Detection of a Mixed-Strain Infection with Drug- and Multidrug-Resistant Mycobacterium avium Subspecies hominissuis in a Dog with Generalized Lymphadenomegaly
Abstract
1. Introduction
2. Case Description
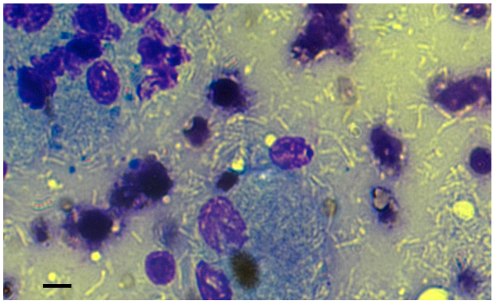
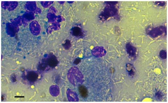
2.1. Diagnosis of a MAC Infection and Administration of Therapy
2.2. Microbiological and Molecular Investigations
2.3. MIRU-VNTR Analysis
2.4. Drug Susceptibility Testing
2.5. Modification of the Treatment Plan and Improvement in Health Clinical Conditions
2.6. Further Improvement in Overall Health Status While Mah Infection Was Still Present
2.7. Interruption of Drug Therapy Due to the Occurrence of Medical Complications
2.8. Isolation of a Mah Pathogen with New Phenotypic and Genotypic Characteristics
2.9. Reduction in Lymphadenomegaly and Isolation of Mah Pathogens with Divergent Drug Susceptibility Profiles
2.10. Recurrence of the Disease and Subsequent Demise of the Animal
2.11. SNP Typing of All the Mah Isolates
2.12. Clustering of the Mah Isolates
3. Discussion
Author Contributions
Funding
Institutional Review Board Statement
Informed Consent Statement
Data Availability Statement
Conflicts of Interest
Abbreviations
| MAC | Mycobacterium avium complex |
| NTM | Nontuberculous mycobacteria |
| Maa | Mycobacterium avium subsp. avium |
| Mas | Mycobacterium avium subsp. silvaticum |
| Mah | Mycobacterium avium subsp. hominissuis |
| Map | Mycobacterium avium subsp. paratuberculosis |
| FNA | Fine-needle aspiration |
| OADC | Oleic acid–albumin–dextrose complex |
| MIRU-VNTR | Mycobacterial Interspersed Repetitive Units Variable Number Tandem Repeats |
| SNP | Single nucleotide polymorphism |
| REMA | Resazurin microtiter assay |
| MIC | Minimal inhibitory concentration |
| ITS | Internal transcribed spacer |
| WGS | Whole-genome sequencing |
| MSI | Mixed-strain infection |
| SSR | Simple sequence repeat |
| CNV | Copy number variation |
| SSR | Short sequence repeat |
| MAC-PD | Mycobacterium avium complex pulmonary disease |
| TB | Tuberculosis |
References
- van Ingen, J.; Obradovic, M.; Hassan, M.; Lesher, B.; Hart, E.; Chatterjee, A.; Daley, C.L. Nontuberculous mycobacterial lung disease caused by Mycobacterium avium complex-disease burden, unmet needs, and advances in treatment developments. Expert. Rev. Respir. Med. 2021, 15, 1387–1401. [Google Scholar] [CrossRef]
- van Ingen, J.; Turenne, C.Y.; Tortoli, E.; Wallace, R.J., Jr.; Brown-Elliott, B.A. A definition of the Mycobacterium avium complex for taxonomical and clinical purposes, a review. Int. J. Syst. Evol. Microbiol. 2018, 68, 3666–3677. [Google Scholar] [CrossRef] [PubMed]
- Shin, J.I.; Shin, S.J.; Shin, M.K. Differential Genotyping of Mycobacterium avium Complex and Its Implications in Clinical and Environmental Epidemiology. Microorganisms 2020, 8, 98. [Google Scholar] [CrossRef] [PubMed] [PubMed Central]
- Ghielmetti, G.; Giger, U. Mycobacterium avium: An Emerging Pathogen for Dog Breeds with Hereditary Immunodeficiencies. Curr. Clin. Microbiol. Rep. 2020, 7, 67–80. [Google Scholar] [CrossRef] [PubMed] [PubMed Central]
