Neuroradiological Findings in Cerebral Amyloid Angiopathy with a Particular Consideration of the Boston Criteria 2.0: An Imaging Review
Abstract
1. Background
2. Diagnosis
3. Histopathological Findings
4. Clinical Criteria
5. Neuroradiological Criteria
5.1. Hemorrhagic Lesions
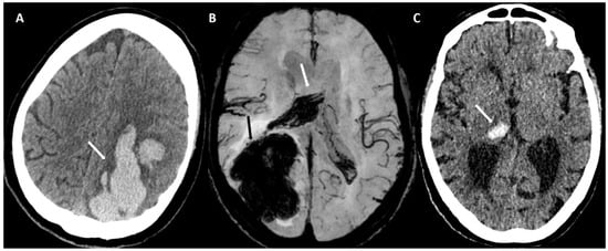
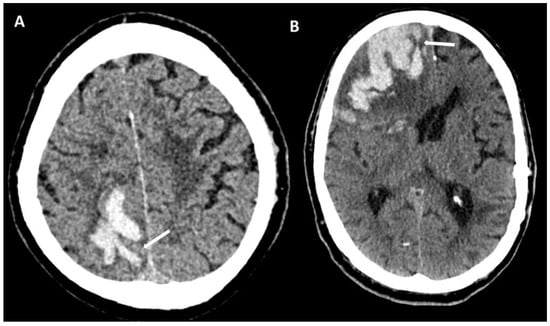
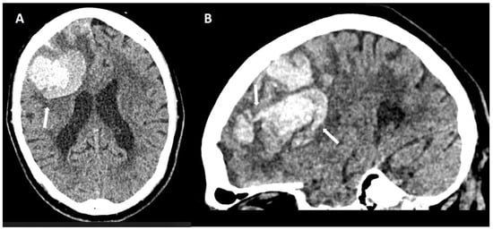
5.1.1. Lobar Hemorrhages
5.1.2. Multiple Cerebral Microbleeds
5.1.3. Convexity Subarachnoid Hemorrhage
5.1.4. Cortical Superficial Siderosis
5.2. Non-Hemorrhagic Lesions
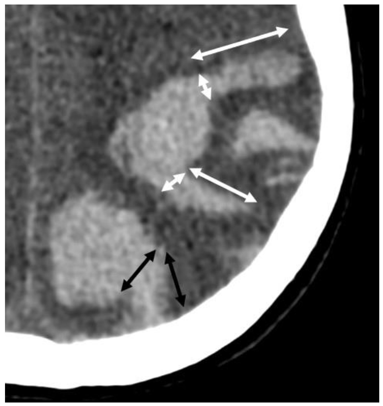
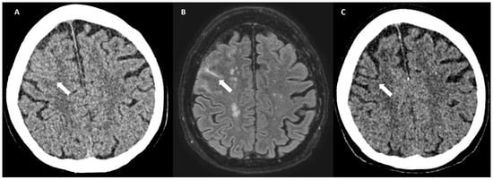
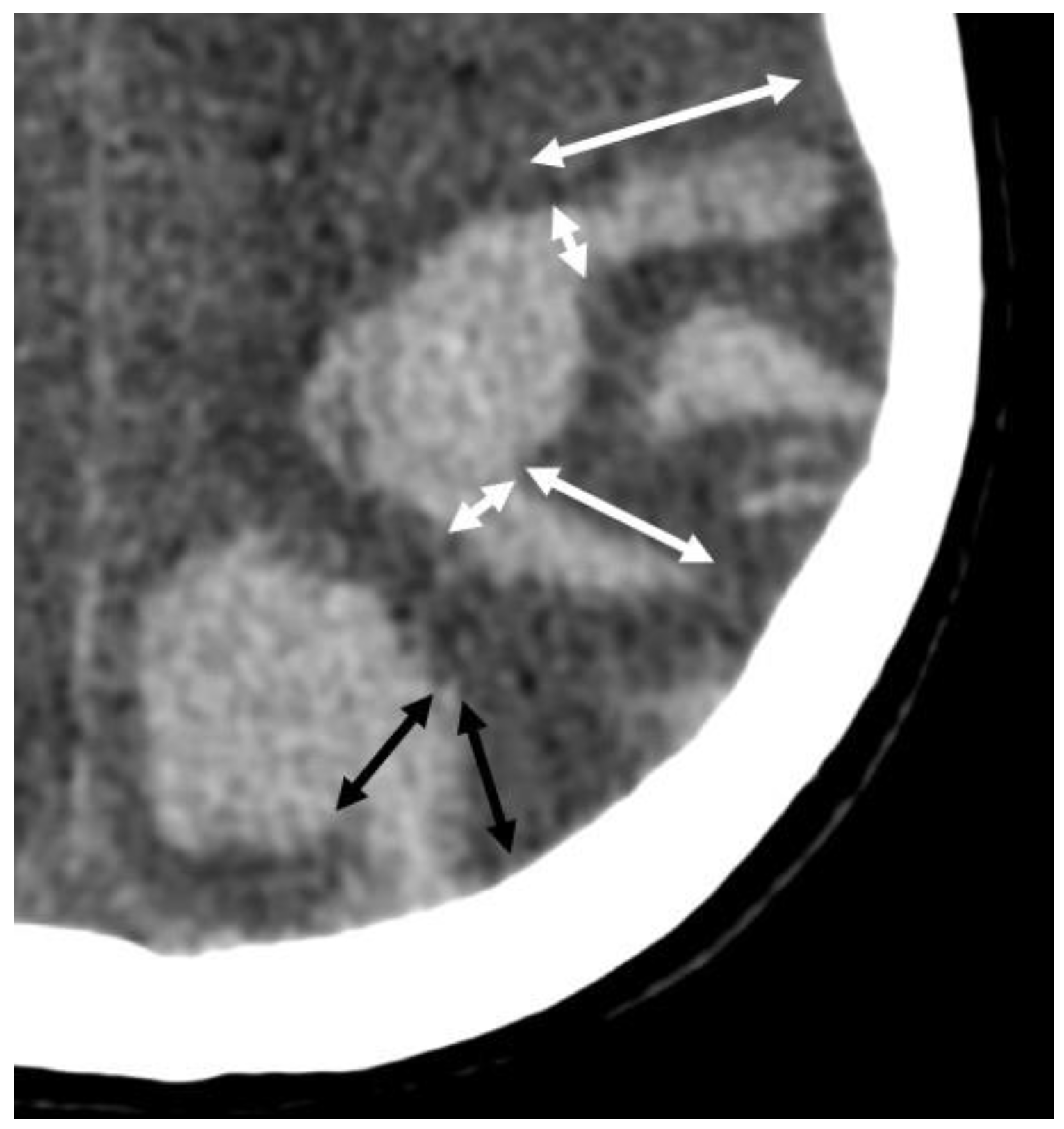
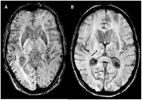
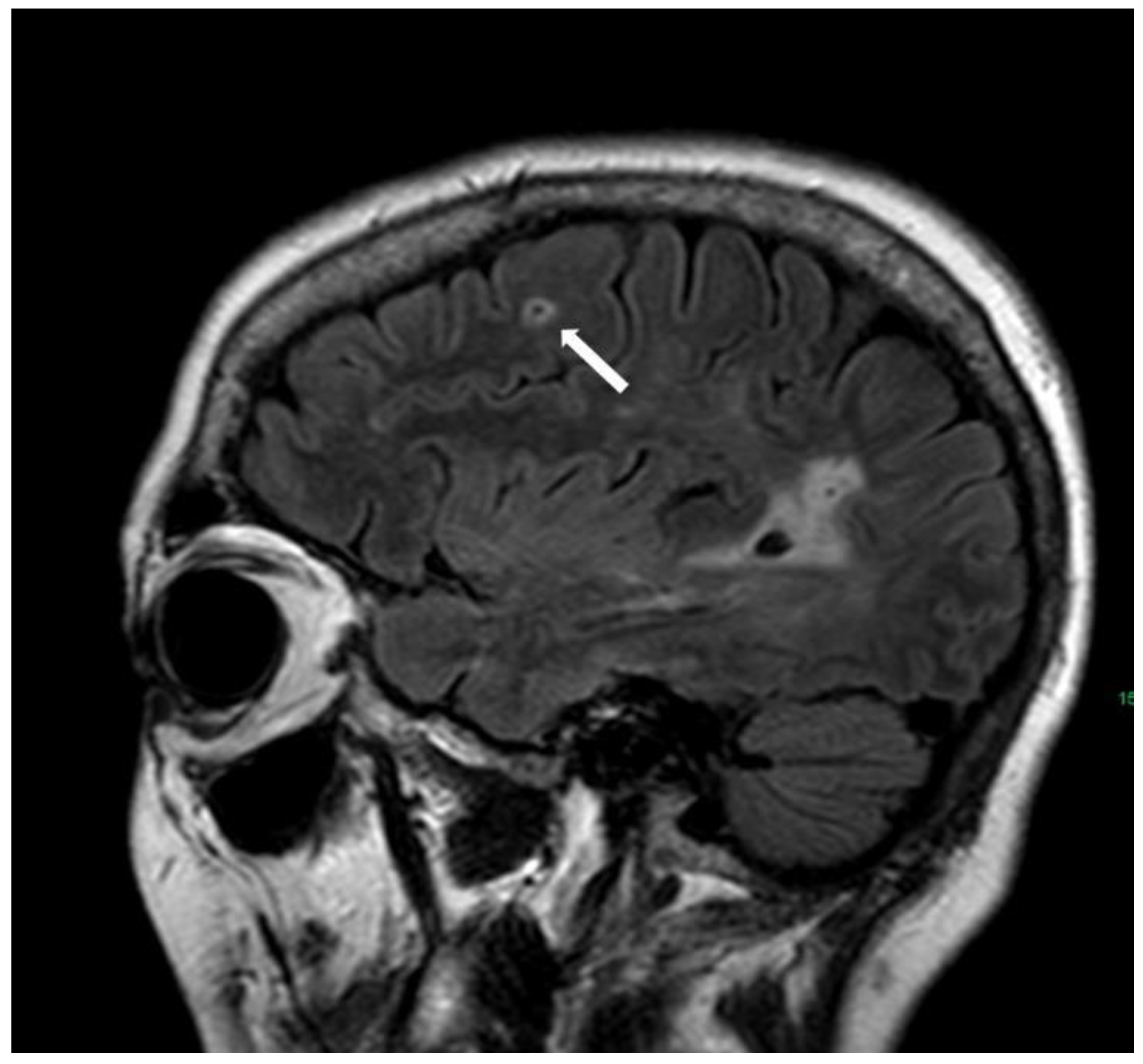
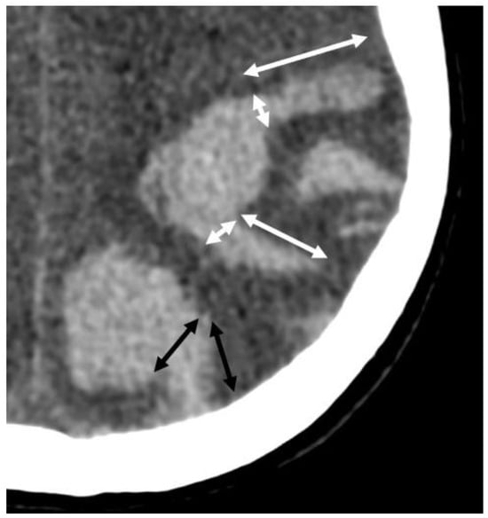
5.2.1. Enlarged Perivascular Spaces
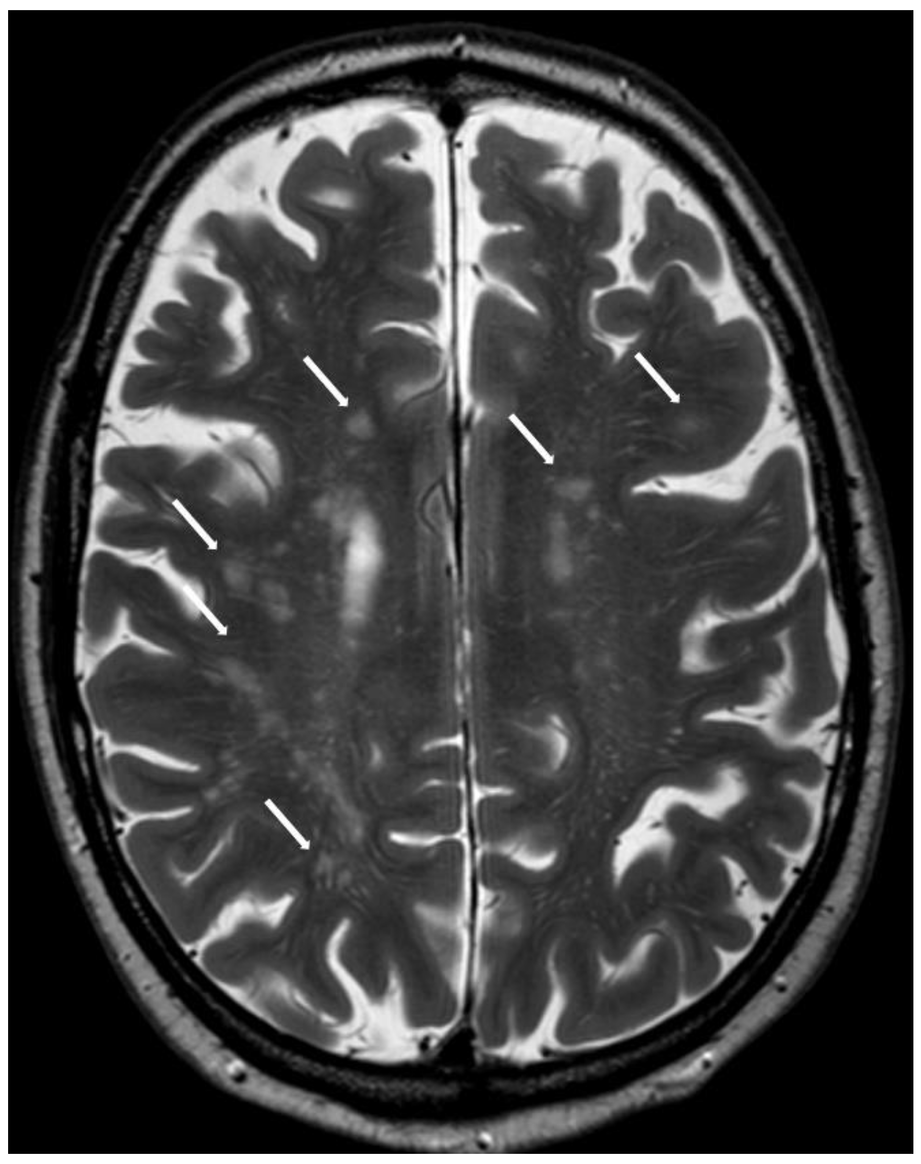
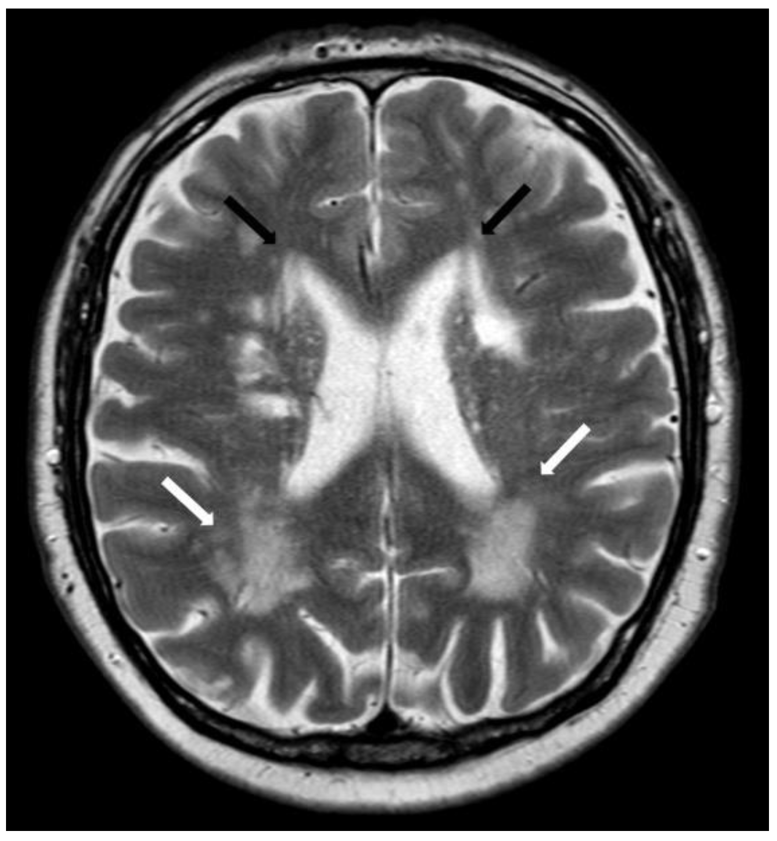
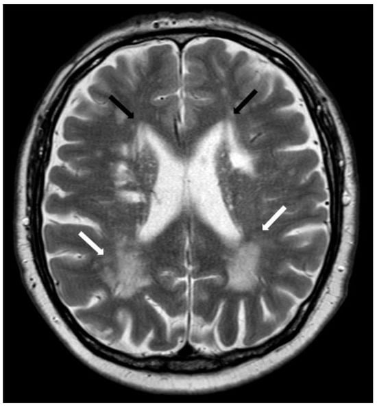
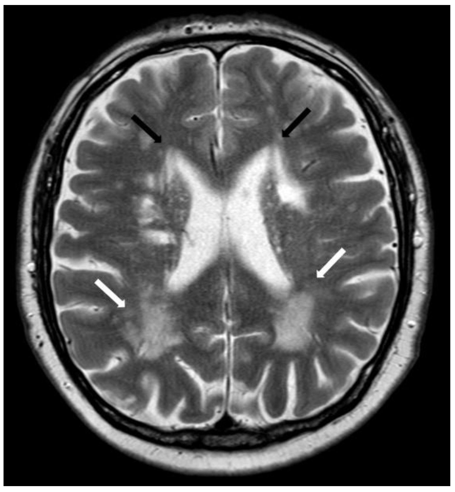
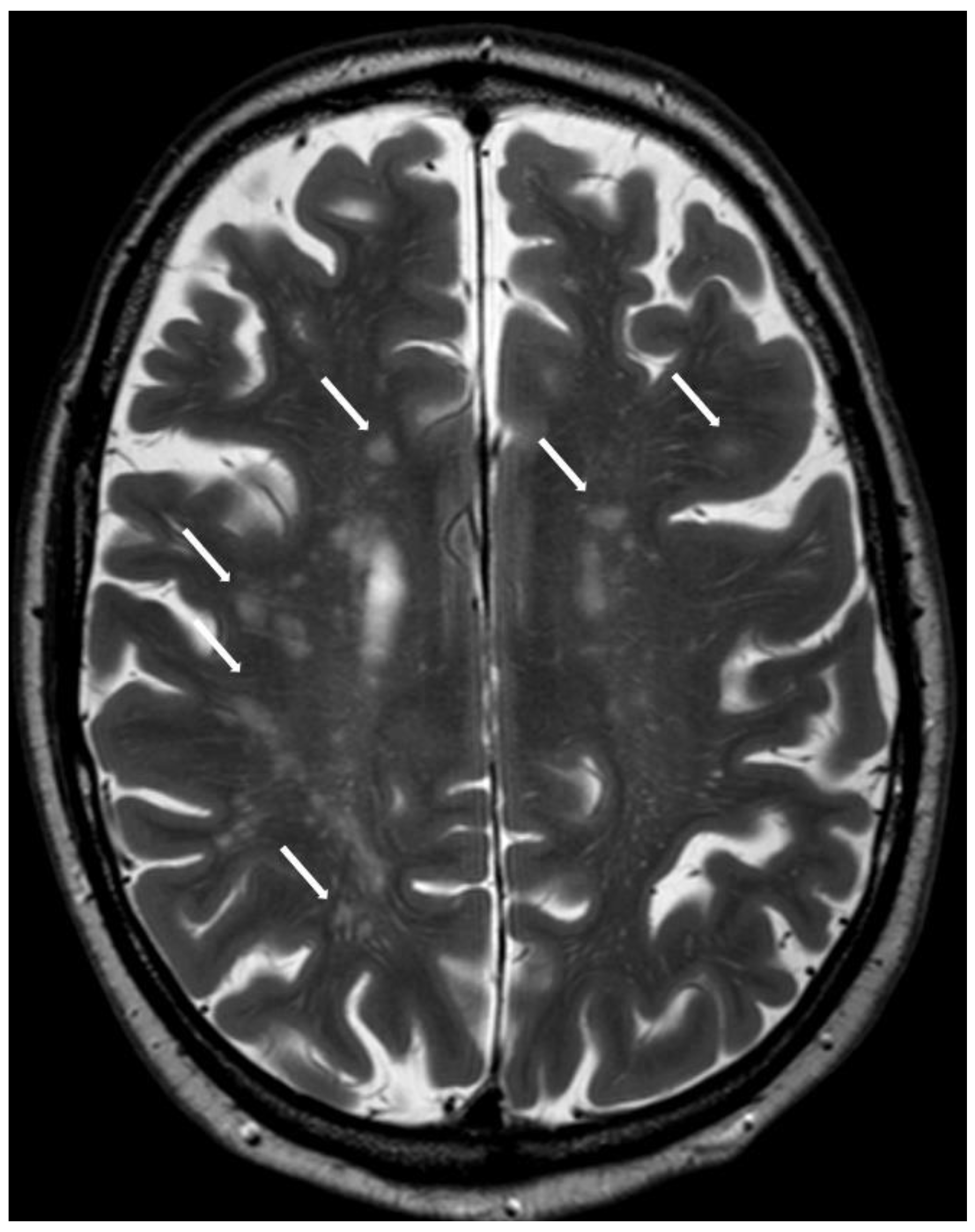
5.2.2. Subcortical White Matter Lesions
6. Neuroradiological Findings That Are Not Part of the Boston Criteria
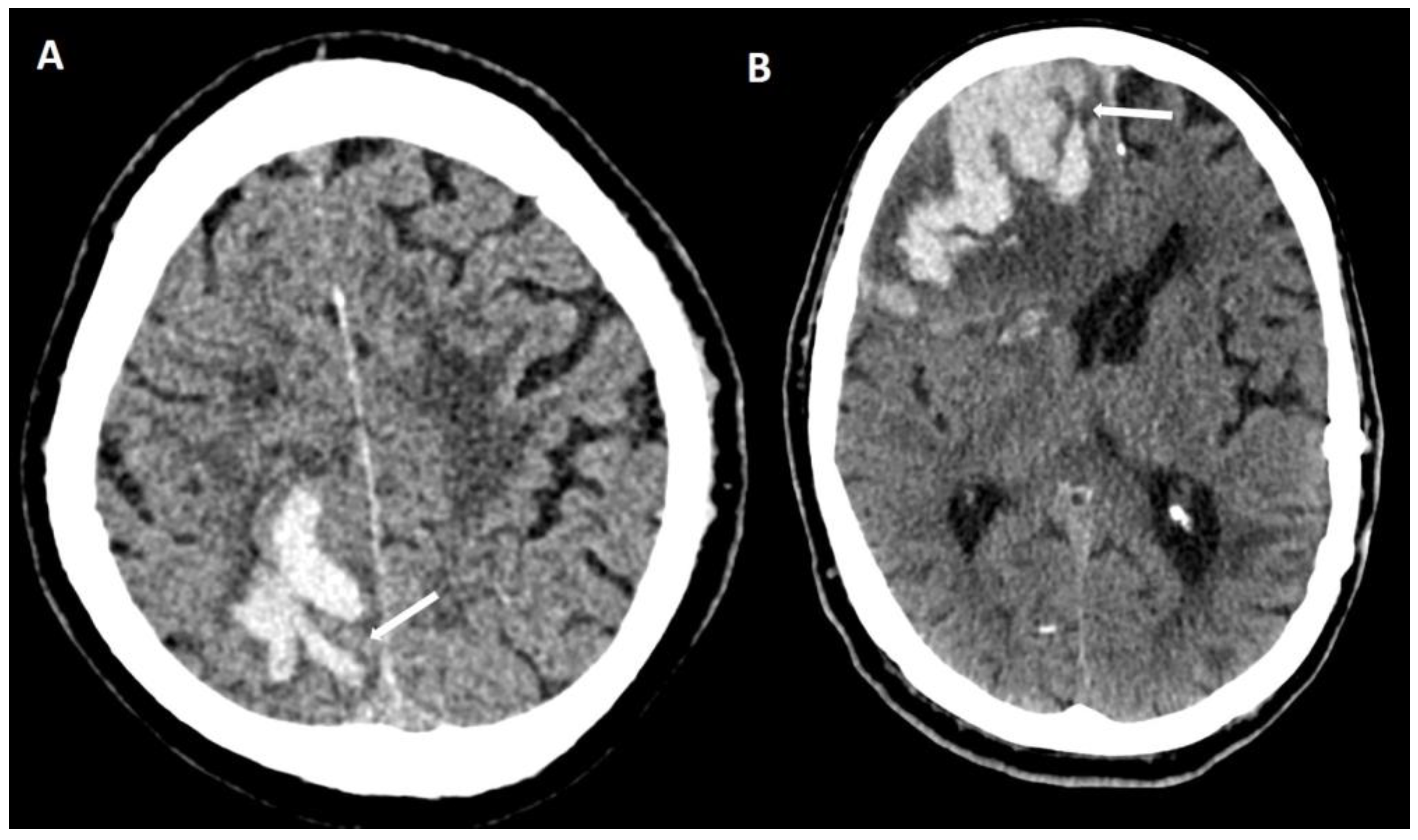
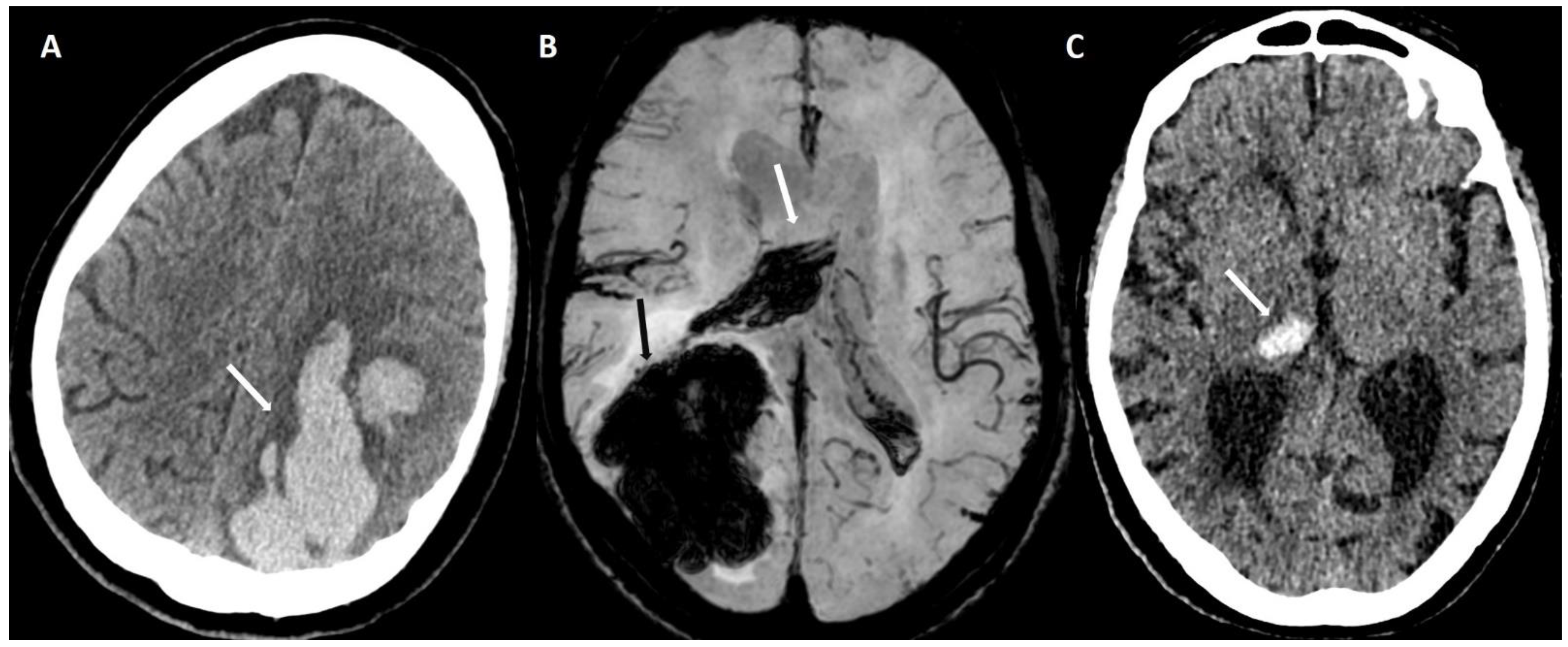
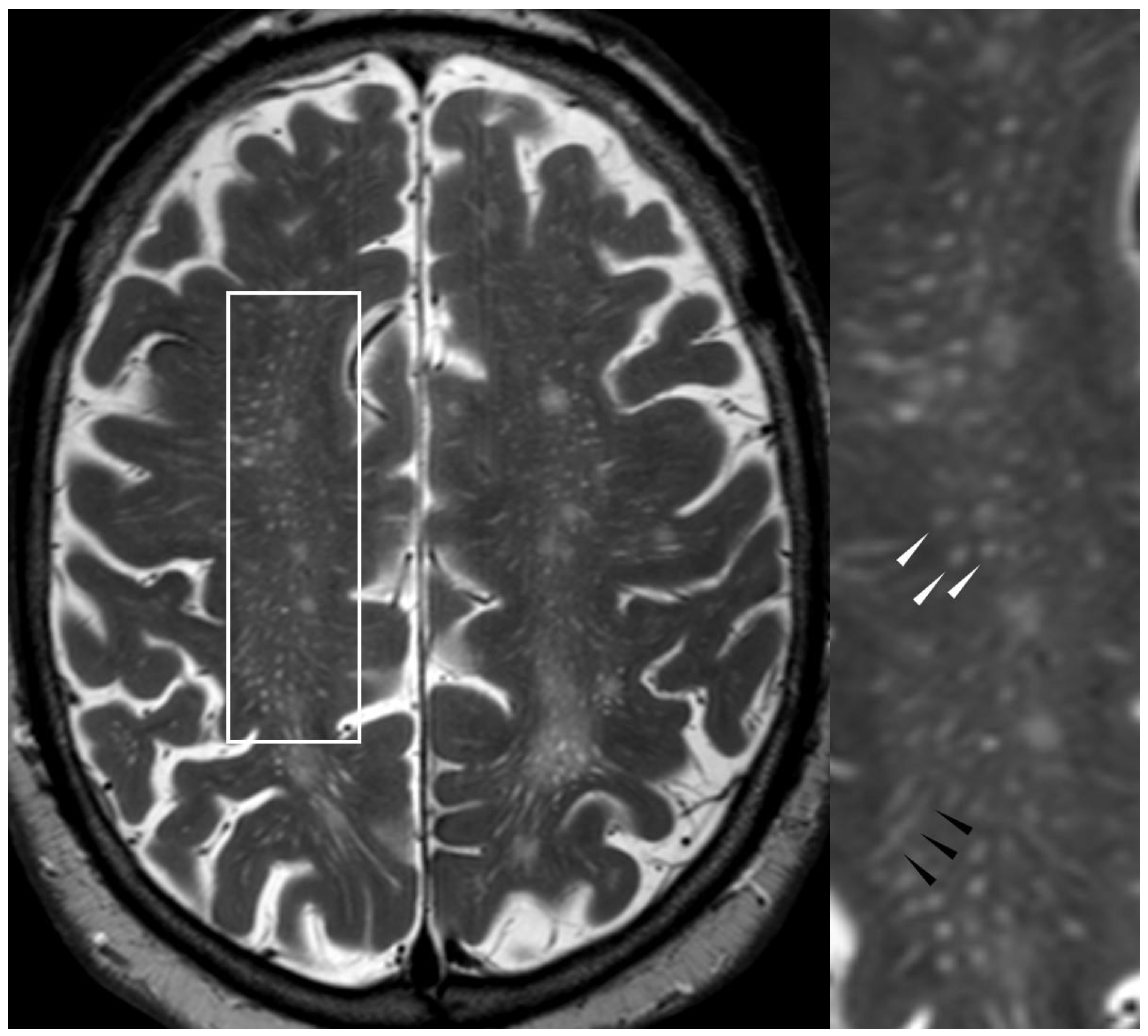
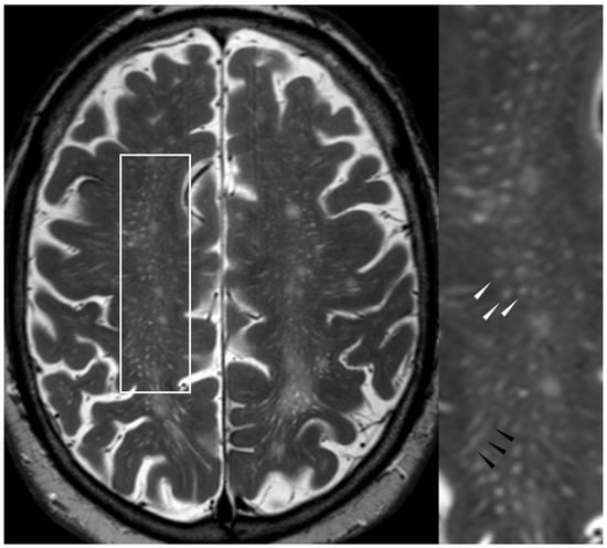
6.1. Finger-like Projections
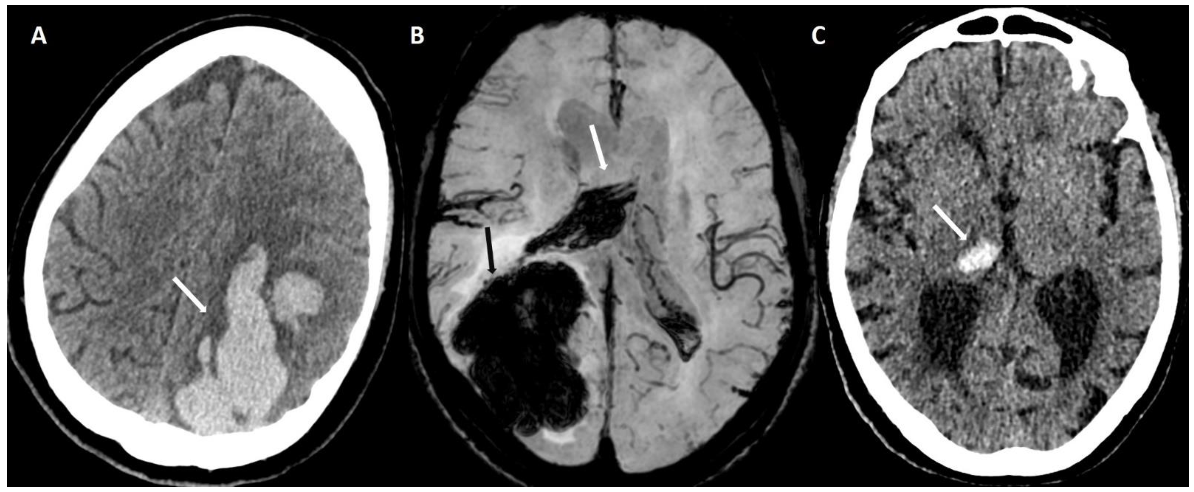
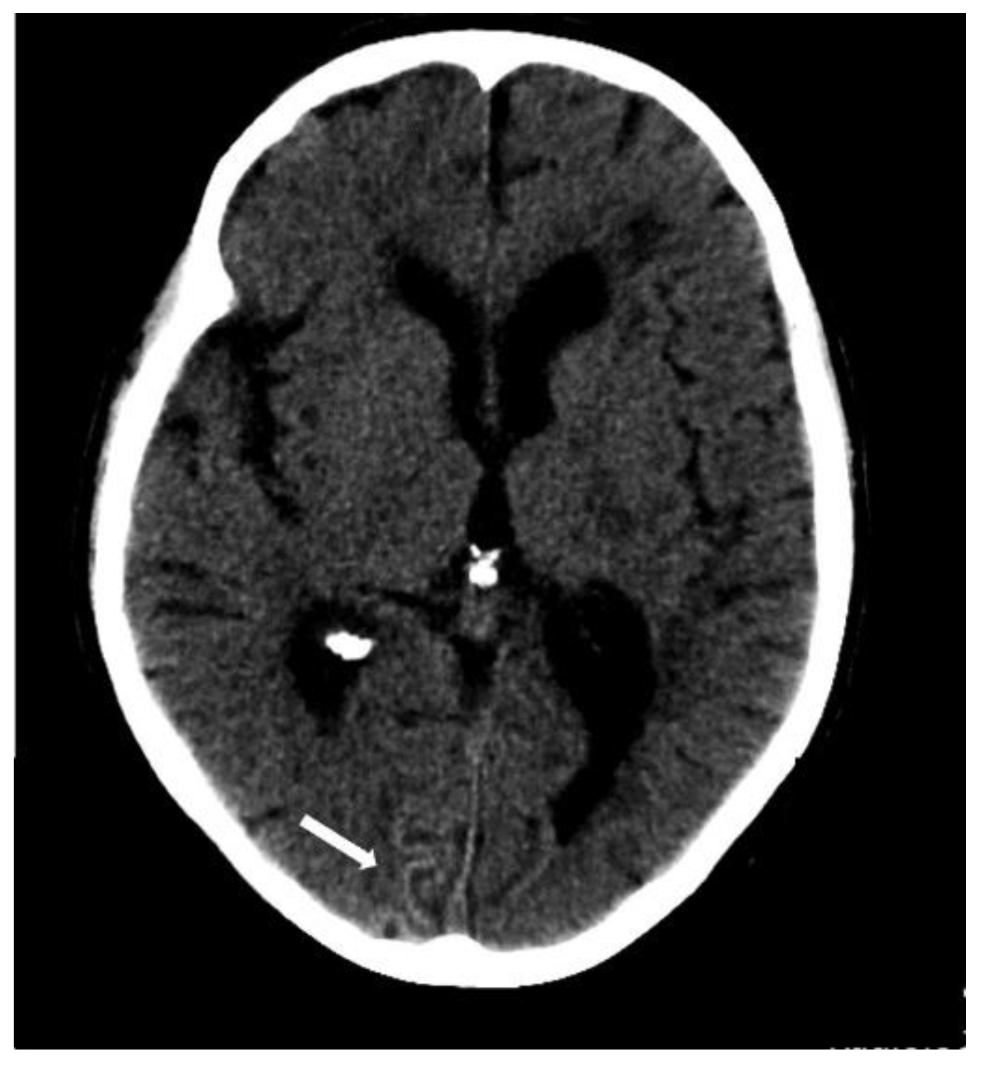
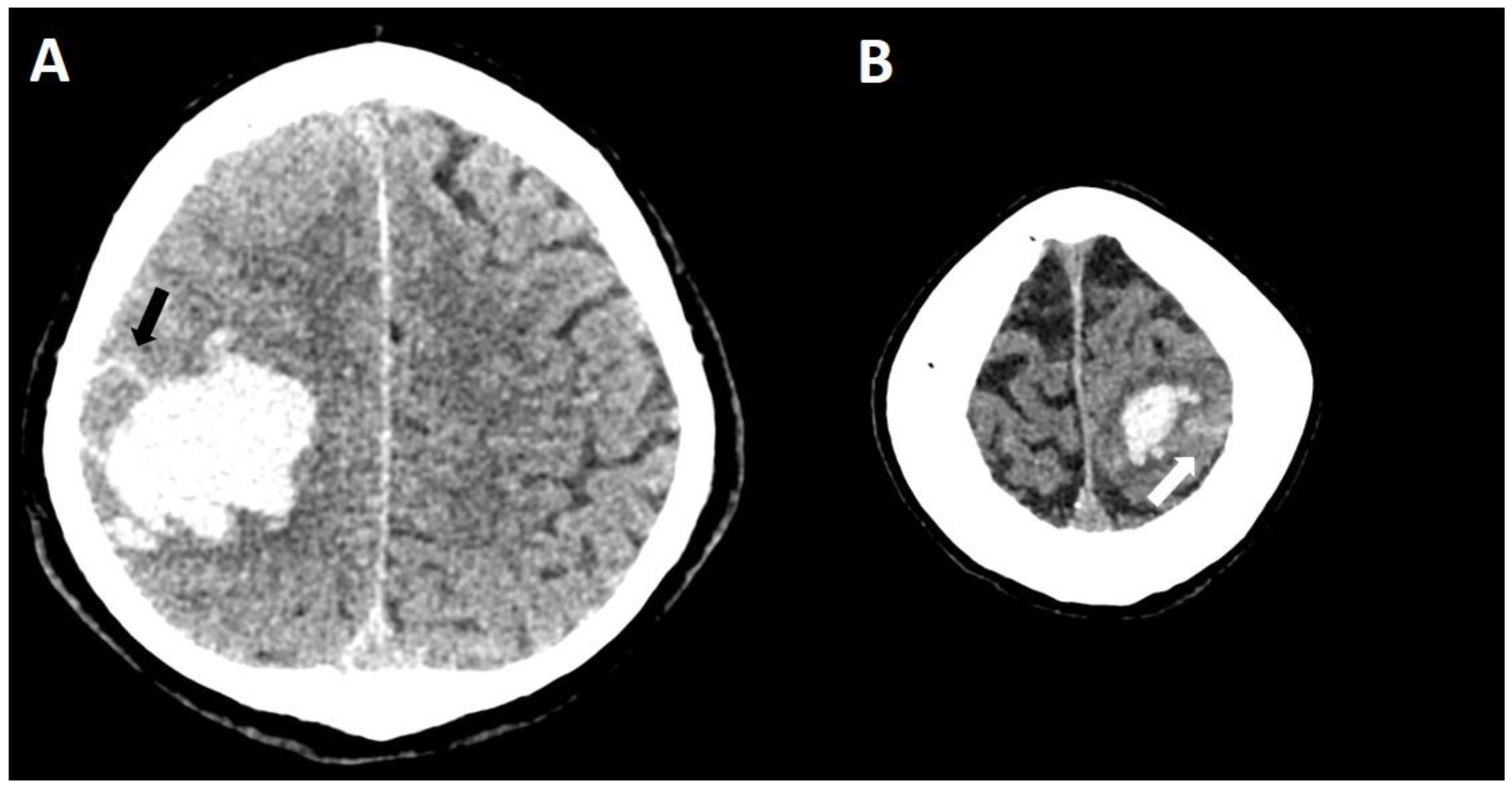
6.2. Subarachnoid Extension of Lobar Hemorrhage
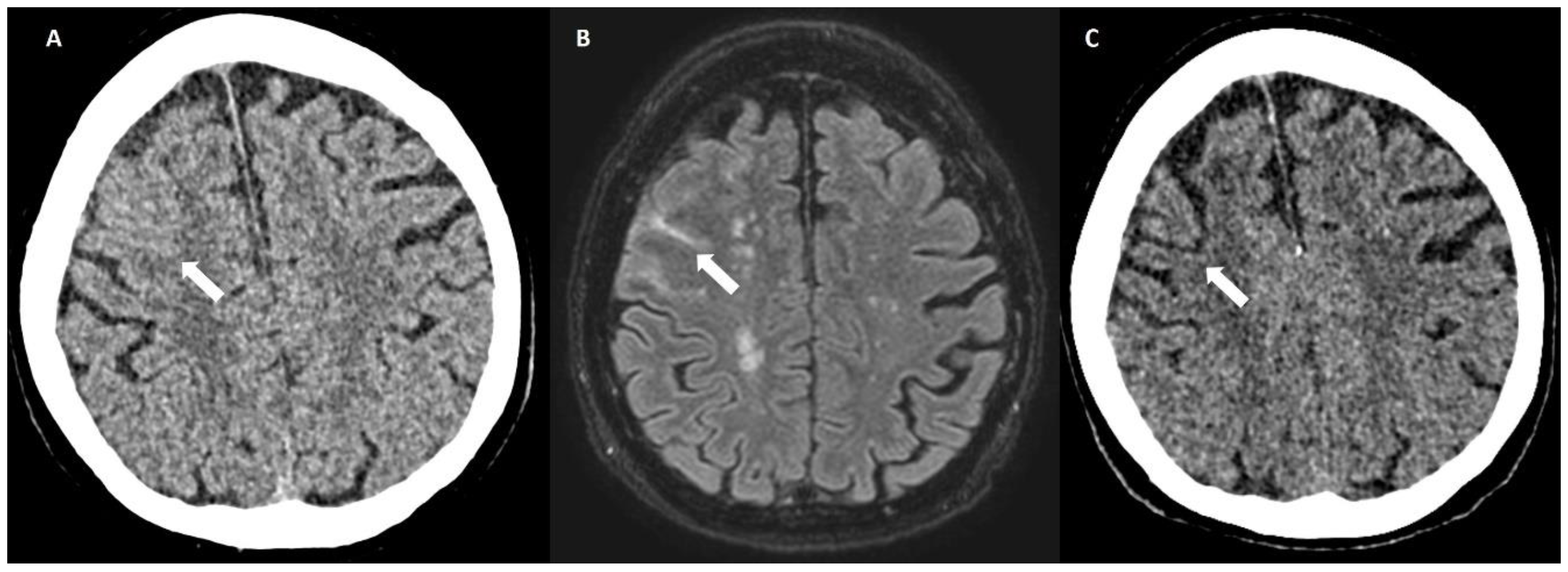
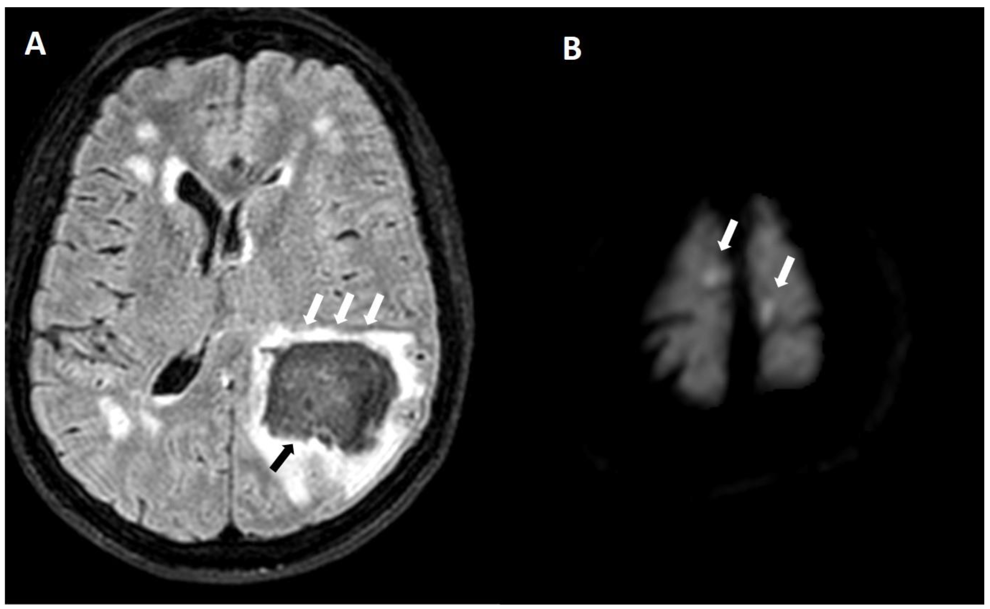
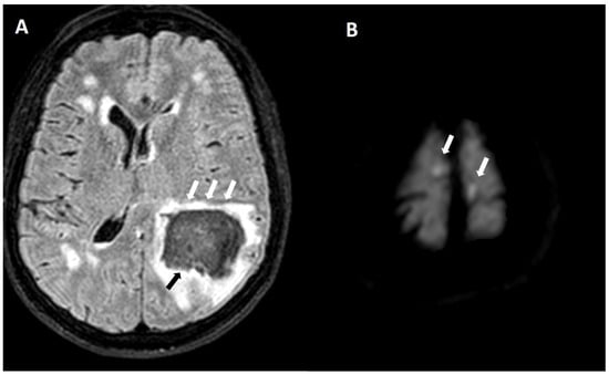
6.3. DWI Lesions
6.4. Lobar Lacunes
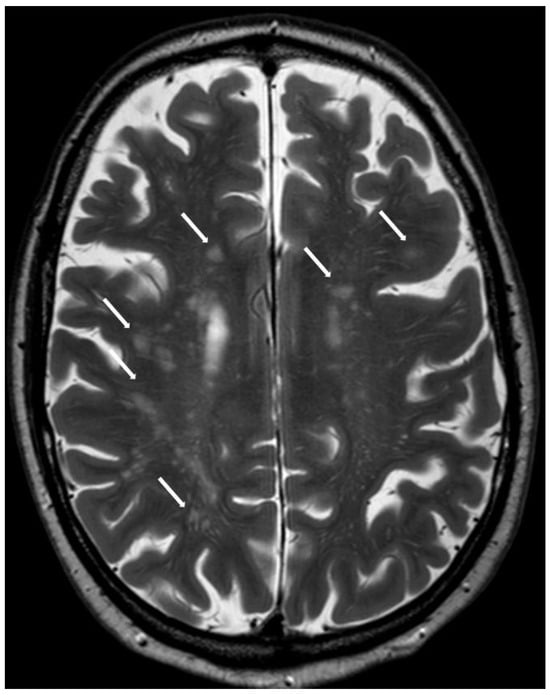
6.5. Posterior White Matter Changes
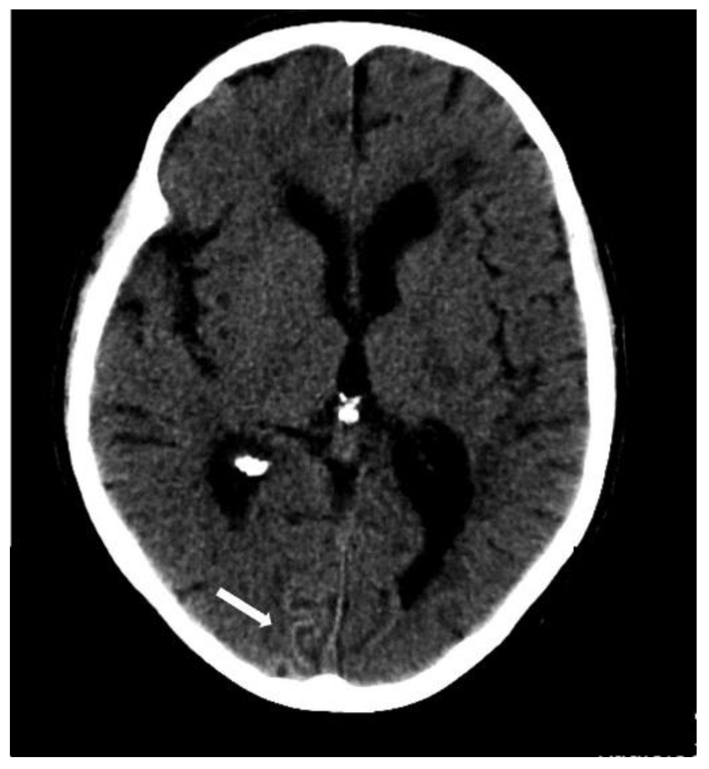
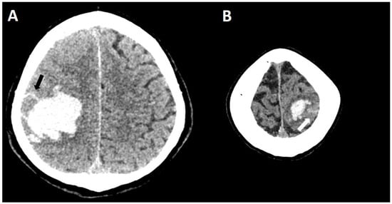
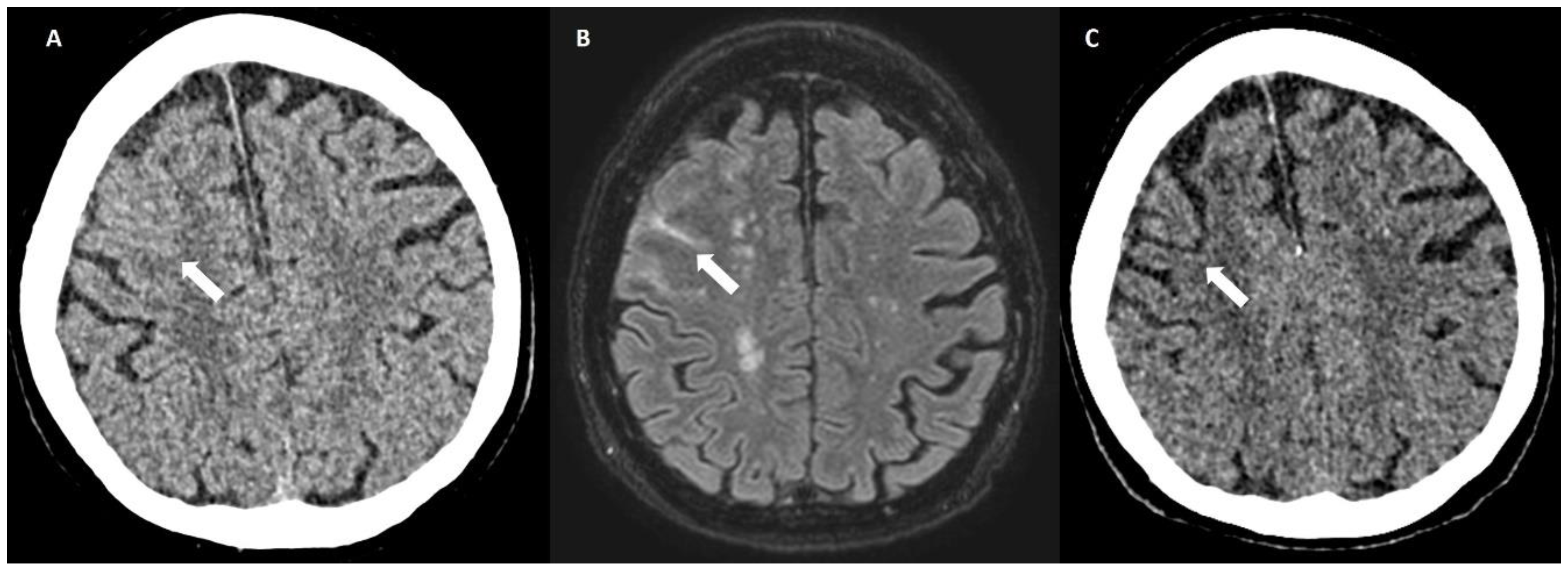
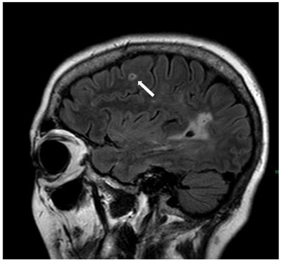
6.6. Cortical Calcifications
7. Discussion
8. Conclusions
Author Contributions
Funding
