Work-Related Hand Eczema in Healthcare Workers: Etiopathogenic Factors, Clinical Features, and Skin Care
Abstract
:1. Introduction
2. Key Features and Etiopathogenesis of Work-Related Hand Eczema
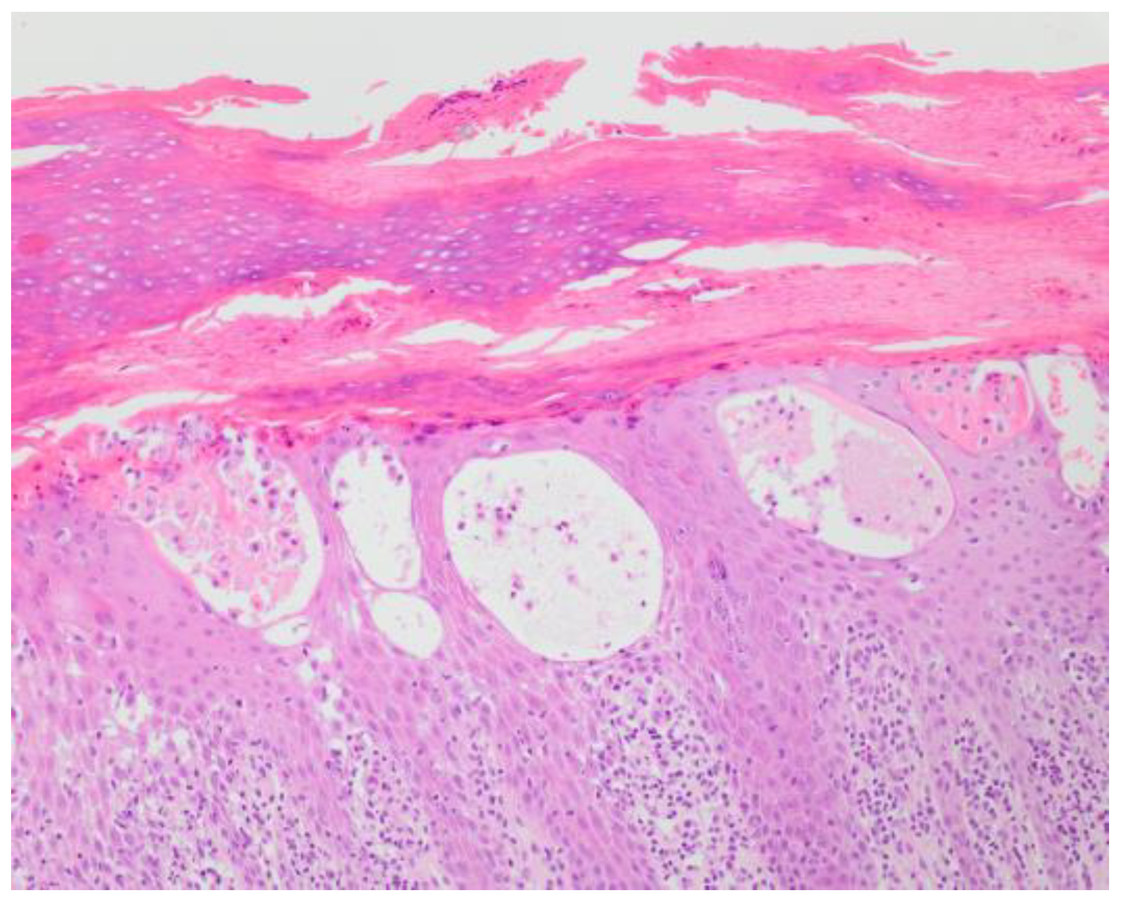
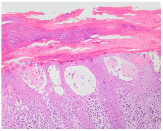
2.1. Irritant Contact Dermatitis
2.2. Allergic Contact Dermatitis
3. Clinical Expressions of Work-Related Eczema in Physicians, Dentists, and Other Healthcare Workers
4. Factors Associated with Eczema Occurrence in Physicians, Dentists, and Other Healthcare Workers
5. Allergens as Etiology Factors
6. Skin Care in Healthcare Professionals
7. Conclusions
Author Contributions
Funding
Institutional Review Board Statement
Informed Consent Statement
Data Availability Statement
Conflicts of Interest
References
- Sonsmann, F.; Beaumann, A.; Wilke, A.; John, S.M.; Sulfhorst, B. Occupational Skin Diseases in the Hairdressing Trade–Medical Reference Document. Available online: https://www.safehair.eu/en/trainer/facts-to-know/medical-reference-document/ (accessed on 26 June 2023).
