You are currently on the new version of our website. Access the old version .
BiologyBiology
  • Article
  • Open Access

29 October 2024

Development of Simple Sequence Repeat of Monochamus alternatus (Coleoptera: Cerambycidae) Based on Restriction Site-Associated DNA Sequencing

,
,
,
,
,
and
1
Guangxi Colleges and Universities Key Laboratory for Cultivation and Utilization of Subtropical Forest Plantation, Guangxi Key Laboratory of Forest Ecology and Conservation, College of Forestry, Guangxi University, Nanning 530004, China
2
Teng County Forestry Bureau, Guangxi Zhuang Autonomous Region, Wuzhou 543300, China
*
Author to whom correspondence should be addressed.
This article belongs to the Special Issue Ecological Regulation of Forest and Grassland Pests

Simple Summary

Pine woods have suffered major damage from the beetle Monochamus alternatus, which spreads the nematode Bursaphelenchus xylophilus and poses a serious threat to conifers like Pinus massoniana. In order to fill the knowledge gap regarding the phylogeography of M. alternatus, specific simple sequence repeat (SSR) primers were designed as part of this work. To find polymorphic SSRs, researchers sequenced M. alternatus specimens from three different locations using the Red-seq approach. After additional analysis, 95,612 SSR loci were found, most of which were repeats of mononucleotide (51.43%), dinucleotide (28.79%), and trinucleotide (16.74%) repeats. Eighteen pairs of SSR primers were selected for their stability and high polymorphism, with genetic typing showing an average allele count of 3–8, heterozygosity (Ho) from 0.13 to 0.73, PIC values ranging from 0.29 to 0.78, and Shannon’s index between 0.59 and 1.80. The study resulted in 16 usable SSR primer pairs, enhancing research capabilities in phylogeography, genetic mapping, and functional genomics of M. alternatus.

Abstract

Monochamus alternatus, a pest posing a serious threat to coniferous species, such as Pinus massoniana, has had devastating effects on pine forests due to its association with Bursaphelenchus xylophilus. The creation of unique simple sequence repeat (SSR) primers for M. alternatus is crucial, as there has been little study of the species’ phylogeography. The aim of this study was to identify and create polymorphic SSR primers by sequencing samples of M. alternatus obtained from three different sampling points using the restriction site-associated DNA sequencing (Red-seq) approach. Subsequently, supplementary samples were integrated, and genetic typing was performed utilizing the identified polymorphic primers. Through comprehensive analysis, a total of 95,612 SSR loci were identified. Among these, mononucleotide repeats (51.43%), dinucleotide repeats (28.79%), and trinucleotide repeats (16.74%) predominated among the SSR motif types. Ultimately, 18 pairs of SSR primers were screened out, demonstrating stable amplification and high polymorphism. Genetic typing revealed that the mean number of alleles (Na) for these primer pairs ranged from 3 to 8, observed heterozygosity (Ho) ranged from 0.133 to 0.733, polymorphic information content (PIC) ranged from 0.294 and 0.783, and Shannon’s index (I) ranged from 0.590 to 1.802. This study effectively produced 16 pairs of SSR primers that can be applied to different populations of M. alternatus. As a result, important tools for furthering studies on the phylogeography of pine wood nematodes, creating genetic maps, gene mapping, and carrying out in-depth investigations into gene function have been made available.

