Cardioprotective Effects of Ursodeoxycholic Acid in Isoprenaline-Induced Myocardial Injury in Rats
Abstract
1. Introduction
2. Materials and Methods
2.1. Experimental Animals
2.2. Serum Cardiac Markers and Lipid Profile Measurement
2.3. Heart Tissue Homogenization
2.4. Oxidative Stress Markers
2.5. Quantitative PCR Analysis
2.6. Histopathological Analysis
2.7. Statistical Analysis
3. Results
3.1. Effects on Biochemical Parameters and Serum Cardiac Markers
3.2. Effects on Lipid Status
3.3. Effects on Oxidative Stress Markers
3.4. Effects on Gene Expression Levels
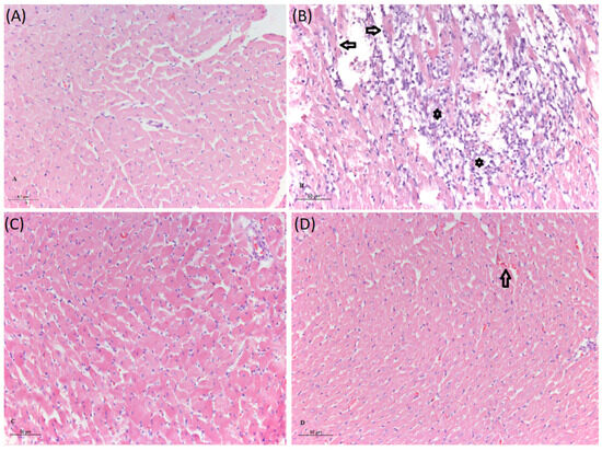
3.5. Pathohistological Analyses of Rat Hearts
4. Discussion
5. Conclusions
Supplementary Materials
Author Contributions
Funding
Institutional Review Board Statement
Informed Consent Statement
Data Availability Statement
Conflicts of Interest
References
- Safiri, S.; Karamzad, N.; Singh, K.; Carson-Chahhoud, K.; Adams, C.; Nejadghaderi, S.A.; Almasi-Hashiani, A.; Sullman, M.J.M.; Mansournia, M.A.; Bragazzi, N.L.; et al. Burden of ischemic heart disease and its attributable risk factors in 204 countries and territories, 1990–2019. Eur. J. Prev. Cardiol. 2022, 29, 420–431. [Google Scholar] [CrossRef]
- Salari, N.; Morddarvanjoghi, F.; Abdolmaleki, A.; Rasoulpoor, S.; Khaleghi, A.A.; Hezarkhani, L.A.; Shohaimi, S.; Mohammadi, M. The global prevalence of myocardial infarction: A systematic review and meta-analysis. BMC Cardiovasc. Disord. 2023, 23, 206. [Google Scholar] [CrossRef]
- Ibanez, B.; James, S.; Agewall, S.; Antunes, M.J.; Bucciarelli-Ducci, C.; Bueno, H.; Caforio, A.L.P.; Crea, F.; Goudevenos, J.A.; Halvorsen, S.; et al. 2017 ESC Guidelines for the management of acute myocardial infarction in patients presenting with ST-segment elevation: The Task Force for the management of acute myocardial infarction in patients presenting with ST-segment elevation of the European Society of Cardiology (ESC). Eur. Heart J. 2018, 39, 119–177. [Google Scholar] [CrossRef] [PubMed]
- Maxwell, S. Emergency management of acute myocardial infarction. Br. J. Clin. Pharmacol. 1999, 48, 284–298. [Google Scholar] [CrossRef] [PubMed]
- Kowdley, K.V. Ursodeoxycholic acid therapy in hepatobiliary disease. Am. J. Med. 2000, 108, 481–486. [Google Scholar] [CrossRef]
- Zheng, Y.; Xu, M.; Li, Y.; Hruby, A.; Rimm, E.B.; Hu, F.B.; Wirth, J.; Albert, C.M.; Rexrode, K.M.; Manson, J.E.; et al. Gallstones and Risk of Coronary Heart Disease: Prospective Analysis of 270,000 Men and Women From 3 US Cohorts and Meta-Analysis. Arterioscler. Thromb. Vasc. Biol. 2016, 36, 1997–2003. [Google Scholar] [CrossRef] [PubMed]
- Li, Y.; Li, J.; Leng, A.; Zhang, G.; Qu, J. Cardiac complications caused by biliary diseases: A review of clinical manifestations, pathogenesis and treatment strategies of cholecardia syndrome. Pharmacol. Res. 2024, 199, 107006. [Google Scholar] [CrossRef]
