Broussonetia papyrifera Pollen Metabolome Insights, Allergenicity, and Dispersal in Response to Climate Change Variables
Abstract
1. Introduction
2. Materials and Methods
2.1. Study Area Characteristics
2.2. B. papyrifera Growth Occurrence Record
2.3. Pollen Sampling
2.4. Scanning Electron Microscopy of Pollen Samples
2.5. Fourier Transform Infrared Analysis of Pollen
2.6. Liquid Chromatography–Mass Spectrometry Analysis of Pollen
2.7. Pollen Protein Extracts Separated in SDS-PAGE Followed by Immunoblotting
2.8. Temperature, Precipitation, and Spring Maximum Pollen Count Data Analysis
2.9. MaxEnt Modeling
3. Results
3.1. Fourier Transform Infrared Spectroscopy (FTIR) of Pollen
3.2. Light Chromatography–Mass Spectrometry (LC-MS/MS) Analysis
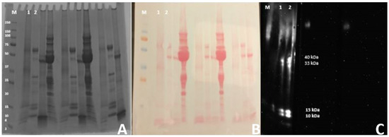
3.3. In Vitro IgE Binding to B. papyrifera Pollen Proteins
3.4. Precipitation, Temperature and Pollen Count
3.5. Model Performance of the MaxEnt Model
4. Discussion
5. Conclusions
Supplementary Materials
Author Contributions
Funding
Institutional Review Board Statement
Informed Consent Statement
Data Availability Statement
Acknowledgments
Conflicts of Interest
References
- Anderegg, W.R.L.; Abatzoglou, J.T.; Anderegg, L.D.L.; Bielory, L.; Kinney, P.L.; Ziska, L. Anthropogenic Climate Change Is Worsening North American Pollen Seasons. Proc. Natl. Acad. Sci. USA 2021, 118, e2013284118. [Google Scholar] [CrossRef]
- Jung, S.; Estrella, N.; Pfaffl, M.W.; Hartmann, S.; Ewald, F.; Menzel, A. Impact of Elevated Air Temperature and Drought on Pollen Characteristics of Major Agricultural Grass Species. PLoS ONE 2021, 16, e0261879. [Google Scholar] [CrossRef] [PubMed]
- de Weger, L.A.; Pashley, C.H.; Šikoparija, B.; Skjøth, C.A.; Kasprzyk, I.; Grewling, Ł.; Thibaudon, M.; Magyar, D.; Smith, M. The Long Distance Transport of Airborne Ambrosia Pollen to the UK and the Netherlands from Central and South Europe. Int. J. Biometeorol. 2016, 60, 1829–1839. [Google Scholar] [CrossRef] [PubMed]
- Mohanty, R.P.; Buchheim, M.A.; Anderson, J.; Levetin, E. Molecular Analysis Confirms the Long-Distance Transport of Juniperus Ashei Pollen. PLoS ONE 2017, 12, e0173465. [Google Scholar] [CrossRef] [PubMed]
- Viertel, P.; König, M. Pattern Recognition Methodologies for Pollen Grain Image Classification: A Survey. Mach. Vis. Appl. 2022, 33, 18. [Google Scholar] [CrossRef]
- Damialis, A.; Traidl-Hoffmann, C.; Treudler, R. Climate Change and Pollen Allergies. In Biodiversity and Health in the Face of Climate Change; Springer: Cham, Switzerland, 2019; pp. 47–66. ISBN 9783030023188. [Google Scholar]
- Ziello, C.; Sparks, T.H.; Estrella, N.; Belmonte, J.; Bergmann, K.C.; Bucher, E.; Brighetti, M.A.; Damialis, A.; Detandt, M.; Galán, C.; et al. Changes to Airborne Pollen Counts across Europe. PLoS ONE 2012, 7, e34076. [Google Scholar] [CrossRef]
- Schmidt, C.W. Pollen Overload. Environ. Health Perspect. 2016, 124, 70–75. [Google Scholar] [CrossRef] [PubMed]
- Santiago, J.P.; Sharkey, T.D. Pollen Development at High Temperature and Role of Carbon and Nitrogen Metabolites. Plant Cell Environ. 2019, 42, 2759–2775. [Google Scholar] [CrossRef] [PubMed]
