Multicenter Testing of a Simple Molecular Diagnostic System for the Diagnosis of Mycobacterium Tuberculosis
Abstract
:1. Introduction
2. Materials and Methods
2.1. Chemicals and Reagents
2.2. Synthesis of Amine-Functionalized Diatomaceous Earth(D-APDMS)
2.3. Filter-Based Nucleic Acid Extraction
2.4. Nucleic Acid Detection Method
2.5. Bacteria Samples and Clinical Samples
3. Results and Discussion
3.1. Principles of TB Molecular Diagnostic System
3.2. Optimization and Application of D-APDMS with Syringe Filter
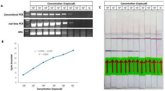
3.3. Testing of Various DNA Amplification Methods for TB Molecular Diagnostics
3.4. Utility of the TB Molecular Diagnostic System on Clinical Samples
4. Conclusions
Supplementary Materials
Author Contributions
Funding
Institutional Review Board Statement
Informed Consent Statement
Data Availability Statement
Conflicts of Interest
References
- World Health Organization. Global Tuberculosis Report 2022; WHO: Geneva, Switzerland, 2022. [Google Scholar]
- Houben, R.M.G.J.; Dodd, P.J. The Global Burden of Latent Tuberculosis Infection: A Re-estimation Using Mathematical Modelling. PLoS Med. 2016, 13, e1002152. [Google Scholar] [CrossRef]
- Hrizi, O.; Gasmi, K.; Ben Ltaifa, I.; Alshammari, H.; Karamti, H.; Krichen, M.; Ben Ammar, L.; Mahmood, M.A. Tuberculosis Disease Diagnosis Based on an Optimized Machine Learning Model. J. Healthc. Eng. 2022, 8950243. [Google Scholar] [CrossRef] [PubMed]
- Sahu, S.; Wandwalo, E.; Arinaminpathy, N. Exploring the Impact of the COVID-19 Pandemic on Tuberculosis Care and Prevention. J. Pediatric. Infect. Dis. Soc. 2022, 11, S67–S71. [Google Scholar] [CrossRef]
- Huang, F.; Zhao, Y. Global Control of Tuberculosis: Current Status and Future Prospects. Zoonoses 2022, 68, 1–6. [Google Scholar] [CrossRef]
- Alagna, R.; Besozzi, G.; Codecasa, L.R.; Gori, A.; Migliori, G.B.; Raviglione, M.; Cirillo, D.M. Celebrating World Tuberculosis Day at the time of COVID-19. Eur. Respir. J. 2020, 55, 2000650. [Google Scholar] [CrossRef]
- Zimmer, A.J.; Klinton, J.S.; Oga-Omenka, C.; Heitkamp, P.; Nawina Nyirenda, C.; Furin, J.; Pai, M. Tuberculosis in times of COVID-19. J. Epidemiol. Community Health 2022, 76, 310–316. [Google Scholar] [CrossRef]
- Wang, C.H.; Chang, J.R.; Hung, S.C.; Dou, H.Y.; Lee, G.B. Rapid molecular diagnosis of live Mycobacterium tuberculosis on an integrated microfluidic system*. Sensor Actuat. B-Chem. 2022, 365, 131968. [Google Scholar] [CrossRef]
- Azadi, D.; Motallebirad, T.; Ghaffari, K.; Shojaei, H. Mycobacteriosis and Tuberculosis: Laboratory Diagnosis. Open Microbiol. J. 2018, 12, 41–58. [Google Scholar] [CrossRef] [PubMed]
- Soini, H.; Musser, J.M. Molecular diagnosis of mycobacteria. Clin. Chem. 2001, 47, 809–814. [Google Scholar] [CrossRef]
- Vilcheze, C.; Kremer, L. Acid-Fast Positive and Acid-Fast Negative Mycobacterium tuberculosis: The Koch Paradox. Microbiol. Spectr. 2017, 5, 1–14. [Google Scholar] [CrossRef] [PubMed]
- Pande, T.; Cohen, C.; Pai, M.; Khan, F.A. Computer-aided detection of pulmonary tuberculosis on digital chest radiographs: A systematic review. Int. J. Tuberc. Lung D 2016, 20, 1226–1230. [Google Scholar] [CrossRef] [PubMed]
- Chin, K.L.; Sarmiento, M.E.; Norazmi, M.N.; Acosta, A. DNA markers for tuberculosis diagnosis. Tuberculosis (Edinb) 2018, 113, 139–152. [Google Scholar] [CrossRef] [PubMed]
- Eddabra, R.; Benhassou, H.A. Rapid molecular assays for detection of tuberculosis. Pneumonia 2018, 10, 4. [Google Scholar] [CrossRef] [PubMed]