Informed Consent Statement
Data Availability Statement
Acknowledgments
Conflicts of Interest
References
- Charidimou, A.; Gang, Q.; Werring, D.J. Sporadic cerebral amyloid angiopathy revisited: Recent insights into pathophysiology and clinical spectrum. J. Neurol. Neurosurg. Psychiatry 2012, 83, 124–137. [Google Scholar] [CrossRef] [PubMed]
- Lewalter, T.; Kanagaratnam, P.; Schmidt, B.; Rosenqvist, M.; Nielsen-Kudsk, J.E.; Ibrahim, R.; Albers, B.A.; Camm, A.J. Ischaemic stroke prevention in patients with atrial fibrillation and high bleeding risk: Opportunities and challenges for percutaneous left atrial appendage occlusion. Europace 2014, 16, 626–630. [Google Scholar] [CrossRef] [PubMed]
- Linn, J.; Halpin, A.; Demaerel, P.; Ruhland, J.; Giese, A.D.; Dichgans, M.; van Buchem, M.A.; Bruckmann, H.; Greenberg, S.M. Prevalence of superficial siderosis in patients with cerebral amyloid angiopathy. Neurology 2010, 74, 1346–1350. [Google Scholar] [CrossRef]
- Charidimou, A.; Boulouis, G.; Frosch, M.P.; Baron, J.-C.; Pasi, M.; Albucher, J.F.; Banerjee, G.; Barbato, C.; Bonneville, F.; Brandner, S.; et al. The Boston criteria version 2.0 for cerebral amyloid angiopathy: A multicentre, retrospective, MRI–neuropathology diagnostic accuracy study. Lancet Neurol. 2022, 21, 714–725. [Google Scholar] [CrossRef] [PubMed]
- Banerjee, G.; Collinge, J.; Fox, N.C.; Lashley, T.; Mead, S.; Schott, J.M.; Werring, D.J.; Ryan, N.S. Clinical considerations in early-onset cerebral amyloid angiopathy. Brain 2023, 146, 3991–4014. [Google Scholar] [CrossRef]
- Greenberg, S.M.; Vonsattel, J.-P.G. Diagnosis of Cerebral Amyloid Angiopathy. Stroke 1997, 28, 1418–1422. [Google Scholar] [CrossRef]
- Huhndorf, M.; Röcken, C.; Flüh, C.; Weiler, C.; Kuhlenbäumer, G.; Tegeler, N.; Schacht, H.; Neumann, A.; Margraf, N.G.; Jensen-Kondering, U. Frequency of deep-seated cerebral microbleeds in patients with lobar hemorrhages and histopathological evidence for cerebral amyloid angiopathy. Front Neurol. 2023, 14, 1146737. [Google Scholar] [CrossRef]
