The Sex-Dependent Ameliorative Effect of Intermittent Fasting on Urinary System Functions in Genetic Absence Epileptic Rats †
Simple Summary
Abstract
1. Introduction
2. Materials and Method
Animals
3. Evaluation of Contraction–Relaxation Responses in Bladder Tissue
3.1. In Vitro Organ Bath
3.2. Biochemical Analyses
3.3. MDA Assay
3.4. GSH Assay
3.5. SOD Assay
3.6. Histological Assessments
3.7. Statistical Analyses
4. Results
4.1. Physiological Results
4.2. Biochemical Results
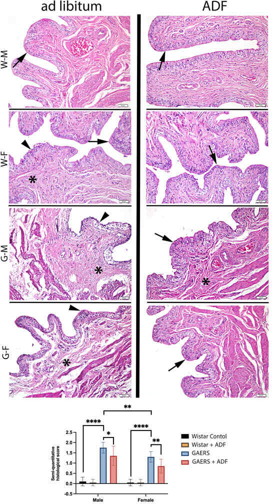
4.3. Histological Results
5. Discussion
6. Conclusions
Supplementary Materials
Author Contributions
Funding
Institutional Review Board Statement
Informed Consent Statement
Data Availability Statement
Acknowledgments
Conflicts of Interest
References
- Duncan, J.S.; Sander, J.W.; Sisodiya, S.M.; Walker, M.C. Adult epilepsy. Lancet 2006, 367, 1087–1100. [Google Scholar] [CrossRef] [PubMed]
- Unterberger, I.; Trinka, E.; Kaplan, P.W.; Walser, G.; Luef, G.; Bauer, G. Generalized nonmotor (absence) seizures-What do absence, generalized, and nonmotor mean? Epilepsia 2018, 59, 523–529. [Google Scholar] [CrossRef] [PubMed]
- Matricardi, S.; Verrotti, A.; Chiarelli, F.; Cerminara, C.; Curatolo, P. Current advances in childhood absence epilepsy. Pediatr. Neurol. 2014, 50, 205–212. [Google Scholar] [CrossRef] [PubMed]
- Pracucci, E.; Pillai, V.; Lamers, D.; Parra, R.; Landi, S. Neuroinflammation: A Signature or a Cause of Epilepsy? Int. J. Mol. Sci. 2021, 22, 6981. [Google Scholar] [CrossRef]
- Jang, H.J.; Kwon, M.J.; Cho, K.O. Central Regulation of Micturition and Its Association with Epilepsy. Int Neurourol. J. 2018, 22, 2–8. [Google Scholar] [CrossRef] [PubMed]
- Huang, X.; Lan, Z.; Hu, Z. Role and mechanisms of mast cells in brain disorders. Front. Immunol. 2024, 15, 1445867. [Google Scholar] [CrossRef]
- Tish, M.M.; Geerling, J.C. The Brain and the Bladder: Forebrain Control of Urinary (In)Continence. Front. Physiol. 2020, 11, 658. [Google Scholar] [CrossRef] [PubMed]
- Motamedi, M.; Nikoobakht, M.R.; Aloosh, M.; Nasrabady, S.E.; Afshin, A.; Orandi, A.; Khatibi, F.T. Peri-ictal urinary dysfunction in patients with epilepsy: A cross-sectional study. Urol. J. 2011, 8, 222–226. [Google Scholar] [PubMed]
- Gurbanova, A.A.; Aker, R.G.; Sirvanci, S.; Demiralp, T.; Onat, F.Y. Intra-amygdaloid injection of kainic acid in rats with genetic absence epilepsy: The relationship of typical absence epilepsy and temporal lobe epilepsy. J. Neurosci. 2008, 28, 7828–7836. [Google Scholar] [CrossRef] [PubMed]
- Sitnikova, E. Behavioral and Cognitive Comorbidities in Genetic Rat Models of Absence Epilepsy (Focusing on GAERS and WAG/Rij Rats). Biomedicines 2024, 12, 122. [Google Scholar] [CrossRef] [PubMed]
- Sarkisova, K.; van Luijtelaar, G. The WAG/Rij strain: A genetic animal model of absence epilepsy with comorbidity of depression. Prog. Neuro-Psychopharmacol. Biol. Psychiatry 2011, 35, 854–876. [Google Scholar] [CrossRef] [PubMed]
- Varady, K.A.; Cienfuegos, S.; Ezpeleta, M.; Gabel, K. Clinical application of intermittent fasting for weight loss: Progress and future directions. Nat. Rev. Endocrinol. 2022, 18, 309–321. [Google Scholar] [CrossRef]
- Fann, D.Y.; Ng, G.Y.; Poh, L.; Arumugam, T.V. Positive effects of intermittent fasting in ischemic stroke. Exp. Gerontol. 2017, 89, 93–102. [Google Scholar] [CrossRef] [PubMed]
