Characterization of E-Cadherin, SSEA-1, MSI-1, and SOX-2 Expression and Their Association with Pale Cells in Adenomyosis
Abstract
1. Introduction
2. Materials and Methods
2.1. Patient and Sample Collection
2.2. Immunohistochemistry
2.3. Immunofluorescence
2.4. Immunoelectron Microscopy
2.5. Statistical Analysis
3. Results
3.1. Immuno-Expression of E-Cadherin
3.2. Immuno-Expression of SOX-2
3.3. Immuno-Expression of MSI-1
3.4. SSEA-1 Is Upregulated in AM Lesions
3.5. Phenotypic Characterization of Pale Cells by Light Microscopy
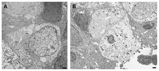
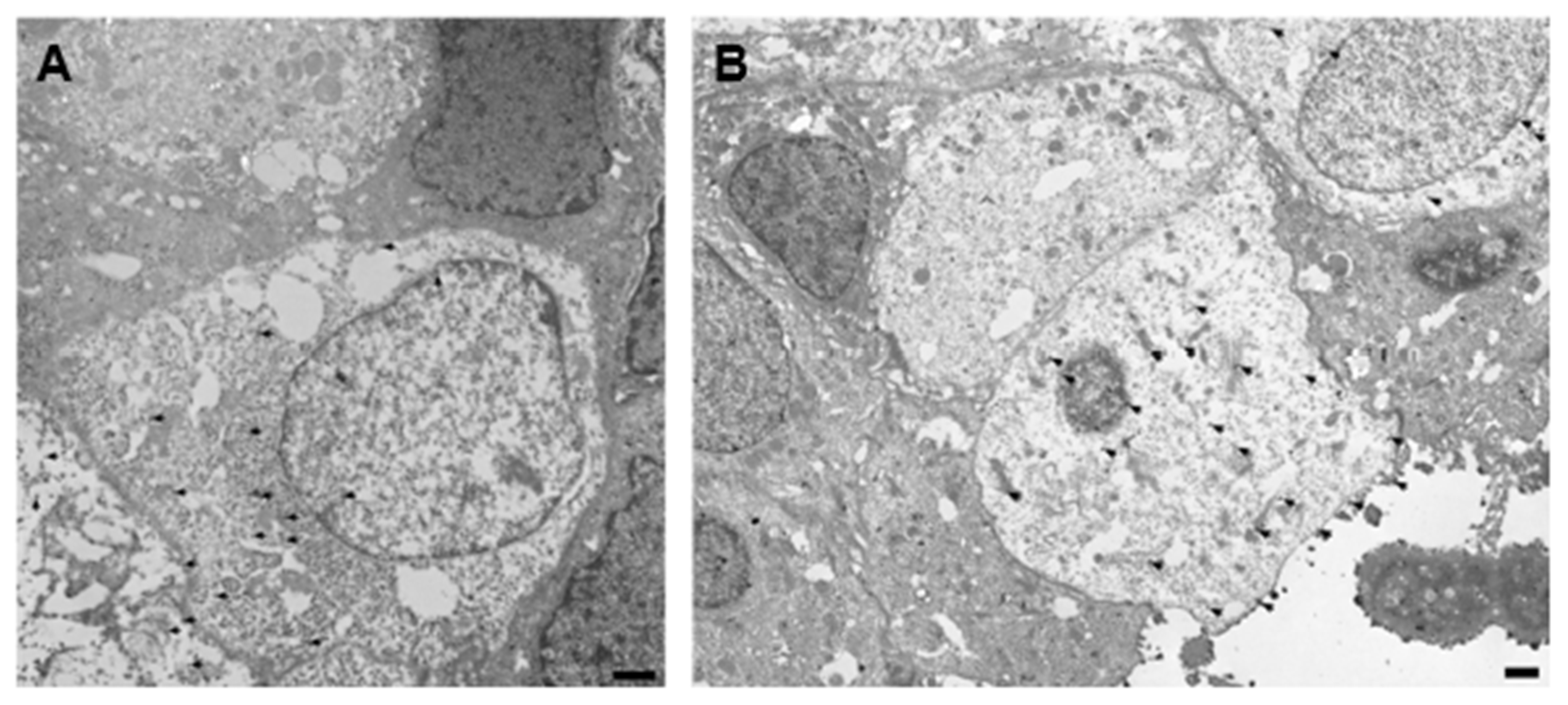
3.6. Immuno-Labeling of Ultrastructurally Identified Pale Cells Using Transmission Electron Microscopy
3.7. Colocalization of E-Cadherin Negative and SOX-2/MSI-1/SSEA-1 Positive Cells
4. Discussion
Supplementary Materials
Author Contributions
Funding
Institutional Review Board Statement
Informed Consent Statement
Data Availability Statement
Conflicts of Interest
References
- Sammour, A.; Pirwany, I.; Usubutun, A.; Arseneau, J.; Tulandi, T. Correlations between extent and spread of adenomyosis and clinical symptoms. Gynecol. Obstet. Investig. 2002, 54, 213–216. [Google Scholar] [CrossRef] [PubMed]
- Bird, C.C.; McElin, T.W.; Manalo-Estrella, P. The elusive adenomyosis of the uterus--revisited. Am. J. Obstet. Gynecol. 1972, 112, 583–593. [Google Scholar] [CrossRef] [PubMed]
- Vannuccini, S.; Petraglia, F. Recent advances in understanding and managing adenomyosis. F1000Research 2019, 8. [Google Scholar] [CrossRef]
- Gordts, S.; Grimbizis, G.; Campo, R. Symptoms and classification of uterine adenomyosis, including the place of hysteroscopy in diagnosis. Fertil. Steril. 2018, 109, 380–388.e381. [Google Scholar] [CrossRef] [PubMed]
- Li, J.J.; Chung, J.P.W.; Wang, S.; Li, T.C.; Duan, H. The Investigation and Management of Adenomyosis in Women Who Wish to Improve or Preserve Fertility. Biomed. Res. Int. 2018, 2018, 6832685. [Google Scholar] [CrossRef] [PubMed]
- De Graaff, A.A.; D’Hooghe, T.M.; Dunselman, G.A.; Dirksen, C.D.; Hummelshoj, L.; Simoens, S. The significant effect of endometriosis on physical, mental and social wellbeing: Results from an international cross-sectional survey. Hum. Reprod. 2013, 28, 2677–2685. [Google Scholar] [CrossRef]
- Hudelist, G.; Fritzer, N.; Thomas, A.; Niehues, C.; Oppelt, P.; Haas, D.; Tammaa, A.; Salzer, H. Diagnostic delay for endometriosis in Austria and Germany: Causes and possible consequences. Hum. Reprod. 2012, 27, 3412–3416. [Google Scholar] [CrossRef]
- Moradi, M.; Parker, M.; Sneddon, A.; Lopez, V.; Ellwood, D. Impact of endometriosis on women’s lives: A qualitative study. BMC Women’s Health 2014, 14, 123. [Google Scholar] [CrossRef]
- Fourquet, J.; Sinaii, N.; Stratton, P.; Khayel, F.; Alvarez-Garriga, C.; Bayona, M.; Ballweg, M.L.; Flores, I. Characteristics of women with endometriosis from the USA and Puerto Rico. J. Endometr. Pelvic Pain Disord. 2015, 7, 129–135. [Google Scholar] [CrossRef]
