A Semi-Unsupervised Segmentation Methodology Based on Texture Recognition for Radiomics: A Preliminary Study on Brain Tumours
Abstract
:1. Introduction
2. Description of the Methodology
3. Experimental Assessment
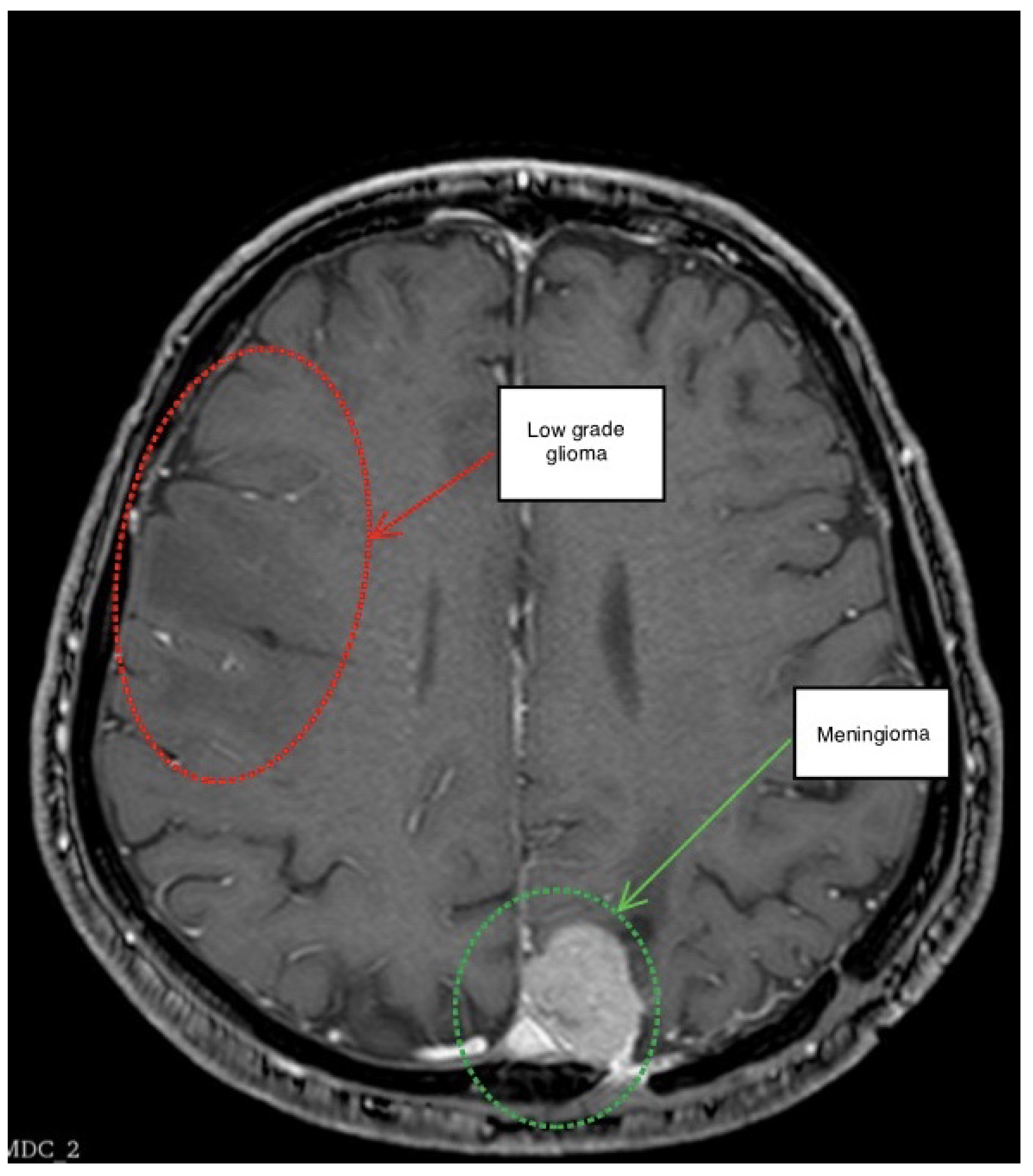
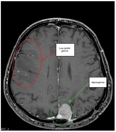
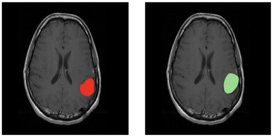
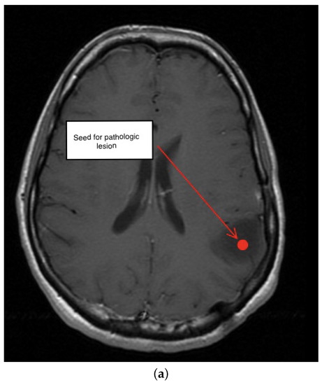
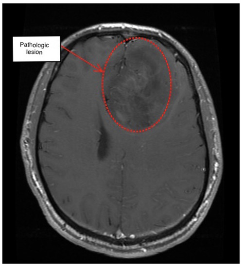
3.1. First Scenario
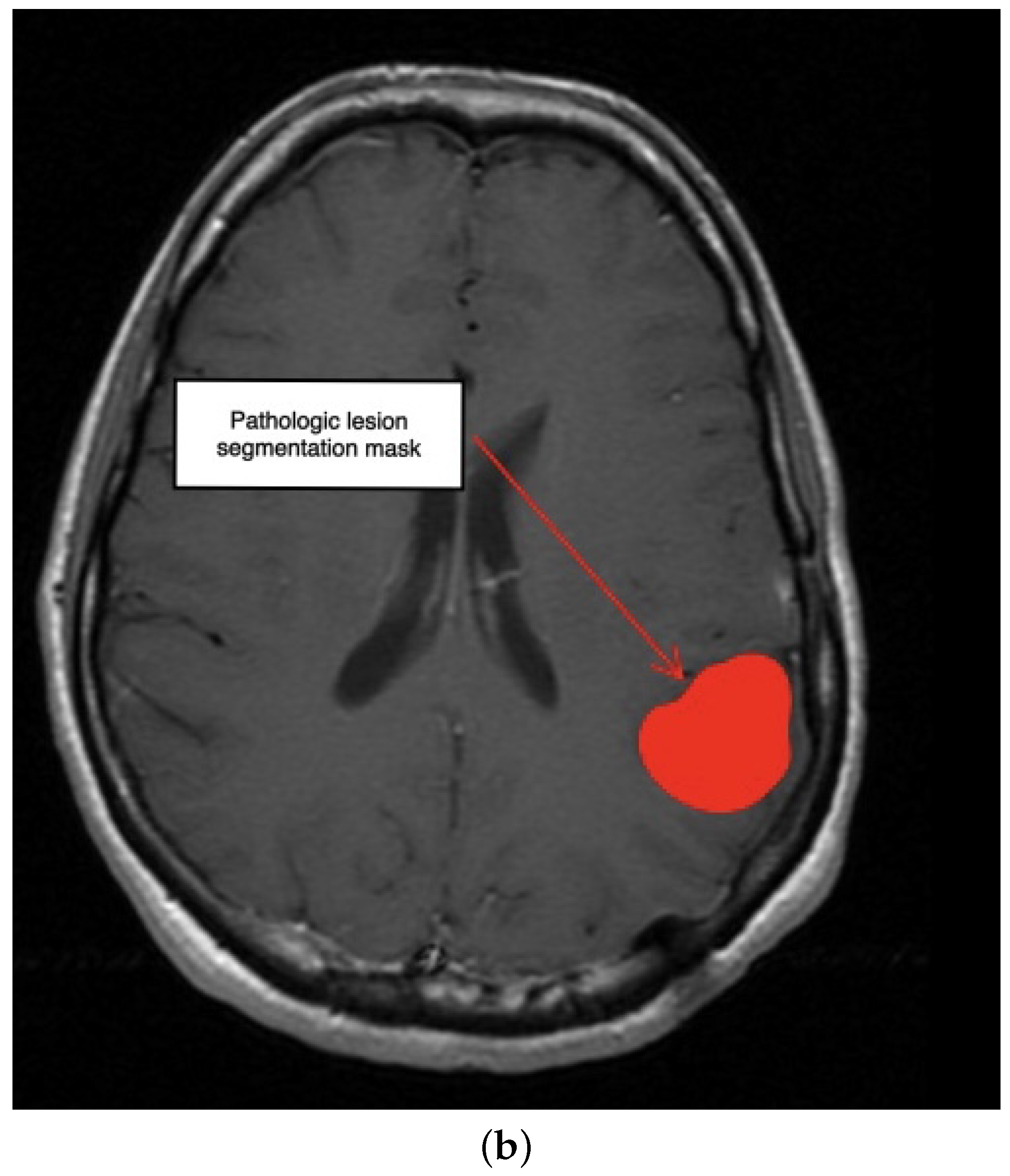
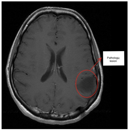
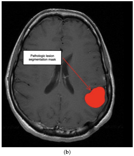
3.2. Second Scenario
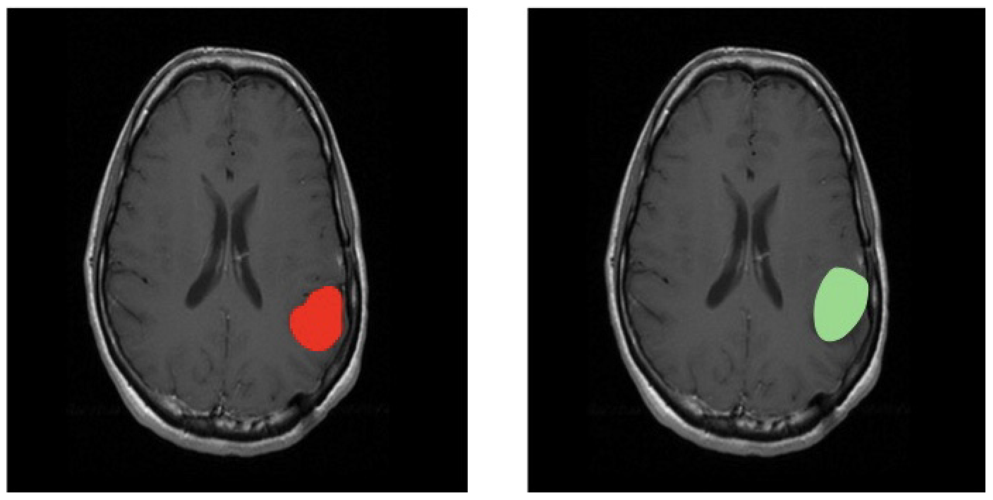
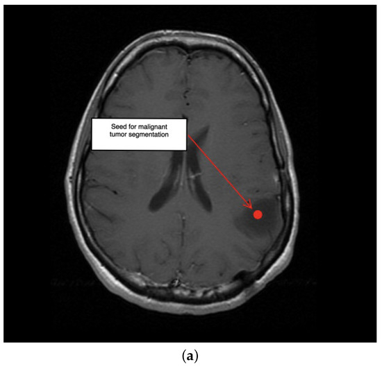
3.3. Third Scenario
4. Conclusions
Author Contributions
Funding
Institutional Review Board Statement
Informed Consent Statement
Data Availability Statement
Acknowledgments
Conflicts of Interest
References
- Rizzo, S.; Botta, F.; Raimondi, S.; Origgi, D.; Fanciullo, C.; Morganti, A.G.; Bellomi, M. Radiomics: The facts and the challenges of image analysis. Eur. Radiol. Exp. 2018, 2, 36. [Google Scholar] [CrossRef] [PubMed]
- Rosa, E.; de la Sima, D.M.; Vyvere, T.V.; Kirschke, J.S.; Menze, B. A Radiomics Approach to Traumatic Brain Injury Prediction in CT Scans. In Proceedings of the 2019 IEEE 16th International Symposium on Biomedical Imaging (ISBI 2019), Venice, Italy, 8–11 April 2019; pp. 732–735. [Google Scholar] [CrossRef] [Green Version]
- Upadhaya, T.; Vallieres, M.; Chatterjee, A.; Lucia, F.; Bonaffini, P.A.; Masson, I.; Mervoyer, A.; Reinhold, C.; Schick, U.; Seuntjens, J.; et al. Comparison of Radiomics Models Built Through Machine Learning in a Multicentric Context With Independent Testing: Identical Data, Similar Algorithms, Different Methodologies. IEEE Trans. Radiat. Plasma Med. Sci. 2019, 3, 192–200. [Google Scholar] [CrossRef]
- van Timmeren, J.E.; Cester, D.; Tanadini-Lang, S.; Alkadhi, H.; Baessler, B. Radiomics in medical imaging—“How-to” guide and critical reflection. Insights Imaging 2020, 11, 91. [Google Scholar] [CrossRef] [PubMed]
- dos Santos, D.P.; Dietzel, M.; Baessler, B. A decade of radiomics research: Are images really data or just patterns in the noise? Eur. Radiol. 2021, 31, 1–4. [Google Scholar] [CrossRef]
