Identification of Two Novel CIL-102 Upregulations of ERP29 and FUMH to Inhibit the Migration and Invasiveness of Colorectal Cancer Cells by Using the Proteomic Approach
Abstract
1. Introduction
2. Materials and Methods
2.1. Chemical Reagents, Antibodies, and Cell Culture
2.2. Cell Viability and Reactive Oxygen Species Detection
2.3. Matrigel Invasion and Scratch Analysis
2.4. Proteomic Dimensional Protein Electrophoresis Analysis
2.5. In-Gel Digestion and the Peptide Fingerprints’ Identification with MALDI-TOF
2.6. Cell Extracts’ Preparation and Immunoblot Analysis
2.7. The shRNA Lentivirus Transfection
2.8. Statistical Analysis
3. Results
3.1. CIL-102 Reduces the Migration and Invasion of DLD-1 Cells
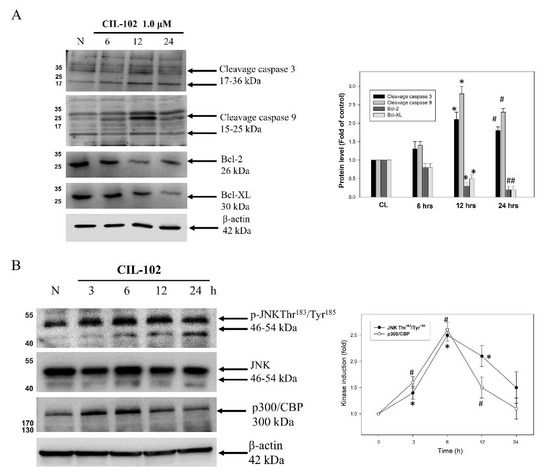
3.2. CIL-102 Treatment Triggers Apoptotic Signals in DLD-1 Cells
3.3. Proteomic Profiling of CIL-102-Treated DLD-1 Cells
3.4. Upregulation of FUMH and ERP29 by CIL-102 via the Signaling Pathways of ROS, JNK, and Histone Acetylation to Inhibit Cell Migration and Invasion
4. Discussion
5. Conclusions
Author Contributions
Funding
Institutional Review Board Statement
Informed Consent Statement
Data Availability Statement
Acknowledgments
Conflicts of Interest
References
- Brenner, H.; Kloor, M.; Pox, C.P. Colorectal cancer. Lancet 2014, 383, 1490–1502. [Google Scholar] [CrossRef]
- Brenner, H.; Chen, C. The colorectal cancer epidemic: Challenges and opportunities for primary, secondary and tertiary prevention. Br. J. Cancer 2018, 119, 785–792. [Google Scholar] [CrossRef]
- Li-Weber, M. New therapeutic aspects of flavones: The anticancer properties of Scutellaria and its main active constituents Wogonin, Baicalein and Baicalin. Cancer Treat. Rev. 2009, 35, 57–68. [Google Scholar] [CrossRef] [PubMed]
- Lee, K.C.; Lee, K.F.; Tung, S.Y.; Huang, W.S.; Lee, L.Y.; Chen, W.P.; Chen, C.C.; Teng, C.C.; Shen, C.H.; Hsieh, M.C.; et al. Induction Apoptosis of Erinacine A in Human Colorectal Cancer Cells Involving the Expression of TNFR, Fas, and Fas Ligand via the JNK/p300/p50 Signaling Pathway with Histone Acetylation. Front. Pharmacol. 2019, 10, 1174. [Google Scholar] [CrossRef] [PubMed]
- Sillars-Hardebol, A.H.; Carvalho, B.; de Wit, M.; Postma, C.; Delis-van Diemen, P.M.; Mongera, S.; Ylstra, B.; van de Wiel, M.A.; Meijer, G.A.; Fijneman, R.J. Identification of key genes for carcinogenic pathways associated with colorectal adenoma-to-carcinoma progression. Tumor Biol. 2010, 31, 89–96. [Google Scholar] [CrossRef]
- Hanahan, D.; Weinberg, R.A. The hallmarks of cancer. Cell 2000, 100, 57–70. [Google Scholar] [CrossRef]
- Li-Weber, M. Targeting apoptosis pathways in cancer by Chinese medicine. Cancer Lett. 2013, 332, 304–312. [Google Scholar] [CrossRef]
- Chen, I.L.; Chen, Y.L.; Tzeng, C.C. An efficient synthesis of antitumor 4-anilinofuro[2,3-b]quinoline derivatives. Chin. Pharm. J. 2003, 55, 49–53. [Google Scholar]
