In-Depth Investigation on Potential Mechanism of Forest-Grown Ginseng Alleviating Alzheimer’s Disease via UHPLC-MS-Based Metabolomics
Abstract
1. Introduction
2. Materials and Methods
2.1. Preparation of Ginsenoside
2.2. Chemicals and Materials
2.3. PC12 Cells for the Experiments
2.3.1. Evaluating the Optimal Concentrations of GSF and Aβ25–35
2.3.2. Determination of the Oxidative Factor and Inflammatory Factor
2.4. Animals and Experimental Design
2.5. Serum UHPLC-MS Metabolomic Analysis
2.6. Brain Tissue UHPLC-MS Metabolomic Analysis
2.7. Statistical Analysis
3. Results
3.1. Protective Effect of GSF on PC12 Cell Injury Induced by Aβ25–35
3.1.1. Effect of GSF on PC12 Cell Proliferation
3.1.2. Pharmacodynamic Evaluation of PC12 Cells
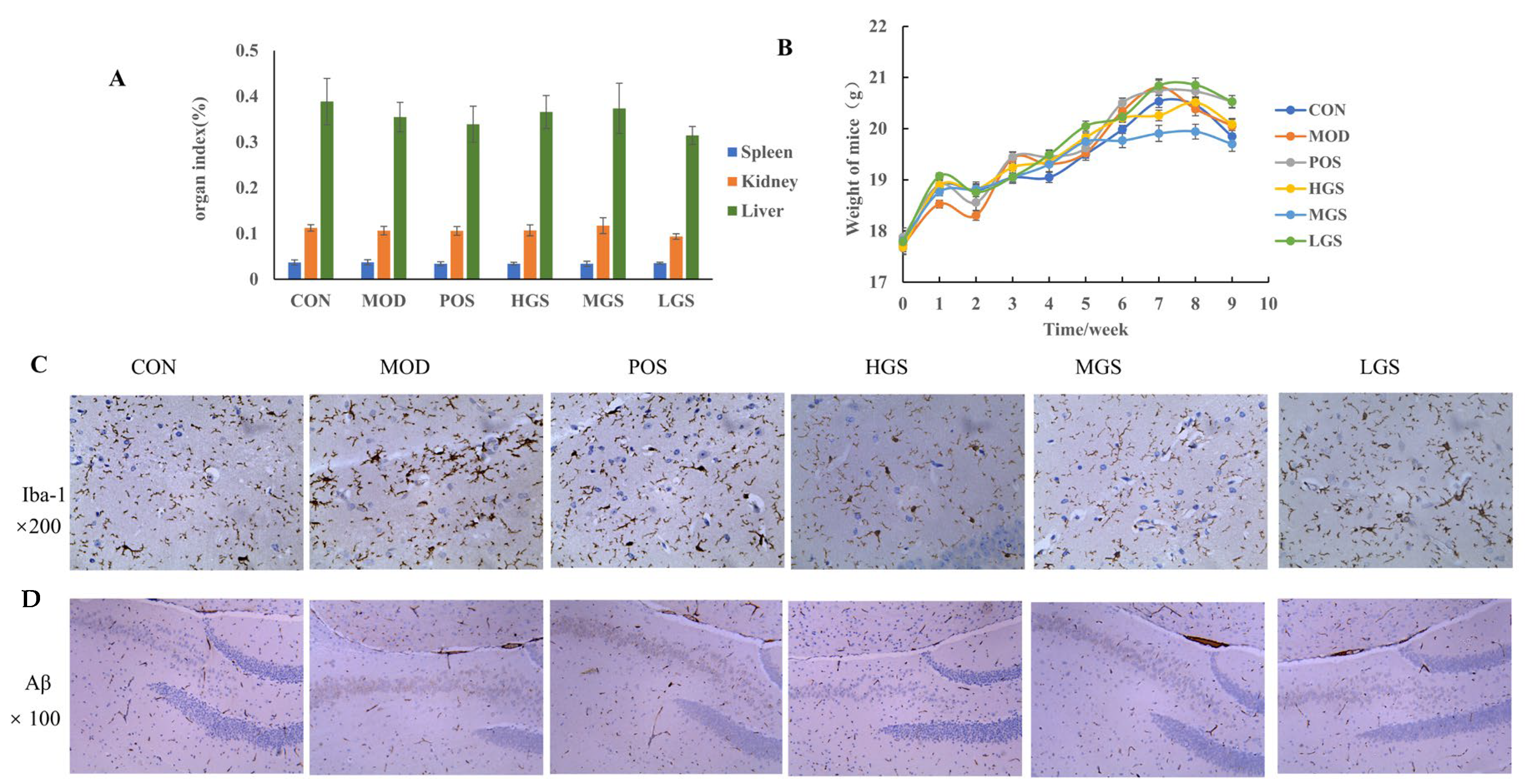
3.2. Immunohistochemical Results
3.3. UHPLC-Q-Exactive MS-Based Serum Metabolomics Analysis
3.4. UHPLC-Q-Exactive MS-Based Brain Tissue Metabolomics Analysis
4. Discussion
5. Conclusions
Author Contributions
Funding
Institutional Review Board Statement
Data Availability Statement
Conflicts of Interest
Abbreviations
| GSF | Forest-grown ginseng |
| SOD | Superoxide dismutase |
| AD | Alzheimer’s disease |
| PCA | Principal component analysis |
| UHPLC-Q-Exactive MS | Ultra-high-performance liquid chromatography–quadrupole-orbitrap high-resolution mass spectrometry |
| Aβ protein | Amyloid β-protein |
References
- Chen, W.; Balan, P.; Popovich, D.G. Comparison of Ginsenoside Components of Various Tissues of New Zealand Forest-Grown Asian Ginseng (Panax ginseng) and American Ginseng (Panax quinquefolium L.). Biomolecules 2020, 10, 372. [Google Scholar] [CrossRef] [PubMed]
- Hao, M.; Ding, C.; Peng, X.; Chen, H.; Dong, L.; Zhang, Y.; Chen, X.; Liu, W.; Luo, Y. Ginseng under forest exerts stronger anti-aging effects compared to garden ginseng probably via regulating PI3K/AKT/mTOR pathway, SIRT1/NF-κB pathway and intestinal flora. Phytomedicine 2022, 105, 154365. [Google Scholar] [CrossRef] [PubMed]
- Wang, H.P.; Wang, Z.J.; Du, J.; Lin, Z.Z.; Zhao, C.; Zhang, R.; Yin, Q.; Fan, C.L.; Peng, P.; Wang, Z.B. Comprehensive Identification of Ginsenosides in the Roots and Rhizomes of Panax ginseng Based on Their Molecular Features-Oriented Precursor Ions Selection and Targeted MS/MS Analysis. Molecules 2023, 28, 941. [Google Scholar] [CrossRef] [PubMed]