- Amaral, J.D.; Viana, R.J.; Ramalho, R.M.; Steer, C.J.; Rodrigues, C.M. Bile acids: Regulation of apoptosis by ursodeoxycholic acid. J. Lipid Res. 2009, 50, 1721–1734. [Google Scholar] [CrossRef]
- Ko, W.K.; Kim, S.J.; Jo, M.J.; Choi, H.; Lee, D.; Kwon, I.K.; Lee, S.H.; Han, I.B.; Sohn, S. Ursodeoxycholic Acid Inhibits Inflammatory Responses and Promotes Functional Recovery After Spinal Cord Injury in Rats. Mol. Neurobiol. 2019, 56, 267–277. [Google Scholar] [CrossRef]
- Lukivskaya, O.; Patsenker, E.; Buko, V.U. Protective effect of ursodeoxycholic acid on liver mitochondrial function in rats with alloxan-induced diabetes: Link with oxidative stress. Life Sci. 2007, 80, 2397–2402. [Google Scholar] [CrossRef]
- Pavlovic, N.; Stanimirov, B.; Mikov, M. Bile Acids as Novel Pharmacological Agents: The Interplay Between Gene Polymorphisms, Epigenetic Factors and Drug Response. Curr. Pharm. Des. 2017, 23, 187–215. [Google Scholar] [CrossRef] [PubMed]
- Milivojac, T.; Grabež, M.; Krivokuća, A.; Maličević, U.; Bojić, M.G.; Đukanović, Đ.; Uletilović, S.; Mandić-Kovačević, N.; Cvjetković, T.; Barudžija, M.; et al. Ursodeoxycholic and chenodeoxycholic bile acids attenuate systemic and liver inflammation induced by lipopolysaccharide in rats. Mol. Cell. Biochem. 2024. [Google Scholar] [CrossRef] [PubMed]
- Sokolovic, D.; Nikolic, J.; Kocic, G.; Jevtovic-Stoimenov, T.; Veljkovic, A.; Stojanovic, M.; Stanojkovic, Z.; Sokolovic, D.M.; Jelic, M. The effect of ursodeoxycholic acid on oxidative stress level and DNase activity in rat liver after bile duct ligation. Drug Chem. Toxicol. 2013, 36, 141–148. [Google Scholar] [CrossRef]
- Lee, W.Y.; Han, S.H.; Cho, T.S.; Yoo, Y.H.; Lee, S.M. Effect of ursodeoxycholic acid on ischemia/reperfusion injury in isolated rat heart. Arch. Pharm. Res. 1999, 22, 479–484. [Google Scholar] [CrossRef]
- Rajesh, K.G.; Suzuki, R.; Maeda, H.; Yamamoto, M.; Yutong, X.; Sasaguri, S. Hydrophilic bile salt ursodeoxycholic acid protects myocardium against reperfusion injury in a PI3K/Akt dependent pathway. J. Mol. Cell. Cardiol. 2005, 39, 766–776. [Google Scholar] [CrossRef] [PubMed]
- Ferraro, E.; Pozhidaeva, L.; Pitcher, D.S.; Mansfield, C.; Koh, J.H.B.; Williamson, C.; Aslanidi, O.; Gorelik, J.; Ng, F.S. Prolonged ursodeoxycholic acid administration reduces acute ischaemia-induced arrhythmias in adult rat hearts. Sci. Rep. 2020, 10, 15284. [Google Scholar] [CrossRef]
- Song, Z.; Tian, X.; Shi, Q. Fas, Caspase-8, and Caspase-9 pathway-mediated bile acid-induced fetal cardiomyocyte apoptosis in intrahepatic cholestasis pregnant rat models. J. Obstet. Gynaecol. Res. 2021, 47, 2298–2306. [Google Scholar] [CrossRef]
- Ohkawa, H.; Ohishi, N.; Yagi, K. Assay for lipid peroxides in animal tissues by thiobarbituric acid reaction. Anal. Biochem. 1979, 95, 351–358. [Google Scholar] [CrossRef]