1. Introduction

The Monochamus alternatus, an incredibly destructive wood-boring pest, has inflicted significant harm upon pine forest ecosystems, posing a grave threat to the survival of coniferous species such as Pinus massoniana, P. koraiensis, and P. elliottii [1,2]. Its larvae burrow deep into trees, interrupting growth and inflicting lasting harm to wood quality. [3]. Compounding the problem is its function as the major vector of Bursaphelenchus xylophilus, which accelerates pine tree mortality and causes significant forest resource losses [4,5]. With the growing consequences of global warming and the rapid extension of artificial forest regions, M. alternatus’s scope of damage has continued to rise unchecked. Consequently, urgent measures are imperative to bolster prevention and control efforts against M. alternatus, safeguarding the sustainable utilization of forest resources and ensuring the health and stability of the ecological environment.
Molecular markers, vital tools in genetic and molecular biology research, play pivotal roles in species identification, genetic mapping, gene localization, and genetic diversity analysis owing to their efficient and precise characteristics [6,7]. Among these markers, simple sequence repeat (SSR) molecular markers have garnered favor among researchers in recent years due to their high polymorphism, co-dominant inheritance, and ease of detection [8]. SSR markers are widely dispersed throughout genomes, and slip-strand mutations during replication lead to significant polymorphism among individuals or populations [9]. Currently, SSR molecular markers find extensive applications across various research domains, including insect species identification, genetic diversity assessment, population genetic structure analysis, and gene localization. Leveraging SSR molecular markers, researchers can swiftly and accurately discern genetic variations among individuals or populations, thereby elucidating genetic diversity, population differentiation, and evolutionary processes within species [10,11,12]. This furnishes robust technical support and data for the in-depth exploration of scientific inquiries such as biodiversity, ecological adaptation, and species evolution.
As the breadth and severity of pine wilt disease continue to increase, posing significant threats to worldwide pine forest resources, natural landscapes, and ecological environments, the search for an efficient, environmentally friendly, and highly specialized control strategy becomes increasingly imperative [13,14]. In this dire scenario, M. alternatus emerges as a key focus in control endeavors as the primary vector of B. xylophilus. The development of SSR customized to M. alternatus holds enormous promise for studying the population genetic pathways of this beetle. It permits accurate identification and monitoring of M. alternatus populations, allowing for a better understanding of their distribution patterns, migration routes, and reproductive behaviors. These insights are critical for developing scientifically effective control measures. As a result, investigating SSR specific to M. alternatus is critical for mitigating the severity of existing pine wilt illness and protecting the Earth’s pine forest resources and ecological balance. Hence, this study will leverage restriction site-associated DNA sequencing (RAD-seq), an ideal technology for SSR information research, to conduct a comprehensive analysis of SSR information in M. alternatus and develop polymorphic molecular markers based on this data.

2. Materials and Methods

2.1. Collection of Samples

The sampling location is in Guangxi Zhuang Autonomous Region, People’s Republic of China. During the period spanning from July to September 2023, we implemented M. alternatus traps within select pine forest regions in the Guangxi Zhuang Autonomous Region, China (Figure 1). Live M. alternatus specimens captured were meticulously transferred into 2.0 mL sterile centrifuge tubes and preserved by adding anhydrous ethanol. These samples were subsequently stored in a −80 °C freezer at the School of Forestry, Guangxi University (Guangxi, China), to support future research endeavors.
Figure 1. Sample information table of M. alternatus. Note: The location in the picture is within Guangxi Zhuang Autonomous Region, People’s Republic of China (the yellow line). The 5 red circles in the figure represent the 5 collection sites.

2.2. Genomic DNA Extraction and Library Construction

For the extraction of genomic DNA from the thoracic muscles of individual M. alternatus specimens, we employed the EasyPure® Genomic DNA Kit (Beijing Transgen Biotech Co., Ltd., Beijing, China) according to the instructions. Subsequently, we meticulously assessed the concentration and quality of the extracted DNA using 1% agarose gel electrophoresis and a NanoDrop ultraviolet spectrophotometer(Thermo Fisher Scientific, Waltham, MA, USA). Only DNA samples meeting stringent concentration and quality criteria were chosen and preserved in a −20 °C freezer for subsequent applications. Moreover, we selected M. alternatus samples from JX, XN, and CW, which are geographically distanced and endemic areas for pine wilt disease, to extract genomic DNA. These selected samples were then entrusted to Wuhan Tianyi Huayu Gene Technology Co., Ltd. for library construction and subsequent RAD sequencing.

2.3. High-Quality Data Acquisition and Sequence Integration

To ensure the precision and credibility of the data, we utilized Fast QC (version 0.11.7, http://www.bioinformatics.babraham.ac.uk/projects/fastqc, accessed on 3 December 2023) for comprehensive quality control. Subsequently, we employed Fastp (v0.20.0) software to meticulously filter the raw data using a sliding window approach and remove the linker sequence, low-quality read segments, sequences with high uncertainty in base information rate, and short sequences to obtain high-quality, effective data. Following this, we integrated the data obtained from the three samples for further processing. During the sequence assembly phase, we employed FLASH software (version 1.2.11, Magoc and Salzberg 2011) to merge the sequences into single high-quality reads based on the principle of overlap. In this process, we specified the following parameters: a minimum overlap length (Min overlap) of 10, a maximum mismatch density (Max mismatch density) of 0.20, and banned the formation of “outie” pairings (Allow “outie” pairs: false).

