Optimization of an Inclusion Body-Based Production of the Influenza Virus Neuraminidase in Escherichia coli
Abstract
1. Introduction
2. Materials and Methods
2.1. Chemicals and Equipment
2.2. Bacterial Strain, Plasmid and Growth Conditions
2.3. Selection of Independent Variables
2.4. Experimental Design and Optimization
2.5. Isolation of Inclusion Bodies and NA Renaturation
2.6. Analytical Methods
2.7. Statistical Analysis
3. Results and Discussion
3.1. Preliminary Experiments
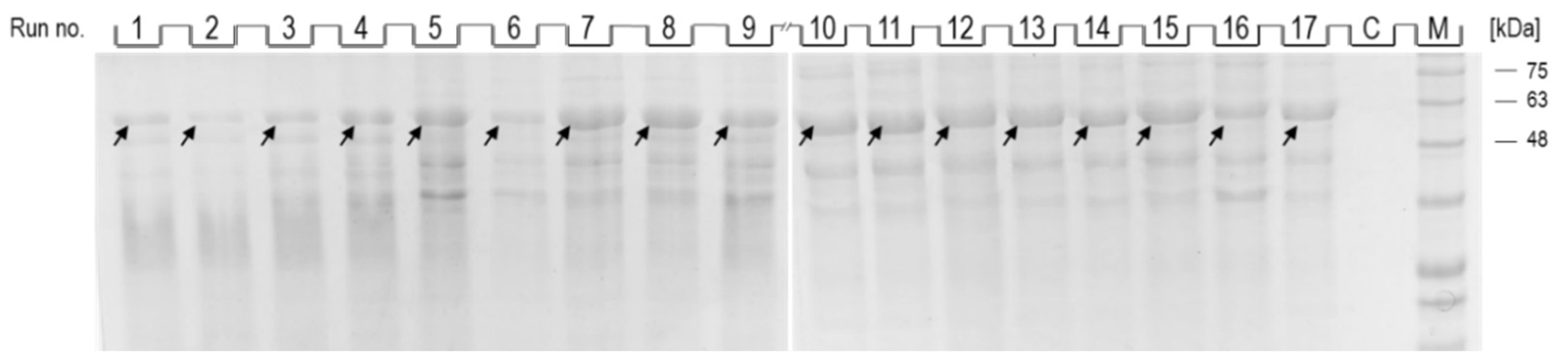
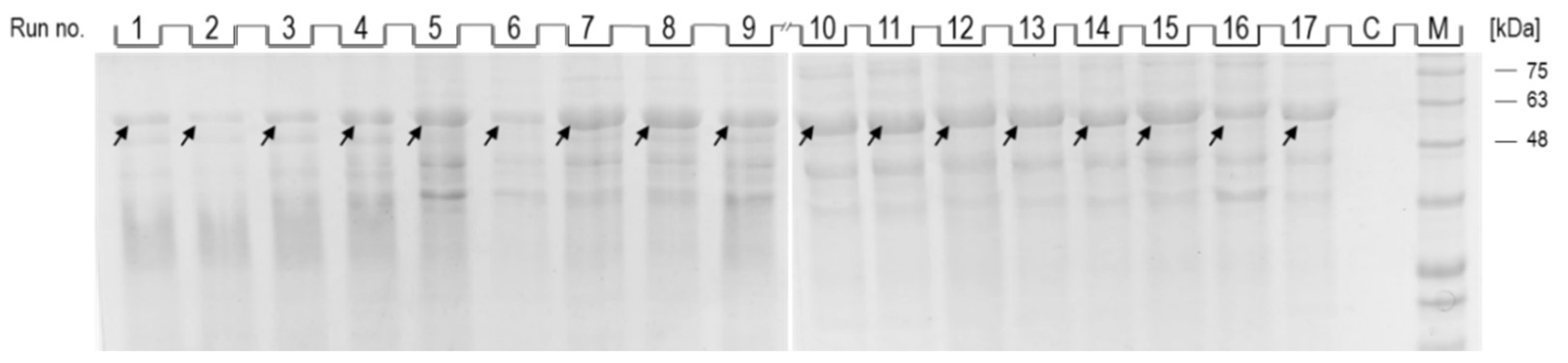
3.2. Optimization of Neuraminidase Production in Inclusion Bodies Using Response Surface Methodology
4. Conclusions
Author Contributions
Funding
Conflicts of Interest
References
- Taubenberger, J.K.; Morens, D.M. 1918 Influenza: The mother of all pandemics. Emerg. Infect. Dis. 2006, 12, 15–22. [Google Scholar] [CrossRef]
- Li, G.; Yılmaz, M.; Kojicic, M.V.; Fernández-Pérez, E.; Wahab, R.; Huskins, W.C.; Afessa, B.; Truwit, J.D.; Gajic, O.; Yilmaz, M. Outcome of critically ill patients with influenza virus infection. J. Clin. Virol. 2009, 46, 275–278. [Google Scholar] [CrossRef] [PubMed]
- Mauskopf, J.; Klesse, M.; Lee, S.; Herrera-Taracena, G. The burden of influenza complications in different high-risk groups: A targeted literature review. J. Med. Econ. 2012, 16, 264–277. [Google Scholar] [CrossRef] [PubMed]
- Patterson, K.D.; Pyle, G.F. The geography and mortality of the 1918 influenza pandemic. Bull. Hist. Med. 1991, 65, 4–21. [Google Scholar]
- Cox, N.J.; Subbarao, K. Global Epidemiology of Influenza: Past and Present. Annu. Rev. Med. 2000, 51, 407–421. [Google Scholar] [CrossRef] [PubMed]
- Claas, E.C.; Osterhaus, A.D.; van Beek, R.; De Jong, J.C.; Rimmelzwaan, G.F.; Senne, D.A.; Krauss, S.; Shortridge, K.F.; Webster, R.G. Human influenza A H5N1 virus related to a highly pathogenic avian influenza virus. Lancet 1998, 351, 472–477. [Google Scholar] [CrossRef]
- Khurana, S.; Sasono, P.; Fox, A.; Van Kinh, N.; Mai, L.Q.; Thai, P.Q.; Hien, N.T.; Liem, N.T.; Horby, P.; Golding, H. H5N1-SeroDetect EIA and Rapid Test: A Novel Differential Diagnostic Assay for Serodiagnosis of H5N1 Infections and Surveillance. J. Virol. 2011, 85, 12455–12463. [Google Scholar] [CrossRef][Green Version]
- Yoshida, R.; Igarashi, M.; Ozaki, H.; Kishida, N.; Tomabechi, D.; Kida, H.; Ito, K.; Takada, A. Cross-Protective Potential of a Novel Monoclonal Antibody Directed against Antigenic Site B of the Hemagglutinin of Influenza A Viruses. PLOS Pathog. 2009, 5, e1000350. [Google Scholar] [CrossRef]
