Assessment of Anatomical Uniqueness of Maxillary Sinuses through 3D–3D Superimposition: An Additional Help to Personal Identification
Abstract
Simple Summary
Abstract
1. Introduction
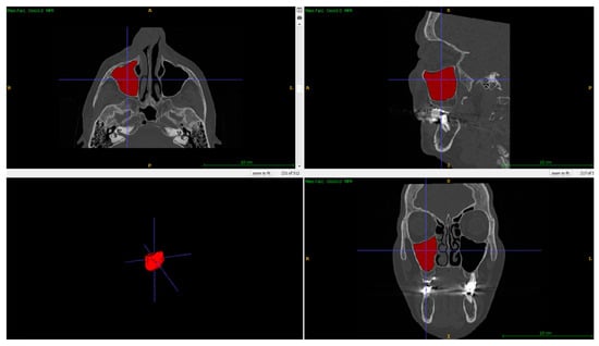
2. Materials and Methods
3. Results
4. Discussion
5. Conclusions
Author Contributions
Funding
Institutional Review Board Statement
Informed Consent Statement
Data Availability Statement
Acknowledgments
Conflicts of Interest
References
- Ubelaker, D.H.; Shamlou, A.; Kunkle, A. Contributions of Forensic Anthropology to Positive Scientific Identification: A Critical Review. Forensic Sci. Res. 2019, 4, 45–50. [Google Scholar] [CrossRef] [PubMed]
- Cattaneo, C.; De Angelis, D.; Mazzarelli, D.; Porta, D.; Poppa, P.; Caccia, G.; D’Amico, M.E.; Siccardi, C.; Previderè, C.; Bertoglio, B.; et al. The Rights of Migrants to the Identification of Their Dead: An Attempt at an Identification Strategy from Italy. Int. J. Legal Med. 2023, 137, 145–156. [Google Scholar] [CrossRef]
- INTERPOL Disaster Victim Identification (DVI) Guide. 2018. Available online: https://www.interpol.int/content/download/589/file/18Y1344%20E%20DVI_Guide.pdf (accessed on 3 July 2023).
- Sweet, D. INTERPOL DVI Best-Practice Standards—An Overview. Forensic Sci. Int. 2010, 201, 18–21. [Google Scholar] [CrossRef]
- de Boer, H.H.; Obertová, Z.; Cunha, E.; Adalian, P.; Baccino, E.; Fracasso, T.; Kranioti, E.; Lefévre, P.; Lynnerup, N.; Petaros, A.; et al. Strengthening the Role of Forensic Anthropology in Personal Identification: Position Statement by the Board of the Forensic Anthropology Society of Europe (FASE). Forensic Sci. Int. 2020, 315, 110456. [Google Scholar] [CrossRef] [PubMed]
- Cellina, M.; Gibelli, D.; Cappella, A.; Toluian, T.; Pittino, C.V.; Carlo, M.; Oliva, G. Segmentation Procedures for the Assessment of Paranasal Sinuses Volumes. Neuroradiol. J. 2021, 34, 13–20. [Google Scholar] [CrossRef] [PubMed]
- Christensen, A.M. Testing the Reliability of Frontal Sinuses in Positive Identification. J. Forensic Sci. 2005, 50, 18–22. [Google Scholar] [CrossRef]
- Christensen, A.M.; Hatch, G.M. Advances in the Use of Frontal Sinuses for Human Identification. In New Perspectives in Forensic Human Skeletal Identification; Elsevier: Amsterdam, The Netherlands, 2018; pp. 227–240. [Google Scholar]
- Soares, C.B.R.B.; Almeida, M.S.C.; Lopes, P.D.M.L.; Beltrão, R.V.; Pontual, A.D.A.; Ramos-Perez, F.M.D.M.; Figueroa, J.N.; Pontual, M.L.D.A. Human Identification Study by Means of Frontal Sinus Imaginological Aspects. Forensic Sci. Int. 2016, 262, 183–189. [Google Scholar] [CrossRef] [PubMed]
- Christensen, A.M. Assessing the Variation in Individual Frontal Sinus Outlines. Am. J. Phys. Anthropol. 2005, 127, 291–295. [Google Scholar] [CrossRef]
- Smith, V.A.; Christensen, A.M.; Myers, S.W. The Reliability of Visually Comparing Small Frontal Sinuses. J. Forensic Sci. 2010, 55, 1413–1415. [Google Scholar] [CrossRef]