- Novak-Bilić, G.; Vučić, M.; Japundžić, I.; Meštrović-Štefekov, J.; Stanić-Duktaj, S.; Lugović-Mihić, L. Irritant and allergic contact dermatitis-skin lesion characteristics. Acta Clin.Croat. 2018, 57, 713–720. [Google Scholar] [CrossRef] [PubMed]
- Przybilla, B.; Ruëff, F. Contact Dermatitis. In Braun-Falco’s Dermatology, 3rd ed.; Burgdorf, W.H., Plewig, G., Wolff, H.H., Landthaler, M., Eds.; Springer: Berlin/Heidelberg, Germany, 2009; pp. 377–401. [Google Scholar]
- Elias, P.M. Stratum Corneum Defensive Functions: An Integrated View. J. Investig. Dermatol. 2005, 125, 183–200. [Google Scholar] [CrossRef] [PubMed]
- Japundžić, I.; Novak-Hlebar, I.; Špiljak, B.; Kuna, M.; Yale, K.; Lugović-Mihić, L. Skin Features Important for the Occurrence of Contact Dermatitis in Healthcare Workers. Acta Clin.Croat. 2022, 61, 692–702. [Google Scholar] [CrossRef]
- Darlenski, R.; Sassning, S.; Tsankov, N.; Fluhr, J.W. Non-Invasive in Vivo Methods for Investigation of the Skin Barrier Physical Properties. Eur. J. Pharm. Biopharm. 2009, 72, 295–303. [Google Scholar] [CrossRef] [PubMed]
- Basketter, D.A.; Huggard, J.; Kimber, I. Fragrance inhalation and adverse health effects: The question of causation. Regul. Toxicol. Pharmacol. 2019, 104, 151–156. [Google Scholar] [CrossRef] [PubMed]
- Romita, P.; Foti, C.; Calogiuri, G.; Cantore, S.; Ballini, A.; Dipalma, G.; Inchingolo, F. Contact dermatitis due to transdermal therapeutic systems: A clinical update. Acta Biomed. 2018, 90, 5–10. [Google Scholar] [PubMed]
- Esser, P.R.; Mueller, S.; Martin, S.F. Plant Allergen-Induced Contact Dermatitis. Planta Med. 2019, 85, 528–534. [Google Scholar] [CrossRef]
- Anderson, L.E.; Treat, J.R.; Brod, B.A.; Yu, J. “Slime” contact dermatitis: Case report and review of relevant allergens. Pediatr. Dermatol. 2019, 36, 335–337. [Google Scholar] [CrossRef]
- Ibler, K.S.; Jemec, G.B.E.; Flyvholm, M.A.; Diepgen, T.L.; Jensen, A.; Agner, T. Hand Eczema: Prevalence and Risk Factors of Hand Eczema in a Population of 2274 Healthcare Workers. Contact Dermat. 2012, 67, 200–207. [Google Scholar] [CrossRef]
- Hamnerius, N.; Svedman, C.; Bergendorff, O.; Björk, J.; Bruze, M.; Pontén, A. Wet Work Exposure and Hand Eczema among Healthcare Workers: A Cross-Sectional Study. Br. J. Dermatol. 2018, 178, 452–461. [Google Scholar] [CrossRef]
- Skudlik, C.; Dulon, M.; Pohrt, U.; Appl, K.C.; John, S.M.; Nienhaus, A. Osnabrueck Hand Eczema Severity Index--a Study of the Interobserver Reliability of a Scoring System Assessing Skin Diseases of the Hands. Contact Dermat. 2006, 55, 42–47. [Google Scholar] [CrossRef] [PubMed]
- Quaade, A.S.; Simonsen, A.B.; Halling, A.S.; Thyssen, J.P.; Johansen, J.D. Prevalence, Incidence, and Severity of Hand Eczema in the General Population—A Systematic Review and Meta-Analysis. Contact Dermat. 2021, 84, 361–374. [Google Scholar] [CrossRef]
- Lund, T.; Flachs, E.M.; Sørensen, J.A.; Ebbehøj, N.E.; Bonde, J.P.; Agner, T. A job-exposure matrix addressing hand exposure to wet work. Int. Arch. Occup. Environ. Health 2019, 92, 959–966. [Google Scholar] [CrossRef] [PubMed]
- Larese Filon, F.; Pesce, M.; Paulo, M.S.; Loney, T.; Modenese, A.; John, S.M.; Kezic, S.; Macan, J. Incidence of Occupational Contact Dermatitis in Healthcare Workers: A Systematic Review. J. Eur. Acad. Dermatol. Venereol. JEADV 2021, 35, 1285–1289. [Google Scholar] [CrossRef] [PubMed]
- Henning, M.A.S.; Jemec, G.B.; Ibler, K.S. Occupational Skin Disease in Physicians: A Review of the Literature. Ann. Work. Expo. Health 2021, 65, 11–25. [Google Scholar] [CrossRef] [PubMed]