- Krammer, F.; Smith, G.J.D.; Fouchier, R.A.M.; Peiris, M.; Kedzierska, K.; Doherty, P.C.; Palese, P.; Shaw, M.L.; Treanor, J.; Webster, R.G.; et al. Influenza. Nat. Rev. Dis. Primers 2018, 4, e3. [Google Scholar] [CrossRef]
- Bassetti, M.; Castaldo, N.; Carnelutti, A. Neuraminidase inhibitors as a strategy for influenza treatment: Pros, cons and future perspectives. Expert Opin. Pharmacother. 2019, 20, 1711–1718. [Google Scholar] [CrossRef] [PubMed]
- Kongkamner, J.; Cappelletti, L.; Prandi, A.; Seneci, P.; Rungrotmongkol, T.; Jongaroonngamsang, N.; Rojsitthisak, P.; Frecer, V.; Milani, A.; Cattoli, G.; et al. Synthesis and in vitro study of novel neuraminidase inhibitors against avian influenza virus. Bioorg. Med. Chem. 2012, 20, 2152–2157. [Google Scholar] [CrossRef] [PubMed]
- Udommaneethanakit, T.; Rungrotmongkol, T.; Frecer, V.; Seneci, P.; Miertus, S.; Bren, U. Drugs Against Avian Influenza A Virus: Design of Novel Sulfonate Inhibitors of Neuraminidase N1. Curr. Pharm. Des. 2014, 20, 3478–3487. [Google Scholar] [CrossRef]
- Hľasová, Z.; Košík, I.; Ondrejovič, M.; Miertuš, S.; Katrlík, J. Methods and current trends in determination of neuraminidase activity and evaluation of neuraminidase inhibitors. Crit. Rev. Anal. Chem. 2019, 49, 350–367. [Google Scholar] [CrossRef] [PubMed]
- Shie, J.-J.; Fang, J.-M. Development of effective anti-influenza drugs: Congeners and conjugates—A review. J. Biomed. Sci. 2019, 26, 1–20. [Google Scholar] [CrossRef]
- Woo, H.S.; Shin, K.-C.; Kim, J.Y.; Kim, Y.-S.; Ban, Y.J.; Oh, Y.J.; Cho, H.J.; Oh, D.-K.; Kim, D.W. Bakkenolides and Caffeoylquinic Acids from the Aerial Portion of Petasites japonicus and Their Bacterial Neuraminidase Inhibition Ability. Biomolecules 2020, 10, 888. [Google Scholar] [CrossRef] [PubMed]
- Ha, T.K.Q.; Lee, B.W.; Nguyen, N.H.; Cho, H.M.; Venkatesan, T.; Doan, T.P.; Kim, E.; Oh, W.K. Antiviral Activities of Compounds Isolated from Pinus densiflora (Pine Tree) against the Influenza A Virus. Biomolecules 2020, 10, 711. [Google Scholar] [CrossRef] [PubMed]
- Mahal, A.; Duan, M.; Zinad, D.S.; Mohapatra, R.K.; Obaidullah, A.J.; Wei, X.; Pradhan, M.K.; Das, D.; Kandi, V.; Zinad, H.S.; et al. Recent progress in chemical approaches for the development of novel neuraminidase inhibitors. RSC Adv. 2021, 11, 1804–1840. [Google Scholar] [CrossRef]
- Lipničanová, S.; Chmelová, D.; Ondrejovič, M.; Frecer, V.; Miertuš, S. Diversity of sialidases found in the human body—A review. Int. J. Biol. Macromol. 2020, 148, 857–868. [Google Scholar] [CrossRef] [PubMed]
