Purification and Characterization of Enterocins A, B, and a Novel High-Mass Bacteriocin from Enterococcus lactis-67 with Antilisterial Activity
Abstract
1. Introduction
2. Results
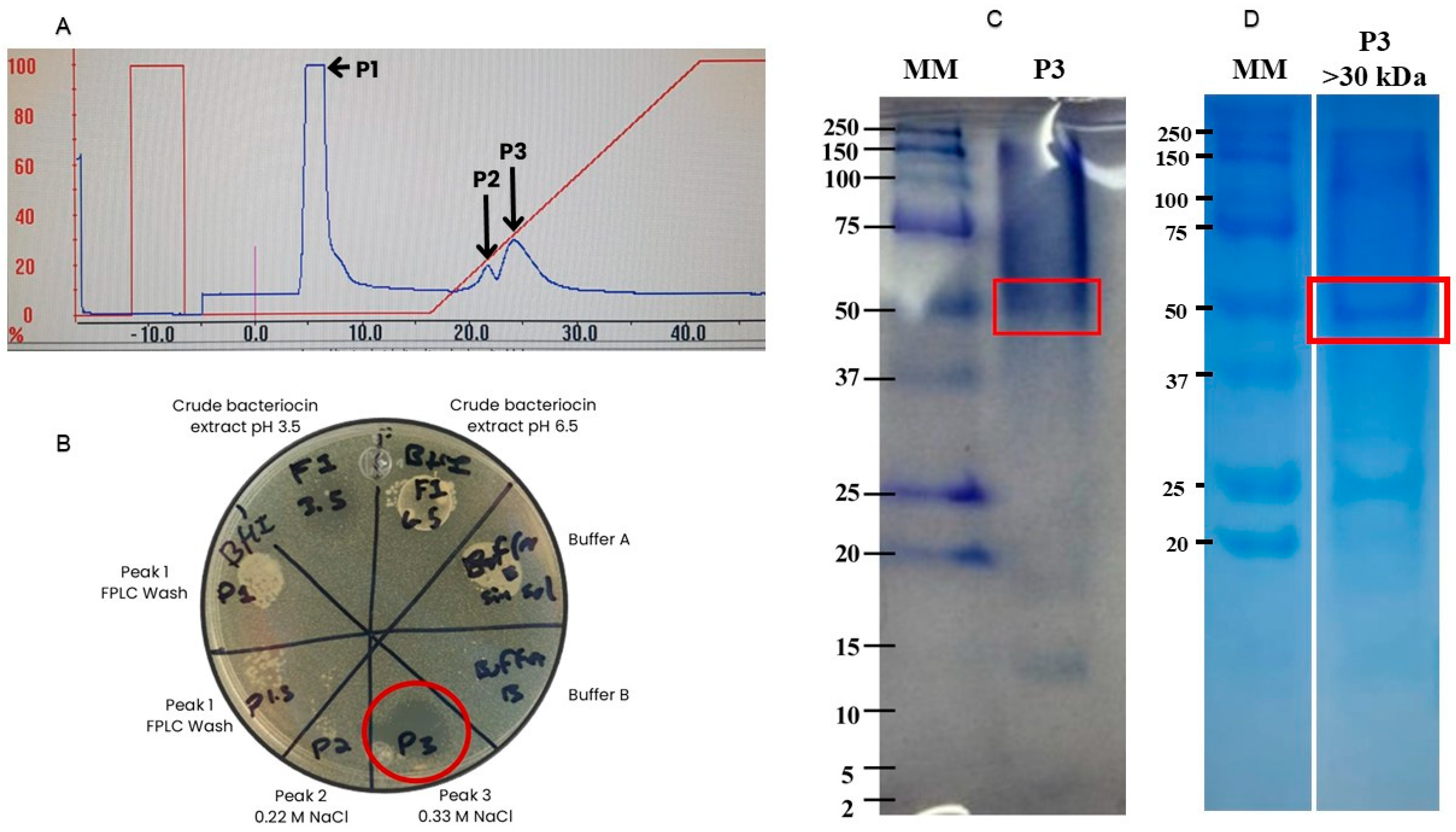
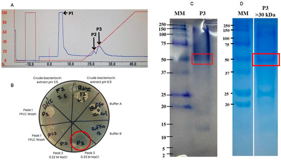
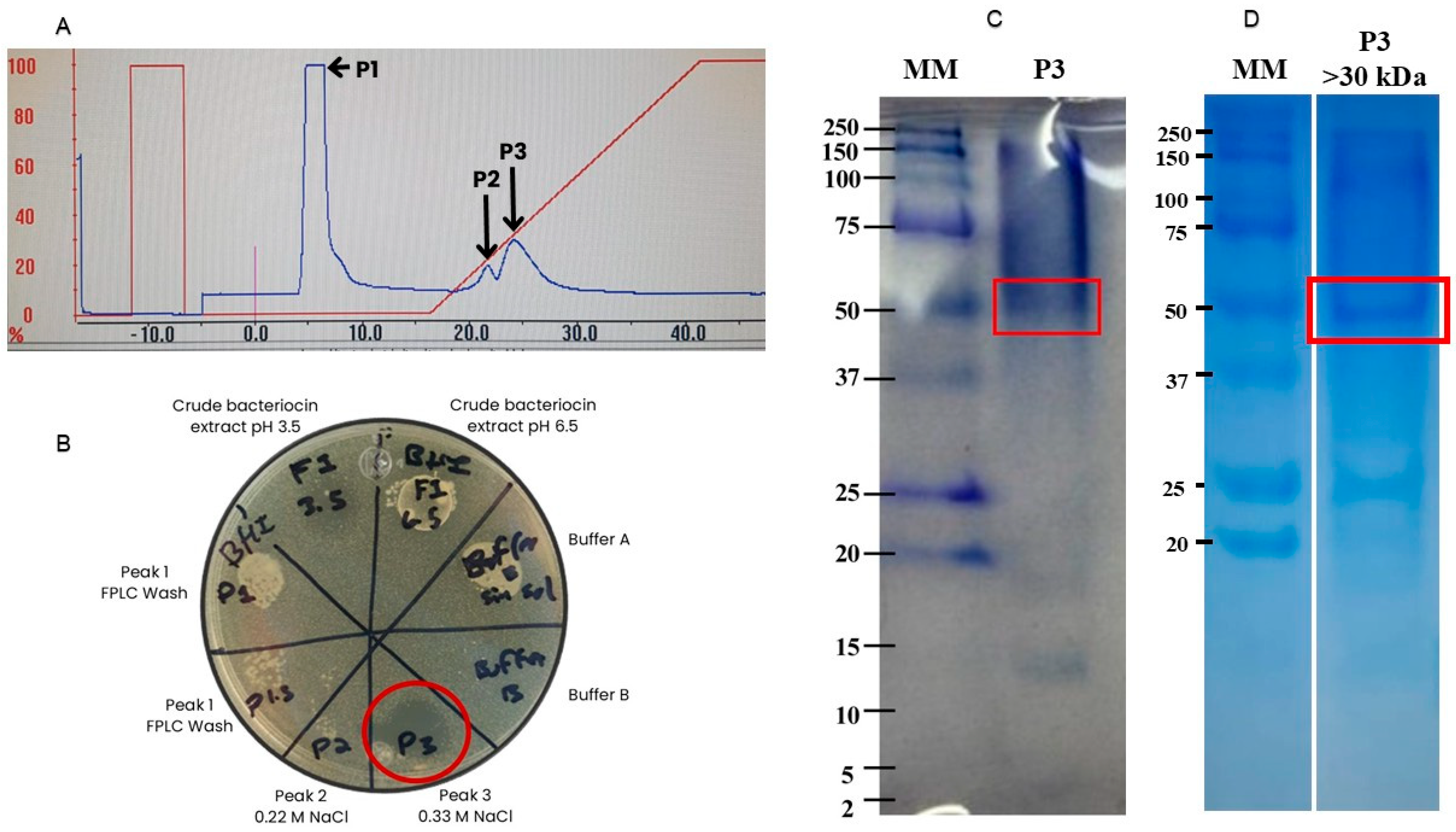
2.1. Purification and Identification of the Bacteriocins of E. lactis-67
2.2. Identification of the Amino Acid Sequences of the Bacteriocins of E. lactis-67
2.3. Bioinformatic Analyses of the Amino-Acid Sequence of EHM from E. lactis-67
3. Discussion
4. Materials and Methods
4.1. Bacteria Strains Conditions, Activation, and Antagonistic Activity
4.2. Semi-Purification of the BLIS of E. lactis-67
4.3. Purification and Molecular Mass Estimation of the Bacteriocin from E. lactis-67
4.4. Identification of the Bacteriocin from E. lactis-67 by Liquid Chromatography Tandem Mass Spectrometry (LC–MS/MS)
4.5. Data and Bioinformatic Analysis
5. Conclusions
Author Contributions
Funding
Institutional Review Board Statement
Informed Consent Statement
Data Availability Statement
Acknowledgments
Conflicts of Interest
References
- Hernandez-Mendoza, E.; Aida Peña-Ramos, E.; Juneja, V.K.; Valenzuela-Melendres, M.; Susana Scheuren-Acevedo, M.; Osoria, M. Optimizing the effects of nisin and NaCl to thermal inactivate Listeria monocytogenes in ground beef with chipotle sauce during sous-vide processing. J. Food Prot. 2023, 86, 100086. [Google Scholar] [CrossRef]
- WHO. Foodborne Diseases 2025. Available online: https://www.who.int/health-topics/foodborne-diseases#tab=tab_1 (accessed on 14 July 2025).
