Antihypertensive Effect of Perla and Esmeralda Barley (Hordeum vulgare L.) Sprouts in an Induction Model with L-NAME In Vivo
Abstract
1. Introduction
2. Materials and Methods
2.1. Reagents
2.2. Preparation of Barley Sprouts Extracts
2.3. Evaluation of ACE Activity In Vitro
2.4. Experimental Animals
2.4.1. Experimental Design
2.4.2. Blood Pressure Measurement
2.5. Biochemical Tests
2.5.1. Sample Collection and Tissue Preparation
2.5.2. NOx Quantification
2.5.3. Renal Function Markers
2.5.4. ACE I and ACE II Quantification
2.6. Histopathological Analysis
2.7. Statistical Analysis
3. Results
3.1. Effect of Barley Extracts on ACE Inhibition In Vitro
3.2. Renal Function and Nitric Oxide Concentration
3.3. Effect of Extracts of Barley Sprouts on Blood Pressure in Rats
3.4. Effects of SBE on ACE I and ACE II Activity In Vivo
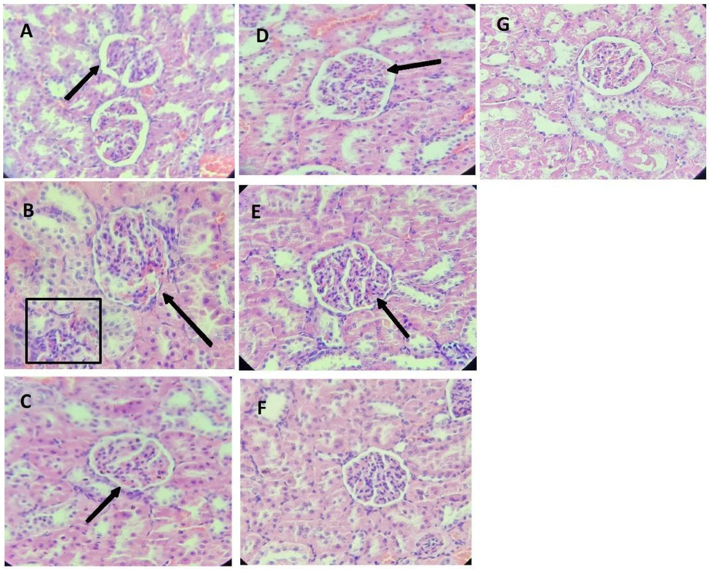
3.5. Target Organs Histopathology
4. Discussion
5. Conclusions
Supplementary Materials
Author Contributions
Funding
Institutional Review Board Statement
Informed Consent Statement
Data Availability Statement
Acknowledgments
Conflicts of Interest
References
- World Health Organization. Global Health Risks: Mortality and Burden of Disease Attributable to Selected Major risks; World Health Organization: Geneva, Switzerland, 2009; ISBN 9789241563871. [Google Scholar]
- Bocchi, E.A.; Ventura, H.O. Systemic Blood Pressure in Heart Failure: The Next Frontier in Prognosis and Chronic HF Treatment? JACC Heart Fail. 2022, 10, 393–396. [Google Scholar] [CrossRef]
- Oh, G.C.; Cho, H.-J. Blood pressure and heart failure. J. Clin. Hypertens. 2020, 26, 1. [Google Scholar] [CrossRef]
- Drozdz, D.; Drożdż, M.; Wojcik, M. Endothelial dysfunction as a factor leading to arterial hypertension. Pediatr. Nephrol. 2022, 38, 2973–2985. [Google Scholar] [CrossRef] [PubMed]
- Ojangba, T.; Boamah, S.; Miao, Y.; Guo, X.; Fen, Y.; Agboyibor, C.; Yuan, J.; Dong, W. Comprehensive effects of lifestyle reform, adherence, and related factors on hypertension control: A review. J. Clin. Hypertens. 2023, 25, 509–520. [Google Scholar] [CrossRef] [PubMed]
- Ojeh, N.; Ferrario, C.M.; Adams, O.P.; Nuñez-Smith, M. Is Hypertension in African-Descent Populations Contributed to by an Imbalance in the Activities of the ACE2/Ang-(1-7)/Mas and the ACE/Ang II/AT1 Axes? J. Renin Angiotensin Aldosterone Syst. 2020, 21, 1–7. [Google Scholar] [CrossRef]
- Jordan, J.; Kurschat, C.; Reuter, H. Arterial Hypertension. Dtsch. Ärztebl. Int. 2018, 115, 557–568. [Google Scholar] [CrossRef]
- Pérez, R.F.T.; León, M.S.Q.; Rodríguez, M.R.P.; Toca, E.P.M.; Orellana, F.M.Á.; Toca, S.C.M.; Pérez, A.E.T.; Orellana, P.A.Á. Factores De Riesgo De La Hipertensión Arterial Esencial Y El Riesgo Cardiovascular. Rev. Latinoam. Hipertens. 2021, 16, 312–328. [Google Scholar] [CrossRef]
