Abstract
Background: Bloodstream infections affect up to 20% of pediatric cancer patients receiving intensive care, contributing significantly to morbidity and mortality, with infection-related mortality rates reported to be as high as 16%. Methods: The identification of microorganisms directly from whole blood is difficult due to several factors, such as interference from host genomic material, low bacterial load, the endogenous components of whole blood and exogenous substances, which can interfere with the identification process. Nevertheless, rapid microbial diagnosis remains of paramount importance in these patients. Results and Conclusion: Here, we present the first case of bacterial pathogen identification directly from whole blood using MALDI-TOF mass spectrometry in an onco-hematological pediatric patient affected by sepsis and admitted to Bambino Gesù Children’s Hospital (IRCCS) in Rome, Italy.
1. Introduction
Bloodstream infection (BSI) occurs when pathogens enter the bloodstream and spread systemically. In severe cases, BSI can progress to sepsis, leading to shock, disseminated intravascular coagulation and multiple organ failure. The incidence of BSI ranges between 113 and 204 cases per 100,000 people [1,2], and these numbers have been rising annually [3,4]. BSIs are also a significant cause of morbidity and mortality in pediatric cancer patients undergoing intensive treatment regimens [5]. Among children who die of cancer within five years of diagnosis, 75% succumb to disease progression, while 21.4% die from treatment-related causes [6], with infections accounting for approximately 16% of these deaths [7]. These data reflect a significant cause of preventable and avoidable mortality, highlighting the urgency and need for a more rapid approach and targeted preventive strategies. In fact, it is important to note that infections in pediatric cancer patients are driven not only by intensive treatments, but also by the intrinsic immunosuppression associated with the disease.
Several factors increase the vulnerability of pediatric cancer patients to BSIs. Intensive chemotherapy and radiation weaken the immune system, while hematopoietic stem cell transplantation (HSCT) further increases the risk due to its associated immunosuppression, especially in patients with underlying hematologic malignancies [8]. Neutropenia further exacerbates this risk, with sepsis rates reported to be as high as 16% [9,10]. Additionally, most pediatric oncology patients rely on central venous catheters (CVCs), which compromise physical barriers and increase the BSI risk, particularly with external or non-tunneled lines [11]. These factors underscore the critical need for early pathogen detection and timely treatment to improve the clinical outcomes.
Blood culture remains the gold standard for identifying bacteria and fungi in sepsis cases, enabling optimized antimicrobial therapy and treatment efficacy monitoring [12]. However, blood cultures have significant limitations such as prolonged turnaround times, often exceeding 24–48 h without rapid diagnostic tools [13]. Therefore, new diagnostic techniques are needed to overcome these delays.
Matrix-assisted laser desorption/ionization-time-of-flight mass spectrometry (MALDI-TOF MS; Bruker Daltonics, Bremen, Germany) has revolutionized clinical microbiology. Compared to conventional biochemical systems, MALDI-TOF MS significantly reduces diagnostic time by rapidly identifying pathogenic bacteria and fungi, as well as detecting antimicrobial resistance [14]. Initially, MALDI-TOF MS was limited to identifying microorganisms from cultured isolates. However, over time, its applications have expanded to include the direct detection of pathogens from clinical samples, although this approach still requires further exploration. Currently, its use in positive blood cultures for the identification of microorganisms and the detection of antimicrobial resistance represents one of the most useful applications [15].
However, direct pathogen identification from whole blood poses unique challenges. In septic patients, host genomic material can outnumber microbial DNA by up to 1010-fold, complicating detection. Additional obstacles include low bacterial loads and interference from hemoglobin, albumin and exogenous substances such as anticoagulants [13]. Despite these difficulties, rapid and precise microbial diagnosis is essential for guiding antimicrobial therapy and preventing sepsis progression. MALDI-TOF MS’s ability to identify pathogens directly from whole blood without prior culture represents a groundbreaking advancement.
This case study describes the first successful use of MALDI-TOF MS to directly identify a bacterial pathogen from whole blood in an onco-hematological pediatric patient with bloodstream infection, enabled by a high bacterial load.