- Charidimou, A.; Peeters, A.; Fox, Z.; Gregoire, S.M.; Vandermeeren, Y.; Laloux, P.; Jäger, H.R.; Baron, J.-C.; Werring, D.J. Spectrum of Transient Focal Neurological Episodes in Cerebral Amyloid Angiopathy. Stroke 2012, 43, 2324–2330. [Google Scholar] [CrossRef]
- Smith, E.E.; Charidimou, A.; Ayata, C.; Werring, D.J.; Greenberg, S.M. Cerebral Amyloid Angiopathy–Related Transient Focal Neurologic Episodes. Neurology 2021, 97, 231–238. [Google Scholar] [CrossRef]
- Case, N.F.; Charlton, A.; Zwiers, A.; Batool, S.; McCreary, C.R.; Hogan, D.B.; Ismail, Z.; Zerna, C.; Coutts, S.B.; Frayne, R.; et al. Cerebral Amyloid Angiopathy Is Associated with Executive Dysfunction and Mild Cognitive Impairment. Stroke 2016, 47, 2010–2016. [Google Scholar] [CrossRef]
- Chan, E.; Bonifacio, G.B.; Harrison, C.; Banerjee, G.; Best, J.G.; Sacks, B.; Harding, N.; del Rocio Hidalgo Mas, M.; Jäger, H.R.; Cipolotti, L.; et al. Domain-specific neuropsychological investigation of CAA with and without intracerebral haemorrhage. J. Neurol. 2023, 270, 6124–6132. [Google Scholar] [CrossRef] [PubMed]
- Greenberg, S.M.; Bacskai, B.J.; Hernandez-Guillamon, M.; Pruzin, J.; Sperling, R.; van Veluw, S.J. Cerebral amyloid angiopathy and Alzheimer disease—One peptide, two pathways. Nat. Rev. Neurol. 2020, 16, 30–42. [Google Scholar] [CrossRef] [PubMed]
- Smith, E.E.; Nandigam, K.R.N.; Chen, Y.-W.; Jeng, J.; Salat, D.; Halpin, A.; Frosch, M.; Wendell, L.; Fazen, L.; Rosand, J.; et al. MRI Markers of Small Vessel Disease in Lobar and Deep Hemispheric Intracerebral Hemorrhage. Stroke 2010, 41, 1933–1938. [Google Scholar] [CrossRef]
- Delgado Almandoz, J.E.; Schaefer, P.W.; Forero, N.P.; Falla, J.R.; Gonzalez, R.G.; Romero, J.M. Diagnostic Accuracy and Yield of Multidetector CT Angiography in the Evaluation of Spontaneous Intraparenchymal Cerebral Hemorrhage. Am. J. Neuroradiol. 2009, 30, 1213–1221. [Google Scholar] [CrossRef]