- Gargett, C.E. Uterine stem cells: What is the evidence? Hum. Reprod. Update 2007, 13, 87–101. [Google Scholar] [CrossRef]
- Padykula, H.A.; Coles, L.G.; McCracken, J.A.; King, N.W., Jr.; Longcope, C.; Kaiserman-Abramof, I.R. A zonal pattern of cell proliferation and differentiation in the rhesus endometrium during the estrogen surge. Biol. Reprod. 1984, 31, 1103–1118. [Google Scholar] [CrossRef] [PubMed]
- Gargett, C.E.; Schwab, K.E.; Deane, J.A. Endometrial stem/progenitor cells: The first 10 years. Hum. Reprod. Update 2016, 22, 137–163. [Google Scholar] [CrossRef] [PubMed]
- Schwab, K.E.; Gargett, C.E. Co-expression of two perivascular cell markers isolates mesenchymal stem-like cells from human endometrium. Hum. Reprod. 2007, 22, 2903–2911. [Google Scholar] [CrossRef] [PubMed]
- Vannuccini, S.; Tosti, C.; Carmona, F.; Huang, S.J.; Chapron, C.; Guo, S.W.; Petraglia, F. Pathogenesis of adenomyosis: An update on molecular mechanisms. Reprod. Biomed. Online 2017, 35, 592–601. [Google Scholar] [CrossRef]
- García-Solares, J.; Donnez, J.; Donnez, O.; Dolmans, M.M. Pathogenesis of uterine adenomyosis: Invagination or metaplasia? Fertil. Steril. 2018, 109, 371–379. [Google Scholar] [CrossRef]
- Yi, K.W.; Kim, S.H.; Ihm, H.J.; Oh, Y.S.; Chae, H.D.; Kim, C.H.; Kang, B.M. Increased expression of p21-activated kinase 4 in adenomyosis and its regulation of matrix metalloproteinase-2 and -9 in endometrial cells. Fertil. Steril. 2015, 103, 1089–1097.e1082. [Google Scholar] [CrossRef]
- Li, T.; Li, Y.G.; Pu, D.M. Matrix metalloproteinase-2 and -9 expression correlated with angiogenesis in human adenomyosis. Gynecol. Obstet. Investig. 2006, 62, 229–235. [Google Scholar] [CrossRef]
- Ibrahim, M.G.; Chiantera, V.; Frangini, S.; Younes, S.; Kohler, C.; Taube, E.T.; Plendl, J.; Mechsner, S. Ultramicro-trauma in the endometrial-myometrial junctional zone and pale cell migration in adenomyosis. Fertil. Steril. 2015, 104, 1475–1483.e1471–e1473. [Google Scholar] [CrossRef]
- He, Y.L.; Ding, N.; Qi, Y.F.; Li, Y.; Xiang, Y.; Qian, T.Y.; Liu, H.; Lin, C.Y.; Yuan, L.; Zhou, H.L.; et al. Visualising the boundary sharpness of uterine zonal structures using high-resolution T2-weighted images during the menstrual cycle. Clin. Radiol. 2019, 74, 81.e19–81.e24. [Google Scholar] [CrossRef]
- Götte, M.; Wolf, M.; Staebler, A.; Buchweitz, O.; Kelsch, R.; Schüring, A.N.; Kiesel, L. Increased expression of the adult stem cell marker Musashi-1 in endometriosis and endometrial carcinoma. J. Pathol. 2008, 215, 317–329. [Google Scholar] [CrossRef]
- Poncelet, C.; Leblanc, M.; Walker-Combrouze, F.; Soriano, D.; Feldmann, G.; Madelenat, P.; Scoazec, J.Y.; Daraï, E. Expression of cadherins and CD44 isoforms in human endometrium and peritoneal endometriosis. Acta Obstet. Gynecol. Scand. 2002, 81, 195–203. [Google Scholar] [CrossRef] [PubMed]
