Putative Nociceptive Responses in a Decapod Crustacean: The Shore Crab (Carcinus maenas)
Abstract
Simple Summary
Abstract
1. Introduction
2. Materials and Methods
2.1. Ethical Considerations
2.2. Animals
2.3. Experimental Protocol
2.4. Statistical Analysis
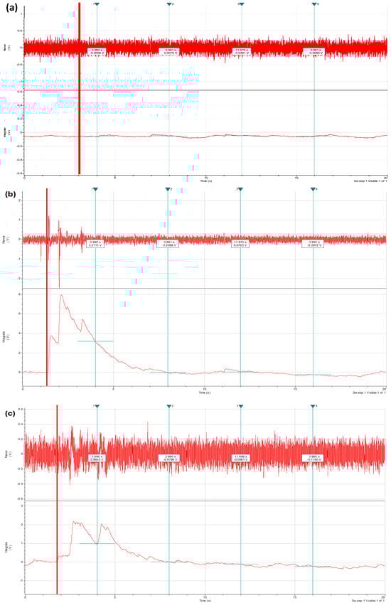
3. Results
3.1. Maximum Amplitude and Duration of Stimulus Between Mechanical and Acetic Acid
3.2. Eyes
3.3. Limbs
3.4. Antennae and Antennules
3.5. Comparison of Responses Across Tissues Within Individuals
4. Discussion
5. Conclusions
Supplementary Materials
Author Contributions
Funding
Institutional Review Board Statement
Informed Consent Statement
Data Availability Statement
Acknowledgments
Conflicts of Interest
Correction Statement
References
- Magee, B.; Elwood, R.W. Trade-offs between predator avoidance and electric shock avoidance in hermit crabs demonstrate a non-reflexive response to noxious stimuli consistent with prediction of pain. Behav. Process. 2016, 130, 31–35. [Google Scholar] [CrossRef]
- Birch, J.; Burn, C.; Schnell, A.; Browning, H.; Crump, A. Review of the Evidence of Sentience in Cephalopod Molluscs and Decapod Crustaceans, LSE Consulting. LSE Enterprise Ltd. The London School of Economics and Political Science. 2021. Available online: https://www.lse.ac.uk/News/News-Assets/PDFs/2021/Sentience-in-Cephalopod-Molluscs-and-Decapod-Crustaceans-Final-Report-November-2021.pdf (accessed on 13 October 2024).
- Barr, S.; Laming, P.R.; Dick, J.T.A.; Elwood, R.W. Nociception or pain in a decapod crustacean? Anim. Behav. 2008, 75, 745–751. [Google Scholar] [CrossRef]
- Baliki, M.N.; Apkarian, A.V. Nociception, Pain, Negative Moods, and Behavior Selection. Neuron 2015, 87, 474–491. [Google Scholar] [CrossRef] [PubMed]
- Sneddon, L.U.; Elwood, R.W.; Adamo, S.A.; Leach, M.C. Defining and assessing animal pain. Anim. Behav. 2014, 97, 201–212. [Google Scholar] [CrossRef]
- Kavaliers, M. Evolutionary and comparative aspects of nociception. Brain Res. Bull. 1988, 21, 923–931. [Google Scholar] [CrossRef]
- Sherrington, C. The Integrative Action of the Nervous System, 1st ed.; Oxford University Press: Oxford, UK, 1906. [Google Scholar]
- Derderian, C.; Shumway, K.R.; Prasanna, T. Physiology, Withdrawal Response. In StatPearls; StatPearls Publishing: Treasure Island, FL, USA, 2024. Available online: https://www.ncbi.nlm.nih.gov/books/NBK544292/ (accessed on 18 August 2024).