- Mesker, D.J.; Poels, M.M.F.; Ikram, M.A.; Vernooij, M.W.; Hofman, A.; Vrooman, H.A.; van der Lugt, A.; Breteler, M.M.B. Lobar Distribution of Cerebral Microbleeds. Arch. Neurol. 2011, 68, 656–659. [Google Scholar] [CrossRef]
- Patel, N.; Banahan, C.; Janus, J.; Horsfield, M.A.; Cox, A.; Li, X.; Cappellugola, L.; Colman, J.; Egan, V.; Garrard, P.; et al. Perioperative Cerebral Microbleeds After Adult Cardiac Surgery. Stroke 2019, 50, 336–343. [Google Scholar] [CrossRef]
- Jeon, S.-B.; Kang, D.-W.; Cho, A.-H.; Lee, E.-M.; Choi, C.G.; Kwon, S.U.; Kim, J.S. Initial microbleeds at MR imaging can predict recurrent intracerebral hemorrhage. J. Neurol. 2007, 254, 508–512. [Google Scholar] [CrossRef] [PubMed]
- Pasi, M.; Charidimou, A.; Boulouis, G.; Auriel, E.; Ayres, A.; Schwab, K.M.; Goldstein, J.N.; Rosand, J.; Viswanathan, A.; Pantoni, L.; et al. Mixed-location cerebral hemorrhage/microbleeds. Neurology 2018, 90, e119–e126. [Google Scholar] [CrossRef]
- Jensen-Kondering, U.R.; Weiler, C.; Langguth, P.; Larsen, N.; Flüh, C.; Kuhlenbäumer, G.; Jansen, O.; Margraf, N.G. Clinical and radiological differences between patients with probable cerebral amyloid angiopathy and mixed cerebral microbleeds. J. Neurol. 2020, 267, 3602–3608. [Google Scholar] [CrossRef]
- Calviere, L.; Cuvinciuc, V.; Raposo, N.; Faury, A.; Cognard, C.; Larrue, V.; Viguier, A.; Bonneville, F. Acute Convexity Subarachnoid Hemorrhage Related to Cerebral Amyloid Angiopathy: Clinicoradiological Features and Outcome. J. Stroke Cerebrovasc. Dis. 2016, 25, 1009–1016. [Google Scholar] [CrossRef]
- Raposo, N.; Charidimou, A.; Roongpiboonsopit, D.; Onyekaba, M.; Gurol, M.E.; Rosand, J.; Greenberg, S.M.; Goldstein, J.N.; Viswanathan, A. Convexity subarachnoid hemorrhage in lobar intracerebral hemorrhage. Neurology 2020, 94, e968–e977. [Google Scholar] [CrossRef] [PubMed]
- Charidimou, A.; Linn, J.; Vernooij, M.W.; Opherk, C.; Akoudad, S.; Baron, J.-C.; Greenberg, S.M.; Jäger, H.R.; Werring, D.J. Cortical superficial siderosis: Detection and clinical significance in cerebral amyloid angiopathy and related conditions. Brain 2015, 138, 2126–2139. [Google Scholar] [CrossRef]