- Mitrasinovic, P.M. Advances in the structure-based design of the influenza A neuraminidase inhibitors. Curr. Drug Targets 2010, 11, 315–326. [Google Scholar] [CrossRef]
- Dunn, C.J.; Goa, K.L. Zanamivir: A review of its use in Influenza. Drugs 1999, 58, 761–784. [Google Scholar] [CrossRef] [PubMed]
- McClellan, K.; Perry, C.M. Oseltamivir: A review of its use in influenza. Drugs 2001, 61, e263. [Google Scholar] [CrossRef] [PubMed]
- Kubo, S.; Tomozawa, T.; Kakuta, M.; Tokumitsu, A.; Yamashita, M. Laninamivir prodrug CS-8958, a long-acting neuraminidase inhibitor, shows superior antiinfluenza virus activity after a single administration. Antimicrob. Agents Chemother. 2010, 54, e1256. [Google Scholar] [CrossRef]
- Anuwongcharoen, N.; Shoombuatong, W.; Tantimongcolwat, T.; Prachayasittikul, V.; Nantasenamat, C. Exploring the chemical space of influenza neuraminidase inhibitors. PeerJ 2016, 4, e1958. [Google Scholar] [CrossRef] [PubMed]
- Gubareva, L.V.; Fallows, E.; Mishin, V.P.; Hodges, E.; Brooks, A.; Barnes, J.; Fry, A.M.; Kramp, W.; Shively, R.E.; Wentworth, D.; et al. Monitoring influenza virus susceptibility to oseltamivir using a new rapid assay, iART. Eurosurveillance 2017, 22, 30529. [Google Scholar] [CrossRef] [PubMed]
- Nivitchanyong, T.; Yongkiettrakul, S.; Kramyu, J.; Pannengpetch, S.; Wanasen, N. Enhanced expression of secretable influenza virus neuraminidase in suspension mammalian cells by influenza virus nonstructural protein 1. J. Virol. Methods 2011, 178, 44–51. [Google Scholar] [CrossRef] [PubMed]
- Wanitchang, A.; Narkpuk, J.; Jaruampornpan, P.; Jengarn, J.; Jongkaewwattana, A. Inhibition of influenza A virus replication by influenza B virus nucleoprotein: An insight into interference between influenza A and B viruses. Virology 2012, 432, 194–203. [Google Scholar] [CrossRef] [PubMed]
- Benton, D.J.; Wharton, S.A.; Martin, S.R.; McCauley, J.W. Role of neuraminidase in influenza A(H7N9) virus receptor binding. J. Virol. 2017, 91, e02293-16. [Google Scholar] [CrossRef] [PubMed]
- Yongkiettrakul, S.; Boonyapakron, K.; Jongkaewwattana, A.; Wanitchang, A.; Leartsakulpanich, U.; Chitnumsub, P.; Eurwilaichitr, L.; Yuthavong, Y. Avian influenza A/H5N1 neuraminidase expressed in yeast with a functional head domain. J. Virol. Methods 2009, 156, 44–51. [Google Scholar] [CrossRef]
- Pua, T.L.; Loh, H.S.; Massawe, F.; Tan, C.S.; Omar, A.R. Expression of insoluble influenza neuraminidase type 1 (NA1) protein in tobacco. J. Trop. Life Sci. 2012, 2, 62–71. [Google Scholar] [CrossRef]