- Sherwin, C.M. Can Invertebrates Suffer? or, How Robust is Argument-By-Analogy? Anim. Welf. 2001, 10, S103–S118. [Google Scholar] [CrossRef]
- Bateson, P. Assessment of pain in animals. Anim. Behav. 1991, 42, 827–839. [Google Scholar] [CrossRef]
- Smith, E.S.J.; Lewin, G.R. Nociceptors: A phylogenetic view. J. Comp. Physiol. A 2009, 195, 1089–1106. [Google Scholar] [CrossRef]
- Elwood, R. Evidence for pain in decapod crustaceans. Anim. Welf. 2012, 21, 23–27. [Google Scholar] [CrossRef]
- Elwood, R.W.; Dalton, N.; Riddell, G. Aversive responses by shore crabs to acetic acid but not to capsaicin. Behav. Process. 2017, 140, 1–5. [Google Scholar] [CrossRef]
- Barr, S. and Elwood. R.W. Trade-Offs between Avoidance of Noxious Electric Shock and Avoidance of Bright Light in Shore Crabs Are Consistent with Predictions of Pain. Animals 2024, 14, 770. [Google Scholar] [CrossRef] [PubMed]
- Puri, S.; Faulkes, Z. Can crayfish take the heat? Procambarus clarkii show nociceptive behaviour to high temperature stimuli, but not low temperature or chemical stimuli. Biol. Open 2015, 4, 441–448. [Google Scholar] [CrossRef] [PubMed]
- Puri, S.; Faulkes, Z. Do Decapod Crustaceans Have Nociceptors for Extreme pH? PLoS ONE 2010, 5, e10244. [Google Scholar] [CrossRef] [PubMed]
- Purves, D.; Williams, S.M. (Eds.) Neuroscience, 2nd ed.; Sinauer Associates: Sunderland, MA, USA, 2001; ISBN 78-0-87893-742-4. [Google Scholar]
- Sullivan, J.M.; Herberholz, J. Structure of the Nervous System. In Functional Morphology and Diversity; Watling, L., Thiel, M., Eds.; Oxford University Press: Oxford, UK, 2013; pp. 451–484. [Google Scholar] [CrossRef]
- Howard, B.R.; Barrios-O’Neill, D.; Alexander, M.E.; Dick, J.T.A.; Therriault, T.W.; Robinson, T.B.; Côté, I.M. Functional responses of a cosmopolitan invader demonstrate intraspecific variability in consumer-resource dynamics. PeerJ 2018, 6, e5634. [Google Scholar] [CrossRef] [PubMed]
- Rodrigues, E.T.; Pardal, M.Â. The crab Carcinus maenas as a suitable experimental model in ecotoxicology. Environ. Int. 2014, 70, 158–182. [Google Scholar] [CrossRef]
- Tanner, H.N.; Atkins, D.E.; Bosh, K.L.; Breakfield, G.W.; Daniels, S.E.; Devore, M.J.; Fite, H.E.; Guo, L.Z.; Henry, D.K.J.; Kaffenberger, A.K.; et al. Effect of TEA and 4-AP on Primary Sensory Neurons in a Crustacean Model. J. Pharmacol. Toxicol. 2022, 17, 14–27. [Google Scholar] [CrossRef]
- Abbott, N.J. The organization of the cerebral ganglion in the shore crab, Carcinus maenas: II. The relation of intracerebral blood vessels to other brain elements. Z. Zellforsch 1971, 120, 401–419. [Google Scholar] [CrossRef]
- Krieger, J.; Sombke, A.; Seefluth, F.; Kenning, M.; Hansson, B.S.; Harzsch, S. Comparative brain architecture of the European shore crab Carcinus maenas (Brachyura) and the common hermit crab Pagurus bernhardus (Anomura) with notes on other marine hermit crabs. Cell Tissue Res. 2012, 348, 47–69. [Google Scholar] [CrossRef]
- Velez, Z.; Hubbard, P.C.; Alves, A.; Costa, R.; Guerreiro, P.M. Environmental salinity modulates olfactory sensitivity in the euryhaline European seabass, Dicentrarchus labrax, acclimated to seawater and brackish water. J. Exp. Biol. 2024, 227, jeb.246448. [Google Scholar] [CrossRef]
- Sneddon, L.U. Evolution of nociception in vertebrates: Comparative analysis of lower vertebrates. Brain Res. Rev. 2004, 46, 123–130. [Google Scholar] [CrossRef]
- Stevens, C.W. Alternatives to the use of mammals for pain research. Life Sci. 1999, 50, 901–912. [Google Scholar] [CrossRef] [PubMed]
- Gentle, M.J. Pain in Birds. Anim. Welf. 1992, 1, 235–247. [Google Scholar] [CrossRef]
- Dubin, A.E.; Patapoutian, A. Nociceptors: The sensors of the pain pathway. J. Clin. Investig. 2010, 120, 3760–3772. [Google Scholar] [CrossRef]
- Woolf, C.J.; Ma, Q. Nociceptors—Noxious Stimulus Detectors. Neuron 2007, 55, 353–364. [Google Scholar] [CrossRef] [PubMed]
- Sneddon, L.U. Evolution of nociception and pain: Evidence from fish models. Phil. Trans. R. Soc. B 2019, 374, 20190290. [Google Scholar] [CrossRef]
- Lynn, B.; Faulstroh, K.; Pierau, F.K. The Classification and Properties of Nociceptive Afferent Units from the Skin of the Anaesthetized Pig. Eur. J. Neurosci. 1995, 7, 431–437. [Google Scholar] [CrossRef]
- Taylor, G.M.; Keyghobadi, N.; Schmidt, P.S. The Geography of Crushing: Variation in Claw Performance of the Invasive Crab Carcinus Maenas. J. Exp. Mar. Biol. Ecol. 2009, 377, 48–53. [Google Scholar] [CrossRef]
- Luque, J.; Allison, W.T.; Bracken-Grissom, H.D.; Jenkins, K.M.; Palmer, A.R.; Porter, M.L.; Wolfe, J.M. Evolution of crab eye structures and the utility of ommatidia morphology in resolving phylogeny. bioRxiv 2019. [Google Scholar] [CrossRef]
- Derby, C.D. The Crustacean Antennule: A Complex Organ Adapted for Lifelong Function in Diverse Environments and Lifestyles. Biol. Bull. 2021, 240, 67–81. [Google Scholar] [CrossRef]
- Armstrong, S.A.; Herr, M.J. Physiology, Nociception. In StatPearls; StatPearls Publishing: Treasure Island, FL, USA, 2024. Available online: https://www.ncbi.nlm.nih.gov/books/NBK551562/ (accessed on 26 August 2024).
