Hypercalcemia Following Adrenalectomy for Cushing Syndrome in a Patient with Post-Surgical Hypoparathyroidism
Abstract
1. Introduction
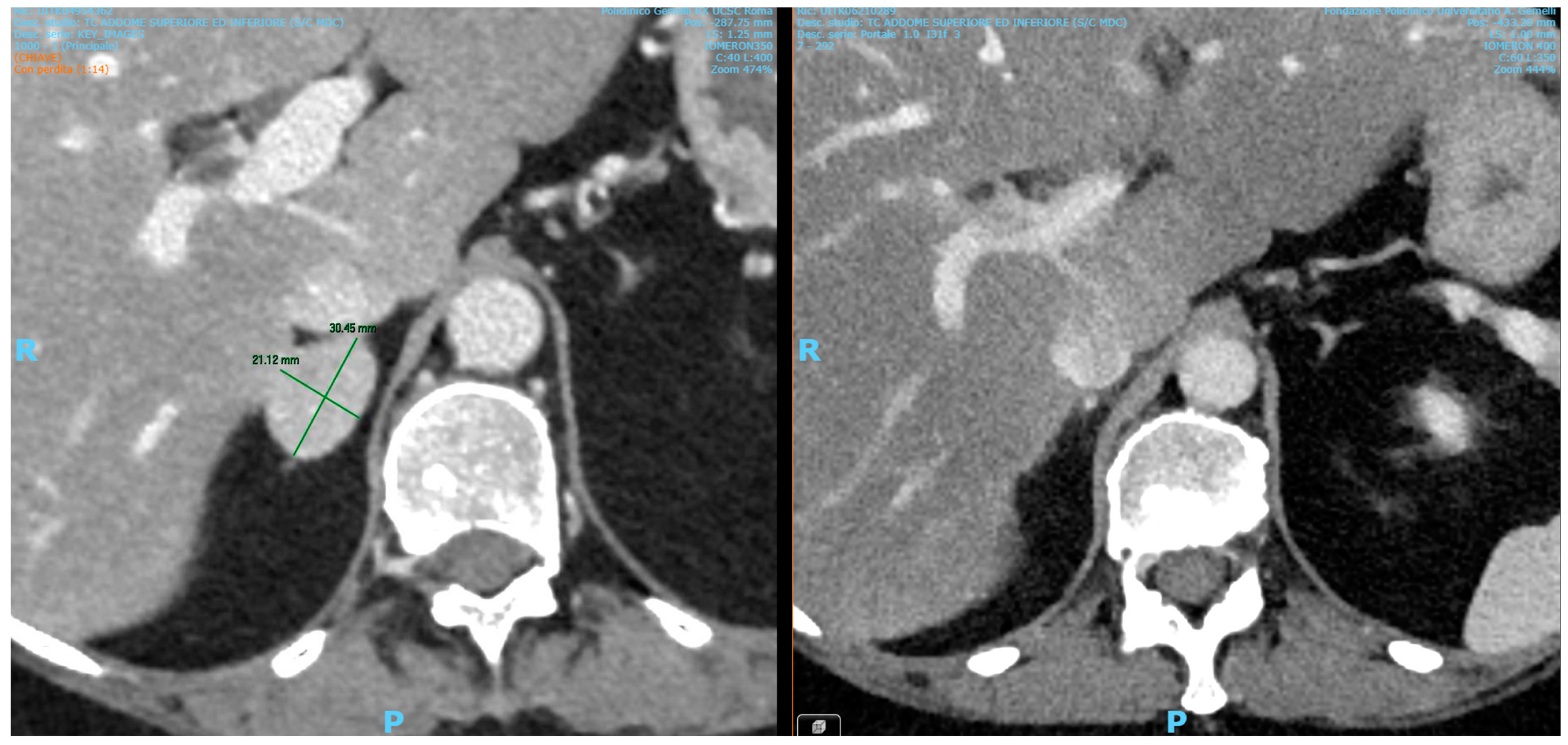
2. Case Presentation
3. Discussion
4. Conclusions
Author Contributions
Funding
Institutional Review Board Statement
Informed Consent Statement
Data Availability Statement
Conflicts of Interest
References
- Tonon, C.R.; Silva, T.A.A.L.; Pereira, F.W.L.; Queiroz, D.A.R.; Junior, E.L.F.; Martins, D.; Azevedo, P.S.; Okoshi, M.P.; Zornoff, L.A.M.; de Paiva, S.A.R.; et al. A Review of Current Clinical Concepts in the Pathophysiology, Etiology, Diagnosis, and Management of Hypercalcemia. Med. Sci. Monit. 2022, 28, e935821. [Google Scholar] [CrossRef] [PubMed]
- Walker, M.D.; Shane, E. Hypercalcemia. JAMA 2022, 328, 1624. [Google Scholar] [CrossRef] [PubMed]
- Zelano, L.; Locantore, P.; Rota, C.A.; Policola, C.; Corsello, A.; Rossi, E.D.; Rufini, V.; Zagaria, L.; Raffaelli, M.; Pontecorvi, A. Parathyroid Carcinoma All-In-One, a Rare Life-Threatening Case with Multiple Systemic Manifestations: Case Report and Review of the Literature. Front. Endocrinol. 2022, 13, 881225. [Google Scholar] [CrossRef] [PubMed]
- Zagzag, J.; Hu, M.I.; Fisher, S.B.; Perrier, N.D. Hypercalcemia and Cancer: Differential Diagnosis and Treatment. CA. Cancer J. Clin. 2018, 68, 377–386. [Google Scholar] [CrossRef]
- Hygum, K.; Wulff, C.N.; Harsløf, T.; Boysen, A.K.; Rossen, P.B.; Langdahl, B.L.; Safwat, A.A. Hypercalcemia in Metastatic GIST Caused by Systemic Elevated Calcitriol: A Case Report and Review of the Literature. BMC Cancer 2015, 15, 788. [Google Scholar] [CrossRef] [PubMed]
- Giannetta, E.; Sesti, F.; Modica, R.; Grossrubatscher, E.M.; Ragni, A.; Zanata, I.; Colao, A.; Faggiano, A. What Lies behind Paraneoplastic Hypercalcemia Secondary to Well-Differentiated Neuroendocrine Neoplasms? A Systematic Review of the Literature. J. Pers. Med. 2022, 12, 1553. [Google Scholar] [CrossRef] [PubMed]
- Kovacs, C.S. Maternal Mineral and Bone Metabolism During Pregnancy, Lactation, and Post-Weaning Recovery. Physiol. Rev. 2016, 96, 449–547. [Google Scholar] [CrossRef]
- Sato, K. Hypercalcemia during Pregnancy, Puerperium, and Lactation: Review and a Case Report of Hypercalcemic Crisis after Delivery Due to Excessive Production of PTH-Related Protein (PTHrP) without Malignancy (Humoral Hypercalcemia of Pregnancy). Endocr. J. 2008, 55, 959–966. [Google Scholar] [CrossRef] [PubMed]
- Van Heerden, J.A. Pseudohyperparathyroidism Secondary to Gigantic Mammary Hypertrophy. Arch. Surg. 1988, 123, 80. [Google Scholar] [CrossRef]
