Structural Basis of the Interaction between Human Axin2 and SIAH1 in the Wnt/β-Catenin Signaling Pathway
Abstract
1. Introduction
2. Materials and Methods
2.1. Protein Cloning, Expression, and Purification
2.2. Crystallization and Data Collection
2.3. Structure Determination and Refinement
2.4. GST Pull-Down Assays
2.5. Western Blotting
2.6. Biolayer Interferometry (BLI) Assays
2.7. Isothermal Titration Calorimetry (ITC)
3. Results and Discussion
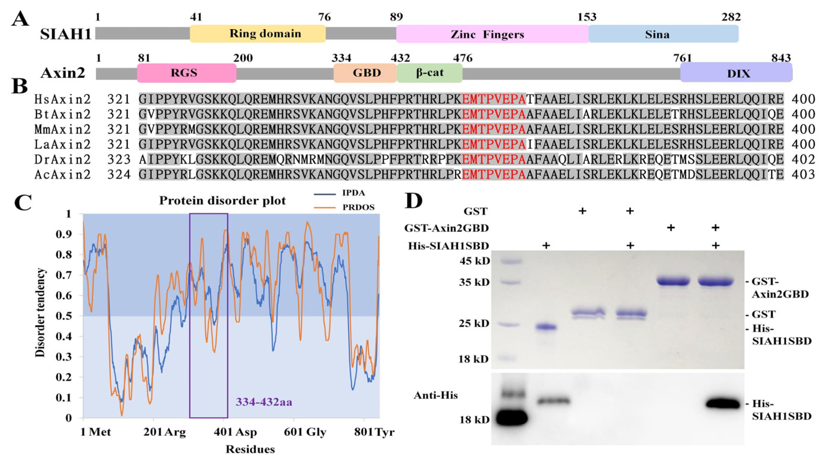
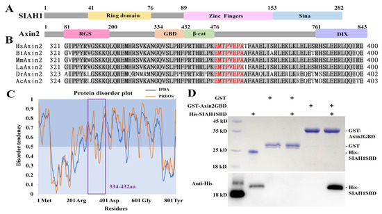
3.1. Biochemical Characterization of Axin2/SIAH1 Interaction
3.2. Crystal Structure of the Axin2/SIAH1 Complex
3.3. The Axin2/SIAH1 Interface and Mutagenesis Analysis
3.4. Axin2/SIAH1 Interaction Indicates a Promising Drug-Binding Site
4. Conclusions
Author Contributions
Funding
Institutional Review Board Statement
Informed Consent Statement
Data Availability Statement
Acknowledgments
Conflicts of Interest
References
- Macdonald, B.T.; Tamai, K.; He, X. Wnt/Beta-Catenin Signaling: Components, Mechanisms, and Diseases. Dev. Cell 2009, 17, 9–26. [Google Scholar] [CrossRef] [PubMed]
- Reya, T.; Clevers, H. Wnt Signalling in Stem Cells and Cancer. Nature 2005, 434, 843–850. [Google Scholar] [CrossRef] [PubMed]
- Zeng, Y.A.; Nusse, R. Wnt Proteins Are Self-Renewal Factors for Mammary Stem Cells and Promote Their Long-Term Expansion in Culture. Cell Stem Cell 2010, 6, 568–577. [Google Scholar] [CrossRef] [PubMed]
- Peifer, M.; Polakis, P. Wnt Signaling in Oncogenesis and Embryogenesis−A Look Outside the Nucleus. Science 2000, 287, 1606–1609. [Google Scholar] [CrossRef]
- Clevers, H.; Nusse, R. Wnt/Beta-Catenin Signaling and Disease. Cell 2012, 149, 1192–1205. [Google Scholar] [CrossRef]
- Stamos, J.L.; Weis, W.I. The Beta-Catenin Destruction Complex. Cold Spring Harb. Perspect. Biol. 2013, 5, a007898. [Google Scholar] [CrossRef]
- Lee, E.; Salic, A.; Kruger, R.; Heinrich, R.; Kirschner, M.W. The Roles of Apc and Axin Derived from Experimental and Theoretical Analysis of the Wnt Pathway. PLoS Biol. 2003, 1, E10. [Google Scholar] [CrossRef]
- Huang, S.M.; Mishina, Y.M.; Liu, S.; Cheung, A.; Stegmeier, F.; Michaud, G.A.; Charlat, O.; Wiellette, E.; Zhang, Y.; Wiessner, S.; et al. Tankyrase Inhibition Stabilizes Axin and Antagonizes Wnt Signalling. Nature 2009, 461, 614–620. [Google Scholar] [CrossRef]
- Yamamoto, H.; Kishida, S.; Kishida, M.; Ikeda, S.; Takada, S.; Kikuchi, A. Phosphorylation of Axin, a Wnt Signal Negative Regulator, by Glycogen Synthase Kinase-3beta Regulates Its Stability. J. Biol. Chem. 1999, 274, 10681–10684. [Google Scholar] [CrossRef]
- Luo, W.; Zou, H.; Jin, L.; Lin, S.; Li, Q.; Ye, Z.; Rui, H.; Lin, S.C. Axin Contains Three Separable Domains That Confer Intramolecular, Homodimeric, and Heterodimeric Interactions Involved in Distinct Functions. J. Biol. Chem. 2005, 280, 5054–5060. [Google Scholar] [CrossRef]