- Dalakouras, T.; Smith, B.J.; Platis, D.; Cox, M.M.; Labrou, N.E. Development of recombinant protein-based influenza vaccine: Expression and affinity purification of H1N1 influenza virus neuraminidase. J. Chromatogr. A 2006, 1136, 48–56. [Google Scholar] [CrossRef] [PubMed]
- Prevato, M.; Ferlenghi, I.; Bonci, A.; Uematsu, Y.; Anselmi, G.; Giusti, F.; Bertholet, S.; Legay, F.; Telford, J.L.; Settembre, E.C.; et al. Expression and characterization of recombinant, tetrameric and enzymatically active influenza neuraminidase for the setup of an enzyme-linked lectin-based assay. PLoS ONE 2015, 10, e0135474. [Google Scholar] [CrossRef] [PubMed]
- Lipničanová, S.; Chmelová, D.; Godány, A.; Ondrejovič, M.; Miertuš, S. Purification of viral neuraminidase from inclusion bodies produced by recombinant Escherichia coli. J. Biotechnol. 2020, 316, 27–34. [Google Scholar] [CrossRef] [PubMed]
- Garcia-Fruitos, E.; Vázquez, E.; Diez-Gil, C.; Corchero, J.L.; Seras, J.; Ratera, I.; Veciana, J.; Villaverde, A. Bacterial inclusion bodies: Making gold from waste. Trends Biotechnol. 2012, 30, 65–70. [Google Scholar] [CrossRef] [PubMed]
- Yamaguchi, H.; Miyazaki, M. Refolding techniques for recovering biologically active recombinant proteins from inclusion bodies. Biomolecules 2014, 4, 235–251. [Google Scholar] [CrossRef] [PubMed]
- Gutiérrez-González, M.; Farías, C.; Tello, S.; Pérez-Etcheverry, D.; Romero, A.; Zúñiga, R.; Ribeiro, C.H.; Lorenzo-Ferreiro, C.; Molina, M.C. Optimization of culture conditions for the expression of three different insoluble proteins in Escherichia coli. Sci. Rep. 2019, 9, e16850. [Google Scholar] [CrossRef] [PubMed]
- Bradford, M.M. A rapid and sensitive method for the quantitation of microgram quantities of protein utilizing the principle of protein-dye binding. Anal. Biochem. 1976, 72, 248–254. [Google Scholar] [CrossRef]
- Laemmli, U.K. Cleavage of Structural Proteins during the Assembly of the Head of Bacteriophage T4. Nature 1970, 227, 680–685. [Google Scholar] [CrossRef] [PubMed]
- Alon, R.; Bayer, E.A.; Wilchek, M. A coupled enzyme assay for measurement of sialidase activity. J. Biochem. Biophys. Methods 1991, 22, 23–33. [Google Scholar] [CrossRef]
- Schmidt, P.; Attwood, R.M.; Mohr, P.; Barrett, S.; McKimm-Breschkin, J. A Generic System for the Expression and Purification of Soluble and Stable Influenza Neuraminidase. PLoS ONE 2011, 6, e16284. [Google Scholar] [CrossRef]
- Singh, A.; Upadhyay, V.; Upadhyay, A.K.; Singh, S.M.; Panda, A.K. Protein recovery from inclusion bodies of Escherichia coli using mild solubilization process. Microb. Cell Factories 2015, 14, 1–10. [Google Scholar] [CrossRef]