- Marianelli, C.; Ape, D.; Rossi Mori, F. Isolation, Molecular Typing, and Antibiotic Susceptibility Testing of Mycobacterium avium Subspecies hominissuis From a Dog with Generalized Mycobacteriosis. Front. Vet. Sci. 2020, 7, 569966. [Google Scholar] [CrossRef] [PubMed] [PubMed Central]
- Häußler, T.C.; Thom, N.; Prenger-Berninghoff, E.; Köhler, K.; Barth, S.A. Challenging diagnosis and successful treatment of localised Mycobacterium avium subsp. hominissuis glossitis in a dog on long-term immunomodulatory therapy. N. Z. Vet. J. 2022, 70, 340–348. [Google Scholar] [CrossRef] [PubMed]
- Borrás, P.; Marfil, M.J.; Tellado, M.; Hernandez, D.; Osacar, J.M.; Piras, I.; Martinez Vivot, M.; Barandiaran, S. Mycobacterium avium in Miniature Schnauzer From Argentina: A Series of Cases. Top. Companion Anim. Med. 2022, 51, 100698. [Google Scholar] [CrossRef] [PubMed]
- Haist, V.; Seehusen, F.; Moser, I.; Hotzel, H.; Deschl, U.; Baumgärtner, W.; Wohlsein, P. Mycobacterium avium subsp. hominissuis infection in 2 pet dogs, Germany. Emerg. Infect. Dis. 2008, 14, 988–990. [Google Scholar] [CrossRef] [PubMed] [PubMed Central]
- Mizukami, K.; Dorsey-Oresto, A.; Raj, K.; Eringis, A.; Furrow, E.; Martin, E.; Yamanaka, D.; Kehl, A.; Kolicheski, A.; Jagannathan, V.; et al. Increased susceptibility to Mycobacterium avium complex infection in miniature Schnauzer dogs caused by a codon deletion in CARD9. Sci. Rep. 2024, 14, 10346. [Google Scholar] [CrossRef] [PubMed] [PubMed Central]
- Gow, A.G.; Gow, D.J. Disseminated Mycobacterium avium complex infection in a dog. Vet. Rec. 2008, 162, 594–595. [Google Scholar] [CrossRef] [PubMed]
- Armas, F.; Furlanello, T.; Camperio, C.; Trotta, M.; Novari, G.; Marianelli, C. Molecular characterization and drug susceptibility profile of a Mycobacterium avium subspecies avium isolate from a dog with disseminated infection. J. Med. Microbiol. 2016, 65, 278–285. [Google Scholar] [CrossRef] [PubMed]
- Campora, L.; Corazza, M.; Zullino, C.; Ebani, V.V.; Abramo, F. Mycobacterium avium subspecies hominissuis disseminated infection in a Basset Hound dog. J. Vet. Diagn. Investig. 2011, 23, 1083–1087. [Google Scholar] [CrossRef] [PubMed]
- Kontos, V.; Papadogiannakis, E.I.; Mantziaras, G.; Styliara, M.; Kanavaki, S. A case of disseminated Mycobacterium avium infection in a dog in Greece. Case Rep. Vet. Med. 2014, 2014, 597847. [Google Scholar] [CrossRef]
- Gunn-Moore, D. Mycobacterial infections in cats and dogs. In Textbook of Veterinary Internal Medicine, 7th ed.; Ettinger, S., Feldman, E., Eds.; W.B. Saunders Company: Philadelphia, PN, USA, 2010; p. 875. [Google Scholar]
- Byrne, A.S.; Goudreau, A.; Bissonnette, N.; Shamputa, I.C.; Tahlan, K. Methods for Detecting Mycobacterial Mixed Strain Infections-A Systematic Review. Front. Genet. 2020, 11, 600692. [Google Scholar] [CrossRef] [PubMed] [PubMed Central]
- Thibault, V.C.; Grayon, M.; Boschiroli, M.L.; Hubbans, C.; Overduin, P.; Stevenson, K.; Gutierrez, M.C.; Supply, P.; Biet, F. New variable-number tandem-repeat markers for typing Mycobacterium avium subsp. paratuberculosis and M. avium strains: Comparison with IS900 and IS1245 restriction fragment length polymorphism typing. J. Clin. Microbiol. 2007, 45, 2404–2410. [Google Scholar] [CrossRef] [PubMed] [PubMed Central]
