TLR4 Expression in Ex-Lichenoid Lesions—Oral Squamous Cell Carcinomas and Its Surrounding Epithelium: The Role of Tumor Inflammatory Microenvironment
Abstract
:1. Introduction
2. Materials and Methods
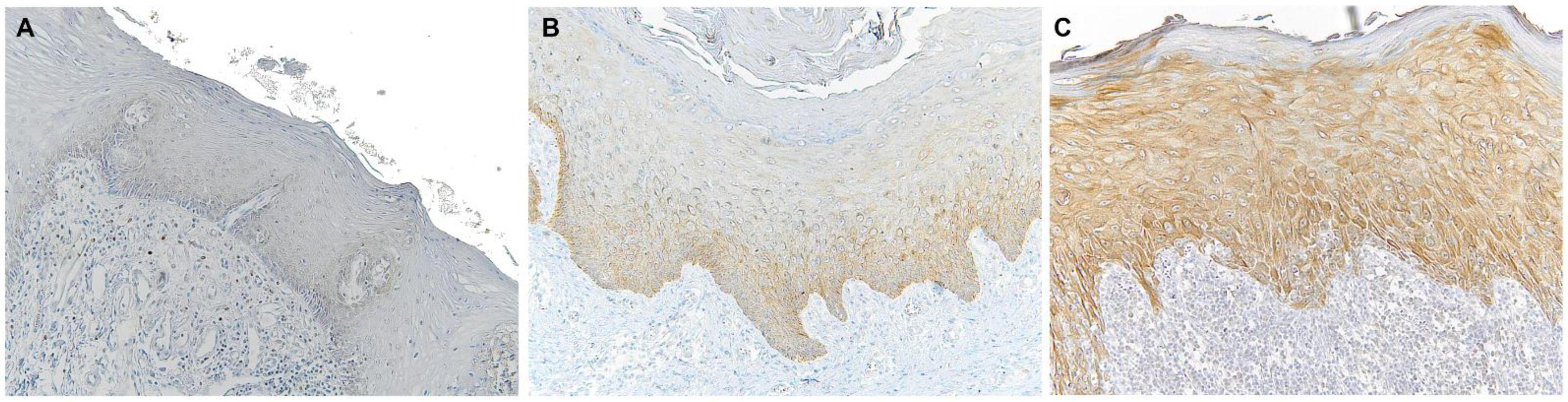
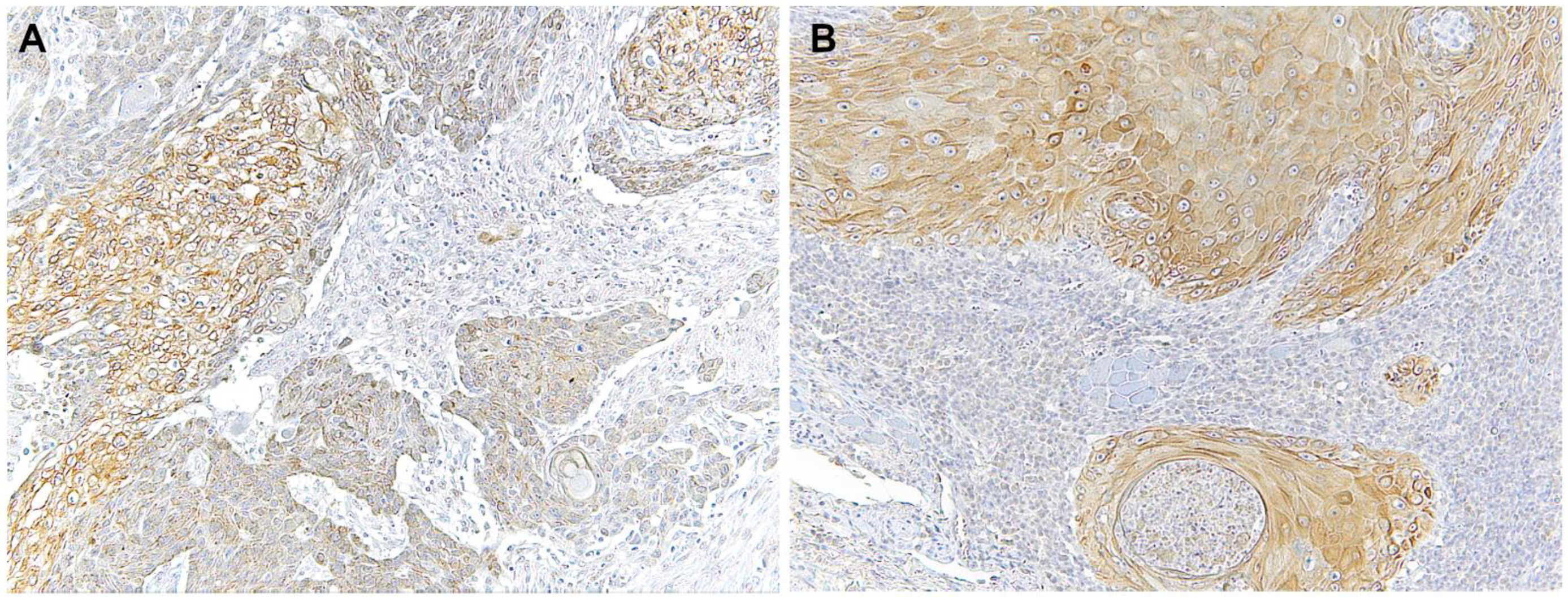
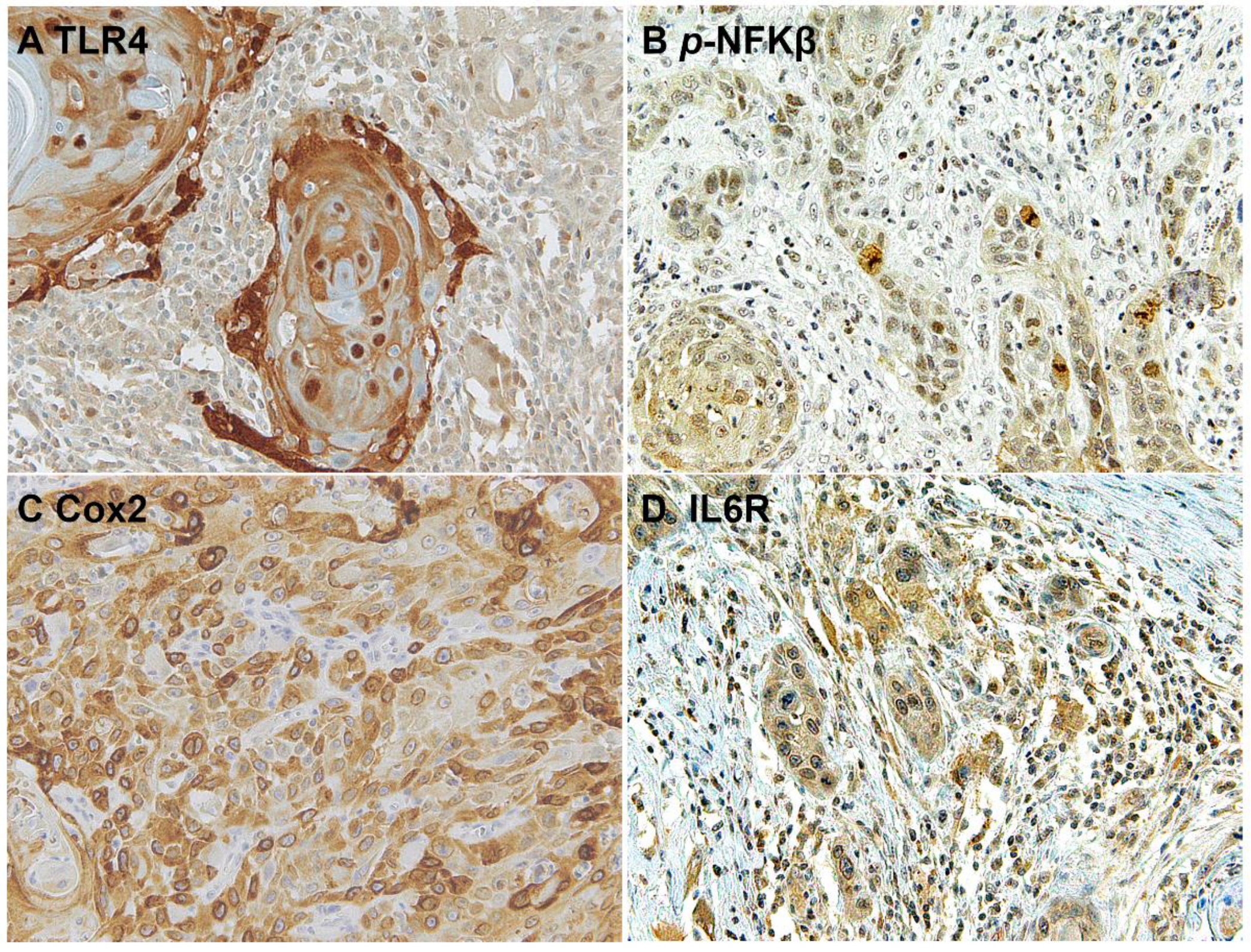
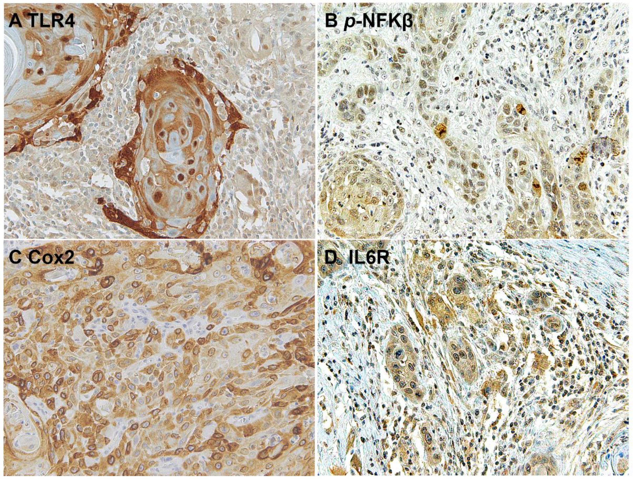
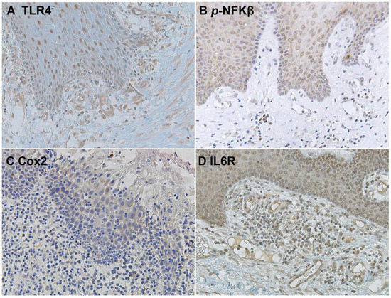
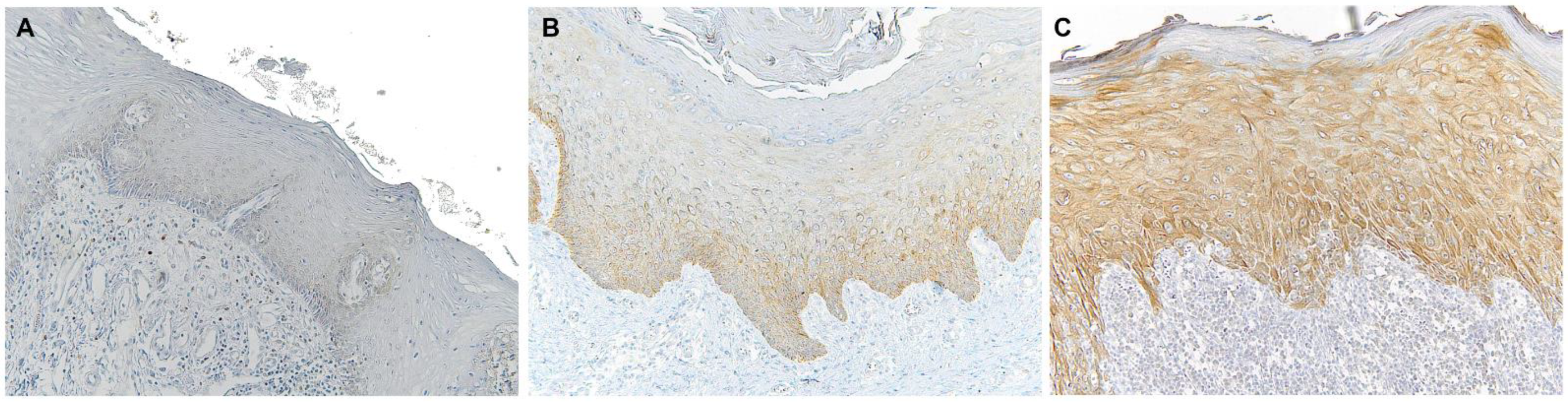
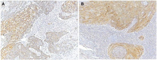
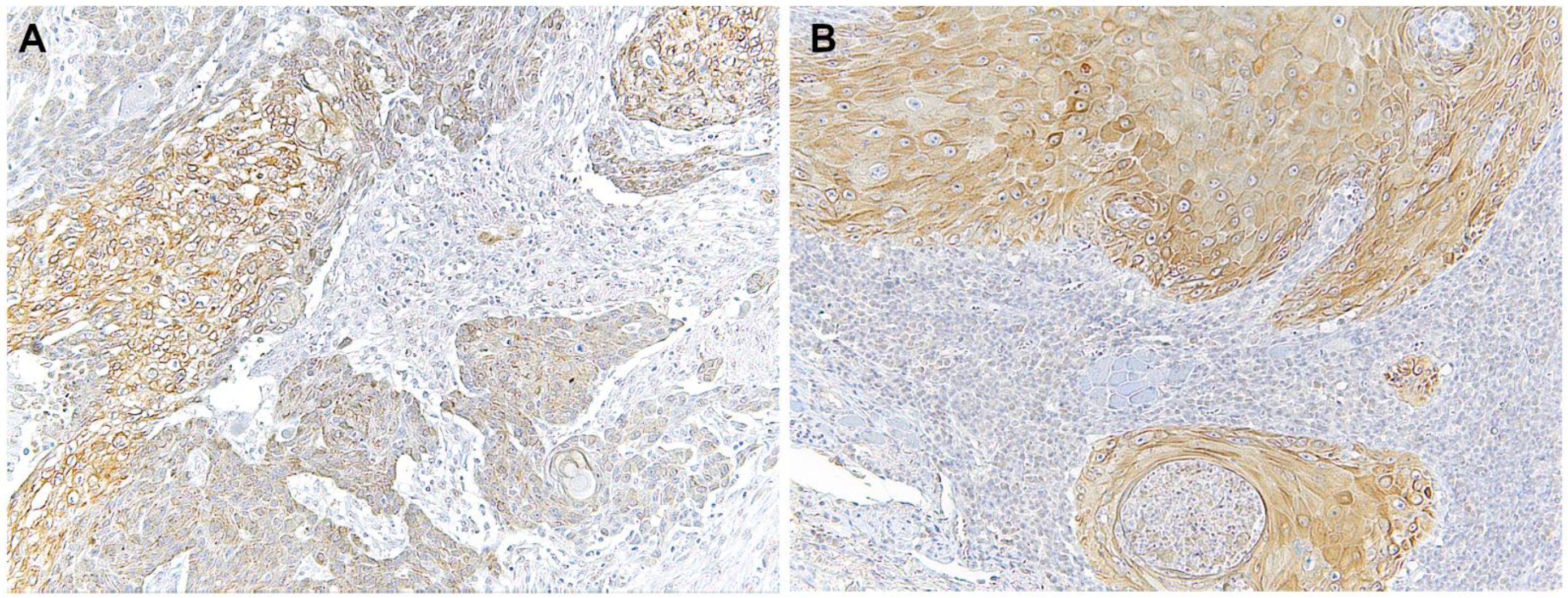
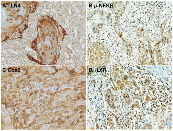
3. Results
4. Discussion
5. Conclusions
Author Contributions
Funding
Institutional Review Board Statement
Informed Consent Statement
Data Availability Statement
Conflicts of Interest
References
- Ferlay, J.; Colombet, M.; Soerjomataram, I.; Mathers, C.; Parkin, D.M.; Piñeros, M.; Znaor, A.; Bray, F. Estimating the global cancer incidence and mortality in 2018: GLOBOCAN sources and methods. Int. J. Cancer 2019, 144, 1941–1953. [Google Scholar] [CrossRef] [PubMed] [Green Version]
- Scully, C.; Bagan, J.V. Recent advances in oral oncology 2008; squamous cell carcinoma imaging, treatment, prognostication, and treatment outcomes. Oral Oncol. 2009, 45, e25–e30. [Google Scholar] [CrossRef] [PubMed]
- Rich, A.M.; Hussaini, H.M.; Parachuru, V.P.B.; Seymour, G.J. Toll-like receptors and cancer, particularly oral squamous cell carcinoma. Front. Immunol. 2014, 5, 464. [Google Scholar] [CrossRef] [PubMed] [Green Version]
- DeNardo, D.G.; Andreu, P.; Coussens, L.M. Interactions between lymphocytes and myeloid cells regulate pro- versus anti-tumor immunity. Cancer Metastasis Rev. 2010, 29, 309–316. [Google Scholar] [CrossRef] [Green Version]
- Grivennikov, S.I.; Greten, F.R.; Karin, M. Immunity, inflammation, and cancer. Cell 2010, 140, 883–899. [Google Scholar] [CrossRef] [Green Version]
- Qian, B.Z.; Pollard, J.W. Macrophage diversity enhances tumor progression and metastasis. Cell 2010, 141, 39–51. [Google Scholar] [CrossRef] [Green Version]
- de Visser, K.E.; Eichten, A.; Coussens, L.M. Paradoxical roles of the immune system during cancer development. Nat. Rev. Cancer 2006, 6, 24–37. [Google Scholar] [CrossRef]