- Vaduganathan, M.; Vardeny, O.; Michel, T.; McMurray, J.J.V.; Pfeffer, M.A.; Solomon, S.D. Renin–Angiotensin–Aldosterone System Inhibitors in Patients with COVID-19. N. Engl. J. Med. 2020, 382, 1653–1659. [Google Scholar] [CrossRef]
- Maniero, C.; Lopuszko, A.; Papalois, K.-B.; Gupta, A.; Kapil, V.; Khanji, M.Y. Non-pharmacological factors for hypertension management: A systematic review of international guidelines. Eur. J. Prev. Cardiol. 2023, 30, 17–33. [Google Scholar] [CrossRef]
- Messerli, F.H.; Bangalore, S.; Bavishi, C.; Rimoldi, S.F. Angiotensin-Converting Enzyme Inhibitors in Hypertension: To Use or Not to Use? J. Am. Coll. Cardiol. 2018, 71, 1474–1482. [Google Scholar] [CrossRef]
- Feng, Q.; Zhang, S.; Lin, J.; Yang, J.; Zhang, Y.; Shen, Q.; Zhong, F.; Hou, D.; Zhou, S. Valorization of barley (Hordeum vulgare L.) brans from the sustainable perspective: A comprehensive review of bioactive compounds and health benefits with emphasis on their potential applications. Food. Chem. 2024, 460, 140772. [Google Scholar] [CrossRef] [PubMed]
- CWR. Available online: https://cwr.croptrust.org/crops/barley/ (accessed on 27 October 2024).
- Visioni, A.; Basile, B.; Amri, A.; Sanchez-Garcia, M.; Corrado, G. Advancing the Conservation and Utilization of Barley Genetic Resources: Insights into Germplasm Management and Breeding for Sustainable Agriculture. Plants 2023, 12, 3186. [Google Scholar] [CrossRef] [PubMed]
- Ali, A.; Ullah, Z.; Ullah, R.; Kazi, M. Barley a nutritional powerhouse for gut health and chronic disease defense. Heliyon 2024, 10, e38669. [Google Scholar] [CrossRef]
- European Brewery Convention (EBC). Analytica-EBC, 3rd ed.; European Brewery Convention (EBC): Brussels, Belgium, 2003. [Google Scholar]
- García-Castro, A.G.; Ortiz, F.A.G.; Hernández, G.H.; Román-Gutiérrez, A.D. Analysis of bioactive compounds in lyophilized aqueous extracts of barley sprouts. J. Food Meas. Charact. 2024, 18, 5327–5338. [Google Scholar] [CrossRef]
- Tomková-Drábková, L.; Psota, V.; Sachambula, L.; Leišová-Svobodová, L.; Mikyška, A.; Kučera, L. Changes in polyphenol compounds and barley laccase expression during the malting process. J. Sci. Food Agric. 2016, 96, 497–504. [Google Scholar] [CrossRef]
- Gunathunga, C.; Senanayake, S.; Jayasinghe, M.; Brennan, C.; Truong, T.; Marapana, U.; Chandrapala, J. Germination Effects on Nutritional Quality: A Comprehensive Review of Selected Cereal and Pulse Changes. J. Food Compos. Anal. 2024, 128, 106024. [Google Scholar] [CrossRef]
- Mamilla, R.K.; Mishra, V.K. Effect of germination on antioxidant and ACE inhibitory activities of legumes. Food. Scien. Technol. 2017, 75, 51–58. [Google Scholar] [CrossRef]
