Isoliquiritigenin Prevents the Development of Nephropathy by an HFD in Rats Through the Induction of Antioxidant Production and Inhibition of the MD-2/TLR4/NF-κB Pathway
Simple Summary
Abstract
1. Introduction
2. Materials and Methods
2.1. Animals
2.2. Diets and Drugs
2.3. Experimental Design
2.4. Urine, Plasma, Serum, and Tissue Collections
2.5. Biochemical Analysis in the Serum and Urine
2.6. Preparation of Kidney Homogenates
2.7. Biochemical Analysis in the Renal Tissue Homogenate
2.8. Isolation of the Cytoplasmic and Nuclear Fractions and Biochemical Measurements
2.9. Real-Time Polymerase Chain Reaction (qPCR)
2.10. Histopathological Evaluation
2.11. Statistical Analysis
3. Results
3.1. ISL Lowers Fat Deposition and Plasma and Glucose Levels in HFD-Fed Rats
3.2. ISL Attenuates Dyslipidemia and Attenuates Lipid Accumulation in the Kidneys of HFD-Fed Rats
3.3. ISL Improves Kidney Function in HFD-Fed Rats
3.4. ISL Boosts Antioxidant Levels, Inhibits Lipid Peroxidation, and Reduces Markers of Inflammation in the Kidneys of HFD-Fed Rats
3.5. ISL Downregulates MD-2, TLR4, and NF-κB and Reduces the Nuclear Translocation of NF-κB in the Kidneys of HFD-Fed Rats
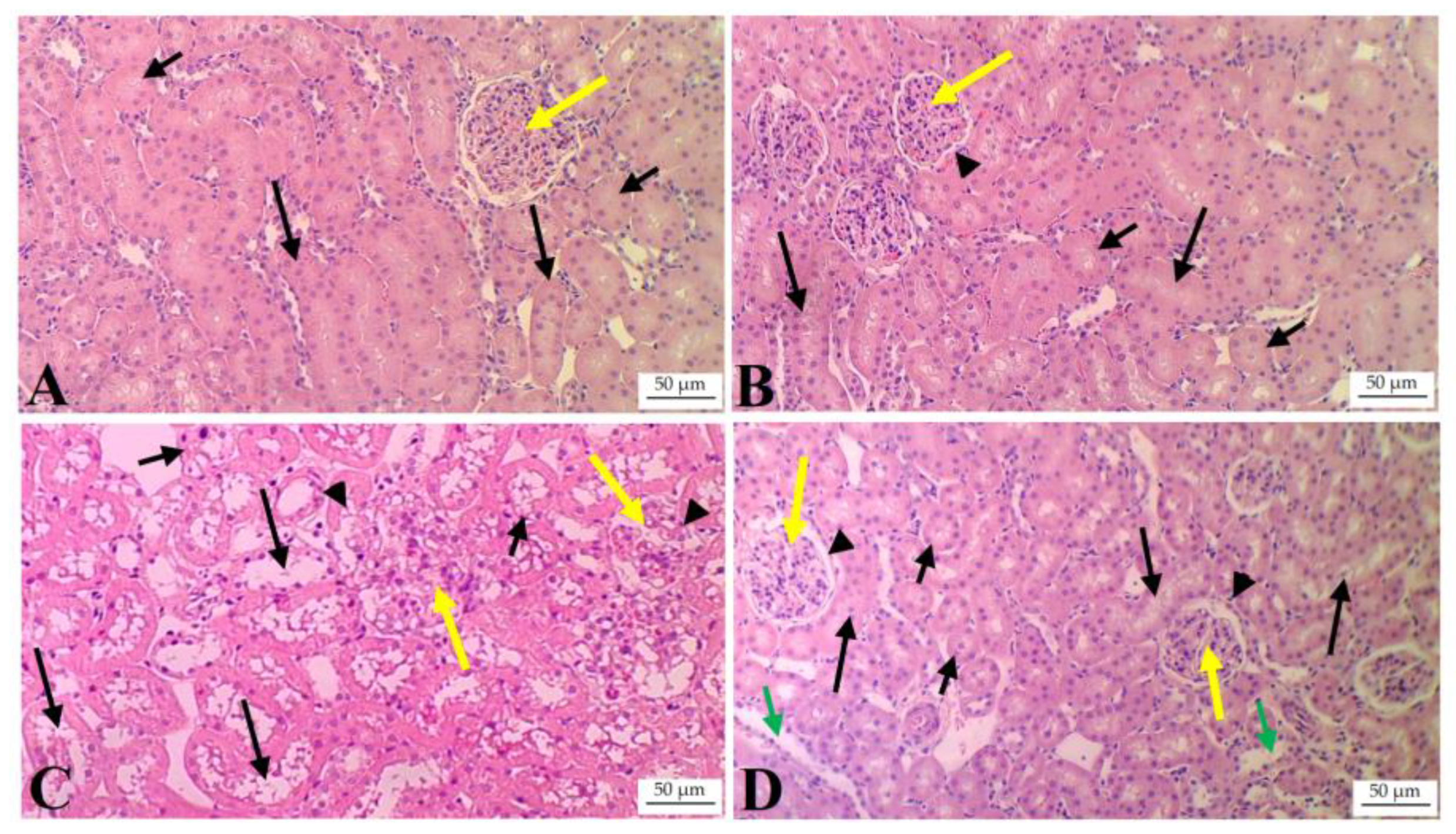
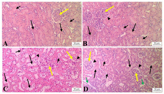
3.6. ISL Preserves Kidney Structure and Reduces Tubular and Glomerular Damage in HFD-Fed Rats
4. Discussion
5. Conclusions
6. Study Limitations
Author Contributions
Funding
Institutional Review Board Statement
Informed Consent Statement
Data Availability Statement
Acknowledgments
Conflicts of Interest
References
- Lv, J.-C.; Zhang, L.-X. Prevalence and disease burden of chronic kidney disease. Ren. Fibros. Mech. Ther. 2019, 1165, 3–15. [Google Scholar]
- Bikbov, B.; Purcell, C.A.; Levey, A.S.; Smith, M.; Abdoli, A.; Abebe, M.; Adebayo, O.M.; Afarideh, M.; Agarwal, S.K.; Agudelo-Botero, M. Global, regional, and national burden of chronic kidney disease, 1990–2017: A systematic analysis for the Global Burden of Disease Study 2017. Lancet 2020, 395, 709–733. [Google Scholar] [CrossRef] [PubMed]
- Moreno, J.A.; Gomez-Guerrero, C.; Mas, S.; Sanz, A.B.; Lorenzo, O.; Ruiz-Ortega, M.; Opazo, L.; Mezzano, S.; Egido, J. Targeting inflammation in diabetic nephropathy: A tale of hope. Expert Opin. Investig. Drugs 2018, 27, 917–930. [Google Scholar] [CrossRef] [PubMed]
- Rapa, S.F.; Di Iorio, B.R.; Campiglia, P.; Heidland, A.; Marzocco, S. Inflammation and oxidative stress in chronic kidney disease—Potential therapeutic role of minerals, vitamins and plant-derived metabolites. Int. J. Mol. Sci. 2019, 21, 263. [Google Scholar] [CrossRef] [PubMed]
- Wang, V.; Vilme, H.; Maciejewski, M.L.; Boulware, L.E. The economic burden of chronic kidney disease and end-stage renal disease. Semin. Nephrol. 2016, 36, 319–330. [Google Scholar] [CrossRef] [PubMed]
- Webster, A.C.; Nagler, E.V.; Morton, R.L.; Masson, P. Chronic kidney disease. Lancet 2017, 389, 1238–1252. [Google Scholar] [CrossRef]
- Chen, T.K.; Knicely, D.H.; Grams, M.E. Chronic kidney disease diagnosis and management: A review. JAMA 2019, 322, 1294–1304. [Google Scholar] [CrossRef]