- Beutler, E. Manual of Biochemical Methods; Grune and Stratton: New York, NY, USA, 1982. [Google Scholar]
- Beutler, E. Red Cell Metabolism a Manual of Biochemical Methods, 3rd ed.; Grune and Stratton: Philadelphia, PE, USA, 1984. [Google Scholar]
- Beutler, E.; Duron, O.; Kelly, B.M. Improved method for the determination of blood glutathione. J. Lab. Clin. Med. 1963, 61, 882–888. [Google Scholar]
- Rankovic, M.; Draginic, N.; Jeremic, J.; Samanovic, A.M.; Stojkov, S.; Mitrovic, S.; Jeremic, N.; Radonjic, T.; Srejovic, I.; Bolevich, S.; et al. Protective Role of Vitamin B1 in Doxorubicin-Induced Cardiotoxicity in Rats: Focus on Hemodynamic, Redox, and Apoptotic Markers in Heart. Front. Physiol. 2021, 12, 690619. [Google Scholar] [CrossRef]
- Rona, G.; Kahn, D.S.; Chappel, C.L. Study on the healing of cardiac necrosis in the rat. Am. J. Pathol. 1961, 39, 473–489. [Google Scholar] [PubMed]
- Shao, Y.; Redfors, B.; Täng, M.S.; Möllmann, H.; Troidl, C.; Szardien, S.; Hamm, C.; Nef, H.; Borén, J.; Omerovic, E.; et al. Novel rat model reveals important roles of β-adrenoreceptors in stress-induced cardiomyopathy. Int. J. Cardiol. 2013, 168, 1943–1950. [Google Scholar] [CrossRef] [PubMed]
- Raish, M. Momordica charantia polysaccharides ameliorate oxidative stress, hyperlipidemia, inflammation, and apoptosis during myocardial infarction by inhibiting the NF-κB signaling pathway. Int. J. Biol. Macromol. 2017, 97, 544–551. [Google Scholar] [CrossRef] [PubMed]
- Zhang, J.; Knapton, A.; Lipshultz, S.E.; Weaver, J.L.; Herman, E.H. Isoproterenol-induced cardiotoxicity in sprague-dawley rats: Correlation of reversible and irreversible myocardial injury with release of cardiac troponin T and roles of iNOS in myocardial injury. Toxicol. Pathol. 2008, 36, 277–288. [Google Scholar] [CrossRef]
- Bajic, Z.; Sobot, T.; Uletilovic, S.; Mandic-Kovacevic, N.; Cvjetkovic, T.; Malicevic, U.; Djukanovic, D.; Duran, M.; Vesic, N.; Avram, S.; et al. Cardioprotective effects of liraglutide pretreatment on isoprenaline-induced myocardial injury in rats. Can. J. Physiol. Pharmacol. 2023, 101, 258–267. [Google Scholar] [CrossRef]
- Marinković, S.T.; Đukanović, Đ.; Duran, M.; Bajic, Z.; Sobot, T.; Uletilović, S.; Mandić-Kovacević, N.; Cvjetković, T.; Maksimović, Ž.M.; Maličević, U.; et al. Pomegranate Peel Extract Attenuates Isoprenaline-Induced Takotsubo-like Myocardial Injury in Rats. Pharmaceutics 2023, 15, 1697. [Google Scholar] [CrossRef]
- Sobot, T.; Bajic, Z.; Skrbic, R.; Uletilovic, S.; Mandic-Kovacevic, N.; Cvjetkovic, T.; Malicevic, U.; Djukanovic, D.; Bojic, M.G.; Jovicic, S.; et al. Effect of folic acid on isoprenaline-induced myocardial injury in rats. Physiol. Int. 2024, 111, 80–96. [Google Scholar] [CrossRef]