- Lopes, A.R.; Nihei, O.K. Depression, anxiety and stress symptoms in Brazilian university students during the COVID-19 pandemic: Predictors and association with life satisfaction, psychological well-being and coping strategies. PLoS ONE 2021, 16, e0258493. [Google Scholar] [CrossRef] [PubMed]
- Lipničanová, S.; Chmelová, D.; Godány, A.; Ondrejovič, M. Optimization of medium composition for propagation of recombinant Escherichia coli. Nova Biotechnol. Chim. 2019, 18, 1–9. [Google Scholar] [CrossRef]
- Patra, A.K.; Mukhopadhyay, R.; Mukhija, R.; Krishnan, A.; Garg, L.C.; Panda, A.K. Optimization of Inclusion Body Solubilization and Renaturation of Recombinant Human Growth Hormone from Escherichia coli. Protein Expr. Purif. 2000, 18, 182–192. [Google Scholar] [CrossRef] [PubMed]
- Kopp, J.; Slouka, C.; Strohmer, D.; Kager, J.; Spadiut, O.; Herwig, C. Inclusion Body Bead Size in E. coli Controlled by Physiological Feeding. Microorganisms 2018, 6, 116. [Google Scholar] [CrossRef]
- Krachmarova, E.; Ivanov, I.; Nacheva, G. Nucleic acids in inclusion bodies obtained from E. coli cells expressing human interferon-gamma. Microb. Cell Factories 2020, 19, 1–9. [Google Scholar] [CrossRef]
- Sani, M.; Roslan, H.A. Expression of recombinant alcohol dehydrogenase in Escherichia coli strain BL21 (DE3) and in plant Agrobacterium transformation of tomato seeds. Curr. J. Appl. Sci. Technol. 2020, 20, 363–379. [Google Scholar]
- Fazaeli, A.; Golestani, A.; Lakzaei, M.; Varaei, S.S.R.; Aminian, M. Expression optimization, purification, and functional characterization of cholesterol oxidase from Chromobacterium sp. DS1. PLoS ONE 2019, 14, e0212217. [Google Scholar] [CrossRef]
- Jevševar, S.; Gaberc-Porekar, V.; Fonda, I.; Podobnik, B.; Grdadolnik, J.; Menart, V. Production of Nonclassical Inclusion Bodies from Which Correctly Folded Protein Can Be Extracted. Biotechnol. Prog. 2005, 21, 632–639. [Google Scholar] [CrossRef]
- Rengby, O.; Johansson, L.; Carlson, L.A.; Serini, E.; Vlamis-Gardikas, A.; Kårsnas, P.; Arnér, E.S.J. Assessment of Production Conditions for Efficient Use of Escherichia coli in High-Yield Heterologous Recombinant Selenoprotein Synthesis. Appl. Environ. Microbiol. 2004, 70, 5159–5167. [Google Scholar] [CrossRef]
- Larentis, A.L.; Nicolau, J.F.M.Q.; Esteves, G.D.S.; Vareschini, D.T.; De Almeida, F.V.R.; Dos Reis, M.G.; Galler, R.; Medeiros, M.A. Evaluation of pre-induction temperature, cell growth at induction and IPTG concentration on the expression of a leptospiral protein in E. coli using shaking flasks and microbioreactor. BMC Res. Notes 2014, 7, 1–13. [Google Scholar] [CrossRef]
