Development of a Recombinase Polymerase Amplification-Coupled CRISPR/Cas12a Platform for Rapid Detection of Antimicrobial-Resistant Genes in Carbapenem-Resistant Enterobacterales
Abstract
1. Introduction
2. Materials and Methods
2.1. Clinical Isolates and Confirmation of Carbapenemase Genes
2.2. Design of crRNAs and RPA Primers
2.3. Standard RPA Reaction
2.4. CRISPR/Cas12a Cleavage Assay and Detection of Fluorescence Signal
2.5. Optimization of the Trans-Cleavage Capability of CRISPR/Cas12a
2.6. Sensitivity and Specificity of the RPA-CRISPR/Cas12a System (RCCS)
2.7. Evaluation of the RCCS Platform for the Clinical Isolates
2.8. Determination of the Target Genes in Urine Sample
2.9. Statistical Analysis
3. Results
3.1. Workflow of RCCS-Mediated Detection of blaKPC and blaNDM
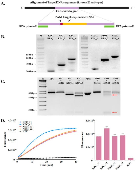
3.2. Screening of RPA Primer and crRNA Sequence
3.3. Optimization of the RCCS Conditions
3.4. Specificity and Sensitivity of the RCCS
3.5. Examination of the Clinical Strains
3.6. Evaluation of RCCS in Spiked Sample
4. Discussion
Supplementary Materials
Author Contributions
Funding
Institutional Review Board Statement
Informed Consent Statement
Data Availability Statement
Conflicts of Interest
References
- O’neill, J. Tackling Drug-Resistant Infections Globally. Final Report and Recommendations; 19 May 2016. Available online: https://amr-review.org/sites/default/files/160518_Final%20paper_with%20cover.pdf (accessed on 23 July 2024).
- Murray, C.J.L.; Ikuta, K.S.; Sharara, F.; Swetschinski, L.; Robles Aguilar, G.; Gray, A.; Han, C.; Bisignano, C.; Rao, P.; Wool, E.; et al. Global burden of bacterial antimicrobial resistance in 2019: A systematic analysis. Lancet 2022, 399, 629–655. [Google Scholar] [CrossRef] [PubMed]
- WHO. Global Antimicrobial Resistance Forum Launched to Help Tackle Common Threat to Planetary Health. Available online: https://www.who.int/news-room/articles-detail/global-antimicrobial-resistance-forum-launched-to-help-tackle-common-threat-to-planetary-health (accessed on 24 August 2024).
- Nordmann, P.; Naas, T.; Poirel, L. Global spread of Carbapenemase-producing Enterobacteriaceae. Emerg. Infect. Dis. 2011, 17, 1791–1798. [Google Scholar] [CrossRef]
- Lim, J.; Sim, J.; Lee, H.; Hyun, J.; Lee, S.; Park, S. Characteristics of Carbapenem-resistant Enterobacteriaceae (CRE) in the Republic of Korea, 2022. Public Health Wkly. Rep. 2024, 17, 115–127. [Google Scholar] [CrossRef]
- Logan, L.K.; Weinstein, R.A. The Epidemiology of Carbapenem-Resistant Enterobacteriaceae: The Impact and Evolution of a Global Menace. J. Infect. Dis. 2017, 215, S28–S36. [Google Scholar] [CrossRef]
- Queenan, A.M.; Bush, K. Carbapenemases: The versatile beta-lactamases. Clin. Microbiol. Rev. 2007, 20, 440–458. [Google Scholar] [CrossRef] [PubMed]
