Facile Construction of a Solely-DNA-Based System for Targeted Delivery of Nucleic Acids
Abstract
:1. Introduction
2. Materials and Methods
2.1. Materials and Instrumentation
2.2. Synthesis of Cyclic Single-Stranded DNA T
2.3. Preparation of Triangular-Shaped DNA Nanostructures (TDNs)
2.4. Fetal Bovine Serum Digestion Assay
2.5. Confocal Fluorescence Imaging and Flow Cytometry Analysis
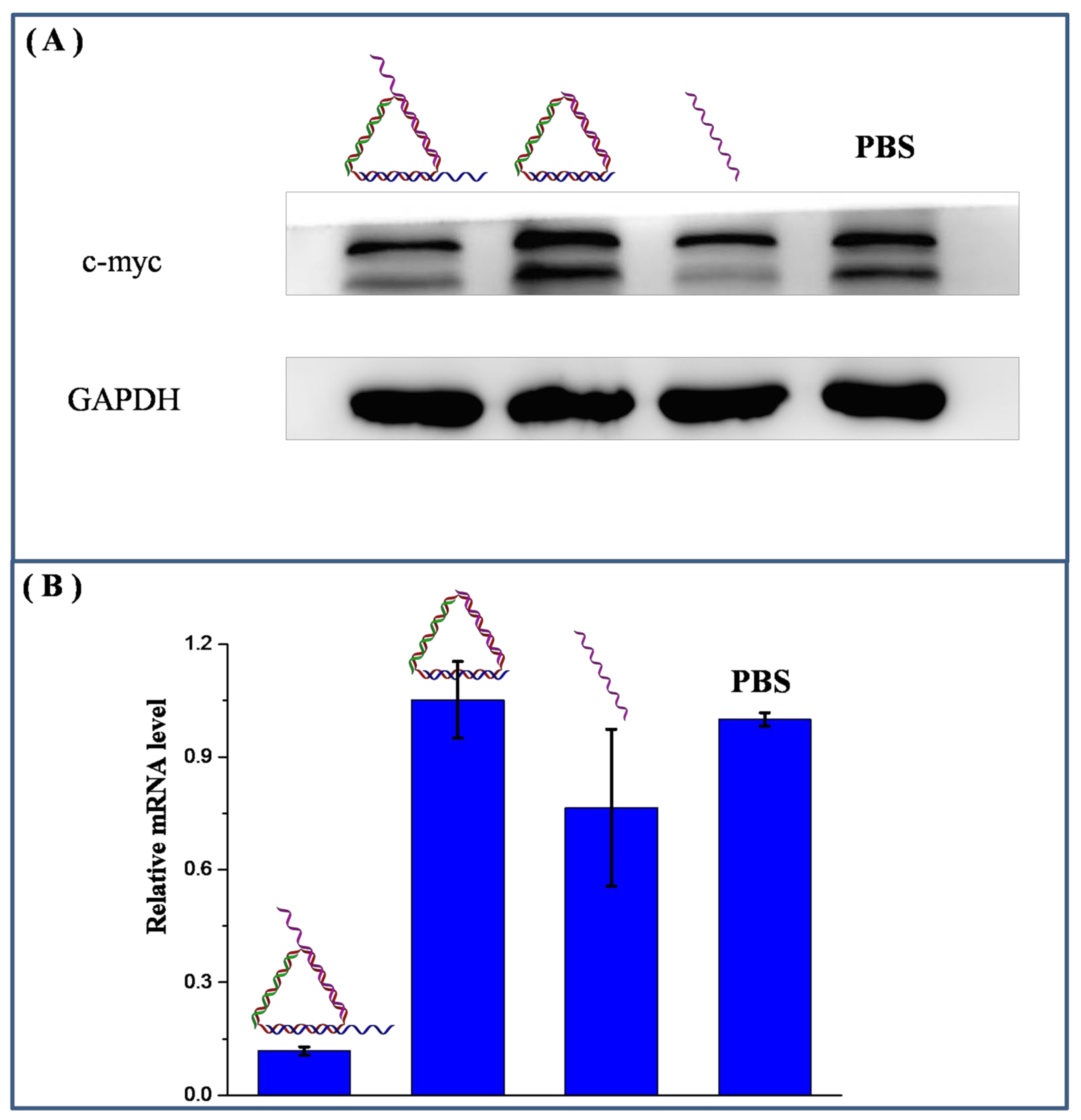
2.6. Western Blot and Quantitative Polymerase Chain Reaction (qPCR) Assay
3. Results
4. Discussion
5. Conclusions
Supplementary Materials
Author Contributions
Funding
Data Availability Statement
Conflicts of Interest
References
- Wu, L.; Seung, E.; Xu, L.; Rao, E.; Lord, D.M.; Wei, R.R.; Cortez-Retamozo, V.; Ospina, B.; Posternak, V.; Ulinski, G.; et al. Trispecific antibodies enhance the therapeutic efficacy of tumor-directed T cells through T cell receptor co-stimulation. Nat. Cancer 2020, 1, 86–98. [Google Scholar] [CrossRef]
- Shin, M.D.; Shukla, S.; Chung, Y.H.; Beiss, V.; Chan, S.K.; Ortega-Rivera, O.A.; Wirth, D.M.; Chen, A.; Sack, M.; Pokorski, J.K.; et al. COVID-19 vaccine development and a potential nanomaterial path forward. Nat. Nanotechnol. 2020, 15, 646–655. [Google Scholar] [CrossRef] [PubMed]
- Lee, H.; Lytton-Jean, A.K.R.; Chen, Y.; Love, K.T.; Park, A.I.; Karagiannis, E.D.; Sehgal, A.; Querbes, W.; Zurenko, C.S.; Jayaraman, M.; et al. Molecularly self-assembled nucleic acid nanoparticles for targeted in vivo siRNA delivery. Nat. Nanotechnol. 2012, 7, 389–393. [Google Scholar] [CrossRef]
- Lee, D.S.; Qian, H.; Tay, C.Y.; Leong, D.T. Cellular processing and destinies of artificial DNA nanostructures. Chem. Soc. Rev. 2016, 45, 4199–4225. [Google Scholar] [CrossRef] [PubMed]
- Mosquera, J.; García, I.; Liz-Marzán, L.M. Cellular uptake of nanoparticles versus small molecules: A matter of size. Acc. Chem. Res. 2018, 51, 2305–2313. [Google Scholar] [CrossRef] [PubMed] [Green Version]
- Pakulska, M.M.; Vulic, K.; Tam, R.Y.; Shoichet, M.S. Hybrid crosslinked methylcellulose hydrogel: A predictable and tunable platform for local drug delivery. Adv. Mater. 2015, 27, 5002–5008. [Google Scholar] [CrossRef]
- Kotcherlakota, R.; Srinivasan, D.J.; Mukherjee, S.; Haroon, M.M.; Dar, G.H.; Venkatraman, U.; Patra, C.R.; Gopal, V. Engineered fusion protein-loaded gold nanocarriers for targeted co-delivery of doxorubicin and erbB2-siRNA in human epidermal growth factor receptor-2+ ovarian cancer. J. Mater. Chem. B 2017, 5, 7082–7098. [Google Scholar] [CrossRef]