- Alkurd, R.; Mahrous, L.; Zeb, F.; Khan, M.A.; Alhaj, H.; Khraiwesh, H.M.; Faris, M. EEffect of Calorie Restriction and Intermittent Fasting Regimens on Brain-Derived Neurotrophic Factor Levels and Cognitive Function in Humans: A Systematic Review. Medicina 2024, 60, 191. [Google Scholar] [CrossRef] [PubMed]
- Fontana, L.; Ghezzi, L.; Cross, A.H.; Piccio, L. Effects of dietary restriction on neuroinflammation in neurodegenerative diseases. J. Exp. Med. 2021, 218, e20190086. [Google Scholar] [CrossRef] [PubMed]
- Hassan, H.M.; El-Gamal, R.; Hamed, W.H.; Habotta, O.A.; Samy, M.; Elmowafy, R.; ElNashar, E.M.; Alghamdi, M.A.; Aldahhan, R.A.; Al-Khater, K.M.; et al. Potential role for vitamin D vs. intermittent fasting in controlling aquaporin-1 and aquaporin-3 expression in HFD-induced urinary bladder alterations in rats. Front. Mol. Biosci. 2023, 10, 1306523. [Google Scholar] [CrossRef] [PubMed]
- Nattagh-Eshtivani, E.; Gheflati, A.; Barghchi, H.; Rahbarinejad, P.; Hachem, K.; Shalaby, M.N.; Abdelbasset, W.K.; Ranjbar, G.; Bokov, D.O.; Rahimi, P.; et al. The role of Pycnogenol in the control of inflammation and oxidative stress in chronic diseases: Molecular aspects. Phytother. Res. 2022, 36, 2352–2374. [Google Scholar] [CrossRef] [PubMed]
- Özdemir-Kumral, Z.N.; Koyuncuoğlu, T.; Arabacı-Tamer, S.; Çilingir-Kaya, Ö.T.; Köroğlu, A.K.; Yüksel, M.; Yeğen, B.Ç. High-fat Diet Enhances Gastric Contractility, but Abolishes Nesfatin-1-induced Inhibition of Gastric Emptying. J. Neurogastroenterol. Motil. 2021, 27, 265–278. [Google Scholar] [CrossRef] [PubMed]
- Gudden, J.; Vasquez, A.A.; Bloemendaal, M. The Effects of Intermittent Fasting on Brain and Cognitive Function. Nutrients 2021, 13, 3166. [Google Scholar] [CrossRef] [PubMed]
- Kacimi, S.; Ref’at, A.; Fararjeh, M.A.; Bustanji, Y.K.; Mohammad, M.K.; Salem, M.L. Intermittent fasting during Ramadan attenuates proinflammatory cytokines and immune cells in healthy subjects. Nutr. Res. 2012, 32, 947–955. [Google Scholar] [CrossRef]
- El-Tahawy, N.F.G.; Rifaai, R.A. Intermittent Fasting Protects Against Age-Induced Rat Benign Prostatic Hyperplasia via Preservation of Prostatic Histomorphology, Modification of Oxidative Stress, and Beclin-1/P62 Pathway. Microsc. Microanal. 2023, 29, 1267–1276. [Google Scholar] [CrossRef] [PubMed]
- Ekiz, A.; Özdemir-Kumral, Z.N.; Erşahin, M.; Tuğtepe, H.; Öğünç, A.V.; Akakın, D.; Kıran, D.; Özsavcı, D.; Biber, N.; Hakan, T.; et al. Functional and structural changes of the urinary bladder following spinal cord injury; treatment with alpha lipoic acid. Neurourol. Urodyn. 2017, 36, 1061–1068. [Google Scholar] [CrossRef]
- Buege, J.A.; Aust, S.D. Microsomal lipid peroxidation. Methods Enzymol. 1978, 52, 302–310. [Google Scholar] [CrossRef] [PubMed]
- Awasthi, Y.C.; Beutler, E.; Srivastava, S.K. Purification and properties of human erythrocyte glutathione peroxidase. J. Biol. Chem. 1975, 250, 5144–5149. [Google Scholar] [CrossRef] [PubMed]
- Mylroie, A.A.; Collins, H.; Umbles, C.; Kyle, J. Erythrocyte superoxide dismutase activity and other parameters of copper status in rats ingesting lead acetate. Toxicol. Appl. Pharmacol. 1986, 82, 512–520. [Google Scholar] [CrossRef] [PubMed]