- Ni, X.C.; Wang, H.F.; Cai, Y.Y.; Yang, D.; Alolga, R.N.; Liu, B.; Li, J.; Huang, F.Q. Ginsenoside Rb1 inhibits astrocyte activation and promotes transfer of astrocytic mitochondria to neurons against ischemic stroke. Redox. Biol. 2022, 54, 102363. [Google Scholar] [CrossRef] [PubMed]
- Liu, X.; Mi, X.; Wang, Z.; Zhang, M.; Hou, J.; Jiang, S.; Wang, Y.; Chen, C.; Li, W. Ginsenoside Rg3 promotes regression from hepatic fibrosis through reducing inflammation-mediated autophagy signaling pathway. Cell Death Dis. 2020, 11, 454. [Google Scholar] [CrossRef] [PubMed]
- Li, J.; Gao, W.; Zhao, Z.; Li, Y.; Yang, L.; Wei, W.; Ren, F.; Li, Y.; Yu, Y.; Duan, W.; et al. Ginsenoside Rg1 Reduced Microglial Activation and Mitochondrial Dysfunction to Alleviate Depression-Like Behaviour via the GAS5/EZH2/SOCS3/NRF2 Axis. Mol. Neurobiol. 2022, 59, 2855–2873. [Google Scholar] [CrossRef]
- Cheng, H.; Liu, J.; Zhang, D.; Wang, J.; Tan, Y.; Feng, W.; Peng, C. Ginsenoside Rg1 Alleviates Acute Ulcerative Colitis by Modulating Gut Microbiota and Microbial Tryptophan Metabolism. Front. Immunol. 2022, 13, 817600. [Google Scholar] [CrossRef]
- Kong, L.; Liu, Y.; Li, J.; Wang, Y.; Ji, P.; Shi, Q.; Han, M.; Xu, H.; Li, W.; Li, W. Ginsenoside Rg1 alleviates chronic inflammation-induced neuronal ferroptosis and cognitive impairments via regulation of AIM2–Nrf2 signaling pathway. J. Ethnopharmacol. 2024, 330, 118205. [Google Scholar] [CrossRef]
- Chu, S.; Gu, J.; Feng, L.; Liu, J.; Zhang, M.; Jia, X.; Liu, M.; Yao, D. Ginsenoside Rg5 improves cognitive dysfunction and beta-amyloid deposition in STZ-induced memory impaired rats via attenuating neuroinflammatory responses. Int. Immunopharmacol. 2014, 19, 317–326. [Google Scholar] [CrossRef] [PubMed]
- Liu, S.; Fan, M.; Zheng, Q.; Hao, S.; Yang, L.; Xia, Q.; Qi, C.; Ge, J. MicroRNAs in Alzheimer’s disease: Potential diagnostic markers and therapeutic targets. Biomed. Pharmacother. 2022, 148, 112681. [Google Scholar] [CrossRef] [PubMed]
- Rostagno, A.A. Pathogenesis of Alzheimer’s Disease. Int. J. Mol. Sci. 2022, 24, 107. [Google Scholar] [CrossRef] [PubMed]
- Zhang, Y.; Zhang, Z.; Wang, H.; Cai, N.; Zhou, S.; Zhao, Y.; Chen, X.; Zheng, S.; Si, Q.; Zhang, W. Neuroprotective effect of ginsenoside Rg1 prevents cognitive impairment induced by isoflurane anesthesia in aged rats via antioxidant, anti-inflammatory and anti-apoptotic effects mediated by the PI3K/AKT/GSK-3β pathway. Mol. Med. Rep. 2016, 14, 2778–2784. [Google Scholar] [CrossRef] [PubMed]
