Effects of Gold Nanoparticles Functionalized with Cornus mas L. Fruit Extract on the Aorta Wall in Rats with a High-Fat Diet and Experimental-Induced Diabetes Mellitus—An Imaging Study
Abstract
1. Introduction
2. Materials and Methods
2.1. Fruit Extract Preparation and Characterization
2.2. High-Performance Liquid Chromatography (HPLC)
2.3. Gold Nanoparticles Synthesis, Characterization and Tissue Determinations
2.4. Animals
2.5. High-Fat Diet (HFD)
2.6. Diabetes Mellitus Induced by Streptozotocin Administration
2.7. Experimental Design
2.8. Ultrasound (US) Evaluation
2.9. IntraGate Flash CINE
2.10. Transmission Electron Microscopy (TEM)
2.11. Statistical Processing
3. Results
3.1. Characterization of Cornus mas L. xtract
3.2. Characterization of Gold Nanoparticles Functionalized with Cornus mas L. Phytocompounds
3.3. Aorta Investigation
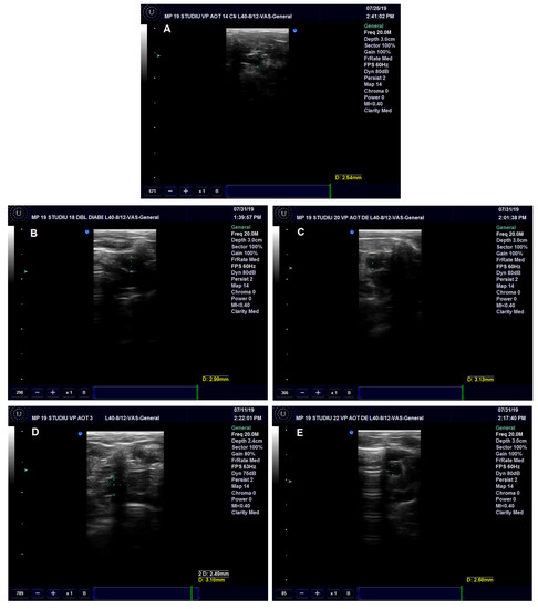
3.3.1. Ultrasound Aorta Examination
3.3.2. IntraGateFlash CINE Scanning Investigation
3.3.3. TEM Investigation
4. Discussion
5. Conclusions
Author Contributions
Funding
Data Availability Statement
Conflicts of Interest
References
- Heydemann, A. An Overview of Murine High Fat Diet as a Model for Type 2 Diabetes Mellitus. J. Diabetes Res. 2016, 2016, 2902351. [Google Scholar] [CrossRef]
- Hur, H.; Jang, H.J.; Kim, M.J.; Lee, K.H.; Kim, M.S.; Park, S. Association of Polygenic Variants with Type 2 Diabetes Risk and Their Interaction with Lifestyles in Asians. Nutrients 2022, 14, 3222. [Google Scholar] [CrossRef] [PubMed]
- Sanchez, M.; Gonzalez-Burgos, E.; Igelsias, I.; Gomez-Serranillos, M.P. Pharmacological Update Properties of Aloe Vera and its Major Active Constituents. Molecules 2020, 25, 1324. [Google Scholar] [CrossRef]
- Gumbarewicz, E.; Jarzab, A.; Stepulak, A.; Kukula-Koch, W. Zingiber officinale Rosc. in the Treatment of Metabolic Sydrome Disorders—A Review of In Vivo Studies. Int. J. Mol. Sci. 2022, 23, 15545. [Google Scholar] [CrossRef] [PubMed]
- Naidoo, C.M.; Naidoo, Y.; Dewir, Y.H.; Murthy, H.N.; El-Hendawy, S.; Al-Suhaibani, N. Major Bioactive Alkaloids and Biological Activities of Tabernaemontana Species (Apocynaceae). Plants 2021, 10, 313. [Google Scholar] [CrossRef] [PubMed]
- Chang, C.L.; Lin, Y.; Bartolome, A.P.; Chen, Y.C.; Chiu, S.C.; Yang, W.C. Herbal therapies for type 2 diabetes mellitus: Chemistry, biology, and potential application of selected plants and compounds. Evid. Based Complement. Altern. Med. 2013, 2013, 378657. [Google Scholar] [CrossRef] [PubMed]
- Khan, I.; Saeed, K.; Khan, I. Nanoparticles: Properties, applications and toxicities. Arab. J. Chem. 2019, 12, 908–931. [Google Scholar] [CrossRef]
- Zugravu Pop, D.D.; Mitrea, D.R.; Suciu, S.; Clichici, S.V. Nanostructure-based therapies for liver fibrosis. J. Physiol. Pharmacol. 2020, 71, 771–780. [Google Scholar] [CrossRef]