- Asioli, D.; Aschemann-Witzel, J.; Caputo, V.; Vecchio, R.; Annunziata, A.; Næs, T.; Varela, P. Making sense of the “clean label” trends: A review of consumer food choice behavior and discussion of industry implications. Food Res. Int. 2017, 99, 58–71. [Google Scholar] [CrossRef]
- Kumariya, R.; Garsa, A.K.; Rajput, Y.S.; Sood, S.K.; Akhtar, N.; Patel, S. Bacteriocins: Classification, synthesis, mechanism of action and resistance development in food spoilage causing bacteria. Microb. Pathog. 2019, 128, 171–177. [Google Scholar] [CrossRef]
- Pérez-Ramos, A.; Madi-Moussa, D.; Coucheney, F.; Drider, D. Current knowledge of the mode of action and immunity mechanisms of LAB-bacteriocins. Microorganisms 2021, 9, 2107. [Google Scholar] [CrossRef] [PubMed]
- Alvarez-Siero, P.; Montalbán-López, M.; Mu, D.; Kuipers, O. Bacteriocins of lactic acid bacteria: Extending the family. Appl. Microbiol. Biotechnol. 2016, 100, 2939–2951. [Google Scholar] [CrossRef] [PubMed]
- De Marco, I.; Fusieger, A.; Nero, L.A.; Kempka, A.P.; Moroni, L.S. Bacteriocin-like inhibitory substances (BLIS) synthesized by Lactococcus lactis LLH20: Antilisterial activity and application for biopreservation of minimally processed lettuce (Lactuca sativa L.). Biocatal. Agric. Biotechnol. 2022, 42, 102355. [Google Scholar] [CrossRef]
- de Souza de Azevedo, P.O.; Mendonça, C.M.N.; Moreno, A.C.R.; Bueno, A.V.I.; de Almeida, S.R.Y.; Seibert, L.; Converti, A.; Watanabe, I.-S.; Gierus, M.; Oliveira, R.P.d.S. Antibacterial and antifungal activity of crude and freeze-dried bacteriocin-like inhibitory substance produced by Pediococcus pentosaceus. Sci. Rep. 2020, 10, 12291. [Google Scholar] [CrossRef]
- Noktehsanj Avval, M.; Hosseininezhad, M.; Pahlavanlo, A.; Ghoddusi, H.B. Isolation and Characterization of Lactiplantibacillus plantarum Bacteriocin from Fruit-based Fermented Products and its Comparison with Commercial Nisin. Iran. Food Sci. Technol. Res. J. 2023, 19, 311–331. [Google Scholar] [CrossRef]
- Sharma, A.; Lee, H.J. Antimicrobial Activity of Probiotic Bacteria Isolated from Plants: A Review. Foods 2025, 14, 495. [Google Scholar] [CrossRef]
- Hernandez-Mendoza, E.; Peña-Ramos, E.A.; Juneja, V.K.; Martínez-Téllez, M.Á.; González-Ríos, H.; Paredes-Aguilar, M.d.l.C.; Valenzuela-Melendres, M.; Aispuro-Hernández, E. Antagonistic Activity of Bacteriocin-like Inhibitory Substances from Enterococcus lactis Isolated from the Surface of Jalapeno Pepper against Foodborne Pathogens. Microbiol. Res. 2024, 15, 889–899. [Google Scholar] [CrossRef]
- Ankaiah, D.; Palanichamy, E.; Antonyraj, C.B.; Ayyanna, R.; Perumal, V.; Ahamed, S.I.B.; Arul, V. Cloning, overexpression, purification of bacteriocin enterocin-B and structural analysis, interaction determination of enterocin-A, B against pathogenic bacteria and human cancer cells. Int. J. Biol. Macromol. 2018, 116, 502–512. [Google Scholar] [CrossRef]