- Geetha, A.; Sankar, R.; Marar, T.; Devi, C.S. Alpha-tocopherol reduces doxorubicin-induced toxicity in rats--histological and biochemical evidences. Indian J. Physiol. Pharmacol. 1990, 34, 94–100. [Google Scholar]
- Panda, S.; Kar, A.; Biswas, S. Preventive effect of Agnucastoside C against Isoproterenol-induced myocardial injury. Sci. Rep. 2017, 7, 16146. [Google Scholar] [CrossRef]
- Younis, N.S.; Abduldaium, M.S.; Mohamed, M.E. Protective Effect of Geraniol on Oxidative, Inflammatory and Apoptotic Alterations in Isoproterenol-Induced Cardiotoxicity: Role of the Keap1/Nrf2/HO-1 and PI3K/Akt/mTOR Pathways. Antioxidants 2020, 9, 977. [Google Scholar] [CrossRef]
- Jenab, Y.; Hashemi, S.R.; Ghaffari-Marandi, N.; Zafarghandi, H.; Shahmansouri, N. Psychological Features of Takotsubo Cardiomyopathy: Report of Four Cases. J. Tehran Heart Cent. 2017, 12, 95–98. [Google Scholar] [PubMed]
- Jain, P.G.; Mahajan, U.B.; Shinde, S.D.; Surana, S.J. Cardioprotective role of FA against isoproterenol induced cardiac toxicity. Mol. Biol. Rep. 2018, 45, 1357–1365. [Google Scholar] [CrossRef] [PubMed]
- Ndrepepa, G. Aspartate aminotransferase and cardiovascular disease—A narrative review. J. Lab. Precis. Med. 2021, 6, 6. [Google Scholar] [CrossRef]
- Djuric, D.M. Editorial: Sulfur-Containing Amino Acids in Cardiovascular and Neural Physiology, Pathophysiology and Pharmacology: An Overview and Update. Curr. Med. Chem. 2018, 25, 322–323. [Google Scholar] [CrossRef]
- Ou, Q.; Zhang, J.; Wen, X.; Yang, L.; Tao, L. Clinical significance of carotid intima-media thickness and plasma homocysteine in acute ST-segment elevation myocardial infarction. Cardiovasc. Diagn. Ther. 2023, 13, 917–928. [Google Scholar] [CrossRef] [PubMed]
- Toroser, D.; Sohal, R.S. Age-associated perturbations in glutathione synthesis in mouse liver. Biochem. J. 2007, 405, 583–589. [Google Scholar] [CrossRef]
- Ponnian, S.M.P. Preventive effects of (-) epicatechin on tachycardia, cardiac hypertrophy, and nuclear factor- κB inflammatory signaling pathway in isoproterenol-induced myocardial infarcted rats. Eur. J. Pharmacol. 2022, 924, 174909. [Google Scholar] [CrossRef]
- Ilic, A.; Todorovic, D.; Mutavdzin, S.; Boricic, N.; Bozic Nedeljkovic, B.; Stankovic, S.; Simic, T.; Stevanovic, P.; Celic, V.; Djuric, D. Translocator Protein Modulation by 4′-Chlorodiazepam and NO Synthase Inhibition Affect Cardiac Oxidative Stress, Cardiometabolic and Inflammatory Markers in Isoprenaline-Induced Rat Myocardial Infarction. Int. J. Mol. Sci. 2021, 22, 2867. [Google Scholar] [CrossRef]
- Eltobshy, S.A.G.; Hussein, A.M.; Elmileegy, A.A.; Askar, M.H.; Khater, Y.; Metias, E.F.; Helal, G.M. Effects of heme oxygenase-1 upregulation on isoproterenol-induced myocardial infarction. Korean J. Physiol. Pharmacol. 2019, 23, 203–217. [Google Scholar] [CrossRef]