2. Case Description
We present the case of a 12-year-old patient diagnosed with T-cell acute lymphoblastic leukemia (T-ALL) admitted to the Hematology Department of Bambino Gesù Children’s Hospital. After receiving a CD7-targeting Chimeric Antigen Receptor (CAR) T-cell infusion, the patient underwent an allogeneic stem cell transplant (HSCT). The post-transplant period was marked by severe complications, including acute renal failure, fungal lung infection, respiratory failure, adenovirus viremia, arterial hypertension and left ventricular failure.
Despite aggressive management, the patient’s condition worsened, ultimately progressing to septic shock. Upon admission to the intensive care unit, blood samples were collected for microbiological analysis, and standard diagnostic protocols, including blood cultures and empirical antibiotic therapy, were initiated.
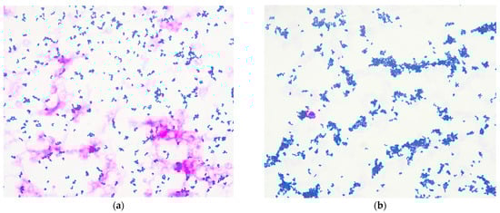
Successive complete blood counts revealed a rapidly increasing platelet count, exceeding 100,000/μL and surpassing 1,000,000/μL within a few hours. A manual platelet count via peripheral blood smear unexpectedly revealed extensive bacterial presence (Figure 1a). This prompted the immediate submission of the whole blood sample to the microbiology laboratory for further investigation and microbiological consultation.
Figure 1.
(a) Manual smear prepared for peripheral blood platelet count, revealing high bacterial load (original magnification, ×1000). (b) Bacterioscopic examination of whole blood sample showing Gram-positive bacilli on Gram staining. Gram-stained bacteria viewed with brightfield microscope at 1000× magnification with oil immersion.
Given the patient’s critical condition, rapid pathogen identification was essential to optimize treatment. A timeline of the microbiological investigations and their results is shown in Figure 2.
Figure 2.
Timeline of microbiological investigations and relevant findings leading to identification of Corynebacterium tuberculostearicum by MALDI-TOF MS directly from whole blood. Created in BioRender [16].
3. Microbiological Investigation and Relevant Findings
A bacterioscopic examination of patient’s whole blood sample revealed a high bacterial load of Gram-positive bacilli (Figure 1b). This unique finding enabled the use of MALDI-TOF MS for direct pathogen identification, bypassing traditional culture-based workflows. Typically, culture-based identification requires 24–48 h from blood collection to pathogen identification.
Therefore, a MALDI-TOF MBT Smart mass spectrometer (Bruker Daltonics, Bremen, Germany) in positive ion mode with a laser frequency of 200 Hz was used for pathogen identification, employing the MALDI Biotyper (Bruker Daltonics, Bremen, Germany) V4.1.14 software package. An instrument calibration was performed with the Bruker Bacterial Test Standard (BTS), and the spectra profiles were analyzed using the Bruker Biotyper V.11.0.0 library alone (covering 3893 species and 10,833 entries) for bacterial identification.
For sample preparation, 1 mL of sample was mixed with 200 µL of lysis buffer from the MALDI Sepsityper kit (Bruker Daltonics, Bremen, Germany) and shaken for 10 s. After centrifugation for 2 min at 13,000 rpm, the supernatant was removed and 500 µL of deionized water was added, and after suspension, the sample was centrifuged again for 1 min at 13,000 rpm. After removing the supernatant, 1 mL of buffer was added, and the pellet was resuspended. The sample was again centrifuged for 1 min at 13,000 rpm and, after removing the buffer, the bacterial pellet was spotted into the target. Seventy percent formic acid was added to each well, and one microliter of α-cyano-4-hydroxycinnamic acid (CHCA) matrix was added to the samples and allowed to air-dry before being placed in the mass spectrometer.