2.4. SSR Search and Result Compilation

To precisely pinpoint SSR loci within all sequences, we used the SSR Identification Tool (MISA) (http://pgrc.ipk-gatersleben.de/misa/ accessed on 6 December 2023) to search for SSR loci in the RAD-seq dataset. During the search process, we configured the following parameters: mono-10, di-6, tri-5, tetra-5, penta-5, and hexa-5. Furthermore, to thoroughly identify SSRs within complex sequences, we allowed a maximum distance of 100 bp between two distinct SSRs. Additionally, we categorized reverse complementary and shifted permutation sequences as the same class of SSRs to ensure accuracy and comprehensiveness in identification.

2.5. SSR Primer Design

To design primers targeting SSR sequences within clusters with a polymorphism greater than 2, we employed primer3 v2.3.6 software. During the design process, particular attention was paid to the length and position of the target fragments, ensuring that the amplified target fragment length was controlled between 100 and 400 bp, with the position extending from the first base before the repeat sequence to the fifth base after the repeat sequence. Other settings were set to their default values. Several filtering stages were carried out after the primer design. First, SSR types with compound repeat motifs and single nucleotide repeat motifs were not included. Second, in order to exclude potential interference from a second SSR during the amplification process, only SSR types containing a single SSR on each read were chosen for primer construction in order to assure the correctness of the polymorphism. Furthermore, primer design was limited to particular clusters and needed polymorphism of ≥2 for SSRs inside these clusters. Each designed primer had to be backed by at least two primers inside the clusters in order to assure primer reliability and prevent sequencing mistakes. Lastly, all primer results that were identical were eliminated.

2.6. Genotyping and Genetic Diversity Analysis

Fluorescent dyes 5′-FAM, 5′-HEX, and 5′-ROX were added to the developed primers at the 5′ end of the upstream primer. Following that, 15 samples from four populations—XN, CW, CZ, JX, and BB—were subjected to PCR amplification. After polymorphic primers were found, fifteen more samples were added for PCR amplification. The PCR reaction mixture (total volume 25 μL) comprised the following: 1 μL of forward primer (F), 1 μL of reverse primer (R), 1 μL of genomic DNA, and 22 μL of 1.1× T3 Super PCR Mix (Beijing Qingke Biological Technology Co., Ltd, Beijing, China). The PCR program was configured as follows: initial denaturation at 98 °C for 3 min, followed by cycling with denaturation at 98 °C for 15 s, annealing at 53~55 °C for 15 s, extension at 72 °C for 15 s, and a final extension at 72 °C for 2 min. PCR products underwent analysis via 1% agarose gel electrophoresis, and upon verification of distinct bands, they were forwarded to Wuhan Tianyi Huayu Genetic Technology Co., Ltd. for capillary electrophoresis-based genotyping. Subsequently, the genotyping data were systematically organized in Excel sheets based on loci order. Utilizing Popgene 1.32 software (https://sites.ualberta.ca/~fyeh/popgene_download.html, accessed on 12 December 2023), allele number (Na), effective allele number (Ne), Shannon’s index (I), observed heterozygosity (Ho), and expected heterozygosity (He) were computed for each locus. Additionally, the polymorphic information content (PIC) for each locus was calculated using SSR Toolkit v3.1.1 software.

3. Results

3.1. Sequencing Quality Assessment

Following RAD-seq and rigorous filtering processes, we collected sequencing data from three samples, each providing 6.32 to 6.87 million high-quality sequences (Table 1). These sequences displayed an average base content ranging from 900 million to 980 million, indicating a considerable sequencing depth. The quality assessment found an extraordinarily high average proportion of high-quality sequences, 96.33%, while the average proportion of high-quality bases was 95.28%, confirming the overall quality of the sequencing data. Further analysis of sequencing quality indicators revealed an average Q20 value of 97.4% and an even higher average Q30 value of 97.71%, demonstrating the exceptionally high sequencing accuracy attained. Furthermore, the average GC content was 38.95%, which falls within the usual range and increases the credibility of the sequencing results. Finally, by combining these sequencing results, we created a dataset including 2.58 million read pairs, accounting for 25.90% of all read pairs acquired.
Table 1. Statistics of the filtered and RAD-seq data.