- Mandić-Kovačević, N.; Kukrić, Z.; Latinović, S.; Cvjetković, T.; Šobot, T.; Bajić, Z.; Maličević, U.; Marinković, S.; Đukanović, Đ.; Uletilović, S.; et al. Antioxidative potential of pomegranate peel extract: In vitro and in vivo studies. Scr. Med. 2023, 54, 9–18. [Google Scholar] [CrossRef]
- Rajadurai, M.; Mainzen, S.; Prince, P. Preventive effect of naringin on lipid peroxides and antioxidants in isoproterenol-induced cardiotoxicity in Wistar rats: Biochemical and histopathological evidences. Toxicology 2006, 228, 259–268. [Google Scholar] [CrossRef] [PubMed]
- Koçak, H.; Yekeler, I.; Başoğlu, A.; Paç, M.; Senocak, H.; Yüksek, M.S.; Ateş, A.; Göksu, S. The effect of superoxide dismutase and reduced glutathione on cardiac performance after coronary occlusion and reperfusion—An experimental study in dogs. Thorac. Cardiovasc. Surg. 1992, 40, 140–143. [Google Scholar] [CrossRef] [PubMed]
- Antunes, F.; Han, D.; Cadenas, E. Relative contributions of heart mitochondria glutathione peroxidase and catalase to H2O2 detoxification in in vivo conditions. Free Radic. Biol. Med. 2002, 33, 1260–1267. [Google Scholar] [CrossRef] [PubMed]
- Aydin, S.; Ugur, K.; Aydin, S.; Sahin, İ.; Yardim, M. Biomarkers in acute myocardial infarction: Current perspectives. Vasc. Health Risk Manag. 2019, 15, 1–10. [Google Scholar] [CrossRef] [PubMed]
- Radhiga, T.; Rajamanickam, C.; Senthil, S.; Pugalendi, K.V. Effect of ursolic acid on cardiac marker enzymes, lipid profile and macroscopic enzyme mapping assay in isoproterenol-induced myocardial ischemic rats. Food Chem. Toxicol. 2012, 50, 3971–3977. [Google Scholar] [CrossRef]
- Panda, V.S.; Naik, S.R. Evaluation of cardioprotective activity of Ginkgo biloba and Ocimum sanctum in rodents. Altern. Med. Rev. 2009, 14, 161–171. [Google Scholar]
- Simental-Mendía, L.E.; Simental-Mendía, M.; Sánchez-García, A.; Banach, M.; Serban, M.C.; Cicero, A.F.G.; Sahebkar, A. Impact of ursodeoxycholic acid on circulating lipid concentrations: A systematic review and meta-analysis of randomized placebo-controlled trials. Lipids Health Dis. 2019, 18, 88. [Google Scholar] [CrossRef]
- Wang, X. The expanding role of mitochondria in apoptosis. Genes Dev. 2001, 15, 2922–2933. [Google Scholar] [PubMed]
- Viswanadha, V.P.; Dhivya, V.; Beeraka, N.M.; Huang, C.Y.; Gavryushova, L.V.; Minyaeva, N.N.; Chubarev, V.N.; Mikhaleva, L.M.; Tarasov, V.V.; Aliev, G. The protective effect of piperine against isoproterenol-induced inflammation in experimental models of myocardial toxicity. Eur. J. Pharmacol. 2020, 885, 173524. [Google Scholar] [CrossRef]
- Xing, Z.; Yang, C.; He, J.; Feng, Y.; Li, X.; Peng, C.; Li, D. Cardioprotective Effects of Aconite in Isoproterenol-Induced Myocardial Infarction in Rats. Oxid. Med. Cell. Longev. 2022, 2022, 1090893. [Google Scholar] [CrossRef]