- Chen, S.; Chen, J.; Li, S.; Guo, F.; Li, A.; Wu, H.; Chen, J.; Pan, Q.; Liao, S.; Liu, H.-F.; et al. High-fat diet-induced renal proximal tubular inflammatory injury: Emerging risk factor of chronic kidney disease. Front. Physiol. 2021, 12, 786599. [Google Scholar] [CrossRef] [PubMed]
- Rao, A.S.; Camilleri, M.; Eckert, D.J.; Busciglio, I.; Burton, D.D.; Ryks, M.; Wong, B.S.; Lamsam, J.; Singh, R.; Zinsmeister, A.R. Urine sugars for in vivo gut permeability: Validation and comparisons in irritable bowel syndrome-diarrhea and controls. Am. J. Physiol.-Gastrointest. Liver Physiol. 2011, 301, G919–G928. [Google Scholar] [CrossRef]
- Kramer, H. Diet and chronic kidney disease. Adv. Nutr. 2019, 10, S367–S379. [Google Scholar] [CrossRef]
- Hariharan, D.; Vellanki, K.; Kramer, H. The Western diet and chronic kidney disease. Curr. Hypertens. Rep. 2015, 17, 16. [Google Scholar] [CrossRef]
- Lin, J.; Judd, S.; Le, A.; Ard, J.; Newsome, B.B.; Howard, G.; Warnock, D.G.; McClellan, W. Associations of dietary fat with albuminuria and kidney dysfunction. Am. J. Clin. Nutr. 2010, 92, 897–904. [Google Scholar] [CrossRef]
- He, L.-Q.; Wu, X.-H.; Huang, Y.-Q.; Zhang, X.-Y.; Shu, L. Dietary patterns and chronic kidney disease risk: A systematic review and updated meta-analysis of observational studies. Nutr. J. 2021, 20, 4. [Google Scholar] [CrossRef]
- Bach, K.E.; Kelly, J.T.; Palmer, S.C.; Khalesi, S.; Strippoli, G.F.; Campbell, K.L. Healthy dietary patterns and incidence of CKD: A meta-analysis of cohort studies. Clin. J. Am. Soc. Nephrol. 2019, 14, 1441–1449. [Google Scholar] [CrossRef] [PubMed]
- Thomas, G.; Sehgal, A.R.; Kashyap, S.R.; Srinivas, T.R.; Kirwan, J.P.; Navaneethan, S.D. Metabolic syndrome and kidney disease: A systematic review and meta-analysis. Clin. J. Am. Soc. Nephrol. CJASN 2011, 6, 2364. [Google Scholar] [CrossRef] [PubMed]
- Aldayel, T.S. Apigenin attenuates high-fat diet-induced nephropathy in rats by hypoglycemic and hypolipidemic effects, and concomitant activation of the Nrf2/antioxidant axis. J. Funct. Foods 2022, 99, 105295. [Google Scholar] [CrossRef]
- Imig, J.D.; Ryan, M.J. Immune and inflammatory role in renal disease. Compr. Physiol. 2013, 3, 957. [Google Scholar]
- Zhang, H.; Sun, S.-C. NF-κB in inflammation and renal diseases. Cell Biosci. 2015, 5, 63. [Google Scholar] [CrossRef]
- Sanz, A.B.; Sanchez-Niño, M.D.; Ramos, A.M.; Moreno, J.A.; Santamaria, B.; Ruiz-Ortega, M.; Egido, J.; Ortiz, A. NF-κB in renal inflammation. J. Am. Soc. Nephrol. 2010, 21, 1254–1262. [Google Scholar] [CrossRef]
- Kim, J.E.; Lee, M.H.; Nam, D.H.; Song, H.K.; Kang, Y.S.; Lee, J.E.; Kim, H.W.; Cha, J.J.; Hyun, Y.Y.; Han, S.Y. Celastrol, an NF-κB inhibitor, improves insulin resistance and attenuates renal injury in db/db mice. PLoS ONE 2013, 8, e62068. [Google Scholar] [CrossRef]
- Fang, Q.; Deng, L.; Wang, L.; Zhang, Y.; Weng, Q.; Yin, H.; Pan, Y.; Tong, C.; Wang, J.; Liang, G. Inhibition of Mitogen-Activated Protein Kinases/Nuclear Factor κB–Dependent Inflammation by a Novel Chalcone Protects the Kidney from High Fat Diet–Induced Injuries in Mice. J. Pharmacol. Exp. Ther. 2015, 355, 235–246. [Google Scholar] [CrossRef]
- Sun, Y.; Peng, R.; Peng, H.; Liu, H.; Wen, L.; Wu, T.; Yi, H.; Li, A.; Zhang, Z. miR-451 suppresses the NF-kappaB-mediated proinflammatory molecules expression through inhibiting LMP7 in diabetic nephropathy. Mol. Cell. Endocrinol. 2016, 433, 75–86. [Google Scholar] [CrossRef]