- Chung, A.G.; Khalvati, F.; Shafiee, M.J.; Haider, M.A.; Wong, A. Prostate Cancer Detection via a Quantitative Radiomics-Driven Conditional Random Field Framework. IEEE Access 2015, 3, 2531–2541. [Google Scholar] [CrossRef]
- Altazi, B.A.; Zhang, G.G.; Fernandez, D.C.; Montejo, M.E.; Hunt, D.; Werner, J.; Biagioli, M.C.; Moros, E.G. Reproducibility of F18-FDG PET radiomic features for different cervical tumor segmentation methods, gray-level discretization, and reconstruction algorithms. J. Appl. Clin. Med. Phys. 2017, 18, 32–48. [Google Scholar] [CrossRef]
- Cui, X.; Che, F.; Wang, N.; Liu, X.; Zhu, Y.; Zhao, Y.; Bi, J.; Li, Z.; Zhang, G. Preoperative Prediction of Infection Stones Using Radiomics Features From Computed Tomography. IEEE Access 2019, 7, 122675–122683. [Google Scholar] [CrossRef]
- Germanese, D.; Mercatelli, L.; Colantonio, S.; Miele, V.; Pascali, M.A.; Caudai, C.; Zoppetti, N.; Carpi, R.; Barucci, A.; Bertelli, E.; et al. Radiomics to Predict Prostate CancerAggressiveness: A Preliminary Study. In Proceedings of the 2019 IEEE 19th International Conference on Bioinformatics and Bioengineering (BIBE), Athens, Greece, 28–30 October 2019; pp. 972–976. [Google Scholar] [CrossRef]
- Cheng, J.; Liu, J.; Yue, H.; Bai, H.; Pan, Y.; Wang, J. Prediction of Glioma Grade using Intratumoral and Peritumoral Radiomic Features from Multiparametric MRI Images. IEEE/ACM Trans. Comput. Biol. Bioinform. 2020, 2020, 1084–1095. [Google Scholar] [CrossRef]
- Aonpong, P.; Iwamoto, Y.; Han, X.-H.; Lin, L.; Chen, Y.-W. Genotype-Guided Radiomics Signatures for Recurrence Prediction of Non-Small Cell Lung Cancer. IEEE Access 2021, 9, 90244–90254. [Google Scholar] [CrossRef]
- Barnathan, M.; Zhang, J.; Megalooikonomou, V. A web-accessible framework for the automated storage and texture analysis of biomedical images. In Proceedings of the 2008 5th IEEE International Symposium on Biomedical Imaging: From Nano to Macro, Paris, France, 14–17 May 2008; pp. 257–259. [Google Scholar] [CrossRef]