- Malik, A.; Alsenaidy, A.M.; Elrobh, M.; Khan, W.; Alanazi, M.S.; Bazzi, M.D. Optimization of expression and purification of HSPA6 protein from Camelus dromedarius in E. coli. Saudi J. Biol. Sci. 2015, 23, 410–419. [Google Scholar] [CrossRef] [PubMed]
- Farewell, A.; Neidhardt, F.C. Effect of temperature on in vivo protein synthetic capacity in Escherichia coli. J. Bacteriol. 1998, 17, 4704–4710. [Google Scholar] [CrossRef] [PubMed]
- Maldonado, L.M.P.; Hernández, V.E.B.; Medina-Rivero, E.; de la Rosa, A.P.B.; Flores, J.L.F.; Acevedo, L.G.O.; Rodríguez, A.D.L. Optimization of culture conditions for a synthetic gene expression in Escherichia coli using response surface methodology: The case of human interferon beta. Biomol. Eng. 2007, 24, 217–222. [Google Scholar] [CrossRef] [PubMed]
- Tsumoto, K.; Ejima, D.; Kumagai, I.; Arakawa, T. Practical considerations in refolding proteins from inclusion bodies. Protein Expr. Purif. 2003, 28, 1–8. [Google Scholar] [CrossRef]
- Markossian, K.A.; Kurganov, B.I. Protein folding, misfolding, and aggregation. Formation of inclusion bodies and ag-gresomes. Biochemistry (Moscow) 2004, 69, 971–984. [Google Scholar] [CrossRef]
- Cabrita, L.D.; Bottomley, S.P. Protein expression and refolding – A practical guide to getting the most out of inclusion bodies. Biotechnol. Annu. Rev. 2004, 10, 31–50. [Google Scholar] [CrossRef]
- Dang, S.; Hong, T.; Bu, D.; Tang, J.; Fan, J.; Zhang, W. Optimized refolding and characterization of active C-terminal ADAMTS-18 fragment from inclusion bodies of Escherichia coli. Protein Expr. Purif. 2012, 82, 32–36. [Google Scholar] [CrossRef]





| Variables | Code Levels | ||||
|---|---|---|---|---|---|
| −1.682 | −1 | 0 | 1 | 1.682 | |
| Propagation time (h) | 4.653 | 6 | 8 | 10 | 11.347 |
| IPTG concentration (mM) | 0.663 | 1 | 1.5 | 2 | 2.337 |
| Expression time (h) | 0.653 | 2 | 4 | 6 | 7.347 |
| Run no. | Propagation Time | IPTG Concentration | Expression Time | Protein Yield | NA Yield |
|---|---|---|---|---|---|
| (h) | (mM) | (h) | (mg/g) | (U/g) | |
| 1 | 10.0 (1) | 1.0 (−1) | 6.0 (1) | 19.52 ± 1.44 | 74.43 ± 1.82 |
| 2 | 6.0 (−1) | 1.0 (−1) | 2.0 (−1) | 22.49 ± 1.61 | 26.37 ± 1.01 |
| 3 | 8.0 (0) | 1.5 (0) | 4.0 (0) | 27.99 ± 2.38 | 83.29 ± 2.44 |
| 4 | 10.0 (1) | 2.0 (1) | 2.0 (−1) | 21.73 ± 0.85 | 57.02 ± 1.21 |
| 5 | 6.0 (−1) | 2.0 (1) | 6.0 (1) | 26.66 ± 1.21 | 67.14 ± 2.02 |
| 6 | 6.0 (−1) | 2.0 (1) | 2.0 (−1) | 18.52 ± 0.24 | 37.46 ± 1.23 |
| 7 | 10.0 (1) | 1.0 (−1) | 2.0 (−1) | 26.17 ± 0.12 | 88.54 ± 1.40 |