- Japundžić-Rapić, I.; Macan, J.; Babić, Ž.; Vodanović, M.; Salarić, I.; Prpić-Mehičić, G.; Gabrić, D.; Pondeljak, N.; Lugović-Mihić, L. Work-Related and Personal Predictors of Hand Eczema in Physicians and Dentists: Results from a Field Study. Dermatitis 2023. [Google Scholar] [CrossRef] [PubMed]
- Levin, C.; Maibach, H. Irritant contact dermatitis: Is there an immunological component? Int. Immunopharmacol. 2002, 2, 183–189. [Google Scholar] [CrossRef] [PubMed]
- Angelova-Fischer, I. Irritants and skin barrier function. Curr. Probl. Dermatol. 2016, 49, 80–89. [Google Scholar]
- Welss, T.; Basketter, D.A.; Schroder, K.R. In vitro skin irritation: Facts and future. State of the art review of mechanisms and models. Toxicol. Vitr. 2004, 18, 231–243. [Google Scholar] [CrossRef]
- Bains, S.; Nash, P.; Fonacier, L. Irritant contact dermatitis. Clin. Rev. Allergy Immunol. 2019, 56, 99–109. [Google Scholar] [CrossRef]
- Gittler, J.K.; Krueger, J.G.; Guttman-Yassky, E. Atopic dermatitis results in intrinsic barrier and immune abnormalities: Implications for contact dermatitis. J. Allergy Clin. Immunol. 2013, 131, 300–313. [Google Scholar] [CrossRef] [PubMed]
- Spiekstra, S.W.; Toebak, M.J.; Sampat-Sardjoepersad, S.; van Beek, P.J.; Boorsma, D.M.; Stoof, T.J.; von Blomberg, B.M.; Scheper, R.J.; Bruynzeel, D.P.; Rustemeyer, T.; et al. Induction of cytokine (interleukin-1alpha and tumor necrosis factor-alpha) and chemokine (CCL20, CCL27, and CXCL8) alarm signals after allergen and irritant exposure. Exp. Dermatol. 2005, 14, 109–116. [Google Scholar] [CrossRef]
- Feingold, K.; Schmuth, M.; Elias, P. The regulation of permeability barrier homeostasis. J. Investig. Dermatol. 2007, 127, 1547–1576. [Google Scholar] [CrossRef] [PubMed]
- Corsini, E.; Galli, C. Epidermal cytokines in experimental contact dermatitis. Toxicology 2000, 142, 203–211. [Google Scholar] [CrossRef]
- Lee, H.; Stieger, M.; Yawalkar, N.; Kakeda, M. Cytokines and chemokines in irritant contact dermatitis. Mediat. Inflamm. 2013, 2013, 916497. [Google Scholar] [CrossRef] [PubMed]
- Eberhand, Y.; Ortiz, S.; Ruiz, L.A.; Kuznitzky, R.; Serra, H. Up-regulation of the chemokine CCL21 in the skin of subjects exposed to irritants. BMC Immunol. 2004, 26, 7. [Google Scholar]
- Soler, D.; Humphreys, T.L.; Spinola, S.M.; Campbell, J.J. CCR4 versus CCR10 in human cutaneous TH lymphocyte trafficking. Blood 2003, 101, 1677–1682. [Google Scholar] [CrossRef] [PubMed]
- Ale, I.; Maibach, H. Irritant contact dermatitis. Rev. Environ. Health 2014, 29, 195–206. [Google Scholar] [CrossRef]
- Nakai, K.; Yoneda, K.; Kubota, Y. Oxidative stress in allergic and irritant dermatitis: From basic research to clinical management. Recent. Pat. Inflamm. Allergy Drug Discov. 2012, 6, 202–209. [Google Scholar] [CrossRef]
- Wagemaker, T.A.L.; Maia Campos, P.; Shimizu, K.; Kyotani, D.; Yoshida, D. Antioxidant-based topical formulations influence on the inflammatory response of Japanese skin: A clinical study using non-invasive techniques. Eur. J. Pharm. Biopharm. 2017, 117, 195–202. [Google Scholar] [CrossRef]
- Fuchs, J.; Zollner, T.M.; Kaufmann, R.; Podda, M. Redox-modulated pathways in inflammatory skin diseases. Free Radic. Biol. Med. 2001, 30, 337–353. [Google Scholar] [CrossRef]
- Kaur, S.; Eisen, M.; Zilmer, M.; Rehema, A.; Kullisaar, T.; Vihalemm, T.; Zilmer, K. Emollient cream and topical glucocorticoid treatment of chronic hand dermatitis: Influence on oxidative stress status of the skin. J. Dermatol. Sci. 2003, 33, 127–129. [Google Scholar] [CrossRef] [PubMed]