- Song, X.; Wang, S.; Li, L. New Insights into the Regulation of Axin Function in Canonical Wnt Signaling Pathway. Protein Cell 2014, 5, 186–193. [Google Scholar] [CrossRef]
- Ikeda, S.; Kishida, S.; Yamamoto, H.; Murai, H.; Koyama, S.; Kikuchi, A. Axin, a Negative Regulator of the Wnt Signaling Pathway, Forms a Complex with Gsk-3beta and Beta-Catenin and Promotes Gsk-3beta-Dependent Phosphorylation of Beta-Catenin. EMBO J. 1998, 17, 1371–1384. [Google Scholar] [CrossRef] [PubMed]
- Chia, I.V.; Costantini, F. Mouse axin and axin2/conductin proteins are functionally equivalent in vivo. Mol. Cell Biol. 2005, 25, 4371–4376. [Google Scholar] [CrossRef] [PubMed]
- Dao, D.Y.; Yang, X.; Chen, D.; Zuscik, M.; O’keefe, R.J. Axin1 and Axin2 Are Regulated by Tgf- and Mediate Cross-Talk between Tgf- and Wnt Signaling Pathways. Ann. New York Acad. Sci. 2007, 1116, 82–99. [Google Scholar] [CrossRef] [PubMed]
- Liu, W.; Dong, X.; Mai, M.; Seelan, R.S.; Taniguchi, K.; Krishnadath, K.K.; Halling, K.C.; Cunningham, J.M.; Boardman, L.A.; Qian, C.; et al. Mutations in Axin2 Cause Colorectal Cancer with Defective Mismatch Repair by Activating Beta-Catenin/Tcf Signalling. Nat. Genet. 2000, 26, 146–147. [Google Scholar] [CrossRef] [PubMed]
- Lammi, L.; Arte, S.; Somer, M.; Jarvinen, H.; Lahermo, P.; Thesleff, I.; Pirinen, S.; Nieminen, P. Mutations in Axin2 Cause Familial Tooth Agenesis and Predispose to Colorectal Cancer. Am. J. Hum. Genet. 2004, 74, 1043–1050. [Google Scholar] [CrossRef]
- Jho, E.H.; Zhang, T.; Domon, C.; Joo, C.K.; Freund, J.N.; Costantini, F. Wnt/Beta-Catenin/Tcf Signaling Induces the Transcription of Axin2, a Negative Regulator of the Signaling Pathway. Mol. Cell Biol. 2002, 22, 1172–1183. [Google Scholar] [CrossRef]
- Ding, Z.; Shi, C.; Jiang, L.; Tolstykh, T.; Cao, H.; Bangari, D.S.; Ryan, S.; Levit, M.; Jin, T.; Mamaat, K.; et al. Oncogenic Dependency on Beta-Catenin in Liver Cancer Cell Lines Correlates with Pathway Activation. Oncotarget 2017, 8, 114526–114539. [Google Scholar] [CrossRef]
- Kim, W.K.; Byun, W.S.; Chung, H.J.; Oh, J.; Park, H.J.; Choi, J.S.; Lee, S.K. Esculetin Suppresses Tumor Growth and Metastasis by Targeting Axin2/E-Cadherin Axis in Colorectal Cancer. Biochem. Pharmacol. 2018, 152, 71–83. [Google Scholar] [CrossRef]
- Nakayama, K.; Qi, J.; Ronai, Z. The Ubiquitin Ligase Siah2 and the Hypoxia Response. Mol. Cancer Res. 2009, 7, 443–451. [Google Scholar] [CrossRef]
- Siswanto, F.M.; Jawi, I.M.; Kartiko, B.H. The Role of E3 Ubiquitin Ligase Seven in Absentia Homolog in the Innate Immune System: An Overview. Vet. World 2018, 11, 1551–1557. [Google Scholar] [CrossRef] [PubMed]
- Wong, C.S.; Moller, A. Siah: A Promising Anticancer Target. Cancer Res. 2013, 73, 2400–2406. [Google Scholar] [CrossRef] [PubMed]