- Charidimou, A.; Boulouis, G.; Roongpiboonsopit, D.; Xiong, L.; Pasi, M.; Schwab, K.M.; Rosand, J.; Gurol, M.E.; Greenberg, S.M.; Viswanathan, A. Cortical superficial siderosis and recurrent intracerebral hemorrhage risk in cerebral amyloid angiopathy: Large prospective cohort and preliminary meta-analysis. Int. J. Stroke 2019, 14, 723–733. [Google Scholar] [CrossRef] [PubMed]
- Koemans, E.A.; Voigt, S.; Rasing, I.; van Harten, T.W.; Jolink, W.M.T.; Schreuder, F.H.B.M.; van Zwet, E.W.; van Buchem, M.A.; van Osch, M.J.P.; Terwindt, G.M.; et al. Cerebellar Superficial Siderosis in Cerebral Amyloid Angiopathy. Stroke 2022, 53, 552–557. [Google Scholar] [CrossRef]
- Charidimou, A.; Boulouis, G.; Pasi, M.; Auriel, E.; van Etten, E.S.; Haley, K.; Ayres, A.; Schwab, K.M.; Martinez-Ramirez, S.; Goldstein, J.N.; et al. MRI-visible perivascular spaces in cerebral amyloid angiopathy and hypertensive arteriopathy. Neurology 2017, 88, 1157–1164. [Google Scholar] [CrossRef] [PubMed]
- Fazekas, F.; Chawluk, J.; Alavi, A.; Hurtig, H.; Zimmerman, R. MR signal abnormalities at 1.5 T in Alzheimer’s dementia and normal aging. Am. J. Roentgenol. 1987, 149, 351–356. [Google Scholar] [CrossRef]
- Charidimou, A.; Boulouis, G.; Haley, K.; Auriel, E.; van Etten, E.S.; Fotiadis, P.; Reijmer, Y.; Ayres, A.; Vashkevich, A.; Dipucchio, Z.Y.; et al. White matter hyperintensity patterns in cerebral amyloid angiopathy and hypertensive arteriopathy. Neurology 2016, 86, 505–511. [Google Scholar] [CrossRef] [PubMed]
- Charidimou, A.; Greenberg, S.M. Boston criteria version 2.0 and non-haemorrhagic presentations—Authors’ reply. Lancet Neurol. 2023, 22, 466–467. [Google Scholar] [CrossRef]
- Malhotra, K.; Theodorou, A.; Katsanos, A.H.; Zompola, C.; Shoamanesh, A.; Boviatsis, E.; Paraskevas, G.P.; Spilioti, M.; Cordonnier, C.; Werring, D.J.; et al. Prevalence of Clinical and Neuroimaging Markers in Cerebral Amyloid Angiopathy: A Systematic Review and Meta-Analysis. Stroke 2022, 53, 1944–1953. [Google Scholar] [CrossRef]