- Falagas, M.E.; Tansarli, G.S.; Karageorgopoulos, D.E.; Vardakas, K.Z. Deaths attributable to carbapenem-resistant Enterobacteriaceae infections. Emerg. Infect. Dis. 2014, 20, 1170–1175. [Google Scholar] [CrossRef] [PubMed]
- van Duin, D.; Doi, Y. The global epidemiology of carbapenemase-producing Enterobacteriaceae. Virulence 2017, 8, 460–469. [Google Scholar] [CrossRef]
- Wu, Y.; Battalapalli, D.; Hakeem, M.J.; Selamneni, V.; Zhang, P.; Draz, M.S.; Ruan, Z. Engineered CRISPR-Cas systems for the detection and control of antibiotic-resistant infections. J. Nanobiotechnol. 2021, 19, 401. [Google Scholar] [CrossRef]
- Kostyusheva, A.; Brezgin, S.; Babin, Y.; Vasilyeva, I.; Glebe, D.; Kostyushev, D.; Chulanov, V. CRISPR-Cas systems for diagnosing infectious diseases. Methods 2022, 203, 431–446. [Google Scholar] [CrossRef]
- Gill, P.; Ghaemi, A. Nucleic acid isothermal amplification technologies: A review. Nucleosides Nucleotides Nucleic Acids 2008, 27, 224–243. [Google Scholar] [CrossRef]
- Lobato, I.M.; O’Sullivan, C.K. Recombinase polymerase amplification: Basics, applications and recent advances. Trends Anal. Chem. 2018, 98, 19–35. [Google Scholar] [CrossRef] [PubMed]
- Patchsung, M.; Jantarug, K.; Pattama, A.; Aphicho, K.; Suraritdechachai, S.; Meesawat, P.; Sappakhaw, K.; Leelahakorn, N.; Ruenkam, T.; Wongsatit, T.; et al. Clinical validation of a Cas13-based assay for the detection of SARS-CoV-2 RNA. Nat. Biomed. Eng. 2020, 4, 1140–1149. [Google Scholar] [CrossRef] [PubMed]
- Piepenburg, O.; Williams, C.H.; Stemple, D.L.; Armes, N.A. DNA detection using recombination proteins. PLoS Biol. 2006, 4, e204. [Google Scholar] [CrossRef] [PubMed]
- Chen, J.S.; Ma, E.; Harrington, L.B.; Da Costa, M.; Tian, X.; Palefsky, J.M.; Doudna, J.A. CRISPR-Cas12a target binding unleashes indiscriminate single-stranded DNase activity. Science 2018, 360, 436–439. [Google Scholar] [CrossRef]
- Li, Y.; Li, S.; Wang, J.; Liu, G. CRISPR/Cas Systems towards Next-Generation Biosensing. Trends Biotechnol. 2019, 37, 730–743. [Google Scholar] [CrossRef]
- Gootenberg, J.S.; Abudayyeh, O.O.; Lee, J.W.; Essletzbichler, P.; Dy, A.J.; Joung, J.; Verdine, V.; Donghia, N.; Daringer, N.M.; Freije, C.A.; et al. Nucleic acid detection with CRISPR-Cas13a/C2c2. Science 2017, 356, 438–442. [Google Scholar] [CrossRef]
- Li, S.Y.; Cheng, Q.X.; Wang, J.M.; Li, X.Y.; Zhang, Z.L.; Gao, S.; Cao, R.B.; Zhao, G.P.; Wang, J. CRISPR-Cas12a-assisted nucleic acid detection. Cell Discov. 2018, 4, 20. [Google Scholar] [CrossRef]
- Kellner, M.J.; Koob, J.G.; Gootenberg, J.S.; Abudayyeh, O.O.; Zhang, F. SHERLOCK: Nucleic acid detection with CRISPR nucleases. Nat. Protoc. 2019, 14, 2986–3012. [Google Scholar] [CrossRef]
- Broughton, J.P.; Deng, X.; Yu, G.; Fasching, C.L.; Servellita, V.; Singh, J.; Miao, X.; Streithorst, J.A.; Granados, A.; Sotomayor-Gonzalez, A.; et al. CRISPR-Cas12-based detection of SARS-CoV-2. Nat. Biotechnol. 2020, 38, 870–874. [Google Scholar] [CrossRef]