- de Oliveira, T.F.; Frota, E.G.; Bermúdez-Puga, S.; Sakaue, L.N.; Cassiano, L.L.; Tachibana, L.; Piccoli, R.A.M.; Converti, A.; Oliveira, R.P.d.S. Anti-Listerial Activity of Bacteriocin-like Inhibitory Substance Produced by Enterococcus lactis LBM BT2 Using Alternative Medium with Sugarcane Molasses. Antibiotics 2024, 13, 210. [Google Scholar] [CrossRef]
- Wu, Y.; Pang, X.; Wu, Y.; Liu, X.; Zhang, X. Enterocins: Classification, synthesis, antibacterial mechanisms and food applications. Molecules 2022, 27, 2258. [Google Scholar] [CrossRef]
- Ben Braïek, O.; Morandi, S.; Cremonesi, P.; Smaoui, S.; Hani, K.; Ghrairi, T. Biotechnological potential, probiotic and safety properties of newly isolated enterocin-producing Enterococcus lactis strains. LWT Food Sci. Technol. 2018, 92, 361–370. [Google Scholar] [CrossRef]
- Shastry, R.P.; Arunrenganathan, R.R.; Rai, V.R. Characterization of probiotic Enterococcus lactis RS5 and purification of antibiofilm enterocin. Biocatal. Agric. Biotechnol. 2021, 31, 101897. [Google Scholar] [CrossRef]
- Kasimin, M.E.; Shamsuddin, S.; Molujin, A.M.; Sabullah, M.K.; Gansau, J.A.; Jawan, R. Enterocin: Promising Biopreservative Produced by Enterococcus sp. Microorganisms 2022, 10, 684. [Google Scholar] [CrossRef]
- Nilsen, T.; Nes, I.F.; Holo, H. Enterolysin A, a cell wall-degrading bacteriocin from Enterococcus faecalis LMG 2333. Appl. Environ. Microbiol. 2003, 69, 2975–2984. [Google Scholar] [CrossRef] [PubMed]
- Phumisantiphong, U.; Siripanichgon, K.; Reamtong, O.; Diraphat, P. A novel bacteriocin from Enterococcus faecalis 478 exhibits a potent activity against vancomycin-resistant enterococci. PLoS ONE 2017, 12, e0186415. [Google Scholar] [CrossRef]
- Sharma, P.; Kaur, S.; Chadha, B.S.; Kaur, R.; Kaur, M.; Kaur, S. Anticancer and antimicrobial potential of enterocin 12a from Enterococcus faecium. BMC Microbiol. 2021, 21, 39. [Google Scholar] [CrossRef]
- Vasilchenko, A.S.; Vasilchenko, A.V.; Valyshev, A.V.; Rogozhin, E.A. A Novel High-Molecular-Mass Bacteriocin Produced by Enterococcus faecium: Biochemical Features and Mode of Action. Probiotics Antimicrob. Proteins 2018, 10, 427–434. [Google Scholar] [CrossRef]
- Kim, B.; Espinosa, J.; Hang, H.C. Biochemical analysis of NlpC/p60 peptidoglycan hydrolase activity. Methods Enzymol. 2020, 638, 109–127. [Google Scholar] [CrossRef]
- Griffin, M.E.; Klupt, S.; Espinosa, J.; Hang, H.C. Peptidoglycan NlpC/P60 peptidases in bacterial physiology and host interactions. Cell Chem. Biol. 2023, 30, 436–456. [Google Scholar] [CrossRef]
- Buist, G.; Steen, A.; Kok, J.; Kuipers, O.P. LysM, a widely distributed protein motif for binding to (peptido)glycans. Mol. Microbiol. 2008, 68, 838–847. [Google Scholar] [CrossRef]
- Negash, A.W.; Tsehai, B.A. Current applications of bacteriocin. Int. J. Microbiol. 2020, 2020, 4374891. [Google Scholar] [CrossRef] [PubMed]