- Renard, D.; Parvu, T.; Thouvenot, E. Finger-Like Projections in Lobar Haemorrhage on Early Magnetic Resonance Imaging Is Associated with Probable Cerebral Amyloid Angiopathy. Cerebrovasc. Dis. 2019, 47, 121–126. [Google Scholar] [CrossRef]
- Baron, J.-C.; Boulouis, G.; Benzakoun, J.; Schwall, C.; Oppenheim, C.; Turc, G.; Varlet, P. Cerebral amyloid angiopathy-related acute lobar intra-cerebral hemorrhage: Diagnostic value of plain CT. J. Neurol. 2022, 269, 2126–2132. [Google Scholar] [CrossRef]
- Renard, D.; Parvu, T.; Tatu, L.; Thouvenot, E. Subarachnoid extension of lobar hemorrhage on acute/subacute MRI is associated with cerebral amyloid angiopathy criteria. Acta Neurol. Belg. 2020, 120, 863–866. [Google Scholar] [CrossRef]
- Rodrigues, M.A.; Samarasekera, N.; Lerpiniere, C.; Humphreys, C.; McCarron, M.O.; White, P.M.; Nicoll, J.A.R.; Sudlow, C.L.M.; Cordonnier, C.; Wardlaw, J.M.; et al. The Edinburgh CT and genetic diagnostic criteria for lobar intracerebral haemorrhage associated with cerebral amyloid angiopathy: Model development and diagnostic test accuracy study. Lancet Neurol. 2018, 17, 232–240. [Google Scholar] [CrossRef]
- Boulanger, M.; Schneckenburger, R.; Join-Lambert, C.; Werring, D.J.; Wilson, D.; Hodel, J.; Zuber, M.; Touzé, E. Diffusion-Weighted Imaging Hyperintensities in Subtypes of Acute Intracerebral Hemorrhage. Stroke 2019, 50, 135–142. [Google Scholar] [CrossRef]
- Gregoire, S.M.; Charidimou, A.; Gadapa, N.; Dolan, E.; Antoun, N.; Peeters, A.; Vandermeeren, Y.; Laloux, P.; Baron, J.-C.; Jäger, H.R.; et al. Acute ischaemic brain lesions in intracerebral haemorrhage: Multicentre cross-sectional magnetic resonance imaging study. Brain 2011, 134, 2376–2386. [Google Scholar] [CrossRef]
- Baron, J.-C.; Jensen-Kondering, U.; Sacco, S.; Posener, S.; Benzakoun, J.; Pallud, J.; Oppenheim, C.; Varlet, P.; Turc, G. Can novel CT-and MR-based neuroimaging biomarkers further improve the etiological diagnosis of lobar intra-cerebral hemorrhage? J. Neurol. 2023, 270, 582–588. [Google Scholar] [CrossRef]