- Xiong, D.; Dai, W.; Gong, J.; Li, G.; Liu, N.; Wu, W.; Pan, J.; Chen, C.; Jiao, Y.; Deng, H.; et al. Rapid detection of SARS-CoV-2 with CRISPR-Cas12a. PLoS Biol. 2020, 18, e3000978. [Google Scholar] [CrossRef]
- Wang, B.; Liu, Y.; Ji, C.M.; Yang, Y.L.; Liang, Q.Z.; Zhao, P.; Xu, L.D.; Lei, X.M.; Luo, W.T.; Qin, P.; et al. Porcine Deltacoronavirus Engages the Transmissible Gastroenteritis Virus Functional Receptor Porcine Aminopeptidase N for Infectious Cellular Entry. J. Virol. 2018, 92. [Google Scholar] [CrossRef] [PubMed]
- Cao, X.; Chang, Y.; Tao, C.; Chen, S.; Lin, Q.; Ling, C.; Huang, S.; Zhang, H. Cas12a/Guide RNA-Based Platforms for Rapidly and Accurately Identifying Staphylococcus aureus and Methicillin-Resistant S. aureus. Microbiol. Spectr. 2023, 11, e0487022. [Google Scholar] [CrossRef] [PubMed]
- Poirel, L.; Walsh, T.R.; Cuvillier, V.; Nordmann, P. Multiplex PCR for detection of acquired carbapenemase genes. Diagn. Microbiol. Infect. Dis. 2011, 70, 119–123. [Google Scholar] [CrossRef]
- Chen, J.; Jiang, F.; Huang, C.W.; Lin, L. Rapid genotypic antibiotic susceptibility test using CRISPR-Cas12a for urinary tract infection. Analyst 2020, 145, 5226–5231. [Google Scholar] [CrossRef] [PubMed]
- Chen, H.Y.; Jean, S.S.; Lee, Y.L.; Lu, M.C.; Ko, W.C.; Liu, P.Y.; Hsueh, P.R. Carbapenem-Resistant Enterobacterales in Long-Term Care Facilities: A Global and Narrative Review. Front. Cell Infect. Microbiol. 2021, 11, 601968. [Google Scholar] [CrossRef]
- Xu, H.; Tang, H.; Li, R.; Xia, Z.; Yang, W.; Zhu, Y.; Liu, Z.; Lu, G.; Ni, S.; Shen, J. A New Method Based on LAMP-CRISPR-Cas12a-Lateral Flow Immunochromatographic Strip for Detection. Infect. Drug Resist. 2022, 15, 685–696. [Google Scholar] [CrossRef]
- Li, Y.; Shi, Z.; Hu, A.; Cui, J.; Yang, K.; Liu, Y.; Deng, G.; Zhu, C.; Zhu, L. Rapid One-Tube RPA-CRISPR/Cas12 Detection Platform for Methicillin-Resistant Staphylococcus aureus. Diagnostics 2022, 12, 829. [Google Scholar] [CrossRef]
- Liu, S.; Huang, S.; Li, F.; Sun, Y.; Fu, J.; Xiao, F.; Jia, N.; Huang, X.; Sun, C.; Zhou, J.; et al. Rapid detection of Pseudomonas aeruginosa by recombinase polymerase amplification combined with CRISPR-Cas12a biosensing system. Front. Cell Infect. Microbiol. 2023, 13, 1239269. [Google Scholar] [CrossRef] [PubMed]
- Tu, Q.; Cao, X.; Ling, C.; Xiang, L.; Yang, P.; Huang, S. Point-of-care detection of Neisseria gonorrhoeae based on RPA-CRISPR/Cas12a. AMB Express 2023, 13, 50. [Google Scholar] [CrossRef]
- Zhou, Z.; Liang, L.; Liao, C.; Pan, L.; Wang, C.; Ma, J.; Yi, X.; Tan, M.; Li, X.; Wei, G. A multiplex RPA coupled with CRISPR-Cas12a system for rapid and cost-effective identification of carbapenem-resistant Acinetobacter baumannii. Front. Microbiol. 2024, 15, 1359976. [Google Scholar] [CrossRef]
