Primary Iliopsoas Abscess and Drug-Induced Liver Injury in the Emergency Department: A Case Report
Abstract
1. Background
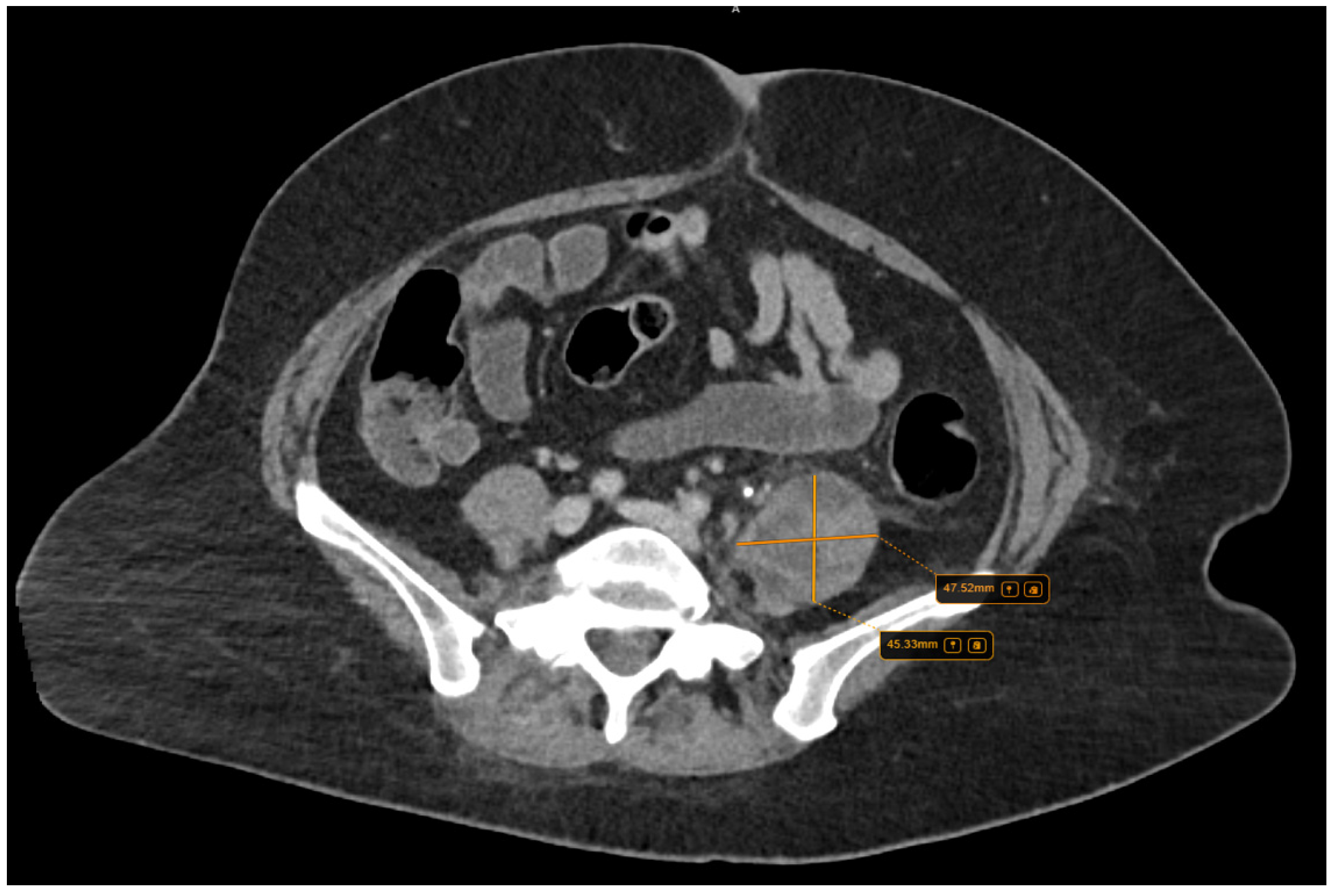
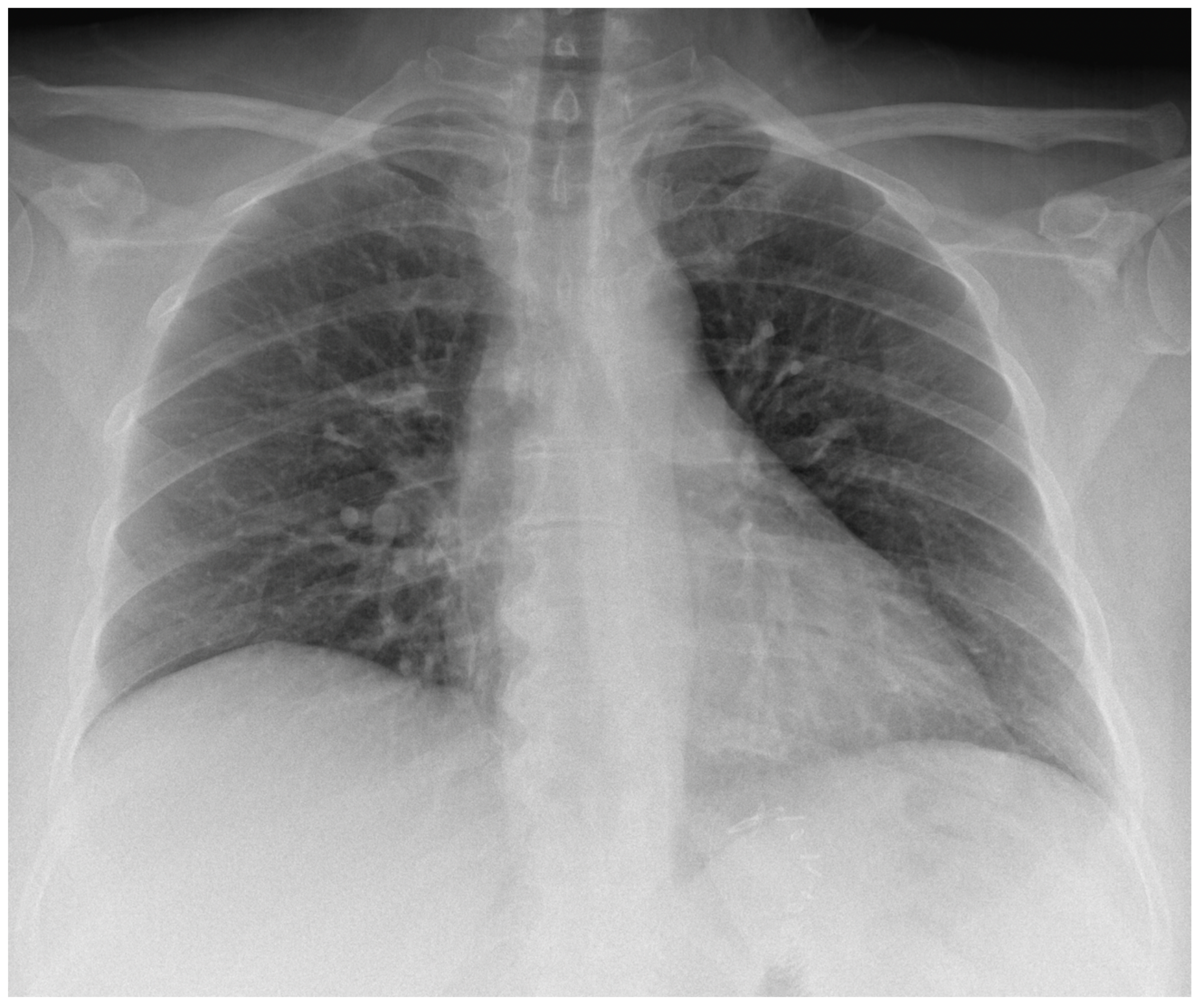
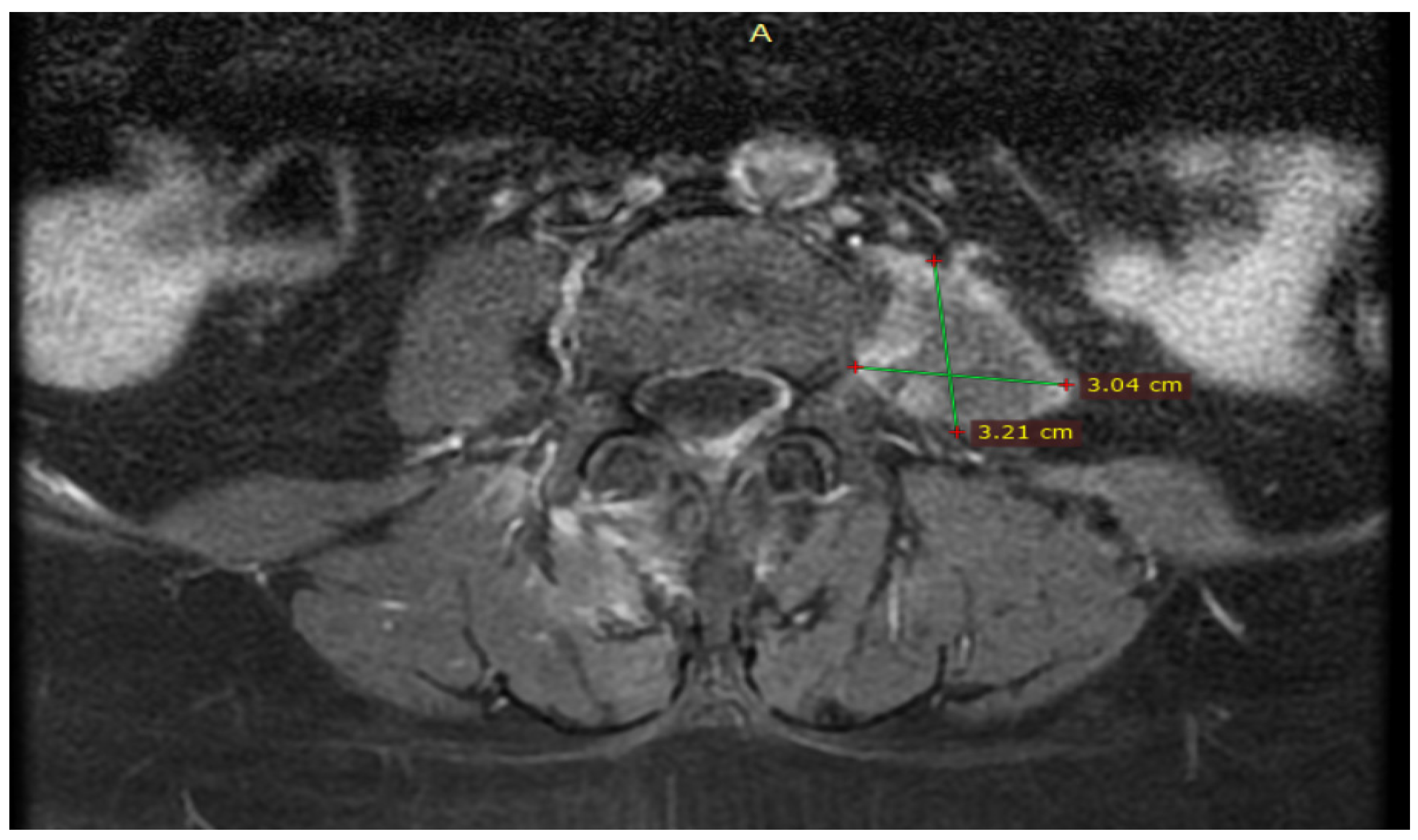
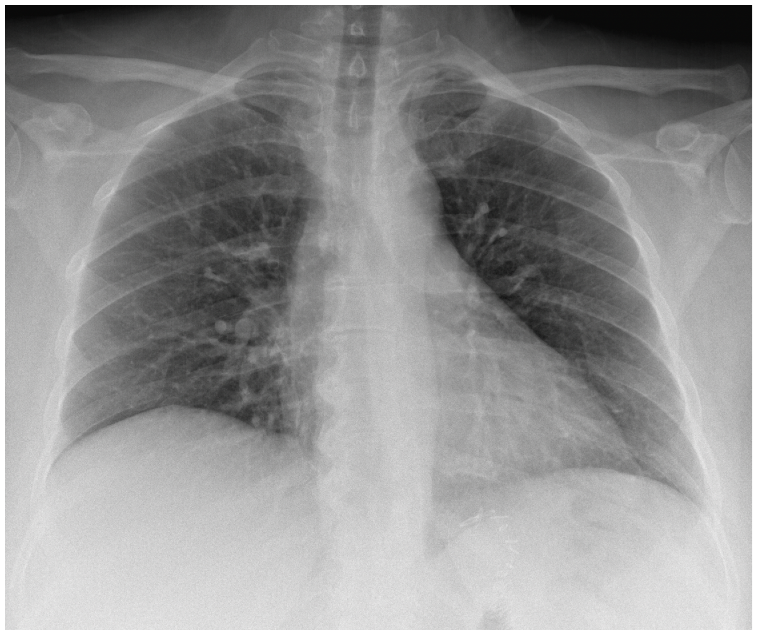
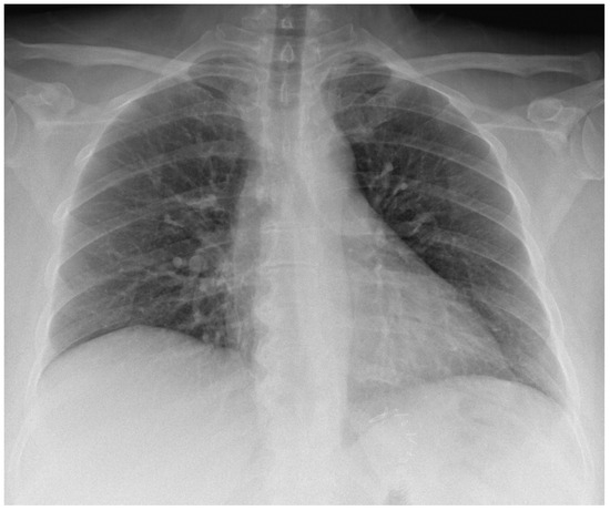
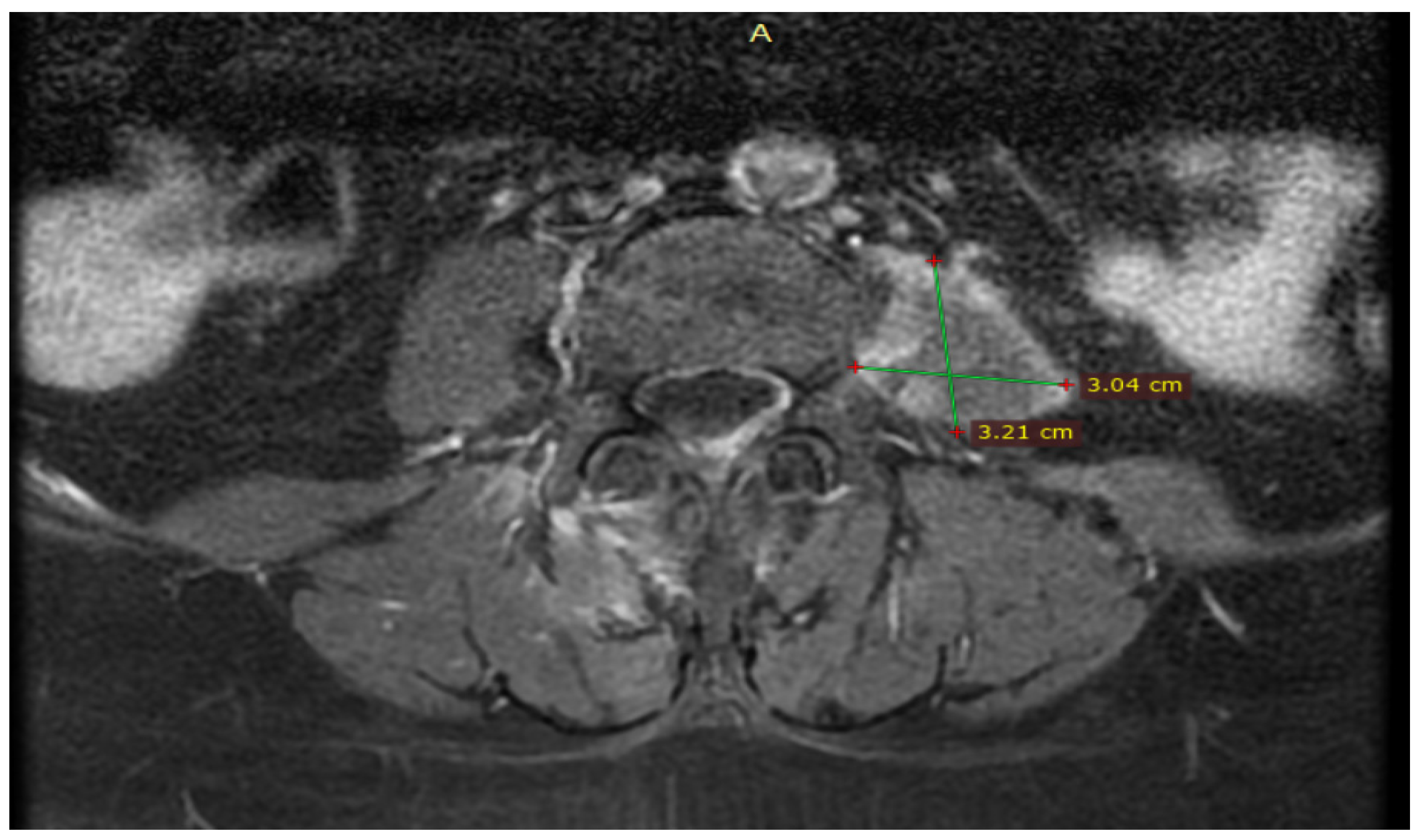
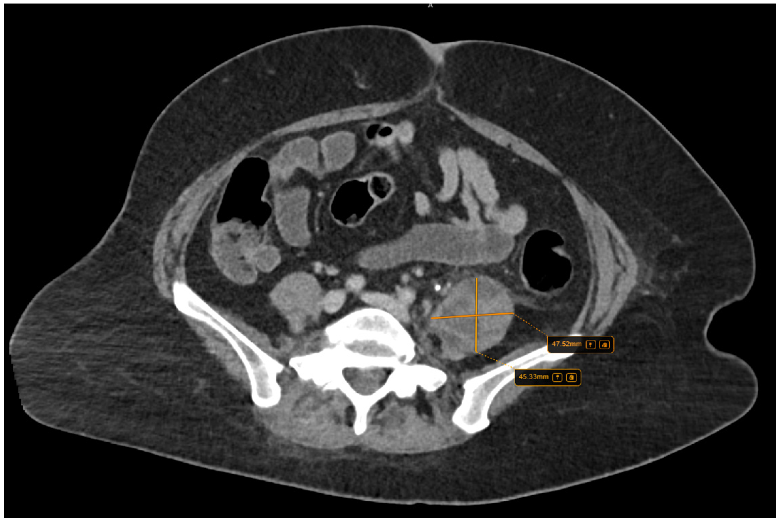
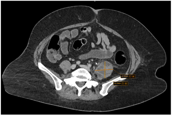
2. Case Report
3. Discussion
4. Conclusions
Author Contributions
Funding
Institutional Review Board Statement
Informed Consent Statement
Data Availability Statement
Conflicts of Interest
References
- Mynter, H. Acute Psoitis. Buffalo Med. Surg. J. 1881, 21, 202–210. [Google Scholar] [PubMed]
- Garner, J.; Meiring, P.; Ravi, K.; Gupta, R. Psoas abscess–not as rare as we think? Color. Dis. 2007, 9, 269–274. [Google Scholar] [CrossRef] [PubMed]
- Thakral, A.; Prasad, D.; Katyal, S.; Kumar, A. Characteristics and Outcomes of Psoas Abscess: Experience From a Tertiary Care Center in North India. Cureus 2022, 14, e21358. [Google Scholar] [CrossRef]
- Sato, T.; Kudo, D.; Kushimoto, S. Epidemiological features and outcomes of patients with psoas abscess: A retrospective cohort study. Ann. Med. Surg. 2021, 62, 114–118. [Google Scholar] [CrossRef]
- Chern, C.-H.; Hu, S.-C.; Kao, W.-F.; Tsai, J.; Yen, D.; Lee, C.-H. Psoas abscess: Making an early diagnosis in the ED. Am. J. Emerg. Med. 1997, 15, 83–88. [Google Scholar] [CrossRef]
