Evaluation of Cancer Cell Invasion Ability Based on Electrochemical Impedance
Abstract
1. Introduction
2. Materials and Methods
2.1. Cell Culture
2.2. System Construction
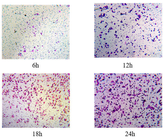
2.3. Transwell Method
2.4. Principle of Simulation Analysis
2.5. Determination of Cell Sensitive Frequencies and Optimization of Electrical Signals
2.6. Equivalent Model of Electrochemical Measurement
3. Results and Discussion
3.1. Chip Simulation
3.2. Optimization of Electrical Signal
3.3. Cancer Cell Invasion Electrochemical Sensor-Counting Model
3.4. Superiority Analysis
4. Conclusions
Author Contributions
Funding
Institutional Review Board Statement
Informed Consent Statement
Data Availability Statement
Conflicts of Interest
Appendix A





References
- Bray, F.; Laversanne, M.; Sung, H.; Ferlay, J.; Siegel, R.L.; Soerjomataram, I.; Jemal, A. Global cancer statistics 2022: GLOBOCAN estimates of incidence and mortality worldwide for 36 cancers in 185 countries. CA Cancer J. Clin. 2024, 74, 229–263. [Google Scholar] [CrossRef]
- Castaneda, M.; Hollander, P.D.; Kuburich, N.A.; Rosen, J.M.; Mani, S.A. Mechanisms of cancer metastasis. In Seminars in Cancer Biology; Academic Press: Cambridge, MA, USA, 2022; Volume 87. [Google Scholar]
- Tsilimigras, D.I.; Brodt, P.; Clavien, P.-A.; Muschel, R.J.; D’Angelica, M.I.; Endo, I.; Parks, R.W.; Doyle, M.; de Santibañes, E.; Pawlik, T.M. Liver metastases. Nat. Rev. Dis. Primers 2021, 7, 27. [Google Scholar] [CrossRef]
- Rao, Z.; Lu, C.; Fan, H.; Du, F.; Zhu, Y.; Xia, Y.; Wang, Z.; Ning, P. Engineered Macrophages-Based uPA-Scavenger Load Gemcitabine to Prompt Robust Treating Cancer Metastasis. Adv. Healthc. Mater. 2023, 12, 2203356. [Google Scholar] [CrossRef] [PubMed]
- Garcia-Leon, M.J.; Liboni, C.; Mittelheisser, V.; Bochler, L.; Follain, G.; Mouriaux, C.; Busnelli, I.; Larnicol, A.; Colin, F.; Peralta, M.; et al. Platelets favor the outgrowth of established metastases. Nat. Commun. 2024, 15, 3297. [Google Scholar] [CrossRef] [PubMed]
- Li, Y.; Fan, Y.; Xie, Y.; Li, L.; Li, J.; Liu, J.; Jin, Z.; Xue, H.; Wang, Z. Genome-wide RNA-Seq identifies TP53-mediated embryonic stem cells inhibiting tumor invasion and metastasis. Stem Cell Res. Ther. 2024, 15, 369. [Google Scholar] [CrossRef]
- Zhong, G.; Zhao, Q.; Chen, Z.; Yao, T. TGF-β signaling promotes cervical cancer metastasis via CDR1as. Mol. Cancer 2023, 22, 66. [Google Scholar] [CrossRef]
- Chen, M.; Shan, H.; Tao, Q.; Hu, R.; Sun, Q.; Zheng, M.; Chen, Z.; Lin, Q.; Yin, M.; Zhao, S.; et al. Mimicking Tumor Metastasis Using a Transwell-Integrated Organoids-On-a-Chip Platform. Small 2024, 20, 2308525. [Google Scholar] [CrossRef] [PubMed]
- Truong, D.; Fiorelli, R.; Barrientos, E.S.; Melendez, E.L.; Sanai, N.; Mehta, S.; Nikkhah, M. A three-dimensional (3D) organotypic microfluidic model for glioma stem cells–Vascular interactions. Biomaterials 2019, 198, 63–77. [Google Scholar] [CrossRef]
- Wong, A.D.; Searson, P.C. Mitosis-mediated intravasation in a tissue-engineered tumor–microvessel platform. Cancer Res. 2017, 77, 6453–6461. [Google Scholar] [CrossRef]
- Nagaraju, S.; Truong, D.; Mouneimne, G.; Nikkhah, M. Microfluidic tumor-vascular model to study breast cancer cell invasion and intravasation. Adv. Healthc. Mater. 2018, 7, 1701257. [Google Scholar] [CrossRef]
- Wang, S.; Zhang, J.; Wang, S.; Ono, K. Electrochemical impedance spectroscopy. Nat. Rev. Methods Primers 2021, 1, 41. [Google Scholar] [CrossRef]