- Narayanan, S.; Prasad, P.V.V.; Welti, R. Alterations in Wheat Pollen Lipidome during High Day and Night Temperature Stress. Plant Cell Environ. 2018, 41, 1749–1761. [Google Scholar] [CrossRef] [PubMed]
- Ischebeck, T. Lipids in Pollen—They Are Different. Biochim. Biophys. Acta Mol. Cell Biol. Lipids 2016, 1861, 1315–1328. [Google Scholar] [CrossRef]
- Jiang, Y.; Bueckert, R.A.; Warkentin, T.D.; Davis, A.R. High Temperature Effects on in Vitro Pollen Germination and Seed Set in Field Pea. Can. J. Plant Sci. 2017, 98, 71–80. [Google Scholar] [CrossRef]
- Parrotta, L.; Faleri, C.; Cresti, M.; Cai, G. Heat Stress Affects the Cytoskeleton and the Delivery of Sucrose Synthase in Tobacco Pollen Tubes. Planta 2016, 243, 43–63. [Google Scholar] [CrossRef] [PubMed]
- Selinski, J.; Scheibe, R. Pollen Tube Growth: Where Does the Energy Come From? Plant Signal. Behav. 2014, 9, e977200. [Google Scholar] [CrossRef] [PubMed]
- Mittler, R. ROS Are Good. Trends Plant Sci. 2017, 22, 11–19. [Google Scholar] [CrossRef] [PubMed]
- Dahl, Å. Pollen Lipids Can Play a Role in Allergic Airway Inflammation. Front. Immunol. 2018, 9, 2816. [Google Scholar] [CrossRef] [PubMed]
- Traidl-Hoffmann, C.; Mariani, V.; Hochrein, H.; Karg, K.; Wagner, H.; Ring, J.; Mueller, M.J.; Jakob, T.; Behrendt, H. Pollen-Associated Phytoprostanes Inhibit Dendritic Cell Interleukin-12 Production and Augment T Helper Type 2 Cell Polarization. J. Exp. Med. 2005, 201, 627–635. [Google Scholar] [CrossRef] [PubMed]
- Beck, I.; Jochner, S.; Gilles, S.; McIntyre, M.; Buters, J.T.M.; Schmidt-Weber, C.; Behrendt, H.; Ring, J.; Menzel, A.; Traidl-Hoffmann, C. High Environmental Ozone Levels Lead to Enhanced Allergenicity of Birch Pollen. PLoS ONE 2013, 8, e80147. [Google Scholar] [CrossRef]
- Wu, P.C.; Su, H.J.; Lung, S.C.C.; Chen, M.J.; Lin, W.P. Pollen of Broussonetia Papyrifera: An Emerging Aeroallergen Associated with Allergic Illness in Taiwan. Sci. Total Environ. 2019, 657, 804–810. [Google Scholar] [CrossRef]
- Aslam, M.S.; Khalid, T.; Gull, I.; Abbas, Z.; Athar, M.A. Identification of Major Allergens of Paper Mulberry (Broussonetia Papyrifera) Pollens and Purification of Novel 40 KDA Allergen Protein. Curr. Allergy Clin. Immunol. 2015, 28, 36–41. [Google Scholar]
- Papia, F.; Incorvaia, C.; Genovese, L.; Gangemi, S.; Minciullo, P.L. Allergic Reactions to Genus Morus Plants: A Review. Clin. Mol. Allergy 2020, 18, 1. [Google Scholar] [CrossRef] [PubMed]
- Abbas, S.; Katelaris, C.H.; Singh, A.B.; Raza, S.M.; Khan, M.A.; Rashid, M.; Abbas, M.; Ismail, M. World Allergy Organization Study on Aerobiology for Creating First Pollen and Mold Calendar with Clinical Significance in Islamabad, Pakistan; A Project of World Allergy Organization and Pakistan Allergy, Asthma & Clinical Immunology Centre of Islamabad. World Allergy Organ. J. 2012, 5, 103–110. [Google Scholar] [CrossRef]
- Yang, Y.L.; Chen, S.H. An Investigation of Airborne Pollen in Taipei City, Taiwan, 1993–1994. J. Plant Res. 1998, 111, 501–508. [Google Scholar] [CrossRef]
- Pollen Graph. Available online: https://www.pmd.gov.pk/rnd/rndweb/rnd_new/hrm/pollen/pollen_graph.htm (accessed on 23 January 2025).
