Large Neuroendocrine Neoplasms of the Duodenum: Description of Two Rare Subtypes and Technical Details on Surgical Treatment
Abstract
1. Introduction
2. Case Experience
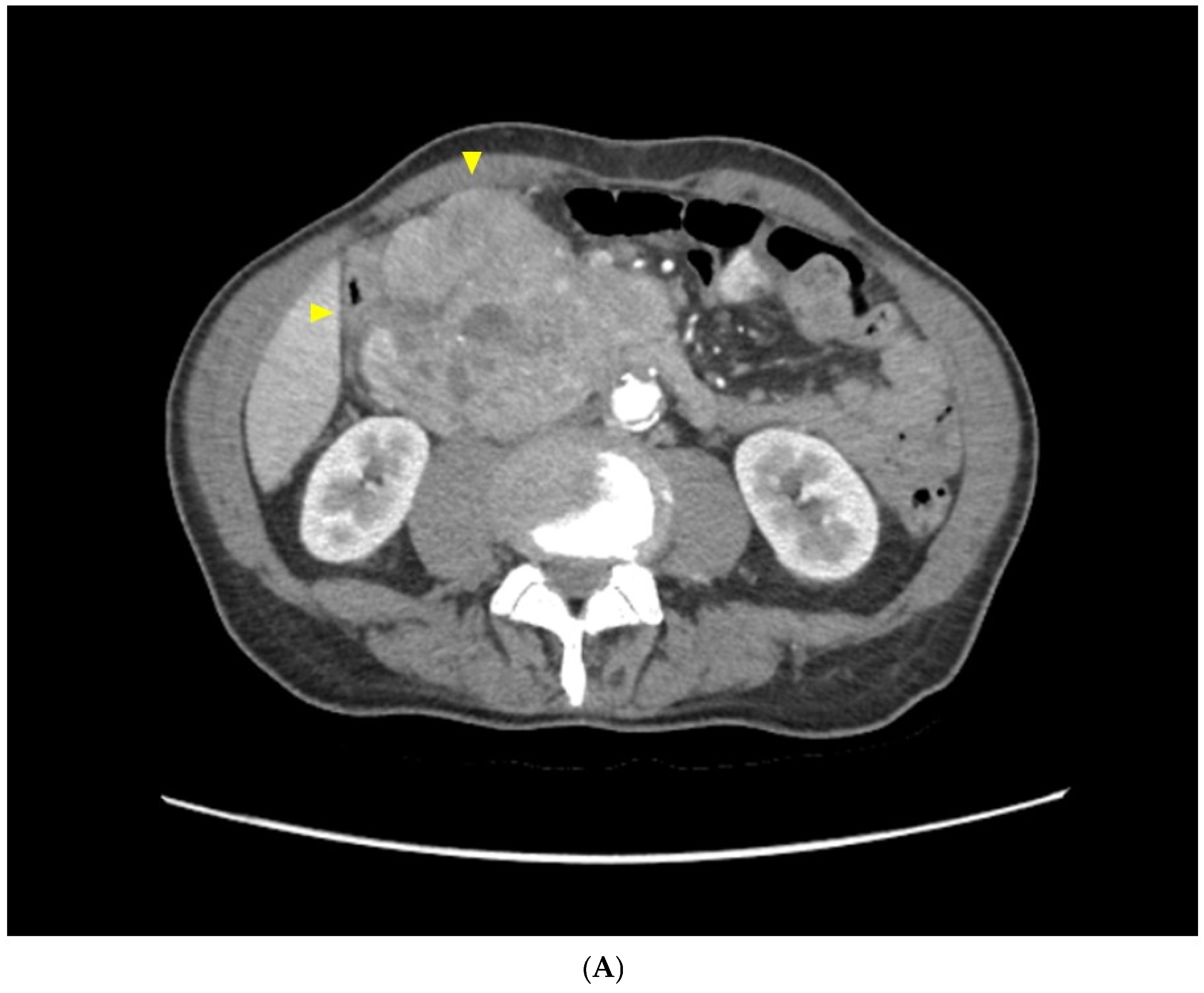
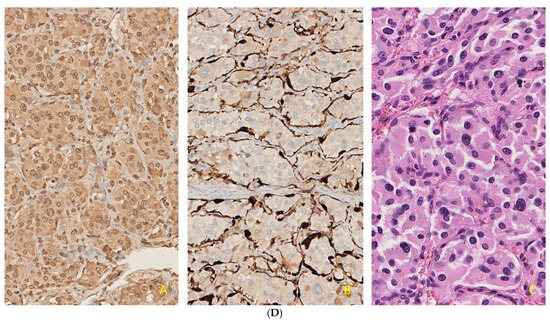
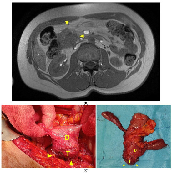
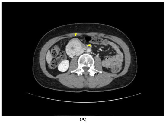
2.1. Case Report 1
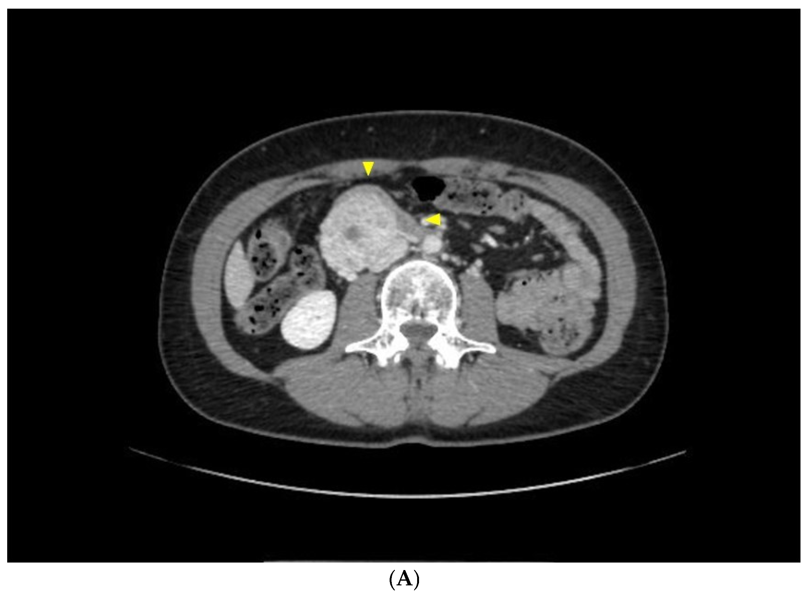
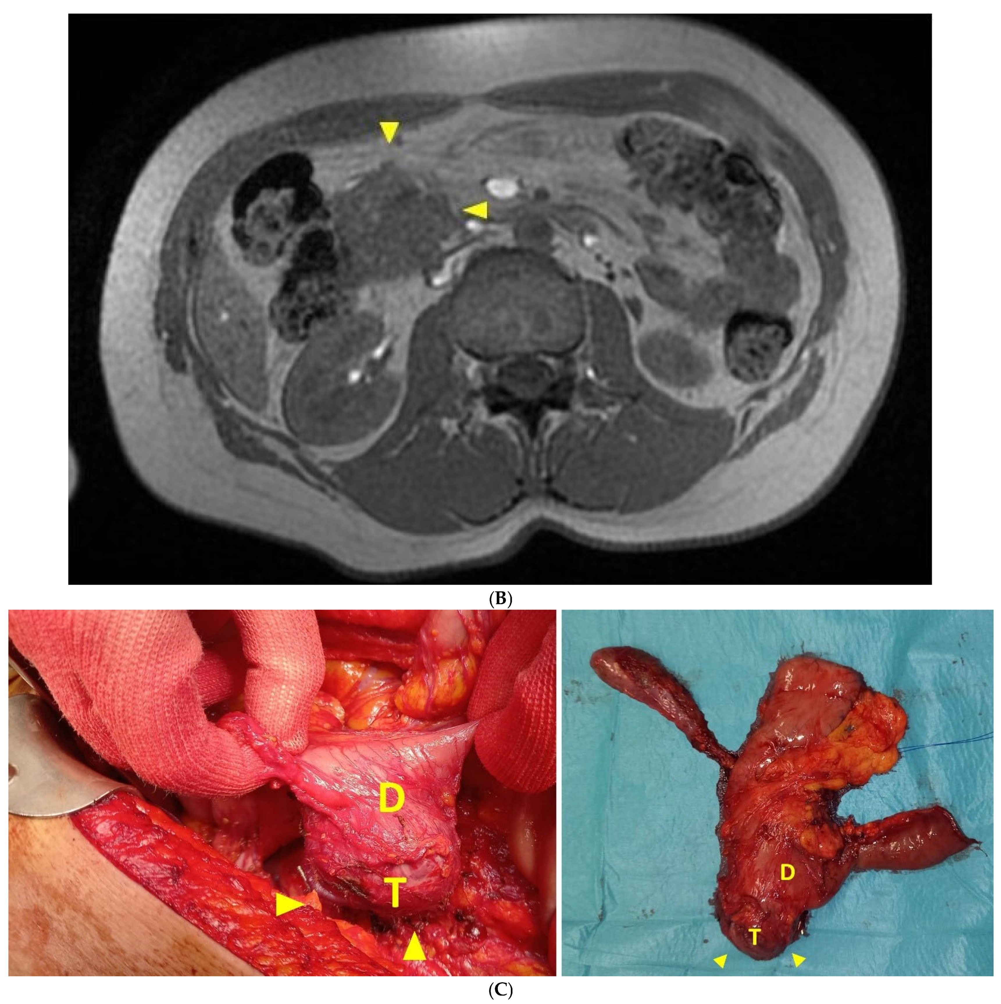
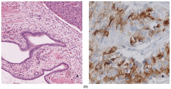
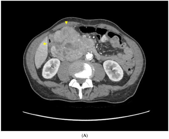
2.2. Case Report 2
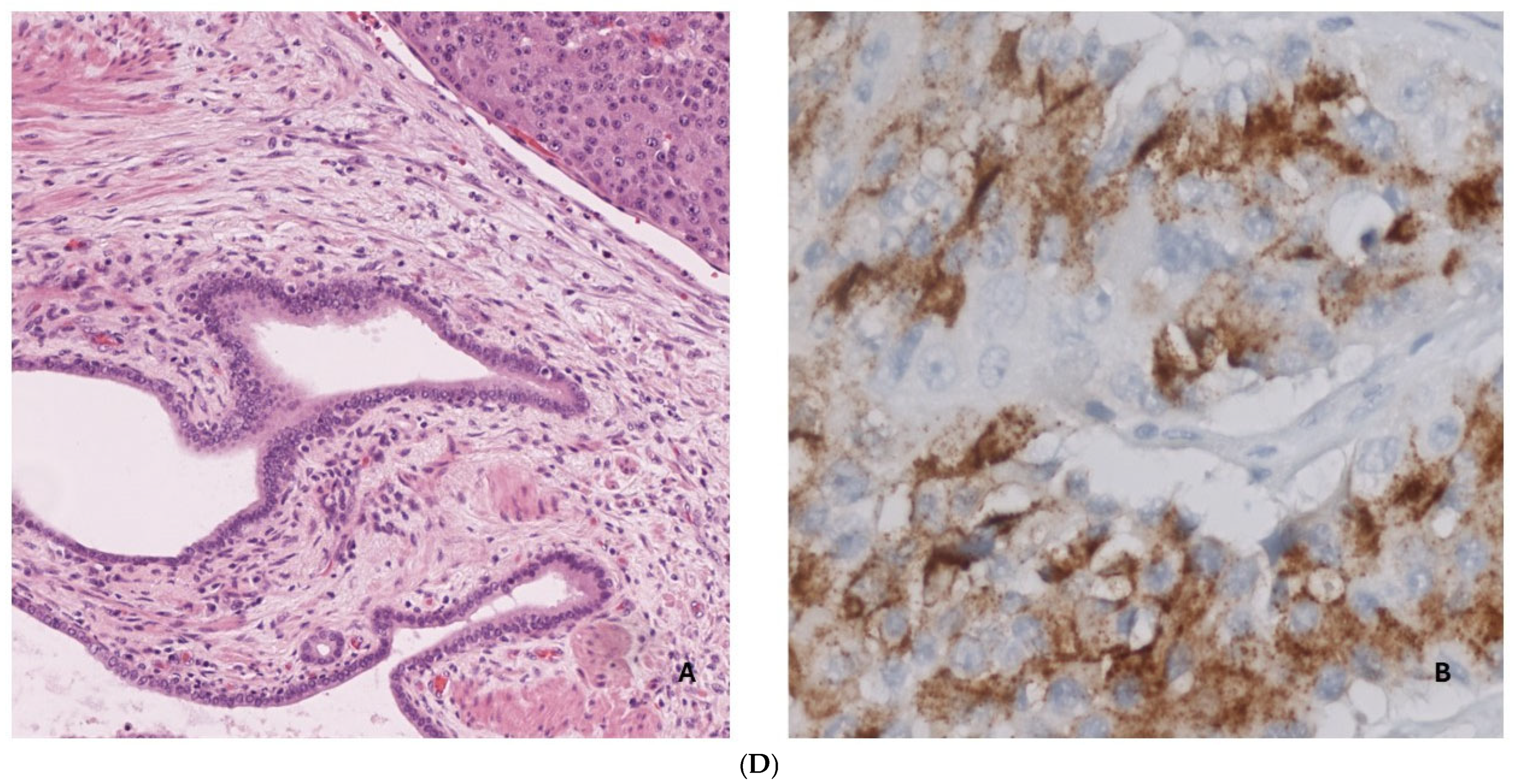
3. Discussion
4. Conclusions
Author Contributions
Funding
Institutional Review Board Statement
Informed Consent Statement
Data Availability Statement
Conflicts of Interest
References
- Ichikawa, Y.; Kobayashi, N.; Takano, S.; Kato, I.; Endo, K.; Inoue, T. Neuroendocrine tumor theranostics. Cancer Sci. 2022, 113, 1930–1938. [Google Scholar] [CrossRef] [PubMed]
- Sheikh, M.R.; Osman, H.; Cheek, S.; Hunter, S.; Jeyarajah, D.R. Duodenal Neuroendocrine Tumors: Location Matters! Am. Surg. 2016, 82, 386–389. [Google Scholar] [CrossRef] [PubMed]
- Jensen, R.T.; Rindi, G.; Arnold, R.; Lopes, J.M.; Brandi, M.L.; Bechstein, W.O.; Christ, E.; Taal, B.G.; Knigge, U.; Ahlman, H. Well-differentiated duodenal tumor/carcinoma (excluding gastrinomas). Neuroendocrinology 2006, 84, 165–172. [Google Scholar] [CrossRef] [PubMed]
- Klimstra, D.S.; Kloppel, G.; La Rosa, S.; Rindi, G. Classification of neuroendocrine neoplasms of the digestive system. In WHO Classification of Tumours of the Digestive System; IARC: Lyon, France, 2019. [Google Scholar]