- Hewage, S.M.; Prashar, S.; Debnath, S.C.; O, K.; Siow, Y.L. Inhibition of inflammatory cytokine expression prevents high-fat diet-induced kidney injury: Role of lingonberry supplementation. Front. Med. 2020, 7, 80. [Google Scholar]
- Li, S.; Jia, Y.; Xue, M.; Hu, F.; Zheng, Z.; Zhang, S.; Ren, S.; Yang, Y.; Si, Z.; Wang, L. Inhibiting Rab27a in renal tubular epithelial cells attenuates the inflammation of diabetic kidney disease through the miR-26a-5p/CHAC1/NF-kB pathway. Life Sci. 2020, 261, 118347. [Google Scholar] [CrossRef]
- Eleazu, C.; Suleiman, J.B.; Othman, Z.A.; Zakaria, Z.; Nna, V.U.; Hussain, N.H.N.; Mohamed, M. Bee bread attenuates high fat diet induced renal pathology in obese rats via modulation of oxidative stress, downregulation of NF-kB mediated inflammation and Bax signalling. Arch. Physiol. Biochem. 2022, 128, 1088–1104. [Google Scholar] [CrossRef]
- Knauf, F.; Brewer, J.R.; Flavell, R.A. Immunity, microbiota and kidney disease. Nat. Rev. Nephrol. 2019, 15, 263–274. [Google Scholar] [CrossRef]
- Xia, H.; Bao, W.; Shi, S. Innate immune activity in glomerular podocytes. Front. Immunol. 2017, 8, 122. [Google Scholar] [CrossRef]
- Song, N.; Thaiss, F.; Guo, L. NFκB and kidney injury. Front. Immunol. 2019, 10, 815. [Google Scholar] [CrossRef]
- Wang, Y.; Qian, Y.; Fang, Q.; Zhong, P.; Li, W.; Wang, L.; Fu, W.; Zhang, Y.; Xu, Z.; Li, X. Saturated palmitic acid induces myocardial inflammatory injuries through direct binding to TLR4 accessory protein MD2. Nat. Commun. 2017, 8, 13997. [Google Scholar] [CrossRef]
- Fang, Q.; Wang, L.; Yang, D.; Chen, X.; Shan, X.; Zhang, Y.; Lum, H.; Wang, J.; Zhong, P.; Liang, G. Blockade of myeloid differentiation protein 2 prevents obesity-induced inflammation and nephropathy. J. Cell. Mol. Med. 2017, 21, 3776–3786. [Google Scholar] [CrossRef]
- Xu, S.; Luo, W.; Xu, X.; Qian, Y.; Xu, Z.; Yu, W.; Shan, X.; Guan, X.; Lum, H.; Zhou, H. MD2 blockade prevents oxLDL-induced renal epithelial cell injury and protects against high-fat-diet-induced kidney dysfunction. J. Nutr. Biochem. 2019, 70, 47–55. [Google Scholar] [CrossRef]
- Zhang, Y.; Chen, H.; Zhang, W.; Cai, Y.; Shan, P.; Wu, D.; Zhang, B.; Liu, H.; Khan, Z.A.; Liang, G. Arachidonic acid inhibits inflammatory responses by binding to myeloid differentiation factor-2 (MD2) and preventing MD2/toll-like receptor 4 signaling activation. Biochim. Biophys. Acta (BBA)-Mol. Basis Dis. 2020, 1866, 165683. [Google Scholar] [CrossRef]
- Song, M.; Meng, L.; Liu, X.; Yang, Y. Feprazone prevents free fatty acid (FFA)-induced endothelial inflammation by mitigating the activation of the TLR4/MyD88/NF-κB pathway. ACS Omega 2021, 6, 4850–4856. [Google Scholar] [CrossRef]
- Zhang, M.; Huang, L.-L.; Teng, C.-H.; Wu, F.-F.; Ge, L.-Y.; Shi, Y.-J.; He, Z.-L.; Liu, L.; Jiang, C.-J.; Hou, R.-N.; et al. Isoliquiritigenin provides protection and attenuates oxidative stress-induced injuries via the Nrf2-ARE signaling pathway after traumatic brain injury. Neurochem. Res. 2018, 43, 2435–2445. [Google Scholar] [CrossRef]