- Iocca, O.; Sollecito, T.P.; Alawi, F.; Weinstein, G.S.; Newman, J.G.; De Virgilio, A.; Di Maio, P.; Spriano, G.; López, S.P.; Shanti, R.M. Potentially malignant disorders of the oral cavity and oral dysplasia: A systematic review and meta-analysis of malignant transformation rate by subtype. Head Neck 2020, 42, 539–555. [Google Scholar] [CrossRef]
- Carrozzo, M.; Porter, S.; Mercadante, V.; Fedele, S. Oral lichen planus: A disease or a spectrum of tissue reactions? Types, causes, diagnostic algorhythms, prognosis, management strategies. Periodontology 2000. 2019, 80, 105–125. [Google Scholar] [CrossRef]
- Wang, J.Q.; Jeelall, Y.S.; Ferguson, L.L.; Horikawa, K. Toll-like receptors and cancer: MYD88 mutation and inflammation. Front. Immunol. 2014, 5, 367. [Google Scholar] [CrossRef]
- Janeway, C.A.J.; Medzhitov, R. Innate immune recognition. Annu. Rev. Immunol. 2002, 20, 197–216. [Google Scholar] [CrossRef] [PubMed] [Green Version]
- Ciesielska, A.; Matyjek, M.; Kwiatkowska, K. TLR4 and CD14 trafficking and its influence on LPS-induced pro-inflammatory signaling. Cell Mol. Life Sci. 2021, 78, 1233–1261. [Google Scholar] [CrossRef]
- Ioannou, S.; Voulgarelis, M. Toll-like receptors, tissue injury, and tumourigenesis. Mediators Inflamm. 2010, 581837. [Google Scholar] [CrossRef] [PubMed] [Green Version]
- Bahareh, K.; Zahra, Z.; Atieh, P.; Davood, B.; Seyed, H.G. The role of toll-like receptor 4 (TLR4) in cancer progression: A possible therapeutic target? J. Cell Physiol. 2021, 236, 4121–4137. [Google Scholar] [CrossRef]
- Salem, A.; Mustafa, R.; Listyarifah, D.; Al-Samadi, A.; Barreto, G.; Nordström, D.; Eklund, K.K. Altered Expression of Toll-like Receptors in Human Oral Epithelium in Oral Lichenoid Reactions. Am. J. Dermatopathol. 2017, 39, 811–818. [Google Scholar] [CrossRef] [PubMed]
- Kotrashetti, V.S.; Nayak, R.; Bhat, K.; Hosmani, J.; Somannavar, P. Immunohistochemical expression of TLR4 and TLR9 in various grades of oral epithelial dysplasia and squamous cell carcinoma, and their roles in tumor progression: A pilot study. Biotech. Histochem. 2013, 88, 311–322. [Google Scholar] [CrossRef]