- Chen, Y.L.; Chen, I.L.; Wang, T.C.; Han, C.H.; Tzeng, C.C. Synthesis and anticancer evaluation of certain 4-anilinofuro[2,3-b]quinoline and 4-anilinofuro[3,2-c]quinoline derivatives. Eur. J. Med. Chem. 2005, 40, 928–934. [Google Scholar] [CrossRef]
- Huang, Y.T.; Huang, D.M.; Guh, J.H.; Chen, I.L.; Tzeng, C.C.; Teng, C.M. CIL-102 interacts with microtubule polymerization and causes mitotic arrest following apoptosis in the human prostate cancer PC-3 cell line. J. Biol. Chem. 2005, 280, 2771–2779. [Google Scholar] [CrossRef]
- Chen, Y.-L.; Lin, H.-C.; Yang, C.-N.; Lu, P.-J.; Tzeng, C.-C. Synthesis and Antiproliferative Evaluation of 4-Anilino-n-methoxyfuro[2,3-b]quinoline Derivatives (n = 6, 7). Part 5. Chem. Biodivers. 2008, 5, 267–278. [Google Scholar] [CrossRef]
- Chen, Y.W.; Chen, Y.L.; Tseng, C.H.; Liang, C.C.; Yang, C.N.; Yao, Y.C.; Lu, P.J.; Tzeng, C.C. Discovery of 4-anilinofuro[2,3-b]quinoline derivatives as selective and orally active compounds against non-small-cell lung cancers. J. Med. Chem. 2011, 54, 4446–4461. [Google Scholar] [CrossRef] [PubMed]
- Huang, W.S.; Kuo, Y.H.; Kuo, H.C.; Hsieh, M.C.; Huang, C.Y.; Lee, K.C.; Lee, K.F.; Shen, C.H.; Tung, S.Y.; Teng, C.C. CIL-102-Induced Cell Cycle Arrest and Apoptosis in Colorectal Cancer Cells via Upregulation of p21 and GADD45. PLoS ONE 2017, 12, e0168989. [Google Scholar] [CrossRef]
- Teng, C.C.; Kuo, H.C.; Sze, C.I. Quantitative proteomic analysis of the inhibitory effects of CIL-102 on viability and invasiveness in human glioma cells. Toxicol. Appl. Pharmacol. 2013, 272, 579–590. [Google Scholar] [CrossRef]
- Teng, C.C.; Kuo, H.C.; Cheng, H.C.; Wang, T.C.; Sze, C.I. The inhibitory effect of CIL-102 on the growth of human astrocytoma cells is mediated by the generation of reactive oxygen species and induction of ERK1/2 MAPK. Toxicol. Appl. Pharmacol. 2012, 263, 73–80. [Google Scholar] [CrossRef]
- Teng, C.C.; Tung, S.Y.; Lee, K.C.; Lee, K.F.; Huang, W.S.; Shen, C.H.; Hsieh, M.C.; Huang, C.Y.; Sheen, J.M.; Kuo, H.C. Novel regulator role of CIL-102 in the epigenetic modification of TNFR1/TRAIL to induce cell apoptosis in human gastric cancer. Food Chem. Toxicol. 2021, 147, 111856. [Google Scholar] [CrossRef] [PubMed]
- Huang, W.S.; Hsieh, M.C.; Huang, C.Y.; Kuo, Y.H.; Tung, S.Y.; Shen, C.H.; Hsieh, Y.Y.; Teng, C.C.; Lee, K.F.; Chen, T.C.; et al. The Association of CXC Receptor 4 Mediated Signaling Pathway with Oxaliplatin-Resistant Human Colorectal Cancer Cells. PLoS ONE 2016, 11, e0159927. [Google Scholar] [CrossRef] [PubMed]
- Lu, C.C.; Huang, W.S.; Lee, K.F.; Lee, K.C.; Hsieh, M.C.; Huang, C.Y.; Lee, L.Y.; Lee, B.O.; Teng, C.C.; Shen, C.H.; et al. Inhibitory effect of Erinacines A on the growth of DLD-1 colorectal cancer cells is induced by generation of reactive oxygen species and activation of p70S6K and p21. J. Funct. Foods 2016, 21, 474–484. [Google Scholar] [CrossRef]