- Peng, F.; Du, Q.; Peng, C.; Wang, N.; Tang, H.; Xie, X.; Shen, J.; Chen, J. A review: The pharmacology of isoliquiritigenin. Phytother. Res. 2015, 29, 969–977. [Google Scholar] [CrossRef]
- Ramalingam, M.; Kim, H.; Lee, Y.; Lee, Y.-I. Phytochemical and pharmacological role of liquiritigenin and isoliquiritigenin from radix glycyrrhizae in human health and disease models. Front. Aging Neurosci. 2018, 10, 348. [Google Scholar] [CrossRef]
- Al-Qahtani, W.H.; Alshammari, G.M.; Ajarem, J.S.; Al-Zahrani, A.Y.; Alzuwaydi, A.; Eid, R.; Yahya, M.A. Isoliquiritigenin prevents Doxorubicin-induced hepatic damage in rats by upregulating and activating SIRT1. Biomed. Pharmacother. 2022, 146, 112594. [Google Scholar] [CrossRef]
- Wu, Y.; Chen, X.; Ge, X.; Xia, H.; Wang, Y.; Su, S.; Li, W.; Yang, T.; Wei, M.; Zhang, H. Isoliquiritigenin prevents the progression of psoriasis-like symptoms by inhibiting NF-κB and proinflammatory cytokines. J. Mol. Med. 2016, 94, 195–206. [Google Scholar] [CrossRef]
- Zou, P.; Ji, H.-M.; Zhao, J.-W.; Ding, X.-M.; Zhen, Z.-G.; Zhang, X.; Nie, X.-Q.; Xue, L.-X. Protective effect of isoliquiritigenin against cerebral injury in septic mice via attenuation of NF-κB. Inflammopharmacology 2019, 27, 809–816. [Google Scholar] [CrossRef] [PubMed]
- Gao, Y.; Lv, X.; Yang, H.; Peng, L.; Ci, X. Isoliquiritigenin exerts antioxidative and anti-inflammatory effects via activating the KEAP-1/Nrf2 pathway and inhibiting the NF-κB and NLRP3 pathways in carrageenan-induced pleurisy. Food Funct. 2020, 11, 2522–2534. [Google Scholar] [CrossRef]
- Ye, H.; Yang, X.; Chen, X.; Shen, L.; Le, R. Isoliquiritigenin protects against angiotensin II-induced fibrogenesis by inhibiting NF-κB/PPARγ inflammatory pathway in human Tenon’s capsule fibroblasts. Exp. Eye Res. 2020, 199, 108146. [Google Scholar] [CrossRef] [PubMed]
- Sun, J.; Zhang, Q.; Yang, G.; Li, Y.; Fu, Y.; Zheng, Y.; Jiang, X. The licorice flavonoid isoliquiritigenin attenuates Mycobacterium tuberculosis-induced inflammation through Notch1/NF-κB and MAPK signaling pathways. J. Ethnopharmacol. 2022, 294, 115368. [Google Scholar] [CrossRef] [PubMed]
- Yahya, M.A.; Alshammari, G.M.; Osman, M.A.; Al-Harbi, L.N.; Yagoub, A.E.A.; AlSedairy, S.A. Liquorice root extract and isoliquiritigenin attenuate high-fat diet-induced hepatic steatosis and damage in rats by regulating AMPK. Arch. Physiol. Biochem. 2022, 130, 385–400. [Google Scholar] [CrossRef] [PubMed]
- Yahya, M.A.; Alshammari, G.M.; Osman, M.A.; Al-Harbi, L.N.; Yagoub, A.E.A.; AlSedairy, S.A. Isoliquiritigenin attenuates high-fat diet-induced intestinal damage by suppressing inflammation and oxidative stress and through activating Nrf2. J. Funct. Foods 2022, 92, 105058. [Google Scholar] [CrossRef]
- Tang, Y.; Wang, C.; Wang, Y.; Zhang, J.; Wang, F.; Li, L.; Meng, X.; Li, G.; Li, Y.; Wang, L. Isoliquiritigenin attenuates LPS-induced AKI by suppression of inflammation involving NF-κB pathway. Am. J. Transl. Res. 2018, 10, 4141. [Google Scholar] [PubMed]
- Liao, Y.; Tan, R.-Z.; Li, J.-C.; Liu, T.-T.; Zhong, X.; Yan, Y.; Yang, J.-K.; Lin, X.; Fan, J.-M.; Wang, L. Isoliquiritigenin attenuates UUO-induced renal inflammation and fibrosis by inhibiting Mincle/Syk/NF-Kappa B signaling pathway. Drug Des. Devel. Ther. 2020, 14, 1455–1468. [Google Scholar] [CrossRef]