- Behr, M.A.; Edelstein, P.H.; Ramakrishnan, L. Is Mycobacterium tuberculosis infection life long? BMJ 2019, 367, l5770. [Google Scholar] [CrossRef] [PubMed]
- Lawn, S.D.; Mwaba, P.; Bates, M.; Piatek, A.; Alexander, H.; Marais, B.J.; Cuevas, L.E.; McHugh, T.D.; Zijenah, L.; Kapata, N.; et al. Advances in tuberculosis diagnostics: The Xpert MTB/RIF assay and future prospects for a point-of-care test. Lancet Infect. Dis. 2013, 13, 349–361. [Google Scholar] [CrossRef]
- Nathavitharana, R.R.; Garcia-Basteiro, A.L.; Ruhwald, M.; Cobelens, F.; Theron, G. Reimagining the status quo: How close are we to rapid sputum-free tuberculosis diagnostics for all? EBioMedicine 2022, 78, 103939. [Google Scholar] [CrossRef]
- Cazabon, D.; Pande, T.; Kik, S.; Van Gemert, W.; Sohn, H.; Denkinger, C.; Qin, Z.Z.; Waning, B.; Pai, M. Market penetration of Xpert MTB/RIF in high tuberculosis burden countries: A trend analysis from 2014–2016. Gates Open Res. 2018, 2, 35. [Google Scholar] [CrossRef]
- Nalugwa, T.; Shete, P.B.; Nantale, M.; Farr, K.; Ojok, C.; Ochom, E.; Mugabe, F.; Joloba, M.; Dowdy, D.W.; Moore, D.A.J.; et al. Challenges with scale-up of GeneXpert MTB/RIF(R) in Uganda: A health systems perspective. BMC Health Serv. Res. 2020, 20, 162. [Google Scholar] [CrossRef]
- Brown, S.; Leavy, J.E.; Jancey, J. Implementation of GeneXpert for TB Testing in Low- and Middle-Income Countries: A Systematic Review. Glob. Health Sci. Pract. 2021, 9, 698–710. [Google Scholar] [CrossRef]
- Joshi, H.; Kandari, D.; Maitra, S.S.; Bhatnagar, R. Biosensors for the detection of Mycobacterium tuberculosis: A comprehensive overview. Crit. Rev. Microbiol. 2022, 48, 784–812. [Google Scholar] [CrossRef] [PubMed]
- Park, J.H.; Jin, C.E.; Koo, B.; Kwon, J.S.; Cha, H.H.; Kim, J.Y.; Noh, G.S.; Koo, Y.S.; Jeon, S.B.; Lee, S.A.; et al. A Simple Microfluidic Assay for Diagnosing Tuberculous Meningitis in HIV-Uninfected Patients. J. Clin. Microbiol. 2019, 57, 1–7. [Google Scholar] [CrossRef] [PubMed]
- Lawn, S.D. Point-of-care detection of lipoarabinomannan (LAM) in urine for diagnosis of HIV-associated tuberculosis: A state of the art review. BMC Infect. Dis. 2012, 12, 103. [Google Scholar] [CrossRef] [PubMed]
- Zhao, F.; Lee, E.Y.; Noh, G.S.; Shin, J.; Liu, H.; Qiao, Z.; Shin, Y. A robust, hand-powered, instrument-free sample preparation system for point-of-care pathogen detection. Sci. Rep. 2019, 9, 16374. [Google Scholar] [CrossRef] [PubMed]
- Zhao, F.; Lee, E.Y.; Shin, Y. Improved Reversible Cross-Linking-Based Solid-Phase RNA Extraction for Pathogen Diagnostics. Anal. Chem. 2018, 90, 1725–1733. [Google Scholar] [CrossRef] [PubMed]
- Zhao, F.; Koo, B.; Liu, H.; Eun Jin, C.; Shin, Y. A single-tube approach for in vitro diagnostics using diatomaceous earth and optical sensor. Biosens. Bioelectron. 2018, 99, 443–449. [Google Scholar] [CrossRef]
- Koo, B.; Kim, Y.; Jang, Y.O.; Liu, H.; Kim, M.G.; Lee, H.J.; Woo, M.K.; Kim, C.-S.; Shin, Y. A novel platform using homobifunctional hydrazide for enrichment and isolation of urinary circulating RNAs. Bioeng. Transl. Med. 2022, 8, e10348. [Google Scholar] [CrossRef] [PubMed]
- Kang, Y.A.; Koo, B.; Kim, O.H.; Park, J.H.; Kim, H.C.; Lee, H.J.; Kim, M.G.; Jang, Y.O.; Kim, N.H.; Koo, Y.S.; et al. Gene-Based Diagnosis of Tuberculosis from Oral Swabs with a New Generation Pathogen Enrichment Technique. Microbiol. Spectr. 2022, 10, e00207–e00222. [Google Scholar] [CrossRef] [PubMed]
