Vitamin D Is Necessary for Murine Gastric Epithelial Homeostasis
Abstract
:Simple Summary
Abstract
1. Introduction
2. Materials and Methods
2.1. Mice and Their Diets
2.2. Histology
2.3. RNA Separation and cDNA Synthesis
2.4. Reverse Transcription PCR (RT-PCR)
2.5. Quantitative Real-Time PCR (qRT-PCR)
2.6. Mass Spectrometric Measurement of Serum Vitamin D
2.7. Measurement of Gastric Acid
2.8. Statistical Analysis
3. Results
3.1. Expression of the VDR in Normal Gastric Epithelial Tissues
3.2. The VDR Is Expressed by Gastric Parietal and Mucous Cells
3.3. Gastric Expression of CYP Enzymes Involved in Regulating VD3
3.4. Establishment of a VDD Mouse Model
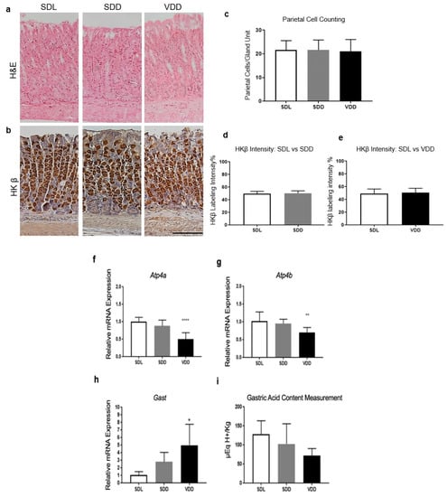
3.5. Low Gastric Acid Content along with Increased Gastrin Gene Expression in the VDD Stomach
3.6. A Noticeable Increase in Gastric Stem/Progenitor Cell Proliferation in the VDD Group of Mice
3.7. Gastric Differentiation Markers and Vdr Expression Are Affected by Vitamin D Status
3.8. The Expression of the Target Genes of 1α,25(OH)2D3 in Response to Vitamin D Status
4. Discussion
5. Conclusions
Supplementary Materials
Author Contributions
Funding
Institutional Review Board Statement
Informed Consent Statement
Data Availability Statement
Acknowledgments
Conflicts of Interest
References
- Combs, G.F.; McClung, J.P. The Vitamins: Fundamental Aspects in Nutrition and Health, 5th ed.; Academic Press: Cambridge, MA, USA, 2016. [Google Scholar]
- Windaus, A. The Chemistry of Irradiated Ergosterol. R. Soc. 1931, 108, 568–575. [Google Scholar]
- Bikle, D.D. Vitamin D: An Ancient Hormone. Exp. Dermatol. 2010, 20, 7–13. [Google Scholar] [CrossRef]
- Holick, M.F. Chapter 2—Photobiology of Vitamin D. In Vitamin D; Academic Press: Cambridge, MA, USA, 2011; pp. 13–22. [Google Scholar]
- Jones, G.; Prosser, D.E. The Activating Enzymes of Vitamin D Metabolism (25- and 1α-Hydroxylases). In Vitamin D; Feldman, D., Pike, J.W., Adams, J.S., Eds.; Academic Press: Cambridge, MA, USA, 2011; pp. 23–41. [Google Scholar]
- Zmijewski, M.A.; Carlberg, C. Vitamin D Receptor(s): In the Nucleus but Also at Membranes? Exp. Dermatol. 2020, 29, 876–884. [Google Scholar] [CrossRef]
- Moore, D.D.; Kato, S.; Xie, W.E.N.; Mangelsdorf, D.J.; Schmidt, D.R.; Xiao, R.U.I.; Kliewer, S.A. International Union of Pharmacolog. LXII. The NR1H and NR1I Receptors: Constitutive Androstane Receptor, Pregnene X Receptor, Farnesoid X Receptor Alpha, Farnesoid X Receptor Beta, Liver X Receptor Alpha, Liver X Receptor Beta and Vitamin D Receptor. Am. Soc. Pharmacol. Exp. Ther. 2006, 58, 742–759. [Google Scholar]
- Haussler, M.R.; Jurutka, P.W.; Mizwicki, M.; Norman, A.W. Vitamin D Receptor (VDR)-Mediated Actions of 1a,25(OH)2vitamin D3: Genomic and Non-Genomic Mechanisms. Best Pract. Res. Clin. Endocrinol. Metab. 2011, 25, 543–559. [Google Scholar] [CrossRef]
- Choi, M.; Yamamoto, K.; Masuno, H.; Nakashima, K.; Yamada, S. Ligand Recognition by the Vitamin D Receptor. Bioorg. Med. Chem. 2001, 9, 1721–1730. [Google Scholar] [CrossRef]
- Hoenderop, J.G.J.; Vennekens, R.; Müller, D.; Prenen, J.; Droogmans, G.; Bindels, R.J.M.; Nilius, B. Function and Expression of the Epithelial Ca2+ Channel Family: Comparison of Mammalian ECaC1 and 2. J. Physiol. 2001, 537, 747–761. [Google Scholar] [CrossRef]