- Lee, K.F.; Tung, S.Y.; Teng, C.C.; Shen, C.H.; Hsieh, M.C.; Huang, C.Y.; Lee, K.C.; Lee, L.Y.; Chen, W.P.; Chen, C.C.; et al. Post-Treatment with Erinacine A, a Derived Diterpenoid of H. erinaceus, Attenuates Neurotoxicity in MPTP Model of Parkinson’s Disease. Antioxidants 2020, 9, 137. [Google Scholar] [CrossRef] [PubMed]
- Kuo, H.C.; Kuo, Y.R.; Lee, K.F.; Hsieh, M.C.; Huang, C.Y.; Hsieh, Y.Y.; Lee, K.C.; Kuo, H.L.; Lee, L.Y.; Chen, W.P.; et al. A Comparative Proteomic Analysis of Erinacine A’s Inhibition of Gastric Cancer Cell Viability and Invasiveness. Cell. Physiol. Biochem. 2017, 43, 195–208. [Google Scholar] [CrossRef] [PubMed]
- Lee, K.C.; Kuo, H.C.; Shen, C.H.; Lu, C.C.; Huang, W.S.; Hsieh, M.C.; Huang, C.Y.; Kuo, Y.H.; Hsieh, Y.Y.; Teng, C.C.; et al. A proteomics approach to identifying novel protein targets involved in erinacine A-mediated inhibition of colorectal cancer cells’ aggressiveness. J. Cell. Mol. Med. 2017, 21, 588–599. [Google Scholar] [CrossRef]
- Tsai, J.J.; Kuo, H.C.; Lee, K.F.; Tsai, T.H. Proteomic analysis of plasma from rats following total parenteral nutrition-induced liver injury. Proteomics 2015, 15, 3865–3874. [Google Scholar] [CrossRef]
- Huang, W.S.; Kuo, Y.H.; Chin, C.C.; Wang, J.Y.; Yu, H.R.; Sheen, J.M.; Tung, S.Y.; Shen, C.H.; Chen, T.C.; Sung, M.L.; et al. Proteomic analysis of the effects of baicalein on colorectal cancer cells. Proteomics 2012, 12, 810–819. [Google Scholar] [CrossRef]
- Huang, W.S.; Chin, C.C.; Chen, C.N.; Kuo, Y.H.; Chen, T.C.; Yu, H.R.; Tung, S.Y.; Shen, C.H.; Hsieh, Y.Y.; Guo, S.E.; et al. Stromal cell-derived factor-1/CXC receptor 4 and beta1 integrin interaction regulates urokinase-type plasminogen activator expression in human colorectal cancer cells. J. Cell. Physiol. 2012, 227, 1114–1122. [Google Scholar] [CrossRef] [PubMed]
- Huang, W.S.; Huang, C.Y.; Hsieh, M.C.; Kuo, Y.H.; Tung, S.Y.; Shen, C.H.; Hsieh, Y.Y.; Teng, C.C.; Lee, K.C.; Lee, K.F.; et al. Expression of PRDX6 Correlates with Migration and Invasiveness of Colorectal Cancer Cells. Cell. Physiol. Biochem. 2018, 51, 2616–2630. [Google Scholar] [CrossRef] [PubMed]
- Ivanova, S.; Polajnar, M.; Narbona-Perez, A.J.; Hernandez-Alvarez, M.I.; Frager, P.; Slobodnyuk, K.; Plana, N.; Nebreda, A.R.; Palacin, M.; Gomis, R.R.; et al. Regulation of death receptor signaling by the autophagy protein TP53INP2. EMBO J. 2019, 38. [Google Scholar] [CrossRef]
- Kuo, H.C.; Chiu, C.C.; Chang, W.C.; Sheen, J.M.; Ou, C.Y.; Kuo, H.C.; Chen, R.F.; Hsu, T.Y.; Chang, J.C.; Hsaio, C.C.; et al. Use of proteomic differential displays to assess functional discrepancies and adjustments of human bone marrow- and Wharton jelly-derived mesenchymal stem cells. J. Proteome Res. 2011, 10, 1305–1315. [Google Scholar] [CrossRef]