- Ji, L.; Jiang, B.; Jiang, X.; Charlat, O.; Chen, A.; Mickanin, C.; Bauer, A.; Xu, W.; Yan, X.; Cong, F. The Siah E3 Ubiquitin Ligases Promote Wnt/Beta-Catenin Signaling through Mediating Wnt-Induced Axin Degradation. Genes Dev. 2017, 31, 904–915. [Google Scholar] [CrossRef]
- Otwinowski, Z.; Minor, W. Processing of X-Ray Diffraction Data Collected in Oscillation Mode. Methods Enzymol. 1997, 276, 307–326. [Google Scholar]
- Mccoy, A.J.; Grosse-Kunstleve, R.W.; Adams, P.D.; Winn, M.D.; Storoni, L.C.; Read, R.J. Phaser Crystallographic Software. J. Appl. Crystallogr. 2007, 40, 658–674. [Google Scholar] [CrossRef] [PubMed]
- Rimsa, V.; Eadsforth, T.C.; Hunter, W.N. Two High-Resolution Structures of the Human E3 Ubiquitin Ligase Siah1. Acta Crystallogr. Sect. F Struct. Biol. Cryst. Commun. 2013, 69, 1339–1343. [Google Scholar] [CrossRef]
- Adams, P.D.; Afonine, P.V.; Bunkoczi, G.; Chen, V.B.; Davis, I.W.; Echols, N.; Headd, J.J.; Hung, L.W.; Kapral, G.J.; Grosse-Kunstleve, R.W.; et al. Phenix: A Comprehensive Python-Based System for Macromolecular Structure Solution. Acta Crystallogr. D Biol. Crystallogr. 2010, 66, 213–221. [Google Scholar] [CrossRef]
- Emsley, P.; Cowtan, K. Coot: Model-Building Tools for Molecular Graphics. Acta Crystallogr. D Biol. Crystallogr. 2004, 60, 2126–2132. [Google Scholar] [CrossRef]
- Delano, W.L. The Pymol Molecular Graphics System. Proteins Struct. Funct. Bioinform. 2002, 30, 442–454. [Google Scholar]
- Dajani, R.; Fraser, E.; Roe, S.M.; Yeo, M.; Good, V.M.; Thompson, V.; Dale, T.C.; Pearl, L.H. Structural Basis for Recruitment of Glycogen Synthase Kinase 3beta to the Axin-Apc Scaffold Complex. EMBO J. 2003, 22, 494–501. [Google Scholar] [CrossRef]
- Xing, Y.; Clements, W.K.; Kimelman, D.; Xu, W. Crystal Structure of a Beta-Catenin/Axin Complex Suggests a Mechanism for the Beta-Catenin Destruction Complex. Genes Dev. 2003, 17, 2753–2764. [Google Scholar] [CrossRef]
- Morrone, S.; Cheng, Z.; Moon, R.T.; Cong, F.; Xu, W. Crystal Structure of a Tankyrase-Axin Complex and Its Implications for Axin Turnover and Tankyrase Substrate Recruitment. Proc. Natl. Acad. Sci. USA 2012, 109, 1500–1505. [Google Scholar] [CrossRef]
- Stamos, J.L.; Chu, M.L.; Enos, M.D.; Shah, N.; Weis, W.I. Structural Basis of Gsk-3 Inhibition by N-Terminal Phosphorylation and by the Wnt Receptor Lrp6. eLife 2014, 3, e01998. [Google Scholar] [CrossRef]
- Harnos, J.; Rynes, J.; Viskova, P.; Foldynova-Trantirkova, S.; Bajard-Esner, L.; Trantirek, L.; Bryja, V. Analysis of Binding Interfaces of the Human Scaffold Protein Axin1 by Peptide Microarrays. J. Biol. Chem. 2018, 293, 16337–16347. [Google Scholar] [CrossRef] [PubMed]
- Krishna, S.S.; Majumdar, I.; Grishin, N.V. Structural Classification of Zinc Fingers: Survey and Summary. Nucleic Acids Res. 2003, 31, 532–550. [Google Scholar] [CrossRef] [PubMed]