- Bartneck, M.; Ritz, T.; Keul, H.A.; Wambach, M.; Bornemann, J.; Gbureck, U.; Ehling, J.; Lammers, T.; Heymann, F.; Gassler, N.; et al. Peptide-functionalized gold nanorods increase liver injury in hepatitis. ACS Nano 2012, 6, 8767–8777. [Google Scholar] [CrossRef]
- Ng, C.T.; Li, J.J.; Gurung, R.L.; Hande, M.P.; Ong, C.N.; Bay, B.H.; Yung, L.Y.L. Toxicological profile of small airway epithelial cells exposed to gold nanoparticles. Exp. Biol. Med. 2013, 238, 1355–1361. [Google Scholar] [CrossRef]
- Moldovan, R.; Mitrea, D.R.; Hărăguș, I.C.; David, L.; Moldovan, B.E.; Mureşan, L.E.; Suciu, S.; Clichici, S. Oxidative stress, inflammation and biochemical parameters in rats on high fat diet and experimentally induced diabetes mellitus after the administration of Cornus mas L. extract. JHSRM 2022, 23, 120–129. [Google Scholar] [CrossRef]
- Singleton, V.L.; Orthofer, R.; Lamuela-Raventos, R.M. Analysis of total phenols and other oxidation substrates and antioxidants by means of Folin-Ciocalteu reagent. In Methods in Enzymology; Paker, L., Ed.; Academic Press: San Diego, CA, USA, 1999; Volume 299, pp. 152–178. [Google Scholar]
- Opris, R.; Toma, V.; Olteanu, D.; Baldea, I.; Baciu, A.; Imre-Lucaci, F.; Berghian Sevastre, A.; Tatomir, C.; Moldovan, B.; Clichici, S.; et al. Effects of Silver Nanoparticles functionalized with Cornus mas L. extract on architecture and apoptosis in rat testicle. Nanomedicine 2019, 14, 275–299. [Google Scholar] [CrossRef]
- Ielciu, I.; Niculae, M.; Pall, E.; Barbălată, C.; Tomuţă, I.; Olah, N.K.; Burtescu, R.F.; Benedec, D.; Oniga, I.; Hanganu, D. Antiproliferative and Antimicrobial Effects of Rosmarinus officinalis L. Loaded Liposomes. Molecules 2022, 27, 3988. [Google Scholar] [CrossRef] [PubMed]
- Buza, V.; Niculae, M.; Hanganu, D.; Pall, E.; Burtescu, R.F.; Olah, N.K.; Matei-Lațiu, M.C.; Vlasiuc, I.; Iozon, I.; Szakacs, A.R.; et al. Biological Activities and Chemical Profile of Gentiana Asclepiadea and Inula Helenium Ethanolic Extracts. Molecules 2022, 27, 3560. [Google Scholar] [CrossRef] [PubMed]
- Moldovan, R.; Mitrea, D.R.; Florea, A.; Chis, I.C.; Suciu, S.; David, L.; Moldovan, B.E.; Muresan, L.E.; Lenghel, M.; Ungur, R.A.; et al. Effects of Gold Nanoparticles Functionalized with Bioactive Compounds from Cornus mas Fruit on Aorta Ultrastructural and Biochemical Changes in Rats on a Hyperlipid Diet—A Preliminary Study. Antioxidants 2022, 11, 1343. [Google Scholar] [CrossRef] [PubMed]
- Filip, A.G.; Potara, M.; Florea, A.; Baldea, I.; Olteanu, D.; Bolfa, P.; Clichici, S.; David, L.; Moldovan, B.; Olenic, L.; et al. Comparative evaluation by scanning confocal Raman spectroscopy and transmission electron microscopy of therapeutic effects of noble metal nanoparticles in experimental acute inflammation. RSC Adv. 2015, 5, 67435–67448. [Google Scholar] [CrossRef]
- Baldea, I.; Florea, A.; Olteanu, D.; Clichici, S.; David, L.; Moldovan, B.; Cenariu, M.; Achim, M.; Suharoschi, R.; Danescu, S.; et al. Effects of silver and gold nanoparticles phytosynthesized with Cornus mas extract on oral dysplastic human cells. Nanomedicine 2020, 15, 55–75. [Google Scholar] [CrossRef]