- Keleş, R.; Şen, A.; Ertaş, B.; Kayali, D.; Eker, P.; Şener, T.E.; Doğan, A.; Çetinel, S.; Şener, G. The effects of Urtica dioica L. ethanolic extract against urinary calculi in rats. Marmara Pharm. J. 2020, 24, 205–217. [Google Scholar] [CrossRef]
- Tinay, I.; Sener, T.E.; Cevik, O.; Cadirci, S.; Toklu, H.; Cetinel, S.; Sener, G.; Tarcan, T. Antioxidant Agent Quercetin Prevents Impairment of Bladder Tissue Contractility and Apoptosis in a Rat Model of Ischemia/Reperfusion Injury. Low. Urin. Tract Symptoms 2017, 9, 117–123. [Google Scholar] [CrossRef] [PubMed]
- Depaulis, A.; David, O.; Charpier, S. The genetic absence epilepsy rat from Strasbourg as a model to decipher the neuronal and network mechanisms of generalized idiopathic epilepsies. J. Neurosci. Methods 2016, 260, 159–174. [Google Scholar] [CrossRef]
- Depaulis, A.; Charpier, S. Pathophysiology of absence epilepsy: Insights from genetic models. Neurosci. Lett. 2018, 667, 53–65. [Google Scholar] [CrossRef] [PubMed]
- Oliva, M.; Pattison, C.; Carino, J.; Roten, A.; Matkovic, Z.; O’Brien, T.J. The diagnostic value of oral lacerations and incontinence during convulsive seizures. Epilepsia 2008, 49, 962–967. [Google Scholar] [CrossRef]
- Terrone, G.; Salamone, A.; Vezzani, A. Inflammation and Epilepsy: Preclinical Findings and Potential Clinical Translation. Pharm. Des. 2017, 23, 5569–5576. [Google Scholar] [CrossRef]
- Tanzer, T.; Warren, N.; McMahon, L.; Barras, M.; Kisely, S.; Brooks, E.; Wong, E.; Siskind, D. Treatment strategies for clozapine-induced nocturnal enuresis and urinary incontinence: A systematic review. CNS Spectr. 2022, 28, 133–144. [Google Scholar] [CrossRef] [PubMed]
- Fan, W.J.; Chen, S.C.; Hsieh, T.H.; Lai, C.H.; Lin, Y.S.; Peng, C.W.; Kou, Y.R. Influence of serotonergic mechanisms on the urine flow rate in male rats. Am. J. Physiol. Regul. Integr. Comp. Physiol. 2014, 307, R1239–R1250. [Google Scholar] [CrossRef] [PubMed]
- Lensen, J.F.M.; Hyttilä-Hopponen, M.; Karlsson, S.; Kuosmanen, T.; Lehtimäki, J.; Leino, T. Characterization of Urothelial Inclusions in Male Wistar Han Rats Treated Orally with the Novel α2A-Adrenoceptor Agonist Tasipimidine. Toxicol. Pathol. 2021, 49, 1232–1242. [Google Scholar] [CrossRef]
- He, Q.; Wu, L.; Deng, C.; He, J.; Wen, J.; Wei, C.; You, Z. Diabetes mellitus, systemic inflammation and overactive bladder. Front. Endocrinol. 2024, 15, 1386639. [Google Scholar] [CrossRef]
- Menon, B.; Ramalingam, K.; Kumar, R.V. Oxidative stress in patients with epilepsy is independent of antiepileptic drugs. Seizure 2012, 21, 780–784. [Google Scholar] [CrossRef]
- Yilgor, A.; Demir, C. Determination of oxidative stress level and some antioxidant activities in refractory epilepsy patients. Sci. Rep. 2024, 14, 6688. [Google Scholar] [CrossRef]
- Hamed, S.A. The effect of antiepileptic drugs on the kidney function and structure. Expert. Rev. Clin. Pharmacol. 2017, 10, 993–1006. [Google Scholar] [CrossRef]
- Mo'ez Al-Islam, E.F.; Jahrami, H.A.; Obaideen, A.A.; Madkour, M.I. Impact of diurnal intermittent fasting during Ramadan on inflammatory and oxidative stress markers in healthy people: Systematic review and meta-analysis. J. Nutr. Intermed. Metab. 2019, 15, 18–26. [Google Scholar] [CrossRef]