- Li, X.; Zhu, S.; Zhang, X.; Ren, Y.; He, J.; Zhou, J.; Yin, L.; Wang, G.; Zhong, T.; Wang, L.; et al. Advances in the application of recombinase-aided amplification combined with CRISPR-Cas technology in quick detection of pathogenic microbes. Front. Bioeng. Biotechnol. 2023, 11, 1215466. [Google Scholar] [CrossRef] [PubMed]
- Ding, R.; Long, J.; Yuan, M.; Zheng, X.; Shen, Y.; Jin, Y.; Yang, H.; Li, H.; Chen, S.; Duan, G. CRISPR/Cas12-Based Ultra-Sensitive and Specific Point-of-Care Detection of HBV. Int. J. Mol. Sci. 2021, 22, 4842. [Google Scholar] [CrossRef] [PubMed]
- Figueiredo, D.; Cascalheira, A.; Goncalves, J. Rapid, multiplex detection of SARS-CoV-2 using isothermal amplification coupled with CRISPR-Cas12a. Sci. Rep. 2023, 13, 849. [Google Scholar] [CrossRef] [PubMed]
- Kim, H.K.; Song, M.; Lee, J.; Menon, A.V.; Jung, S.; Kang, Y.M.; Choi, J.W.; Woo, E.; Koh, H.C.; Nam, J.W.; et al. In vivo high-throughput profiling of CRISPR-Cpf1 activity. Nat. Methods 2017, 14, 153–159. [Google Scholar] [CrossRef] [PubMed]
- Wang, Y.; Liang, X.; Xu, J.; Nan, L.; Liu, F.; Duan, G.; Yang, H. Rapid and Ultrasensitive Detection of Methicillin-Resistant Staphylococcus aureus Based on CRISPR-Cas12a Combined With Recombinase-Aided Amplification. Front. Microbiol. 2022, 13, 903298. [Google Scholar] [CrossRef]
- Xiao, Y.; Ren, H.; Hu, P.; Wang, Y.; Wang, H.; Li, Y.; Feng, K.; Wang, C.; Cao, Q.; Guo, Y.; et al. Ultra-Sensitive and Rapid Detection of Pathogenic Yersinia enterocolitica Based on the CRISPR/Cas12a Nucleic Acid Identification Platform. Foods 2022, 11, 2160. [Google Scholar] [CrossRef]
- Ortiz-Cartagena, C.; Pablo-Marcos, D.; Fernandez-Garcia, L.; Blasco, L.; Pacios, O.; Bleriot, I.; Siller, M.; Lopez, M.; Fernandez, J.; Aracil, B.; et al. CRISPR-Cas13a-Based Assay for Accurate Detection of OXA-48 and GES Carbapenemases. Microbiol. Spectr. 2023, 11, e0132923. [Google Scholar] [CrossRef]
- Chen, L.; Hu, M.; Zhou, X. Trends in developing one-pot CRISPR diagnostics strategies. Trends Biotechnol. 2024. [Google Scholar] [CrossRef]





| Name | Sequence (5′–3′) | PAM |
|---|---|---|
| gLb_KPC_v1 | CGAGGUUGGUCAGCGCGGUGGCA AUCUACACUUAGUAGAAAUUCCC | TTTC |
| gLb_KPC_v2 | CGCGUACACACCGAUGGAGCCGC AUCUACACUUAGUAGAAAUUCCC | TTTG |
| gLb_NDM_v1 | GCUGUCCUUGAUCAGGCAGCCAC AUCUACACUUAGUAGAAAUUCCC | TTTG |
| gLb_NDM_v2 | GCUGGCCUUGGGGAACGCCGCAC AUCUACACUUAGUAGAAAUUCCC | TTTG |
| Name (Product Size) | Region | Sequence (5′–3′) |
|---|---|---|
| KPC_RPA_1 | F(17-) | GTCTAGTTCTGCTGTCTTGTCTCTCATGGC |
| (201bp) | R(-217) | CCTTGAATGAGCTGCACAGTGGGAAGCGCT |
| KPC_RPA_2 | F(17-) | GTCTAGTTCTGCTGTCTTGTCTCTCATGGC |
| (384bp) | R(-400) | CGGCGGCGTTATCACTGTATTGCACGGCGG |
| KPC_RPA_3 | F(17-) | GTCTAGTTCTGCTGTCTTGTCTCTCATGGC |
| (623bp) | R(-639) | GTTTCCCTTTAGCCAATCAACAAACTGCTG |
| NDM_RPA_1 | F(525-) | CAACTTTGGCCCGCTCAAGGTATTTTACCC |
| (262bp) | R(-786) | CGTATGAGTGATTGCGGCGCGGCTATCGGG |
| NDM_RPA_2 | F(168-) | GAATGTCTGGCAGCACACTTCCTATCTCGA |
| (587bp) | R(-754) | CGGAATGGCTCATCACGATCATGCTGGCCT |
| NDM_RPA_3 | F(9-) | GCCCAATATTATGCACCCGGTCGCGAAGCT |
