchinsonii. Appl. Environ. Microbiol. 2022, 88, e0183721. [Google Scholar] [CrossRef]
- Eckhard, U.; Schönauer, E.; Nüss, D.; Brandstetter, H. Structure of Collagenase G Reveals a Chew-and-Digest Mechanism of Bacterial Collagenolysis. Nat. Struct. Mol. Biol. 2011, 18, 1109–1114. [Google Scholar] [CrossRef] [PubMed]
- Eckhard, U.; Schönauer, E.; Brandstetter, H. Structural Basis for Activity Regulation and Substrate Preference of Clostridial Collagenases G, H, and T. J. Biol. Chem. 2013, 288, 20184–20194. [Google Scholar] [CrossRef]
- Itoh, Y.; Ito, N.; Nagase, H.; Evans, R.D.; Bird, S.A.; Seiki, M. Cell Surface Collagenolysis Requires Homodimerization of the Membrane-Bound Collagenase MT1-MMP. Mol. Biol. Cell 2006, 17, 5390–5399. [Google Scholar] [CrossRef] [PubMed]
- Nagai, Y.; Lapiere, C.M.; Gross, J. Tadpole Collagenase. Prep. Purif. Biochem. 1966, 5, 3123–3130. [Google Scholar] [CrossRef]
- Moon, P.C.; Weaver, J.; Brooks, C.N. Review of Matrix Metalloproteinases’ Effect on the Hybrid Dentin Bond Layer Stability and Chlorhexidine Clinical Use to Prevent Bond Failure. Open Dent. J. 2010, 4, 147–152. [Google Scholar] [CrossRef]






Disclaimer/Publisher’s Note: The statements, opinions and data contained in all publications are solely those of the individual author(s) and contributor(s) and not of MDPI and/or the editor(s). MDPI and/or the editor(s) disclaim responsibility for any injury to people or property resulting from any ideas, methods, instructions or products referred to in the content. |
© 2024 by the authors. Licensee MDPI, Basel, Switzerland. This article is an open access article distributed under the terms and conditions of the Creative Commons Attribution (CC BY) license (https://creativecommons.org/licenses/by/4.0/).
Share and Cite
Estevan-Morió, E.; Ramírez-Larrota, J.S.; Bushi, E.; Eckhard, U. Dissecting Cytophagalysin: Structural and Biochemical Studies of a Bacterial Pappalysin-Family Metallopeptidase. Biomolecules 2024, 14, 1604. https://doi.org/10.3390/biom14121604
Estevan-Morió E, Ramírez-Larrota JS, Bushi E, Eckhard U. Dissecting Cytophagalysin: Structural and Biochemical Studies of a Bacterial Pappalysin-Family Metallopeptidase. Biomolecules. 2024; 14(12):1604. https://doi.org/10.3390/biom14121604
Chicago/Turabian StyleEstevan-Morió, Eva, Juan Sebastián Ramírez-Larrota, Enkela Bushi, and Ulrich Eckhard. 2024. "Dissecting Cytophagalysin: Structural and Biochemical Studies of a Bacterial Pappalysin-Family Metallopeptidase" Biomolecules 14, no. 12: 1604. https://doi.org/10.3390/biom14121604
APA StyleEstevan-Morió, E., Ramírez-Larrota, J. S., Bushi, E., & Eckhard, U. (2024). Dissecting Cytophagalysin: Structural and Biochemical Studies of a Bacterial Pappalysin-Family Metallopeptidase. Biomolecules, 14(12), 1604. https://doi.org/10.3390/biom14121604