- Mencin, M.; Abramovič, H.; Jamnik, P.; Petkovšek, M.M.; Veberič, R.; Terpinc, P. Abiotic stress combinations improve the phenolics profiles and activities of extractable and bound antioxidants from germinated spelt (Triticum spelta L.) Seeds. Food Chem. 2021, 344, 128704. [Google Scholar] [CrossRef]
- Zhu, L.; Wang, Z.; Gao, L.; Chen, X. Unraveling the Potential of γ-Aminobutyric Acid: Insights into Its Biosynthesis and Biotechnological Applications. Nutrients 2024, 16, 2760. [Google Scholar] [CrossRef]
- Cushman, D.W.; Cheung, H.S. Spectrophotometric assay and properties of the angiotensin-converting enzyme of rabbit lung. Biochem. Pharmacol. 1971, 20, 1637–1648. [Google Scholar] [CrossRef]
- Green, L.C.; Wagner, D.A.; Glogowski, J.; Skipper, P.L.; Wishnok, J.S.; Tannenbaum, S.R. Analysis of nitrate, nitrite, and [15N]nitrate in biological fluids. Anal. Biochem. 1982, 126, 131–138. [Google Scholar] [CrossRef] [PubMed]
- Fawcett, J.; Scott, J. A rapid and precise method for the determination of urea. J. Clin. Pathol. 1960, 13, 156–159. [Google Scholar] [CrossRef] [PubMed]
- Caraway, W.T. Determination of Uric Acid in Serum by a Carbonate Method. Amer. J. Clin. Pathol. 1955, 25, 840–845. [Google Scholar] [CrossRef]
- Trinder, P. Determination of blood glucose using an oxidase-peroxidase system with a non-carcinogenic chromogen. J. Clin. Pathol. 1969, 22, 158–161. [Google Scholar] [CrossRef]
- Khan, M.A.; Kassianos, A.J.; Hoy, W.E.; Alam, A.K.; Healy, H.G.; Gobe, G.C. Promoting Plant-Based Therapies for Chronic Kidney Disease. J. Evid. Based Complement. Altern. Med. 2022, 27, 2515690X221079688. [Google Scholar] [CrossRef]
- Tawalbeh, D.; Al-U’datt, M.H.; Wan Ahmad, W.A.; Ahmad, F.; Sarbon, N.M. Recent Advances in In Vitro and In Vivo Studies of Antioxidant, ACE-Inhibitory and Anti-Inflammatory Peptides from Legume Protein Hydrolysates. Molecules 2023, 28, 2423. [Google Scholar] [CrossRef] [PubMed]
- Kumar, S.; Prahalathan, P.; Raja, B. Antihypertensive and antioxidant potential of vanillic acid, a phenolic compound in L-NAME-induced hypertensive rats: A dose-dependence study. Redox Rep. 2011, 16, 208–215. [Google Scholar] [CrossRef]
- Chinma, C.E.; Anuonye, J.C.; Simon, O.C.; Ohiare, R.O.; Danbaba, N. Effect of germination on the physicochemical and antioxidant characteristics of rice flour from three rice varieties from Nigeria. Food Chem. 2015, 185, 454–458. [Google Scholar] [CrossRef]
- Lin, D.; Xiao, M.; Zhao, J.; Li, Z.; Xing, B.; Li, X.; Kong, M.; Li, L.; Zhang, Q.; Liu, Y.; et al. An Overview of Plant Phenolic Compounds and Their Importance in Human Nutrition and Management of Type 2 Diabetes. Molecules 2016, 21, 1374. [Google Scholar] [CrossRef]
- Uppal, V.; Bains, K. Effect of germination periods and hydrothermal treatments on in vitro protein and starch digestibility of germinated legumes. J. Food Sci. Technol. 2012, 49, 184–191. [Google Scholar] [CrossRef]