- Al Zunaidy, N.A.; Al-Khalifa, A.S.; Alhussain, M.H.; Althwab, S.A.; Mohammed, M.A.; Faris, M.E. The effect of Ramadan intermittent fasting on anthropometric, hormonal, metabolic, inflammatory, and oxidative stress markers in pre-and post-menopausal women: A prospective cohort of Saudi women. Front. Nutr. 2024, 11, 1437169. [Google Scholar] [CrossRef]
- De Toda, I.M.; González-Sánchez, M.; Cerro, E.D.-D.; Valera, G.; Carracedo, J.; Guerra-Pérez, N. Sex differences in markers of oxidation and inflammation. Implications for ageing. Mech. Ageing Dev. 2023, 211, 111797. [Google Scholar] [CrossRef] [PubMed]
- Valdivielso, J.M.; Jacobs-Cachá, C.; Soler, M.J. Sex hormones and their influence on chronic kidney disease. Curr. Opin. Nephrol. Hypertens. 2019, 28, 1–9. [Google Scholar] [CrossRef] [PubMed]
- Borrás, C.; Gambini, J.; López-Grueso, R.; Pallardó, F.V.; Viña, J. Direct antioxidant and protective effect of estradiol on isolated mitochondria. Biochim. Biophys. Acta BBA Mol. Basis Dis. 2010, 1802, 205–211. [Google Scholar] [CrossRef] [PubMed]
- Simenauer, A.; Assefa, B.; Rios-Ochoa, J.; Geraci, K.; Hybertson, B.; Gao, B.; McCord, J.; Elajaili, H.; Nozik-Grayck, E.; Cota-Gomez, A. Repression of Nrf2/ARE regulated antioxidant genes and dysregulation of the cellular redox environment by the HIV Transactivator of Transcription. Free Radic. Biol. Med. 2019, 141, 244–252. [Google Scholar] [CrossRef] [PubMed]
- Madkour, M.I.; El-Serafi, A.T.; Jahrami, H.A.; Sherif, N.M.; Hassan, R.E.; Awadallah, S. Ramadan diurnal intermittent fasting modulates SOD2, TFAM, Nrf2, and sirtuins (SIRT1, SIRT3) gene expressions in subjects with overweight and obesity. Diabetes Res. Clin. Pract. 2019, 155, 107801. [Google Scholar] [CrossRef]
- Paoli, A.; Tinsley, G.M.; Mattson, M.P.; De Vivo, I.; Dhawan, R.; Moro, T. Common and divergent molecular mechanisms of fasting and ketogenic diets. Trends Endocrinol. Metab. 2024, 35, 125–141. [Google Scholar] [CrossRef]
- Wu, Y.; Gu, D.; Li, J.; Li, J.; Hou, G. Role of the gut microbiota in cefoperazone/sulbactam-induced epilepsy in mice with chronic renal failure. Ren. Fail. 2024, 46, 2371551. [Google Scholar] [CrossRef] [PubMed]
- Warren, D.; Leitch, A.G.; Leggett, R. Hyperuricaemic acute renal failure after epileptic seizures. Lancet 1975, 306, 385–387. [Google Scholar] [CrossRef] [PubMed]
- Zimmerman, J.L.; Shen, M.C. Rhabdomyolysis. Chest 2013, 144, 1058–1065. [Google Scholar] [CrossRef] [PubMed]
- Tomomitsu, Y.; Asakawa, S.; Arai, S.; Nagura, M.; Ishizawa, K.; Yamazaki, O.; Tamura, Y.; Uchida, S.; Ohashi, R.; Shibata, S.; et al. A Patient with Acute Kidney Injury Associated with Massive Proteinuria and Acute Hyperuricemia after Epileptic Seizures. Intern. Med. 2022, 61, 3401–3408. [Google Scholar] [CrossRef] [PubMed]
- Ensminger, D.C.; Salvador-Pascual, A.; Arango, B.G.; Allen, K.N.; Vázquez-Medina, J.P. Fasting ameliorates oxidative stress: A review of physiological strategies across life history events in wild vertebrates. Comp. Biochem. Physiol. A Mol. Integr. Physiol. 2021, 256, 110929. [Google Scholar] [CrossRef]
- Madkour, M.I.; Islam, M.T.; Tippetts, T.S.; Chowdhury, K.H.; Lesniewski, L.A.; Summers, S.A.; Zeb, F.; Abdelrahim, D.N.; AlKurd, R.; Khraiwesh, H.M.; et al. Ramadan intermittent fasting is associated with ameliorated inflammatory markers and improved plasma sphingolipids/ceramides in subjects with obesity: Lipidomics analysis. Sci. Rep. 2023, 13, 17322. [Google Scholar] [CrossRef]
