High Sensitivity Protein Gel Electrophoresis Label Compatible with Mass-Spectrometry
Abstract
:1. Introduction
2. Materials and Methods
2.1. Carboxyfluorescein Succinimidyl Ester (CFSE) Labeling
2.2. SDS-PAGE
2.3. Coomassie Blue Stain Preparation
2.4. Silver Stain Preparation
2.5. Mass Spectrometry
3. Results
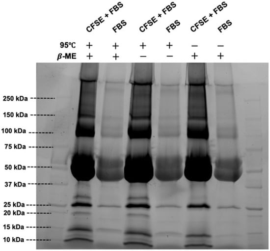
3.1. Effect of Protein Reduction Methods on CFSE
3.2. Influence of CFSE Staining on FBS Detectability
3.3. Influence of CFSE Staining on Downstream Mass Spectrometry
4. Discussion
Supplementary Materials
Author Contributions
Funding
Acknowledgments
Conflicts of Interest
References
- Carter, J.; Petersen, B.; Printz, S.; Sorey, T.; Kroll, T. Quantitative Application for SDS-PAGE in a Biochemistry Lab. J. Chem. Educ. 2013, 90, 1255–1256. [Google Scholar] [CrossRef]
- Svasti, J.; Panijpan, B. SDS-Polyacrylamide Gel Electrophoresis. J. Chem. Educ. 1977, 54, 560–562. [Google Scholar] [CrossRef]
- Yadav, G.; Liu, N. Trends in Protein Separation and Analysis- the Advance of Stain-Free Technology. In BioRadiations, 6915th ed.; Bio-Rad Laboratories, Inc., 2014; Volume Bulletin 6915. [Google Scholar]
- Panfoli, I.; Calzia, D.; Santucci, L.; Ravera, S.; Bruschi, M.; Candiano, G. A blue dive: From ‘blue fingers’ to ‘blue silver’. A comparative overview of staining methods for in-gel proteomics. Expert Rev. Proteom. 2012, 9, 627–634. [Google Scholar] [CrossRef] [PubMed]
- Chiari, M.; Nesi, M.; Roncada, P.; Righetti, P.G. Preparative isoelectric focusing in multicompartment electrolyzers: Novel, hydrolytically stable and hydrophilic isoelectric membranes. Electrophoresis 1994, 15, 953–959. [Google Scholar] [CrossRef] [PubMed]
- Elbaggari, A.; Choe, J.; McDonald, K.; Alburo, A. Evaluation of the Criterion Stain-Free Gel Imaging System for Use in Western Blotting Applications. In Imaging; Bio-Rad Laboratories, 2008; Volume Bulletin 5781. [Google Scholar]
- Ladner, C.L.; Edwards, R.A.; Schreimer, D.C.; Turner, R.J. Identification of Trichloroethanol Visualized Proteins from Two-Dimensional Polyacrylamide Gels by Mass Spectrometry. Anal. Chem. 2006, 78, 2388–2396. [Google Scholar] [CrossRef] [PubMed]
- Bio-Rad. Available online: https://www.bioradiations.com/trends-in-protein-separation-and-analysis-the-advance-of-stain-free-technology/ (accessed on 1 October 2020).
- Thermo Fisher. Fluorescence Spectraviewer. Available online: https://www.ThermoFisher.com/us/en/home/life-science/cell-analysis/labeling-chemistry/fluorescence-spectraviewer.html (accessed on 20 October 2020).
- Azari, H.; Deleyrolle, L.P.; Reynolds, B.A. Using Carboxy Fluorescein Succinimidyl Ester (CFSE) to Identify Quiescent Glioblastoma Stem-Like Cells; Humana Press: New York, NY, USA, 2018; Volume 1686, pp. 59–67. [Google Scholar]
- Lyons, A.B. Analysing cell division in vivo and in vitro using flow cytometric measurement of CFSE dye dilution. J. Immunol. Methods 2000, 243, 147–154. [Google Scholar] [CrossRef]
- Shevchenko, A.; Tomas, H.; Havlis, J.; Olsen, J.V.; Mann, M. In-gel digestion for mass spectrometric characterization of proteins and proteomes. Nat. Protoc. 2006, 1, 2856–2860. [Google Scholar] [CrossRef] [PubMed]
- Stochaj, W.R.; Berkelman, T.; Laird, N. Mass spectrometry-compatible silver staining. CSH Protoc. 2007, 2007, pdb prot4742. [Google Scholar] [CrossRef]
- Winkler, C.; Denker, K.; Wortelkamp, S.; Sickmann, A. Silver- and Coomassie-staining protocols: Detection limits and compatibility with ESI MS. Electrophoresis 2007, 28, 2095–2099. [Google Scholar] [CrossRef] [PubMed]




Publisher’s Note: MDPI stays neutral with regard to jurisdictional claims in published maps and institutional affiliations. |
© 2020 by the authors. Licensee MDPI, Basel, Switzerland. This article is an open access article distributed under the terms and conditions of the Creative Commons Attribution (CC BY) license (http://creativecommons.org/licenses/by/4.0/).
Share and Cite
Welsh, J.A.; Jenkins, L.M.; Kepley, J.; Lyons, G.C.; Moore, D.M.; Traynor, T.; Berzofsky, J.A.; Jones, J.C. High Sensitivity Protein Gel Electrophoresis Label Compatible with Mass-Spectrometry. Biosensors 2020, 10, 160. https://doi.org/10.3390/bios10110160
Welsh JA, Jenkins LM, Kepley J, Lyons GC, Moore DM, Traynor T, Berzofsky JA, Jones JC. High Sensitivity Protein Gel Electrophoresis Label Compatible with Mass-Spectrometry. Biosensors. 2020; 10(11):160. https://doi.org/10.3390/bios10110160
Chicago/Turabian StyleWelsh, Joshua A., Lisa M. Jenkins, Julia Kepley, Gaelyn C. Lyons, David M. Moore, Tim Traynor, Jay A. Berzofsky, and Jennifer C. Jones. 2020. "High Sensitivity Protein Gel Electrophoresis Label Compatible with Mass-Spectrometry" Biosensors 10, no. 11: 160. https://doi.org/10.3390/bios10110160
APA StyleWelsh, J. A., Jenkins, L. M., Kepley, J., Lyons, G. C., Moore, D. M., Traynor, T., Berzofsky, J. A., & Jones, J. C. (2020). High Sensitivity Protein Gel Electrophoresis Label Compatible with Mass-Spectrometry. Biosensors, 10(11), 160. https://doi.org/10.3390/bios10110160