- Bonds, M.; Rocha, F.G. Neuroendocrine Tumors of the Pancreatobiliary and Gastrointestinal Tracts. Surg. Clin. N. Am. 2020, 100, 635–648. [Google Scholar] [CrossRef]
- Milione, M.; Parente, P.; Grillo, F.; Zamboni, G.; Mastracci, L.; Capella, C.; Fassan, M.; Vanoli, A. Neuroendocrine neoplasms of the duodenum, ampullary region, jejunum and ileum. Pathologica 2021, 113, 12–18. [Google Scholar] [CrossRef]
- Park, H.K.; Han, H.S. Duodenal Gangliocytic Paraganglioma with Lymph Node Metastasis. Arch. Pathol. Lab. Med. 2016, 140, 94–98. [Google Scholar] [CrossRef]
- Pavel, M.; Öberg, K.; Falconi, M.; Krenning, E.P.; Sundin, A.; Perren, A.; Berruti, A. Gastroenteropancreatic neuroendocrine neoplasms: ESMO Clinical Practice Guidelines for diagnosis, treatment and follow-up. Ann. Oncol. 2020, 31, 844–860. [Google Scholar] [CrossRef]
- Burke, A.P.; Helwig, E.B. Gangliocytic paraganglioma. Am. J. Clin. Pathol. 1989, 92, 1–9. [Google Scholar] [CrossRef]
- Scheithauer, B.W.; Nora, F.E.; Lechago, J.; Wick, M.R.; Crawford, B.G.; Weiland, L.H.; Carney, J.A. Duodenal gangliocytic paraganglioma. Clinicopathologic and immunocytochemical study of 11 cases. Am. J. Clin. Pathol. 1986, 86, 559–565. [Google Scholar] [CrossRef]
- Dahl, E.V.; Waugh, J.M.; Dahlin, D.C. Gastrointestinal ganglioneuromas: Brief review with report of a duodenal ganglioneuroma. Am. J. Pathol. 1957, 33, 953–965. [Google Scholar]
- Taylor, H.B.; Helwig, E.B. Benign nonchromaffin paragangliomas of the duodenum. Virchows Arch. Fur Pathol. Anat. Und Physiol. Und Fur Klin. Med. 1962, 335, 356–366. [Google Scholar] [CrossRef] [PubMed]