- Chow, J.; Norng, M.; Zhang, J.; Chai, J. TRPV6 Mediates Capsaicin-Induced Apoptosis in Gastric Cancer Cells-Mechanisms behind a Possible New “Hot” Cancer Treatment. Biochim. Biophys. Acta Mol. Cell Res. 2007, 1773, 565–576. [Google Scholar] [CrossRef] [Green Version]
- Ikeda, K.; Lu, C.; Weir, E.C.; Mangin, M.; Broadus, A.E. Transcriptional Regulation of the Parathyroid Hormone-Related Peptide Gene by Glococorticoids and Vitamin D in Human C-Cell Line. J. Biol. Chem. 1989, 264, 15743–15746. [Google Scholar] [CrossRef]
- Wysolmerski, J.J. Parathyroid Hormone-Related Protein: An Update. J. Clin. Endocrinol. Metab. 2012, 97, 2947–2956. [Google Scholar] [CrossRef] [Green Version]
- Yasui, W.; Akama, Y.; Kuniyasu, H.; Yokozaki, H.; Semba, S.; Shimamoto, F.; Tahara, E. Expression of Cyclin-Dependent Kinase Inhibitor P21(WAF1/CIP1) in Non-Neoplastic Mucosa and Neoplasia of the Stomach: Relationship with P53 Status and Proliferative Activity. J. Pathol. 1996, 180, 122–128. [Google Scholar] [CrossRef]
- Saramäki, A.; Banwell, C.M.; Campbell, M.J.; Carlberg, C. Regulation of the Human P21(Waf1/Cip1) Gene Promoter via Multiple Binding Sites for P53 and the Vitamin D3 Receptor. Nucleic Acids Res. 2006, 34, 543–554. [Google Scholar] [CrossRef] [PubMed] [Green Version]
- Stumpf, W.E. Vitamin D and the Digestive System. Eur. J. Drug Pharm. 2008, 33, 85–100. [Google Scholar] [CrossRef]
- Wang, Y.; Zhu, J.; Deluca, H.F. Where Is the Vitamin D Receptor? Arch. Biochem. Biophys. 2012, 523, 123–133. [Google Scholar] [CrossRef] [PubMed]
- Matusiak, D.; Murillo, G.; Carroll, R.E.; Mehta, R.G.; Benya, R.V. Expression of Vitamin D Receptor and 25-Hydroxyvitamin D3-1 A -Hydroxylase in Normal and Malignant Human Colon. Cancer Epidemiol. Biomark. Prev. 2005, 14, 2370–2377. [Google Scholar] [CrossRef] [Green Version]
- Trowbridge, R.; Mittal, S.K.; Sharma, P.; Hunter, W.J.; Agrawal, D.K. Vitamin D Receptor Expression in the Mucosal Tissue at the Gastroesophageal Junction. Exp. Mol. Pathol. 2012, 93, 246–249. [Google Scholar] [CrossRef] [Green Version]
- Christakos, S.; Li, S.; Cruz, J.D.L.; Shroyer, N.F.; Criss, Z.K.; Verzi, M.P.; Fleet, J.C. Vitamin D and the Intestine: Review and Update. Physiol. Behav. 2016, 176, 139–148. [Google Scholar] [CrossRef] [PubMed]
- Cantorna, M.T.; Rogers, C.J.; Arora, J. Aligning the Paradoxical Role of Vitamin D in Gastrointestinal Immunity. Trends Endocrinol. Metab. 2019, 30, 459–466. [Google Scholar] [CrossRef]
- Wen, Y.; Da, M.; Zhang, Y.; Peng, L.; Yao, J.; Duan, Y. Alterations in Vitamin D Signaling Pathway in Gastric Cancer Progression: A Study of Vitamin D Receptor Expression in Human Normal, Premalignant, and Malignant Gastric Tissue. Int. J. Clin. Exp. Pathol. 2015, 8, 13176–13184. [Google Scholar] [PubMed]
- Fletcher, J.; Cooper, S.C.; Ghosh, S.; Hewison, M. The Role of Vitamin D in Inflammatory Bowel Disease: Mechanism to Management. Nutrients 2019, 11, 1019. [Google Scholar] [CrossRef] [PubMed] [Green Version]
- Zhou, J.; Ge, X.; Fan, X.; Wang, J.; Miao, L.; Hang, D. Associations of Vitamin D Status with Colorectal Cancer Risk and Survival. Int. J. Cancer 2021, 149, 606–614. [Google Scholar] [CrossRef]