- Huang, L.; Liu, L.F.; Liu, J.; Dou, L.; Wang, G.Y.; Liu, X.Q.; Yuan, Q.L. Ginsenoside Rg1 protects against neurodegeneration by inducing neurite outgrowth in cultured hippocampal neurons. Neural Regen. Res. 2016, 11, 319–325. [Google Scholar] [CrossRef]
- Cui, J.; Shan, R.; Cao, Y.; Zhou, Y.; Liu, C.; Fan, Y. Protective effects of ginsenoside Rg2 against memory impairment and neuronal death induced by Aβ25-35 in rats. J. Ethnopharmacol. 2021, 266, 113466. [Google Scholar] [CrossRef] [PubMed]
- Rosa, L.D.A.; Olaso Gonzalez, G.; Arc Chagnaud, C.; Millan, F.; Salvador-Pascual, A.; García-Lucerga, C.; Blasco-Lafarga, C.; Garcia-Dominguez, E.; Carretero, A.; Correas, A.G.; et al. Physical exercise in the prevention and treatment of Alzheimer’s disease. J. Sport Health Sci. 2020, 9, 394–404+479. [Google Scholar] [CrossRef]
- Guandique, A.M.D.; Saraceno, F.G.; Cannataro, R.; Burnside, M.M.; Caroleo, C.M.; Cione, E. Apolipoprotein E and Alzheimer’s Disease in Italian Population: Systematic Review and Meta-Analysis. Brain Sci. 2024, 14, 908. [Google Scholar] [CrossRef]
- Lv, J.; Lu, C.; Jiang, N.; Wang, H.; Huang, H.; Chen, Y.; Li, Y.; Liu, X. Protective effect of ginsenoside Rh2 on scopolamine-induced memory deficits through regulation of cholinergic transmission, oxidative stress and the ERK-CREB-BDNF signaling pathway. Phytother. Res. 2021, 35, 337–345. [Google Scholar] [CrossRef]
- She, L.; Tang, H.; Zeng, Y.; Li, L.; Xiong, L.; Sun, J.; Chen, F.; Ren, J.; Zhang, J.; Wang, W.; et al. Ginsenoside RK3 promotes neurogenesis in Alzheimer’s disease through activation of the CREB/BDNF pathway. J. Ethnopharmacol. 2024, 321, 117462. [Google Scholar] [CrossRef] [PubMed]
- Horgusluoglu, E.; Neff, R.; Song, W.M.; Wang, M.; Wang, Q.; Arnold, M.; Krumsiek, J.; Galindo-Prieto, B.; Ming, C.; Nho, K.; et al. Alzheimer’s Disease Neuroimaging Initiative (ADNI); Alzheimer Disease Metabolomics Consortium. Integrative metabolomics-genomics approach reveals key metabolic pathways and regulators of Alzheimer’s disease. Alzheimers Dement. 2022, 18, 1260–1278. [Google Scholar] [CrossRef]
- Fu, J.; Li, J.; Sun, Y.; Liu, S.; Song, F.; Liu, Z. In-depth investigation of the mechanisms of Schisandra chinensis polysaccharide mitigating Alzheimer’s disease rat via gut microbiota and feces metabolomics. Int. J. Biol. Macromol. 2023, 232, 123488. [Google Scholar] [CrossRef] [PubMed]