3.2. Distribution Characteristics of SSR Loci

Out of a total of 2,577,819 read pairs, we successfully identified 95,612 SSR loci. Among these, 83,097 sequences contained SSR loci, with 18,986 sequences exhibiting flanking sequence lengths exceeding 20 bp. Furthermore, 12,115 sequences with multiple SSR loci were found, bringing the total number of compound SSR loci to 12,325. The most common SSR motif types were found to be dinucleotide repeats, trinucleotide repeats, and mononucleotide repeats; these motif types accounted for 51.43%, 28.79%, and 16.74% of the SSR loci that were found. In contrast, tetranucleotide repeats, pentanucleotide repeats, and hexanucleotide repeats were relatively rare, with frequencies of 1.50%, 0.45%, and 1.06%, respectively. Further scrutiny of the more frequent SSR motifs unveiled 2 types of mononucleotide repeats, 4 types of dinucleotide repeats, and 10 types of trinucleotide repeats. Among the mononucleotide repeats, the A/T motif predominated, accounting for 98.9%, while the C/G motif was less common, representing only 1.1%. For dinucleotide repeats, the AT/AT motif emerged as the most prevalent, occupying 87.37% of the total, followed by the AG/CT motif and AC/GT motif at 6.09% and 5.72%, respectively, all surpassing the proportion of the CG/CG motif. Among the trinucleotide repeats, the AAT/AAT motif exhibited the highest frequency at 77.34%, while the frequencies of the other nine motifs were all below 5% (Table 2).
Table 2. SSR motif results and statistics of mononucleotide, dinucleotide, and trinucleotide repeat motifs.

3.3. Screening of SSR Primers

For the purpose of amplifying the complete genome of M. alternatus by PCR, 192 pairs of SSR primers were chosen at random from four distinct sampling points. Of the primer pairs, 94 were able to accomplish complete amplification during the amplification process, while 98 primer pairs showed partial amplification failure. To ensure study accuracy and efficacy, sequences with low allele numbers (Na ≤ 1) and poor peak quality (too much meaningless peak) were removed. After this thorough filtering method, we finally acquired 16 pairs of polymorphic primers (Table 3). Among the 16 pairs of polymorphic primers obtained, SSR motif types with various lengths showed distinct distributions. Specifically, there was only one SSR location containing pentanucleotide repetitions, nine SSR loci containing trinucleotide repeats, and six SSR loci containing dinucleotide repeats.
Table 3. The 16 pairs of polymorphic SSR primer sequences for the M. alternatus.

3.4. Analysis of Polymorphic of SSR Loci

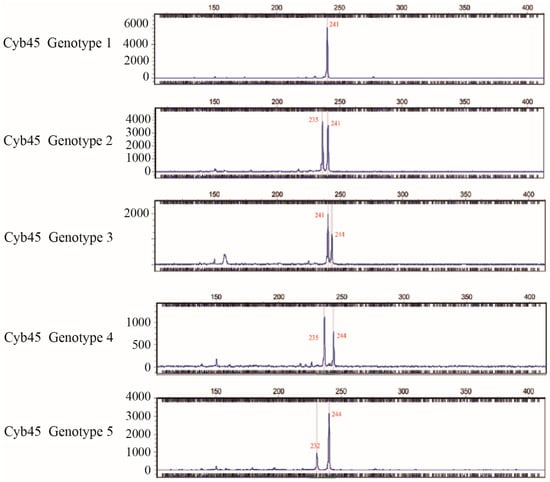
M. alternatus samples from five different sampling points were amplified using the carefully selected 16 SSR primers, and the genotyping outcomes were satisfactory. Among them, Cyb45 had four alleles and five distinct genotypes (Figure 2). The genotyping results vividly illustrate the diverse characteristics of each genetic locus. Specifically, the number of alleles (Na) at each locus ranged from 3 to 8, while the effective number of alleles (Ne) spanned from 1.50 to 5.23. Among the loci, Cby047 displayed the lowest effective number of alleles, whereas Cby070 showcased the highest effective number of alleles. Further exploration of the genetic diversity indices of these loci unveiled a range of Shannon’s index (I) values from 0.59 to 1.80, with a mean of 1.17, signifying varying degrees of genetic information content at these loci. The observed heterozygosity (Ho) fluctuated from 0.13 to 0.73, with a mean of 0.41, portraying the distribution of heterozygosity within the samples. Expected heterozygosity (He) ranged between 0.33 and 0.81, with a mean of 0.60, providing crucial insights for evaluating population genetic structure. Additionally, the gene diversity (Nei’s) spanned from 0.67 to 0.90, with a mean of 0.80, underscoring the high genetic diversity of the M. alternatus population. The polymorphic information content (PIC), a pivotal indicator of locus informativeness, varied from 0.29 to 0.78, with a mean of 0.55, highlighting the substantial information value of these SSR loci for genetic analysis and population studies.
Figure 2. Capillary electrophoresis profile of five genotypes of primer Cyb45. The abscissa represents the allele, and the ordinate represents the peak height.