- Lee, Y.-H.; Kim, J.-H.; Kim, S.; Oh, J.; Seo, W.; Kim, K.-M.; Jung, J.-C.; Jung, Y.-S. Barley Sprouts Extract Attenuates Alcoholic Fatty Liver Injury in Mice by Reducing Inflammatory Response. Nutrients 2016, 8, 440. [Google Scholar] [CrossRef] [PubMed]
- Ra, J.E.; Woo, S.Y.; Jin, H.; Lee, M.J.; Kim, H.Y.; Ham, H.; Chung, I.M. Evaluation of antihypertensive polyphenols of barley (Hordeum vulgare L.) seedlings via their effects on angiotensin–converting enzyme (ACE) inhibition. Appl. Biol. Chem. 2020, 63, 38. [Google Scholar] [CrossRef]
- Wang, L.; Ma, L.; Zhao, Y.; Shu, G.; Li, J.; Chen, L. Comprehensive Understanding of the Relationship between Bioactive Compounds of Black Tea and its Angiotensin Converting Enzyme (ACE) Inhibition and Antioxidant Activity. Plant Foods Hum. Nutr. 2021, 76, 226–232. [Google Scholar] [CrossRef]
- Scioli, M.G.; Storti, G.; D’Amico, F.; Rodríguez Guzmán, R.; Centofanti, F.; Doldo, E.; Céspedes Miranda, E.M.; Orlandi, A. Oxidative Stress and New Pathogenetic Mechanisms in Endothelial Dysfunction: Potential Diagnostic Biomarkers and Therapeutic Targets. J. Clin. Med. 2020, 9, 1995. [Google Scholar] [CrossRef]
- Ahmed-Farid, O.; Abd-Elrazek, A.; Elwakel, H.; Mahmoud, M. Hordeum vulgare ethanolic extract mitigates high salt-induced cerebellum damage via attenuation of oxidative stress, neuroinflammation, and neurochemical alterations in hypertensive rats. Metab. Brain Dis. 2023, 38, 2427–2442. [Google Scholar] [CrossRef]
- Laville, S.M.; Couturier, A.; Lambert, O.; Metzger, M.; Mansencal, N.; Jacquelinet, C.; Laville, M.; Frimat, L.; Fouque, D.; Combe, C.; et al. Urea levels and cardiovascular disease in patients with chronic kidney disease. Nephrol. Dial. Transplant. Off. Publ. Eur. Dial. Transpl. Assoc. Eur. Ren. Assoc. 2022, 38, 184–192. [Google Scholar] [CrossRef]
- Piani, F.; Cicero, A.F.G.; Borghi, C. Uric Acid and Hypertension: Prognostic Role and Guide for Treatment. J. Clin. Med. 2021, 10, 448. [Google Scholar] [CrossRef]
- Delanaye, P.; Cavalier, E.; Pottel, H. Serum Creatinine: Not So Simple! Nephron 2017, 136, 302–308. [Google Scholar] [CrossRef] [PubMed]
- Eun, C.-S.; Hwang, E.-Y.; Lee, S.-O.; Yang, S.-A.; Yu, M.-H. Anti-oxidant and Anti-inflammatory Activities of Barley Sprout Extract. J. Life Sci. 2016, 26, 537–544. [Google Scholar] [CrossRef]
- Kim, S.-H.; Shim, Y.; Kim, Y.; Reaney, M.; Chung, M. Anti-Inflammatory Effects of Barley Sprout Fermented by Lactic Acid Bacteria in RAW264.7 Macrophages and Caco-2 Cells. Foods 2024, 13, 1781. [Google Scholar] [CrossRef]
- Yousefian, M.; Shakour, N.; Hosseinzadeh, H.; Hayes, A.W.; Hadizadeh, F.; Karimi, G. The natural phenolic compounds as modulators of NADPH oxidases in hypertension. Phytomedicine 2019, 55, 200–213. [Google Scholar] [CrossRef] [PubMed]