- Yoshino, M.; Miyasaka, S.; Sato, H.; Seta, S. Classification System of Frontal Sinus Patterns by Radiography. Its Application to Identification of Unknown Skeletal Remains. Forensic Sci. Int. 1987, 34, 289–299. [Google Scholar] [CrossRef]
- Gibelli, D.; Cellina, M.; Cappella, A.; Gibelli, S.; Panzeri, M.M.; Oliva, A.G.; Termine, G.; De Angelis, D.; Cattaneo, C.; Sforza, C. An Innovative 3D-3D Superimposition for Assessing Anatomical Uniqueness of Frontal Sinuses through Segmentation on CT Scans. Int. J. Legal Med. 2019, 133, 1159–1165. [Google Scholar] [CrossRef] [PubMed]
- Li, Y.; Xu, C.; Yu, D.; Xiong, T.; Zhao, H.; Xue, H.; Liang, W.B.; Deng, Z.H.; Zhang, L. Computer-Aided Superimposition of the Frontal Sinus via 3D Reconstruction for Comparative Forensic Identification. Int. J. Legal Med. 2021, 135, 1993–2001. [Google Scholar] [CrossRef] [PubMed]
- Decker, S.J.; Ford, J.M. Forensic Personal Identification Utilizing Part-to-Part Comparison of CT-Derived 3D Lumbar Models. Forensic Sci. Int. 2019, 294, 21–26. [Google Scholar] [CrossRef]
- Palamenghi, A.; Mazzarelli, D.; Cappella, A.; De Angelis, D.; Sforza, C.; Cattaneo, C.; Gibelli, D. Digital Pair—Matching of Iliac Bones: Pilot Study on a Three—Dimensional Approach with Models Acquired through Stereophotogrammetry. Int. J. Legal Med. 2022, 137, 105–113. [Google Scholar] [CrossRef] [PubMed]
- Palamenghi, A.; Cappella, A.; Cellina, M.; Mazzarelli, D.; De Angelis, D.; Sforza, C.; Cattaneo, C.; Gibelli, D. 3D-3D Superimposition of Pubic Bones: Expanding the Anthropological Toolkit for the Pair-Matching of Commingled Skeletal Remains. Biology 2022, 12, 30. [Google Scholar] [CrossRef] [PubMed]
- Cappella, A.; Affatato, L.; Gibelli, D.; Mazzarelli, D.; Zago, M.; Dolci, C.; Sforza, C.; Cattaneo, C. An Osteometric and 3D Analysis of the Atlanto-occipital Joint: An Initial Screening Method to Exclude Crania and Atlases in Commingled Remains. Am. J. Biol. Anthropol. 2021, 177, 439–453. [Google Scholar] [CrossRef]
- Karell, M.A.; Langstaff, H.K.; Halazonetis, D.J.; Minghetti, C.; Frelat, M.; Kranioti, E.F. A Novel Method for Pair-Matching Using Three-Dimensional Digital Models of Bone: Mesh-to-Mesh Value Comparison. Int. J. Legal Med. 2016, 130, 1315–1322. [Google Scholar] [CrossRef]
- McWhirter, Z.; Karell, M.A.; Er, A.; Bozdag, M.; Ekizoglu, O.; Kranioti, E.F. Exploring the Functionality of Mesh-to-Mesh Value Comparison in Pair-Matching and Its Application to Fragmentary Remains. Biology 2021, 10, 1303. [Google Scholar] [CrossRef]
- Cappella, A.; Gibelli, D.; Cellina, M.; Mazzarelli, D.; Oliva, A.G.; De Angelis, D.; Sforza, C.; Cattaneo, C. Three-Dimensional Analysis of Sphenoid Sinus Uniqueness for Assessing Personal Identification: A Novel Method Based on 3D-3D Superimposition. Int. J. Legal Med. 2019, 133, 1895–1901. [Google Scholar] [CrossRef]
- Bolzan, J.; Tucunduva, M. Estudo Radiográfico Da Cavidade Nasal e Dos Seios Paranasais e Suas Variações. Sci. Health 2012, 3, 23–31. [Google Scholar]