- Mäkinen, L.K.; Atula, T.; Häyry, V.; Jouhi, L.; Datta, N.; Lehtonen, S.; Ahmed, A.; Mäkitie, A.A.; Haglund, C.; Hagström, J. Predictive role of toll-like receptors 2, 4, and 9 in oral tongue squamous cell carcinoma. Oral Oncol. 2015, 51, 96–102. [Google Scholar] [CrossRef]
- Fukata, M.; Chen, A.; Vamadevan, A.S.; Cohen, J.; Breglio, K.; Krishnareddy, S.; Hsu, D.; Xu, R.; Harpaz, N.; Dannenberg, A.J.; et al. Toll-like receptor-4 promotes the development of colitis-associated colorectal tumors. Gastroenterology 2007, 133, 1869–1881. [Google Scholar] [CrossRef] [Green Version]
- Yu, L.; Wang, L.; Chen, S. Dual character of toll-like receptor signalling: Pro- tumorigenic effects and anti-tumor functions. Biochim. Biophys. Acta 2013, 1835, 144–154. [Google Scholar] [CrossRef]
- van der Meiji, E.H.; van der Waal, I. Lack of clinicopathologic correlation in the diagnosis of oral lichen planus based on the presently available diagnostic criteria and suggestions for modifications. J. Oral Pathol. Med. 2003, 32, 507–512. [Google Scholar] [CrossRef]
- Farah, C.; Fox, S.; Shearston, K.; Newman, L.; Babic, S.; Vacher, M. Lichenoid dysplasia is not a distinct pathological entity. Oral Oncol. 2021, 119, 105362. [Google Scholar] [CrossRef] [PubMed]
- Rusanen, P.; Marttila, E.; Uittamo, J.; Hagström, J.; Salo, T.; Rautemaa-Richardson, R. TLR1-10, NF-κB and p53 expression is increased in oral lichenoid disease. PLoS ONE 2017, 17, e0181361. [Google Scholar] [CrossRef] [PubMed] [Green Version]
- Ge, Y.; Xu, Y.; Sun, W.; Man, Z.; Zhu, L.; Xia, X.; Zhao, L.; Zhao, Y.; Wang, X. The molecular mechanisms of the effect of Dexamethasone and Cyclosporin A on TLR4 /NF-κB signaling pathway activation in oral lichen planus. Gene 2012, 508, 157–164. [Google Scholar] [CrossRef]
- Gallo, C.; Marichalar-Mendia, X.; Setien-Olarra, A.; Acha-Sagredo, A.; Bediaga, N.G.; Cirauqui, M.L.G.; Sugaya, N.N.; Aguirre-Urizar, J.M. Toll-like receptor 2 rs4696480 polymorphism and risk of oral cancer and oral potentially malignant disorder. Arch. Oral Biol. 2017, 82, 109–114. [Google Scholar] [CrossRef] [PubMed]