- Zhang, Z.; Yi, P.; Yang, J.; Huang, J.; Xu, P.; Hu, M.; Zhang, C.; Wang, B.; Peng, W. Integrated network pharmacology analysis and serum metabolomics to reveal the cognitive improvement effect of Bushen Tiansui formula on Alzheimer’s disease. J. Ethnopharmacol. 2020, 249, 112371. [Google Scholar] [CrossRef]
- Panyard, D.J.; Kim, K.M.; Darst, B.F.; Deming, Y.K.; Zhong, X.; Wu, Y.; Kang, H.; Carlsson, C.M.; Johnson, S.C.; Asthana, S.; et al. Cerebrospinal fluid metabolomics identifies 19 brain-related phenotype associations. Commun. Biol. 2021, 4, 63. [Google Scholar] [CrossRef] [PubMed]
- Zhang, P.; Kishimoto, Y.; Grammatikakis, I.; Gottimukkala, K.; Cutler, R.G.; Zhang, S.; Abdelmohsen, K.; Bohr, V.A.; Misra Sen, J.; Gorospe, M.; et al. Senolytic therapy alleviates Aβ-associated oligodendrocyte progenitor cell senescence and cognitive deficits in an Alzheimer’s disease model. Nat. Neurosci. 2019, 22, 719–728. [Google Scholar] [CrossRef]
- Xie, D.; Deng, T.; Zhai, Z.; Sun, T.; Xu, Y. The cellular model for Alzheimer’s disease research: PC12 cells. Front. Mol. Neurosci. 2023, 15, 1016559. [Google Scholar] [CrossRef] [PubMed]
- Zhang, S.S.; Zhu, L.; Peng, Y.; Zhang, L.; Chao, F.L.; Jiang, L.; Xiao, Q.; Liang, X.; Tang, J.; Yang, H.; et al. Long-term running exercise improves cognitive function and promotes microglial glucose metabolism and morphological plasticity in the hippocampus of APP/PS1 mice. J. Neuroinflamm. 2022, 19, 34. [Google Scholar] [CrossRef] [PubMed]
- Xie, L.; Liu, Y.; Zhang, N.; Li, C.; Sandhu, A.F.; Williams, G.; Shen, Y.; Li, H.; Wu, Q.; Yu, S. Electroacupuncture Improves M2 Microglia Polarization and Glia Anti-inflammation of Hippocampus in Alzheimer’s Disease. Front. Neurosci. 2021, 15, 689629. [Google Scholar] [CrossRef]
- Xu, J.; Chen, Z.; Yu, F.; Liu, H.; Ma, C.; Xie, D.; Hu, X.; Leak, R.K.; Chou, S.H.Y.; Stetler, R.A.; et al. IL-4/STAT6 signaling facilitates innate hematoma resolution and neurological recovery after hemorrhagic stroke in mice. Proc. Natl. Acad. Sci. USA 2020, 117, 32679–32690. [Google Scholar] [CrossRef]
- Liu, S.; Gao, J.; Zhu, M.; Liu, K.; Zhang, H.L. Gut Microbiota and Dysbiosis in Alzheimer’s Disease: Implications for Pathogenesis and Treatment. Mol. Neurobiol. 2020, 57, 5026–5043. [Google Scholar] [CrossRef] [PubMed]
- Yang, Y.; Tapias, V.; Acosta, D.; Xu, H.; Chen, H.; Bhawal, R.; Anderson, E.T.; Ivanova, E.; Lin, H.; Sagdullaev, B.T.; et al. Altered succinylation of mitochondrial proteins, APP and tau in Alzheimer’s disease. Nat. Commun. 2022, 13, 159. [Google Scholar] [CrossRef] [PubMed]