- Gaetje, R.; Kotzian, S.; Herrmann, G.; Baumann, R.; Starzinski-Powitz, A. Nonmalignant epithelial cells, potentially invasive in human endometriosis, lack the tumor suppressor molecule E-cadherin. Am. J. Pathol. 1997, 150, 461–467. [Google Scholar] [PubMed]
- Chen, Y.J.; Li, H.Y.; Huang, C.H.; Twu, N.F.; Yen, M.S.; Wang, P.H.; Chou, T.Y.; Liu, Y.N.; Chao, K.C.; Yang, M.H. Oestrogen-induced epithelial-mesenchymal transition of endometrial epithelial cells contributes to the development of adenomyosis. J. Pathol. 2010, 222, 261–270. [Google Scholar] [CrossRef]
- Bartley, J.; Jülicher, A.; Hotz, B.; Mechsner, S.; Hotz, H. Epithelial to mesenchymal transition (EMT) seems to be regulated differently in endometriosis and the endometrium. Arch. Gynecol. Obstet. 2014, 289, 871–881. [Google Scholar] [CrossRef]
- Valentijn, A.J.; Palial, K.; Al-Lamee, H.; Tempest, N.; Drury, J.; Von Zglinicki, T.; Saretzki, G.; Murray, P.; Gargett, C.E.; Hapangama, D.K. SSEA-1 isolates human endometrial basal glandular epithelial cells: Phenotypic and functional characterization and implications in the pathogenesis of endometriosis. Hum. Reprod. 2013, 28, 2695–2708. [Google Scholar] [CrossRef]
- Tempest, N.; Baker, A.M.; Wright, N.A.; Hapangama, D.K. Does human endometrial LGR5 gene expression suggest the existence of another hormonally regulated epithelial stem cell niche? Hum. Reprod. 2018, 33, 1052–1062. [Google Scholar] [CrossRef]
- Nguyen, H.P.T.; Xiao, L.; Deane, J.A.; Tan, K.S.; Cousins, F.L.; Masuda, H.; Sprung, C.N.; Rosamilia, A.; Gargett, C.E. N-cadherin identifies human endometrial epithelial progenitor cells by in vitro stem cell assays. Hum. Reprod. 2017, 32, 2254–2268. [Google Scholar] [CrossRef]
- Oh, S.J.; Shin, J.H.; Kim, T.H.; Lee, H.S.; Yoo, J.Y.; Ahn, J.Y.; Broaddus, R.R.; Taketo, M.M.; Lydon, J.P.; Leach, R.E.; et al. β-Catenin activation contributes to the pathogenesis of adenomyosis through epithelial-mesenchymal transition. J. Pathol. 2013, 231, 210–222. [Google Scholar] [CrossRef]
- Wang, X.Y.; Yin, Y.; Yuan, H.; Sakamaki, T.; Okano, H.; Glazer, R.I. Musashi1 modulates mammary progenitor cell expansion through proliferin-mediated activation of the Wnt and Notch pathways. Mol. Cell. Biol. 2008, 28, 3589–3599. [Google Scholar] [CrossRef]
- Chen, Y.Z.; Wang, J.H.; Yan, J.; Liang, Y.; Zhang, X.F.; Zhou, F. Increased expression of the adult stem cell marker Musashi-1 in the ectopic endometrium of adenomyosis does not correlate with serum estradiol and progesterone levels. Eur. J. Obstet. Gynecol. Reprod. Biol. 2014, 173, 88–93. [Google Scholar] [CrossRef]
- Lu, X.; Lin, F.; Fang, H.; Yang, X.; Qin, L. Expression of a putative stem cell marker Musashi-1 in endometrium. Histol. Histopathol. 2011, 26, 1127–1133. [Google Scholar] [CrossRef] [PubMed]