- Verduin, M.; Primakov, S.; Compter, I.; Woodruff, H.C.; van Kuijk, S.M.J.; Ramaekers, B.L.T.; te Dorsthorst, M.; Revenich, E.G.M.; ter Laan, M.; Pegge, S.A.H.; et al. Prognostic and Predictive Value of Integrated Qualitative and Quantitative Magnetic Resonance Imaging Analysis in Glioblastoma. Cancers 2021, 13, 722. [Google Scholar] [CrossRef]
- Chatterjee, A.; Vallieres, M.; Dohan, A.; Levesque, I.R.; Ueno, Y.; Saif, S.; Reinhold, C.; Seuntjens, J. Creating Robust Predictive Radiomic Models for Data From Independent Institutions Using Normalization. IEEE Trans. Radiat. Plasma Med. Sci. 2019, 3, 210–215. [Google Scholar] [CrossRef]
- Huang, B.; Lin, X.; Shen, J.; Chen, X.; Chen, J.; Li, Z.-P.; Wang, M.; Yuan, C.; Diao, X.-F.; Luo, Y.; et al. Accurate and Feasible Deep Learning Based Semi-Automatic Segmentation in CT for Radiomics Analysis in Pancreatic Neuroendocrine Neoplasms. IEEE J. Biomed. Health Inform. 2021, 25, 3498–3506. [Google Scholar] [CrossRef] [PubMed]
- Bologna, M.; Corino, V.; Mainardi, L. Technical Note: Virtual phantom analyses for preprocessing evaluation and detection of a robust feature set for MRI-radiomics of the brain. Med. Phys. 2019, 46, 5116–5123. [Google Scholar] [CrossRef] [PubMed] [Green Version]
- Ghouri, M.H.; Khan, K.B. Radiomic Features Extraction Based on Genetic Algorithm. In Proceedings of the 2020 IEEE 23rd International Multitopic Conference (INMIC), Bahawalpur, Pakistan, 5–7 November 2020; pp. 1–6. [Google Scholar] [CrossRef]
- Casale, R.; Lavrova, E.; Sanduleanu, S.; Woodruff, H.C.; Lambin, P. Development and external validation of a non-invasive molecular status predictor of chromosome 1p/19q co-deletion based on MRI radiomics analysis of Low Grade Glioma patients. Eur. J. Radiol. 2021, 139, 109678. [Google Scholar] [CrossRef] [PubMed]
- Wu, G.; Chen, Y.; Wang, Y.; Yu, J.; Lv, X.; Ju, X.; Shi, Z.; Chen, L.; Chen, Z. Sparse Representation-Based Radiomics for the Diagnosis of Brain Tumors. IEEE Trans. Med. Imaging 2018, 37, 893–905. [Google Scholar] [CrossRef]
- Wu, J.; Lian, C.; Ruan, S.; Mazur, T.R.; Mutic, S.; Anastasio, M.A.; Grigsby, P.W.; Vera, P.; Li, H. Treatment Outcome Prediction for Cancer Patients Based on Radiomics and Belief Function Theory. IEEE Trans. Radiat. Plasma Med. Sci. 2019, 3, 216–224. [Google Scholar] [CrossRef]