- Montrief, T.; Koyfman, A.; Long, B. Acute liver failure: A review for emergency physicians. Am. J. Emerg. Med. 2019, 37, 329–337. [Google Scholar] [CrossRef]
- Fontana, R.J.; Bjornsson, E.S.; Reddy, R.; Andrade, R.J. The Evolving Profile of Idiosyncratic Drug-Induced Liver Injury. Clin. Gastroenterol. Hepatol. 2023, 21, 2088–2099. [Google Scholar] [CrossRef] [PubMed]
- Shields, D.; Robinson, P.; Crowley, T.P. Iliopsoas abscess—A review and update on the literature. Int. J. Surg. 2012, 10, 466–469. [Google Scholar] [CrossRef]
- Moslemi, S.; Tahamtan, M.; Hosseini, S.V. A Late-onset Psoas Abscess Formation Associated with Previous Appendectomy: A Case Report. Bull. Emerg. Trauma 2014, 2, 55–58. [Google Scholar]
- Debes, J.D.; Lopez-Morra, H.; Dickstein, G. A psoas abscess caused by Pseudomonas aeruginosa due to diverticular perforation. Am. J. Gastroenterol. 2006, 101, 2168. [Google Scholar] [CrossRef]
- Yang, J.Y.; Lee, J.K.; Cha, S.M.; Joo, Y.B. Psoas abscess caused by spontaneous rupture of colon cancer. Clin. Orthop. Surg. 2011, 3, 342–344. [Google Scholar] [CrossRef] [PubMed]
- Staudinger, R.; Sharma, R.; Patel, S. Psoas Abscess: A Rare Initial Manifestation of Crohn’s Disease: 682. Off. J. Am. Coll. Gastroenterol. 2015, 110, S301. [Google Scholar] [CrossRef]