- Zeljic, K.; Supic, G.; Jovic, N.; Kozomara, R.; Brankovic-Magic, M.; Obrenovic, M.; Magic, Z. Association of TLR2, TLR3, TLR4 and CD14 genes polymorphisms with oral cancer risk and survival. Oral Dis. 2014, 20, 416–424. [Google Scholar] [CrossRef]
- Szczepanski, M.J.; Czystowska-Kuźmicz, M.; Szajnik, M.; Harasymczuk, M.; Boyiadzis, M.; Kruk-Zagajewska, A.; Szyfter, W.; Zeromski, J.; Whiteside, T.L. Triggering of Toll-like Receptor 4 Expressed on Human Head and Neck Squamous Cell Carcinoma Promotes Tumor Development and Protects the Tumor from Immune Attack. Cancer Res. 2009, 69, 3105–3113. [Google Scholar] [CrossRef] [Green Version]
- Yesudhas, D.; Gosu, V.; Anwar, M.A.; Choi, S. Multiple roles of toll-like receptor 4 in colorectal cancer. Front. Immunol. 2014, 5, 334. [Google Scholar] [CrossRef] [Green Version]
- Cario, E.; Podolsky, D.K. Differential alteration in intestinal epithelial cell expression of toll-like receptor 3 (TLR3) and TLR4 in inflammatory bowel disease. Infect. Immun. 2000, 68, 7010–7017. [Google Scholar] [CrossRef] [Green Version]
- Daskalopoulos, A.G.; Avgoustidis, D.; Chaisuparat, R.; Karanikou, M.; Lazaris, A.C.; Sklavounou, A.; Nikitakis, N.G. Assessment of TLR4 and TLR9 signaling and correlation with human papillomavirus status and histopathologic parameters in oral tongue squamous cell carcinoma. Oral Surg. Oral Med. Oral Pathol. Oral Radiol. 2020, 129, 493–513. [Google Scholar] [CrossRef]
- Ruan, M.; Zhang, Z.; Li, S.; Yan, M.; Liu, S.; Yang, W.; Wang, L.; Zhang, C. Activation of toll-like receptor-9 promotes cellular migration via up-regulating MMP-2 expression in oral squamous cell carcinoma. PLoS ONE 2014, 9, e92748. [Google Scholar] [CrossRef]
- Yang, H.; Wang, B.; Yan, J.; Wang, T.; Zhou, X.-N.; Wen, H.-Y.; Zhu, X.-M. Toll-like receptor 2 promotes invasion by SGC-7901 human gastric carcinoma cells and is associated with gastric carcinoma metastasis. Ann. Clin. Lab. Sci. 2014, 44, 158–166. [Google Scholar]
- Kong, Q.; Liang, Y.; He, Q.; You, Y.; Wu, L.; Liang, L.; Liang, J. Autophagy inhibits TLR4-mediated invasiveness of oral cancer cells via the NF-κB pathway. Oral Dis. 2020. [CrossRef] [PubMed]