- Salamaga, B.; Turner, R.D.; Elsarmane, F.; Galley, N.F.; Kulakauskas, S.; Mesnage, S. A moonlighting role for LysM peptidoglycan binding domains underpins Enterococcus faecalis daughter cell separation. Commun. Biol. 2023, 6, 428. [Google Scholar] [CrossRef] [PubMed]
- Cacaci, M.; Giraud, C.; Leger, L.; Torelli, R.; Martini, C.; Posteraro, B.; Palmieri, V.; Sanguinetti, M.; Bugli, F.; Hartke, A. Expression profiling in a mammalian host reveals the strong induction of genes encoding LysM domain-containing proteins in Enterococcus faecium. Sci. Rep. 2018, 8, 12412. [Google Scholar] [CrossRef] [PubMed]
- Roy, U.; Chalasani, A.G.; Shekh, M.R. The anti-Candida activity by Ancillary Proteins of an Enterococcus faecium strain. Front. Microbiol. 2015, 6, 137349. [Google Scholar] [CrossRef]
- Todorov, S.D.; Wachsman, M.; Tomé, E.; Dousset, X.; Destro, M.T.; Dicks, L.M.T.; de Melo Franco, B.D.G.; Vaz-Velho, M.; Drider, D. Characterisation of an antiviral pediocin-like bacteriocin produced by Enterococcus faecium. Food Microbiol. 2010, 27, 869–879. [Google Scholar] [CrossRef]
- Hammi, I.; Ennahar, S.; Marchioni, E.; Sanglier-Cianférani, S. Native production of pediocin PA-1 by Enterococcus faecium E16 isolated from goats’ cheese. J. Food Nutr. Res. 2019, 58, 1–8. [Google Scholar]
- Rasheed, H.A.; Tuoheti, T.; Zhang, Y.; Azi, F.; Tekliye, M.; Dong, M. Purification and partial characterization of a novel bacteriocin produced by bacteriocinogenic Lactobacillus fermentum BZ532 isolated from Chinese fermented cereal beverage (Bozai). LWT 2020, 124, 109113. [Google Scholar] [CrossRef]
- Thermo Scientific. TR0049-Acetone-Precipitation of Proteins; Thermo Scientific: Waltham, MA USA, 2009. [Google Scholar]
- Rivas-Mercado, E.; Neri-Castro, E.; Zarzosa, V.; Hernández-Orihuela, L.; Olvera-Rodríguez, F.; Torres-Garza, J.D.; Garza-Ocañas, L. Mictlan-D3: A novel medium sized RGD-Disintegrin obtained from Crotalus mictlantecuhtli venom, in vitro tested against human breast Cancer and endothelial cells. Toxicol. Vitr. 2025, 104, 105987. [Google Scholar] [CrossRef] [PubMed]
- Craig, R.; Beavis, R.C. A method for reducing the time required to match protein sequences with tandem mass spectra. Rapid Commun. Mass. Spectrom. 2003, 17, 2310–2316. [Google Scholar] [CrossRef] [PubMed]
- Nesvizhskii, A.I.; Keller, A.; Kolker, E.; Aebersold, R. A statistical model for identifying proteins by tandem mass spectrometry. Anal. Chem. 2003, 75, 4646–4658. [Google Scholar] [CrossRef] [PubMed]


| Identified Protein (Accession Number *)/ Theoretical Molecular Mass (kDa) | Amino Acid Sequence | Unique Peptide Sequences |
|---|---|---|