- Freire, T.; Senior, A.M.; Perks, R.; Pulpitel, T.; Clark, X.; Brandon, A.E.; Wahl, D.; Hatchwell, L.; Le Couteur, D.G.; Cooney, G.J.; et al. Sex-specific metabolic responses to 6 hours of fasting during the active phase in young mice. J. Physiol. 2020, 598, 2081–2092. [Google Scholar] [CrossRef]
- Sun, H.; Ma, D.; Hou, S.; Zhang, W.; Li, J.; Zhao, W.; Shafeng, N.; Meng, H. Exploring causal correlations between systemic inflammatory cytokines and epilepsy: A bidirectional Mendelian randomization study. Seizure 2024, 114, 44–49. [Google Scholar] [CrossRef] [PubMed]
- Sciarra, F.; Campolo, F.; Franceschini, E.; Carlomagno, F.; Venneri, M.A. Gender-Specific Impact of Sex Hormones on the Immune System. Int. J. Mol. Sci. 2023, 24, 6302. [Google Scholar] [CrossRef]
- He, Z.; Xu, H.; Li, C.; Yang, H.; Mao, Y. Intermittent fasting and immunomodulatory effects: A systematic review. Front. Nutr. 2023, 10, 1048230. [Google Scholar] [CrossRef]
- Mauvais-Jarvis, F. Sex differences in metabolic homeostasis, diabetes, and obesity. Biol. Sex Differ. 2015, 6, 14. [Google Scholar] [CrossRef] [PubMed]
- Kayalı, D.; Özdemir-Kumral, Z.N.; Berkyürek, M.A.; Çilingir-Kaya, Ö.T. The Effects of Intermittent Fasting on Urinary System Functions in Genetic Absence Epileptic Rats in Terms of Gender Differences. In Proceedings of the NICHE-2024, Sakarya, Turkiye, 26–28 September 2024. [Google Scholar]





Disclaimer/Publisher’s Note: The statements, opinions and data contained in all publications are solely those of the individual author(s) and contributor(s) and not of MDPI and/or the editor(s). MDPI and/or the editor(s) disclaim responsibility for any injury to people or property resulting from any ideas, methods, instructions or products referred to in the content. |
© 2025 by the authors. Licensee MDPI, Basel, Switzerland. This article is an open access article distributed under the terms and conditions of the Creative Commons Attribution (CC BY) license (https://creativecommons.org/licenses/by/4.0/).
Share and Cite
Gökçeoğlu-Kayalı, D.; Berkyürek, M.A.; Özdemir-Kumral, Z.N.; Çilingir-Kaya, Ö.T. The Sex-Dependent Ameliorative Effect of Intermittent Fasting on Urinary System Functions in Genetic Absence Epileptic Rats. Biology 2025, 14, 158. https://doi.org/10.3390/biology14020158
Gökçeoğlu-Kayalı D, Berkyürek MA, Özdemir-Kumral ZN, Çilingir-Kaya ÖT. The Sex-Dependent Ameliorative Effect of Intermittent Fasting on Urinary System Functions in Genetic Absence Epileptic Rats. Biology. 2025; 14(2):158. https://doi.org/10.3390/biology14020158
Chicago/Turabian StyleGökçeoğlu-Kayalı, Damla, Mehmet Ali Berkyürek, Zarife Nigar Özdemir-Kumral, and Özlem Tuğçe Çilingir-Kaya. 2025. "The Sex-Dependent Ameliorative Effect of Intermittent Fasting on Urinary System Functions in Genetic Absence Epileptic Rats" Biology 14, no. 2: 158. https://doi.org/10.3390/biology14020158
APA StyleGökçeoğlu-Kayalı, D., Berkyürek, M. A., Özdemir-Kumral, Z. N., & Çilingir-Kaya, Ö. T. (2025). The Sex-Dependent Ameliorative Effect of Intermittent Fasting on Urinary System Functions in Genetic Absence Epileptic Rats. Biology, 14(2), 158. https://doi.org/10.3390/biology14020158