- Tu, Y.; Chu, S.; Huang, Z. Duodenal ganglion cell paraganglioma: A case report. Asian J. Surg. 2023, 46, 1244–1245. [Google Scholar] [CrossRef] [PubMed]
- Okubo, Y. Gangliocytic paraganglioma: An overview and future perspective. World J. Clin. Oncol. 2019, 10, 300–302. [Google Scholar] [CrossRef] [PubMed]
- Büchler, M.; Malfertheiner, P.; Baczako, K.; Krautzberger, W.; Beger, H.G. A metastatic endocrine-neurogenic tumor of the ampulla of Vater with multiple endocrine immunoreaction--malignant paraganglioma? Digestion 1985, 31, 54–59. [Google Scholar] [CrossRef] [PubMed]
- Sánchez-Pérez, M.A.; Luque-de León, E.; Muñoz-Juárez, M.; Moreno-Paquentin, E.; Genovés-Gómez, H.; Torreblanca-Marín, M.A. Duodenal gangliocytic paraganglioma. Can. J. Surg. J. 2009, 52, E27–E28. [Google Scholar]
- Witkiewicz, A.; Galler, A.; Yeo, C.J.; Gross, S.D. Gangliocytic paraganglioma: Case report and review of the literature. J. Gastrointest. Surg. 2007, 11, 1351–1354. [Google Scholar] [CrossRef]
- Reis, D.; Damião, F.; Ferreira, C.N.; Cruz, R.; Vitorino, E.; Ribeiro, L.C.; Marinho, R.T. Duodenal Gangliocytic Paraganglioma: A Unique Cause of Abdominal Pain. ACG Case Rep. J. 2019, 7, e00272. [Google Scholar] [CrossRef]
- Okubo, Y.; Yokose, T.; Motohashi, O.; Miyagi, Y.; Yoshioka, E.; Suzuki, M.; Washimi, K.; Kawachi, K.; Nito, M.; Nemoto, T. Duodenal Rare Neuroendocrine Tumor: Clinicopathological Characteristics of Patients with Gangliocytic Paraganglioma. Gastroenterol. Res. Pract. 2016, 2016, 5257312. [Google Scholar] [CrossRef]