- Dowling Montalva, Á.; de Araujo Santana Junior, R.N.; Molina, M. Full Endoscopic Treatment for a Fibrosis Complication after Psoas Abscess. J. Pers. Med. 2023, 13, 1166. [Google Scholar] [CrossRef]
- Frank, D.; Neal, B.; Jacobs, A. Iliopsoas Abscess Due to Nephrolithiasis and Pyelonephritis. Clin. Pract. Cases Emerg. Med. 2018, 2, 264–265. [Google Scholar]
- Aldamanhori, R.; Barakat, A.; Al-Madi, M.; Kamal, B. Psoas Abscess Secondary to Urinary Tract Fungal Infection. Urol. Case Rep. 2015, 3, 106–108. [Google Scholar] [PubMed]
- Zou, M.-X.; Li, J.; Lyu, G.-H. Iliopsoas Abscess Due to Brenner Tumor Malignancy: A Case Report. Chin. Med. J. 2015, 128, 423–424. [Google Scholar]
- Scherer, J.; Kotze, T.; Mdiza, Z.; Lawson, A.; Held, M.; Thienemann, F. Tuberculous Spondylodiscitis with Psoas Abscess Descending into the Anterior Femoral Compartment Identified Using 2-deoxy-2-[18F]fluoroglucose Positron Emission Tomography Computed Tomography. Diagnostics 2024, 14, 1018. [Google Scholar] [CrossRef]
- Ghantarchyan, H.; Philip, S.; Dunn, K.; Suh, J.S. A Rare Case of Vertebral Osteomyelitis and Bilateral Psoas Abscess From an Unknown Source. J. Med. Cases 2020, 11, 345–347. [Google Scholar]
- Albouk, A.M.; Alhumaidi, I.M.; Alamri, A.J.; Alsaygh, E.F.; Alshahir, A.A.; Almuhammadi, H.H.; Jamal, R.S. Primary Psoas Abscess Complicated by Septic Arthritis Due to Community-Acquired Methicillin-Resistant Staphylococcus aureus: A Case Report and Review of Literature. Cureus 2022, 14, e26095. [Google Scholar] [CrossRef]