4. Discussion

With the advent of high-throughput sequencing technologies, DNA sequencing methods related to enzyme-cutting sites have emerged as innovative tools. Among the RAD-seq, the employment of chip hybridization offers robust support for both the development and genotyping of SSRs through direct sequencing analysis [15,16]. While the methods for SSR primer development from transcriptome sequences hold a significant presence in genetic research, they entail drawbacks such as the need for substantial data volumes, labor-intensive experimental work, and relatively limited variation information [17,18]. This constraint derives from the fact that transcriptome sequences are largely found in gene coding regions, which are often highly conserved [19]. Therefore, getting adequate genetic variation information frequently involves large-scale experimental screening [18]. Conversely, RAD-seq constructed using whole-genome DNA sequences, offers broader coverage and the capacity to reveal a richer array of genetic variation information [20]. In this study, we successfully obtained RAD-seq of M. alternatus from three different sampling locations utilizing RAD-seq technology. The high-quality sequences obtained boasted an average Q20 value of 97.4% and a Q30 value of 97.71%, confirming the correctness and dependability of the sequencing results. Leveraging this dataset, we conducted an exhaustive analysis of SSR locus information in M. alternatus. Out of a total of 2,577,819 read pairs, we identified 95,612 SSR loci. SSR polymorphism is substantially influenced by their length, with longer SSRs exhibiting more polymorphisms (≥ 20 bp). It is noteworthy that 22.84% of SSRs in M. alternatus exceed 20 bp in length, indicating the potential for high genetic diversity within the species. This high genetic diversity may confer strong invasive capabilities to M. alternatus, making it easier for them to establish in invaded areas and perhaps inflicting ecological damage.
The majority of the unearthed SSR loci in this study (51.43%) were found to have mononucleotide repeat motifs, which were closely followed by dinucleotide repeat motifs (28.79%) and trinucleotide repeat motifs (16.74%). Notably, the frequencies of A/T, AT/AT, and AAT/ATT motifs were particularly pronounced, indicating a distinct AT bias in the base composition of M. alternatus. Several studies on SSRs in insects have revealed a wide variety of SSR locus types, with notable differences in the primary repeat types amongst species. Examples of such species include Phenacoccus solenopsis and Anticarsia gemmatalis, which are primarily known for their mononucleotide repeat motifs; Ochthebius lejolisii and O. quadricollis, which are primarily known for their dinucleotide repeat motifs; Anopheles darlingi and Tomicus yunnanensis, which are primarily known for their trinucleotide repeat motifs; Anoplophora glabripennis, which is primarily known for its occurrences; and so on [21,22,23,24,25,26]. We speculate that this differential phenomenon may be attributed to the genetic characteristics inherent to each species. Furthermore, differences in SSR retrieval parameters, choice of transcriptome sequencing platforms, and variations in data processing software could also influence the observed results [27]. In this study, we meticulously screened 192 pairs of primers with good polymorphic specificity, among which 16 pairs efficiently amplified clear, stable, and polymorphic-rich specific bands. This demonstrates the practical applicability of SSR primers created for M. alternatus, particularly across various populations of the species.
This study conducted genetic diversity analysis on M. alternatus from four distinct sampling sites. The analysis of the data reported in Table 4 demonstrated that M. alternatus specimens from the four sampling sites had higher genetic diversity. Further analysis revealed that the polymorphic information content (PIC) ranged from 0.29 to 0.78, with the majority of loci having PIC values exceeding 0.50, indicating highly polymorphic loci [28]. This finding revealed that the 16 primer pairs used for this investigation were effective at gathering genetic variation information. As a result, an appropriate subset of these primers might be chosen to act as useful genetic markers for measuring genetic diversity among M. alternatus populations from various geographic locations. A comparison with the genetic diversity analysis results of M. alternatus from various places in Japan by Kagaya et al., based on SSR loci, indicated consistency in the number of alleles at SSR loci but higher observed heterozygosity [29]. This finding further affirms the stability and polymorphic advantages of the primers used in our study. Moreover, studies by Hu et al. and Fu et al. also indicated substantial genetic diversity in M. alternatus across different ranges [30,31]. Previous research has also demonstrated significant genetic diversity of M. alternatus within provinces due to human activities. In the future, building upon the SSR loci obtained in this study, we aim to further investigate the genetic diversity of M. alternatus within provinces to elucidate population genetic structure and genetic differentiation characteristics. This endeavor seeks to provide a deeper and more comprehensive understanding of the ecology and genetics of M. alternatus.
Table 4. SSR primer polymorphism information.