- Cochard, T.; Branger, M.; Supply, P.; Sreevatsan, S.; Biet, F. MAC-INMV-SSR: A web application dedicated to genotyping members of Mycobacterium avium complex (MAC) including Mycobacterium avium subsp. paratuberculosis strains. Infect. Genet. Evol. 2020, 77, 104075. [Google Scholar] [CrossRef] [PubMed]
- Turenne, C.Y.; Semret, M.; Cousins, D.V.; Collins, D.M.; Behr, M.A. Sequencing of hsp65 distinguishes among subsets of the Mycobacterium avium complex. J. Clin. Microbiol. 2006, 44, 433–440. [Google Scholar] [CrossRef] [PubMed] [PubMed Central]
- Frothingham, R.; Wilson, K.H. Sequence-based differentiation of strains in the Mycobacterium avium complex. J. Bacteriol. 1993, 175, 2818–2825. [Google Scholar] [CrossRef] [PubMed] [PubMed Central]
- Coscolla, M.; Gagneux, S. Does M. tuberculosis genomic diversity explain disease diversity? Drug Discov. Today Dis. Mech. 2010, 7, e43–e59. [Google Scholar] [CrossRef] [PubMed] [PubMed Central]
- Coscolla, M.; Gagneux, S. Consequences of genomic diversity in Mycobacterium tuberculosis. Semin. Immunol. 2014, 26, 431–444. [Google Scholar] [CrossRef] [PubMed] [PubMed Central]
- Sharma, K.; Verma, R.; Advani, J.; Chatterjee, O.; Solanki, H.S.; Sharma, A.; Varma, S.; Modi, M.; Ray, P.; Mukherjee, K.K.; et al. Whole Genome Sequencing of Mycobacterium tuberculosis Isolates From Extrapulmonary Sites. OMICS 2017, 21, 413–425. [Google Scholar] [CrossRef] [PubMed] [PubMed Central]
- Lieberman, T.D.; Wilson, D.; Misra, R.; Xiong, L.L.; Moodley, P.; Cohen, T.; Kishony, R. Genomic diversity in autopsy samples reveals within-host dissemination of HIV-associated Mycobacterium tuberculosis. Nat. Med. 2016, 22, 1470–1474. [Google Scholar] [CrossRef] [PubMed] [PubMed Central]
- Cohen, T.; Wilson, D.; Wallengren, K.; Samuel, E.Y.; Murray, M. Mixed-strain Mycobacterium tuberculosis infections among patients dying in a hospital in KwaZulu-Natal, South Africa. J. Clin. Microbiol. 2011, 49, 385–388. [Google Scholar] [CrossRef] [PubMed] [PubMed Central]
- Cohen, T.; van Helden, P.D.; Wilson, D.; Colijn, C.; McLaughlin, M.M.; Abubakar, I.; Warren, R.M. Mixed-strain mycobacterium tuberculosis infections and the implications for tuberculosis treatment and control. Clin. Microbiol. Rev. 2012, 25, 708–719. [Google Scholar] [CrossRef] [PubMed] [PubMed Central]
- Mallard, K.; McNerney, R.; Crampin, A.C.; Houben, R.; Ndlovu, R.; Munthali, L.; Warren, R.M.; French, N.; Glynn, J.R. Molecular detection of mixed infections of Mycobacterium tuberculosis strains in sputum samples from patients in Karonga District, Malawi. J. Clin. Microbiol. 2010, 48, 4512–4518. [Google Scholar] [CrossRef] [PubMed] [PubMed Central]
- Muwonge, A.; Kankya, C.; Olea-Popelka, F.; Biffa, D.; Ssengooba, W.; Berit, D.; Skjerve, E.; Johansen, T.B. Molecular investigation of multiple strain infections in patients with tuberculosis in Mubende district, Uganda. Infect. Genet. Evol. 2013, 17, 16–22. [Google Scholar] [CrossRef] [PubMed]
- Feil, E.J. Small change: Keeping pace with microevolution. Nat. Rev. Microbiol. 2004, 2, 483–495. [Google Scholar] [CrossRef] [PubMed]