- Ajani, A.; van der Geest, K. Climate Change in Rural Pakistan: Evidence and Experiences from a People-Centered Perspective. Sustain. Sci. 2021, 16, 1999–2011. [Google Scholar] [CrossRef]
- Saleem, F.; Zeng, X.; Hina, S.; Omer, A. Regional Changes in Extreme Temperature Records over Pakistan and Their Relation to Pacific Variability. Atmos. Res. 2021, 250, 105407. [Google Scholar] [CrossRef]
- Kumar, N.; Jeena, N.; Singh, H. Elevated Temperature Modulates Rice Pollen Structure: A Study from Foothill of Himalayan Agro-Ecosystem in India. 3 Biotech 2019, 9, 175. [Google Scholar] [CrossRef]
- Kenđel, A.; Zimmermann, B. Chemical Analysis of Pollen by FT-Raman and FTIR Spectroscopies. Front. Plant Sci. 2020, 11, 352. [Google Scholar] [CrossRef] [PubMed]
- Zimmermann, B.; Kohler, A. Infrared Spectroscopy of Pollen Identifies Plant Species and Genus as Well as Environmental Conditions. PLoS ONE 2014, 9, e95417. [Google Scholar] [CrossRef] [PubMed]
- Zimmermann, B.; Bağcıoğlu, M.; Tafinstseva, V.; Kohler, A.; Ohlson, M.; Fjellheim, S. Original Research A High- Throughput FTIR Spectroscopy Approach to Assess Adaptive Variation in the Chemical Composition of Pollen. Ecol. Evol. 2017, 7, 10839–10849. [Google Scholar] [CrossRef] [PubMed]
- Depciuch, J.; Kasprzyk, I.; Sadik, O.; Parlińska-Wojtan, M. FTIR Analysis of Molecular Composition Changes in Hazel Pollen from Unpolluted and Urbanized Areas. Aerobiologia 2017, 33, 1–12. [Google Scholar] [CrossRef]
- Fragallah, S.A.D.A.; Wang, P.; Li, N.; Chen, Y.; Lin, S. Metabolomic Analysis of Pollen Grains with Different Germination Abilities from Two Clones of Chinese Fir (Cunninghamia lanceolata (Lamb) Hook). Molecules 2018, 23, 3162. [Google Scholar] [CrossRef] [PubMed]
- Humayun, M.; Naseem, S.; Goodman, R.E.; Ali, Z. Phleum Pratense-Pollen Adaptive Variations and Pollen Microbiome Investigation under Different Climatic Regions and Prospects of Allergenicity. Int. J. Biometeorol. 2024, 68, 2227–2240. [Google Scholar] [CrossRef]
- Depciuch; Kasprzyk, I.; Roga, E.; Parlinska-Wojtan, M. Analysis of Morphological and Molecular Composition Changes in Allergenic Artemisia Vulgaris L. Pollen under Traffic Pollution Using SEM and FTIR Spectroscopy. Environ. Sci. Pollut. Res. 2016, 23, 23203–23214. [Google Scholar] [CrossRef] [PubMed]
- Depciuch, J.; Kasprzyk, I.; Drzymała, E. Identification of Birch Pollen Species Using FTIR Spectroscopy. Aerobiologia 2018, 34, 525–538. [Google Scholar] [CrossRef] [PubMed]
- Kang, K.B.; Woo, S.; Ernst, M.; van der Hooft, J.J.J.; Nothias, L.F.; da Silva, R.R.; Dorrestein, P.C.; Sung, S.H.; Lee, M. Assessing Specialized Metabolite Diversity of Alnus Species by a Digitized LC–MS/MS Data Analysis Workflow. Phytochemistry 2020, 173, 112292. [Google Scholar] [CrossRef] [PubMed]
- Ramadan, S.; Marsh, J.; El-Sherbeny, G.A.; El-Halawany, E.S.F.; Luan, F.; Baumert, J.L.; Johnson, P.; Osman, Y.; Goodman, R.E. Purification of Soybean Cupins and Comparison of IgE Binding with Peanut Allergens in a Population of Allergic Subjects. Food Chem. Toxicol. 2021, 147, 111866. [Google Scholar] [CrossRef]
- Downscaled CMIP5 Data, 30 s Spatial Resolution—WorldClim 1 Documentation. Available online: https://www.worldclim.org/data/v1.4/cmip5_30s.html (accessed on 23 January 2025).