- Wang, B.; Zou, Y.; Zhang, H.; Xu, L.; Jiang, X.; Sun, K. Duodenal gangliocytic paraganglioma: Report of two cases and review of literature. Int. J. Clin. Exp. Pathol. 2015, 8, 9752–9759. [Google Scholar]
- Papaconstantinou, D.; Machairas, N.; Damaskou, V.; Zavras, N.; Kontopoulou, C.; Machairas, A. Duodenal gangliocytic paraganglioma, successfully treated by local surgical excision—A case report. Int. J. Surg. Case Rep. 2017, 32, 5–8. [Google Scholar] [CrossRef]
- Lucandri, G.; Fiori, G.; Lucchese, S.; Pende, V.; Farina, M.; Giordano, M.; Santoro, E. Extended surgical resection for nonfunctioning duodenal neuroendocrine tumor. J. Surg. Case Rep. 2022, 2022, rjac391. [Google Scholar] [CrossRef] [PubMed]
- Iwasaki, T.; Nara, S.; Kishi, Y.; Esaki, M.; Shimada, K.; Hiraoka, N. Surgical treatment of neuroendocrine tumors in the second portion of the duodenum: A single center experience and systematic review of the literature. Langenbeck’s Arch. Surg. 2017, 402, 925–933. [Google Scholar] [CrossRef] [PubMed]
- Wu, J.; Guo, W.; Li, C.; Wang, H.; Liu, H.; Li, F.; Wang, L.; Xu, J. Laparoscopic enucleation of tumors embedded in the pancreatic head: Safety and feasibility. Asian J. Surg. 2024, Epub ahead of print. [CrossRef] [PubMed]
- Xiang, Y.; Wu, J.; Lin, C.; Yang, Y.; Zhang, D.; Xie, Y.; Yao, X.; Zhang, X. Pancreatic reconstruction techniques after pancreaticoduodenectomy: A review of the literature. Expert Rev. Gastroenterol. Hepatol. 2019, 13, 797–806. [Google Scholar] [CrossRef] [PubMed]
- Sauvanet, A.; Belghiti, J.; Panis, Y.; Gayet, B.; Camara, E.; Urrejola, G.; Fékété, F. Pancreaticogastrostomy after pancreatoduodenectomy. HPB Surg. A World J. Hepatic Pancreat. Biliary Surg. 1992, 6, 91–95; discussion 95–98. [Google Scholar] [CrossRef][Green Version]