- Cao, W.; Zhou, J.; Mann, A.; Wang, Y.; Zhu, L. Folate-functionalized unimolecular micelles based on a degradable amphiphilic dendrimer-like star polymer for cancer cell-targeted drug delivery. Biomacromolecules 2011, 12, 2697–2707. [Google Scholar] [CrossRef]
- Seeman, N.C.; Sleiman, H.F. DNA nanotechnology. Nat. Rev. Mater. 2017, 3, 17068–17090. [Google Scholar] [CrossRef]
- Mei, Q.; Wei, X.; Su, F.; Liu, Y.; Youngbull, C.; Johnson, R.; Lindsay, S.; Yan, H.; Meldrum, D. Stability of DNA origami nanoarrays in cell lysate. Nano Lett. 2011, 11, 1477–1482. [Google Scholar] [CrossRef] [Green Version]
- Surana, S.; Shenoy, A.R.; Krishnan, Y. Designing DNA nanodevices for compatibility with the immune system of higher organisms. Nat. Nanotechol. 2015, 10, 741–747. [Google Scholar] [CrossRef] [Green Version]
- Liang, L.; Li, J.; Li, Q.; Huang, Q.; Shi, J.; Yan, H.; Fan, C. Single-particle tracking and modulation of cell entry pathways of a tetrahedral DNA nanostructure in live cells. Angew. Chem. Int. Ed. 2014, 53, 7745–7750. [Google Scholar] [CrossRef]
- Dan, K.; Veetil, A.T.; Chakraborty, K.; Krishnan, Y. DNA nanodevices map enzymatic activity in organelle. Nat. Nanotechnol. 2019, 14, 252–259. [Google Scholar] [CrossRef]
- Zhao, Z.; Fu, J.; Dhakal, S.; Johnson-Buck, A.; Liu, M.; Zhang, T.; Woodbury, N.W.; Liu, Y.; Walter, N.G.; Yan, H. Nanocaged enzymes with enhanced catalytic activity and increased stability against protease digestion. Nat. Commun. 2016, 7, 10619–10627. [Google Scholar] [CrossRef] [PubMed] [Green Version]
- Ming, X.; Laing, B. Bioconjugates for targeted delivery of therapeutic oligonucleotides. Adv. Drug Deliv. Rev. 2015, 87, 81–89. [Google Scholar] [CrossRef] [Green Version]
- Mastroianni, A.J.; Claridge, S.A.; Alivisatos, A.P. Pyramidal and chiral groupings of gold nanocrystals assembled using DNA scaffolds. J. Am. Chem. Soc. 2009, 131, 8455–8459. [Google Scholar] [CrossRef] [Green Version]
- Keefe, A.D.; Pai, S.; Ellington, A. Aptamers as therapeutics. Nat. Rev. Drug Discov. 2010, 9, 537–550. [Google Scholar] [CrossRef] [PubMed]