- Wang, M.; Zhang, J.; Chen, X.; Li, Y.; Huang, X.; Wang, J.; Li, Y.; Huo, X.; Chen, J. Microfluidic impedance flow cytometer leveraging virtual constriction microchannel and its application in leukocyte differential. Microsyst. Nanoeng. 2024, 10, 192. [Google Scholar] [CrossRef] [PubMed]
- Xie, X.; Zhao, J.; Liu, T.; Li, L.; Qin, Y.; Song, X.; Ge, Y.; Zhao, J. Label-free and real-time impedance sensor integrated liver chip for toxicity assessment: Mechanism and application. Sens. Actuators B Chem. 2023, 393, 134282. [Google Scholar] [CrossRef]
- Cui, J.Q.; Tian, Y.; Wu, Z.; Zhang, L.; Cho, W.C.; Yao, S.; Lin, Y. Concurrently Probing the Mechanical and Electrical Characteristics of Living Cells via an Integrated Microdevice. Nano Lett. 2024, 24, 14522–14530. [Google Scholar] [CrossRef] [PubMed]
- Chitale, S.; Chitale, S.; Wu, W.; Wu, W.; Mukherjee, A.; Mukherjee, A.; Lannon, H.; Lannon, H.; Suresh, P.; Suresh, P.; et al. A semiconductor 96-microplate platform for electrical-imaging based high-throughput phenotypic screening. Nat. Commun. 2023, 14, 7576. [Google Scholar] [CrossRef] [PubMed]
- Yang, N.; Hui, W.; Dong, S.; Zhang, X.; Shao, L.; Jia, Y.; Mak, P.-I.; Martins, R.P.d.S. Temperature tolerance electric cell–substrate impedance sensing for joint assessment of cell viability and vitality. ACS Sens. 2021, 6, 3640–3649. [Google Scholar] [CrossRef]
- Wang, W.; Liu, Y.; Huang, X.; Liang, F.; Luo, H.; Mao, Z.; Shi, J.; Wang, L.; Peng, J.; Chen, Y. Diffusion-based culture and real-time impedance monitoring of tumor spheroids in hydrogel microwells of a suspended membrane under microfluidic conditions. Talanta 2024, 278, 126473. [Google Scholar] [CrossRef]
- Wei, M.; Zhang, R.; Zhang, F.; Zhang, Y.; Li, G.; Miao, R.; Shao, S. An evaluation approach of cell viability based on cell detachment assay in a single-channel integrated microfluidic chip. ACS Sens. 2019, 4, 2654–2661. [Google Scholar] [CrossRef] [PubMed]
- Wang, J.-W.; Wang, M.-H.; Jang, L.-S. Effects of electrode geometry and cell location on single-cell impedance measurement. Biosens. Bioelectron. 2010, 25, 1271–1276. [Google Scholar] [CrossRef]
- Li, H.; Fu, Y.; Guo, J.; Guo, J. Impedance Cell Sensing Technology From Single-frequency to Multi-frequency: A Review. IEEE Sens. J. 2024, 24, 4150–4160. [Google Scholar] [CrossRef]
- Zhang, Z.; Huang, X.; Liu, K.; Lan, T.; Wang, Z.; Zhu, Z. Recent advances in electrical impedance sensing technology for single-cell analysis. Biosensors 2021, 11, 470. [Google Scholar] [CrossRef] [PubMed]
- Hedayatipour, A.; Aslanzadeh, S.; McFarlane, N. CMOS based whole cell impedance sensing: Challenges and future outlook. Biosens. Bioelectron. 2019, 143, 111600. [Google Scholar] [CrossRef]
- Zhang, Y.; Wei, M.; Zhang, F.; Guo, J. High-accuracy gastric cancer cell viability evaluation based on multi-impedance spectrum characteristics. Heliyon 2023, 9, e14966. [Google Scholar] [CrossRef] [PubMed]
- Wei, M.; Zhang, R.; Zhang, F.; Yang, N.; Zhang, Y.; Li, G. How to choose a proper theoretical analysis model based on cell adhesion and nonadhesion impedance measurement. ACS Sens. 2021, 6, 673–687. [Google Scholar] [CrossRef] [PubMed]
- Cannaday, A.E.; Hanna, S.; Hoelle, J. A mobile angular scattering microscope for organelle size estimation. Rev. Sci. Instrum. 2021, 92, 083702. [Google Scholar] [CrossRef]