- Guerrini, G.P.; Soliani, P.; D’Amico, G.; Di Benedetto, F.; Negri, M.; Piccoli, M.; Ruffo, G.; Orti-Rodriguez, R.J.; Pissanou, T.; Fusai, G. Pancreaticojejunostomy Versus Pancreaticogastrostomy After Pancreaticoduodenectomy: An Up-to-date Meta-Analysis. J. Investig. Surg. 2016, 29, 175–184. [Google Scholar] [CrossRef]
- Loftus, T.J.; Kresak, J.L.; Gonzalo, D.H.; Sarosi, G.A., Jr.; Behrns, K.E. Duodenal gangliocytic paraganglioma: A case report and literature review. Int. J. Surg. Case Rep. 2015, 8C, 5–8. [Google Scholar] [CrossRef]
- Barret, M.; Rahmi, G.; Duong van Huyen, J.P.; Landi, B.; Cellier, C.; Berger, A. Duodenal gangliocytic paraganglioma with lymph node metastasis and an 8-year follow-up: A case report. Eur. J. Gastroenterol. Hepatol. 2012, 24, 90–94. [Google Scholar] [CrossRef]
- Ren, S.J.; Wang, X.; Ke, N.W.; Tan, Q.Q.; Yang, F.; Yao, W.Q.; Tan, C.L.; Liu, X.B. Clinicopathological features and long-term prognosis of purely cystic pancreatic neuroendocrine tumors: A single-center experience. Asian J. Surg. 2023, 46, 774–779, Epub 2022 Jul 16. [Google Scholar] [CrossRef] [PubMed]








Disclaimer/Publisher’s Note: The statements, opinions and data contained in all publications are solely those of the individual author(s) and contributor(s) and not of MDPI and/or the editor(s). MDPI and/or the editor(s) disclaim responsibility for any injury to people or property resulting from any ideas, methods, instructions or products referred to in the content. |