- Soundararajan, S.; Chen, W.; Spicer, E.K.; Courtenay-Luck, N.; Fernandes, D.J. TheNucleolin Targeting Aptamer AS1411 Destabilizes Bcl-2 Messenger RNA in Human Breast Cancer Cell. Cancer Res. 2008, 68, 2358–2366. [Google Scholar] [CrossRef] [Green Version]
- Keum, J.-W.; Bermudez, H. Enhanced resistance of DNA nanostructures to enzymatic digestion. Chem. Commun. 2009, 45, 7036–7038. [Google Scholar] [CrossRef]
- Chandrasekaran, A.R. Nuclease resistance of DNA nanostructures. Nat. Rev. Chem. 2021, 5, 225–239. [Google Scholar] [CrossRef] [PubMed]
- Dai, Z.; Tam, D.Y.; Xu, H.; Chan, M.S.; Liu, L.S.; Bolze, F.; Sun, X.H.; Lo, P.K. Conformational Change of Self-Assembled DNA Nanotubes Induced by Two-Photon Excitation. Small 2015, 11, 4090–4096. [Google Scholar] [CrossRef] [PubMed]
- Taghdisi, S.M.; Danesh, N.M.; Ramezani, M.; Yazadian-Robati, R.; Abnous, K. A novel AS1411 aptamer-based three-way junction pocket DNA nanostructure loaded with doxorubicin for targeting cancer cells in vitro and in vivo. Mol. Pharm. 2018, 15, 1972–1978. [Google Scholar] [CrossRef]
- Conway, J.W.; McLaughlin, C.K.; Castor, K.J.; Sleiman, H. DNA nanostructure serum stability: Greater than the sum of its parts. Chem. Commun. 2013, 49, 1172–1174. [Google Scholar] [CrossRef]
- Tam, D.Y.; Dai, Z.; Chan, M.S.; Liu, L.S.; Cheung, M.C.; Bolze, F.; Tin, C.; Lo, P.K. A Reversible DNA Logic Gate Platform Operated by One-and Two-Photon Excitations. Angew. Chem. Int. Ed. 2016, 55, 164–168. [Google Scholar] [CrossRef] [PubMed]
- Dai, Z.; Leung, H.M.; Gao, Q.; Wang, F.; Wong, S.W.; Liu, L.S.; Au, Y.J.; Lai, K.W.C.; Lo, P.K. Facile construction of a DNA tetrahedron in unconventional ladder-like arrangements at room temperature. Nanoscale Adv. 2019, 1, 1240–1248. [Google Scholar] [CrossRef] [Green Version]
- Zhang, K.; Liu, J.; Song, Q.; Yang, X.; Wang, D.; Liu, W.; Shi, J.; Zhang, Z. DNA nanosponge for adsorption and clearance of intracellular miR-21 and enhanced antitumor chemotherapy. ACS Appl. Mater. Interfaces 2019, 11, 46604–46613. [Google Scholar] [CrossRef] [PubMed]
- Dias, N.; Stein, C.A. Antisense oligonucleotides: Basic concepts and mechanisms. Mol. Cancer Ther. 2002, 1, 347–355. [Google Scholar]
- Pan, Q.; Nie, C.; Hu, Y.; Yi, J.; Liu, C.; Zhang, J.; He, M.; He, M.; Chen, T.; Chu, X. Aptamer-functionalized DNA origami for targeted codelivery of antisense oligonucleotides and doxorubicin to enhance therapy in drug-resistant cancer cells. ACS Appl. Mater. Interfaces 2020, 12, 400–409. [Google Scholar] [CrossRef]