- Musse, J.; Marques, J.; Vilas Boas, C.; Sousa, R.; Oliveira, R. Importância Pericial Das Radiografias Panorâmicas e Da Análise Odontológica Para Identificação Humana: Relato de Caso. Rev. Odontol. UNESP 2011, 40, 108–111. [Google Scholar]
- Collins, K.M. Visual and Geometric Analysis of Maxillary Sinus Region Variability for Identification of Unknown Decedents; University of Montana: Missoula, MT, USA, 2014. [Google Scholar]
- Musse, J.D.O.; Marques, J.A.M.; de Oliveira, R.N. Contribuição Da Análise Do Seio Maxilar Para a Identificação Humana. Saúde Ética Justiça 2009, 14, 65. [Google Scholar] [CrossRef]
- Soler, A. Positive Identification Through Comparative Panoramic Radiography of the Maxillary Sinuses: A Validation Study. In Proceedings of the American Academy of Forensic Sciences, Chicago, IL, USA, 21–26 February 2011. Physical Anthropology Section.; Published by Printers, Corp., Denver, CO in 2011. [Google Scholar]
- Velasco-Torres, M.; Padial-Molina, M.; Avila-Ortiz, G.; García-Delgado, R.; O’Valle, F.; Catena, A.; Galindo-Moreno, P. Maxillary Sinus Dimensions Decrease as Age and Tooth Loss Increase. Implant Dent. 2017, 26, 288–295. [Google Scholar] [CrossRef] [PubMed]
- Khaitan, T.; Kabiraj, A.; Ginjupally, U.; Jain, R. Cephalometric Analysis for Gender Determination Using Maxillary Sinus Index: A Novel Dimension in Personal Identification. Int. J. Dent. 2017, 2017, 7026796. [Google Scholar] [CrossRef]
- Teke, H.Y.; Duran, S.; Canturk, N.; Canturk, G. Determination of Gender by Measuring the Size of the Maxillary Sinuses in Computerized Tomography Scans. Surg. Radiol. Anat. 2007, 29, 9–13. [Google Scholar] [CrossRef]
- Aktuna Belgin, C.; Colak, M.; Adiguzel, O.; Akkus, Z.; Orhan, K. Three-Dimensional Evaluation of Maxillary Sinus Volume in Different Age and Sex Groups Using CBCT. Eur. Arch. Oto-Rhino-Laryngol. 2019, 276, 1493–1499. [Google Scholar] [CrossRef]
- Velásquez-Plata, D.; Hovey, L.R.; Peach, C.C.; Alder, M.E. Maxillary Sinus Septa: A 3-Dimensional Computerized Tomographic Scan Analysis. Int. J. Oral Maxillofac. Implant. 2002, 17, 854–860. [Google Scholar]
- Sharan, A.; Madjar, D. Maxillary Sinus Pneumatization Following Extractions: A Radiographic Study. Int. J. Oral Maxillofac. Implant. 2008, 23, 48–56. [Google Scholar]
- Araujo, M.; Lindhe, J. The Edentulous Alveolar Ridge. In Clinical Periodontology and Implant Dentistry; Lindhe, J., Karring, T., Lang, N., Eds.; Blackwell Munksgaard: Oxford, UK, 2003. [Google Scholar]
- Farias Gomes, A.; de Oliveira Gamba, T.; Yamasaki, M.C.; Groppo, F.C.; Haiter Neto, F.; Possobon, R.D.F. Development and Validation of a Formula Based on Maxillary Sinus Measurements as a Tool for Sex Estimation: A Cone Beam Computed Tomography Study. Int. J. Legal Med. 2019, 133, 1241–1249. [Google Scholar] [CrossRef] [PubMed]
- Butaric, L.N. Differential Scaling Patterns in Maxillary Sinus Volume and Nasal Cavity Breadth Among Modern Humans. Anat. Rec. 2015, 298, 1710–1721. [Google Scholar] [CrossRef] [PubMed]