- Guedes Saint Clair, J.P.; Cordeiro Rabelo, Í.E.; Rios Rodriguez, J.E.; Lopes de Castro, G.; Moreira Printes, T.R.; Cabral Fraiji Sposina, L.B.; Alcântara Barbosa, D.; Macedo de Souza, G. Pott’s disease associated with psoas abscess: Case report. Ann. Med. Surg. 2022, 74, 103239. [Google Scholar] [CrossRef]
- Moussa, O.; Sreedharan, L.; Poels, J.; Ojimba, T. Psoas abscess complicating endovascular aortic aneurysm repair. J. Surg. Case Rep. 2012, 2012, 16. [Google Scholar] [CrossRef] [PubMed]
- Routier, E.; Bularca, S.; Sbidian, E.; Roujeau, J.C.; Bagot, M. Two cases of psoas abscesses caused by group A beta-haemolytic streptococcal infection with a cutaneous portal of entry. Ann. Dermatol. Venereol. 2010, 137, 369–372. [Google Scholar] [CrossRef] [PubMed]
- Alsadery, H.A.; Alzaher, M.Z.; Osman, A.G.E.; Nabri, M.; Bukhamseen, A.H.; Alblowi, A.; Aldossery, I. Iliopsoas Hematoma and Abscess Formation as a Complication of an Anterior Abdominal Penetrating Injury: A Case Report and Review of Literature. Med. Arch. 2022, 76, 308–312. [Google Scholar] [CrossRef] [PubMed]
- D’Cruz, A.D.; Draman, N.; Yezid, N.H. Back pain and the role of point of care ultrasound (POCUS): A case report. Vis. J. Emerg. Med. 2024, 35, 101978. [Google Scholar] [CrossRef]