- Ley, S.D.; de Vos, M.; Van Rie, A.; Warren, R.M. Deciphering Within-Host Microevolution of Mycobacterium tuberculosis through Whole-Genome Sequencing: The Phenotypic Impact and Way Forward. Microbiol. Mol. Biol. Rev. 2019, 83, e00062-18. [Google Scholar] [CrossRef] [PubMed] [PubMed Central]
- Streit, E.; Millet, J.; Rastogi, N. Mycobacterium tuberculosis polyclonal infections and microevolution identified by MIRU-VNTRs in an epidemiological study. Int. J. Mycobacteriol. 2015, 4, 222–227. [Google Scholar] [CrossRef] [PubMed]
- Shamputa, I.C.; Jugheli, L.; Sadradze, N.; Willery, E.; Portaels, F.; Supply, P.; Rigouts, L. Mixed infection and clonal representativeness of a single sputum sample in tuberculosis patients from a penitentiary hospital in Georgia. Respir. Res. 2006, 7, 99. [Google Scholar] [CrossRef] [PubMed] [PubMed Central]
- Byrne, A.; Bissonnette, N.; Ollier, S.; Tahlan, K. Investigating in vivo Mycobacterium avium subsp. paratuberculosis microevolution and mixed strain infections. Microbiol. Spectr. 2023, 11, e0171623. [Google Scholar] [CrossRef] [PubMed] [PubMed Central]
- Podder, M.P.; Banfield, S.E.; Keefe, G.P.; Whitney, H.G.; Tahlan, K. Typing of Mycobacterium avium subspecies paratuberculosis isolates from Newfoundland using fragment analysis. PLoS ONE. 2015, 10, e0126071. [Google Scholar] [CrossRef] [PubMed] [PubMed Central]
- Gioffré, A.; Correa Muñoz, M.; Alvarado Pinedo, M.F.; Vaca, R.; Morsella, C.; Fiorentino, M.A.; Paolicchi, F.; Ruybal, P.; Zumárraga, M.; Travería, G.E.; et al. Molecular typing of Argentinian Mycobacterium avium subsp. paratuberculosis isolates by multiple-locus variable number-tandem repeat analysis. Braz. J. Microbiol. 2015, 46, 557–564. [Google Scholar] [CrossRef] [PubMed] [PubMed Central]
- Gerritsmann, H.; Stalder, G.L.; Spergser, J.; Hoelzl, F.; Deutz, A.; Kuebber-Heiss, A.; Walzer, C.; Smith, S. Multiple strain infections and high genotypic diversity among Mycobacterium avium subsp. paratuberculosis field isolates from diseased wild and domestic ruminant species in the eastern Alpine region of Austria. Infect. Genet. Evol. 2014, 21, 244–251. [Google Scholar] [CrossRef] [PubMed]
- Shitaye, J.E.; Matlova, L.; Horvathova, A.; Moravkova, M.; Dvorska-Bartosova, L.; Treml, F.; Lamka, J.; Pavlik, I. Mycobacterium avium subsp. avium distribution studied in a naturally infected hen flock and in the environment by culture, serotyping and IS901 RFLP methods. Vet. Microbiol. 2008, 127, 155–164. [Google Scholar] [CrossRef] [PubMed]
- Johansen, T.B.; Agdestein, A.; Lium, B.; Jørgensen, A.; Djønne, B. Mycobacterium avium subsp. hominissuis infection in swine associated with peat used for bedding. Biomed. Res. Int. 2014, 2014, 189649. [Google Scholar] [CrossRef] [PubMed] [PubMed Central]
- Pate, M.; Zolnir-Dovc, M.; Krt, B.; Ocepek, M. IS1245 RFLP-based genotyping study of Mycobacterium avium subsp. hominissuis isolates from pigs and humans. Comp. Immunol. Microbiol. Infect. Dis. 2008, 31, 537–550. [Google Scholar] [CrossRef] [PubMed]
- Pfeiffer, W.; Braun, J.; Burchell, J.; Witte, C.L.; Rideout, B.A. Whole-genome analysis of mycobacteria from birds at the San Diego Zoo. PLoS ONE. 2017, 12, e0173464. [Google Scholar] [CrossRef] [PubMed] [PubMed Central]