- Parekh, V.S.; Jacobs, M.A. Radiomic Synthesis Using Deep Convolutional Neural Networks. In Proceedings of the 2019 IEEE 16th International Symposium on Biomedical Imaging (ISBI 2019), Venice, Italy, 8–11 April 2019; pp. 1114–1117. [Google Scholar] [CrossRef] [Green Version]
- Peng, Z.; Wang, Y.; Wang, Y.; Jiang, S.; Fan, R.; Zhang, H.; Jiang, W. Application of radiomics and machine learning in head and neck cancers. Int. J. Biol. Sci. 2021, 17, 475–486. [Google Scholar] [CrossRef]
- Liu, H.; Li, H.; Habes, M.; Li, Y.; Boimel, P.; Janopaul-Naylor, J.; Xiao, Y.; Ben-Josef, E.; Fan, Y. Robust Collaborative Clustering of Subjects and Radiomic Features for Cancer Prognosis. IEEE Trans. Biomed. Eng. 2020, 67, 2735–2744. [Google Scholar] [CrossRef]
- Lee, S.H.; Kim, J.H.; Park, J.S.; Chang, J.M.; Park, S.J.; Jung, Y.S.; Tak, S.; Moon, W.K. Texture analysis of lesion perfusion volumes in dynamic contrast-enhanced breast MRI. In Proceedings of the 2008 5th IEEE International Symposium on Biomedical Imaging: From Nano to Macro, Paris, France, 14–17 May 2008; pp. 1545–1548. [Google Scholar] [CrossRef]
- Wu, J.; Ye, F.; Ma, J.; Sun, X.; Xu, J.; Cui, Z. The Segmentation and Visualization of Human Organs Based on Adaptive Region Growing Method. In Proceedings of the 2008 IEEE 8th International Conference on Computer and Information Technology Workshops, Sydney, NSW, Australia, 8–11 July 2008; pp. 439–443. [Google Scholar] [CrossRef]
- Li, X.; Xia, H.; Zhou, Z.; Tong, L. 3D texture analysis of hippocampus based on MR images in patients with alzheimer disease and mild cognitive impairment. In Proceedings of the 3rd International Conference on Biomedical Engineering and Informatics, Yantai, China, 16–18 October 2010; pp. 1–4. [Google Scholar] [CrossRef]
- Ghalati, M.K.; Nunes, A.; Ferreira, H.; Serranho, P.; Bernardes, R. Texture Analysis and its Applications in Biomedical Imaging: A Survey. IEEE Rev. Biomed. Eng. 2021, 2021, 222–246. [Google Scholar] [CrossRef]
- Chaddad, A.; Sargos, P.; Desrosiers, C. Modeling Texture in Deep 3D CNN for Survival Analysis. IEEE J. Biomed. Health Inform. 2021, 25, 2454–2462. [Google Scholar] [CrossRef]