- Zayed, R.F.; Millhouse, P.W.; Kamyab, F.; Ortiz, J.F.; Atoot, A. Calcium-Alkali Syndrome: Historical Review, Pathophysiology and Post-Modern Update. Cureus 2021, 13, e13291. [Google Scholar] [CrossRef]
- Motlaghzadeh, Y.; Bilezikian, J.P.; Sellmeyer, D.E. Rare Causes of Hypercalcemia: 2021 Update. J. Clin. Endocrinol. Metab. 2021, 106, 3113–3128. [Google Scholar] [CrossRef] [PubMed]
- Christakos, S.; Dhawan, P.; Verstuyf, A.; Verlinden, L.; Carmeliet, G. Vitamin D: Metabolism, Molecular Mechanism of Action, and Pleiotropic Effects. Physiol. Rev. 2016, 96, 365–408. [Google Scholar] [CrossRef]
- Tebben, P.J.; Singh, R.J.; Kumar, R. Vitamin D-Mediated Hypercalcemia: Mechanisms, Diagnosis, and Treatment. Endocr. Rev. 2016, 37, 521–547. [Google Scholar] [CrossRef]
- Bosch, X. Hypercalcemia Due to Endogenous Overproduction of 1,25-Dihydroxyvitamin D in Crohn’s Disease. Gastroenterology 1998, 114, 1061–1065. [Google Scholar] [CrossRef]
- Goltzman, D. Nonparathyroid Hypercalcemia. Parathyr. Disord. 2019, 51, 77–90. [Google Scholar]
- Mudge, C.S.; Yoo, D.C.; Noto, R.B. Rheumatoid Arthritis Demonstrated on PET/CT as the Etiology of Hypercalcemia. Med. Health R. I. 2012, 95, 54–56. [Google Scholar] [PubMed]
- Dockrell, D.H.; Poland, G.A. Hypercalcemia in a Patient With Hypoparathyroidism and Nocardia Asteroides Infection: A Novel Observation. Mayo Clin. Proc. 1997, 72, 757–760. [Google Scholar] [CrossRef] [PubMed]
- Kohut, B.; Rossat, J.; Raffoul, W.; Lamy, O.; Berger, M.M. Hypercalcaemia and Acute Renal Failure after Major Burns: An under-Diagnosed Condition. Burns 2010, 36, 360–366. [Google Scholar] [CrossRef] [PubMed]
- Borgan, S.M.; Khan, L.Z.; Makin, V. Hypercalcemia and Vitamin A: A Vitamin to Keep in Mind. Cleve. Clin. J. Med. 2022, 89, 99–105. [Google Scholar] [CrossRef] [PubMed]
- Zeitouni, F.; Zhu, C.; Pang, A.; O’Banion, S.; Bharadia, D.; Griswold, J. Vitamin A-Induced Hypercalcemia in Burn Patients: A Case Study. J. Burn Care Res. 2022, 43, 1445–1448. [Google Scholar] [CrossRef]
- Auwerx, J.; Bouillon, R. Mineral and Bone Metabolism in Thyroid Disease: A Review. Q. J. Med. 1986, 60, 737–752. [Google Scholar] [PubMed]
- Oyama, Y.; Iwafuchi, Y.; Narita, I. A Case of Hypercalcemia Because of Adrenal Insufficiency Induced by Glucocorticoid Withdrawal in a Patient Undergoing Hemodialysis. CEN Case Rep. 2022, 11, 73–78. [Google Scholar] [CrossRef] [PubMed]
- Walker, D.A.; Davies, M. Addison’s disease presenting as a Hypercalcaemic crisis in a patient with idiopathic hypoparathyroidism. Clin. Endocrinol. 1981, 14, 419–423. [Google Scholar] [CrossRef]
- Cianferotti, L.; Cipriani, C.; Corbetta, S.; Corona, G.; Defeudis, G.; Lania, A.G.; Messina, C.; Napoli, N.; Mazziotti, G. Bone Quality in Endocrine Diseases: Determinants and Clinical Relevance. J. Endocrinol. Investig. 2023, 46, 1283–1304. [Google Scholar] [CrossRef] [PubMed]