- Hijmans, R.J.; Cameron, S.E.; Parra, J.L.; Jones, P.G.; Jarvis, A. Very High Resolution Interpolated Climate Surfaces for Global Land Areas. Int. J. Climatol. 2005, 25, 1965–1978. [Google Scholar] [CrossRef]
- Phillips, S. A Brief Tutorial on Maxent. AT&T Research. ATT Res. 2008, 190, 231–259. [Google Scholar]
- Merow, C.; Smith, M.J.; Silander, J.A. A Practical Guide to MaxEnt for Modeling Species’ Distributions: What It Does, and Why Inputs and Settings Matter. Ecography 2013, 36, 1058–1069. [Google Scholar] [CrossRef]
- van Proosdij, A.S.J.; Sosef, M.S.M.; Wieringa, J.J.; Raes, N. Minimum Required Number of Specimen Records to Develop Accurate Species Distribution Models. Ecography 2016, 39, 542–552. [Google Scholar] [CrossRef]
- Paper Mulberry Pollen. Available online: https://www.polysciences.com/german/paper-mulberry-pollen (accessed on 23 January 2025).
- Blackmore, S.; Wortley, A.H.; Skvarla, J.J.; Rowley, J.R. Pollen Wall Development in Flowering Plants: Tansley Review. New Phytol. 2007, 174, 483–498. [Google Scholar] [CrossRef]
- Quilichini, T.D.; Grienenberger, E.; Douglas, C.J. The Biosynthesis, Composition and Assembly of the Outer Pollen Wall: A Tough Case to Crack. Phytochemistry 2015, 113, 170–182. [Google Scholar] [CrossRef]
- Pérez-Pérez, Y.; Carneros, E.; Berenguer, E.; Solís, M.T.; Bárány, I.; Pintos, B.; Gómez-Garay, A.; Risueño, M.C.; Testillano, P.S. Pectin De-Methylesterification and AGP Increase Promote Cell Wall Remodeling and Are Required during Somatic Embryogenesis of Quercus Suber. Front. Plant Sci. 2019, 9, 1915. [Google Scholar] [CrossRef] [PubMed]
- Costa, M.L.; Sobral, R.; Costa, M.M.R.; Amorim, M.I.; Coimbra, S. Evaluation of the Presence of Arabinogalactan Proteins and Pectins during Quercus Suber Male Gametogenesis. Ann. Bot. 2015, 115, 81–92. [Google Scholar] [CrossRef] [PubMed]
- Jia, Q.S.; Zhu, J.; Xu, X.F.; Lou, Y.; Zhang, Z.L.; Zhang, Z.P.; Yang, Z.N. Arabidopsis AT-Hook Protein TEK Positively Regulates the Expression of Arabinogalactan Proteins for Nexine Formation. Mol. Plant 2015, 8, 251–260. [Google Scholar] [CrossRef]
- Jiang, Y.; Lahlali, R.; Karunakaran, C.; Warkentin, T.D.; Davis, A.R.; Bueckert, R.A. Pollen, Ovules, and Pollination in Pea: Success, Failure, and Resilience in Heat. Plant Cell Environ. 2019, 42, 354–372. [Google Scholar] [CrossRef] [PubMed]
- Bashir, M.E.H.; Lui, J.H.; Palnivelu, R.; Naclerio, R.M.; Preuss, D. Pollen Lipidomics: Lipid Profiling Exposes a Notable Diversity in 22 Allergenic Pollen and Potential Biomarkers of the Allergic Immune Response. PLoS ONE 2013, 8, e57566. [Google Scholar] [CrossRef] [PubMed]
- Caimmi, S.; Caimmi, D.; Bousquet, P.J.; Demoly, P. Succinate as Opposed to Glucocorticoid Itself Allergy. Allergy Eur. J. Allergy Clin. Immunol. 2008, 63, 1641–1643. [Google Scholar] [CrossRef]
- Micheal, S.; Wangorsch, A.; Wolfheimer, S.; Foetisch, K.; Minhas, K.; Scheurer, S.; Ahmed, A. Immunoglobulin E Reactivity and Allergenic Potency of Morus Papyrifera (Paper Mulberry) Pollen. J. Investig. Allergol. Clin. Immunol. 2013, 23, 168–175. [Google Scholar]
- Thomson, A.M.; Calvin, K.V.; Smith, S.J.; Kyle, G.P.; Volke, A.; Patel, P.; Delgado-Arias, S.; Bond-Lamberty, B.; Wise, M.A.; Clarke, L.E.; et al. RCP4.5: A Pathway for Stabilization of Radiative Forcing by 2100. Clim. Change 2011, 109, 77–94. [Google Scholar] [CrossRef]