- Silva-Pereira, T.T.; Ikuta, C.Y.; Zimpel, C.K.; Camargo, N.C.S.; de Souza Filho, A.F.; Ferreira Neto, J.S.; Heinemann, M.B.; Guimarães, A.M.S. Genome sequencing of Mycobacterium pinnipedii strains: Genetic characterization and evidence of superinfection in a South American sea lion (Otaria flavescens). BMC Genom. 2019, 20, 1030. [Google Scholar] [CrossRef] [PubMed] [PubMed Central]
- Moravkova, M.; Mrlik, V.; Parmova, I.; Kriz, P.; Pavlik, I. High incidence of Mycobacterium avium subspecies hominissuis infection in a zoo population of bongo antelopes (Tragelaphus eurycerus). J. Vet. Diagn. Investig. 2013, 25, 531–534. [Google Scholar] [CrossRef] [PubMed]
- Reis, A.C.; Albuquerque, T.; Botelho, A.; Cunha, M.V. Polyclonal infection as a new scenario in Mycobacterium caprae epidemiology. Vet. Microbiol. 2020, 240, 108533. [Google Scholar] [CrossRef] [PubMed]
- Tarashi, S.; Fateh, A.; Mirsaeidi, M.; Siadat, S.D.; Vaziri, F. Mixed infections in tuberculosis: The missing part in a puzzle. Tuberculosis 2017, 107, 168–174. [Google Scholar] [CrossRef] [PubMed]
- Dickman, K.R.; Nabyonga, L.; Kateete, D.P.; Katabazi, F.A.; Asiimwe, B.B.; Mayanja, H.K.; Okwera, A.; Whalen, C.; Joloba, M.L. Detection of multiple strains of Mycobacterium tuberculosis using MIRU-VNTR in patients with pulmonary tuberculosis in Kampala, Uganda. BMC Infect. Dis. 2010, 10, 349. [Google Scholar] [CrossRef] [PubMed] [PubMed Central]
- Pang, Y.; Zhou, Y.; Wang, S.; Song, Y.; Ou, X.; Zhao, B.; Zhang, Z.; Zhao, Y. Prevalence and risk factors of mixed Mycobacterium tuberculosis complex infections in China. J. Infect. 2015, 71, 231–237. [Google Scholar] [CrossRef] [PubMed]
- Khieu, V.; Ananta, P.; Kaewprasert, O.; Laohaviroj, M.; Namwat, W.; Faksri, K. Whole-Genome Sequencing Analysis to Identify Infection with Multiple Species of Nontuberculous Mycobacteria. Pathogens 2021, 10, 879. [Google Scholar] [CrossRef] [PubMed] [PubMed Central]
- Chan, J.Z.; Sergeant, M.J.; Lee, O.Y.; Minnikin, D.E.; Besra, G.S.; Pap, I.; Spigelman, M.; Donoghue, H.D.; Pallen, M.J. Metagenomic analysis of tuberculosis in a mummy. N. Engl. J. Med. 2013, 369, 289–290. [Google Scholar] [CrossRef] [PubMed]
- Kay, G.L.; Sergeant, M.J.; Zhou, Z.; Chan, J.Z.; Millard, A.; Quick, J.; Szikossy, I.; Pap, I.; Spigelman, M.; Loman, N.J.; et al. Eighteenth-century genomes show that mixed infections were common at time of peak tuberculosis in Europe. Nat. Commun. 2015, 6, 6717. [Google Scholar] [CrossRef] [PubMed] [PubMed Central]
- Purushothaman, S.; Meola, M.; Egli, A. Combination of Whole Genome Sequencing and Metagenomics for Microbiological Diagnostics. Int. J. Mol. Sci. 2022, 23, 9834. [Google Scholar] [CrossRef] [PubMed] [PubMed Central]
- Chindelevitch, L.; Colijn, C.; Moodley, P.; Wilson, D.; Cohen, T. ClassTR: Classifying Within-Host Heterogeneity Based on Tandem Repeats with Application to Mycobacterium tuberculosis Infections. PLoS Comput. Biol. 2016, 12, e1004475. [Google Scholar] [CrossRef] [PubMed] [PubMed Central]
- Asare-Baah, M.; Séraphin, M.N.; Salmon, L.A.T.; Lauzardo, M. Effect of mixed strain infections on clinical and epidemiological features of tuberculosis in Florida. Infect. Genet. Evol. 2021, 87, 104659. [Google Scholar] [CrossRef] [PubMed] [PubMed Central]