- Koklu, A.; Mansoorifar, A.; Beskok, A. Effects of electrode size and surface morphology on electrode polarization in physiological buffers. Electrophoresis 2019, 40, 766–775. [Google Scholar] [CrossRef]
- Chang, Z.-Y.; Pop, G.A.M.; Meijer, G.C.M. A comparison of two-and four-electrode techniques to characterize blood impedance for the frequency range of 100 Hz to 100 MHz. IEEE Trans. Biomed. Eng. 2008, 55, 1247–1249. [Google Scholar] [CrossRef]
- Jain, R.K.; John, D.M.; Stylianopoulos, T. The role of mechanical forces in tumor growth and therapy. Annu. Rev. Biomed. Eng. 2014, 16, 321–346. [Google Scholar] [CrossRef]
- Wang, X.; Zhang, Y.; Feng, T.; Su, G.; He, J.; Gao, W.; Shen, Y.; Liu, X. Fluid shear stress promotes autophagy in hepatocellular carcinoma cells. Int. J. Biol. Sci. 2018, 14, 1277–1290. [Google Scholar] [CrossRef]
- Guan, X. Cancer metastases: Challenges and opportunities. Acta Pharm. Sin. B 2015, 5, 402–418. [Google Scholar] [CrossRef]
- Tzima, E. Role of small GTPases in endothelial cytoskeletal dynamics and the shear stress response. Circ. Res. 2006, 98, 176–185. [Google Scholar] [CrossRef] [PubMed]




| Method | Specific Application | Detection Object | Incubation Time | Detection Time | Accuracy | Intrusion or Not | Cost |
|---|---|---|---|---|---|---|---|
| Transwell method | Traditional Transwell model | Cell invasion | 24 h | >30 min | High | √ | Low |
| Fluorescent staining | Co-culture model [9] | Cell invasion | 6 day | >6 h | High | √ | High |
| Tumor-vascular model [11] | Cell endocytosis | 6 day | >8 h | High | √ | High | |
| Electrochemical impedance method | Static cell adhesion model [16] | Cytotoxicity | 24 h | 40 s | High | × | High |
| Electric cell–substrate impedance sensing model [17] | Cell viability and vitality | 24 h | 20 min | High | × | High | |
| The method proposed in this paper | Microfluidic Transwell model | Cell invasion | 24 h | <10 s | High | × | Medium |
Disclaimer/Publisher’s Note: The statements, opinions and data contained in all publications are solely those of the individual author(s) and contributor(s) and not of MDPI and/or the editor(s). MDPI and/or the editor(s) disclaim responsibility for any injury to people or property resulting from any ideas, methods, instructions or products referred to in the content. |
© 2025 by the authors. Licensee MDPI, Basel, Switzerland. This article is an open access article distributed under the terms and conditions of the Creative Commons Attribution (CC BY) license (https://creativecommons.org/licenses/by/4.0/).
Share and Cite
Jiang, F.; Wei, M.; Chen, S.; Wang, Y.; Liu, N.; Yang, N. Evaluation of Cancer Cell Invasion Ability Based on Electrochemical Impedance. Biosensors 2025, 15, 91. https://doi.org/10.3390/bios15020091
Jiang F, Wei M, Chen S, Wang Y, Liu N, Yang N. Evaluation of Cancer Cell Invasion Ability Based on Electrochemical Impedance. Biosensors. 2025; 15(2):91. https://doi.org/10.3390/bios15020091
Chicago/Turabian StyleJiang, Feiyang, Mingji Wei, Si Chen, Yanfei Wang, Ning Liu, and Ning Yang. 2025. "Evaluation of Cancer Cell Invasion Ability Based on Electrochemical Impedance" Biosensors 15, no. 2: 91. https://doi.org/10.3390/bios15020091
APA StyleJiang, F., Wei, M., Chen, S., Wang, Y., Liu, N., & Yang, N. (2025). Evaluation of Cancer Cell Invasion Ability Based on Electrochemical Impedance. Biosensors, 15(2), 91. https://doi.org/10.3390/bios15020091