- Bazinet, R.P.; Layé, S. Polyunsaturated fatty acids and their metabolites in brain function and disease. Nat. Rev. Neurosci. 2014, 15, 771–785. [Google Scholar] [CrossRef] [PubMed]
- Czubowicz, K.; Jęśko, H.; Wencel, P.; Lukiw, W.J.; Strosznajder, R.P. The Role of Ceramide and Sphingosine-1-Phosphate in Alzheimer’s Disease and Other Neurodegenerative Disorders. Mol. Neurobiol. 2019, 56, 5436–5455. [Google Scholar] [CrossRef] [PubMed]
- Jain, S.K.; Stevens, C.M.; Margret, J.J.; Levine, S.N. Alzheimer’s Disease: A Review of Pathology, Current Treatments, and the Potential Therapeutic Effect of Decreasing Oxidative Stress by Combined Vitamin D and l-Cysteine Supplementation. Antioxid. Redox. Signal. 2024, 40, 663–678. [Google Scholar] [CrossRef] [PubMed]
- Chen, Y.; Luo, Z.; Sun, Y.; Li, F.; Han, Z.; Qi, B.; Lin, J.; Lin, W.W.; Yao, M.; Kang, X.; et al. Exercise improves choroid plexus epithelial cells metabolism to prevent glial cell-associated neurodegeneration. Front. Pharmacol. 2022, 13, 1010785. [Google Scholar] [CrossRef] [PubMed]






| NO. | Mass | Compound_id | Name | Formula | Adduct | Adduct Type | Rt/ min | MS/MS | KEGG | Change Trend | VIP | FC | p-Value | ||||
|---|---|---|---|---|---|---|---|---|---|---|---|---|---|---|---|---|---|
| MOD/CON | HGS/MOD | MOD/CON | MOD/HGS | CON/MOD | MOD/HGS | CON/ MOD | MOD/ HGS | ||||||||||
| 1 | 155.0516 | HMDB0000272 | Phosphoserine | C3H8NO6P | M+3ACN+2H | POS | 12.70 | 98.9874, 113.9670, 131.9778 | C01005 | ↓ | ↑ | 1.06 | 1.29 | 0.66 | 1.20 | 5.75 × 10−3 | 4.78 × 10−3 |
| 2 | 173.0808 | HMDB0258537 | Succinaldehyde | C4H6O2 | 2M+H | POS | 3.44 | 149.9444, 112.0315, 84.0179 | C16835 | ↓ | ↓ | 1.28 | 1.75 | 0.64 | 0.79 | 7.35 × 10−5 | 1.35 × 10−3 |
| 3 | 173.0808 | HMDB0000549 | gamma-Butyrolactone | C4H6O2 | 2M+H | POS | 10.90 | 112.0315, 109.1046, 84.0179 | C01770 | ↑ | ↓ | 1.32 | 1.69 | 1.29 | 0.83 | 1.08 × 10−5 | 6.89 × 10−3 |
| 4 | 183.0165 | HMDB0001096 | Carbamoyl phosphate | CH4NO5P | M+ACN+H | POS | 13.04 | 155.0510, 127.0191, 98.9874 | C00169 | ↓ | ↑ | 1.05 | 1.18 | 0.65 | 1.19 | 6.51 × 10−3 | 1.51 × 10−2 |
| 5 | 205.0647 | HMDB0000099 | L-Cystathionine | C7H14N2O4S | M+H−H2O | POS | 2.42 | 162.8056, 123.1631, 89.5861 | C02991 | ↑ | ↓ | 1.30 | 1.14 | 1.26 | 0.62 | 2.19 × 10−5 | 1.35 × 10−3 |
| 6 | 205.0641 | HMDB0001890 | Acetylcysteine | C5H9NO3S | M+ACN+H | POS | 12.67 | 184.1715, 166.5062, 89.5861 | C06809 | ↓ | ↑ | 1.05 | 1.16 | 0.70 | 1.29 | 4.50 × 10−4 | 4.00 × 10−3 |