- Shafrir, A.; Shauly-Aharonov, M.; Katz, L.H.; Paltiel, O.; Pickman, Y.; Ackerman, Z. The Association between Serum Vitamin d Levels and Helicobacter Pylori Presence and Eradication. Nutrients 2021, 13, 1–12. [Google Scholar] [CrossRef] [PubMed]
- Dare, W.N.; Oyinbo, C.A.; Izunya, A.M. Study of the Structure of the Gastric Mucosa in the Mouse (Cell Population). J. Life Sci. Biomed. 2012, 2, 182–186. [Google Scholar]
- Mahadevan, V. Anatomy of the Stomach. Surgery 2014, 32, 571–574. [Google Scholar] [CrossRef]
- Hoffmann, W. Regeneration of the Gastric Mucosa and Its Glands from Stem Cells. Curr. Med. Chem. 2008, 15, 3133–3144. [Google Scholar] [CrossRef] [PubMed]
- Karam, S.M.; Leblond, C.P. Identifying and Counting Epithelial Cell Types in the “Corpus” of the Mouse Stomach. Anat. Rec. 1992, 232, 231–246. [Google Scholar] [CrossRef] [PubMed]
- Arnold, R.; Hulst, M.V.; Neuhof, C.H.; Schwarting, H.; Becker, H.D. Antral Gastrin-Producing G-Cells and Somatostatin- Producing D-Cells in Different States of Gastric Acid Secretion. Gut 1982, 23, 285–291. [Google Scholar] [CrossRef] [PubMed] [Green Version]
- Lynch, J.P.; Metz, D.C. Gastric Epithelial Stem Cells. Gastroenterology 2011, 140, 412–424. [Google Scholar] [CrossRef] [Green Version]
- Karam, S.M. Lineage Commitment and Maturation of Epithelial Cells in the Gut. Front. Biosci. 1999, 4, 286–298. [Google Scholar] [CrossRef] [Green Version]
- Holick, M.F. Vitamin D Status: Measurement, Interpretation and Clinical Application. Ann. Epidemiol. 2009, 19, 73–78. [Google Scholar] [CrossRef] [Green Version]
- Wakayo, T.; Whiting, S.J.; Belachew, T. Vitamin D Deficiency Is Associated with Overweight and/or Obesity among Schoolchildren in Central Ethiopia: A Cross-Sectional Study. Nutrients 2016, 8, 190–201. [Google Scholar] [CrossRef] [Green Version]
- Waldum, H.L.; Sandvik, A.K.; Brenna, E.; Petersen, H. Gastrin-Histamine Sequence in the Regulation of Gastric Acid Secretion. Gut 1991, 32, 698–701. [Google Scholar] [CrossRef] [PubMed] [Green Version]
- Ross, A.C.; Taylor, C.L.; Yaktine, A.L.; Del Valle, H.B. Dietary Reference Intakes for Calcium and Vitamin D; The National Academic Press: Washington, DC, USA, 2011. [Google Scholar]
- Wang, X.; Wang, T.; White, J.H.; Studzinski, G.P. Induction of Kinase Suppressor of RAS-1 (KSR-1) Gene by 1, a 25-Dihydroxyvitamin D 3 in Human Leukemia HL60 Cells through a Vitamin D Response Element in the 5′-Flanking Region. Oncogene 2006, 25, 7078–7085. [Google Scholar] [CrossRef] [PubMed] [Green Version]
- Zeitz, U.; Weber, K.; Soegiarto, D.W.; Wolf, E.; Balling, R.; Reinhold, G.; Genetics, M. Impaired Insulin Secretory Capacity in Mice Lacking a Functional Vitamin D Receptor. FASEB J. 2003, 17, 509–511. [Google Scholar] [CrossRef]
- Cheng, J.B.; Motola, D.L.; Mangelsdorf, D.J.; Russell, D.W. De-Orphanization of Cytochrome P450 2R1. J. Biol. Chem. 2015, 278, 38084–38093. [Google Scholar] [CrossRef] [Green Version]
- Usui, E.; Noshiro, M.; Okuda, K. Molecular Cloning of CDNA for Vitamin D, 25hydroxylase Mitochondria. FEBS J. 1990, 262, 135–138. [Google Scholar] [CrossRef] [Green Version]
- Sakaki, T.; Sawada, N.; Komai, K.; Shiozawa, S.; Yamada, S.; Yamamoto, K. Dual Metabolic Pathway of 25-Hydroxyvitamin D 3 Catalyzed by Human. Eur. J. Biochem. 2000, 267, 6158–6165. [Google Scholar] [CrossRef] [Green Version]