- Kim, J.H.; Auger, C.; Kurita, I.; Anselm, E.; Rivoarilala, L.O.; Lee, H.J.; Lee, K.W.; Schini-Kerth, V.B. Aronia melanocarpa juice, a rich source of polyphenols, induces endothelium-dependent relaxations in porcine coronary arteries via the redox-sensitive activation of endothelial nitric oxide synthase. Nitric Oxide 2013, 35, 54–64. [Google Scholar] [CrossRef] [PubMed]
- Zibadi, S.; Farid, R.; Moriguchi, S.; Lu, Y.; Foo, L.Y.; Tehrani, P.M.; Ulreich, J.B.; Watson, R.R. Oral administration of purple passion fruit peel extract attenuates blood pressure in female spontaneously hypertensive rats and humans. Nutr. Res. 2007, 27, 408–416. [Google Scholar] [CrossRef]
- Antipina, A.A.; Popov, V.S.; Balabaniyan, V.Y. Polyprenols as an original class of natural compounds having a wide spectrum of pharmacological activity. Farmaciya 2021, 70, 15–21. [Google Scholar] [CrossRef]
- Kruk, J.; Szymańska, R. Synthesis of natural polyprenols for the production of biological prenylquinones and tocochromanols. RSC Adv. 2023, 13, 23122–23129. [Google Scholar] [CrossRef]
- Chen, D.; Long, L.; Lin, S.; Jia, P.; Zhu, Z.; Gao, H.; Wang, T.; Zhu, Y.; Shen, A.; Chu, J.; et al. Qingda granule alleviate angiotensin ii-induced hypertensive renal injury by suppressing oxidative stress and inflammation through NOX1 and NF-κB pathways. Biomed. Pharmacother. 2022, 153, 113407. [Google Scholar] [CrossRef]
- Mouslem, A.; Almuayli, D.; Aldaej, S.; Alhaddad, Z.; Alhamad, F.; Emeka, P.; Gad, E. Attenuation of L-NAME induced hypertension in rats with-elettaria cardamomum low-dose amlodipine. Pharmacogn. Mag. 2024, 09731296241278035. [Google Scholar] [CrossRef]




| Group | Glucose | Total Protein | Creatinine | Uric Acid | Urea | NOx µMol/L |
|---|---|---|---|---|---|---|
| G1. Standard diet | 108.72 ± 10.85 b | 6.71 ± 0.91 a | 1.11 ± 0.15 ab | 1.13 ± 0.15 b | 18.73 ± 1.89 b | 83.88 ± 8.50 a |
| G2. L-NAME (40 mg/kg) | 106.69 ± 6.02 b | 6.20 ± 0.72 a | 1.34 ± 0.19 a | 1.70 ± 0.02 a | 31.25 ± 2.19 a | 52.66 ± 4.03 b |
| G3. L-NAME + Captopril (5 mg/kg) | 131.65 ± 4.73 a | 6.33 ± 0.66 a | 0.71 ± 0.07 cd | 0.97 ± 0.07 b | 19.82 ± 1.93 b | 86.11 ± 7.53 a |
| G4. L-NAME + E7 (500 mg/kg) | 104.81 ± 4.70 b | 7.21 ± 0.78 a | 0.60 ± 0.08 d | 1.09 ± 0.11 b | 16.35 ± 0.89 b | 80.00 ± 8.09 a |
| G5. L-NAME + P7 (500 mg/kg) | 98.11 ± 10.36 b | 6.97 ± 0.67 a | 0.94 ± 0.11 bc | 1.05 ± 0.12 b | 18.26 ± 1.89 b | 79.16 ± 6.18 a |
| G6. L-NAME + E7 + P7 (250 + 250 mg/kg) | 140.95 ± 11.01 ª | 6.00 ± 0.67 ª | 0.80 ± 0.09 bcd | 0.98 ± 0.1 b | 17.71 ± 1.91 b | 78.75 ± 7.88 a |
| G7. L-NAME + E7+ Captopril (250 mg/kg + 2.5 mg/kg) | 108.78 ± 10.85 b | 6.02 ± 0.98 a | 0.83 ± 0.10 bcd | 1.00 ± 0.08 b | 16.30 ± 1.64 b | 87.91 ± 6.85 a |
| Systolic Blood Pressure (mm/Hg) | Diastolic Blood Pressure (mm/Hg) | |||||
|---|---|---|---|---|---|---|
| Groups/Week | 1st | 3rd | 5th | 1st | 3rd | 5th |