- Sah, J.K.; Adhikari, S.; Sah, G.; Ghimire, B.; Singh, Y.P. Presentation, management and outcomes of iliopsoas abscess at a University Teaching Hospital in Nepal. Innov. Surg. Sci. 2023, 8, 17–22. [Google Scholar] [CrossRef]
- Lee, Y.-C.; Li, J.-J.; Hsiao, C.-H.; Yen, C.-C. Clinical Characteristics and In-Hospital Outcomes in Patients with Iliopsoas Abscess: A Multicenter Study. J. Clin. Med. 2023, 12, 2760. [Google Scholar] [CrossRef]
- Al-Khafaji, M.Q.; Al-Smadi, M.W.; Al-Khafaji, M.Q.; Aslan, S.; Al-Khafaji, Y.Q.; Bagossy-Blás, P.; Al Nasser, M.H.; Horváth, B.L.; Viola, Á. Evaluating Imaging Techniques for Diagnosing and Drainage Guidance of Psoas Muscle Abscess: A Systematic Review. J. Clin. Med. 2024, 13, 3199. [Google Scholar] [CrossRef]
- Lai, Y.N.; Chung, J.Y. A Case of Psoas Muscle Abscess With Hematuria, Detected Initially by Point-of-Care Ultrasound in the Emergency Department. J. Emerg. Med. 2022, 62, e5–e7. [Google Scholar] [CrossRef]
- Al-Sadhan, N.A.; Liebmann, O.; Dwyer, K.H. Point-of-care Ultrasound Identification of Iliopsoas Abscess in Emergency Department: A Case Report. Clin. Pract. Cases Emerg. Med. 2020, 4, 404–406. [Google Scholar] [CrossRef] [PubMed]
- Xu, C.; Zhou, Z.; Wang, S.; Ren, W.; Yang, X.; Chen, H.; Zheng, W.; Yin, Q.; Pan, H. Psoas abscess: An uncommon disorder. Postgrad. Med. J. 2024, 100, 482–487. [Google Scholar] [CrossRef]