5. Conclusions

This study utilized a restriction-site associated DNA sequencing technique to develop 16 pairs of SSR primers for M. alternatus, which were applied to most populations of this species. The amplification performance of the 16 primer pairs on the M. alternatus was excellent, achieving 100% amplification efficiency across all 15 samples. Meanwhile, the rich genetic information contained within these primers renders them suitable for the analysis of genetic diversity in M. alternatus. This research has significant implications for advancing the construction of the genetic map, gene localization, and exploration of gene functions for M. alternatus.

Author Contributions

Conceptualization, J.L. (Jintao Lu), S.Z., and P.H.; methodology, J.L. (Jintao Lu); software, J.L. (Jintao Lu) and S.Z.; validation, Y.Z., J.L. (Jiaxin Liu), and Z.Y.; formal analysis, P.H.; investigation, P.H.; resources, P.H.; data curation, J.L. (Jintao Lu); writing—original draft preparation, J.L. (Jintao Lu) and Y.Z.; writing—review and editing, J.L. (Jintao Lu), L.H., and J.L. (Jiaxin Liu); visualization, J.L. (Jintao Lu) and L.H.; supervision, S.Z. and Z.Y.; project administration, P.H. All authors have read and agreed to the published version of the manuscript.

Funding

This work was supported by the Fund for “Central Government Guide Development of Local Science and Technology Genetic Diversity of Bursaphelenchus xylophilus and Monochamus alternatus in Guangxi and their Correlation” (The funder was Ping Hu, the funding number was 2021ZY21195019).

Institutional Review Board Statement

Not applicable.

Data Availability Statement

The datasets generated and/or analyzed during this study are available from the corresponding author on reasonable request.

Conflicts of Interest

The authors declare no conflicts of interest.