In this case, MALDI-TOF MS directly identified Corynebacterium tuberculostearicum from the whole blood, significantly reducing the diagnostic turnaround time and allowing for the rapid initiation of therapy. The direct identification result was provided approximately one hour after the samples arrived at the microbiology laboratory. This is remarkably faster than the time required for the blood cultures to turn positive (mean [SD] = 10.9 [5.5] h), and for final microorganism identification (mean [SD] = 65.7 [24.5] h) [17].
Meanwhile, standard blood cultures were processed using the BacT/ALERT VIRTUO system (bioMérieux, Marcy l’Étoile, France). Blood samples were inoculated into aerobic and anaerobic culture bottles at 6:55 p.m. The aerobic cultures became positive after 3 h and 18 min and the anaerobic cultures after 2 h and 42 min of incubation. Subsequent subcultures on solid media were incubated overnight at 37 °C. The colonies grown on the agar plates were identified the next day using MALDI-TOF MS, which confirmed the identification of Corynebacterium tuberculostearicum.
Notably, the microorganism was identified directly from the whole blood before the positive blood cultures, with the MALDI-TOF MS identification report available at 8:57 p.m. (Supplementary Figure S1). This provided a faster identification result, requiring approximately 2 h from the whole blood compared to ~15/18 h for the culture-based identification and ~4/5 h for direct identification from the positive blood cultures. This time-saving (13–16 h or 2–3 h, respectively) can be critical in managing infections, especially in vulnerable patients. These findings highlight the diagnostic advantage of MALDI-TOF MS in high-bacterial load scenarios, where rapid identification can significantly influence clinical decision-making.
Table 1 summarizes the advantages and limitations of using MALDI-TOF MS for direct pathogen identification. The benefits include rapid diagnosis and high accuracy, while the limitations involve the need for high bacterial loads and challenges related to the host genomic material, endogenous whole blood components and exogenous substances. Although some studies suggest a limit of detection of 6 × 103 CFU/spot, a practical limit of 1 × 105 CFU/spot is often necessary [18]. A significant biomass is required to obtain reliable identification results, and these limitations of MALDI TOF MS will need to be addressed in the future.
Table 1.
A summary of the advantages and disadvantages of using MALDI-TOF MS for direct pathogen identification from whole blood.
Taken together, this represents the first reported case of the successful identification of a bacterial pathogen directly from whole blood using MALDI-TOF MS. This result was facilitated by the high bacterial load in the blood, which allowed the detection of the microbial signal despite the presence of endogenous components of the whole blood and exogenous substances that interfered with the identification process.
4. Implications and Conclusions
This case highlights the potential of MALDI-TOF MS to revolutionize BSI diagnosis, particularly in critically ill patients with high bacterial loads. By enabling direct pathogen identification from whole blood, this technique bypasses the delays associated with culture-based methods, facilitating earlier, targeted antimicrobial therapy that can be life-saving.
For pediatric oncology patients, a timely and accurate diagnosis is crucial to minimize the use of broad-spectrum antibiotics and reduce the risks of antimicrobial resistance. The success of MALDI-TOF MS in this case highlights its potential in addressing these challenges by delivering rapid and precise pathogen identification. Its ability to detect microorganisms directly from whole blood without prior culture represents a significant shift in clinical microbiology, especially for high-risk populations. However, the application of MALDI TOF MS still remains in early development, with several challenges that still need to be overcome. Standardization is also needed to ensure reliability. Future research should focus on optimizing sample preparation, enhancing the detection of low bacterial loads and expanding pathogen detection libraries.
In conclusion, this study demonstrates the potential of integrating MALDI-TOF MS into routine workflows for direct pathogen identification from whole blood, offering a promising strategy to enhance infection management in vulnerable patient populations. To our knowledge, this is the first reported case of direct bacterial pathogen identification from whole blood using MALDI-TOF MS in a patient with bloodstream infection, marking a significant advancement in rapid diagnostics. MALDI-TOF MS has the potential to become a transformative diagnostic tool in clinical microbiology, particularly for high-risk patients requiring immediate and targeted therapeutic interventions, and whose potentially high bacterial biomasses may make this rapid approach feasible and impactful.