- Pasi, M.; Boulouis, G.; Fotiadis, P.; Auriel, E.; Charidimou, A.; Haley, K.; Ayres, A.; Schwab, K.M.; Goldstein, J.N.; Rosand, J.; et al. Distribution of lacunes in cerebral amyloid angiopathy and hypertensive small vessel disease. Neurology 2017, 88, 2162–2168. [Google Scholar] [CrossRef] [PubMed]
- Cai, J.; Sun, J.; Chen, H.; Chen, Y.; Zhou, Y.; Lou, M.; Yu, R. Different mechanisms in periventricular and deep white matter hyperintensities in old subjects. Front. Aging Neurosci. 2022, 14, 940538. [Google Scholar] [CrossRef] [PubMed]
- Vinters, H.V.; Gilbert, J.J. Cerebral amyloid angiopathy: Incidence and complications in the aging brain. II. The distribution of amyloid vascular changes. Stroke 1983, 14, 924–928. [Google Scholar] [CrossRef] [PubMed]
- Rasing, I.; Voigt, S.; Koemans, E.A.; van Zwet, E.; de Kruijff, P.C.; van Harten, T.W.; van Etten, E.S.; van Rooden, S.; van der Weerd, L.; van Buchem, M.A.; et al. Occipital Cortical Calcifications in Cerebral Amyloid Angiopathy. Stroke 2021, 52, 1851–1855. [Google Scholar] [CrossRef]
- Theodorou, A.; Tsantzali, I.; Stefanou, M.-I.; Sacco, S.; Katsanos, A.H.; Shoamanesh, A.; Karapanayiotides, T.; Koutroulou, I.; Stamati, P.; Werring, D.J.; et al. CSF and plasma biomarkers in cerebral amyloid angiopathy: A single-center study and a systematic review/meta-analysis. Eur. Stroke J. 2024. [Google Scholar] [CrossRef] [PubMed]
- Margraf, N.G.; Jensen-Kondering, U.; Weiler, C.; Leypoldt, F.; Maetzler, W.; Philippen, S.; Bartsch, T.; Flüh, C.; Röcken, C.; Möller, B.; et al. Cerebrospinal Fluid Biomarkers in Cerebral Amyloid Angiopathy: New Data and Quantitative Meta-Analysis. Front. Aging Neurosci. 2022, 14, 783996. [Google Scholar] [CrossRef] [PubMed]
- Charidimou, A.; Farid, K.; Baron, J.-C. Amyloid-PET in sporadic cerebral amyloid angiopathy. Neurology 2017, 89, 1490–1498. [Google Scholar] [CrossRef] [PubMed]















| Definite CAA |
| Full brain postmortem demonstrating the following: |