- Keely, S.J.; Steer, C.J.; Lajczak-McGinley, N.K. Ursodeoxycholic acid: A promising therapeutic target for inflammatory bowel diseases? Am. J. Physiol. Gastrointest. Liver Physiol. 2019, 317, G872–G881. [Google Scholar] [CrossRef] [PubMed]
- Wang, Y.D.; Chen, W.D.; Yu, D.; Forman, B.M.; Huang, W. The G-protein-coupled bile acid receptor, Gpbar1 (TGR5), negatively regulates hepatic inflammatory response through antagonizing nuclear factor κ light-chain enhancer of activated B cells (NF-κB) in mice. Hepatology 2011, 54, 1421–1432. [Google Scholar] [CrossRef] [PubMed]
- Xiao, H.; Sun, X.; Liu, R.; Chen, Z.; Lin, Z.; Yang, Y.; Zhang, M.; Liu, P.; Quan, S.; Huang, H. Gentiopicroside activates the bile acid receptor Gpbar1 (TGR5) to repress NF-kappaB pathway and ameliorate diabetic nephropathy. Pharmacol. Res. 2020, 151, 104559. [Google Scholar] [CrossRef]
- Ali, F.E.M.; Hassanein, E.H.M.; Bakr, A.G.; El-Shoura, E.A.M.; El-Gamal, D.A.; Mahmoud, A.R.; Abd-Elhamid, T.H. Ursodeoxycholic acid abrogates gentamicin-induced hepatotoxicity in rats: Role of NF-κB-p65/TNF-α, Bax/Bcl-xl/Caspase-3, and eNOS/iNOS pathways. Life Sci. 2020, 254, 117760. [Google Scholar] [CrossRef] [PubMed]
- Abbate, A.; Bussani, R.; Amin, M.S.; Vetrovec, G.W.; Baldi, A. Acute myocardial infarction and heart failure: Role of apoptosis. Int. J. Biochem. Cell Biol. 2006, 38, 1834–1840. [Google Scholar] [CrossRef]
- Bajic, Z.; Sobot, T.; Amidzic, L.; Vojinovic, N.; Jovicic, S.; Gajic Bojic, M.; Djuric, D.M.; Stojiljkovic, M.P.; Bolevich, S.; Skrbic, R. Liraglutide Protects Cardiomyocytes against Isoprenaline-Induced Apoptosis in Experimental Takotsubo Syndrome. Biomedicines 2024, 12, 1207. [Google Scholar] [CrossRef]
- Zhao, Z.; Li, F.; Jiang, Y.; Lu, C. Renal Denervation Ameliorates Cardiomyocyte Apoptosis in Myocardial Ischemia-Reperfusion Injury Through Regulating Mitochondria-Endoplasmic Reticulum Contact. Anatol. J. Cardiol. 2024, 28, 353–362. [Google Scholar] [CrossRef]
- Hareeri, R.H.; Alam, A.M.; Bagher, A.M.; Alamoudi, A.J.; Aldurdunji, M.M.; Shaik, R.A.; Eid, B.G.; Ashour, O.M. Protective Effects of 2-Methoxyestradiol on Acute Isoproterenol-Induced Cardiac Injury in Rats. Saudi Pharm. J. 2023, 31, 101787. [Google Scholar] [CrossRef]
- Nichtova, Z.; Novotova, M.; Kralova, E.; Stankovicova, T. Morphological and functional characteristics of models of experimental myocardial injury induced by isoproterenol. Gen. Physiol. Biophys. 2012, 31, 141–151. [Google Scholar] [CrossRef]
- Mohamed, A.S.; Hanafi, N.I.; Sheikh Abdul Kadir, S.H.; Md Noor, J.; Abdul Hamid Hasani, N.; Ab Rahim, S.; Siran, R. Ursodeoxycholic acid protects cardiomyocytes against cobalt chloride induced hypoxia by regulating transcriptional mediator of cells stress hypoxia inducible factor 1α and p53 protein. Cell Biochem. Funct. 2017, 35, 453–463. [Google Scholar] [CrossRef]







| Groups (Mean ± SD) | ||||
|---|---|---|---|---|