- Mazziotti, G.; Formenti, A.M.; Adler, R.A.; Bilezikian, J.P.; Grossman, A.; Sbardella, E.; Minisola, S.; Giustina, A. Glucocorticoid-Induced Osteoporosis: Pathophysiological Role of GH/IGF-I and PTH/VITAMIN D Axes, Treatment Options and Guidelines. Endocrine 2016, 54, 603–611. [Google Scholar] [CrossRef]
- Nieman, L.K.; Biller, B.M.K.; Findling, J.W.; Murad, M.H.; Newell-Price, J.; Savage, M.O.; Tabarin, A. Treatment of Cushing’s Syndrome: An Endocrine Society Clinical Practice Guideline. J. Clin. Endocrinol. Metab. 2015, 100, 2807–2831. [Google Scholar] [CrossRef]
- Szulc, P. Biochemical Bone Turnover Markers in Hormonal Disorders in Adults: A Narrative Review. J. Endocrinol. Investig. 2020, 43, 1409–1427. [Google Scholar] [CrossRef]
- Puzziello, A.; Rosato, L.; Innaro, N.; Orlando, G.; Avenia, N.; Perigli, G.; Calò, P.G.; De Palma, M. Hypocalcemia Following Thyroid Surgery: Incidence and Risk Factors. A Longitudinal Multicenter Study Comprising 2,631 Patients. Endocrine 2014, 47, 537–542. [Google Scholar] [CrossRef]
- Díez, J.J.; Anda, E.; Sastre, J.; Corral, B.P.; Álvarez-Escolá, C.; Manjón, L.; Paja, M.; Sambo, M.; Fernández, P.S.; Carrera, C.B.; et al. Late Recovery of Parathyroid Function After Total Thyroidectomy: A Case-Control Study. Horm. Metab. Res. 2021, 53, 654–661. [Google Scholar] [CrossRef]
- Cusano, N.E.; Anderson, L.; Rubin, M.R.; Silva, B.C.; Costa, A.G.; Irani, D.; Sliney, J.; Bilezikian, J.P. Recovery of Parathyroid Hormone Secretion and Function in Postoperative Hypoparathyroidism: A Case Series. J. Clin. Endocrinol. Metab. 2013, 98, 4285–4290. [Google Scholar] [CrossRef] [PubMed]
- Dancaster, C.P. Aspects of Hypoparathyroidism: Late Diagnosis and Toxic Effects of Therapy. N. Z. Med. J. 1980, 92, 383–384. [Google Scholar]
- Tingsarat, W.; Lertanasit, C.; Kongkit, J.; Snabboon, T. Hypercalcemic Crisis in a Patient with Post-Surgical Hypoparathyroidism. Case Rep. Endocrinol. 2019, 2019, 3503651. [Google Scholar] [CrossRef]
- Jalbert, M.; Mignot, A.; Gauchez, A.-S.; Dobrokhotov, A.-C.; Fourcade, J. Hypercalcémie Sévère de Cause Inhabituelle, à La Recherche Du Coupable: Cas Clinique et Revue de La Littérature. Néphrologie Thérapeutique 2018, 14, 231–236. [Google Scholar] [CrossRef] [PubMed]
- Fernandez-Garcia, M.; Vazquez, L.; Hernandez, J.L. Calcium-Alkali Syndrome in Post-Surgical Hypoparathyroidism. QJM 2012, 105, 1209–1212. [Google Scholar] [CrossRef] [PubMed]
- Fujiwara, T. Vitamin D-related progressive renal insufficiency in an elderly patient with postsurgical hypoparathyroidism associated with extensive brain calcification. Nihon Jinzo Gakkai Shi 2012, 54, 40–47. [Google Scholar] [PubMed]
