Functional Characterization, Mechanism, and Mode of Action of Putative Streptomycin Adenylyltransferase from Serratia marcescens
Abstract
1. Introduction
2. Materials and Methods
2.1. Cloning and Transformation
2.2. Expression and Purification of Recombinant Protein
2.3. Protein Confirmation by Western Blotting and MALDI Analysis
2.4. Antibiotic Susceptibility Test and Determination of MIC
2.5. Malachite Green Assay
2.6. Chromatographic Adenylation Assay
2.7. HPLC and Mass Spectrometry Analysis of Adenylated Streptomycin
3. Results and Discussion
3.1. Transformation of Recombinant Plasmid
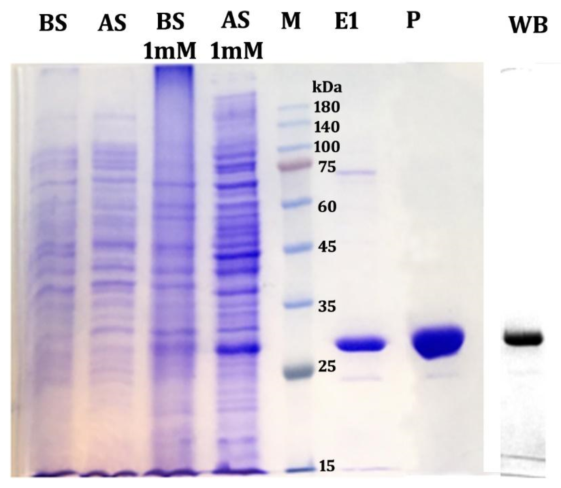
3.2. Expression and Purification
3.3. Identification of Purified Protein by Western Blotting and MALDI
3.4. Functional Characterization
3.5. Malachite Green Assay
3.6. Chromatographic Adenylation Assay
3.7. Confirmation of Adenylated Streptomycin by HPLC and Mass Spectrometry
4. Conclusions
Supplementary Materials
Author Contributions
Funding
Institutional Review Board Statement
Informed Consent Statement
Data Availability Statement
Acknowledgments
Conflicts of Interest
References
- Khan, H.A.; Ahmad, A.; Mehboob, R. Nosocomial infections and their control strategies. Asian Pac. J. Trop. Biomed. 2015, 5, 509–514. [Google Scholar] [CrossRef]
- Obiero, C.W.; Seale, A.C.; Berkley, J.A. Empiric treatment of neonatal sepsis in developing countries. Pediatr. Infect. Dis. J. 2015, 34, 659–661. [Google Scholar] [CrossRef] [PubMed]
- Al-Tawfiq, J.A.; Tambyah, P.A. Healthcare associated infections (HAI) perspectives. J. Infect. Public Health. 2014, 7, 339–344. [Google Scholar] [CrossRef] [PubMed]
- Gatermann, S.; Funfstuck, R.; Handrick, W.; Leitritz, L.; Naber, K.; Podbielski, A. MIQ 02: Urinary Tract Infections: Quality Standards for Microbiological Infections; Urban & Fischer: Munchen, Germany, 2005; pp. 8–21. [Google Scholar]
- Khanna, A.; Khanna, M.; Aggarwal, A. Serratia marcescens- a rare opportunistic nosocomial pathogen and measures to limit its spread in hospitalized patients. J. Clin. Diagn. Res. 2013, 7, 243–246. [Google Scholar] [PubMed]
- Mahlen, S.D. Serratia infections: From military experiments to current practice. Clin. Microbiol. Rev. 2011, 24, 755–759. [Google Scholar] [CrossRef] [PubMed]
- McDermott, P.F.; Walker, R.D.; White, D.G. Antimicrobials: Modes of action and mechanisms of resistance. Int. J. Toxicol. 2003, 22, 135–143. [Google Scholar] [CrossRef]
- Ramirez, M.S.; Tolmasky, M.E. Aminoglycoside modifying enzymes. Drug Resist. Updat. 2010, 13, 151–171. [Google Scholar] [CrossRef]
- Krause, K.M.; Serio, A.W.; Kane, T.R.; Connolly, L.E. Aminoglycosides: An Overview. Cold Spring Harb. Perspect. Med. 2016, 6, a027029. [Google Scholar] [CrossRef]
- Demirci, H.; Murphy, F.; Murphy, E.; Gregory, S.T.; Dahlberg, A.E.; Jogl, G. A structural basis for streptomycin-induced misreading of the genetic code. Nat. Commun. 2013, 4, 1355. [Google Scholar] [CrossRef]
- Wright, G.D. Aminoglycoside-modifying enzymes. Curr. Opin. Microbiol. 1999, 2, 499–503. [Google Scholar] [CrossRef]
- Aslam, B.; Wang, W.; Arshad, M.I.; Khurshid, M.; Muzammil, S.; Rasool, M.H.; Nisar, M.A.; Alvi, R.F.; Aslam, M.A.; Qamar, M.U.; et al. Antibiotic resistance: A rundown of a global crisis. Infect. Drug Resist. 2018, 11, 1645–1658. [Google Scholar] [CrossRef] [PubMed]
- Jeyakanthan, J.; Inagaki, E.; Kuroishi, C.; Tahirov, T.H. Structure of PIN-domain protein PHO500 from Pyrococcus horikoshii. Acta. Crystallogr. Sect. F. Struct. Biol. Cyrst. Commun. 2005, 61, 463–468. [Google Scholar] [CrossRef] [PubMed]