- Guo, L.; Ma, L.; Liu, C.; Lei, Y.; Tang, N.; Huang, Y.; Huang, G.; Li, D.; Wang, Q.; Liu, G.; et al. ERp29 counteracts the suppression of malignancy mediated by endoplasmic reticulum stress and promotes the metastasis of colorectal cancer. Oncol. Rep. 2019, 41, 1603–1615. [Google Scholar] [CrossRef]
- Tanaka, T. Colorectal carcinogenesis: Review of human and experimental animal studies. J. Carcinog. 2009, 8, 5. [Google Scholar] [CrossRef]
- Loo, G. Redox-sensitive mechanisms of phytochemical-mediated inhibition of cancer cell proliferation (review). J. Nutr. Biochem. 2003, 14, 64–73. [Google Scholar] [CrossRef]
- NavaneethaKrishnan, S.; Rosales, J.L.; Lee, K.Y. ROS-Mediated Cancer Cell Killing through Dietary Phytochemicals. Oxid. Med. Cell. Longev. 2019, 2019, 9051542. [Google Scholar] [CrossRef]
- Ahmed, K.; Zaidi, S.F.; Cui, Z.G.; Zhou, D.; Saeed, S.A.; Inadera, H. Potential proapoptotic phytochemical agents for the treatment and prevention of colorectal cancer. Oncol. Lett. 2019, 18, 487–498. [Google Scholar] [CrossRef]
- Bambang, I.F.; Xu, S.; Zhou, J.; Salto-Tellez, M.; Sethi, S.K.; Zhang, D. Overexpression of endoplasmic reticulum protein 29 regulates mesenchymal-epithelial transition and suppresses xenograft tumor growth of invasive breast cancer cells. Lab. Investig. 2009, 89, 1229–1242. [Google Scholar] [CrossRef] [PubMed]
- Lafleur, M.A.; Stevens, J.L.; Lawrence, J.W. Xenobiotic perturbation of ER stress and the unfolded protein response. Toxicol. Pathol. 2013, 41, 235–262. [Google Scholar] [CrossRef] [PubMed]
- Chen, S.; Zhang, D. Friend or foe: Endoplasmic reticulum protein 29 (ERp29) in epithelial cancer. FEBS Open. Bio. 2015, 5, 91–98. [Google Scholar] [CrossRef][Green Version]
- Fuhler, G.M.; Eppinga, H.; Peppelenbosch, M.P. Fumarates and Cancer. Trends. Mol. Med. 2017, 23, 3–5. [Google Scholar] [CrossRef] [PubMed]
- Sciacovelli, M.; Goncalves, E.; Johnson, T.I.; Zecchini, V.R.; da Costa, A.S.; Gaude, E.; Drubbel, A.V.; Theobald, S.J.; Abbo, S.R.; Tran, M.G.; et al. Fumarate is an epigenetic modifier that elicits epithelial-to-mesenchymal transition. Nature 2016, 537, 544–547. [Google Scholar] [CrossRef] [PubMed]







| Spot | Protein Name | Mr/PI | Accession No | MASCOT Score | Matched Peptides |
|---|---|---|---|---|---|
| 1 | Stress-induced-phosphoprotein | 63/6.4 | STIP1_HUMAN | 1200 | 95 |
| 2 | X-ray repair cross-complementing protein 6 | 70/6.2 | XRCC6_HUMAN | 1230 | 55 |
| 3 | Glucose-6-phosphate isomerase | 63/9.1 | G6PI_HUMAN | 60 | 2 |
| 4 | S-methyl-5′-thioadenosine phosphorylase | 31/6.9 | MTAP_HUMAN | 261 | 10 |
| 5 | Heterogeneous nuclear ribonucleoprotein L | 64/9.2 | HNRPL_HUMAN | 310 | 17 |
| 6 | Alcohol dehydrogenase [NADP(+)] | 36/6.3 | AK1A1_HUMAN | 438 | 17 |
| 7 | Glutamate dehydrogenase 1 | 61/5.8 | DHE3_HUMAN | 1000 | 49 |
| 8 | GMP synthase | 77/6.4 | GUAA_HUMAN | 592 | 20 |
| 9 | Fumarate hydratase | 54/9.4 | FUMH_HUMAN | 420 | 21 |
| 10 | Histidine triad nucleotide-binding protein 1 | 13/6.4 | HINT1_HUMAN | 125 | 8 |