- Cohen, T.; Chindelevitch, L.; Misra, R.; Kempner, M.E.; Galea, J.; Moodley, P.; Wilson, D. Within-Host Heterogeneity of Mycobacterium tuberculosis Infection Is Associated with Poor Early Treatment Response: A Prospective Cohort Study. J. Infect. Dis. 2016, 213, 1796–1799. [Google Scholar] [CrossRef] [PubMed] [PubMed Central]
- Fang, R.; Li, X.; Li, J.; Wu, J.; Shen, X.; Gui, X.; DeRiemer, K.; Liu, L.; Mei, J.; Gao, Q. Mixed infections of Mycobacterium tuberculosis in tuberculosis patients in Shanghai, China. Tuberculosis 2008, 88, 469–473. [Google Scholar] [CrossRef] [PubMed] [PubMed Central][Green Version]
- Shin, S.S.; Modongo, C.; Baik, Y.; Allender, C.; Lemmer, D.; Colman, R.E.; Engelthaler, D.M.; Warren, R.M.; Zetola, N.M. Mixed Mycobacterium tuberculosis-Strain Infections Are Associated with Poor Treatment Outcomes Among Patients with Newly Diagnosed Tuberculosis, Independent of Pretreatment Heteroresistance. J. Infect. Dis. 2018, 218, 1974–1982. [Google Scholar] [CrossRef] [PubMed] [PubMed Central]
- Sonawane, V.V.; Ruth, M.M.; Pennings, L.J.; Svensson, E.M.; Wertheim, H.F.L.; Hoefsloot, W.; van Ingen, J. An In Vitro Perspective on What Individual Antimicrobials Add to Mycobacterium avium Complex Therapies. Antimicrob. Agents Chemother. 2021, 65, e0273020. [Google Scholar] [CrossRef] [PubMed] [PubMed Central]
- van der Laan, R.; Snabilié, A.; Obradovic, M. Meeting the challenges of NTM-PD from the perspective of the organism and the disease process: Innovations in drug development and delivery. Respir. Res. 2022, 23, 376. [Google Scholar] [CrossRef] [PubMed] [PubMed Central]
- González Martínez, A.; Aguilera, M.; Tarriño, M.; Alberola, A.; Reguera, J.A.; Sampedro, A.; Navarro, J.M.; Rodríguez Granger, J. Susceptibility Patterns in Clinical Isolates of Mycobacterium avium Complex from a Hospital in Southern Spain. Microorganisms 2024, 12, 2613. [Google Scholar] [CrossRef] [PubMed] [PubMed Central]
- Lin, S.; Hua, W.; Wang, S.; Zhang, Y.; Chen, X.; Liu, H.; Shao, L.; Chen, J.; Zhang, W. In vitro assessment of 17 antimicrobial agents against clinical Mycobacterium avium complex isolates. BMC Microbiol. 2022, 22, 175. [Google Scholar] [CrossRef] [PubMed] [PubMed Central]
- Fernandez-Pittol, M.; Batista-Arnau, S.; Román, A.; San Nicolás, L.; Oliver, L.; González-Moreno, O.; Martínez, J.A.; Amaro-Rodríguez, R.; Soler, N.; Gené, A.; et al. Differences in Drug-Susceptibility Patterns between Mycobacterium avium, Mycobacterium intracellulare, and Mycobacterium chimaera Clinical Isolates: Prospective 8.5-Year Analysis by Three Laboratories. Antibiotics 2022, 12, 64. [Google Scholar] [CrossRef] [PubMed] [PubMed Central]
- Reil, I.; Duvnjak, S.; Špičić, S.; Kompes, G.; Bagarić, A.; Đuras, M.; Gudan Kurilj, A.; Lukač, M.; Jelić, M.; Zdelar-Tuk, M. Isolation of Multidrug-Resistant Mycobacterium Avium Subsp. Avium from a Wild Eurasian Otter (Lutra Lutra). Antibiotics 2024, 13, 591. [Google Scholar] [CrossRef] [PubMed] [PubMed Central]