- Prabhu, D.; Rajamanikandan, S.; Anusha, S.B.; Chowdary, M.S.; Veerapandiyan, M.; Jeyakanthan, J. In silico Functional Annotation and Characterization of Hypothetical Proteins from Serratia marcescens FGI94. Biol. Bull. Russ Acad. Sci. 2020, 47, 319–331. [Google Scholar] [CrossRef] [PubMed]
- Mahmood, T.; Yang, P.C. Western blot: Technique, theory, and trouble shooting. N. Am. J. Med. Sci. 2012, 4, 429–434. [Google Scholar] [PubMed]
- Shevchenko, A.; Wilm, M.; Vorm, O.; Mann, M. Mass spectrometric sequencing of proteins from silver-stained polyacrylamide gels. Anal. Chem. 1996, 68, 850–858. [Google Scholar] [CrossRef] [PubMed]
- Bauer, A.W.; Kirby, W.M.; Sherris, J.C.; Turck, M. Antibiotic susceptibility testing by a standardized single disk method. Am. J. Clin. Pathol. 1966, 45, 493–496. [Google Scholar] [CrossRef]
- Reller, L.B.; Weinstein, M.; Jorgensen, J.H.; Ferraro, M.J. Antimicrobial Susceptibility Testing: A Review of General Principles and Contemporary Practices. Clin. Infect. Dis. 2009, 49, 1749–1755. [Google Scholar]
- Thool, V.U.; Bhoosreddy, G.L.; Wadher, B.J. Detection of resistance to linezolid in Staphylococcus aureus infecting orthopedic patients. Indian J. Pathol. Microbiol. 2012, 55, 361–364. [Google Scholar] [CrossRef]
- Feng, J.; Chen, Y.; Pu, J.; Yang, X.; Zhang, C.; Zhu, S.; Zhao, Y.; Yuan, Y.; Yuan, H.; Liao, F. An improved malachite green assay of phosphate: Mechanism and application. Anal. Biochem. 2011, 409, 144–149. [Google Scholar] [CrossRef]
- Stern, A.L.; Van der Verren, S.E.; Kanchugal, P.S.; Nasvall, J.; Gutierrez-de-Teran, H.; Selmer, M. Structural mechanism of AadA, a dual-specificity aminoglycoside adenylyltransferase from Salmonella enterica. J. Biol. Chem. 2018, 293, 11481–11490. [Google Scholar] [CrossRef]
- Prabhu, D.; Rajamanikandan, S.; Saritha, P.; Jeyakanthan, J. Evolutionary significance and functional characterization of streptomycin adenylyltransferase from Serratia marcescens. J. Biomol. Struct. Dyn. 2020. [Google Scholar] [CrossRef] [PubMed]
- Gasser, B.; Saloheimo, M.; Rinas, U.; Dragosits, M.; Rodríguez-Carmona, E.; Baumann, K.; Giuliani, M.; Parrilli, E.; Branduardi, P.; Lang, C.; et al. Protein folding and conformational stress in microbial cells producing recombinant proteins: A host comparative overview. Microb. Cell Fact. 2008, 4, 7–11. [Google Scholar] [CrossRef] [PubMed]
- Prabhu, D.; Vidhyavathi, R.; Jeyakanthan, J. Computational identification of potent inhibitors for Streptomycin 3″-adenylyltransferase of Serratia marcescens. Microb. Pathog. 2017, 103, 94–106. [Google Scholar] [CrossRef] [PubMed]
- Sen, T.; Verma, N.K. Functional Annotation and Curation of Hypothetical Proteins Present in A Newly Emerged Serotype 1c of Shigella flexneri: Emphasis on Selecting Targets for Virulence and Vaccine Design Studies. Genes 2020, 11, 340. [Google Scholar] [CrossRef] [PubMed]
- Jana, S.; Deb, J.K. Kinetic mechanism of streptomycin adenylyltransferase from a recombinant Escherichia coli. Biotechnol. Lett. 2005, 27, 519–524. [Google Scholar] [CrossRef] [PubMed]
- Pan, S.H.; Malcolm, B.A. Reduced Background Expression and Improved Plasmid Stability with pET Vectors in BL21 (DE3). BioTechniques 2000, 29, 1234–1238. [Google Scholar] [CrossRef]
- Andrews, B.T.; Roy, M.; Jennings, P.A. Chromophore packing leads to hysteresis in GFP. J. Mol. Biol. 2009, 392, 218–227. [Google Scholar] [CrossRef]