| (746bp) | R(-754) | CGGAATGGCTCATCACGATCATGCTGGCCT |
| RCCS Assay | PCR | Total | ||
|---|---|---|---|---|
| blaKPC (n) | blaNDM (n) | Negative | ||
| blaKPC (n) | 8 | 0 | 0 | 8 |
| blaNDM (n) | 0 | 7 | 0 | 7 |
| Negative | 0 | 0 | 10 | 10 |
| Total | 8 | 7 | 10 | 25 |
| Cas Protein | Pathogen | Amplification Methods | Detection | Platform | Sensitivity | Time | Ref. |
|---|---|---|---|---|---|---|---|
| Cas12a | Methicillin-resistant S. aureus (MRSA) | RAA | Fluorescence | RAA-Cas12a | 10 copies/µL | 1 h | [37] |
| Cas12a | Pathogenic Yersinia enterocolitica | RPA | Fluorescence | CRISPR/Cas12a-RPA | 1.7 CFU/mL | 45 min | [38] |
| Cas12a | Carbapenem-resistant A. baumanii (CRAB) | RPA | Fluorescence | RPA– CRISPR–Cas12a | 1.3 × 10−6 ng/µL | 90 min | [32] |
| Cas13a | Carbapenem-resistant pathogens | LAMP | LFS | LAMP– CRISPR–13a | 103 CFU/mL ~107 CFU/mL | 2 h | [39] |
| Cas12a | Carbapenem-resistant pathogens | RPA | Fluorescence, LFS | RCCS | 103 CFU/mL ~106 CFU/mL | 30~40 min | This study |
Disclaimer/Publisher’s Note: The statements, opinions and data contained in all publications are solely those of the individual author(s) and contributor(s) and not of MDPI and/or the editor(s). MDPI and/or the editor(s) disclaim responsibility for any injury to people or property resulting from any ideas, methods, instructions or products referred to in the content. |
© 2024 by the authors. Licensee MDPI, Basel, Switzerland. This article is an open access article distributed under the terms and conditions of the Creative Commons Attribution (CC BY) license (https://creativecommons.org/licenses/by/4.0/).
Share and Cite
Yang, J.W.; Kim, H.; Hyeon, L.-S.; Yoo, J.S.; Kang, S. Development of a Recombinase Polymerase Amplification-Coupled CRISPR/Cas12a Platform for Rapid Detection of Antimicrobial-Resistant Genes in Carbapenem-Resistant Enterobacterales. Biosensors 2024, 14, 536. https://doi.org/10.3390/bios14110536
Yang JW, Kim H, Hyeon L-S, Yoo JS, Kang S. Development of a Recombinase Polymerase Amplification-Coupled CRISPR/Cas12a Platform for Rapid Detection of Antimicrobial-Resistant Genes in Carbapenem-Resistant Enterobacterales. Biosensors. 2024; 14(11):536. https://doi.org/10.3390/bios14110536
Chicago/Turabian StyleYang, Ji Woo, Heesu Kim, Lee-Sang Hyeon, Jung Sik Yoo, and Sangrim Kang. 2024. "Development of a Recombinase Polymerase Amplification-Coupled CRISPR/Cas12a Platform for Rapid Detection of Antimicrobial-Resistant Genes in Carbapenem-Resistant Enterobacterales" Biosensors 14, no. 11: 536. https://doi.org/10.3390/bios14110536
APA StyleYang, J. W., Kim, H., Hyeon, L.-S., Yoo, J. S., & Kang, S. (2024). Development of a Recombinase Polymerase Amplification-Coupled CRISPR/Cas12a Platform for Rapid Detection of Antimicrobial-Resistant Genes in Carbapenem-Resistant Enterobacterales. Biosensors, 14(11), 536. https://doi.org/10.3390/bios14110536