| 7 | 246.0972 | HMDB0001259 | Succinic acid semialdehyde | C4H6O3 | 2M+ACN+H | POS | 2.64 | 206.0689, 205.0656, 145.3397 | C00232 | ↑ | ↑ | 0.18 | 0.96 | 1.18 | 0.80 | 1.48 × 10−2 | 3.96 × 10−2 |
| 8 | 261.1333 | HMDB0000491 | 3-Methyl-2-oxovaleric acid | C6H10O3 | 2M+H | POS | 1.70 | 218.9760, 162.7912, 97.6987 | C00671 | ↑ | ↑ | 1.29 | 1.80 | 1.23 | 0.61 | 3.08 × 10−5 | 5.41 × 10−4 |
| 9 | 266.1586 | HMDB0002639 | Sulfolithocholylglycine | C26H43NO7S | M+H+NH4 | POS | 16.62 | 265.1372, 246.1556, 135.0265 | C11301 | ↓ | ↓ | 1.28 | 1.31 | 0.86 | 0.86 | 4.83 × 10−4 | 2.13 × 10−3 |
| 10 | 277.1394 | HMDB0000279 | Saccharopine | C11H20N2O6 | M+H | POS | 6.83 | 214.0946, 183.0825, 112.0312 | C00449 | ↑ | ↑ | 1.25 | 1.51 | 1.09 | 1.49 | 1.19 × 10−6 | 2.11 × 10−3 |
| 11 | 346.2741 | HMDB0001043 | Arachidonic acid | C20H32O2 | M+ACN+H | POS | 18.12 | 284.3022, 162.8419, 88.0788 | C00219 | ↑ | ↓ | 1.26 | 1.80 | 1.59 | 0.52 | 2.89 × 10−6 | 5.82 × 10−5 |
| 12 | 362.2461 | HMDB0000277 | Sphingosine 1-phosphate | C18H38NO5P | M+H−H2O | POS | 2.45 | 249.7067, 162.7943, 137.4978 | C06124 | ↓ | ↑ | 1.01 | 1.21 | 0.69 | 1.20 | 5.24 × 10−4 | 1.47 × 10−2 |
| 13 | 421.3433 | HMDB0008325 | PC(20:1(11Z)/P-18:0) | C46H90NO7P | M+ACN+2H | POS | 1.86 | 414.4126, 213.8097, 162.7904 | C00157 | ↑ | ↑ | 1.07 | 1.29 | 1.39 | 1.38 | 6.23 × 10−4 | 4.93 × 10−4 |
| 14 | 453.3581 | HMDB0002536 | Isodeoxycholic acid | C24H40O4 | M+IsoProp+H | POS | 2.93 | 435.3441, 322.2569, 226.1973 | C17661 | ↓ | ↑ | 1.13 | 1.56 | 0.88 | 1.15 | 1.23 × 10−3 | 3.50 × 10−4 |
| 15 | 453.3583 | HMDB0000733 | Hyodeoxycholic acid | C24H40O4 | M+IsoProp+H | POS | 10.58 | 413.2768, 209.1705, 114.0947 | C15517 | ↓ | ↑ | 1.21 | 1.40 | 0.90 | 1.09 | 1.63 × 10−3 | 7.57 × 10−3 |
| 16 | 498.4112 | HMDB0008816 | PC(24:1(15Z)/24:1(15Z)) | C56H108NO8P | M+ACN+2H | POS | 10.65 | 435.3445, 322.2572, 209.1704 | C00157 | ↓ | ↓ | 1.25 | 1.78 | 0.67 | 0.76 | 2.34 × 10−5 | 8.89 × 10−4 |
| 17 | 588.4136 | HMDB0010408 | LysoPC(P-18:1(9Z)/0:0) | C26H52NO6P | M+2ACN+H | POS | 11.31 | 570.4187, 414.3601, 219.1586 | C04230 | ↓ | ↑ | 1.28 | 1.78 | 0.78 | 1.35 | 1.32 × 10−5 | 2.02 × 10−3 |
| 18 | 611.4882 | HMDB0061650 | 9,10-Epoxyoctadecanoic acid | C18H34O4 | 2M+H−H2O | POS | 11.17 | 588.4225, 283.7238, 183.0824 | C19620 | ↓ | ↓ | 1.22 | 1.69 | 0.70 | 0.77 | 1.38 × 10−5 | 1.38 × 10−3 |
| 19 | 362.2496 | HMDB0001383 | Sphinganine 1-phosphate | C18H40NO5P | M−H2O−H | NEG | 2.17 | 355.2077, 319.2307, 285.1143 | C01120 | ↓ | ↓ | 1.67 | 1.61 | 0.76 | 0.73 | 3.11 × 10−5 | 1.16 × 10−4 |