| EHM (E0NEA3)/ 46.9 | MVSKSKSNASKLLLAGVAGAGLLVAGGSQAVAHADSVKVQKNDTVWALSQKYGVSIKSIESLNNINQNSHLIFVGQEINIPEKNNAEPKTSVSDKVKADSVTVKSGDSLSVIAQRYGVSVNALMQANHLTSSLILVGQQLNIPSGNTVSTHSTYVAPAAPASSAAKPQVQTPTSQATQSAASNSAAVSSAVQSSSAASQTPSSAVTSSAASSVAPSSVAPSSVATASSTQANSAASHSYSKPASAASSASVATNANQAASSAAPQISKQQQAASSVAPSSAPAATNHVASSVAPSSAPAATNHVASSAAPSSAPATTNHVASSAAPSSAAPAASTNHVASSAAPSSAATSNVQNTGSVTGLATSLANNTIPYVWGGKTPAGFDCSGFVSYVFQHAAGISLPSYTVAMESYVNKESVSAAQPGDLLFWGTPGATYHVGIYLGNNQYASAPTFGQNVKVQTISSYFYPSFAGRVK | 1.(K)VQKNDTVWALSQK(Y) 2.(K)NDTVWALSQK(Y) 3.(K)SIESLNNINQNSHLIFVGQEINIPEK(N) 4.(K)SIESLNNINQNSHLIFVGQEINIPEKNNAEPK(T) 5.(K)TSVSDKVK(A) 6.(K)SGDSLSVIAQR(Y) 7.(K)ESVSAAQPGDLLFWGTPGATYHVGIYLGNNQYASAPTFGQNVK (V) 8.(K)VQTISSYFYPSFAGR(V) 9.(K)VQTISSYFYPSFAGRVK(-) |
| Enterocin B (A0A9X3XT33)/ 7.46 | MQNVKEVSVKEMKQIIGGENDHRMPNELNRPNNLSKGGAKCGAAIAGGLFGIPKGPLAWAAGLANVYSKCN | 1.(R)MPNELNRPNNLSK(G) 2.(K)CGAAIAGGLFGIPK(G) 3.(K)GPLAWAGLANVYSK(C) |
| Enterocin A (A0A9X1GA65)/ 6.94 | MKHLKILSIKETQLIYGGTTHSGKYYGNGVYYTKNKCTVDWAKATTCIAGMSIGGFLGGAIPGKC | 1.(K)ATTCIAGMSIGGFLGGAIPGK Pediocin-like conserved motif: YGNGV |
Disclaimer/Publisher’s Note: The statements, opinions and data contained in all publications are solely those of the individual author(s) and contributor(s) and not of MDPI and/or the editor(s). MDPI and/or the editor(s) disclaim responsibility for any injury to people or property resulting from any ideas, methods, instructions or products referred to in the content. |
© 2025 by the authors. Licensee MDPI, Basel, Switzerland. This article is an open access article distributed under the terms and conditions of the Creative Commons Attribution (CC BY) license (https://creativecommons.org/licenses/by/4.0/).
Share and Cite
Hernandez-Mendoza, E.; Martínez-Téllez, M.Á.; González-Ríos, H.; Aispuro-Hernández, E.; Paredes-Aguilar, M.d.l.C.; Rubí-Soberanes, A.; Peña-Ramos, E.A. Purification and Characterization of Enterocins A, B, and a Novel High-Mass Bacteriocin from Enterococcus lactis-67 with Antilisterial Activity. Antibiotics 2025, 14, 903. https://doi.org/10.3390/antibiotics14090903
Hernandez-Mendoza E, Martínez-Téllez MÁ, González-Ríos H, Aispuro-Hernández E, Paredes-Aguilar MdlC, Rubí-Soberanes A, Peña-Ramos EA. Purification and Characterization of Enterocins A, B, and a Novel High-Mass Bacteriocin from Enterococcus lactis-67 with Antilisterial Activity. Antibiotics. 2025; 14(9):903. https://doi.org/10.3390/antibiotics14090903
Chicago/Turabian StyleHernandez-Mendoza, Ezequiel, Miguel Ángel Martínez-Téllez, Humberto González-Ríos, Emmanuel Aispuro-Hernández, María de la Cruz Paredes-Aguilar, Alexa Rubí-Soberanes, and Etna Aida Peña-Ramos. 2025. "Purification and Characterization of Enterocins A, B, and a Novel High-Mass Bacteriocin from Enterococcus lactis-67 with Antilisterial Activity" Antibiotics 14, no. 9: 903. https://doi.org/10.3390/antibiotics14090903
APA StyleHernandez-Mendoza, E., Martínez-Téllez, M. Á., González-Ríos, H., Aispuro-Hernández, E., Paredes-Aguilar, M. d. l. C., Rubí-Soberanes, A., & Peña-Ramos, E. A. (2025). Purification and Characterization of Enterocins A, B, and a Novel High-Mass Bacteriocin from Enterococcus lactis-67 with Antilisterial Activity. Antibiotics, 14(9), 903. https://doi.org/10.3390/antibiotics14090903