| G1. Standard diet | 167.15 ± 6.41 bc | 166.58 ± 6.39 c | 161.36 ± 13.10 d | 134.46 ± 2.18 abcd | 127.73 ± 11.27 c | 115.82 ± 13.74 c |
| G2. L-NAME (40 mg/kg) | 193.32 ± 12.17 a | 214.72 ± 9.69 a | 218.62 ± 9.46 a | 154.52 ± 10.96 a | 177.33 ± 14.30 a | 182.92 ± 17.71 a |
| G3. L-NAME + Captopril (5 mg/kg) | 167.03±10.05 bc | 178.11 ± 9.56 bc | 178.28 ± 12.72 cd | 127.81 ± 10.38 bcd | 145.22 ± 9.96 bc | 148.35 ± 14.37 b |
| G4. L-NAME + E7 (500 mg/kg) | 165.86 ± 10.14 bc | 192.17 ± 6.44 b | 198.97 ± 9.97 b | 125.72 ± 12.72 cd | 151.18 ± 10.19 b | 159.94 ± 13.07 b |
| G5. L-NAME + P7 (500 mg/kg) | 161.41 ± 14.44 bc | 189.30 ± 10.29 b | 190.02 ± 15.97 bc | 120.98 ± 18.60 d | 152.52 ± 11.14 b | 157.85 ± 11.56 b |
| G6. L-NAME + E7 + P7 (250 + 250 mg/kg) | 187.08 ± 9.11 a | 189.93 ± 11.80 b | 190.92 ± 11.68 bc | 149.39 ± 15.29 ab | 158.12 ± 12.86 b | 156.12 ± 11.31 b |
| G7. L-NAME + E7+ Captopril (250 mg/kg + 2.5 mg/kg) | 176.56 ± 9.52 bc | 167.37 ± 12.81 c | 179.92 ± 11.56 bc | 142.32 ± 17.12 abcd | 132.27 ± 10.97 cd | 142.4 ± 12.37 bc |
Disclaimer/Publisher’s Note: The statements, opinions and data contained in all publications are solely those of the individual author(s) and contributor(s) and not of MDPI and/or the editor(s). MDPI and/or the editor(s) disclaim responsibility for any injury to people or property resulting from any ideas, methods, instructions or products referred to in the content. |
© 2024 by the authors. Licensee MDPI, Basel, Switzerland. This article is an open access article distributed under the terms and conditions of the Creative Commons Attribution (CC BY) license (https://creativecommons.org/licenses/by/4.0/).
Share and Cite
García-Castro, A.; Román-Gutiérrez, A.D.; Guzmán-Ortiz, F.A.; Cariño-Cortés, R. Antihypertensive Effect of Perla and Esmeralda Barley (Hordeum vulgare L.) Sprouts in an Induction Model with L-NAME In Vivo. Metabolites 2024, 14, 678. https://doi.org/10.3390/metabo14120678
García-Castro A, Román-Gutiérrez AD, Guzmán-Ortiz FA, Cariño-Cortés R. Antihypertensive Effect of Perla and Esmeralda Barley (Hordeum vulgare L.) Sprouts in an Induction Model with L-NAME In Vivo. Metabolites. 2024; 14(12):678. https://doi.org/10.3390/metabo14120678
Chicago/Turabian StyleGarcía-Castro, Abigail, Alma D. Román-Gutiérrez, Fabiola A. Guzmán-Ortiz, and Raquel Cariño-Cortés. 2024. "Antihypertensive Effect of Perla and Esmeralda Barley (Hordeum vulgare L.) Sprouts in an Induction Model with L-NAME In Vivo" Metabolites 14, no. 12: 678. https://doi.org/10.3390/metabo14120678
APA StyleGarcía-Castro, A., Román-Gutiérrez, A. D., Guzmán-Ortiz, F. A., & Cariño-Cortés, R. (2024). Antihypertensive Effect of Perla and Esmeralda Barley (Hordeum vulgare L.) Sprouts in an Induction Model with L-NAME In Vivo. Metabolites, 14(12), 678. https://doi.org/10.3390/metabo14120678