- Vincent, M.A.; Clerk, L.H.; Lindner, J.R.; Klibanov, A.L.; Clark, M.G.; Rattigan, S.; Barrett, E.J. Microvascular Recruitment Is an Early Insulin Effect That Regulates Skeletal Muscle Glucose Uptake In Vivo. Diabetes 2004, 53, 1418–1423. [Google Scholar] [CrossRef]
- Eelen, G.; de Zeeuw, P.; Treps, L.; Harjes, U.; Wong, B.W.; Carmeliet, P. Endothelial Cell Metabolism. Physiol. Rev. 2017, 98, 3–58. [Google Scholar] [CrossRef] [PubMed]
- Dandona, P.; Aljada, A.; Dhindsa, S.; Garg, R. Insulin as an anti-inflammatory and antiatherosclerotic hormone. Clin. Cornerstone 2003, 5, 13–20. [Google Scholar] [CrossRef]
- Fu, J.; Yu, M.G.; Li, Q.; Park, K.; King, G.L. Insulin’s actions on vascular tissues: Physiological effects and pathophysiological contributions to vascular complications of diabetes. Mol. Metab. 2021, 52, 101236. [Google Scholar] [CrossRef]
- Kaur, R.; Kaur, M.; Singh, J. Endothelial dysfunction and platelet hyperactivity in type 2 diabetes mellitus: Molecular insights and therapeutic strategies. Cardiovasc. Diabetol. 2018, 17, 121. [Google Scholar] [CrossRef] [PubMed]
- Dec-Gilowska, M.; Trojnar, M.; Makaruk, B.; Mosiewicz-Madejska, B.; Dzida, G.; Mosiewicz, J. Local elasticity of the aorta in patients with type 2 diabetes mellitus. J. Int. Med. Res. 2020, 48, 1–10. [Google Scholar] [CrossRef] [PubMed]
- Gui, Y.; Zheng, H.; Cao, R.Y. Foam Cells in Atherosclerosis: Novel Insights Into Its Origins, Consequences, and Molecular Mechanisms. Front. Cardiovasc. Med. 2022, 9, 845942. [Google Scholar] [CrossRef] [PubMed]
- Karwi, Q.G.; Wagg, C.S.; Altamimi, T.R.; Uddin, G.M.; Ho, K.L.; Darwesh, A.M.; Seubert, J.M.; Lopaschuk, G.D. Insulin directly stimulates mitochondrial glucose oxidation in the heart. Cardiovasc. Diabetol. 2020, 19, 207. [Google Scholar] [CrossRef]
- Al-Muzafar, H.M.; Alshehri, F.S.; Amin, K.A. The role of pioglitazone in antioxidant, anti-inflammatory, and insulin sensitivity in a high fat-carbohydrate diet-induced rat model of insulin resistance. Braz. J. Med. Biol. Res. 2021, 54, e10782. [Google Scholar] [CrossRef] [PubMed]
- Yu, X.; Chen, P.; Wang, H.; Zhu, T. Pioglitazone Ameliorates Endothelial Dysfunction in Those with Impaired Glucose Regulation among the First-Degree Relatives of Type 2 Diabetes Mellitus Patients. Med. Princ. Pract. 2013, 22, 156–160. [Google Scholar] [CrossRef]
- Nomura, H.; Yamawaki, H.; Mukohda, M.; Okada, M.; Hara, Y. Mechanisms Underlying Pioglitazone-Mediated Relaxation in Isolated Blood Vessel. J. Pharmacol. Sci. 2003, 108, 258–265. [Google Scholar] [CrossRef]
- Toma, L.; Stancu, C.S.; Sima, A.V. Endothelial Dysfunction in Diabetes Is Aggravated by Glycated Lipoproteins; Novel Molecular Therapies. Biomedicines 2021, 9, 18. [Google Scholar] [CrossRef]
- Kubisz, P.; Stančiaková, L.; Staško, J.; Galajda, P.; Mokáň, M. Endothelial and platelet markers in diabetes mellitus type 2. World J. Diabetes 2015, 6, 423–431. [Google Scholar] [CrossRef]