- Di Maio, G.; Villano, I.; Ilardi, C.R.; Messina, A.; Monda, V.; Iodice, A.C.; Porro, C.; Panaro, M.A.; Chieffi, S.; Messina, G.; et al. Mechanisms of Transmission and Processing of Pain: A Narrative Review. IJERPH 2023, 20, 3064. [Google Scholar] [CrossRef]
- Hamamoto, D.T.; Simone, D.A. Characterization of Cutaneous Primary Afferent Fibers Excited by Acetic Acid in a Model of Nociception in Frogs. J. Neurophysiol. 2003, 90, 566–577. [Google Scholar] [CrossRef] [PubMed]
- Diggles, B.K.; Arlinghaus, R.; Browman, H.I.; Cooke, S.J.; Cooper, R.L.; Cowx, I.G.; Derby, C.D.; Derbyshire, S.W.; Hart, P.J.B.; Jones, B.; et al. Reasons to Be Skeptical about Sentience and Pain in Fishes and Aquatic Invertebrates. Rev. Fish. Sci. Aquac. 2024, 32, 127–150. [Google Scholar] [CrossRef]
- Cavanaugh, D.J.; Lee, H.; Lo, L.; Shields, S.D.; Zylka, M.J.; Basbaum, A.I.; Anderson, D.J. Distinct Subsets of Unmyelinated Primary Sensory Fibers Mediate Behavioral Responses to Noxious Thermal and Mechanical Stimuli. Proc. Natl. Acad. Sci. USA 2009, 106, 9075–9080. [Google Scholar] [CrossRef] [PubMed]
- Sneddon, L.U. Comparative Physiology of Nociception and Pain. Physiology 2018, 33, 63–73. [Google Scholar] [CrossRef]
- Ashley, P.J.; Sneddon, L.U.; McCrohan, C.R. Nociception in fish: Stimulus–response properties of receptors on the head of trout Oncorhynchus mykiss. Brain Res. 2007, 1166, 47–54. [Google Scholar] [CrossRef]
- Mettam, J.J.; McCrohan, C.R.; Sneddon, L.U. Characterisation of chemosensory trigeminal receptors in the rainbow trout, Oncorhynchus mykiss: Responses to chemical irritants and carbon dioxide. J. Exp. Biol. 2012, 215, 685–693. [Google Scholar] [CrossRef]
- Cate, H.; Derby, C. Morphology and Distribution of Setae on the Antennules of the Caribbean Spiny Lobster Panulirus Argus Reveal New Types of Bimodal Chemo-Mechanosensilla. Cell Tissue Res. 2001, 304, 439–454. [Google Scholar] [CrossRef]





| Responses (Number) | ||
|---|---|---|
| Areas | Mechanical | Acetic |
| Eyes | 4 | 35 |
| Legs | 24 | 47 |
| Claws | 6 | 15 |
| Antennae | 0 | 7 |
| Antennules | 0 | 17 |
| Total | 34 | 121 |
Disclaimer/Publisher’s Note: The statements, opinions and data contained in all publications are solely those of the individual author(s) and contributor(s) and not of MDPI and/or the editor(s). MDPI and/or the editor(s) disclaim responsibility for any injury to people or property resulting from any ideas, methods, instructions or products referred to in the content. |
© 2024 by the authors. Licensee MDPI, Basel, Switzerland. This article is an open access article distributed under the terms and conditions of the Creative Commons Attribution (CC BY) license (https://creativecommons.org/licenses/by/4.0/).
Share and Cite
Kasiouras, E.; Hubbard, P.C.; Gräns, A.; Sneddon, L.U. Putative Nociceptive Responses in a Decapod Crustacean: The Shore Crab (Carcinus maenas). Biology 2024, 13, 851. https://doi.org/10.3390/biology13110851
Kasiouras E, Hubbard PC, Gräns A, Sneddon LU. Putative Nociceptive Responses in a Decapod Crustacean: The Shore Crab (Carcinus maenas). Biology. 2024; 13(11):851. https://doi.org/10.3390/biology13110851
Chicago/Turabian StyleKasiouras, Eleftherios, Peter C. Hubbard, Albin Gräns, and Lynne U. Sneddon. 2024. "Putative Nociceptive Responses in a Decapod Crustacean: The Shore Crab (Carcinus maenas)" Biology 13, no. 11: 851. https://doi.org/10.3390/biology13110851
APA StyleKasiouras, E., Hubbard, P. C., Gräns, A., & Sneddon, L. U. (2024). Putative Nociceptive Responses in a Decapod Crustacean: The Shore Crab (Carcinus maenas). Biology, 13(11), 851. https://doi.org/10.3390/biology13110851