- Kim, K.S.; Yang, H.Y.; Song, H.; Kang, Y.R.; Kwon, J.; An, J.; Son, J.Y.; Kwack, S.J.; Kim, Y.-M.; Bae, O.-N. Identification of a sensitive urinary biomarker, selenium-binding protein 1, for early detection of acute kidney injury. J. Toxicol. Environ. Health A 2017, 80, 453–464. [Google Scholar] [CrossRef]
- Folch, J.; Lees, M.; Sloane Stanley, G.H. A simple method for the isolation and purification of total lipids from animal tissues. J. Biol. Chem. 1957, 226, 497–509. [Google Scholar] [CrossRef]
- Bazzano, A.; Wolfe, C.; Zylowska, L.; Wang, S.; Schuster, E.; Barrett, C.; Lehrer, D. Mindfulness based stress reduction (MBSR) for parents and caregivers of individuals with developmental disabilities: A community-based approach. J. Child Fam. Stud. 2015, 24, 298–308. [Google Scholar] [CrossRef]
- Wahba, I.M.; Mak, R.H. Obesity and obesity-initiated metabolic syndrome: Mechanistic links to chronic kidney disease. Clin. J. Am. Soc. Nephrol. 2007, 2, 550–562. [Google Scholar] [CrossRef]
- Wang, J.-G.; Staessen, J.A.; Barlassina, C.; Fagard, R.; Kuznetsova, T.; Struijker-Boudier, H.A.; Zagato, L.; Citterio, L.; Messaggio, E.; Bianchi, G. Association between hypertension and variation in the α-and β-adducin genes in a white population. Kidney Int. 2002, 62, 2152–2159. [Google Scholar] [CrossRef] [PubMed]
- Kohl, K.; Herzog, E.; Dickneite, G.; Pestel, S. Evaluation of urinary biomarkers for early detection of acute kidney injury in a rat nephropathy model. J. Pharmacol. Toxicol. Methods 2020, 105, 106901. [Google Scholar] [CrossRef] [PubMed]
- Zhou, H.; Cui, J.; Lu, Y.; Sun, J.; Liu, J. Meta-analysis of the diagnostic value of serum, plasma and urine neutrophil gelatinase-associated lipocalin for the detection of acute kidney injury in patients with sepsis. Exp. Ther. Med. 2021, 21, 386. [Google Scholar] [CrossRef] [PubMed]
- Knight, E.L.; Stampfer, M.J.; Hankinson, S.E.; Spiegelman, D.; Curhan, G.C. The impact of protein intake on renal function decline in women with normal renal function or mild renal insufficiency. Ann. Intern. Med. 2003, 138, 460–467. [Google Scholar] [CrossRef] [PubMed]
- Vaidya, V.S.; Ferguson, M.A.; Bonventre, J.V. Biomarkers of acute kidney injury. Annu. Rev. Pharmacol. Toxicol. 2008, 48, 463–493. [Google Scholar] [CrossRef]
- Fiseha, T. Urinary biomarkers for early diabetic nephropathy in type 2 diabetic patients. Biomark. Res. 2015, 3, 16. [Google Scholar] [CrossRef] [PubMed]
- Sun, Y.; Ge, X.; Li, X.; He, J.; Wei, X.; Du, J.; Sun, J.; Li, X.; Xun, Z.; Liu, W. High-fat diet promotes renal injury by inducing oxidative stress and mitochondrial dysfunction. Cell Death Dis. 2020, 11, 914. [Google Scholar] [CrossRef]
- Sharma, K. The link between obesity and albuminuria: Adiponectin and podocyte dysfunction. Kidney Int. 2009, 76, 145–148. [Google Scholar] [CrossRef]
- Saravanan, S.; Pari, L. Protective effect of thymol on high fat diet induced diabetic nephropathy in C57BL/6J mice. Chem.-Biol. Interact. 2016, 245, 1–11. [Google Scholar] [CrossRef]
- Kovesdy, C.P.; Furth, S.; Zoccali, C.; Committee, W.K.D.S. Obesity and kidney disease: Hidden consequences of the epidemic. Physiol. Int. 2017, 104, 1–14. [Google Scholar] [CrossRef]