- Hosseinpour-Jaghdani, F.; Shomali, T.; Gholipour-Shahraki, S.; Rahimi-Madiseh, M.; Rafieian-Kopaei, M. Cornus Mas: A Review on Traditional Uses and Pharmacological Properties. J. Complemen. Integr. Med. 2017, 14, 20160137. [Google Scholar] [CrossRef] [PubMed]
- Rudrapaul, P.; Kyriakopoulos, A.M.; De, U.C.; Zoumpourlis, V.; Dinda, B. New Flavonoids from the Fruits of Cornus Mas, Cornaceae. Phytochem. Lett. 2015, 11, 292–295. [Google Scholar] [CrossRef]
- Pawlowska, A.M.; Camangi, F.; Braca, A. Quali-Quantitative Analysis of Flavonoids of Cornus Mas L. (Cornaceae) Fruits. Food Chem. 2010, 119, 1257–1261. [Google Scholar] [CrossRef]
- Bayram, H.M.; Ozturkcan, S.A. Bioactive Components and Biological Properties of Cornelian Cherry (Cornus Mas L.): A Comprehensive Review. J. Funct. Foods 2020, 75, 104252. [Google Scholar] [CrossRef]
- Gülçin, I. Antioxidant activity of caffeic acid (3,4-dihydroxycinnamic acid). Toxicology 2006, 217, 213–220. [Google Scholar] [CrossRef]
- Semis, H.S.; Gur, C.; Ileriturk, M.; Kaynar, O.; Kandemir, F.M. Investigation of the anti-inflammatory effects of caffeic acid phenethyl ester in a model of λ-Carrageenan–induced paw edema in rats. Hum. Exp. Toxicol. 2021, 40 (Suppl. 12), S721–S738. [Google Scholar] [CrossRef]
- De Alencar Silva, A.; Pereira-de-Morais, L.; Rodrigues da Silva, R.E.; de Menezes Dantas, D.; Brito Milfont, C.G.; Gomes, M.; Araújo, I.M.; Kerntopf, M.F.; Alencar de Menezes, I.R.; Barbosa, R. Pharmacological screening of the phenolic compound caffeic acid using rat aorta, uterus and ileum smooth muscle. Chem. Biol. Interact. 2020, 332, 109269. [Google Scholar] [CrossRef]
- Mitrea, D.R.; Malkey, R.; Florian, T.L.; Filip, A.G.; Clichici, S.; Bidian, C.; Moldovan, R.; Hoteiuc, O.A.; Toader, A.M.; Baldea, I. Daily oral administration od chlorogenic acid prevents the experimental carrageenan-induced oxidative stress. J. Physiol. Pharmacol. 2020, 71, 55–65. [Google Scholar] [CrossRef]
- Mitrea, D.R.; Malkey, R.; Pop, N.L.; Filip, A.; Clichici, S.; Moldovan, R.; Bidian, C.; Toader, A.M.; Florian, T.L. Single oral dose of chlorogenic acid attenuates the experimental carrageenan-induced oxidative stress. Health Sport. Rehabil. Med. 2020, 21, 74–81. [Google Scholar] [CrossRef]
- Wu, C.; Luan, H.; Zhang, X.; Wang, S.; Zhang, X.; Sun, X.; Guo, P. Chlorogenic Acid Protects against Atherosclerosis in ApoE2/2 Mice and Promotes Cholesterol Efflux from RAW264.7 Macrophages. PLoS ONE 2014, 9, e95452. [Google Scholar] [CrossRef]
- Hada, Y.; Uchida, H.A.; Otaka, N.; Onishi, Y.; Okamoto, S.; Nishiwaki, M.; Takemoto, R.; Takeuchi, H.; Wada, J. The Protective Effect of Chlorogenic Acid on Vascular Senescence via the Nrf2/HO-1 Pathway. Int. J. Mol. Sci. 2020, 21, 4527. [Google Scholar] [CrossRef]
- Fallahi, F.; Roghani, M.; Moghadami, S. Citrus flavonoid naringenin improves aortic reactivity in streptozotocin-diabetic rats. Indian J. Pharmacol. 2012, 44, 382–866. [Google Scholar] [CrossRef] [PubMed]