| Parameters | C | I | UDCA | UDCA + I |
| AST (U/L) | 132.33 ± 21.56 | 279.38 ± 101.87 †† | 122.51 ± 34.12 | 148.01 ± 35.48 ** |
| ALT (U/L) | 48.17 ± 6.05 | 64.38 ± 9.74 †† | 48.83 ± 9.41 | 61.60 ± 11.73 |
| hsTnI (pg/mol) | 14.18 ± 10.96 | 2310.88 ± 2141.70 ††† | 6.50 ± 5.71 | 116.85 ± 33.68 *** |
| Hcy (μmol/L) | 6.00 ± 1.08 | 10.38 ± 2.16 ††† | 6.25 ± 1.05 | 11.05 ± 1.4 |
| Groups (Mean ± SD) | ||||
|---|---|---|---|---|
| Parameters | C | I | UDCA | UDCA + I |
| TC (mmol/L) | 1.78 ± 0.35 | 1.86 ± 0.23 | 1.88 ± 0.21 | 1.71 ± 0.17 |
| LDL (mmol/L) | 0.27 ± 0.05 | 0.44 ± 0.12 †† | 0.23 ± 0.05 | 0.36 ± 0.07 |
| HDL (mmol/L) | 0.57 ± 0.05 | 0.55 ± 0.08 | 0.63 ± 0.05 | 0.55 ± 0.05 |
| TG (mmol/L) | 0.48 ± 0.08 | 0.84 ± 0.24 †† | 0.74 ± 0.73 | 0.81 ± 0.08 |
Disclaimer/Publisher’s Note: The statements, opinions and data contained in all publications are solely those of the individual author(s) and contributor(s) and not of MDPI and/or the editor(s). MDPI and/or the editor(s) disclaim responsibility for any injury to people or property resulting from any ideas, methods, instructions or products referred to in the content. |
© 2024 by the authors. Licensee MDPI, Basel, Switzerland. This article is an open access article distributed under the terms and conditions of the Creative Commons Attribution (CC BY) license (https://creativecommons.org/licenses/by/4.0/).
Share and Cite
Mihajlović, D.; Đukanović, Đ.; Gajić Bojić, M.; Jovičić, S.; Mandić-Kovačević, N.; Uletilović, S.; Maksimović, Ž.M.; Pavlović, N.; Dojčinović, B.; Bolevich, S.; et al. Cardioprotective Effects of Ursodeoxycholic Acid in Isoprenaline-Induced Myocardial Injury in Rats. Biomolecules 2024, 14, 1214. https://doi.org/10.3390/biom14101214
Mihajlović D, Đukanović Đ, Gajić Bojić M, Jovičić S, Mandić-Kovačević N, Uletilović S, Maksimović ŽM, Pavlović N, Dojčinović B, Bolevich S, et al. Cardioprotective Effects of Ursodeoxycholic Acid in Isoprenaline-Induced Myocardial Injury in Rats. Biomolecules. 2024; 14(10):1214. https://doi.org/10.3390/biom14101214
Chicago/Turabian StyleMihajlović, Dalibor, Đorđe Đukanović, Milica Gajić Bojić, Sanja Jovičić, Nebojša Mandić-Kovačević, Snežana Uletilović, Žana M. Maksimović, Nebojša Pavlović, Boris Dojčinović, Sergey Bolevich, and et al. 2024. "Cardioprotective Effects of Ursodeoxycholic Acid in Isoprenaline-Induced Myocardial Injury in Rats" Biomolecules 14, no. 10: 1214. https://doi.org/10.3390/biom14101214
APA StyleMihajlović, D., Đukanović, Đ., Gajić Bojić, M., Jovičić, S., Mandić-Kovačević, N., Uletilović, S., Maksimović, Ž. M., Pavlović, N., Dojčinović, B., Bolevich, S., Mikov, M., Škrbić, R., Banjac, N., & Vasović, V. (2024). Cardioprotective Effects of Ursodeoxycholic Acid in Isoprenaline-Induced Myocardial Injury in Rats. Biomolecules, 14(10), 1214. https://doi.org/10.3390/biom14101214