- Mäkinen, L.K.; Ahmed, A.; Hagström, J.; Lehtonen, S.; Mäkitie, A.A.; Salo, T.; Haglund, C.; Atula, T.S. Toll-like receptors 2, 4, and 9 in primary, metastasized, and recurrent oral tongue squamous cell carcinomas. J. Oral Pathol. Med. 2015, 45, 338–345. [Google Scholar] [CrossRef] [PubMed]
- Mohan, S.P.; Bhaskaran, M.K.; George, A.L.; Thirutheri, A.; Somasundaran, M.; Pavithran, A. Immunotherapy in Oral Cancer. J. Pharm. Bioallied. Sci. 2019, 11, S107–S111. [Google Scholar] [CrossRef] [PubMed]
- Zandberg, D.P.; Algazi, A.P.; Jimeno, A.; Good, J.S.; Fayette, J.; Bouganim, N.; Ready, N.E.; Clement, P.M.; Even, C.; Jang, R.W.; et al. Durvalumab for recurrent or metastatic head and neck squamous cell carcinoma: Results from a single-arm, phase II study in patients with >/=25% tumour cell PD-L1 expression who have progressed on platinum-based chemotherapy. Eur. J. Cancer 2019, 107, 142–152. [Google Scholar] [CrossRef] [PubMed] [Green Version]
- Schoenfeld, J.D.; Hanna, G.J.; Jo, V.Y.; Rawal, B.; Chen, Y.-H.; Catalano, P.S.; Lako, A.; Ciantra, Z.; Weirather, J.L.; Criscitiello, S.; et al. Neoadjuvant Nivolumab or Nivolumab Plus Ipilimumab in Untreated Oral Cavity Squamous Cell Carcinoma: A Phase 2 Open-Label Randomized Clinical Trial. JAMA Oncol. 2020, 6, 1563–1570. [Google Scholar] [CrossRef] [PubMed]
- Sun, Z.; Luo, Q.; Ye, D.; Chen, W.; Chen, F. Role of toll-like receptor 4 on the immune escape of human oral squamous cell carcinoma and resistance of cisplatin-induced apoptosis. Mol. Cancer 2012, 11, 33. [Google Scholar] [CrossRef] [Green Version]
- Domenis, R.; Cifù, A.; Marinò, D.; Fabris, M.; Niazi, K.R.; Soon-Shiong, P.; Curcio, F. Toll-like Receptor-4 Activation Boosts the Immunosuppressive Properties of Tumor Cells-derived Exosomes. Sci. Rep. 2019, 9, 8457. [Google Scholar] [CrossRef]
- Wang, K.; Wang, J.; Wei, F.; Zhao, N.; Yang, F.; Ren, X. Expression of TLR4 in Non-Small Cell Lung Cancer Is Associated with PD-L1 and Poor Prognosis in Patients Receiving Pulmonectomy. Front. Immunol. 2017, 21, 456. [Google Scholar] [CrossRef] [Green Version]