Supplementary Materials
The following supporting information can be downloaded at: https://www.mdpi.com/article/10.3390/antibiotics14020149/s1, Figure S1: MALDI-TOF MS identification report.
Author Contributions
Conceptualization, V.C., V.T.G.A., M.d.C.P.B., C.F.P. and P.B.; methodology, V.C., V.T.G.A., M.d.C.P.B., M.B., P.M. and F.F.; formal analysis, V.C., V.T.G.A., M.d.C.P.B., C.F.P. and P.B.; investigation, V.C., V.T.G.A., M.d.C.P.B., M.A., E.C., B.L., M.O., M.B., P.M., C.F.P. and P.B.; writing—original draft preparation, V.C., M.d.C.P.B., G.F., C.F.P. and P.B.; writing—review and editing, V.C., V.T.G.A., M.d.C.P.B., M.B., P.M., G.V., G.F., M.R., V.F., C.F.P. and P.B.; supervision, C.F.P. and P.B.; funding acquisition, C.F.P. All authors have read and agreed to the published version of the manuscript.
Funding
This research was supported by EU funding within the NextGenerationEU-MUR PNRR Extended Partnership initiative on Emerging Infectious Diseases (Project no. PE00000007, INF-ACT) and by ANIA funding. This work was also supported by the Italian Ministry of Health with Current Research funds.
Institutional Review Board Statement
Not applicable for studies not involving humans or animals.
Informed Consent Statement
Considering the nature of the analysis, the current study did not require the approval of the local ethics committee according to current legislation and the 1964 Helsinki Declaration. In addition, the parents or legal guardians of the patients provided consent to use personal data for diagnosis, treatment and related research purposes at the time of hospitalization.
Data Availability Statement
All data generated or analyzed during this study are included in this published article. Further inquiries can be directed to the corresponding author.
Acknowledgments
The authors thank all staff of the Microbiology and Virology Laboratory of Bambino Gesù Children’s Hospital (IRCCS) for their outstanding technical support in processing samples, performing laboratory analyses and data management.
Conflicts of Interest
The authors declare no conflicts of interest.
References
- Goto, M.; Al-Hasan, M.N. Overall burden of bloodstream infection and nosocomial bloodstream infection in North America and Europe. Clin. Microbiol. Infect. 2013, 19, 501–509. [Google Scholar] [CrossRef] [PubMed]
- Kern, W.V.; Rieg, S. Burden of bacterial bloodstream infection-a brief update on epidemiology and significance of multidrug-resistant pathogens. Clin. Microbiol. Infect. 2020, 26, 151–157. [Google Scholar] [CrossRef]
- Kontula, K.S.K.; Skogberg, K.; Ollgren, J.; Järvinen, A.; Lyytikäinen, O. Population-Based Study of Bloodstream Infection Incidence and Mortality Rates, Finland, 2004–2018. Emerg. Infect. Dis. 2021, 27, 2560–2569. [Google Scholar] [CrossRef] [PubMed]
- Peker, N.; Couto, N.; Sinha, B.; Rossen, J.W. Diagnosis of bloodstream infections from positive blood cultures and directly from blood samples: Recent developments in molecular approaches. Clin. Microbiol. Infect. 2018, 24, 944–955. [Google Scholar] [CrossRef] [PubMed]
- Willis, D.N.; McGlynn, M.C.; Reich, P.J.; Hayashi, R.J. Mortality in pediatric oncology and stem cell transplant patients with bloodstream infections. Front. Oncol. 2023, 12, 1063253. [Google Scholar] [CrossRef]
- Gustinetti, G.; Mikulska, M. Bloodstream infections in neutropenic cancer patients: A practical update. Virulence 2016, 7, 280–297. [Google Scholar] [CrossRef] [PubMed]