- Nixon, R.L.; Mowad, C.M.; Marks, J.G., Jr. Allergic Contact Dermatitis. In Dermatology, 4th ed.; Bolognia, J.L., Schaffer, J.V., Cerroni, L., Eds.; Elsevier: Amsterdam, The Netherlands, 2018; pp. 242–261. [Google Scholar]
- Aquino, M.; Rosner, G. Systemic Contact Dermatitis. Clin. Rev. Allergy Immunol. 2019, 56, 9–18. [Google Scholar] [CrossRef]
- Buse, A.S.; Wilke, A.; John, S.M.; Hansen, A. Illness Perceptions of Occupational Hand Eczema in German Patients Based on the Common-Sense Model of Self-Regulation: A Qualitative Study. PLoS ONE 2023, 18, e0285791. [Google Scholar] [CrossRef] [PubMed]
- Vocanson, M.; Hennino, A.; Rozières, A.; Poyet, G.; Nicolas, J.F. Effector and regulatory mechanisms in allergic contact dermatitis. Allergy 2009, 64, 1699–1714. [Google Scholar] [CrossRef] [PubMed]
- Bock, S.; Said, A.; Müller, G.; Schäfer-Korting, M.; Zoschke, C.; Weindl, G. Characterization of reconstructed human skin containing Langerhans cells to monitor molecular events in skin sensitization. Toxicol. Vitr. 2018, 46, 77–85. [Google Scholar] [CrossRef] [PubMed]
- Peiser, M.; Tralau, T.; Heidler, J.; Api, A.M.; Arts, J.H.; Basketter, D.A.; English, J.; Diepgen, T.L.; Fuhlbrigge, R.C.; Gaspari, A.A.; et al. Allergic contact dermatitis: Epidemiology, molecular mechanisms, in vitro methods and regulatory aspects. Current knowledge assembled at an international workshop at BfR, Germany. Cell Mol. Life Sci. 2012, 69, 763–781. [Google Scholar] [CrossRef]
- Silvestre, M.C.; Sato, M.N.; Reis, V.M.S.D. Innate immunity and effector and regulatory mechanisms involved in allergic contact dermatitis. An. Bras. Dermatol. 2018, 93, 242–250. [Google Scholar] [CrossRef]
- Thyssen, J.P.; Schuttelaar, M.L.A.; Alfonso, J.H.; Andersen, K.E.; Angelova-Fischer, I.; Arents, B.W.M.; Bauer, A.; Brans, R.; Cannavo, A.; Christoffers, W.A.; et al. Guidelines for Diagnosis, Prevention, and Treatment of Hand Eczema. Contact Dermat. 2022, 86, 357–378. [Google Scholar] [CrossRef]
- Dietz, J.B.; Menné, T.; Meyer, H.W.; Viskum, S.; Flyvholm, M.; Ahrensbøll-Friis, U.; John, S.M.; Johansen, J.D. Incidence Rates of Occupational Contact Dermatitis in Denmark between 2007 and 2018: A Population-based Study. Contact Dermat. 2021, 85, 421–428. [Google Scholar] [CrossRef]
- Snyder, M.; Turrentine, J.E.; Cruz, P.D. Photocontact Dermatitis and Its Clinical Mimics: An Overview for the Allergist. Clin. Rev. Allergy Immunol. 2019, 56, 32–40. [Google Scholar] [CrossRef]
- Lugović-Mihić, L.; Špiljak, B.; Blagec, T.; Delaš Aždajić, M.; Franceschi, N.; Gašić, A.; Parać, E. Factors Participating in the Occurrence of Inflammation of the Lips (Cheilitis) and Perioral Skin. Cosmetics 2023, 10, 9. [Google Scholar] [CrossRef]
- Yu, J.; Chen, J.K.; Mowad, C.M.; Reeder, M.; Hylwa, S.; Chisolm, S.; Dunnick, C.A.; Goldminz, A.M.; Jacob, S.E.; Wu, P.A.; et al. Occupational Dermatitis to Facial Personal Protective Equipment in Health Care Workers: A Systematic Review. J. Am. Acad. Dermatol. 2021, 84, 486–494. [Google Scholar] [CrossRef] [PubMed]
- Parać, E.; Špiljak, B.; Lugović-Mihić, L.; Bukvić Mokos, Z. Acne-like Eruptions: Disease Features and Differential Diagnosis. Cosmetics 2023, 10, 89. [Google Scholar] [CrossRef]
- Litchman, G.; Nair, P.A.; Atwater, A.R.; Bhutta, B.S. Contact Dermatitis. Available online: https://www.ncbi.nlm.nih.gov/books/NBK459230/ (accessed on 26 June 2023).