- Engel, J.L.; Satpathy, J. Iliopsoas Abscess. In Musculoskeletal Infections: A Clinical Case Book, Reznicek, J., Perdue, J.P.W., Bearman, G., Eds.; Springer International Publishing: Cham, Switzerland, 2020; pp. 193–201. [Google Scholar]
- Khatoon, S.; Ahmedani, A.; Unar, S.K.; Memon, R.A.; Khatti, S. Outcome of Percutaneous Ultrasound Guided Aspiration versus Open Surgical Drainage of Psoas Muscle Abscess. Ann. PIMS-Shaheed Zulfiqar Ali Bhutto Med. Univ. 2021, 17, 180–183. [Google Scholar] [CrossRef]
- Shah, A.G.; Prajapati, P.; Kakadiya, H. Comparative study of surgical drainage versus percutaneous drainage of psoas abscess. Natl. J. Physiol. Pharm. Pharmacol. 2023, 13, 1908–1911. [Google Scholar] [CrossRef]
- Chen, M.; Borlak, J.; Tong, W. A Model to predict severity of drug-induced liver injury in humans. Hepatology 2016, 64, 931–940. [Google Scholar] [CrossRef] [PubMed]
- Hosack, T.; Damry, D.; Biswas, S. Drug-induced liver injury: A comprehensive review. Therap. Adv. Gastroenterol. 2023, 16, 1–13. [Google Scholar] [CrossRef]
- EASL Clinical Practice Guidelines: Drug-induced liver injury. J. Hepatol. 2019, 70, 1222–1261. [CrossRef] [PubMed]
- Lucena, M.I.; Andrade, R.J.; Fernández, M.C.; Pachkoria, K.; Pelaez, G.; Durán, J.A.; Villar, M.; Rodrigo, L.; Romero-Gomez, M.; Planas, R.; et al. Determinants of the clinical expression of amoxicillin-clavulanate hepatotoxicity: A prospective series from Spain. Hepatology 2006, 44, 850–856. [Google Scholar] [CrossRef]