| 8 | 10.0 (1) | 2.0 (1) | 6.0 (1) | 21.49 ± 0.79 | 80.47 ± 0.72 |
| 9 | 6.0 (−1) | 1.0 (−1) | 6.0 (1) | 27.24 ± 2.71 | 57.31 ± 2.12 |
| 10 | 8.0 (0) | 1.5 (0) | 4.0 (0) | 24.85 ± 1.99 | 92.92 ± 3.71 |
| 11 | 8.0 (0) | 1.5 (0) | 7.347 (1.682) | 21.09 ± 3.71 | 124.06 ± 2.91 |
| 12 | 8.0 (0) | 0.663 (−1.682) | 4.0 (0) | 21.35 ± 1.34 | 89.03 ± 4.03 |
| 13 | 8.0 (0) | 2.337 (1.682) | 4.0 (0) | 28.23 ± 1.27 | 85.43 ± 2.15 |
| 14 | 8.0 (0) | 1.5 (0) | 0.653 (−1.682) | 21.03 ± 1.42 | 76.09 ± 1.91 |
| 15 | 8.0 (0) | 1.5 (0) | 4.0 (0) | 25.54 ± 1.14 | 95.65 ± 2.44 |
| 16 | 4.653 (−1.682) | 1.5 (0) | 4.0 (0) | 28.84 ± 1.01 | 52.25 ± 1.23 |
| 17 | 11.347 (1.682) | 1.5 (0) | 4.0 (0) | 20.70 ± 1.49 | 66.85 ± 3.20 |
| Effect | Factor 1 | NA yield |
|---|---|---|
| Constant | −373.5050 | |
| Linear | A | 83.2431 |
| B | 97.3955 | |
| C | 14.1455 | |
| Quadratic | AA | −3.9444 |
| BB | −23.5673 | |
| CC | −0.3261 | |
| Interaction | AB | −5.8000 |
| AC | −1.6025 | |
| BC | 4.5375 |
| Value | NA Yield (U/g) |
|---|---|
| Predicted | 107.85 |
| Experimental | 112.97 ± 2.82 |
| Precision (%) | 95.47 |
Publisher’s Note: MDPI stays neutral with regard to jurisdictional claims in published maps and institutional affiliations. |
© 2022 by the authors. Licensee MDPI, Basel, Switzerland. This article is an open access article distributed under the terms and conditions of the Creative Commons Attribution (CC BY) license (https://creativecommons.org/licenses/by/4.0/).
Share and Cite
Lipničanová, S.; Legerská, B.; Chmelová, D.; Ondrejovič, M.; Miertuš, S. Optimization of an Inclusion Body-Based Production of the Influenza Virus Neuraminidase in Escherichia coli. Biomolecules 2022, 12, 331. https://doi.org/10.3390/biom12020331
Lipničanová S, Legerská B, Chmelová D, Ondrejovič M, Miertuš S. Optimization of an Inclusion Body-Based Production of the Influenza Virus Neuraminidase in Escherichia coli. Biomolecules. 2022; 12(2):331. https://doi.org/10.3390/biom12020331
Chicago/Turabian StyleLipničanová, Sabina, Barbora Legerská, Daniela Chmelová, Miroslav Ondrejovič, and Stanislav Miertuš. 2022. "Optimization of an Inclusion Body-Based Production of the Influenza Virus Neuraminidase in Escherichia coli" Biomolecules 12, no. 2: 331. https://doi.org/10.3390/biom12020331
APA StyleLipničanová, S., Legerská, B., Chmelová, D., Ondrejovič, M., & Miertuš, S. (2022). Optimization of an Inclusion Body-Based Production of the Influenza Virus Neuraminidase in Escherichia coli. Biomolecules, 12(2), 331. https://doi.org/10.3390/biom12020331