- Japundžić, I.; Vodanović, M.; Lugović-Mihić, L. An Analysis of Skin Prick Tests to Latex and Patch Tests to Rubber Additives and Other Causative Factors among Dental Professionals and Students with Contact Dermatoses. Int. Arch. Allergy Immunol. 2018, 177, 238–244. [Google Scholar] [CrossRef] [PubMed]
- Šakić, F.; Babić, Ž.; Franić, Z.; Macan, J. Characteristics of Hand Eczema in Final-Year Apprentice Nurses during the COVID-19 Pandemic. Contact Dermat. 2022, 86, 98–106. [Google Scholar] [CrossRef] [PubMed]
- Reinholz, M.; Kendziora, B.; Frey, S.; Oppel, E.M.; Rueff, F.; Clanner-Engelshofen, B.M.; Heppt, M.V.; French, L.E.; Wollenberg, A. Increased prevalence of irritant hand eczema in health care workers in a dermatological clinic due to increased hygiene measures during the SARS-CoV-2 pandemic. Eur. J. Dermatol. 2021, 31, 392–395. [Google Scholar] [CrossRef]
- Borch, L.; Thorsteinsson, K.; Warner, T.C.; Mikkelsen, C.S.; Bjerring, P.; Lundbye-Christensen, S.; Arvesen, K.; Hagstroem, S. COVID-19 reopening causes high risk of irritant contact dermatitis in children. Dan. Med. J. 2020, 67, A05200357. [Google Scholar]
- Cristaudo, A.; Pigliacelli, F.; Pacifico, A.; Damiani, G.; Iacovelli, P.; Morrone, A. Teledermatology and hygiene practices during the COVID-19 pandemic. Contact Dermat. 2020, 83, 536. [Google Scholar] [CrossRef]
- Çelik, V.; Ozkars, M.Y. An Overlooked Risk for Healthcare Workers Amid COVID-19: Occupational Hand Eczema. North. Clin. Istanb. 2020, 7, 527–533. [Google Scholar] [CrossRef]
- Bingham, L.J.; Tam, M.M.; Palmer, A.M.; Cahill, J.L.; Nixon, R.L. Contact allergy and allergic contact dermatitis caused by lavender: A retrospective study from an Australian clinic. Contact Dermat. 2019, 81, 37–42. [Google Scholar] [CrossRef] [PubMed]
- Kimyon, R.S.; Warshaw, E.M. Airborne Allergic Contact Dermatitis: Management and Responsible Allergens on the American Contact Dermatitis Society Core Series. Dermatitis 2019, 30, 106–115. [Google Scholar] [CrossRef] [PubMed]
- Zander, N.; Sommer, R.; Schäfer, I.; Reinert, R.; Kirsten, N.; Zyriax, B.C.; Maul, J.T.; Augustin, M. Epidemiology and dermatological comorbidity of seborrhoeic dermatitis: Population-based study in 161 269 employees. Br. J. Dermatol. 2019, 181, 743–748. [Google Scholar] [CrossRef] [PubMed]
- Beiu, C.; Mihai, M.; Popa, L.; Cima, L.; Popescu, M.N. Frequent Hand Washing for COVID-19 Prevention Can Cause Hand Dermatitis: Management Tips. Cureus 2020, 12, e7506. [Google Scholar] [CrossRef] [PubMed]
- Khosrowpour, Z.; Ahmad Nasrollahi, S.; Ayatollahi, A.; Samadi, A.; Firooz, A. Effects of Four Soaps on Skin Trans-epidermal Water Loss and Erythema Index. J. Cosmet. Dermatol. 2019, 18, 857–861. [Google Scholar] [CrossRef] [PubMed]
- Alfonso, J.H.; Bauer, A.; Bensefa-Colas, L.; Boman, A.; Bubas, M.; Constandt, L.; Crepy, M.N.; Goncalo, M.; Macan, J.; Mahler, V.; et al. Minimum Standards on Prevention, Diagnosis and Treatment of Occupational and Work-Related Skin Diseases in Europe-Position Paper of the COST Action StanDerm (TD 1206). J. Eur. Acad. Dermatol. Venereol. 2017, 31 (Suppl. S4), 31–43. [Google Scholar] [CrossRef] [PubMed]
- Rubins, A.; Romanova, A.; Septe, M.; Maddukuri, S.; Schwartz, R.A.; Rubins, S. Contact Dermatitis: Etiologies of the Allergic and Irritant Type. Acta Dermatovenerol. Alp. Pannonica Adriat. 2020, 29, 181–184. [Google Scholar] [CrossRef]
- Soltanipoor, M.; Kezic, S.; Sluiter, J.K.; de Wit, F.; Bosma, A.L.; van Asperen, R.; Rustemeyer, T. Effectiveness of a Skin Care Programme for the Prevention of Contact Dermatitis in Healthcare Workers (the Healthy Hands Project): A Single-centre, Cluster Randomized Controlled Trial. Contact Dermat. 2019, 80, 365–373. [Google Scholar] [CrossRef]
- Nedorost, S. A diagnostic checklist for generalized dermatitis. Clin. Cosmet. Investig. Dermatol. 2018, 11, 545–549. [Google Scholar] [CrossRef]
- Flyvholm, M.A.; Bach, B.; Rose, M.; Jepsen, K.F. Self-Reported Hand Eczema in a Hospital Population. Contact Dermat. 2007, 57, 110–115. [Google Scholar] [CrossRef]
- Mekonnen, T.H.; Yenealem, D.G.; Tolosa, B.M. Self-Report Occupational-Related Contact Dermatitis: Prevalence and Risk Factors among Healthcare Workers in Gondar Town, Northwest Ethiopia, 2018-a Cross-Sectional Study. Environ. Health Prev. Med. 2019, 24, 11. [Google Scholar] [CrossRef]
- Zare, A.; Choobineh, A.; Jahangiri, M.; Seif, M.; Dehghani, F. Does size affect the rate of perforation? A cross-sectional study of medical gloves. Ann. Work. Expo. Health 2021, 65, 854–861. [Google Scholar] [CrossRef] [PubMed]
- Dahlin, J.; Bergendorff, O.; Vindenes, H.K.; Hindsén, M.; Svedman, C. Triphenylguanidine, a New (Old?) Rubber Accelerator Detected in Surgical Gloves That May Cause Allergic Contact Dermatitis. Contact Dermat. 2014, 71, 242–246. [Google Scholar] [CrossRef] [PubMed]