- Xiao, H.B.; Lu, X.Y.; Sun, Z.L.; Zhang, H.B. Kaempferol regulates OPN-CD44 pathway to inhibit the atherogenesis of apolipoprotein E deficient mice. Toxicol. Appl. Pharmacol. 2011, 257, 405–411. [Google Scholar] [CrossRef]
- Ren, J.; Lu, Y.; Qian, Y.; Chen, B.; Wu, T.; Ji, G. Recent progress regarding kaempferol for the treatment of various diseases (Review). Exp. Ther. Med. 2019, 18, 2759–2776. [Google Scholar] [CrossRef]
- Lee, L.C.; Hou, Y.C.; Hsieh, Y.Y.; Chen, Y.H.; Shen, Y.C.; Lee, I.J.; Shih, M.C.M.; Hou, W.C.; Liu, H.K. Dietary supplementation of rutin and rutin-rich buckwheat elevates endogenous glucagon-like peptide 1 levels to facilitate glycemic control in type 2 diabetic mice. J. Funct. Foods 2021, 85, 104653. [Google Scholar] [CrossRef]
- Farkhondeh, T.; Samarghandian, S.; Bafandeh, F. The Cardiovascular Protective Effects of Chrysin: A Narrative Review on Experimental Researches. Cardiovasc. Hematol. Agents Med. Chem. 2019, 17, 17–27. [Google Scholar] [CrossRef]
- Tew, W.Y.; Tan, C.S.; Yan, C.S.; Loh, H.W.; Wen, X.; Wei, X.; Yam, M.F. Evaluation of vasodilatory effect and antihypertensive effect of chrysin through in vitro and sub-chronic in vivo study. Biomed. Pharmacother. 2023, 157, 114020. [Google Scholar] [CrossRef]
- El-Bassossy, H.M.; Abo-Warda, S.M.; Fahmy, A. Chrysin and luteolin attenuate diabetes-induced impairment in endothelial-dependent relaxation: Effect on lipid profile, AGEs and NO generation. Phytother. Res. 2013, 27, 1678–1684. [Google Scholar] [CrossRef]
- Queiroz, M.; Leandro, A.; Azul, L.; Figueirinha, A.; Seiça, R.; Sena, C.M. Luteolin Improves Perivascular Adipose Tissue Profile and Vascular Dysfunction in Goto-Kakizaki Rats. Int. J. Mol. Sci. 2021, 22, 13671. [Google Scholar] [CrossRef] [PubMed]
- Qian, L.B.; Wang, H.P.; Chen, Y.; Chen, F.X.; Ma, Y.Y.; Bruce, I.C.; Xia, Q. Luteolin reduces high glucose-mediated impairment of endothelium-dependent relaxation in rat aorta by reducing oxidative stress. Pharmacol. Res. 2010, 61, 281–287. [Google Scholar] [CrossRef]
- Sangeetha, R. Luteolin in the Management of Type 2 Diabetes Mellitus. Curr. Res. Nutr. Food Sci. 2019, 7, 393–398. [Google Scholar] [CrossRef]
- Xu, S.; Chen, S.; Xia, W.; Sui, H.; Fu, X. Hyperoside: A Review of Its Structure, Synthesis, Pharmacology, Pharmacokinetics and Toxicity. Molecules 2022, 7, 3009. [Google Scholar] [CrossRef] [PubMed]
- Moldovan, R.; Mitrea, R.; Florea, A.; David, L.; Moldovan, B.E.; Muresan, L.E.; Suciu, S.; Lenghel, M.; Herangus, I.-C.; Ungur, R.A.; et al. Aorta modifications in oral gold nanoparticles administration in rats. Health Sport. Rehabil. Med. 2021, 22, 210–218. [Google Scholar] [CrossRef]












| Identified Compounds | Reference | Sample | |||
|---|---|---|---|---|---|
| Retention Time (min) | Main MS Transition | Retention Time (min) | Main MS Transition | Content (mg/mL) | |