|
|
|
| Probable CAA with supporting pathology |
| Clinical data and pathological tissue demonstrating the following: |
|
|
|
| Probable CAA |
|
|
|
| OR |
|
|
|
| Possible CAA |
| For patients > 50 years, clinical data and MRI demonstrating the following: |
|
|
|
| OR |
|
|
|
Disclaimer/Publisher’s Note: The statements, opinions and data contained in all publications are solely those of the individual author(s) and contributor(s) and not of MDPI and/or the editor(s). MDPI and/or the editor(s) disclaim responsibility for any injury to people or property resulting from any ideas, methods, instructions or products referred to in the content. |
© 2024 by the authors. Licensee MDPI, Basel, Switzerland. This article is an open access article distributed under the terms and conditions of the Creative Commons Attribution (CC BY) license (https://creativecommons.org/licenses/by/4.0/).
Share and Cite
Jensen-Kondering, U.; Heß, K.; Neumann, A.; Margraf, N.G. Neuroradiological Findings in Cerebral Amyloid Angiopathy with a Particular Consideration of the Boston Criteria 2.0: An Imaging Review. Biomolecules 2024, 14, 1459. https://doi.org/10.3390/biom14111459
Jensen-Kondering U, Heß K, Neumann A, Margraf NG. Neuroradiological Findings in Cerebral Amyloid Angiopathy with a Particular Consideration of the Boston Criteria 2.0: An Imaging Review. Biomolecules. 2024; 14(11):1459. https://doi.org/10.3390/biom14111459
Chicago/Turabian StyleJensen-Kondering, Ulf, Katharina Heß, Alexander Neumann, and Nils G. Margraf. 2024. "Neuroradiological Findings in Cerebral Amyloid Angiopathy with a Particular Consideration of the Boston Criteria 2.0: An Imaging Review" Biomolecules 14, no. 11: 1459. https://doi.org/10.3390/biom14111459
APA StyleJensen-Kondering, U., Heß, K., Neumann, A., & Margraf, N. G. (2024). Neuroradiological Findings in Cerebral Amyloid Angiopathy with a Particular Consideration of the Boston Criteria 2.0: An Imaging Review. Biomolecules, 14(11), 1459. https://doi.org/10.3390/biom14111459