- Kashihara, N.; Haruna, Y.; K Kondeti, V.; S Kanwar, Y. Oxidative stress in diabetic nephropathy. Curr. Med. Chem. 2010, 17, 4256–4269. [Google Scholar] [CrossRef] [PubMed]
- Kundu, A.; Richa, S.; Dey, P.; Kim, K.S.; Son, J.Y.; Kim, H.R.; Lee, S.-Y.; Lee, B.-H.; Lee, K.Y.; Kacew, S. Protective effect of EX-527 against high-fat diet-induced diabetic nephropathy in Zucker rats. Toxicol. Appl. Pharmacol. 2020, 390, 114899. [Google Scholar] [CrossRef] [PubMed]
- Xu, G.; Yao, Q.; Weng, Q.; Su, B.; Zhang, X.; Xiong, J. Study of urinary 8-hydroxydeoxyguanosine as a biomarker of oxidative DNA damage in diabetic nephropathy patients. J. Pharm. Biomed. Anal. 2004, 36, 101–104. [Google Scholar] [CrossRef] [PubMed]
- Rangel Silvares, R.; Nunes Goulart da Silva Pereira, E.; Eduardo Ilaquita Flores, E.; Lino Rodrigues, K.; Ribeiro Silva, A.; Gonçalves-de-Albuquerque, C.F.; Daliry, A. High-fat diet-induced kidney alterations in rats with metabolic syndrome: Endothelial dysfunction and decreased antioxidant defense. Diabetes Metab. Syndr. Obes. Targets Ther. 2019, 12, 1773–1781. [Google Scholar] [CrossRef]
- Gaur, R.; Yadav, K.S.; Verma, R.K.; Yadav, N.P.; Bhakuni, R.S. In vivo anti-diabetic activity of derivatives of isoliquiritigenin and liquiritigenin. Phytomedicine 2014, 21, 415–422. [Google Scholar] [CrossRef]
- Yang, L.; Jiang, Y.; Zhang, Z.; Hou, J.; Tian, S.; Liu, Y. The anti-diabetic activity of licorice, a widely used Chinese herb. J. Ethnopharmacol. 2020, 263, 113216. [Google Scholar] [CrossRef] [PubMed]
- Zhang, W.; Wang, G.; Zhou, S. Protective effects of isoliquiritigenin on LPS-induced acute lung injury by activating PPAR-γ. Inflammation 2018, 41, 1290–1296. [Google Scholar] [CrossRef]
- Gewin, L.S. Sugar or Fat? Renal tubular metabolism reviewed in health and disease. Nutrients 2021, 13, 1580. [Google Scholar] [CrossRef]
- Kochan, Z.; Szupryczynska, N.; Malgorzewicz, S.; Karbowska, J. Dietary lipids and dyslipidemia in chronic kidney disease. Nutrients 2021, 13, 3138. [Google Scholar] [CrossRef]
- Bobulescu, I.A. Renal lipid metabolism and lipotoxicity. Curr. Opin. Nephrol. Hypertens. 2010, 19, 393. [Google Scholar] [CrossRef]
- Kiss, E.; Kränzlin, B.; Wagenblaβ, K.; Bonrouhi, M.; Thiery, J.; Gröne, E.; Nordström, V.; Teupser, D.; Gretz, N.; Malle, E. Lipid droplet accumulation is associated with an increase in hyperglycemia-induced renal damage: Prevention by liver X receptors. Am. J. Pathol. 2013, 182, 727–741. [Google Scholar] [CrossRef] [PubMed]
- Herman-Edelstein, M.; Scherzer, P.; Tobar, A.; Levi, M.; Gafter, U. Altered renal lipid metabolism and renal lipid accumulation in human diabetic nephropathy. J. Lipid Res. 2014, 55, 561–572. [Google Scholar] [CrossRef] [PubMed]
- Khan, S.; Jawdeh, B.G.A.; Goel, M.; Schilling, W.P.; Parker, M.D.; Puchowicz, M.A.; Yadav, S.P.; Harris, R.C.; El-Meanawy, A.; Hoshi, M. Lipotoxic disruption of NHE1 interaction with PI (4, 5) P2 expedites proximal tubule apoptosis. J. Clin. Investig. 2014, 124, 1057–1068. [Google Scholar] [CrossRef] [PubMed]