- Hayashi, P.H.; Lucena, M.I.; Fontana, R.J.; Bjornsson, E.S.; Aithal, G.P.; Barnhart, H.; Gonzalez-Jimenez, A.; Yang, Q.; Gu, J.; Andrade, R.J.; et al. A revised electronic version of RUCAM for the diagnosis of DILI. Hepatology 2022, 76, 18–31. [Google Scholar] [CrossRef] [PubMed]
- Douros, A.; Bronder, E.; Andersohn, F.; Klimpel, A.; Thomae, M.; Sarganas, G.; Kreutz, R.; Garbe, E. Drug-induced liver injury: Results from the hospital-based B erlin Case–Control Surveillance Study. Br. J. Clin. Pharmacol. 2015, 79, 988–999. [Google Scholar] [CrossRef]
- Ghenu, M.I.; Dragoş, D.; Manea, M.M.; Ionescu, D.; Negreanu, L. Pathophysiology of sepsis-induced cholestasis: A review. JGH Open 2022, 6, 378–387. [Google Scholar] [CrossRef]
- Teschke, R.; Danan, G. Drug-induced liver injury, mortality, and liver transplantation: Is it reasonable to use a global introspection causality assessment? AME Med. J. 2017, 2, 144. [Google Scholar] [CrossRef]






Disclaimer/Publisher’s Note: The statements, opinions and data contained in all publications are solely those of the individual author(s) and contributor(s) and not of MDPI and/or the editor(s). MDPI and/or the editor(s) disclaim responsibility for any injury to people or property resulting from any ideas, methods, instructions or products referred to in the content. |
© 2024 by the authors. Licensee MDPI, Basel, Switzerland. This article is an open access article distributed under the terms and conditions of the Creative Commons Attribution (CC BY) license (https://creativecommons.org/licenses/by/4.0/).