- Jensterle, M.; Pfeifer, M.; Sever, M.; Kocjan, T. Dihydrotachysterol Intoxication Treated with Pamidronate: A Case Report. Cases J. 2010, 3, 78. [Google Scholar] [CrossRef]
- Sundaresh, V.; Levine, S.N. From Hypocalcemia to Hypercalcemia-an Unusual Clinical Presentation of a Patient with Permanent Postsurgical Hypoparathyroidism. J. Clin. Endocrinol. Metab. 2015, 100, 21–24. [Google Scholar] [CrossRef][Green Version]
- McCloskey, E.; Paterson, A.H.; Powles, T.; Kanis, J.A. Clodronate. Bone 2021, 143, 115715. [Google Scholar] [CrossRef] [PubMed]
- Corsello, S.M.; Paragliola, R.M.; Locantore, P.; Ingraudo, F.; Ricciato, M.P.; Rota, C.A.; Senes, P.; Pontecorvi, A. Post-Surgery Severe Hypocalcemia in Primary Hyperparathyroidism Preoperatively Treated with Zoledronic Acid. Hormones 2010, 9, 338–342. [Google Scholar] [CrossRef]
- Arroyo, M.; Fenves, A.Z.; Emmett, M. The Calcium-Alkali Syndrome. Baylor Univ. Med. Cent. Proc. 2013, 26, 179–181. [Google Scholar] [CrossRef]
- Di Dalmazi, G.; Berr, C.M.; Fassnacht, M.; Beuschlein, F.; Reincke, M. Adrenal Function After Adrenalectomy for Subclinical Hypercortisolism and Cushing’s Syndrome: A Systematic Review of the Literature. J. Clin. Endocrinol. Metab. 2014, 99, 2637–2645. [Google Scholar] [CrossRef] [PubMed]
- Mihai, I.; Boicean, A.; Teodoru, C.A.; Grigore, N.; Iancu, G.M.; Dura, H.; Bratu, D.G.; Roman, M.D.; Mohor, C.I.; Todor, S.B.; et al. Laparoscopic Adrenalectomy: Tailoring Approaches for the Optimal Resection of Adrenal Tumors. Diagnostics 2023, 13, 3351. [Google Scholar] [CrossRef]
- Raffaelli, M.; De Crea, C.; D’Amato, G.; Gallucci, P.; Lombardi, C.P.; Bellantone, R. Outcome of Adrenalectomy for Subclinical Hypercortisolism and Cushing Syndrome. Surgery 2017, 161, 264–271. [Google Scholar] [CrossRef] [PubMed]
- Suzuki, K.; Nonaka, K.; Ichihara, K.; Fukumoto, Y.; Miyazaki, A.; Yamada, Y.; Itoh, Y.; Seino, Y.; Moriwaki, K.; Tarui, S. Hypercalcemia in Glucocorticoid Withdrawal. Endocrinol. Jpn. 1986, 33, 203–209. [Google Scholar] [CrossRef]
- Katahira, M.; Yamada, T.; Kawai, M. A Case of Cushing Syndrome with Both Secondary Hypothyroidism and Hypercalcemia Due to Postoperative Adrenal Insufficiency. Endocr. J. 2004, 51, 105–113. [Google Scholar] [CrossRef] [PubMed]
- Jowsey, J.; Simons, G.W. Normocalcaemia in Relation to Cortisone Secretion. Nature 1968, 217, 1277–1279. [Google Scholar] [CrossRef]
- Miell, J.; Wassif, W.; McGregor, A.; Butler, J.; Ross, R. Life-Threatening Hypercalcaemia in Association with Addisonian Crisis. Postgrad. Med. J. 1991, 67, 770–772. [Google Scholar] [CrossRef] [PubMed]