- Colitti, M.; Farinacci, M. Expression of a putative stem cell marker, Musashi 1, in mammary glands of ewes. J. Mol. Histol. 2009, 40, 139–149. [Google Scholar] [CrossRef] [PubMed]
- Hapangama, D.K.; Drury, J.; Da Silva, L.; Al-Lamee, H.; Earp, A.; Valentijn, A.J.; Edirisinghe, D.P.; Murray, P.A.; Fazleabas, A.T.; Gargett, C.E. Abnormally located SSEA1+/SOX9+ endometrial epithelial cells with a basalis-like phenotype in the eutopic functionalis layer may play a role in the pathogenesis of endometriosis. Hum. Reprod. 2019, 34, 56–68. [Google Scholar] [CrossRef] [PubMed]
- Götte, M.; Wolf, M.; Staebler, A.; Buchweitz, O.; Kiesel, L.; Schüring, A.N. Aberrant expression of the pluripotency marker SOX-2 in endometriosis. Fertil. Steril. 2011, 95, 338–341. [Google Scholar] [CrossRef]





| Group | Age | Diagnosis | Cycle | GPA | Symptoms |
|---|---|---|---|---|---|
| AM Group | 44 | Adenomyosis uteri | p | 000 | dysmenorrhea |
| 47 | Adenomyosis uteri | p | NI | - | |
| 42 | Adenomyosis uteri | p | 102 | defecation problems | |
| 43 | Endometriosis | p | 321 | lower abdominal pain | |
| 36 | Adenomyosis uteri | p | 422 | - | |
| 43 | Adenomyosis uteri | p | 413 | dysmenorrhea, hypermenorrhea | |
| 47 | Endometriosis | * | 220 | dysmenorrhea, hypermenorrhea | |
| 50 | Adenomyosis uteri | s | 321 | hypermenorrhea | |
| 37 | Adenomyosis uteri | p | 000 | dysmenorrhea | |
| 47 | Adenomyosis uteri | p | 110 | hypermenorrhea | |
| 30 | Adenomyosis uteri | s | 000 | dysmenorrhea, hypermenorrhea | |
| 37 | Adenomyosis uteri | p | 000 | hypermenorrhea, lower abdominal pain | |
| 41 | Adenomyosis uteri | s | 954 | dysmenorrhea, hypermenorrhea | |
| 34 | Adenomyosis uteri | a | 000 | - | |
| 37 | Adenomyosis uteri | p | NI | - | |
| 44 | Adenomyosis uteri | s | 000 | hypermenorrhea | |
| 36 | Adenomyosis uteri | p | 413 | dysmenorrhea, hypermenorrhea | |
| 41 | Adenomyosis uteri | p | 220 | dyspareunia, hypermenorrhea | |
| 41 | Adenomyosis uteri | p | 000 | - | |
| 41 | Adenomyosis uteri | p | 220 | dysmenorrhea | |
| 30 | Adenomyosis uteri | p | NI | dysmenorrhea | |
| 39 | Adenomyosis uteri and endometriosis | * | 000 | - | |
| 47 | Endometriosis | a | 110 | dysmenorrhea, dyspareunia, hypermenorrhea | |
| 45 | Adenomyosis uteri and endometriosis | * | 000 | dysmenorrhea, lower abdominal pain | |
| 45 | Endometriosis | * | 000 | dysmenorrhea, dyspareunia | |
| Non-AM Group | 46 | Uterus myomatous | s | 120 | lower abdominal pain |
| 47 | Uterus myomatous | p | NI | postmenopausal syndrome | |
| 37 | Uterus myomatous | s | 211 | - | |
| 45 | Vascular anomaly | s | 211 | dysmenorrhea | |
| 48 | Uterus myomatous | p | 000 | hypermenorrhea | |
| 50 | Uterus myomatous | p | NI | - | |
| 43 | Uterus myomatous | s | 000 | dyschezia | |
| 50 | Uterus myomatous | * | 220 | micturation disorders | |