References

  1. Nickle, W.R.; Golden, A.M.; Mamiya, Y.; Wergin, W.P. On the taxonomy and morphology of the pine wood nematode, Bursaphelenchus xylophilus (Steiner & Buhrer 1934) Nickle 1970. J. Nematol. 1981, 13, 385–392. [Google Scholar] [PubMed]
  2. Liao, Q.L.; Yang, X.Z.; Ma, J.Y.; Sheng, L.J.; Zou, S.Q. The complete mitochondrial genome of Monochamus alternatus alternatus (Coleoptera: Cerambycidae). Mitochondrial DNA B 2020, 5, 3381–3382. [Google Scholar] [CrossRef] [PubMed]
  3. Teale, S.A.; Wickham, J.D.; Zhang, F.P.; Su, J.; Chen, Y.; Xiao, W.; Hanks, L.M.; Millar, J.G. A Male-produced aggregation pheromone of Monochamus alternatus (Coleoptera: Cerambycidae), a major vector of pine wood nematode. J. Econ. Entomol. 2011, 104, 1592–1598. [Google Scholar] [CrossRef] [PubMed]
  4. Linit, M.J. Temporal pattern of pinewood nematode exit from the insect vector Monochamus carolinensis. J. Nematol. 1989, 21, 105–107. [Google Scholar]
  5. Morimoto, K.; Iwasaki, A. Role of Monochamus alternatus (Coleoptera: Cerambycidae) as a vector of Bursaphelenchus lignicolus (Nematoda: Aphelenchoididae). J. Jpn. For. Soc. 1972, 54, 177–183. [Google Scholar]
  6. Madhumati, B. Potential and application of molecular markers techniques for plant genome analysis. Int. J. Pure App. Biosci. 2014, 2, 169–188. [Google Scholar]
  7. Chen, X.; Gao, Z. The study and application of DNA molecular marker technique. Mol. Plant Breed. 2019, 17, 1970–1977. [Google Scholar]
  8. Tautz, D.; Renz, M. Simple sequences are ubiquitous repetitive components of eukaryotic genomes. Nucleic Acids Res. 1984, 12, 4127–4138. [Google Scholar] [CrossRef]
  9. Gupta, P.K.; Balyan, H.S.; Sharma, P.C.; Ramesh, B. Microsatellites in plants: A new class of molecular markers. Curr. Sci. India 1996, 70, 45–54. [Google Scholar]
  10. Ožana, S.; Dolný, A.; Pánek, T. Nuclear copies of mitochondrial DNA as a potential problem for phylogenetic and population genetic studies of Odonata. Syst. Entomol. 2022, 47, 591–602. [Google Scholar] [CrossRef]
  11. Zhou, Z.X.; Wan, F.H.; Chen, B.; Zhang, G.F. Application of DNA Molecular Marker Techniques in Studying of Parasitoid Insects. Chin. J. Biol. Control 2009, 25, 164. [Google Scholar]
  12. Saha, M.; Kundu, S.C. Molecular identification of tropical tasar silkworm (Antheraea mylitta) ecoraces with RAPD and SCAR markers. Biochem. Genet. 2006, 44, 72–85. [Google Scholar] [CrossRef] [PubMed]
  13. Lee, I.H.; Choi, B.Y.; Kim, D.S.; Han, H.; Kim, Y.H.; Shim, D. Temporal Transcriptome Profiling of Pinus densiflora Infected with Pine Wood Nematode Reveals Genetically Programmed Changes upon Pine Wilt Disease. Phytopathology® 2024, 114, 982–989. [Google Scholar] [CrossRef] [PubMed]
  14. Back, M.A.; Bonifácio, L.; Inácio, M.L.; Mota, M.; Boa, E. Pine wilt disease: A global threat to forestry. Plant Pathol. 2024, 73, 1026–1041. [Google Scholar] [CrossRef]
  15. Rochette, N.C.; Catchen, J.M. Deriving genotypes from RAD-seq short-read data using Stacks. Nat. Protoc. 2017, 12, 2640–2659. [Google Scholar] [CrossRef]
  16. Li, Y.G.; He, M.X. Genetic map and QTL analysis of growth-related traits in Pinctada fucata using restriction-site associated DNA sequencing. PLoS ONE 2014, 9, e111707. [Google Scholar]
  17. Deng, K.; Deng, R.J.; Fan, J.X.; Chen, E.F. Transcriptome analysis and development of simple sequence repeat (SSR) markers in Zingiber striolatum Diels. Physiol. Mol. Biol. Pla. 2018, 24, 125–134. [Google Scholar] [CrossRef]
  18. Duan, X.T.; Wang, K.; Su, S.; Tian, R.Z.; Li, Y.T.; Chen, M.H. De novo transcriptome analysis and microsatellite marker development for population genetic study of a serious insect pest, Rhopalosiphum padi (L.) (Hemiptera: Aphididae). PLoS ONE 2017, 12, e0172513. [Google Scholar] [CrossRef]