- Frara, S.; Allora, A.; di Filippo, L.; Formenti, A.M.; Loli, P.; Polizzi, E.; Tradati, D.; Ulivieri, F.M.; Giustina, A. Osteopathy in Mild Adrenal Cushing’s Syndrome and Cushing Disease. Best Pract. Res. Clin. Endocrinol. Metab. 2021, 35, 101515. [Google Scholar] [CrossRef]



| PTH-dependent causes: Primary (and tertiary) hyperparathyroidism Familial hypocalciuric hypercalcemia |
| Malignancies (e.g., osteolytic bone metastases) |
| PTHrp ectopic secretion |
| Drug-induced (calcitriol, calcium, thiazides, lithium, vitamin A) |
| Granulomatous diseases (increased 1,25(OH)2-vitamin D levels) |
| Immobilization |
| Others (hyperthyroidism, acromegaly, GWS, Bartter syndrome) |
| Laboratory Exam | March 2022 |
|---|---|
| ACTH (2.22–12.1 pmol/L) | <1.1 pmol/L |
| Serum cortisol (h 8:00) (166–607 nmol/L) | 745 nmol/L |
| Serum cortisol (h 24:00) | 684 nmol/L |
| Night salivary cortisol (<3.03 nmol/L) | 23.7 nmol/L (0.86 μg/dL) |
| 1 mg dexamethasone overnight suppression test (h 8:00 cortisol) (<50 nmol/L) | 665 nmol/L (241 ng/mL) |
| UFC (mass spectrometry) (<193 nmol/24 h) | 1305 nmol/24 h (473 μg/24 h) |
| TSH (0.35–3.2 µIU/mL) | 0.30 µIU/mL |
| fT4 (10.9–21.2 pmol/L) | 18.7 pmol/L |
| Thyroglobulin (Tg) | 0.4 ng/mL |
| Anti-Tg antibodies (<4.5 IU/mL) | <1.3 IU/mL |
| Parathyroid hormone (PTH) (1.5–7.6 pmol/L) | <0.2 pmol/L |
| Calcium (2.17–2.57 mmol/L) | 2.17 mmol/L |
| Phosphate (0.80–1.61 mmol/L) | 1.23 mmol/L |
| Serum glucose (3.61–5.55 mmol/L) | 12.37 mmol/L (223 mg/dL) |
| HbA1C (23–41 mmol/mol) | 62.0 mmol/mol |
| Serum creatinine (44.2–88.4 µmol/L) | 76.0 µmol/L (0.86 mg/dL) |
| Sodium (135–145 mmol/L) | 139 mmol/L |
| Potassium (3.5–5.0 mmol/L) | 3.3 mmol/L |
| Laboratory Exam | September 2022 | October 2022 |
|---|---|---|
| ACTH (2.22–12.1 pmol/L) | 2.42 | 22.9 |
| Serum cortisol (166–607 nmol/L) | 55 | 455 |
| ACTH-stimulation test (250 μg) | ||
| Serum cortisol (basal) (nmol/L) | 147.3 | |
| Serum cortisol (peak) (nmol/L) | 322 | |
| TSH (0.35–3.2 µIU/mL) | 1.59 | 1.42 |
| fT4 (10.9–21.2 pmol/L) | 15.1 | 18.3 |
| Thyroglobulin (Tg) (ng/mL) | 0.7 | 1.1 |
| Anti-Tg antibodies (<4.5 IU/mL) | <1.3 | <1.3 |
| Parathyroid hormone (PTH) (1.5–7.6 pmol/L) | <0.2 | <0.2 |
| 25OH-vitamin D (77.4–249.5 nmol/L) | 62.1 | |
| 1,25(OH)2-vitamin D (58–206 pmol/L) | 120 | 72 |
| Albumin (34–48 g/L) | 32 | 34 |
| Calcium (at admission) (2.17–2.57 mmol/L) | 3.08 | 3.88 |
| Calcium (at discharge) (2.17–2.57 mmol/L) | 2.05 | 1.95 |
| Phosphate (0.80–1.61 mmol/L) | 1.39 | 0.87 |
| Magnesium (0.66–1.07 mmol/L) | 0.52 | 0.71 |
| Alkaline phosphatase (0.77–1.93 µkat/L) | 1.42 | 1.65 |
| Osteocalcin (10.0–45.0 ng/mL) | 33.5 | |