- Riahi, K.; Rao, S.; Krey, V.; Cho, C.; Chirkov, V.; Fischer, G.; Kindermann, G.; Nakicenovic, N.; Rafaj, P. RCP 8.5-A Scenario of Comparatively High Greenhouse Gas Emissions. Clim. Change 2011, 109, 33–57. [Google Scholar] [CrossRef]
- Valone, T.F. Linear Global Temperature Correlation to Carbon Dioxide Level, Sea Level, and Innovative Solutions to a Projected 6 C Warming by 2100. J. Geosci. Environ. Prot. 2021, 09, 84–135. [Google Scholar] [CrossRef]
- Lake, I.R.; Jones, N.R.; Agnew, M.; Goodess, C.M.; Giorgi, F.; Hamaoui-Laguel, L.; Semenov, M.A.; Solmon, F.; Storkey, J.; Vautard, R.; et al. Climate change and future pollen allergy in Europe. Environ. Health Perspect. 2017, 125, 385–391, Erratum in Environ. Health Perspect. 2018, 126, 079002. [Google Scholar] [CrossRef]










| Image Name | Location and Time | Average Pollen Grain Diameter µm | Standard Deviation |
|---|---|---|---|
| i | Spring 2020 Peshawar (R1) | 7.04 | ±0.61 |
| ii | Spring 2020 Islamabad (R2) | 8.86 | ±0.68 |
| iii | Spring 2020 Kotli (R3) | 10.02 | ±0.38 |
| iv | Spring 2021 Peshawar (R1) | 6.64 | ±0.36 |
| v | Spring 2021 Islamabad (R2) | 11.02 | ±0.62 |
| vi | Spring 2021 Kotli (R3) | 11.5 | ±0.26 |
| Spectral Zone | Peak Frequency cm−1 | Chemical Bonds |
|---|---|---|
| Lipids | 2930 | CH3 stretching (lipids) |
| 2850 | CH2 stretching (lipids) | |
| Amide I | 1620 β-sheet | |
| 1700–1600 cm−1 | 1650 α-helix | NH2 bending |
| 1670 β-turn | ||
| Amide II | 1550 | N-O stretch |
| 1600–1500 cm−1 |
Disclaimer/Publisher’s Note: The statements, opinions and data contained in all publications are solely those of the individual author(s) and contributor(s) and not of MDPI and/or the editor(s). MDPI and/or the editor(s) disclaim responsibility for any injury to people or property resulting from any ideas, methods, instructions or products referred to in the content. |
© 2025 by the authors. Licensee MDPI, Basel, Switzerland. This article is an open access article distributed under the terms and conditions of the Creative Commons Attribution (CC BY) license (https://creativecommons.org/licenses/by/4.0/).
Share and Cite
Humayun, M.; Naseem, S.; Goodman, R.E.; Ali, Z. Broussonetia papyrifera Pollen Metabolome Insights, Allergenicity, and Dispersal in Response to Climate Change Variables. Metabolites 2025, 15, 137. https://doi.org/10.3390/metabo15020137
Humayun M, Naseem S, Goodman RE, Ali Z. Broussonetia papyrifera Pollen Metabolome Insights, Allergenicity, and Dispersal in Response to Climate Change Variables. Metabolites. 2025; 15(2):137. https://doi.org/10.3390/metabo15020137
Chicago/Turabian StyleHumayun, Muhammad, Saadia Naseem, Richard E. Goodman, and Zahid Ali. 2025. "Broussonetia papyrifera Pollen Metabolome Insights, Allergenicity, and Dispersal in Response to Climate Change Variables" Metabolites 15, no. 2: 137. https://doi.org/10.3390/metabo15020137
APA StyleHumayun, M., Naseem, S., Goodman, R. E., & Ali, Z. (2025). Broussonetia papyrifera Pollen Metabolome Insights, Allergenicity, and Dispersal in Response to Climate Change Variables. Metabolites, 15(2), 137. https://doi.org/10.3390/metabo15020137