  19. Chen, Z.M.; Chen, J.; Zhang, X.; He, Y.M.; Wang, G.H. Development of microsatellite markers for the nipa palm hispid beetle, Octodonta nipae (Maulik). Can. J. Infect. Dis. Med. 2018, 2018, 9139306. [Google Scholar] [CrossRef]
  20. Ning, X.; Jiang, X.L.; Deng, M.; Xu, G.B. Development of microsatellite primers of Quercus championii with RAD-seq Data. Bull. Bot. Res. 2020, 40, 629–634. [Google Scholar]
  21. García-Meseguer, A.J.; Villastrigo, A.; Mirón-Gatón, J.M.; Millán, A.; Velasco, J.; Muñoz, D. Novel Microsatellite Loci, Cross-Species Validation of Multiplex Assays, and By-Catch Mitochondrial Genomes on Ochthebius Beetles from Supratidal Rockpools. Insects 2023, 14, 881. [Google Scholar] [CrossRef] [PubMed]
  22. de Souza, A.T.; Batista, J.S.; Guimarães-Marques, G.M.; Cunha-Machado, A.S.; Rafael, M.S. Identification and validation of the first EST-SSR markers based on transcriptome of Anopheles darlingi, the primary transmitter of malaria in Brazil. Mol. Biol. Rep. 2023, 50, 7099–7104. [Google Scholar] [CrossRef] [PubMed]
  23. Dias, F.C.; de Souza, R.F.; Pezenti, L.F.; Dionisio, J.F.; Paulino, J.A.M.; da Silva, C.R.M.; Sosa-Gómez, D.R.; da Rosa, R. Transcriptional Analysis of Microsatellites in Velvetbean Caterpillar Anticarsia gemmatalis Hübner, 1818. Cytogenet. Genome Res. 2022, 162, 273–282. [Google Scholar] [CrossRef] [PubMed]
  24. Liu, Z.Y.; Tao, J.; Luo, Y.Q. Development and characterization of polymorphic genomic-SSR markers in Asian long-horned beetle (Anoplophora glabripennis). B Entomol. Res. 2017, 107, 749–755. [Google Scholar] [CrossRef]
  25. Yuan, Y.; Zhang, L.F.; Wu, G.X.; Zhu, J.Y. High-throughput discovery microsatellites in Tomicus yunnanensis (Coleoptera: Scolytinae). J. Environ. Entomol. 2014, 36, 166–170. [Google Scholar]
  26. Luo, M.; Zhang, H.; Bin, S.Y.; Lin, J.T. High-throughput discovery of SSR genetic markers in the mealybug, Phenacoccus solenopsis (Hemiptera: Pseudococcidae), from its transcriptome database. Acta Entomol. Sin. 2014, 57, 395–400. [Google Scholar]
  27. Varshney, R.K.; Graner, A.; Sorrells, M.E. Genic microsatellite markers in plants: Features and applications. Trends Biotechnol. 2005, 23, 48–55. [Google Scholar] [CrossRef]
  28. Botstein, D.; White, R.L.; Skolnick, M.; Davis, R.W. Construction of a genetic linkage map in man using restriction fragment length polymorphisms. Am. J. Human Genet. 1980, 32, 314. [Google Scholar]
  29. Shoda-Kagaya, E. Genetic differentiation of the pine wilt disease vector Monochamus alternatus (Coleoptera: Cerambycidae) over a mountain range–revealed from microsatellite DNA markers. B Entomol. Res. 2007, 97, 167–174. [Google Scholar] [CrossRef]
  30. Hu, S.J.; Tiao, N.; Fu, D.Y.; Haack, R.A.; Zhang, Z.; Chen, D.D.; Ma, X.Y.; Ye, H. Dispersal of the Japanese Pine Sawyer, Monochamus alternatus (Coleoptera: Cerambycidae), in Mainland China as Inferred from Molecular Data and Associations to Indices of Human Activity. PLoS ONE 2013, 8, e57568. [Google Scholar] [CrossRef]
  31. Fu, D.Y.; Hu, S.J.; Ye, H.; Haack, R.A.; Zhou, P.Y. Pine wilt disease in Yunnan, China: Evidence of non-local pine sawyer Monochamus alternatus (Coleoptera: Cerambycidae) populations revealed by mitochondrial DNA. Insect Sci. 2010, 17, 439–447. [Google Scholar] [CrossRef]
Disclaimer/Publisher’s Note: The statements, opinions and data contained in all publications are solely those of the individual author(s) and contributor(s) and not of MDPI and/or the editor(s). MDPI and/or the editor(s) disclaim responsibility for any injury to people or property resulting from any ideas, methods, instructions or products referred to in the content.

Article Metrics

Citations

Article Access Statistics

Multiple requests from the same IP address are counted as one view.