| Beta-cross-laps (0.2–1.0 ng/mL) | 0.4 | |
| Serum glucose (3.61–5.55 mmol/L) | 6.99 | 5.88 |
| HbA1c (23–41 mmol/mol) | 59 | |
| Hb (120–150 g/L) | 109 | 138 |
| Serum creatinine (at admission) (44.2–88.4 µmol/L) | 180 | 158 |
| eGFR (≥90 mL/min/1.73 m2) | 28 | 33 |
| Serum creatinine (at discharge) (44.2–88.4 µmol/L) | 121 | 93 |
| eGFR (≥90 mL/min/1.73 m2) | 45 | 63 |
| Serum HCO3− (24–28 mmol/L) | 24 | |
| Serum electrophoresis | No alterations | |
| Sodium (135–145 mmol/L) | 141 | 136 |
| Potassium (3.5–5.0 mmol/L) | 3.4 | 3.1 |
| Urinary calcium (3.5–7.5 mmol/24 h) | 1.43 | 9.65 |
| Urinary phosphate (7.3–58.0 mmol/24 h) | 4.32 | 19.8 |
| Urinary creatinine (≤15.9 mmol/24 h) | 9.1 | 9.3 |
| FECa (>0.01) | 0.01 | 0.051 |
| %TRP (85–95%) | 93.7 | 62.9 |
| Tmp/GFR (0.84–1.23 mmol/L) | 1.3 | 0.55 |
| Proteinuria (≤0.229 g/24 h) | 1.8 |
Disclaimer/Publisher’s Note: The statements, opinions and data contained in all publications are solely those of the individual author(s) and contributor(s) and not of MDPI and/or the editor(s). MDPI and/or the editor(s) disclaim responsibility for any injury to people or property resulting from any ideas, methods, instructions or products referred to in the content. |
© 2025 by the authors. Licensee MDPI, Basel, Switzerland. This article is an open access article distributed under the terms and conditions of the Creative Commons Attribution (CC BY) license (https://creativecommons.org/licenses/by/4.0/).
Share and Cite
Locantore, P.; Oliva, A.; Cera, G.; Paragliola, R.M.; Novizio, R.; Policola, C.; Corsello, A.; Pontecorvi, A. Hypercalcemia Following Adrenalectomy for Cushing Syndrome in a Patient with Post-Surgical Hypoparathyroidism. Diseases 2025, 13, 20. https://doi.org/10.3390/diseases13010020
Locantore P, Oliva A, Cera G, Paragliola RM, Novizio R, Policola C, Corsello A, Pontecorvi A. Hypercalcemia Following Adrenalectomy for Cushing Syndrome in a Patient with Post-Surgical Hypoparathyroidism. Diseases. 2025; 13(1):20. https://doi.org/10.3390/diseases13010020
Chicago/Turabian StyleLocantore, Pietro, Alessandro Oliva, Gianluca Cera, Rosa Maria Paragliola, Roberto Novizio, Caterina Policola, Andrea Corsello, and Alfredo Pontecorvi. 2025. "Hypercalcemia Following Adrenalectomy for Cushing Syndrome in a Patient with Post-Surgical Hypoparathyroidism" Diseases 13, no. 1: 20. https://doi.org/10.3390/diseases13010020
APA StyleLocantore, P., Oliva, A., Cera, G., Paragliola, R. M., Novizio, R., Policola, C., Corsello, A., & Pontecorvi, A. (2025). Hypercalcemia Following Adrenalectomy for Cushing Syndrome in a Patient with Post-Surgical Hypoparathyroidism. Diseases, 13(1), 20. https://doi.org/10.3390/diseases13010020