© 2024 by the authors. Licensee MDPI, Basel, Switzerland. This article is an open access article distributed under the terms and conditions of the Creative Commons Attribution (CC BY) license (https://creativecommons.org/licenses/by/4.0/).
Share and Cite
Lucandri, G.; Fiori, G.; Genualdo, F.; Falbo, F.; Biancucci, A.; Pende, V.; Mazzocchi, P.; Farina, M.; Campagna, D.; Santoro, E. Large Neuroendocrine Neoplasms of the Duodenum: Description of Two Rare Subtypes and Technical Details on Surgical Treatment. Diseases 2024, 12, 259. https://doi.org/10.3390/diseases12100259
Lucandri G, Fiori G, Genualdo F, Falbo F, Biancucci A, Pende V, Mazzocchi P, Farina M, Campagna D, Santoro E. Large Neuroendocrine Neoplasms of the Duodenum: Description of Two Rare Subtypes and Technical Details on Surgical Treatment. Diseases. 2024; 12(10):259. https://doi.org/10.3390/diseases12100259
Chicago/Turabian StyleLucandri, Giorgio, Giulia Fiori, Flaminia Genualdo, Francesco Falbo, Andrea Biancucci, Vito Pende, Paolo Mazzocchi, Massimo Farina, Domenico Campagna, and Emanuele Santoro. 2024. "Large Neuroendocrine Neoplasms of the Duodenum: Description of Two Rare Subtypes and Technical Details on Surgical Treatment" Diseases 12, no. 10: 259. https://doi.org/10.3390/diseases12100259
APA StyleLucandri, G., Fiori, G., Genualdo, F., Falbo, F., Biancucci, A., Pende, V., Mazzocchi, P., Farina, M., Campagna, D., & Santoro, E. (2024). Large Neuroendocrine Neoplasms of the Duodenum: Description of Two Rare Subtypes and Technical Details on Surgical Treatment. Diseases, 12(10), 259. https://doi.org/10.3390/diseases12100259