| 11 | Endoplasmic reticulum resident protein 29 | 29/7.5 | ERP29_HUMAN | 430 | 23 |
| 12 | WD repeat-containing protein 1 | 66/6.1 | WDR1_HUMAN | 625 | 39 |
| 13 | GTP-binding nuclear protein | 24/7.7 | RAN_HUMAN | 534 | 40 |
| 14 | Heat shock protein beta-1 | 22/5.9 | HSPB1_HUMAN | 411 | 42 |
| 15 | Mitochondrial import receptor subunit TOM40 homolog | 38/6.9 | TOM40_HUMAN | 372 | 15 |
| 16 | Peroxiredoxin-2 | 22/5.5 | PRDX2_HUMAN | 548 | 38 |
| 17 | Heat shock protein 75 kDa | 80/8.9 | TRAP1_HUMAN | 468 | 14 |
| 18 | L-lactate dehydrogenase B chain | 36/5.6 | LDHB_HUMAN | 491 | 26 |
| 19 | UDP-glucose 6-dehydrogenase | 55/6.8 | UGDH_HUMAN | 1049 | 60 |
| Cell Invasion (%) | Migration (%) | |
|---|---|---|
| Control | 100 | 100 |
| CIL-102 | 24 ± 2 | 42 ± 2 |
| CIL-102 Lenti GFP | 97 ± 2 | 98 ± 2 |
| CIL-102 Lenti ERP29 | 55 ± 3 | 58 ± 3 |
| CIL-102 Lenti FUMH | 45 ± 3 | 65 ± 2 |
| Lenti ERP29 | 165 ± 2 | 140 ± 2 |
| Lenti FUMH | 150 ± 2 | 145 ± 2 |
Publisher’s Note: MDPI stays neutral with regard to jurisdictional claims in published maps and institutional affiliations. |
© 2021 by the authors. Licensee MDPI, Basel, Switzerland. This article is an open access article distributed under the terms and conditions of the Creative Commons Attribution (CC BY) license (https://creativecommons.org/licenses/by/4.0/).
Share and Cite
Cheng, K.-C.; Kuo, H.-C.; Hsieh, M.-C.; Huang, C.-Y.; Teng, C.-C.; Tung, S.-Y.; Shen, C.-H.; Lee, K.-F.; Yang, Y.-L.; Lee, K.-C. Identification of Two Novel CIL-102 Upregulations of ERP29 and FUMH to Inhibit the Migration and Invasiveness of Colorectal Cancer Cells by Using the Proteomic Approach. Biomolecules 2021, 11, 1280. https://doi.org/10.3390/biom11091280
Cheng K-C, Kuo H-C, Hsieh M-C, Huang C-Y, Teng C-C, Tung S-Y, Shen C-H, Lee K-F, Yang Y-L, Lee K-C. Identification of Two Novel CIL-102 Upregulations of ERP29 and FUMH to Inhibit the Migration and Invasiveness of Colorectal Cancer Cells by Using the Proteomic Approach. Biomolecules. 2021; 11(9):1280. https://doi.org/10.3390/biom11091280
Chicago/Turabian StyleCheng, Kung-Chuan, Hsing-Chun Kuo, Meng-Chiao Hsieh, Cheng-Yi Huang, Chih-Chuan Teng, Shui-Yi Tung, Chien-Heng Shen, Kam-Fai Lee, Ya-Ling Yang, and Ko-Chao Lee. 2021. "Identification of Two Novel CIL-102 Upregulations of ERP29 and FUMH to Inhibit the Migration and Invasiveness of Colorectal Cancer Cells by Using the Proteomic Approach" Biomolecules 11, no. 9: 1280. https://doi.org/10.3390/biom11091280
APA StyleCheng, K.-C., Kuo, H.-C., Hsieh, M.-C., Huang, C.-Y., Teng, C.-C., Tung, S.-Y., Shen, C.-H., Lee, K.-F., Yang, Y.-L., & Lee, K.-C. (2021). Identification of Two Novel CIL-102 Upregulations of ERP29 and FUMH to Inhibit the Migration and Invasiveness of Colorectal Cancer Cells by Using the Proteomic Approach. Biomolecules, 11(9), 1280. https://doi.org/10.3390/biom11091280