| 32 | Cervical intraepithelial neoplasia III | p | 541 | - | |
| 44 | Uterus myomatous | p | 330 | hypermenorrhea | |
| 17 | Uterus didelphys | p | 000 | - | |
| 48 | Uterus myomatous | p | 220 | lower abdominal pain, hypermenorrhea | |
| 41 | Chronic endocervicitis | s | 220 | - | |
| 50 | Uterus myomatous | s | NI | - | |
| 44 | Uterus myomatous | s | NI | - |
| Marker | Eutopic Epithelial Cells | Ectopic Epithelial Cells | Stromal Cells | Myometrial Cells |
|---|---|---|---|---|
| E-cadherin Non-AM | +++ | # | − | − |
| E-cadherin AM | ++ | ++ | − | − |
| SOX-2 Non-AM | − | # | − | − |
| SOX-2 AM | − | − | − | − |
| MSI-1Non-AM | − | # | − | − |
| MSI-1 AM | − | − | − | − |
| SSEA-1 Non-AM | + | # | + | − |
| SSEA-1 AM | + | ++ | − | − |
| Lesion | Basalis | Functionalis | |
|---|---|---|---|
| Centered | 9/22 | 11/18 | 9/13 |
| Eccentric | 8/22 | 4/18 | 3/13 |
| Luminal | 5/22 | 3/18 | 1/13 |
| Total Occurrence | 22/25 | 18/21 | 13/14 |
Disclaimer/Publisher’s Note: The statements, opinions and data contained in all publications are solely those of the individual author(s) and contributor(s) and not of MDPI and/or the editor(s). MDPI and/or the editor(s) disclaim responsibility for any injury to people or property resulting from any ideas, methods, instructions or products referred to in the content. |
© 2024 by the authors. Licensee MDPI, Basel, Switzerland. This article is an open access article distributed under the terms and conditions of the Creative Commons Attribution (CC BY) license (https://creativecommons.org/licenses/by/4.0/).
Share and Cite
Tian, J.; Hoffmann, V.; Ibrahim, M.G.; Hansen, U.; Schüring, A.N.; Velho, R.V.; Mechsner, S.; Götte, M. Characterization of E-Cadherin, SSEA-1, MSI-1, and SOX-2 Expression and Their Association with Pale Cells in Adenomyosis. Biomolecules 2024, 14, 1355. https://doi.org/10.3390/biom14111355
Tian J, Hoffmann V, Ibrahim MG, Hansen U, Schüring AN, Velho RV, Mechsner S, Götte M. Characterization of E-Cadherin, SSEA-1, MSI-1, and SOX-2 Expression and Their Association with Pale Cells in Adenomyosis. Biomolecules. 2024; 14(11):1355. https://doi.org/10.3390/biom14111355
Chicago/Turabian StyleTian, Jingjun, Veronika Hoffmann, Mohamed Gamal Ibrahim, Uwe Hansen, Andreas N. Schüring, Renata Voltolini Velho, Sylvia Mechsner, and Martin Götte. 2024. "Characterization of E-Cadherin, SSEA-1, MSI-1, and SOX-2 Expression and Their Association with Pale Cells in Adenomyosis" Biomolecules 14, no. 11: 1355. https://doi.org/10.3390/biom14111355
APA StyleTian, J., Hoffmann, V., Ibrahim, M. G., Hansen, U., Schüring, A. N., Velho, R. V., Mechsner, S., & Götte, M. (2024). Characterization of E-Cadherin, SSEA-1, MSI-1, and SOX-2 Expression and Their Association with Pale Cells in Adenomyosis. Biomolecules, 14(11), 1355. https://doi.org/10.3390/biom14111355