- Yamamoto, T.; Takabatake, Y.; Takahashi, A.; Kimura, T.; Namba, T.; Matsuda, J.; Minami, S.; Kaimori, J.-y.; Matsui, I.; Matsusaka, T. High-fat diet–induced lysosomal dysfunction and impaired autophagic flux contribute to lipotoxicity in the kidney. J. Am. Soc. Nephrol. JASN 2017, 28, 1534. [Google Scholar] [CrossRef] [PubMed]
- Yao, R.-Q.; Ren, C.; Xia, Z.-F.; Yao, Y.-M. Organelle-specific autophagy in inflammatory diseases: A potential therapeutic target underlying the quality control of multiple organelles. Autophagy 2021, 17, 385–401. [Google Scholar] [CrossRef]
- Liu, Y.; Coresh, J.; Eustace, J.A.; Longenecker, J.C.; Jaar, B.; Fink, N.E.; Tracy, R.P.; Powe, N.R.; Klag, M.J. Association between cholesterol level and mortality in dialysis patients: Role of inflammation and malnutrition. JAMA 2004, 291, 451–459. [Google Scholar] [CrossRef]
- Rahman, M.; Yang, W.; Akkina, S.; Alper, A.; Anderson, A.H.; Appel, L.J.; He, J.; Raj, D.S.; Schelling, J.; Strauss, L. Relation of serum lipids and lipoproteins with progression of CKD: The CRIC study. Clin. J. Am. Soc. Nephrol. CJASN 2014, 9, 1190. [Google Scholar] [CrossRef]
- Silverstein, D.M. Inflammation in chronic kidney disease: Role in the progression of renal and cardiovascular disease. Pediatr. Nephrol. 2009, 24, 1445–1452. [Google Scholar] [CrossRef]
- Akchurin, O.M.; Kaskel, F. Update on inflammation in chronic kidney disease. Blood Purif. 2015, 39, 84–92. [Google Scholar] [CrossRef]
- Rocha, D.; Caldas, A.; Oliveira, L.; Bressan, J.; Hermsdorff, H. Saturated fatty acids trigger TLR4-mediated inflammatory response. Atherosclerosis 2016, 244, 211–215. [Google Scholar] [CrossRef]
- Morgan, M.J.; Liu, Z.-G. Reactive oxygen species in TNFα-induced signaling and cell death. Mol. Cells 2010, 30, 1–12. [Google Scholar] [CrossRef] [PubMed]





| Gene | Primers (5′-3′) | Product Size |
|---|---|---|
| MD2 | F: AAATCCCTATTTCAATTAGTTCTGAACC R: GAGTTGATATTGATGAACAGGTTGAAAT | 130 |
| NF-κB | F: GAGATTGTGCCAAGAGTGAC R: CTTGTCTTCCATGGTGGATG | 134 |
| TLR4 | F: GATTGCTCAGACATGGCAGTTTC R: CTGCTAAGAAGGCGATACAATTCG | 117 |
| β-actin | F: GACCTCTATGCCAACACAGT R: CACCAATCCACACAGAGTAC | 154 |
| Parameter | Control | ISL | HFD | HFD + ISL | |
|---|---|---|---|---|---|
| Final body weight | 454.5 ± 43.4 | 429 ± 51.6 | 584.4 ± 47.5 ab | 483.5 ± 51.3 abc | |
| Plasma | Glucose (mg/dL) | 96.7 ± 7.61 | 103.5 ± 6.5 | 188.6 ± 15.4 ab | 137.3 ± 12.5 abc |
| Insulin (µIU/mL) | 5.1 ± 0.49 | 4.8 ± 0.62 | 8.7 ± 0.93 ab | 6.3 ± 0.59 abc | |
| HOMA-IR | 1.27 ± 0.26 | 1.22 ± 0.37 | 3.92 ± 0.48 ab | 2.3 ± 0.31 abc | |
| WAT | Visceral fat (VF) (g) | 8.1 ± 0.74 | 7.8 ± 0.93 | 13.2 ± 1.82 ab | 9.5 ± 0.79 abc |
| Subcutaneous fat (SF) (g) | 18.6 ± 2.6 | 19.9 ± 1.9 | 34.5 ± 3.1 ab | 25.5 ± 2.9 abc |
| Parameter | Control | ISL | HFD | HFD + ISL | |
|---|---|---|---|---|---|
| Serum | TGs (mg/dL) | 74.3 ± 6.7 | 59.4 ± 5.8 a | 172 ± 16.6 ab | 89.4 ± 10.5 abc |
| CHOL (mg/dL) | 86.7 ± 8.1 | 64.3 ± 5.4 a | 222.4 ± 18.9 ab | 104.3 ± 9.5 abc | |
| LDL-c (mg/dL) | 39.8 ± 4.7 | 31.2 ± 3.6 a | 127.4 ± 11.4 ab | 49.5 ± 4.3 abc | |
| Ox-LDL-c (ng/mL) | 26.5 ± 2.5 | 19.4 ± 1.5 a | 78.6 ± 6.4 ab | 37.5 ± 4.1 abc | |
| FFAs (μmol/mg) | 257.2 ± 22.1 | 189.3 ± 16.1 a | 598.3 ± 63.4 ab | 302 ± 26.5 abc | |
| Kidney | TGs (ng/g tissue) | 137.3 ± 12.7 | 116.3 ± 12.3 a | 456.2 ± 39.4 ab | 219.4 ± 22.6 abc |