- Calcagno, A.; Coppola, N.; Sarmati, L.; Tadolini, M.; Parrella, R.; Matteelli, A.; Riccardi, N.; Trezzi, M.; Di Biagio, A.; Pirriatore, V.; et al. Drugs for treating infections caused by non-tubercular mycobacteria: A narrative review from the study group on mycobacteria of the Italian Society of Infectious Diseases and Tropical Medicine. Infection 2024, 52, 737–765. [Google Scholar] [CrossRef] [PubMed] [PubMed Central]
- Daley, C.L.; Iaccarino, J.M.; Lange, C.; Cambau, E.; Wallace RJJr Andrejak, C.; Böttger, E.C.; Brozek, J.; Griffith, D.E.; Guglielmetti, L.; Huitt, G.A.; et al. Treatment of Nontuberculous Mycobacterial Pulmonary Disease: An Official ATS/ERS/ESCMID/IDSA Clinical Practice Guideline. Clin. Infect. Dis. 2020, 71, e1–e36. [Google Scholar] [CrossRef] [PubMed] [PubMed Central]
- Offman, E.M.; Leestemaker-Palmer, A.; Fathi, R.; Keefe, B.; Bibliowicz, A.; Raday, G.; Bermudez, L.E. Triple-Antibiotic Combination Exerts Effective Activity against Mycobacterium avium subsp. hominissuis Biofilm and Airway Infection in an In Vivo Murine Model. Antibiotics 2024, 13, 475. [Google Scholar] [CrossRef] [PubMed] [PubMed Central]
- Van, N.; Degefu, Y.N.; Leus, P.A.; Larkins-Ford, J.; Klickstein, J.; Maurer, F.P.; Stone, D.; Poonawala, H.; Thorpe, C.M.; Smith, T.C., 2nd; et al. Novel Synergies and Isolate Specificities in the Drug Interaction Landscape of Mycobacterium abscessus. Antimicrob. Agents Chemother. 2023, 67, e0009023. [Google Scholar] [CrossRef] [PubMed] [PubMed Central]
- Forrest, G.N.; Tamura, K. Rifampin combination therapy for nonmycobacterial infections. Clin. Microbiol. Rev. 2010, 23, 14–34. [Google Scholar] [CrossRef] [PubMed] [PubMed Central]
- Kim, D.H.; Kim, S.Y.; Huh, H.J.; Lee, N.Y.; Koh, W.J.; Jhun, B.W. In Vitro Activity of Rifamycin Derivatives against Nontuberculous Mycobacteria, including Macrolide-/Amikacin-Resistant Clinical Isolates. Antimicrob. Agents Chemother. 2023, 65, e02611–e02620. [Google Scholar] [CrossRef] [PubMed] [PubMed Central]
- Ganapathy, U.S.; Dartois, V.; Dick, T. Repositioning rifamycins for Mycobacterium abscessus lung disease. Expert. Opin. Drug Discov. 2019, 14, 867–878. [Google Scholar] [CrossRef] [PubMed] [PubMed Central]
- van Ingen, J.; Hoefsloot, W.; Dartois, V.; Dick, T. Rifampicin has no role in treatment of Mycobacterium avium complex pulmonary disease and bactericidal sterilising drugs are needed: A viewpoint. Eur. Respir. J. 2024, 63, 2302210. [Google Scholar] [CrossRef] [PubMed] [PubMed Central]
- Diel, R.; Nienhaus, A.; Ringshausen, F.C.; Richter, E.; Welte, T.; Rabe, K.F.; Loddenkemper, R. Microbiologic Outcome of Interventions Against Mycobacterium avium Complex Pulmonary Disease: A Systematic Review. Chest 2018, 153, 888–921. [Google Scholar] [CrossRef] [PubMed]
- Greenstein, T.; Aldridge, B.B. Tools to develop antibiotic combinations that target drug tolerance in Mycobacterium tuberculosis. Front. Cell Infect. Microbiol. 2023, 12, 1085946. [Google Scholar] [CrossRef] [PubMed] [PubMed Central]
- Hu, Y.; Coates, A.R.; Mitchison, D.A. Sterilising action of pyrazinamide in models of dormant and rifampicin-tolerant Mycobacterium tuberculosis. Int. J. Tuberc. Lung Dis. 2006, 10, 317–322. [Google Scholar] [PubMed]
- Larkins-Ford, J.; Aldridge, B.B. Advances in the design of combination therapies for the treatment of tuberculosis. Expert. Opin. Drug Discov. 2023, 18, 83–97. [Google Scholar] [CrossRef] [PubMed] [PubMed Central]