- Li, Q.; Zhao, D.; Shao, X.; Lin, S.; Xie, X.; Liu, M.; Ma, W.; Shi, S.; Lin, Y. Aptamer-modified tetrahedral DNA nanostructure for tumor-targeted drug delivery. ACS Appl. Mater. Interfaces 2017, 9, 36695–36701. [Google Scholar] [CrossRef]










| Primer | Sequence (5′–3′) |
|---|---|
| CTS | TCGGTAGATTGATAGCCCAGATCGGTTAGAGTAATCTCTTGATTTGAGCAC/3′ Phosphate/ |
| Tt | TCTACCGAGTGCTCA |
| E1 | TCTACCGAGTGCTCA |
| E2 | TCAAGAGATTACTCT |
| E3 | CCGATCTGGGCTATC |
| E1-5′ Cy3 | /Cy3/TTCTACCGAGTGCTCA |
| E2-5′ Cy5 | /Cy5/TTCAAGAGATTACTCT |
| E3-3′ Cy5 | CCGATCTGGGCTATCT/Cy5/ |
| E2-c-myc | AACGTTGAGGGGCATTTTCAAGAGAGGACTCT |
| E3-5′ Cy3 | /Cy3/TCCGATCTGGGCTATC |
| E2-3′ Cy5 | TCAAGAGATTACTCTT/Cy5/ |
| E1-AS1411 | GGTGGTGGTGGTTGGGTGGTGGTGGTTCTACCGAGTGCTCA |
| Experiment | Strand Combinations |
|---|---|
| FBS assay | T, E1, E2, E3 |
| Flow cytometry assay | T, E1-AS1411, E2, E3-Cy5 |
| FRET assay | T, E1-Cy3, E2, E3-Cy5 |
| Confocal imaging assay | T, E1-AS1411, E2, E3-Cy3 |
| Western blot assay | T, E1-AS1411, E2-c-myc, E3 |
| RT-qPCR assay | T, E1-AS1411, E2-c-myc, E3 |
Publisher’s Note: MDPI stays neutral with regard to jurisdictional claims in published maps and institutional affiliations. |
© 2021 by the authors. Licensee MDPI, Basel, Switzerland. This article is an open access article distributed under the terms and conditions of the Creative Commons Attribution (CC BY) license (https://creativecommons.org/licenses/by/4.0/).
Share and Cite
Dai, Z.; Li, J.; Lin, Y.; Wang, Z.; Huang, Y. Facile Construction of a Solely-DNA-Based System for Targeted Delivery of Nucleic Acids. Nanomaterials 2021, 11, 1967. https://doi.org/10.3390/nano11081967
Dai Z, Li J, Lin Y, Wang Z, Huang Y. Facile Construction of a Solely-DNA-Based System for Targeted Delivery of Nucleic Acids. Nanomaterials. 2021; 11(8):1967. https://doi.org/10.3390/nano11081967
Chicago/Turabian StyleDai, Ziwen, Juan Li, Yongfang Lin, Zhigang Wang, and Yang Huang. 2021. "Facile Construction of a Solely-DNA-Based System for Targeted Delivery of Nucleic Acids" Nanomaterials 11, no. 8: 1967. https://doi.org/10.3390/nano11081967
APA StyleDai, Z., Li, J., Lin, Y., Wang, Z., & Huang, Y. (2021). Facile Construction of a Solely-DNA-Based System for Targeted Delivery of Nucleic Acids. Nanomaterials, 11(8), 1967. https://doi.org/10.3390/nano11081967