Share and Cite
Mederle, O.A.; Sima, L.; Popa, D.I.; Williams, C.G.; Mitu, D.; Șutoi, D.; Trebuian, C.I.; Selaru, M.; Lolos, D.; Pah, A.-M.; et al. Primary Iliopsoas Abscess and Drug-Induced Liver Injury in the Emergency Department: A Case Report. Diseases 2024, 12, 326. https://doi.org/10.3390/diseases12120326
Mederle OA, Sima L, Popa DI, Williams CG, Mitu D, Șutoi D, Trebuian CI, Selaru M, Lolos D, Pah A-M, et al. Primary Iliopsoas Abscess and Drug-Induced Liver Injury in the Emergency Department: A Case Report. Diseases. 2024; 12(12):326. https://doi.org/10.3390/diseases12120326
Chicago/Turabian StyleMederle, Ovidiu Alexandru, Laurentiu Sima, Daian Ionel Popa, Carmen Gabriela Williams, Diana Mitu, Dumitru Șutoi, Cosmin Iosif Trebuian, Mircea Selaru, Dan Lolos, Ana-Maria Pah, and et al. 2024. "Primary Iliopsoas Abscess and Drug-Induced Liver Injury in the Emergency Department: A Case Report" Diseases 12, no. 12: 326. https://doi.org/10.3390/diseases12120326
APA StyleMederle, O. A., Sima, L., Popa, D. I., Williams, C. G., Mitu, D., Șutoi, D., Trebuian, C. I., Selaru, M., Lolos, D., Pah, A.-M., & Buleu, F. (2024). Primary Iliopsoas Abscess and Drug-Induced Liver Injury in the Emergency Department: A Case Report. Diseases, 12(12), 326. https://doi.org/10.3390/diseases12120326