- Fleming, V.; Hu, X.; Weller, C.; Weber, R.; Groth, C.; Riester, Z.; Hüser, L.; Sun, Q.; Nagibin, V.; Kirschning, C.; et al. Melanoma Extracellular Vesicles Generate Immunosuppressive Myeloid Cells by Upregulating PD-L1 via TLR4 Signaling. Cancer Res. 2019, 79, 4715–4728. [Google Scholar] [CrossRef]
- Zhao, S.; Sun, M.; Meng, H.; Ji, H.; Liu, Y.; Zhang, M.; Li, H.; Li, P.; Zhang, Y.; Zhang, Q. TLR4 expression correlated with PD-L1 expression indicates a poor prognosis in patients with peripheral T-cell lymphomas. Cancer Manag. Res. 2019, 23, 4743–4756. [Google Scholar] [CrossRef] [PubMed] [Green Version]
- Hirai, M.; Kitahara, H.; Kobayashi, Y.; Kato, K.; Bou-Gharios, G.; Nakamura, H.; Kawashiri, S. Regulation of PD-L1 expression in a high-grade invasive human oral squamous cell carcinoma microenvironment. Int. J. Oncol. 2017, 50, 41–48. [Google Scholar] [CrossRef] [PubMed] [Green Version]






| NOC (n = 30) | NLES-OSCC (n = 38) | LES-OSCC (n = 28) | OSCC-EX-OLL (n = 24) | OSCC-EX-NOLL (n = 30) | ||
|---|---|---|---|---|---|---|
| Age | Mean (±SD) years | 59.4 ±15.3 | 64.1 ± 16.0 | 64.4 ± 14.6 | 64.7 ± 14.5 | 65.0 ± 16.8 |
| Sex | Female | 8 (26.6%) | 9 (23.7%) | 6 (21.4%) | 7 (29.2%) | 8 (26.6%) |
| Male | 22 (73.4%) | 29 (76.3%) | 22 (78.6%) | 17 (70.8%) | 22 (73.4%) | |
| Anatomic site | Tongue | 0 | 31 (81.6%) | 24 (85.7%) | 19 (79.2%) | 25 (83.3%) |
| Buccal mucosa | 30 (100%) | 3 (7.9%) | 2 (7.1%) | 2 (8.3%) | 2 (6.6%) | |
| Trigonus | 0 | 2 (5.2%) | 0 | 1 (4.1%) | 2 (6.6%) | |
| Hard palate | 0 | 1 (2.6%) | 1 (3.6%) | 1 (4.1%) | 1 (3.3%) | |
| Uvula | 0 | 1 (2.6%) | 0 | 0 | 0 | |
| Gum | 0 | 0 | 1 (3.6%) | 1 (4.1%) | 0 | |
| Grade | 1 | NA | 9 (23.7%) | 4 (14.3%) | 9 (37.5%) | 5 (16.6%) |
| 2 | NA | 12 (31.6%) | 10 (35.7%) | 10 (41.7%) | 12 (40%) | |
| 3 | NA | 6 (15.8%) | 4 (14.3%) | 2 (8.3%) | 7 (23.4%) | |
| Unknown | NA | 11 (28.9%) | 10 (35.7%) | 3 (12.5%) | 6 (20%) | |
| T stage | T1-T2 | NA | 21 (55.3%) | 16 (57.1%) | 18 (75%) | 17 (56.7%) |
| T3-T4 | NA | 2 (5.2%) | 1 (3.6%) | 1 (4.1%) | 2 (6.6%) | |