- Geier, J.; Lessmann, H.; Mahler, V.; Pohrt, U.; Uter, W.; Schnuch, A. Occupational Contact Allergy Caused by Rubber Gloves--Nothing Has Changed. Contact Dermat. 2012, 67, 149–156. [Google Scholar] [CrossRef] [PubMed]
- Kersh, A.E.; Helms, S.; de la Feld, S. Glove-related allergic contact dermatitis. Dermatitis 2018, 29, 13–21. [Google Scholar] [CrossRef] [PubMed]
- Lee, S.W.; Cheong, S.H.; Byun, J.Y.; Choi, Y.W.; Choi, H.Y. Occupational Hand Eczema among Nursing Staffs in Korea: Self-Reported Hand Eczema and Contact Sensitization of Hospital Nursing Staffs. J. Dermatol. 2013, 40, 182–187. [Google Scholar] [CrossRef] [PubMed]
- Zarra, T.; Lambrianidis, T. Skin Reactions amongst Greek Endodontists: A National Questionnaire Survey. Int. Endod. J. 2015, 48, 390–398. [Google Scholar] [CrossRef]
- Meding, B.; Lidén, C.; Berglind, N. Self-Diagnosed Dermatitis in Adults. Results from a Population Survey in Stockholm. Contact Dermat. 2001, 45, 341–345. [Google Scholar] [CrossRef]
- Dalgard, F.; Svensson, A.; Holm, J.Ø.; Sundby, J. Self-Reported Skin Morbidity in Oslo. Associations with Sociodemographic Factors among Adults in a Cross-Sectional Study. Br. J. Dermatol. 2004, 151, 452–457. [Google Scholar] [CrossRef]
- Minamoto, K.; Watanabe, T.; Diepgen, T.L. Self-Reported Hand Eczema among Dental Workers in Japan—A Cross-Sectional Study. Contact Dermat. 2016, 75, 230–239. [Google Scholar] [CrossRef]
- Landeck, L.; Visser, M.; Skudlik, C.; Brans, R.; Kezic, S.; John, S.M. Clinical Course of Occupational Irritant Contact Dermatitis of the Hands in Relation to Filaggrin Genotype Status and Atopy. Br. J. Dermatol. 2012, 167, 1302–1309. [Google Scholar] [CrossRef] [PubMed]
- Mälkönen, T.; Alanko, K.; Jolanki, R.; Luukkonen, R.; Aalto-Korte, K.; Lauerma, A.; Susitaival, P. Long-Term Follow-up Study of Occupational Hand Eczema. Br. J. Dermatol. 2010, 163, 999–1006. [Google Scholar] [CrossRef] [PubMed]
- Cvetkovski, R.S.; Zachariae, R.; Jensen, H.; Olsen, J.; Johansen, J.D.; Agner, T. Prognosis of Occupational Hand Eczema: A Follow-up Study. Arch. Dermatol. 2006, 142, 305–311. [Google Scholar] [CrossRef] [PubMed]
- Malajian, D.; Belsito, D.V. Cutaneous Delayed-Type Hypersensitivity in Patients with Atopic Dermatitis. J. Am. Acad. Dermatol. 2013, 69, 232–237. [Google Scholar] [CrossRef] [PubMed]
- Thyssen, J.P.; McFadden, J.P.; Kimber, I. The Multiple Factors Affecting the Association between Atopic Dermatitis and Contact Sensitization. Allergy 2014, 69, 28–36. [Google Scholar] [CrossRef] [PubMed]
- Hamann, C.R.; Hamann, D.; Egeberg, A.; Johansen, J.D.; Silverberg, J.; Thyssen, J.P. Association between Atopic Dermatitis and Contact Sensitization: A Systematic Review and Meta-Analysis. J. Am. Acad. Dermatol. 2017, 77, 70–78. [Google Scholar] [CrossRef] [PubMed]
- Vanessa, V.V.; Wan Ahmad Kammal, W.S.L.; Lai, Z.W.; How, K.N. A Review of Moisturizing Additives for Atopic Dermatitis. Cosmetics 2022, 9, 75. [Google Scholar] [CrossRef]
- Shane, H.L.; Long, C.M.; Anderson, S.E. Novel cutaneous mediators of chemical allergy. J. Immunotoxicol. 2019, 16, 13–27. [Google Scholar] [CrossRef]
- Martins, M.S.; Ferreira, M.S.; Almeida, I.F.; Sousa, E. Occurrence of Allergens in Cosmetics for Sensitive Skin. Cosmetics 2022, 9, 32. [Google Scholar] [CrossRef]
- Alluhayyan, O.B.; Alshahri, B.K.; Farhat, A.M.; Alsugair, S.; Siddiqui, J.J.; Alghabawy, K.; AlQefari, G.B.; Alolayan, W.O.; Abu Hashem, I.A. Occupational-Related Contact Dermatitis: Prevalence and Risk Factors Among Healthcare Workers in the Al’Qassim Region, Saudi Arabia During the COVID-19 Pandemic. Cureus 2020, 12, e10975. [Google Scholar] [CrossRef]
- Huang, C.; Greig, D.; Cheng, H. Allergic Contact Dermatitis in Healthcare Workers. Occup. Med. 2021, 71, 294–297. [Google Scholar] [CrossRef] [PubMed]
- Kocak, O.; Gul, U. Patch Test Results of the Dental Personnel with Contact Dermatitis. Cutan. Ocul. Toxicol. 2014, 33, 299–302. [Google Scholar] [CrossRef] [PubMed]
- Symanzik, C.; Weinert, P.; Babić, Ž.; Hallmann, S.; Havmose, M.S.; Johansen, J.D.; Kezic, S.; Macan, M.; Macan, J.; Strahwald, J.; et al. Allergic Contact Dermatitis Caused by 2-Hydroxyethyl Methacrylate and Ethyl Cyanoacrylate Contained in Cosmetic Glues among Hairdressers and Beauticians Who Perform Nail Treatments and Eyelash Extension as Well as Hair Extension Applications: A Systematic Review. Contact Dermat. 2022, 86, 480–492. [Google Scholar]
- Schnuch, A.; Uter, W.; Geier, J.; Frosch, P.J.; Rustemeyer, T. Contact Allergies in Healthcare Workers. Results from the IVDK. Acta Derm. Venereol. 1998, 78, 358–363. [Google Scholar] [CrossRef] [PubMed]
- The National Institute for Occupational Safety and Health (NIOSH). Hierachy of Controls. Available online: https://www.cdc.gov/niosh/topics/hierarchy/ (accessed on 26 June 2023).