- Holton, N.; Yokley, T.; Butaric, L. The Morphological Interaction Between the Nasal Cavity and Maxillary Sinuses in Living Humans. Anat. Rec. 2013, 296, 414–426. [Google Scholar] [CrossRef] [PubMed]
- Evteev, A.A.; Grosheva, A.N. Nasal Cavity and Maxillary Sinuses Form Variation among Modern Humans of Asian Descent. Am. J. Phys. Anthropol. 2019, 169, 513–525. [Google Scholar] [CrossRef]
- Butaric, L.N.; Wadle, M.; Gascon, J. Anatomical Variation in Maxillary Sinus Ostium Positioning: Implications for Nasal-Sinus Disease. Anat. Rec. 2019, 302, 917–930. [Google Scholar] [CrossRef] [PubMed]
- Kim, S.; Ward, L.A.; Butaric, L.N.; Maddux, S.D. Ancestry-based Variation in Maxillary Sinus Anatomy: Implications for Health Disparities in Sinonasal Disease. Anat. Rec. 2022, 305, 18–36. [Google Scholar] [CrossRef]
- Yushkevich, P.A.; Piven, J.; Hazlett, H.C.; Smith, R.G.; Ho, S.; Gee, J.C.; Gerig, G. User-Guided 3D Active Contour Segmentation of Anatomical Structures: Significantly Improved Efficiency and Reliability. Neuroimage 2006, 31, 1116–1128. [Google Scholar] [CrossRef] [PubMed]
- Gibelli, D.; Cellina, M.; Gibelli, S.; Cappella, A.; Oliva, A.G.; Termine, G.; Dolci, C.; Sforza, C. Relationship between Sphenoid Sinus Volume and Protrusion of Internal Carotid Artery and Optic Nerve: A 3D Segmentation Study on Maxillofacial CT-Scans. Surg. Radiol. Anat. 2019, 41, 507–512. [Google Scholar] [CrossRef]
- Codari, M.; Zago, M.; Guidugli, G.A.; Pucciarelli, V.; Tartaglia, G.M.; Ottaviani, F.; Righini, S.; Sforza, C. The Nasal Septum Deviation Index (NSDI) Based on CBCT Data. Dentomaxillofac. Radiol. 2016, 45, 20150327. [Google Scholar] [CrossRef]
- Palamenghi, A.; De Angelis, D.; Cellina, M.; Sforza, C.; Cattaneo, C.; Gibelli, D. Does the Choice of the Reference Model Affect the Results of 3D-3D Superimposition Procedure? A Comparison of Different Protocols for Personal Identification. Int. J. Legal Med. 2021, 135, 1879–1886. [Google Scholar] [CrossRef]
- Cohen, J. Statistical Power Analysis for the Behavioral Sciences; Routledge: London, UK, 2013; ISBN 9781134742707. [Google Scholar]
- Gibelli, D.M.; Cellina, M.; Gibelli, S.; Schiavo, P.; Oliva, A.G.; Termine, G.; Ferrario, V.F.; Dolci, C.; Sforza, C. Can Volumetric and Morphological Variants of Sphenoid Sinuses Influence Sinuses Opacification? J. Craniofacial Surg. 2018, 29, 2344–2347. [Google Scholar] [CrossRef]
- Probst, J.; Dritsas, K.; Halazonetis, D.; Ren, Y.; Katsaros, C.; Gkantidis, N. Precision of a Hand-Held 3D Surface Scanner in Dry and Wet Skeletal Surfaces: An Ex Vivo Study. Diagnostics 2022, 12, 2251. [Google Scholar] [CrossRef]
- Gotra, A.; Chartrand, G.; Vu, K.-N.; Vandenbroucke-Menu, F.; Massicotte-Tisluck, K.; de Guise, J.A.; Tang, A. Comparison of MRI- and CT-Based Semiautomated Liver Segmentation: A Validation Study. Abdom. Radiol. 2017, 42, 478–489. [Google Scholar] [CrossRef] [PubMed]