| Unknown | NA | 15 (39.5%) | 11 (39.3%) | 5 (20.9%) | 11 (%) | |
| N stage | Positive | NA | 5 (13.2%) | 6 (21.4%) | 6 (25%) | 5 (16.6%) |
| Negative | NA | 19 (50%) | 13 (46.4%) | 14 (58.3%) | 15 (50%) | |
| Unknown | NA | 14 (36.8%) | 9 (32.1%) | 4 (16.7%) | 10 (33.4%) | |
| M stage | Positive | NA | 0 | 0 | 0 | 0 |
| Negative | NA | 5 (13.2%) | 2 (7.1%) | 2 (8.3%) | 4 (13.3%) | |
| Unknown | NA | 33 (86.8%) | 26 (92.9%) | 22 (91.7%) | 26 (86.7%) |
| Quantitative Score (Intensity x % Positive Cells) | ||||||
|---|---|---|---|---|---|---|
| Sample | N | Mean | SD | Min | Max | Range |
| Normal Oral Mucosa Control (NOC) | 30 | 3.53 | 3.84 | 0.0 | 15.0 | 15.00 |
| Non-Lichenoid Epithelium Surrounding OSCC (NLES-OSCC) | 38 | 21.72 | 54.80 | 0.0 | 300.0 | 300.00 |
| Lichenoid Epithelium Surrounding OSCC (LES-OSCC) | 28 | 63.11 | 65.48 | 0.0 | 255.0 | 255.00 |
| OSCC Ex Non-Lichenoid Lesion | 30 | 155.17 | 105.57 | 0.0 | 300.0 | 300.00 |
| OSCC Ex Lichenoid Lesion | 24 | 135.21 | 87.32 | 0.0 | 300.0 | 300.00 |
| Total | 169 | 68.85 | 90.18 | 0.0 | 300.0 | 300.00 |
| NLES-OSCC | LES-OSCC | OSCC-EX-OLL | OSCC-EX-NOLL | All Samples | ||
|---|---|---|---|---|---|---|
| Grade of differentiation | G1 | 60.17 (±103.6) | 3.87 (±5.92) | 178.6 (±112.3) | 156.3 (±144.1) | 101.3 (±120) |
| G2 | 11.91 (±19.13) | 64.45 (±40.93) | 124 (±64.37) | 181.7 (±115.6) | 97.57 (±95.93) | |
| G3 | 6.33 (±13.22) | 58.25 (±56.07) | 200 (±70.71) | 122.5 (±63.54) | 78.11 (±80.26) | |
| p | 0.17 | 0.064 | 0.33 | 0.56 | 0.73 | |
| T status | T1 + T2 | 30.73 (±73.02) | 34.86 (±37.16) | 139.3 (±92.08) | 177.5 (±106.2) | 92.81 (±103) |
| T3 + T4 | 5 (±7.07) | 132 (±0) | 200 (±0) | 112.5 (±159.1) | 94.5 (±104.5) | |
| p | 0.63 | NA | NA | 0.44 | 0.96 | |
| N status | N0 | 31.5 (±71.82) | 28.8 (±41.68) | 164.2 (±91.27) | 143.2 (±103) | 86.39 (±100.2) |
| N+ | 9.8 (±8.63) | 66.33 (±35.79) | 128.3 (±87.79) | 220.8 (±119.4) | 110.5 (±107.4) | |
| p | 0.51 | 0.088 | 0.43 | 0.1574 | 0.34 | |
| Anatomical site | Tongue | 22.24 (±59.64) | 43.75 (±42.87) | 152.1 (±86.7) | 160.2 (±103.8) | 87.22 (±97.54) |
| Others | 19.43 (±26.93) | 179.3 (±59.31) | 71 (±59.2) | 130 (±123.3) | 88.48 (±91.16) | |