- Han, Y.-P.; Kong, M.; Zheng, S.; Ren, Y.; Zhu, L.; Shi, H.; Duan, Z. Vitamin D in Liver Diseases: From Mechanisms to Clinical Trials. J. Gastroenterol. Hepatol. 2013, 28, 49–55. [Google Scholar] [CrossRef]
- Yao, X.; Forte, J.G. Cell Biology of Acid Secretion by the Parietal Cell. Annu. Rev. Physiol. 2003, 65, 103–131. [Google Scholar] [CrossRef]
- Antico, A.; Tozzoli, R.; Giavarina, D.; Tonutti, E.; Bizzaro, N. Hypovitaminosis D as Predisposing Factor for Atrophic Type A Gastritis: A Case-Control Study and Review of the Literature on the Interaction of Vitamin D with the Immune System. Clin. Rev. Allergy Immunol. 2012, 42, 355–364. [Google Scholar] [CrossRef] [PubMed]
- Rugge, M.; Correa, P.; Dixon, M.F.; Fiocca, R.; Hattori, T.; Lechago, J.; Leandro, G.; Price, A.B.; Sipponen, P.; Solcia, E.; et al. Gastric Mucosal Atrophy: Interobserver Consistency Using New Criteria for Classification and Grading. Aliment. Pharmacol. Ther. 2006, 16, 1249–1259. [Google Scholar]
- Naveh-Many, T.; Rahamimov, R.; Livni, N.; Silver, J. Parathyroid Cell Proliferation in Normal and Chronic Renal Failure Rats. The Effects of Calcium, Phosphate, and Vitamin D. J. Clin. Investig. 1995, 96, 1786–1793. [Google Scholar] [CrossRef]
- Kallay, E.; Pietschmann, P.; Toyokuni, S.; Bajna, E.; Hahn, P.; Mazzucco, K.; Bieglmayer, C.; Kato, S.; Cross, H.S. Characterization of a Vitamin D Receptor Knockout Mouse as a Model of Colorectal Hyperproliferation and DNA Damage. Carcinogenesis 2001, 22, 1429–1435. [Google Scholar] [CrossRef] [Green Version]
- Ohning, G.V.; Wong, H.C.; Lloyd, K.C.; Walsh, J.H. Gastrin Mediates the Gastric Mucosal Proliferative Response to Feeding. Am. J. Physiol. 1996, 271, 470–476. [Google Scholar] [CrossRef]
- Kinoshita, Y.; Ishihara, S. Mechanism of Gastric Mucosal Proliferation Induced by Gastrin. J. Gastroenterol. Hepatol. 2000, 15, 7–11. [Google Scholar] [CrossRef] [PubMed]
- Al Menhali, A.; Keeley, T.M.; Demitrack, E.S.; Samuelson, L.C. Gastrin Induces Parathyroid Hormone-like Hormone Expression in Gastric Parietal Cells. Am. J. Physiol. 2017, 312, 649–657. [Google Scholar] [CrossRef] [PubMed] [Green Version]








Publisher’s Note: MDPI stays neutral with regard to jurisdictional claims in published maps and institutional affiliations. |
© 2021 by the authors. Licensee MDPI, Basel, Switzerland. This article is an open access article distributed under the terms and conditions of the Creative Commons Attribution (CC BY) license (https://creativecommons.org/licenses/by/4.0/).
Share and Cite
Ali, I.I.; Shah, I.; Marzouk, S.; Karam, S.M.; Al Menhali, A. Vitamin D Is Necessary for Murine Gastric Epithelial Homeostasis. Biology 2021, 10, 705. https://doi.org/10.3390/biology10080705
Ali II, Shah I, Marzouk S, Karam SM, Al Menhali A. Vitamin D Is Necessary for Murine Gastric Epithelial Homeostasis. Biology. 2021; 10(8):705. https://doi.org/10.3390/biology10080705
Chicago/Turabian StyleAli, Ifrah Ismail, Iltaf Shah, Sayed Marzouk, Sherif M. Karam, and Asma Al Menhali. 2021. "Vitamin D Is Necessary for Murine Gastric Epithelial Homeostasis" Biology 10, no. 8: 705. https://doi.org/10.3390/biology10080705
APA StyleAli, I. I., Shah, I., Marzouk, S., Karam, S. M., & Al Menhali, A. (2021). Vitamin D Is Necessary for Murine Gastric Epithelial Homeostasis. Biology, 10(8), 705. https://doi.org/10.3390/biology10080705