| CHOL (ng/g tissue) | 27.6 ± 2.8 | 18.4 ± 1.4 a | 75.2 ± 6.1 ab | 39.7 ± 4.4 abc | |
| FFAs (μmol/g tissue) | 54.8 ± 4.9 | 38.3 ± 5.9 a | 163.7 ± 13.2 ab | 87.6 ± 5.1 abc | |
| Ox-LDL (pg/g tissue) | 122.5 ± 10.4 | 91.2 ± 7.9 a | 383.6 ± 27.6 ab | 178.5 ± 19.4 abc |
| Parameter | Control | ISL | HFD | HFD + ISL | |
|---|---|---|---|---|---|
| Serum | Kidney weight (g) | 1.57 ± 0.16 | 1.49 ± 0.18 | 2.36 ± 0.24 | 1.63 ± 0.15 bc |
| Albumin (g/dL) | 5.49 ± 0.44 | 5.77 ± 0.63 | 3.81 ± 0.39 ab | 5.39 ± 0.53 c | |
| Urea (mg/dL) | 6.42 ± 0.59 | 5.99 ± 0.51 | 34.5 ± 3.1 ab | 9.5 ± 1.5 abc | |
| Creatinine (Cr) (μg/dL) | 422.3 ± 40.4 | 466.8 ± 54.3 | 1221.2 ± 132.2 ab | 644.3 ± 53.4 abc | |
| Urine | Volume (ml/24 h) | 13.5 ± 1.81 | 12.8 ± 1.76 | 8.5 ± 0.93 ab | 13.2 ± 1.45 abc |
| Albumin (Alb) (µg/dL) | 87.4 ± 8.8 | 81.9 ± 7.6 | 227.5 ± 21.6 ab | 125.8 ± 12.1 abc | |
| Creatinine (μg/dL) | 322.5 ± 31.2 | 299 ± 33.2 | 125.6 ± 10.8 ab | 273 ± 22.7 abc | |
| Urinary Alb/Cr ratio | 0.24 ± 0.04 | 0.26 ± 0.05 | 2.18 ± 0.26 ab | 0.42 ± 0.06 abc | |
| NGAL (ng/mL) | 2.6 ± 0.38 | 2.7 ± 0.48 | 13.4 ± 1.6 ab | 3.7 ± 0.44 abc | |
| 8-OHdG (pg/mL) | 320.2 ± 27.7 | 210.5 ± 18.6 a | 645.4 ± 43.9 ab | 382.5 ± 4.7 abc | |
| KIM-1 (pg/mL) | 133.2 ± 14.9 | 122.7 ± 12.6 | 292.4 ± 27.4 ab | 158.3 ± 13.2 abc |
Disclaimer/Publisher’s Note: The statements, opinions and data contained in all publications are solely those of the individual author(s) and contributor(s) and not of MDPI and/or the editor(s). MDPI and/or the editor(s) disclaim responsibility for any injury to people or property resulting from any ideas, methods, instructions or products referred to in the content. |
© 2024 by the authors. Licensee MDPI, Basel, Switzerland. This article is an open access article distributed under the terms and conditions of the Creative Commons Attribution (CC BY) license (https://creativecommons.org/licenses/by/4.0/).
Share and Cite
Yahya, M.A.; Alshammari, G.M.; Osman, M.A.; Al-Harbi, L.N.; Alotaibi, S.N. Isoliquiritigenin Prevents the Development of Nephropathy by an HFD in Rats Through the Induction of Antioxidant Production and Inhibition of the MD-2/TLR4/NF-κB Pathway. Biology 2024, 13, 984. https://doi.org/10.3390/biology13120984
Yahya MA, Alshammari GM, Osman MA, Al-Harbi LN, Alotaibi SN. Isoliquiritigenin Prevents the Development of Nephropathy by an HFD in Rats Through the Induction of Antioxidant Production and Inhibition of the MD-2/TLR4/NF-κB Pathway. Biology. 2024; 13(12):984. https://doi.org/10.3390/biology13120984
Chicago/Turabian StyleYahya, Mohammed Abdo, Ghedeir M. Alshammari, Magdi A. Osman, Laila Naif Al-Harbi, and Setah Naif Alotaibi. 2024. "Isoliquiritigenin Prevents the Development of Nephropathy by an HFD in Rats Through the Induction of Antioxidant Production and Inhibition of the MD-2/TLR4/NF-κB Pathway" Biology 13, no. 12: 984. https://doi.org/10.3390/biology13120984
APA StyleYahya, M. A., Alshammari, G. M., Osman, M. A., Al-Harbi, L. N., & Alotaibi, S. N. (2024). Isoliquiritigenin Prevents the Development of Nephropathy by an HFD in Rats Through the Induction of Antioxidant Production and Inhibition of the MD-2/TLR4/NF-κB Pathway. Biology, 13(12), 984. https://doi.org/10.3390/biology13120984