| p | 0.90 | <0.0001 | 0.063 | 0.56 | 0.95 |
Publisher’s Note: MDPI stays neutral with regard to jurisdictional claims in published maps and institutional affiliations. |
© 2022 by the authors. Licensee MDPI, Basel, Switzerland. This article is an open access article distributed under the terms and conditions of the Creative Commons Attribution (CC BY) license (https://creativecommons.org/licenses/by/4.0/).
Share and Cite
Visioli, F.; Nunes, J.S.; Pedicillo, M.C.; Leonardi, R.; Santoro, A.; Zannoni, G.F.; Aquino, G.; Cerrone, M.; Cantile, M.; Losito, N.S.; et al. TLR4 Expression in Ex-Lichenoid Lesions—Oral Squamous Cell Carcinomas and Its Surrounding Epithelium: The Role of Tumor Inflammatory Microenvironment. Biomolecules 2022, 12, 385. https://doi.org/10.3390/biom12030385
Visioli F, Nunes JS, Pedicillo MC, Leonardi R, Santoro A, Zannoni GF, Aquino G, Cerrone M, Cantile M, Losito NS, et al. TLR4 Expression in Ex-Lichenoid Lesions—Oral Squamous Cell Carcinomas and Its Surrounding Epithelium: The Role of Tumor Inflammatory Microenvironment. Biomolecules. 2022; 12(3):385. https://doi.org/10.3390/biom12030385
Chicago/Turabian StyleVisioli, Fernanda, Julia Silveira Nunes, Maria Carmela Pedicillo, Rosalia Leonardi, Angela Santoro, Gian Franco Zannoni, Gabriella Aquino, Margherita Cerrone, Monica Cantile, Nunzia Simona Losito, and et al. 2022. "TLR4 Expression in Ex-Lichenoid Lesions—Oral Squamous Cell Carcinomas and Its Surrounding Epithelium: The Role of Tumor Inflammatory Microenvironment" Biomolecules 12, no. 3: 385. https://doi.org/10.3390/biom12030385
APA StyleVisioli, F., Nunes, J. S., Pedicillo, M. C., Leonardi, R., Santoro, A., Zannoni, G. F., Aquino, G., Cerrone, M., Cantile, M., Losito, N. S., Rodolico, V., Campisi, G., Colella, G., De Stefano, I. S., Ramunno, M. A., Pizzulli, C., Visconti, M., Lo Muzio, L., & Pannone, G. (2022). TLR4 Expression in Ex-Lichenoid Lesions—Oral Squamous Cell Carcinomas and Its Surrounding Epithelium: The Role of Tumor Inflammatory Microenvironment. Biomolecules, 12(3), 385. https://doi.org/10.3390/biom12030385