- Colman, K.L.; de Boer, H.H.; Dobbe, J.G.G.; Liberton, N.P.T.J.; Stull, K.E.; van Eijnatten, M.; Streekstra, G.J.; Oostra, R.-J.; van Rijn, R.R.; van der Merwe, A.E. Virtual Forensic Anthropology: The Accuracy of Osteometric Analysis of 3D Bone Models Derived from Clinical Computed Tomography (CT) Scans. Forensic Sci. Int. 2019, 304, 109963. [Google Scholar] [CrossRef] [PubMed]




| mm | Males | Females | |||
|---|---|---|---|---|---|
| Matches | Mismatches | Matches | Mismatches | ||
| Right side | RMS | 0.24 | 2.45 | 0.21 | 2.22 |
| SD | 0.16 | 0.91 | 0.14 | 0.73 | |
| Max | 0.89 | 5.24 | 0.87 | 3.93 | |
| Min | 0.07 | 1.29 | 0.03 | 1.18 | |
| Left side | RMS | 0.29 | 2.43 | 0.27 | 2.19 |
| SD | 0.21 | 0.82 | 0.20 | 0.74 | |
| Max | 0.93 | 5.45 | 0.79 | 4.40 | |
| Min | 0.04 | 1.15 | 0.02 | 1.12 | |
| F | p | Eta-Squared | |
|---|---|---|---|
| Sex | 4.839 | 0.028 | 0.012 |
| Side | 0.076 | 0.783 | 0.000 |
| Group (matches–mismatches) | 1262.852 | <0.001 * | 0.763 |
| Sex × side | 0.000 | 0.984 | 0.000 |
| Sex × group | 3.391 | 0.066 | 0.009 |
| Side × group | 0.370 | 0.543 | 0.001 |
| Sex × side × group | 0.002 | 0.962 | 0.000 |
Disclaimer/Publisher’s Note: The statements, opinions and data contained in all publications are solely those of the individual author(s) and contributor(s) and not of MDPI and/or the editor(s). MDPI and/or the editor(s) disclaim responsibility for any injury to people or property resulting from any ideas, methods, instructions or products referred to in the content. |
© 2023 by the authors. Licensee MDPI, Basel, Switzerland. This article is an open access article distributed under the terms and conditions of the Creative Commons Attribution (CC BY) license (https://creativecommons.org/licenses/by/4.0/).
Share and Cite
Palamenghi, A.; Cappella, A.; Cellina, M.; De Angelis, D.; Sforza, C.; Cattaneo, C.; Gibelli, D. Assessment of Anatomical Uniqueness of Maxillary Sinuses through 3D–3D Superimposition: An Additional Help to Personal Identification. Biology 2023, 12, 1018. https://doi.org/10.3390/biology12071018
Palamenghi A, Cappella A, Cellina M, De Angelis D, Sforza C, Cattaneo C, Gibelli D. Assessment of Anatomical Uniqueness of Maxillary Sinuses through 3D–3D Superimposition: An Additional Help to Personal Identification. Biology. 2023; 12(7):1018. https://doi.org/10.3390/biology12071018
Chicago/Turabian StylePalamenghi, Andrea, Annalisa Cappella, Michaela Cellina, Danilo De Angelis, Chiarella Sforza, Cristina Cattaneo, and Daniele Gibelli. 2023. "Assessment of Anatomical Uniqueness of Maxillary Sinuses through 3D–3D Superimposition: An Additional Help to Personal Identification" Biology 12, no. 7: 1018. https://doi.org/10.3390/biology12071018
APA StylePalamenghi, A., Cappella, A., Cellina, M., De Angelis, D., Sforza, C., Cattaneo, C., & Gibelli, D. (2023). Assessment of Anatomical Uniqueness of Maxillary Sinuses through 3D–3D Superimposition: An Additional Help to Personal Identification. Biology, 12(7), 1018. https://doi.org/10.3390/biology12071018