- Mukherjee, S.; Osuna, E.; Girosi, F. Nonlinear prediction of chaotic time series using support vector machines. In Proceedings of the Neural Networks for Signal Processing VII—Proceedings of the 1997 IEEE Signal Processing Society Workshop, Amelia Island, FL, USA, 24–26 September 1997; pp. 511–520. [Google Scholar] [CrossRef]
- Tan, Y.; Wang, J. A support vector machine with a hybrid kernel and minimal Vapnik-Chervonenkis dimension. IEEE Trans. Knowl. Data Eng. 2004, 16, 385–395. [Google Scholar] [CrossRef]
- Donelli, M.; Benedetti, M.; Rocca, P.; Melgani, F.; Massa, A. Three dimensional electromagnetic sub-surface sensing by means of a multi-step SVM-based classification technique. IEEE Antennas Propag. Soc. Int. Symp. 2007, 2007, 1801–1804. [Google Scholar] [CrossRef] [Green Version]
- Rocca, P.; Viani, F.; Donelli, M.; Benedetti, M.; Massa, A. An integration between SVM classifiers and multi-resolution techniques for early breast cancer detection. In Proceedings of the 2008 IEEE Antennas and Propagation Society International Symposium, San Diego, CA, USA, 5–11 July 2008; pp. 1–4. [Google Scholar] [CrossRef] [Green Version]
- Viani, F.; Meaney, P.; Rocca, P.; Azaro, R.; Donelli, M.; Oliveri, G.; Massa, A. Numerical validation and experimental results of a multi-resolution SVM-based classification procedure for breast imaging. In Proceedings of the 2009 IEEE Antennas and Propagation Society International Symposium, North Charleston, SC, USA, 1–5 June 2009; pp. 1–4. [Google Scholar] [CrossRef] [Green Version]
- Saini, H.; Sahni, V. Region growing segmentation using de-noising algorithm for medical ultrasound images. In Proceedings of the 2017 3rd International Conference on Computational Intelligence & Communication Technology (CICT), Ghaziabad, India, 9–10 February 2017; pp. 1–5. [Google Scholar] [CrossRef]
- Fife, W.S.; Archibald, J.K. Improved Census Transforms for Resource-Optimized Stereo Vision. IEEE Trans. Circuits Syst. Video Technol. 2013, 23, 60–73. [Google Scholar] [CrossRef]