- Jin, C.E.; Koo, B.; Lee, H.J.; Park, I.J.; Kim, S.H.; Shin, Y. Bis (sulfosuccinimidyl) suberate-based helix-shaped microchannels as enhancers of biomolecule isolation from liquid biopsies. Anal. Chem. 2020, 92, 11994–12001. [Google Scholar] [CrossRef]
- Lu, C.; Liu, Q.; Sarma, A.; Fitzpatrick, C.; Falzon, D.; Mitnick, C.D. A systematic review of reported cost for smear and culture tests during multidrug-resistant tuberculosis treatment. PLoS ONE 2013, 8, e56074. [Google Scholar] [CrossRef]
- Kolia-Diafouka, P.; Carrère-Kremer, S.; Lounnas, M.; Bourdin, A.; Kremer, L.; Van de Perre, P.; Godreuil, S.; Tuaillon, E. Detection of Mycobacterium tuberculosis in paucibacillary sputum: Performances of the Xpert MTB/RIF ultra compared to the Xpert MTB/RIF, and IS6110 PCR. Diagn. Microbiol. Infect. Dis. 2019, 94, 365–370. [Google Scholar] [CrossRef]
- Liu, H.; Zou, Q.; Kim, M.G.; Qiao, Z.; Nguyen, D.T.T.; Koo, B.; Lee, H.J.; Jang, Y.O.; Kim, J.K.; Shin, Y. Homobifunctional Imidoester Combined Black Phosphorus Nanosheets Used as Cofactors for Nucleic Acid Extraction. Biochip. J. 2022, 16, 58–66. [Google Scholar] [CrossRef]





| This Study | Xpert MTB/RIF | MTB PCR | AFB Smear | Mycobacterial Culture | |
|---|---|---|---|---|---|
| Sensitivity (95% CI) | 72.41% (52.76–87.27%) | 50% (30.65–69.35%) | 27.27% (6.02–60.97%) | 13.79% (3.89–31.66%) | 100% (88.06–100%) |
| Specificity (95% CI) | 74.58% (61.56–85.02%) | 100% (93.84–100%) | 100% (76.84–100%) | 100% (93.94–100%) | 100% (93.94–100%) |
Disclaimer/Publisher’s Note: The statements, opinions and data contained in all publications are solely those of the individual author(s) and contributor(s) and not of MDPI and/or the editor(s). MDPI and/or the editor(s) disclaim responsibility for any injury to people or property resulting from any ideas, methods, instructions or products referred to in the content. |
© 2023 by the authors. Licensee MDPI, Basel, Switzerland. This article is an open access article distributed under the terms and conditions of the Creative Commons Attribution (CC BY) license (https://creativecommons.org/licenses/by/4.0/).
Share and Cite
Lee, H.J.; Kim, N.H.; Lee, E.H.; Yoon, Y.S.; Jeong, Y.J.; Lee, B.C.; Koo, B.; Jang, Y.O.; Kim, S.-H.; Kang, Y.A.; et al. Multicenter Testing of a Simple Molecular Diagnostic System for the Diagnosis of Mycobacterium Tuberculosis. Biosensors 2023, 13, 259. https://doi.org/10.3390/bios13020259
Lee HJ, Kim NH, Lee EH, Yoon YS, Jeong YJ, Lee BC, Koo B, Jang YO, Kim S-H, Kang YA, et al. Multicenter Testing of a Simple Molecular Diagnostic System for the Diagnosis of Mycobacterium Tuberculosis. Biosensors. 2023; 13(2):259. https://doi.org/10.3390/bios13020259
Chicago/Turabian StyleLee, Hyo Joo, Nam Hun Kim, Eun Hye Lee, Young Soon Yoon, Yun Jeong Jeong, Byung Chul Lee, Bonhan Koo, Yoon Ok Jang, Sung-Han Kim, Young Ae Kang, and et al. 2023. "Multicenter Testing of a Simple Molecular Diagnostic System for the Diagnosis of Mycobacterium Tuberculosis" Biosensors 13, no. 2: 259. https://doi.org/10.3390/bios13020259
APA StyleLee, H. J., Kim, N. H., Lee, E. H., Yoon, Y. S., Jeong, Y. J., Lee, B. C., Koo, B., Jang, Y. O., Kim, S.-H., Kang, Y. A., Lee, S. W., & Shin, Y. (2023). Multicenter Testing of a Simple Molecular Diagnostic System for the Diagnosis of Mycobacterium Tuberculosis. Biosensors, 13(2), 259. https://doi.org/10.3390/bios13020259