| Caffeic acid | 13.5 | 179.0 > 135.0 | 13.7 | 179.0 > 135.0 | 0.167 ± 0.0287 |
| Chlorogenic acid | 11.9 | 353.0 > 191.0 | 12.4 | 353.0 > 191.0 | 0.019 ± 0.0053 |
| Chrysin | 29.7 | 253.0 > 143.0 | 30.0 | 253.0 > 143.0 | 0.011 ± 0.0012 |
| Hyperoside | 20.3 | 463.1 > 300.0 | 20.1 | 463.1 > 300.0 | 0.010 ± 0.0005 |
| Kaempferol | 27.9 | 285.0 > 187.0 | 28.6 | 285.0 > 187.0 | 0.004 ± 0.0005 |
| Luteolin | 26.8 | 287.0 > 153.0 | 26.6 | 287.0 > 153.0 | 0.006 ± 0.0008 |
| Naringenin | 26.2 | 271.0 > 119.0 | 27.5 | 271.0 > 119.0 | 0.011 ± 0.0012 |
| Rutoside | 20.2 | 609.0 > 300.0 | 20.0 | 609.0 > 300.0 | 0.021 ± 0.0033 |
Disclaimer/Publisher’s Note: The statements, opinions and data contained in all publications are solely those of the individual author(s) and contributor(s) and not of MDPI and/or the editor(s). MDPI and/or the editor(s) disclaim responsibility for any injury to people or property resulting from any ideas, methods, instructions or products referred to in the content. |
© 2023 by the authors. Licensee MDPI, Basel, Switzerland. This article is an open access article distributed under the terms and conditions of the Creative Commons Attribution (CC BY) license (https://creativecommons.org/licenses/by/4.0/).
Share and Cite
Moldovan, R.; Mitrea, D.-R.; Florea, A.; David, L.; Mureşan, L.E.; Chiş, I.C.; Suciu, Ş.M.; Moldovan, B.E.; Lenghel, M.; Chiriac, L.B.; et al. Effects of Gold Nanoparticles Functionalized with Cornus mas L. Fruit Extract on the Aorta Wall in Rats with a High-Fat Diet and Experimental-Induced Diabetes Mellitus—An Imaging Study. Nanomaterials 2023, 13, 1101. https://doi.org/10.3390/nano13061101
Moldovan R, Mitrea D-R, Florea A, David L, Mureşan LE, Chiş IC, Suciu ŞM, Moldovan BE, Lenghel M, Chiriac LB, et al. Effects of Gold Nanoparticles Functionalized with Cornus mas L. Fruit Extract on the Aorta Wall in Rats with a High-Fat Diet and Experimental-Induced Diabetes Mellitus—An Imaging Study. Nanomaterials. 2023; 13(6):1101. https://doi.org/10.3390/nano13061101
Chicago/Turabian StyleMoldovan, Remus, Daniela-Rodica Mitrea, Adrian Florea, Luminiţa David, Laura Elena Mureşan, Irina Camelia Chiş, Şoimița Mihaela Suciu, Bianca Elena Moldovan, Manuela Lenghel, Liviu Bogdan Chiriac, and et al. 2023. "Effects of Gold Nanoparticles Functionalized with Cornus mas L. Fruit Extract on the Aorta Wall in Rats with a High-Fat Diet and Experimental-Induced Diabetes Mellitus—An Imaging Study" Nanomaterials 13, no. 6: 1101. https://doi.org/10.3390/nano13061101
APA StyleMoldovan, R., Mitrea, D.-R., Florea, A., David, L., Mureşan, L. E., Chiş, I. C., Suciu, Ş. M., Moldovan, B. E., Lenghel, M., Chiriac, L. B., Ielciu, I., Hanganu, D., Bab, T., & Clichici, S. (2023). Effects of Gold Nanoparticles Functionalized with Cornus mas L. Fruit Extract on the Aorta Wall in Rats with a High-Fat Diet and Experimental-Induced Diabetes Mellitus—An Imaging Study. Nanomaterials, 13(6), 1101. https://doi.org/10.3390/nano13061101