- Hu, G.; Fearon, E.R. Siah-1 N-Terminal Ring Domain Is Required for Proteolysis Function, and C-Terminal Sequences Regulate Oligomerization and Binding to Target Proteins. Mol. Cell Biol. 1999, 19, 724–732. [Google Scholar] [CrossRef]
- Santelli, E.; Leone, M.; Li, C.; Fukushima, T.; Preece, N.E.; Olson, A.J.; Ely, K.R.; Reed, J.C.; Pellecchia, M.; Liddington, R.C.; et al. Structural Analysis of Siah1-Siah-Interacting Protein Interactions and Insights into the Assembly of an E3 Ligase Multiprotein Complex. J. Biol. Chem. 2005, 280, 34278–34287. [Google Scholar] [CrossRef] [PubMed]







| Data Collection | Axin2356–376/SIAH1-SBD |
|---|---|
| Space group | P21 |
| Cell dimensions | |
| a, b, c (Å) | 40.82, 87.93, 59.70 |
| α, β, γ (°) | 90.00, 101.57, 90.00 |
| Wavelength (Å) | 0.97929 |
| Resolution (Å) | 29.2–2.53 (2.59–2.53) |
| Rpim (%) | 4.6 (24.1) |
| CC1/2 | 98.3 (95.3) |
| Completeness (%) | 99.5 (100.0) |
| Redundancy | 6.7 (6.8) |
| Refinement | |
| Resolution (Å) | 29.24–2.53 |
| No. reflections | 13,789 |
| a Rwork/b Rfree (%) | 20.68/23.53 |
| No. atoms | 3049 |
| R.m.s deviations | |
| Bond lengths (Å) | 0.004 |
| Bond angles (°) | 0.762 |
| Ramachandran plot (%) | |
| Most favorable | 92.7 |
| Allowed | 7.3 |
| Outliers | 0 |
Disclaimer/Publisher’s Note: The statements, opinions and data contained in all publications are solely those of the individual author(s) and contributor(s) and not of MDPI and/or the editor(s). MDPI and/or the editor(s) disclaim responsibility for any injury to people or property resulting from any ideas, methods, instructions or products referred to in the content. |
© 2023 by the authors. Licensee MDPI, Basel, Switzerland. This article is an open access article distributed under the terms and conditions of the Creative Commons Attribution (CC BY) license (https://creativecommons.org/licenses/by/4.0/).
Share and Cite
Chen, L.; Liu, Y.-P.; Tian, L.-F.; Li, M.; Yang, S.; Wang, S.; Xu, W.; Yan, X.-X. Structural Basis of the Interaction between Human Axin2 and SIAH1 in the Wnt/β-Catenin Signaling Pathway. Biomolecules 2023, 13, 647. https://doi.org/10.3390/biom13040647
Chen L, Liu Y-P, Tian L-F, Li M, Yang S, Wang S, Xu W, Yan X-X. Structural Basis of the Interaction between Human Axin2 and SIAH1 in the Wnt/β-Catenin Signaling Pathway. Biomolecules. 2023; 13(4):647. https://doi.org/10.3390/biom13040647
Chicago/Turabian StyleChen, Lianqi, Yan-Ping Liu, Li-Fei Tian, Mingzhou Li, Shuyu Yang, Song Wang, Wenqing Xu, and Xiao-Xue Yan. 2023. "Structural Basis of the Interaction between Human Axin2 and SIAH1 in the Wnt/β-Catenin Signaling Pathway" Biomolecules 13, no. 4: 647. https://doi.org/10.3390/biom13040647
APA StyleChen, L., Liu, Y.-P., Tian, L.-F., Li, M., Yang, S., Wang, S., Xu, W., & Yan, X.-X. (2023). Structural Basis of the Interaction between Human Axin2 and SIAH1 in the Wnt/β-Catenin Signaling Pathway. Biomolecules, 13(4), 647. https://doi.org/10.3390/biom13040647