- Chen, Y.; Näsvall, J.; Wu, S.; Andersson, D.I.; Selmer, M. Structure of AadA from Salmonella enterica: A monomeric aminoglycoside (3″)(9) adenyltransferase. Acta Crystallogr. D Biol. Crystallogr. 2015, 71, 2267–2277. [Google Scholar] [CrossRef]
- Steitz, T.A. DNA- and RNA-dependent DNA polymerases. Curr. Opin. Struct. Biol. 1993, 3, 31–38. [Google Scholar] [CrossRef]
- Yang, W.; Lee, J.Y.; Nowotny, M. Making and breaking nucleic acids: Two-Mg2+-ion catalysis and substrate specificity. Mol. Cell. 2006, 22, 5–13. [Google Scholar] [CrossRef]








| General Information | |||||
| Database | NCBIpro | ||||
| Score | 70 | ||||
| Monoisotopic mass (Mr) | 29,095 | ||||
| Calculated pI | 4.93 | ||||
| Theoretical mass of protein | 29,936 | ||||
| Matches | 3 | ||||
| Matching protein | Aminoglycoside nucleotidyltransferase | ||||
| Matching source organism | Serratia sp. FGI94 | ||||
| Peptide Information | |||||
| Peptide fragment | 56APLDNTQR63 | 175ETADLQGDER184 | |||
| Score | 59 | 67 | |||
| Mr (Expt) | 913.4564 | 1132.4988 | |||
| Mr (Calc) | 913.4981 | 1132.4996 | |||
| Observed | 914.4636 | 567.2567 | |||
| MIC (µg/mL) | ||||||
|---|---|---|---|---|---|---|
| Antibiotic | E. coli pLysS Cells (Cell Control) | E. coli pLysS Cells + Null pET28a(+) (Vector Control) | E. coli pLysS Cells + SMATase—pET28a(+) (Recombinant Cell) | |||
| Disc Diffusion (ZOI in mm) | Ezy MIC™ Strips (MIC in µg/mL) | Disc Diffusion (ZOI in mm) | Ezy MIC™ Strips (MIC in µg/mL) | Disc Diffusion (ZOI in mm) | Ezy MIC™ Strips (MIC in µg/mL) | |
| Amikacin | 28 | 0.75 | 31 | 0.75 | 31 | 0.75 |
| Ampicillin | 29 | 1 | 33 | 1 | 33 | 1 |
| Erythromycin | 10 | 16 | 10 | 16 | 10 | 16 |
| Gentamycin | 29 | 0.25 | 24 | 0.25 | 32 | 0.25 |
| Kanamycin | 26 | 0.75 | - | No inhibition # | - | No inhibition # |
| Streptomycin | 28 | 3 | 29 | 3 | - | No inhibition * |
| Tobramycin | 29 | 0.50 | 34 | 0.50 | 34 | 0.50 |
Publisher’s Note: MDPI stays neutral with regard to jurisdictional claims in published maps and institutional affiliations. |
© 2022 by the authors. Licensee MDPI, Basel, Switzerland. This article is an open access article distributed under the terms and conditions of the Creative Commons Attribution (CC BY) license (https://creativecommons.org/licenses/by/4.0/).
Share and Cite
Prabhu, D.; Rajamanikandan, S.; Amala, M.; Saritha, P.; Jeyakanthan, J.; Ramasamy, P. Functional Characterization, Mechanism, and Mode of Action of Putative Streptomycin Adenylyltransferase from Serratia marcescens. Antibiotics 2022, 11, 1722. https://doi.org/10.3390/antibiotics11121722
Prabhu D, Rajamanikandan S, Amala M, Saritha P, Jeyakanthan J, Ramasamy P. Functional Characterization, Mechanism, and Mode of Action of Putative Streptomycin Adenylyltransferase from Serratia marcescens. Antibiotics. 2022; 11(12):1722. https://doi.org/10.3390/antibiotics11121722
Chicago/Turabian StylePrabhu, Dhamodharan, Sundararaj Rajamanikandan, Mathimaran Amala, Poopandi Saritha, Jeyaraman Jeyakanthan, and Palaniappan Ramasamy. 2022. "Functional Characterization, Mechanism, and Mode of Action of Putative Streptomycin Adenylyltransferase from Serratia marcescens" Antibiotics 11, no. 12: 1722. https://doi.org/10.3390/antibiotics11121722
APA StylePrabhu, D., Rajamanikandan, S., Amala, M., Saritha, P., Jeyakanthan, J., & Ramasamy, P. (2022). Functional Characterization, Mechanism, and Mode of Action of Putative Streptomycin Adenylyltransferase from Serratia marcescens. Antibiotics, 11(12), 1722. https://doi.org/10.3390/antibiotics11121722