- Nguyen, V.D.; Nguyen, P.H.; Debnath, N.C. Local Binary Pattern and Census, Which One is Better in Stereo Matching. In Proceedings of the 2020 7th NAFOSTED Conference on Information and Computer Science (NICS), Ho Chi Minh City, Vietnam, 26–27 November 2020; pp. 244–249. [Google Scholar] [CrossRef]
- Louis, D.N.; Perry, A.; Reifenberger, G.; von Deimling, A.; Figarella-Branger, D.; Cavenee, W.K.; Ohgaki, H.; Wiestler, O.D.; Kleihues, P.; Ellison, D.W. The 2016 World Health Organization Classification of Tumors of the Central Nervous System: A summary. Acta Neuropathol. 2016, 131, 803–820. [Google Scholar] [CrossRef] [Green Version]

















| Slicer 3D | Scenario | Tissue Identification | Identified Area [cm3] |
|---|---|---|---|
| Patient 1 | NO | ||
| Patient 2 | NO | ||
| Patient 3 | NO | ||
| Proposed Method | |||
| Patient 1 | YES | ||
| Patient 2 | YES | ||
| Patient 3 | YES |
Publisher’s Note: MDPI stays neutral with regard to jurisdictional claims in published maps and institutional affiliations. |
© 2022 by the authors. Licensee MDPI, Basel, Switzerland. This article is an open access article distributed under the terms and conditions of the Creative Commons Attribution (CC BY) license (https://creativecommons.org/licenses/by/4.0/).
Share and Cite
Donelli, M.; Espa, G.; Feraco, P. A Semi-Unsupervised Segmentation Methodology Based on Texture Recognition for Radiomics: A Preliminary Study on Brain Tumours. Electronics 2022, 11, 1573. https://doi.org/10.3390/electronics11101573
Donelli M, Espa G, Feraco P. A Semi-Unsupervised Segmentation Methodology Based on Texture Recognition for Radiomics: A Preliminary Study on Brain Tumours. Electronics. 2022; 11(10):1573. https://doi.org/10.3390/electronics11101573
Chicago/Turabian StyleDonelli, Massimo, Giuseppe Espa, and Paola Feraco. 2022. "A Semi-Unsupervised Segmentation Methodology Based on Texture Recognition for Radiomics: A Preliminary Study on Brain Tumours" Electronics 11, no. 10: 1573. https://doi.org/10.3390/electronics11101573
APA StyleDonelli, M., Espa, G., & Feraco, P. (2022). A Semi-Unsupervised Segmentation Methodology Based on Texture Recognition for Radiomics: A Preliminary Study on Brain Tumours. Electronics, 11(10), 1573. https://doi.org/10.3390/electronics11101573