| PCR Test | Forward, Reverse Primers | Size (bp) | MAC Member Target * |
|---|---|---|---|
| IS 1311 | F 5′-ACTACCGAGAGGAACATCGC-3′ R 5′-CCGTGCAAATAGGCCTCCAT-3′ | 356 | All M. avium members |
| IS 1245 | F 5′-TCTGCAAAGACCTCGACA-3′ R 5′-GCATCGGAGATGACCAGTTG-3′ | 283 | Maa, Mah, Mas |
| IS 901 | F 5′-TGAAGGGGTCTGGGATTGG-3′ R 5′-CTACTCCTGTCGTCGCAGTC-3′ | 208 | Maa, Mas |
| IS 900 | F 5′-ACGACTCGACCGCTAATTGA-3′ R 5′-AGCCAGTAAGCAGGATCAGC-3′ | 656 | Map |
| Gene | Forward and Reverse Primers | Size (bp) | Reference |
| gyrB | F 5′-GCAGACGCCAAAGTCATTGT-3′ R 5′-TCGAACTCGTCGTGAATCCC-3′ | 353 | Armas (2016) [11] |
| rpsA | F 5′-CTTCTCGAATCCCTCGAGCC-3′ R 5′-CGCCTGATCCTGTCCAAGAA-3′ | 933 | Armas (2016) [11] |
| 3′hsp65 | F 5′-CGGTTCGACAAGGGTTACAT-3′ R 5′-ACGGACTCAGAAGTCCATGC-3′ | 1059 | Turenne (2006) [18] |
| ITS | F 5′-TTGTACACACCGCCCGTCA-3′ R 5′-TCTCGATGCCAAGGCATCCA-3′ | ~600 | Frothingham (1993) [19] |
| rpoB | F 5′-GCGACACGTCCATGTAGTCC-3′ R 5′-CTGATCAACATCCGTCCCGT-3′ | 499 | This study |
| Group | Codon Position * | ||||
| 376 | 406 | 423 | 424 | 512 | |
| Mah-Dec2018 Mah-Nov2019 | GTC (Val) | GAA (Glu) | GCG (Ala) | CTC (Leu) | CTA (Leu) |
| Mah-Apr2021 Mah-Apr2022 Mah-Nov2022 | GTG (Val) | GAG (Glu) | GCC (Ala) | CTG (Leu) | CTG (Leu) |
Disclaimer/Publisher’s Note: The statements, opinions and data contained in all publications are solely those of the individual author(s) and contributor(s) and not of MDPI and/or the editor(s). MDPI and/or the editor(s) disclaim responsibility for any injury to people or property resulting from any ideas, methods, instructions or products referred to in the content. |
© 2025 by the authors. Licensee MDPI, Basel, Switzerland. This article is an open access article distributed under the terms and conditions of the Creative Commons Attribution (CC BY) license (https://creativecommons.org/licenses/by/4.0/).
Share and Cite
Marianelli, C.; Leonori, A.; Stecco, R.; Giannantoni, C. Detection of a Mixed-Strain Infection with Drug- and Multidrug-Resistant Mycobacterium avium Subspecies hominissuis in a Dog with Generalized Lymphadenomegaly. Antibiotics 2025, 14, 416. https://doi.org/10.3390/antibiotics14040416
Marianelli C, Leonori A, Stecco R, Giannantoni C. Detection of a Mixed-Strain Infection with Drug- and Multidrug-Resistant Mycobacterium avium Subspecies hominissuis in a Dog with Generalized Lymphadenomegaly. Antibiotics. 2025; 14(4):416. https://doi.org/10.3390/antibiotics14040416
Chicago/Turabian StyleMarianelli, Cinzia, Angelo Leonori, Romana Stecco, and Carlo Giannantoni. 2025. "Detection of a Mixed-Strain Infection with Drug- and Multidrug-Resistant Mycobacterium avium Subspecies hominissuis in a Dog with Generalized Lymphadenomegaly" Antibiotics 14, no. 4: 416. https://doi.org/10.3390/antibiotics14040416
APA StyleMarianelli, C., Leonori, A., Stecco, R., & Giannantoni, C. (2025). Detection of a Mixed-Strain Infection with Drug- and Multidrug-Resistant Mycobacterium avium Subspecies hominissuis in a Dog with Generalized Lymphadenomegaly. Antibiotics, 14(4), 416. https://doi.org/10.3390/antibiotics14040416