- Smits-Seemann, R.R.; Pettit, J.; Li, H.; Kirchhoff, A.C.; Fluchel, M.N. Infection-related mortality in Hispanic and non-Hispanic children with cancer. Pediatr. Blood Cancer 2017, 64, e26502. [Google Scholar] [CrossRef] [PubMed]
- Zinter, M.S.; Dubois, S.G.; Spicer, A.; Matthay, K.; Sapru, A. Pediatric cancer type predicts infection rate, need for critical care intervention, and mortality in the pediatric intensive care unit. Intensive Care Med. 2014, 40, 1536–1544. [Google Scholar] [CrossRef] [PubMed]
- Bodey, G.P.; Buckley, M.; Sathe, Y.S.; Freireich, E.J. Quantitative relationships between circulating leukocytes and infection in patients with acute leukemia. Ann. Intern. Med. 1966, 64, 328–340. [Google Scholar] [CrossRef] [PubMed]
- Basu, S.K.; Fernandez, I.D.; Fisher, S.G.; Asselin, B.L.; Lyman, G.H. Length of stay and mortality associated with febrile neutropenia among children with cancer. J. Clin. Oncol. 2005, 23, 7958–7966. [Google Scholar] [CrossRef] [PubMed]
- Chopra, V.; Ratz, D.; Kuhn, L.; Lopus, T.; Chenoweth, C.; Krein, S. Picc-associated bloodstream infections: Prevalence, patterns, and predictors. Am. J. Med. 2014, 127, 319–328. [Google Scholar] [CrossRef] [PubMed]
- Fabre, V.; Carroll, K.C.; Cosgrove, S.E. Blood culture utilization in the hospital setting: A call for diagnostic stewardship. J. Clin. Microbiol. 2022, 60, e01005–e01021. [Google Scholar] [CrossRef] [PubMed]
- Iyer, V.; Castro, D.; Malla, B.; Panda, B.; Rabson, A.R.; Horowitz, G.; Heger, N.; Gupta, K.; Singer, A.; Norwitz, E.R. Culture-independent identification of bloodstream infections from whole blood: Prospective evaluation in specimens of known infection status. J. Clin. Microbiol. 2024, 62, e0149823. [Google Scholar] [CrossRef] [PubMed]
- Calderaro, A.; Chezzi, C. MALDI-TOF MS: A Reliable Tool in the Real Life of the Clinical Microbiology Laboratory. Microorganisms 2024, 12, 322. [Google Scholar] [CrossRef]
- Pranada, A.B.; Cordovana, M.; Meyer, M.; Hubert, H.; Abdalla, M.; Ambretti, S.; Steinmann, J. Identification of micro-organism from positive blood cultures: Comparison of three different short culturing methods to the Rapid Sepsityper workflow. J. Med. Microbiol. 2022, 71, 001571. [Google Scholar] [CrossRef] [PubMed]
- Cortazzo, V. Created in BioRender. 2025. Available online: https://BioRender.com/w58x852 (accessed on 13 January 2025).
- Lucignano, B.; Cento, V.; Agosta, M.; Ambrogi, F.; Albitar-Nehme, S.; Mancinelli, L.; Mattana, G.; Onori, M.; Galaverna, F.; Di Chiara, L.; et al. Effective Rapid Diagnosis of Bacterial and Fungal Bloodstream Infections by T2 Magnetic Resonance Technology in the Pediatric Population. J. Clin. Microbiol. 2022, 60, e0029222. [Google Scholar] [CrossRef] [PubMed]
- Han, S.S.; Jeong, Y.S.; Choi, S.K. Current Scenario and Challenges in the Direct Identification of Microorganisms Using MALDI TOF MS. Microorganisms 2021, 9, 1917. [Google Scholar] [CrossRef] [PubMed]
Disclaimer/Publisher’s Note: The statements, opinions and data contained in all publications are solely those of the individual author(s) and contributor(s) and not of MDPI and/or the editor(s). MDPI and/or the editor(s) disclaim responsibility for any injury to people or property resulting from any ideas, methods, instructions or products referred to in the content. |
© 2025 by the authors. Licensee MDPI, Basel, Switzerland. This article is an open access article distributed under the terms and conditions of the Creative Commons Attribution (CC BY) license (https://creativecommons.org/licenses/by/4.0/).