| 20 | 437.2456 | HMDB0030386 | Myosmine | C9H10N2 | 3M−H | NEG | 24.65 | 379.2371, 333.2316, 89.0235 | C10160 | ↓ | ↓ | 1.65 | 1.70 | 0.87 | 0.87 | 1.46 × 10−4 | 2.22 × 10−3 |
| Group | NO. | Rt/min | Mass | MS/MS | Name | Formula | Adduct | Adduct Type | Delta /ppm | KEGG | VIP | p-Value | log2FC | Change Trend |
|---|---|---|---|---|---|---|---|---|---|---|---|---|---|---|
| CON/MOD | 1 | 1.92 | 341.1657 | 205.0654, 182.0830, 155.0508 | 17alpha-Estradiol | C18H24O2 | M+H+HCOONa | POS | 19 | C02537 | 1.34 | 2.27 × 10−10 | 4.00 | ↑ |
| 2 | 1.42 | 137.0495 | 132.0804, 123.0587104.1101 | Bisphenol A | C15H16O2 | M+2Na | POS | 20 | C13624 | 1.14 | 5.16 × 10−10 | 0.12 | ↑ | |
| 3 | 1.56 | 371.1663 | 205.0653, 183.0829, 132.0803 | Beta-1,4-D-Mannosylchitobiosyldiphosphodolichol | C47H82N2O22P2 | M+2H+Na | POS | 10 | C05860 | 1.89 | 2.62 × 10−1 | −0.05 | ↓ | |
| 4 | 1.9 | 342.169 | 340.2681, 183.0829, 155.0508 | Histidinal | C6H9N3O | 2M+ACN+Na | POS | 12 | C01929 | 1.57 | 3.11 × 10−10 | 6.03 | ↑ | |
| 5 | 1.61 | 357.14 | 340.2680, 205.0653, 132.0803 | Estrone sulfate | C18H22O5S | M+Li | POS | 15 | C02538 | 1.31 | 3.81 × 10−10 | 6.22 | ↑ | |
| 6 | 1.48 | 401.0543 | 303.0864, 292.9264, 174.0416 | Glycerophosphoinositol | C9H19O11P | M−H+HCOONa | NEG | 19 | C01225 | 1.10 | 2.45 × 10−3 | 0.03 | ↑ | |
| MOD/HGS | 1 | 1.58 | 183.0828 | 171.1536, 140.0144, 127.0189 | D-Ribose | C5H10O5 | M+CH3OH+H | POS | 19 | C00121 | 2.53 | 2.98 × 10−4 | 0.14 | ↑ |
| 2 | 1.25 | 184.0861 | 146.0462, 132.0304, 124.0074 | 8-Hydroxyadenine | C5H5N5O | M+CH3OH+H | POS | 17 | C22499 | 1.31 | 2.59 × 10−5 | 0.14 | ↑ | |
| 3 | 1.55 | 205.0654 | 191.0209, 147.0302, 124.9914 | Vanillylmandelic acid | C9H10O5 | M+Li | POS | 16 | C05584 | 1.99 | 5.61 × 10−5 | 0.17 | ↑ | |
| 4 | 1.64 | 205.0654 | 174.0416, 133.0144, 110.9771 | L-Cystathionine | C7H14N2O4S | M+H−H2O | POS | 3 | C02291 | 1.01 | 3.53 × 10−4 | 0.05 | ↑ | |
| 5 | 1.79 | 205.0654 | 194.9382, 138.9708, -- | 3-Mercaptolactic acid | C3H6O3S | M+2ACN+H | POS | 6 | C05823 | 3.09 | 2.65 × 10−5 | 0.17 | ↑ | |
| 6 | 3.49 | 228.1418 | 174.0032, 162.8690, 119.9471 | 4-Guanidinobutanoic acid | C5H11N3O2 | M+2ACN+H | POS | 16 | C01035 | 1.09 | 7.23 × 10−5 | 0.11 | ↑ | |
| 7 | 8.74 | 246.0929 | 213.8909, 203.0141, 129.9759 | Succinic acid semialdehyde | C4H6O3 | 2M+ACN+H | POS | 18 | C00232 | 1.24 | 9.60 × 10−5 | 0.08 | ↑ | |