- Garrigoua, A.; Laurent, C.; Berthet, A.; Colosiod, C.; Jase, N.; Daubas-Letourneux, V.; JacksonFilhog, J.M.; Jouzelh, J.-N.; Samuel, O.; Baldia, I.; et al. Critical review of the role of PPE in the prevention of risks related to agricultural pesticide use. Saf. Sci. 2020, 123, 104527. [Google Scholar] [CrossRef]
- Loi, A.S.T.; Aribou, Z.M.; Fong, Y.T. Improving Recovery of Irritant Hand Dermatitis in Healthcare Workers with Workplace Interventions During the COVID-19 Pandemic. Front. Public Health 2022, 10, 844269. [Google Scholar] [CrossRef] [PubMed]
- Lu, C.H.; Fang, M.C.; Chen, Y.Z.; Huang, S.C.; Wang, D.Y. Quantitative analysis of fragrance allergens in various matrices of cosmetics by liquid-liquid extraction and GC-MS. J. Food Drug Anal. 2021, 29, 700–708. [Google Scholar] [CrossRef]
- Zirwas, M.J. Contact Dermatitis to Cosmetics. Clin. Rev. Allergy Immunol. 2019, 56, 119–128. [Google Scholar] [CrossRef]
- Zawawi, S.; Yang, Y.W.; Cantwell, H.M.; Drage, L.A.; Youssef, M.J.; Yiannias, J.A.; Davis, M.D.P.; Hall, M.R. Trends in Patch Testing with the Mayo Clinic Standard Series, 2017–2021. Dermatitis 2023. [Google Scholar] [CrossRef]
- Schubert, S.; Geier, J.; Brans, R.; Heratizadeh, A.; Kränke, B.; Schnuch, A.; Bauer, A.; Dickel, H.; Buhl, T.; Vieluf, D.; et al. Patch testing hydroperoxides of limonene and linalool in consecutive patients—Results of the IVDK 2018–2020. Contact Dermat. 2023, 89, 85–94. [Google Scholar] [CrossRef]
- Symanzik, C.; Skudlik, C.; John, S.M. Acceptance of skin products in healthcare workers: An empirical investigation. Occup. Med. 2023, 73, 29–32. [Google Scholar] [CrossRef] [PubMed]
- Hui-Beckman, J.; Leung, D.Y.M.; Goleva, E. Hand hygiene impact on the skin barrier in health care workers and individuals with atopic dermatitis. Ann. Allergy Asthma Immunol. 2022, 128, 108–110. [Google Scholar] [CrossRef]
- Abtahi-Naeini, B. Frequent handwashing amidst the COVID-19 outbreak: Prevention of hand irritant contact dermatitis and other considerations. Health Sci. Rep. 2020, 3, e163. [Google Scholar] [CrossRef]
- Rundle, C.W.; Presley, C.L.; Militello, M.; Barber, C.; Powell, D.L.; Jacob, S.E.; Atwater, A.R.; Watsky, K.L.; Yu, J.; Dunnick, C.A. Hand hygiene during COVID-19: Recommendations from the American Contact Dermatitis Society. J. Am. Acad. Dermatol. 2020, 83, 1730–1737. [Google Scholar] [CrossRef]
- Mostosi, C.; Simonart, T. Effectiveness of barrier creams against irritant contact dermatitis. Dermatology 2016, 232, 353–362. [Google Scholar] [CrossRef] [PubMed]
- Bauer, A.; Rönsch, H.; Elsner, P.; Dittmar, D.; Bennett, C.; Schuttelaar, M.L.A.; Lukács, J.; John, S.M.; Williams, H.C. Interventions for preventing occupational irritant hand dermatitis. Cochrane Database Syst. Rev. 2018, 4, CD004414. [Google Scholar] [CrossRef] [PubMed]
- Azizi, N.; Maibach, H.I. Are topical corticoids efficacious in acute irritant dermatitis: The evidence. Dermatitis 2020, 31, 244–246. [Google Scholar] [CrossRef] [PubMed]
- Antonov, D.; Schliemann, S.; Elsner, P. Contact dermatitis due to Irritation. In Kanerva’s Occupational Dermatology, 3rd ed.; John, S.M., Johansen, J.D., Rustemeyer, T., Elsner, P., Maibach, H.I., Eds.; Springer Nature: Basel, Switzerland, 2020; pp. 119–137. [Google Scholar]
- Elsner, P.; Agner, T. Hand eczema: A ‘neglected’ disease. J. Eur. Acad. Dermatol. Venereol. 2020, 34 (Suppl. S1), 3. [Google Scholar] [CrossRef]