| 8 | 4.9 | 246.0929 | 146.9665, 136.9090, 119.9470 | 2-Ketobutyric acid | C4H6O3 | 2M+ACN+H | POS | 18 | C00109 | 1.17 | 2.16 × 10−4 | 0.14 | ↑ | |
| 9 | 1.48 | 341.1657 | 320.0652, 304.0897, 285.0756 | N-Methylphenylethanolamine | C9H13NO | 2M+K | POS | 9 | C03711 | 1.17 | 2.27 × 10−10 | 0.19 | ↑ | |
| 10 | 1.98 | 362.2503 | 349.0920, 320.0652, 292.9264 | Sphingosine 1-phosphate | C18H38NO5P | M+H−H2O | POS | 12 | C06124 | 1.14 | 2.46 × 10−6 | 0.12 | ↑ | |
| 11 | 1.23 | 155.0507 | 147.0499, 145.0622, 132.0304 | Phosphoserine | C3H8NO6P | M+3ACN+2H | POS | 6 | C01005 | 1.80 | 2.63 × 10−5 | 0.15 | ↑ | |
| 12 | 1.48 | 401.0543 | 303.0864, 292.9264, 174.0416 | Glycerophosphoinositol | C9H19O11P | M-H+HCOONa | NEG | 19 | C01225 | 1.10 | 2.45 × 10−3 | 0.09 | ↑ |
Disclaimer/Publisher’s Note: The statements, opinions and data contained in all publications are solely those of the individual author(s) and contributor(s) and not of MDPI and/or the editor(s). MDPI and/or the editor(s) disclaim responsibility for any injury to people or property resulting from any ideas, methods, instructions or products referred to in the content. |
© 2025 by the authors. Licensee MDPI, Basel, Switzerland. This article is an open access article distributed under the terms and conditions of the Creative Commons Attribution (CC BY) license (https://creativecommons.org/licenses/by/4.0/).
Share and Cite
Niu, H.; Zhang, M.; Zhang, K.; Aishan, S.; Li, H.; Wu, W. In-Depth Investigation on Potential Mechanism of Forest-Grown Ginseng Alleviating Alzheimer’s Disease via UHPLC-MS-Based Metabolomics. Metabolites 2025, 15, 93. https://doi.org/10.3390/metabo15020093
Niu H, Zhang M, Zhang K, Aishan S, Li H, Wu W. In-Depth Investigation on Potential Mechanism of Forest-Grown Ginseng Alleviating Alzheimer’s Disease via UHPLC-MS-Based Metabolomics. Metabolites. 2025; 15(2):93. https://doi.org/10.3390/metabo15020093
Chicago/Turabian StyleNiu, Huazhou, Meng Zhang, Kaiyue Zhang, Saibire Aishan, Hui Li, and Wei Wu. 2025. "In-Depth Investigation on Potential Mechanism of Forest-Grown Ginseng Alleviating Alzheimer’s Disease via UHPLC-MS-Based Metabolomics" Metabolites 15, no. 2: 93. https://doi.org/10.3390/metabo15020093
APA StyleNiu, H., Zhang, M., Zhang, K., Aishan, S., Li, H., & Wu, W. (2025). In-Depth Investigation on Potential Mechanism of Forest-Grown Ginseng Alleviating Alzheimer’s Disease via UHPLC-MS-Based Metabolomics. Metabolites, 15(2), 93. https://doi.org/10.3390/metabo15020093