- Asgari, M.M.; Tsai, A.L.; Avalos, L.; Sokil, M.; Quesenberry, C.P., Jr. Association between topical calcineurin inhibitor use and keratinocyte carcinoma risk among adults with atopic dermatitis. JAMA Dermatol. 2020, 156, 1066–1073. [Google Scholar] [CrossRef]
- Lam, M.; Zhu, J.W.; Tadrous, M.; Drucker, A.M. Association between topical calcineurin inhibitor use and risk of cancer, including lymphoma, keratinocyte carcinoma, and melanoma: A systematic review and meta-analysis. JAMA Dermatol. 2021, 157, 549–558. [Google Scholar] [CrossRef]
- Ferrucci, S.; Persichini, P.; Gola, M.; Scandagli, I.; Pigatto, P.; Legori, A.; Musumeci, M.L.; Micali, G.; D’Agata, E.; Schena, D.; et al. DECISA Project (DErmatology Clinics in Italy: Survey on Alitretinoin): A real-life retrospective cohort multicenter study on 438 subjects with chronic hand eczema. Dermatol. Ther. 2021, 34, e14911. [Google Scholar] [CrossRef]
- Zhu, G.A.; Honari, G.; Ko, J.M.; Chiou, A.S.; Chen, J.K. Dupilumab for occupational irritant hand dermatitis in a non-atopic individual: A case report. JAAD Case Rep. 2020, 6, 296–298. [Google Scholar] [CrossRef]
- Loman, L.; Diercks, G.F.H.; Schuttelaar, M.L.A. Three cases of non-atopic hyperkeratotic hand eczema treated with dupilumab. Contact Dermat. 2021, 84, 124–127. [Google Scholar] [CrossRef]
- Bonnekoh, H.; Vera, C.; Abad-Perez, A.; Radetzki, S.; Neuenschwander, M.; Specker, E.; Mahnke, N.A.; Frischbutter, S.; Latz, E.; Nazaré, M.; et al. Topical inflammasome inhibition with disulfiram prevents irritant contact dermatitis. Clin. Transl. Allergy 2021, 11, e12045. [Google Scholar] [CrossRef]



Disclaimer/Publisher’s Note: The statements, opinions and data contained in all publications are solely those of the individual author(s) and contributor(s) and not of MDPI and/or the editor(s). MDPI and/or the editor(s) disclaim responsibility for any injury to people or property resulting from any ideas, methods, instructions or products referred to in the content. |
© 2023 by the authors. Licensee MDPI, Basel, Switzerland. This article is an open access article distributed under the terms and conditions of the Creative Commons Attribution (CC BY) license (https://creativecommons.org/licenses/by/4.0/).
Share and Cite
Japundžić, I.; Bembić, M.; Špiljak, B.; Parać, E.; Macan, J.; Lugović-Mihić, L. Work-Related Hand Eczema in Healthcare Workers: Etiopathogenic Factors, Clinical Features, and Skin Care. Cosmetics 2023, 10, 134. https://doi.org/10.3390/cosmetics10050134
Japundžić I, Bembić M, Špiljak B, Parać E, Macan J, Lugović-Mihić L. Work-Related Hand Eczema in Healthcare Workers: Etiopathogenic Factors, Clinical Features, and Skin Care. Cosmetics. 2023; 10(5):134. https://doi.org/10.3390/cosmetics10050134
Chicago/Turabian StyleJapundžić, Iva, Massimo Bembić, Bruno Špiljak, Ena Parać, Jelena Macan, and Liborija Lugović-Mihić. 2023. "Work-Related Hand Eczema in Healthcare Workers: Etiopathogenic Factors, Clinical Features, and Skin Care" Cosmetics 10, no. 5: 134. https://doi.org/10.3390/cosmetics10050134
APA StyleJapundžić, I., Bembić, M., Špiljak, B., Parać, E., Macan, J., & Lugović-Mihić, L. (2023). Work-Related Hand Eczema in Healthcare Workers: Etiopathogenic Factors, Clinical Features, and Skin Care. Cosmetics, 10(5), 134. https://doi.org/10.3390/cosmetics10050134

